Staged Hybrid Treatment of Acute Type B Complicated Aortic and External Iliac Artery Dissection and Femoral Occlusion after Transcatheter Aortic Valve Implantation
Abstract
1. Introduction
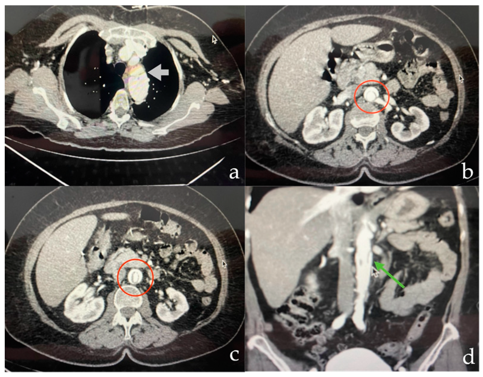
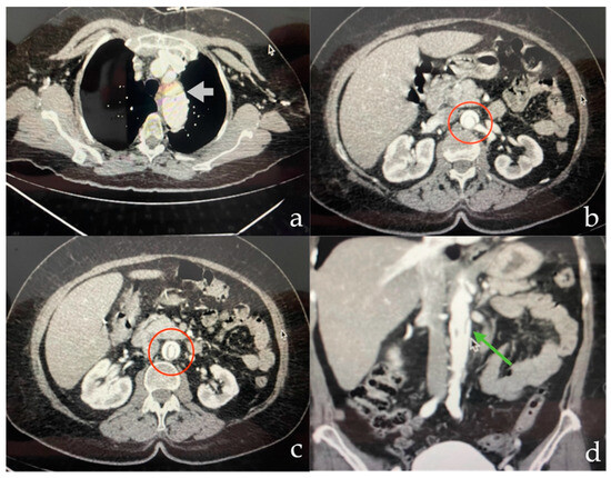
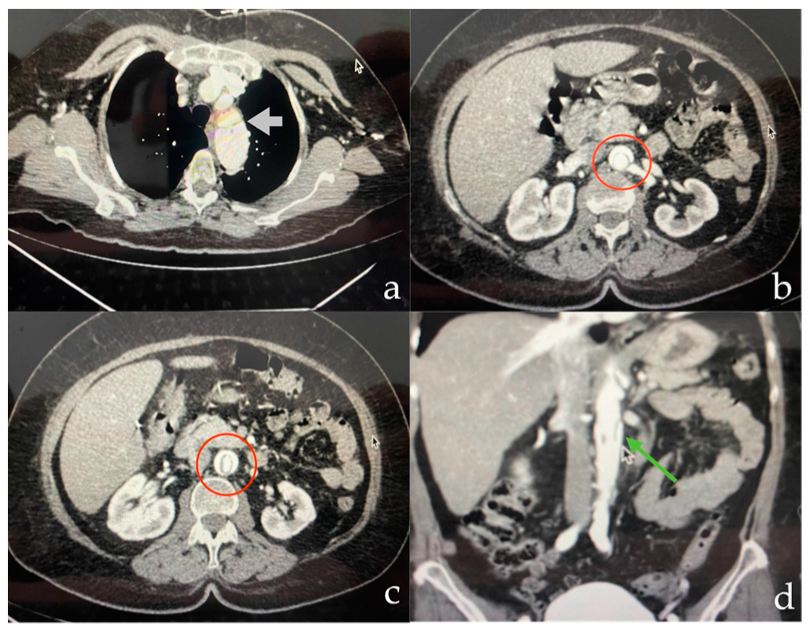
2. Detailed Case Description
3. Discussion
4. Conclusions
Author Contributions
Funding
Institutional Review Board Statement
Informed Consent Statement
Data Availability Statement
Conflicts of Interest
References
- Maganti, K.; Rigolin, V.H.; Sarano, M.E.; Bonow, R.O. Valvular Heart Disease: Diagnosis and Management. Mayo Clin. Proc. 2010, 85, 483–500. [Google Scholar] [CrossRef] [PubMed]
- Ito, S.; Oh, J.K. Aortic Stenosis: New Insights in Diagnosis, Treatment, and Prevention. Korean Circ. J. 2022, 52, 721–736. [Google Scholar] [CrossRef]
- Vinayak, M.; Leone, P.P.; Tanner, R.; Dhulipala, V.; Camaj, A.; Makhija, R.R.K.; Hooda, A.; Kini, A.S.; Sharma, S.K.; Khera, S. Transcatheter Aortic Valve Replacement: Current Status and Future Indications. J. Clin. Med. 2024, 13, 373. [Google Scholar] [CrossRef]
- Cribier, A. Development of transcatheter aortic valve implantation (TAVI): A 20-year odyssey. Arch. Cardiovasc. Dis. 2012, 105, 146–152. [Google Scholar] [CrossRef]
- Elbaz-Greener, G.; Rozen, G.; Kusniec, F.; Marai, I.; Carasso, S.; Ko, D.T.; Wijeysundera, H.C.; Alcalai, R.; Planer, D.; Amir, O. Comparing Trajectory of Surgical Aortic Valve Replacement in the Early vs. Late Transcatheter Aortic Valve Replacement Era. Front. Cardiovasc. Med. 2021, 8, 680123. [Google Scholar] [CrossRef] [PubMed]
- Avvedimento, M.; Nuche, J.; Farjat-Pasos, J.I.; Rodés-Cabau, J. Bleeding Events after Transcatheter Aortic Valve Replacement. J. Am. Coll. Cardiol. 2023, 81, 684–702. [Google Scholar] [CrossRef] [PubMed]
- Geile, J.; Doberentz, E.; Madea, B. Rapid development of an iatrogenic aortic dissection following transcatheter aortic valve implantation. Forensic Sci. Med. Pathol. 2020, 16, 335–339. [Google Scholar] [CrossRef] [PubMed]
- Chaudhry, M.A.; Sardar, M.R. Vascular complications of transcatheter aortic valve replacement: A concise literature review. World J. Cardiol. 2017, 9, 574–582. [Google Scholar] [CrossRef] [PubMed]
- Rujirachun, P.; Junyavoraluk, A.; Jakrapanichakul, D.; Wongpraparut, N.; Chunhamaneewat, N.; Maneesai, A.; Sakiyalak, P. Immediate aortic dissection after transcatheter aortic valve replacement: A case report and review of the literature. Clin. Case Rep. 2021, 9, e04412. [Google Scholar] [CrossRef] [PubMed]
