You are currently viewing a new version of our website. To view the old version click .

17 Results Found

  • Article
  • Open Access
5 Citations
3,178 Views
10 Pages

NTHL1 Gene Mutations in Polish Polyposis Patients—Weighty Player or Vague Background?

  • Natalia Grot,
  • Marta Kaczmarek-Ryś,
  • Emilia Lis-Tanaś,
  • Alicja Kryszczyńska,
  • Dorota Nowakowska,
  • Anna Jakubiuk-Tomaszuk,
  • Jacek Paszkowski,
  • Tomasz Banasiewicz,
  • Szymon Hryhorowicz and
  • Andrzej Pławski

26 September 2023

Multiple polyposes are heterogeneous diseases with different underlying molecular backgrounds, sharing a common symptom: the presence of transforming into cancerous intestinal polyps. Recent reports have indicated biallelic mutations in the NTHL1 gen...

  • Article
  • Open Access
4 Citations
2,935 Views
16 Pages

Back-Up Base Excision DNA Repair in Human Cells Deficient in the Major AP Endonuclease, APE1

  • Daria V. Kim,
  • Evgeniia A. Diatlova,
  • Timofey D. Zharkov,
  • Vasily S. Melentyev,
  • Anna V. Yudkina,
  • Anton V. Endutkin and
  • Dmitry O. Zharkov

Apurinic/apyrimidinic (AP) sites are abundant DNA lesions generated both by spontaneous base loss and as intermediates of base excision DNA repair. In human cells, they are normally repaired by an essential AP endonuclease, APE1, encoded by the APEX1...

  • Case Report
  • Open Access
6 Citations
2,401 Views
9 Pages

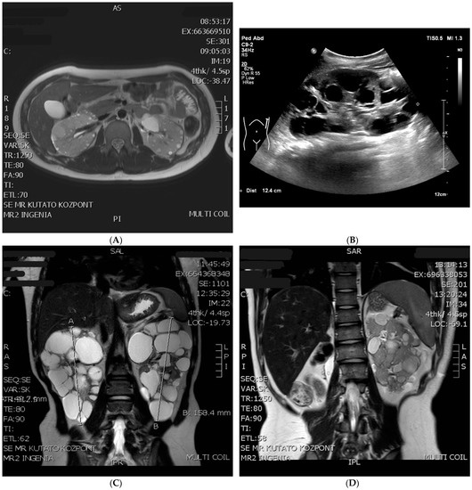
The Importance of Genetic Testing in the Differential Diagnosis of Atypical TSC2-PKD1 Contiguous Gene Syndrome—Case Series

  • Petronella Orosz,
  • Zita Kollák,
  • Ákos Pethő,
  • András Fogarasi,
  • György Reusz,
  • Kinga Hadzsiev and
  • Tamás Szabó

22 February 2023

Background: In clinical practice, the possible diagnosis of tuberous sclerosis or polycystic kidney disease is primarily based on clinical criteria, which can later be verified by genetic testing. But in the case of TSC2/PKD1 contiguous gene syndrome...

  • Article
  • Open Access
8 Citations
2,097 Views
14 Pages

The Impact of Human DNA Glycosylases on the Activity of DNA Polymerase β toward Various Base Excision Repair Intermediates

  • Artemiy S. Bakman,
  • Stanislav S. Boichenko,
  • Aleksandra A. Kuznetsova,
  • Alexander A. Ishchenko,
  • Murat Saparbaev and
  • Nikita A. Kuznetsov

Base excision repair (BER) is one of the important systems for the maintenance of genome stability via repair of DNA lesions. BER is a multistep process involving a number of enzymes, including damage-specific DNA glycosylases, apurinic/apyrimidinic...

  • Article
  • Open Access
4 Citations
2,492 Views
15 Pages

Cognitive Function Is Associated with the Genetically Determined Efficiency of DNA Repair Mechanisms

  • Nicolas Cherbuin,
  • Hardip Patel,
  • Erin I. Walsh,
  • Ananthan Ambikairajah,
  • Richard Burns,
  • Anne Brüstle and
  • Lene Juel Rasmussen

24 January 2024

Several modifiable risk factors for neurodegeneration and dementia have been identified, although individuals vary in their vulnerability despite a similar risk of exposure. This difference in vulnerability could be explained at least in part by the...

