Next Issue
Volume 4, March
Previous Issue
Volume 3, September
 
 

Lymphatics, Volume 3, Issue 4 (December 2025) – 21 articles

  • Issues are regarded as officially published after their release is announced to the table of contents alert mailing list.
  • You may sign up for e-mail alerts to receive table of contents of newly released issues.
  • PDF is the official format for papers published in both, html and pdf forms. To view the papers in pdf format, click on the "PDF Full-text" link, and use the free Adobe Reader to open them.
Order results
Result details
Select all
Export citation of selected articles as:
1 pages, 131 KB  
Correction
Correction: Al-Maghrabi et al. T-Cells Rich Classical Hodgkin Lymphoma, a Pathology Diagnostic Pitfall for Nodular Lymphocyte-Predominant Hodgkin Lymphoma; Case Series and Review. Lymphatics 2024, 2, 168–176
by Haneen Al-Maghrabi, Ghadeer Mokhtar and Ahmed Noorsaeed
Lymphatics 2025, 3(4), 49; https://doi.org/10.3390/lymphatics3040049 - 18 Dec 2025
Viewed by 386
Abstract
In the original publication [...] Full article
13 pages, 1426 KB  
Article
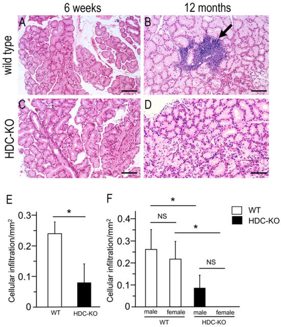
Histamine Deficiency Inhibits Lymphocyte Infiltration in the Lacrimal Gland of Aged Mice
by Hirotada Otsuka, Yusuke Tsunoyama, Miki Koh, Satoshi Soeta and Naoko Nonaka
Lymphatics 2025, 3(4), 48; https://doi.org/10.3390/lymphatics3040048 - 17 Dec 2025
Viewed by 503
Abstract
Aging is associated with chronic low-grade inflammation of exocrine glands, such as the lacrimal glands. Histamine, synthesized by histidine decarboxylase (HDC), is implicated in immune modulation; however, its role in age-related lacrimal gland inflammation remains unclear. To explore the role of histamine in [...] Read more.
Aging is associated with chronic low-grade inflammation of exocrine glands, such as the lacrimal glands. Histamine, synthesized by histidine decarboxylase (HDC), is implicated in immune modulation; however, its role in age-related lacrimal gland inflammation remains unclear. To explore the role of histamine in age-related lacrimal gland inflammation, we compared wild-type and histidine decarboxylase knockout (HDC-KO) C57BL/6 mice at 6 weeks and 12 months of age (10 males and 10 females in each group). Histological and immunohistochemical analyses were performed to assess lymphocytic infiltration, mast cells, and the expression of cytokines and adhesion molecules. Gene expression levels were quantified using reverse transcriptase quantitative PCR (RT-qPCR). Aged wild-type mice showed significant upregulation of mRNA transcription of HDC and histamine H1 receptor, along with increased infiltration of B220-positive B cells and CD3-positive T cells in the lacrimal gland. The mRNA expression levels of pro-inflammatory cytokines (TNF-α, IL-1β, and IL-6) and ICAM-1 were elevated with age, whereas these changes were attenuated in HDC-KO mice. The mRNA expression of PPARγ, an anti-inflammatory factor, was upregulated in the aged HDC-KO mice. Mast cell numbers increased with age but did not differ according to sex. These findings suggest that histamine, via HDC and H1 receptor signaling, contributes to age-associated lacrimal gland inflammation by enhancing cytokine and ICAM-1 expression. HDC deficiency suppresses this inflammatory response, potentially through the upregulation of PPARγ. Thus, histamine may be a key mediator of age-related inflammation in the lacrimal gland and a potential therapeutic target. Full article
Show Figures