- de Agustin, J.A.; Jiménez-Quevedo, P.; Nombela-Franco, L.; Almeria, C.; de Diego, J.J.G.; Rodrigo, J.L.; Marcos-Alberca, P.; Mahia, P.; Nuñez-Gil, I.J.; de Isla, L.P.; et al. Descending Aorta Rupture During Transcatheter Aortic Valve Replacement. Circulation 2016, 133, e14–e17. [Google Scholar] [CrossRef] [PubMed][Green Version]
- Sardar, M.R.; Goldsweig, A.M.; Abbott, J.D.; Sharaf, B.L.; Gordon, P.C.; Ehsan, A.; Aronow, H.D. Vascular complications associated with transcatheter aortic valve replacement. Vasc. Med. 2017, 22, 234–244. [Google Scholar] [CrossRef] [PubMed]
- Jiritano, F.; Serraino, G.F.; Sorrentino, S.; Napolitano, D.; Costa, D.; Ielapi, N.; Bracale, U.M.; Mastroroberto, P.; Andreucci, M.; Serra, R. Risk of Bleeding in Elderly Patients Undergoing Transcatheter Aortic Valve Implantation or Surgical Aortic Valve Replacement. Prosthesis 2024, 6, 175–185. [Google Scholar] [CrossRef]
- Angellotti, D.; Manzo, R.; Castiello, D.S.; Molaro, M.I.; Mariani, A.; Iapicca, C.; Nappa, D.; Simonetti, F.; Avvedimento, M.; Leone, A.; et al. Echocardiographic Evaluation after Transcatheter Aortic Valve Implantation: A Comprehensive Review. Life 2023, 13, 1079. [Google Scholar] [CrossRef] [PubMed]
- Cavero, M.Á. Papel del ecocardiograma en la implantación de prótesis aórtica transcatéter. Cirugía Cardiovasc. 2010, 17, 369–374. [Google Scholar] [CrossRef][Green Version]
- Evangelista, A.; González-Alujas, T.; Cuellar, H.; Gutiérrez, L. Papel de las técnicas de imagen en el TAVI. ¿La técnica utilizada influye en los resultados? Rev. Española Cardiol. Supl. 2015, 15, 10–16. [Google Scholar] [CrossRef]
- Hynes, C.; Greenberg, M.; Sarin, S.; Trachiotis, G. Chronic Type A Aortic Dissection. Aorta 2016, 4, 16–21. [Google Scholar] [CrossRef] [PubMed]
- Westenfield, K.; Mackey-Bojack, S.; Wang, Y.L.; Harris, K.M. Iatrogenic aortic dissection of the descending aorta after percutaneous coronary intervention. Br. J. Cardiol. 2022, 29, 77–78. [Google Scholar]
- Thieme, M.; Moebius-Winkler, S.; Franz, M.; Baez, L.; Schulze, C.P.; Butter, C.; Edlinger, C.; Kretzschmar, D. Interventional Treatment of Access Site Complications During Transfemoral TAVI: A Single Center Experience. Front. Cardiovasc. Med. 2021, 8, 725079. [Google Scholar] [CrossRef] [PubMed]