  • Review
  • Open Access
55 Citations
13,154 Views
23 Pages

21 January 2023

Colorectal cancer is one of the most common tumors, and genetic predisposition is one of the key risk factors in the development of this malignancy. Lynch syndrome and familial adenomatous polyposis are the best-known genetic diseases associated with...

  • Review
  • Open Access
17 Citations
4,859 Views
24 Pages

Strong Hereditary Predispositions to Colorectal Cancer

  • Szymon Hryhorowicz,
  • Marta Kaczmarek-Ryś,
  • Emilia Lis-Tanaś,
  • Jakub Porowski,
  • Marcin Szuman,
  • Natalia Grot,
  • Alicja Kryszczyńska,
  • Jacek Paszkowski,
  • Tomasz Banasiewicz and
  • Andrzej Pławski

10 December 2022

Cancer is one of the most common causes of death worldwide. A strong predisposition to cancer is generally only observed in colorectal cancer (5% of cases) and breast cancer (2% of cases). Colorectal cancer is the most common cancer with a strong gen...

  • Article
  • Open Access
8 Citations
2,690 Views
12 Pages

12 October 2021

Introduction: The prevalence of pathogenic or likely pathogenic germline variants (PGV) in colorectal cancer (CRC) in young patients is seen in approximately one in five patients, with the majority of cases having gene variants associated with Lynch...

  • Article
  • Open Access
16 Citations
6,449 Views
46 Pages

Systematic Surveys of Iron Homeostasis Mechanisms Reveal Ferritin Superfamily and Nucleotide Surveillance Regulation to be Modified by PINK1 Absence

  • Jana Key,
  • Nesli Ece Sen,
  • Aleksandar Arsović,
  • Stella Krämer,
  • Robert Hülse,
  • Natasha Nadeem Khan,
  • David Meierhofer,
  • Suzana Gispert,
  • Gabriele Koepf and
  • Georg Auburger

2 October 2020

Iron deprivation activates mitophagy and extends lifespan in nematodes. In patients suffering from Parkinson’s disease (PD), PINK1-PRKN mutations via deficient mitophagy trigger iron accumulation and reduce lifespan. To evaluate molecular effec...

  • Article
  • Open Access
7 Citations
4,139 Views
16 Pages

Tumor Signature Analysis Implicates Hereditary Cancer Genes in Endometrial Cancer Development

  • Olga Kondrashova,
  • Jannah Shamsani,
  • Tracy A. O’Mara,
  • Felicity Newell,
  • Amy E. McCart Reed,
  • Sunil R. Lakhani,
  • Judy Kirk,
  • John V. Pearson,
  • Nicola Waddell and
  • Amanda B. Spurdle

7 April 2021

Risk of endometrial cancer (EC) is increased ~2-fold for women with a family history of cancer, partly due to inherited pathogenic variants in mismatch repair (MMR) genes. We explored the role of additional genes as explanation for familial EC presen...

  • Article
  • Open Access
4 Citations
1,266 Views
16 Pages

Oxidative DNA Damage and Repair Dynamics in Multiple Sclerosis: Insights from Comet Assay Kinetics, Base Excision Repair Gene Expression, and Genotype Analysis

  • Beata Filipek,
  • Anna Macieja,
  • Aleksandra Binda,
  • Rafal Szelenberger,
  • Leslaw Gorniak,
  • Elzbieta Miller,
  • Mariola Swiderek-Matysiak,
  • Mariusz Stasiolek,
  • Ireneusz Majsterek and
  • Tomasz Poplawski

Multiple sclerosis (MS) is a neuroinflammatory disease where oxidative stress and DNA damage may influence disease progression. We investigated whether defects in base excision repair (BER) pathways contribute to MS by combining functional DNA repair...