Figure 1

8 pages, 559 KB  
Commentary
Functional Intraclonal Heterogeneity in Chronic Lymphocytic Leukemia: Proliferation vs. Quiescence
by Daniel Friedman, Piers E. M. Patten and Robbert Hoogeboom
Lymphatics 2025, 3(4), 47; https://doi.org/10.3390/lymphatics3040047 - 17 Dec 2025
Viewed by 762
Abstract
Chronic lymphocytic leukemia (CLL) is an indolent malignancy with modest proliferation in the lymph nodes and accumulation of quiescent B cells in the peripheral blood. Targeted agents, including BTK inhibitors such as ibrutinib and the BCL2 antagonist venetoclax, have transformed therapy by disrupting [...] Read more.
Chronic lymphocytic leukemia (CLL) is an indolent malignancy with modest proliferation in the lymph nodes and accumulation of quiescent B cells in the peripheral blood. Targeted agents, including BTK inhibitors such as ibrutinib and the BCL2 antagonist venetoclax, have transformed therapy by disrupting proliferation, survival, and lymph node retention of CLL cells, yet CLL remains incurable. Recent studies reveal that CLL cells exist along a spectrum of proliferating, activated, and quiescent states, with dynamic transitions that shape intraclonal behavior. Whilst proliferation occurs mainly in lymph nodes, most emigrant cells in the peripheral blood become quiescent, with only a minority remaining activated. Quiescent, activated, and proliferating fractions display distinct phenotypes and CXCR4 and CD5 levels can be used to distinguish these states in the CLL life cycle. While proliferating and activated cells are more susceptible to BTK inhibition, quiescent subsets show greater sensitivity to BCL2 blockade. These functional differences, together with emerging evidence that phenotypic markers may correlate with residual disease activity, point to potential translational significance. Understanding how CLL cells switch between proliferative, activated and quiescent states will be important to uncover novel vulnerabilities and inform rational treatment strategies. Full article
(This article belongs to the Special Issue Chronic Lymphocytic Leukemia (CLL): From Benchside to Bedside)
Show Figures

Figure 1

10 pages, 239 KB  
Review
In Utero Treatment of Lymphatic Malformations: A Narrative Review of the Literature, Considerations, and Future Directions
by Elizabeth Reynolds, David Rosas, Emily Byrd and Diana L. Farmer
Lymphatics 2025, 3(4), 46; https://doi.org/10.3390/lymphatics3040046 - 12 Dec 2025
Viewed by 1136
Abstract
Lymphatic malformations are rare congenital anomalies that range from small, self-limited lesions to large, rapidly expanding masses capable of causing serious perinatal complications, including hydrops fetalis, polyhydramnios, airway obstruction, and fetal demise. Although most lesions are managed expectantly or postnatally, in utero interventions [...] Read more.
Lymphatic malformations are rare congenital anomalies that range from small, self-limited lesions to large, rapidly expanding masses capable of causing serious perinatal complications, including hydrops fetalis, polyhydramnios, airway obstruction, and fetal demise. Although most lesions are managed expectantly or postnatally, in utero interventions have been attempted in highly select cases where lesions threaten pregnancy viability or safety of delivery. Reported approaches include the perinatal option of ex utero intrapartum therapy, intrauterine ultrasound-guided cyst aspiration for decompression, intrauterine intralesional sclerotherapy with agents such as OK-432, and more recently, maternal pharmacologic therapy targeting the mTOR pathways. This review summarizes the available literature describing prenatal management of these lesions, including procedural techniques, maternal and fetal outcomes, and emerging strategies. Together, these findings highlight the potential promise and the caution necessary in translating postnatal therapeutic advances for lymphatic malformations to the prenatal setting. Full article
17 pages, 873 KB  
Article
The Role of Daily Activity in Risk and Survival Outcomes for Chronic Lymphocytic Leukemia Patients: Baseline Insights from the ADRENALINE Pilot Study
by Pedro Cunha, Ricardo Ribeiro, Andreia Pizarro, Jorge Mota and José Carlos Ribeiro
Lymphatics 2025, 3(4), 45; https://doi.org/10.3390/lymphatics3040045 - 9 Dec 2025
Cited by 1 | Viewed by 870
Abstract
The ADRENALINE pilot study explores the role of physical activity in health outcomes among patients with Chronic Lymphocytic Leukemia (CLL), focusing on disease markers, functional capacity, immune parameters, and quality of life. This baseline analysis includes treatment-naïve participants enrolled between September 2023 and [...] Read more.
The ADRENALINE pilot study explores the role of physical activity in health outcomes among patients with Chronic Lymphocytic Leukemia (CLL), focusing on disease markers, functional capacity, immune parameters, and quality of life. This baseline analysis includes treatment-naïve participants enrolled between September 2023 and August 2024, prior to randomization. Eleven patients (aged 47–78 years) underwent assessments of body composition, cardiovascular fitness, muscular strength, and immune profiling. Quality of life was evaluated using validated questionnaires (FACIT-F, EORTC QLQ-30/CLL17), and daily activity was objectively measured via accelerometry. Correlation analyses examined associations between physical activity, muscle strength, lean mass, and physical aptitude. Despite high self-reported physical function, participants demonstrated suboptimal body composition and cardiovascular fitness. Accelerometry revealed marked sedentary behavior, particularly among females, and overall activity levels were below current recommendations. Moderate-to-vigorous physical activity correlated positively with muscular strength and lean mass. Immune profiling identified a variability in key markers, warranting further investigation of their relationship with physical activity. These findings highlight the need for tailored interventions to increase activity and reduce sedentary time in CLL patients and support incorporating functional and immune monitoring into survivorship care. Full article
(This article belongs to the Special Issue Chronic Lymphocytic Leukemia (CLL): From Benchside to Bedside)
Show Figures

