Postoperative Intestinal Intussusception in Polytraumatized Adult Patient: A Case Report
Abstract
1. Introduction
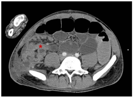
2. Case Report
3. Discussion
4. Conclusions
Author Contributions
Funding
Institutional Review Board Statement
Informed Consent Statement
Data Availability Statement
Conflicts of Interest
Correction Statement
References
- Aguirre, F.; Silva, Á.; Parra, P.; Salcedo, D.; López, P.; Acevedo, Y. Intussusception as cause of intestinal obstruction in the adult: A challenge for surgeons. Rev. Colomb. Cir. 2019, 34, 79–86. [Google Scholar] [CrossRef]
- Guillén, M.P.; Campillo, A.; Martín, J.G.; Torralba, J.A.; Mengual, M.; Cases, M.J.; Aguayo-Albasini, J.L. Adult intussusception—14 case reports and their outcomes. Rev. Esp. Enferm. Dig. 2010, 102, 32–36. [Google Scholar]
- Baldin, A.V.; De Rungs, B.D.R.; Ruiz, G.M.; Azcoitia, M.F. Intussusception in adults. Acta Med. 2014, 12, 137–140. [Google Scholar]
- Ludvigsson, J.F.; Nordenskjöld, A.; Murray, J.A.; Olén, O. A large nationwide population based case control study of the association between intussusception and later celiac disease. BMC Gastroenterol. 2013, 13, 89. [Google Scholar] [CrossRef] [PubMed]
- Erkan, N.; Haciyanli, M.; Yildirim, M.; Sayhan, H.; Vardar, E.; Polat, A.F. Intussusception in adults: An unusual and challenging condition for surgeons. Int. J. Colorectal Dis. 2005, 20, 452–456. [Google Scholar] [CrossRef] [PubMed]
- Shenoy, S.; Cassim, R. Metastatic melanoma to the gastrointestinal tract: Role of surgery as palliative treatment. West. Virginia Med. J. 2013, 109, 30–33. [Google Scholar]
- Azar, T.; Berger, D.L. Adult intussusception. Ann. Surg. 1997, 226, 134–138. [Google Scholar] [CrossRef] [PubMed]
- Gayer, G.; Zissin, R.; Apter, S.; Papa, M.; Hertz, M. Pictorial review: Adult intussusception a CT diagnosis. Br. J. Radiol. 2002, 75, 185–190. [Google Scholar] [CrossRef] [PubMed]
- Park, S.B.; Ha, H.K.; Kim, A.Y.; Lee, S.S.; Kim, H.J.; Park, B.J.; Jin, Y.H.; Park, S.H.; Kim, K.W. The diagnostic role of abdominal CT imaging findings in adults intussusception: Focused on the vascular compromise. Eur. J. Radiol. 2007, 62, 406–415. [Google Scholar] [CrossRef] [PubMed]
- Takeuchi, K.; Tsuzuki, Y.; Ando, T.; Sekihara, M.; Hara, T.; Kori, T.; Kuwano, H. The diagnosis and treatment of adult intussusception. J. Clin. Gastroenterol. 2003, 36, 18–21. [Google Scholar] [CrossRef] [PubMed]
- Ishibashi, Y.; Yamamoto, S.; Yamada, Y.; Fujita, S.; Akasu, T.; Moriya, Y. Laparoscopic resection for malignant lymphoma of the ileum causing ileocecal intussusception. Surg. Laparosc. Endosc. Percutan Tech. 2007, 17, 444–446. [Google Scholar] [CrossRef] [PubMed]
- Fisher, J.G.; Sparks, E.A.; Turner, C.G.; Klein, J.D.; Pennington, E.; Khan, F.A.; Zurakowski, D.; Durkin, E.T.; Fauza, D.O.; Modi, B.P. Operative indications in recurrent ileocolic intussusception. J. Pediatr. Surg. 2015, 50, 126–130. [Google Scholar] [CrossRef] [PubMed]


Disclaimer/Publisher’s Note: The statements, opinions and data contained in all publications are solely those of the individual author(s) and contributor(s) and not of MDPI and/or the editor(s). MDPI and/or the editor(s) disclaim responsibility for any injury to people or property resulting from any ideas, methods, instructions or products referred to in the content. |
© 2024 by the authors. Licensee MDPI, Basel, Switzerland. This article is an open access article distributed under the terms and conditions of the Creative Commons Attribution (CC BY) license (https://creativecommons.org/licenses/by/4.0/).
Share and Cite
Jaimes González, C.V.; Pereira Velásquez, M.J.; Unigarro Villota, J.P.; Mora Lozada, A.P. Postoperative Intestinal Intussusception in Polytraumatized Adult Patient: A Case Report. Complications 2024, 1, 32-36. https://doi.org/10.3390/complications1020006
Jaimes González CV, Pereira Velásquez MJ, Unigarro Villota JP, Mora Lozada AP. Postoperative Intestinal Intussusception in Polytraumatized Adult Patient: A Case Report. Complications. 2024; 1(2):32-36. https://doi.org/10.3390/complications1020006
Chicago/Turabian StyleJaimes González, Claudia Viviana, María José Pereira Velásquez, Juan Pablo Unigarro Villota, and Adriana Patricia Mora Lozada. 2024. "Postoperative Intestinal Intussusception in Polytraumatized Adult Patient: A Case Report" Complications 1, no. 2: 32-36. https://doi.org/10.3390/complications1020006
APA StyleJaimes González, C. V., Pereira Velásquez, M. J., Unigarro Villota, J. P., & Mora Lozada, A. P. (2024). Postoperative Intestinal Intussusception in Polytraumatized Adult Patient: A Case Report. Complications, 1(2), 32-36. https://doi.org/10.3390/complications1020006