  • Review
  • Open Access
37 Citations
5,731 Views
20 Pages

Oxidative Damage in Sporadic Colorectal Cancer: Molecular Mapping of Base Excision Repair Glycosylases in Colorectal Cancer Patients

  • Pavel Vodicka,
  • Marketa Urbanova,
  • Pavol Makovicky,
  • Kristyna Tomasova,
  • Michal Kroupa,
  • Rudolf Stetina,
  • Alena Opattova,
  • Klara Kostovcikova,
  • Anna Siskova and
  • Michaela Schneiderova
  • + 2 authors

Oxidative stress with subsequent premutagenic oxidative DNA damage has been implicated in colorectal carcinogenesis. The repair of oxidative DNA damage is initiated by lesion-specific DNA glycosylases (hOGG1, NTH1, MUTYH). The direct evidence of the...

  • Article
  • Open Access
10 Citations
3,072 Views
12 Pages

Pathogenic Germline Mutations of DNA Repair Pathway Components in Early-Onset Sporadic Colorectal Polyp and Cancer Patients

  • Pi-Yueh Chang,
  • Shih-Cheng Chang,
  • Mei-Chia Wang,
  • Jinn-Shiun Chen,
  • Wen-Sy Tsai,
  • Jeng-Fu You,
  • Chia-Chun Chen,
  • Hsiu-Ling Liu and
  • Jy-Ming Chiang

28 November 2020

Given recent increases in the proportion of early-onset colorectal cancer (CRC), researchers are urgently working to establish a multi-gene screening test for both inherited and sporadic cancer-susceptible individuals. However, the incidence and spec...

  • Article
  • Open Access
18 Citations
4,828 Views
20 Pages

Impact of Helicobacter pylori Infection and Its Major Virulence Factor CagA on DNA Damage Repair

  • Eleftherios Kontizas,
  • Spyros Tastsoglou,
  • Timokratis Karamitros,
  • Yiannis Karayiannis,
  • Panagoula Kollia,
  • Artemis G. Hatzigeorgiou and
  • Dionyssios N. Sgouras

Helicobacter pylori infection induces a plethora of DNA damages. Gastric epithelial cells, in order to maintain genomic integrity, require an integrous DNA damage repair (DDR) machinery, which, however, is reported to be modulated by the infection. C...

  • Article
  • Open Access
10 Citations
3,093 Views
11 Pages

Oxidative Damage in Sporadic Colorectal Cancer: Molecular Mapping of Base Excision Repair Glycosylases MUTYH and hOGG1 in Colorectal Cancer Patients

  • Miriam J. Kavec,
  • Marketa Urbanova,
  • Pavol Makovicky,
  • Alena Opattová,
  • Kristyna Tomasova,
  • Michal Kroupa,
  • Klara Kostovcikova,
  • Anna Siskova,
  • Nazila Navvabi and
  • Michaela Schneiderova
  • + 3 authors

Oxidative stress, oxidative DNA damage and resulting mutations play a role in colorectal carcinogenesis. Impaired equilibrium between DNA damage formation, antioxidant status, and DNA repair capacity is responsible for the accumulation of genetic mut...

  • Communication
  • Open Access
1 Citations
2,034 Views
9 Pages

Germline Variants in DNA Interstrand-Cross Link Repair Genes May Contribute to Increased Susceptibility for Serrated Polyposis Syndrome

  • Patrícia Silva,
  • Inês Francisco,
  • Bruno Filipe,
  • Pedro Lage,
  • Isadora Rosa,
  • Sofia Fernandes,
  • Ricardo Fonseca,
  • Paula Rodrigues,
  • Joana Parreira and
  • Isabel Claro
  • + 1 author

4 November 2024

Serrated polyposis syndrome (SPS) is characterized by the development of multiple colorectal serrated polyps and increased predisposition to colorectal cancer (CRC). However, the molecular basis of SPS, especially in cases presenting family history o...

  • Article
  • Open Access
9 Citations
3,267 Views
19 Pages

Breast Cancer (BC) is one of the most common and challenging cancers among females worldwide. Conventional treatments for oral cancer rely on the use of radiology and surgery accompanied by chemotherapy. Chemotherapy presents many side effects, and t...