Figure 1

1 pages, 135 KB  
Correction
Correction: Ramos Peñafiel et al. Effect of ABCB1 Expression on Measurable Residual Disease in Adult Patients with Acute Lymphoblastic Leukemia. Lymphatics 2025, 3, 6
by Christian Omar Ramos Peñafiel, Adolfo Martínez Tovar, Daniela Pérez Sámano, Rafael Cerón Maldonado, Adán Germán Gallardo Rodríguez, Carlos Martínez Murillo and Irma Olarte Carrillo
Lymphatics 2025, 3(4), 44; https://doi.org/10.3390/lymphatics3040044 - 8 Dec 2025
Viewed by 328
Abstract
In the original publication [...] Full article
11 pages, 1719 KB  
Review
Lymphatic Spread of Non-Small-Cell Lung Cancer: Mechanisms, Patterns, Staging, and Diagnosis
by Mohamed Salih Makawi, Stephen Ciaccio, Asad Khan, Alireza Nathani and Ronaldo Ortiz-Pacheco
Lymphatics 2025, 3(4), 43; https://doi.org/10.3390/lymphatics3040043 - 3 Dec 2025
Viewed by 2159
Abstract
Lung cancer is the leading cause of cancer-related death worldwide. Lymph node involvement affects staging and, therefore, prognosis. Understanding lymph node drainage, metastatic patterns, and different sampling techniques contributes to the overall care of lung cancer patients. Non-small-cell lung cancer is the most [...] Read more.
Lung cancer is the leading cause of cancer-related death worldwide. Lymph node involvement affects staging and, therefore, prognosis. Understanding lymph node drainage, metastatic patterns, and different sampling techniques contributes to the overall care of lung cancer patients. Non-small-cell lung cancer is the most common type of lung cancer; appropriate staging is vital to determine treatment modalities which includes surgery, radiation therapy, chemotherapy, or a combination of these. In this review, we aim to describe the pathogenesis of lymph node metastasis, current guidelines for lymph node sampling, patterns of lymph node spread, new and novel lymph node sampling techniques, and their diagnostic yields. Full article
Show Figures