- Nasser, M.M.; Nassif, B.S.; Eldessoki, M.H.; Elsamadoni, A.; Balboula, A.M. Supra-aortic debranching as a preliminary surgery prior to aortic endografting in patients with type B aortic dissection: Immediate-term and short-term outcomes. Egypt. J. Surg. 2023, 42, 192–199. [Google Scholar] [CrossRef]



Disclaimer/Publisher’s Note: The statements, opinions and data contained in all publications are solely those of the individual author(s) and contributor(s) and not of MDPI and/or the editor(s). MDPI and/or the editor(s) disclaim responsibility for any injury to people or property resulting from any ideas, methods, instructions or products referred to in the content. |
© 2024 by the authors. Licensee MDPI, Basel, Switzerland. This article is an open access article distributed under the terms and conditions of the Creative Commons Attribution (CC BY) license (https://creativecommons.org/licenses/by/4.0/).
Share and Cite
Thorne-Vélez, H.; Tolstano Gleiser, A.; Morales, I.M.; Thorne-Velez, A.M.; Penaloza Barrios, N.; Vasquez, M.J.; Daza Reatiga, W. Staged Hybrid Treatment of Acute Type B Complicated Aortic and External Iliac Artery Dissection and Femoral Occlusion after Transcatheter Aortic Valve Implantation. Complications 2024, 1, 37-42. https://doi.org/10.3390/complications1020007
Thorne-Vélez H, Tolstano Gleiser A, Morales IM, Thorne-Velez AM, Penaloza Barrios N, Vasquez MJ, Daza Reatiga W. Staged Hybrid Treatment of Acute Type B Complicated Aortic and External Iliac Artery Dissection and Femoral Occlusion after Transcatheter Aortic Valve Implantation. Complications. 2024; 1(2):37-42. https://doi.org/10.3390/complications1020007
Chicago/Turabian StyleThorne-Vélez, Hernando, Axel Tolstano Gleiser, Isaac Mendoza Morales, Ana Maria Thorne-Velez, Natalia Penaloza Barrios, Manuela Jaramillo Vasquez, and William Daza Reatiga. 2024. "Staged Hybrid Treatment of Acute Type B Complicated Aortic and External Iliac Artery Dissection and Femoral Occlusion after Transcatheter Aortic Valve Implantation" Complications 1, no. 2: 37-42. https://doi.org/10.3390/complications1020007
APA StyleThorne-Vélez, H., Tolstano Gleiser, A., Morales, I. M., Thorne-Velez, A. M., Penaloza Barrios, N., Vasquez, M. J., & Daza Reatiga, W. (2024). Staged Hybrid Treatment of Acute Type B Complicated Aortic and External Iliac Artery Dissection and Femoral Occlusion after Transcatheter Aortic Valve Implantation. Complications, 1(2), 37-42. https://doi.org/10.3390/complications1020007