Figure 1

14 pages, 3153 KB  
Case Report
Indocyanine Green-Guided Lymphatic Sparing Surgery for Lipedema: A Case Series
by Michael Mazarei, Shayan Mohammad Sarrami, Darya Fadavi, Meeti Mehta, Anna Bazell and Carolyn De La Cruz
Lymphatics 2025, 3(4), 42; https://doi.org/10.3390/lymphatics3040042 - 2 Dec 2025
Viewed by 1419
Abstract
Background: Lipedema is a progressive adipofascial disorder marked by painful nodular fat deposition that is often mistaken for obesity. While tumescent liposuction reduces limb volume with relative lymphatic safety, persistent large, painful lobules frequently remain, and excisional strategies risk iatrogenic lymphatic injury. We [...] Read more.
Background: Lipedema is a progressive adipofascial disorder marked by painful nodular fat deposition that is often mistaken for obesity. While tumescent liposuction reduces limb volume with relative lymphatic safety, persistent large, painful lobules frequently remain, and excisional strategies risk iatrogenic lymphatic injury. We evaluated the application of intraoperative indocyanine green (ICG) lymphography to identify and preserve lymphatic channels during debulking surgery for symptomatic lipedema. Methods: We conducted a single-center case series (University of Pittsburgh Medical Center, July 2023–December 2024) of adults with lipedema refractory to conservative therapy who underwent a selective dermato-lipectomy (lobule/skin excision) with or without tumescent liposuction. Patients with clinical lymphedema or dermal backflow in ICG were excluded. Near-infrared ICG (SPY-PHI) was used for pre-incision mapping and real-time intraoperative guidance; lymphatic trajectories were marked and spared during lobule excision. Primary measures included dermal backflow patterns and lymph node transit time; secondary outcomes were complications and symptom burden (Lymphedema Life Impact Scale, LLIS) through ≥24 months. Results: Eight patients (five female/three male; mean age 49.5 ± 14.4 years; median BMI 52.65 kg/m2) underwent ICG-guided surgery. Preoperatively, linear lymphatic patterns were visualized up to the knee in all patients, but dermal backflow patterns could not be visualized in 83% from the level of the knee to the groin. Still, 67% demonstrated inguinal nodal uptake (mean transit 24 min), suggesting preserved lymphatic transport. All cases achieved intraoperative confirmation of intact lymphatic flow after debulking. The mean liposuction aspirate was 925 ± 250 mL per lower extremity; the mean excision mass was 2209 ± 757 g per lower extremity. Complications included two superficial cellulitis events (25%) and one wound dehiscence (12.5%); no hematomas or skin necrosis occurred. No patient developed clinical or imaging evidence of iatrogenic lymphedema during follow-up. Conclusions: Intraoperative ICG lymphography is a practical adjunct for lymphatic-sparing debulking of symptomatic lipedema, enabling real-time identification and preservation of superficial collectors while addressing focal lobules. This hybrid approach—targeted tumescent liposuction followed by ICG-guided superficial dermato-lipectomy—was associated with meaningful symptom improvement and a low morbidity in this early series. Full article
Show Figures

Figure 1

18 pages, 2934 KB  
Review
Indolent T- and Natural Killer-Cell Lymphomas and Lymphoproliferative Diseases—Entities in Evolution
by Chi Sing Ng
Lymphatics 2025, 3(4), 41; https://doi.org/10.3390/lymphatics3040041 - 29 Nov 2025
Viewed by 1005
Abstract
Indolent lymphoproliferative diseases or disorders (LPDs) derived from T cells or Natural Killer (NK) cells may be neoplastic or non-neoplastic, which are often difficult to distinguish from each other and from their aggressive counterparts. The etiology and pathogenesis are mostly nebulous and may [...] Read more.
Indolent lymphoproliferative diseases or disorders (LPDs) derived from T cells or Natural Killer (NK) cells may be neoplastic or non-neoplastic, which are often difficult to distinguish from each other and from their aggressive counterparts. The etiology and pathogenesis are mostly nebulous and may be related to infections or immune dysfunction. Indolent lymphomas differ from the high-grade aggressive counterparts by a prolonged clinical course of persistent or relapsing disease, histology, immunophenotype, and genetics. In recent decades, indolent lymphomas or LPD of T or NK cell derivation have been increasingly recognized, causing diagnostic and nosologic confusion. The issue is particularly challenging in the arena of indolent intestinal lymphomas and LPD, as evidenced by the myriad of names given to the indolent intestinal T- and NK-cell lymphomas and LPD. Confounding the picture are also reports of Epstein–Barr virus (EBV) positivity in various indolent non-intestinal LPD and, rarely, even in indolent intestinal T-cell lymphoma, which have been widely accepted to be typically EBV-negative. This review aims to curate current information and understanding of these diseases with the goal of resolving these issues. The recently described indolent T-lymphoblastic proliferation (iTLBP) and the re-classified indolent primary cutaneous CD4-positive small or medium T-cell LPDs and primary cutaneous acral CD8-positive T-cell LPDs also require greater awareness and recognition. It is important to diagnose these indolent entities in order to avoid over-treatment and unnecessary therapeutic intervention and to provide for accurate prognostic prediction and appropriate follow-up. Full article
(This article belongs to the Special Issue Indolent Lymphomas and Lymphoreticular Proliferative Diseases)
Show Figures

Graphical abstract

7 pages, 18936 KB  
Case Report
Reactive Intravascular B-Cell Immunoblastic Proliferation: A Recently Described Entity and a Mimicker of Intravascular Lymphoma
by Nicolas Ulrich Edgar, Seodam Kwak, Kelsey Baron, Archana Agarwal, Anton Rets and Anna Shestakova
Lymphatics 2025, 3(4), 40; https://doi.org/10.3390/lymphatics3040040 - 26 Nov 2025
Viewed by 766
Abstract
Reactive intralymphovascular immunoblastic proliferation (ILVIP) is a rare and diagnostically challenging entity that can closely mimic intravascular large B-cell lymphoma (IVLBCL). We report the comprehensive clinicopathologic features of two patients with B-cell lineage ILVIP identified in bowel resection specimens. Both patients presented with [...] Read more.
Reactive intralymphovascular immunoblastic proliferation (ILVIP) is a rare and diagnostically challenging entity that can closely mimic intravascular large B-cell lymphoma (IVLBCL). We report the comprehensive clinicopathologic features of two patients with B-cell lineage ILVIP identified in bowel resection specimens. Both patients presented with small bowel obstruction requiring surgical intervention, and one patient was initially erroneously diagnosed with IVLBCL. Neither patient had systemic findings suggestive of lymphoma, such as lymphadenopathy, hepatosplenomegaly, or B symptoms. Histologic evaluation demonstrated focal ILVIP composed of intermediate-to-large B-lineage immunoblasts positive for CD45, CD79a, and MUM1 with polytypic light-chain expression, and negative for CD20, PAX5, CD138, Epstein–Barr virus, and HHV8. The immunoblasts showed a high proliferation index (80–100%) in both cases. Recognition of ILVIP in specimens resected for bowel obstruction in otherwise healthy patients is essential to avoid misinterpretation as intravascular lymphoma and prevent unnecessary treatment. Full article
Show Figures

Figure 1

1 pages, 132 KB  
Correction
Correction: Aoki et al. Specific Position of the Pulmonary Hilar Node in Cancer Immunity: Immunohistochemical and Morphometrical Study Using Lung Regional Nodes Obtained from Non-Small Cell Cancer Patients Without Metastasis. Lymphatics 2025, 3, 13
by Masaya Aoki, Go Kamimura, Aya Harada-Takeda, Toshiyuki Nagata, Gen Murakami and Kazuhiro Ueda
Lymphatics 2025, 3(4), 39; https://doi.org/10.3390/lymphatics3040039 - 24 Nov 2025
Viewed by 368
Abstract
In the original publication [...] Full article
14 pages, 1149 KB  
Review
Use of Adult T-Cell Leukemia/Lymphoma Cell Lines in a Novel Proteomic Approach for Clarifying the Function of Human Proteins of Unknown Function
by Yasuhiro Tonoyama and Yo-ichi Ishida
Lymphatics 2025, 3(4), 38; https://doi.org/10.3390/lymphatics3040038 - 22 Nov 2025
Viewed by 820
Abstract
Clarifying the function of approximately 20,000 proteins encoded by the human genome is a key challenge in the fields of medicine and biology. However, many proteins remain uncharacterized. In this review, we introduce a challenge that uses adult T-cell leukemia/lymphoma (ATL) and proteomics [...] Read more.
Clarifying the function of approximately 20,000 proteins encoded by the human genome is a key challenge in the fields of medicine and biology. However, many proteins remain uncharacterized. In this review, we introduce a challenge that uses adult T-cell leukemia/lymphoma (ATL) and proteomics to study human proteins of unknown function (PUFs). The characteristic properties of ATL cells are as follows: ATL cells (1) are infected with virus, (2) are derived from CD4+ T cells, (3) are generated via multi-stage carcinogenesis, (4) have flower-like nuclei, and (5) are highly infiltrative in the aggressive type. Given that ATL cells have contributed to impressive basic research, such as the discovery of HTLV-1 as a human cancer virus and interleukin-2 (IL-2) receptor α chain (IL-2Rα)/CD25, which is used for identifying regulatory T (Treg) cells, ATL cell lines could still be considered an attractive research tool. Furthermore, the “Unknome database” is useful for examining function-unknown degrees of proteins of interest using known scores based on Gene Ontology (GO) annotations and protein analysis through evolutionary relationships (PANTHER). Combining ATL proteomic data obtained by us with the “Unknome database” is expected to contribute not only to investigating the pathogenetic mechanism of ATL but also to clarifying the functions of PUFs. Full article
Show Figures

Figure 1

33 pages, 751 KB  
Review
Rewiring the Lymphatic Landscape: Disorders, Remodeling, and Cancer Progression
by Sudeep Kumar, Ujjwal Adhikari and Brijendra Singh
Lymphatics 2025, 3(4), 37; https://doi.org/10.3390/lymphatics3040037 - 18 Nov 2025
Viewed by 2740
Abstract
The lymphatic system is essential for maintaining the body’s fluid balance, lipid absorption, and immune regulation. The dysfunction of the lymphatic system is associated with a wide spectrum of disorders. These disorders include primary and secondary lymphedema, congenital malformations, and lymphatic neoplasms. In [...] Read more.
The lymphatic system is essential for maintaining the body’s fluid balance, lipid absorption, and immune regulation. The dysfunction of the lymphatic system is associated with a wide spectrum of disorders. These disorders include primary and secondary lymphedema, congenital malformations, and lymphatic neoplasms. In cancer patients, lymphatic remodeling is essential, which facilitates tumor progression and metastasis, while tertiary lymphoid structures (TLSs) develop during chronic inflammation and may be involved in anti-tumor immunity. This review highlights the immunological basis of lymphatic disorders, with a particular focus on cellular and molecular biomarkers that define disease states. The recent advances in molecular imaging techniques, such as ultrasonography (US), computed tomography (CT), and magnetic resonance lymphography (MRL), have improved and identified the diagnosis and therapeutic targets for lymphedema. Moreover, nanobiotechnology and nano-delivery tools have further enhanced the visibility of cancer cells by imaging. Artificial Intelligence (AI) in lymphatic systems have offered a new spectrum for disease prediction using forms of AI such as natural language processing (NLP), machine learning (ML), robotics-assisted approaches, fussy model (FM), and natural language processing (NLP)-based algorithms. Collectively, these advanced tools have improved diagnostic approaches and reveal exciting opportunities for future research and new therapeutic developments in patient care. Full article
Show Figures

Figure 1

12 pages, 3047 KB  
Article
Differentiating Afferent Lymphatic Channels Using a Dual-Dye Technique During Immediate Lymphatic Reconstruction
by Meeti Mehta, Michael Mazarei, Shayan Mohammad Sarrami and Carolyn De La Cruz
Lymphatics 2025, 3(4), 36; https://doi.org/10.3390/lymphatics3040036 - 27 Oct 2025
Viewed by 687
Abstract
Introduction: Axillary reverse mapping (ARM) aims to reduce the risk of breast cancer-related lymphedema (BCRL) by preserving and limiting dissection of arm-draining lymphatics. The ideal type of dye and the location of injection, which maximize the sparing of lymphatics and improve outcomes of [...] Read more.
Introduction: Axillary reverse mapping (ARM) aims to reduce the risk of breast cancer-related lymphedema (BCRL) by preserving and limiting dissection of arm-draining lymphatics. The ideal type of dye and the location of injection, which maximize the sparing of lymphatics and improve outcomes of immediate lymphatic reconstruction (ILR), remain under-studied. The current literature reports inconsistent visualization of lymphatics using blue dye alone, whereas indocyanine green (ICG) near-infrared (NIR) lymphography has shown improved rates. However, optimized dual-dye workflows integrating breast–plastics co-surgery are lacking. Methods: A retrospective review of patients who underwent ILR following ALND for breast cancer between June 2021 and June 2023 was conducted. Patients who underwent ARM using our dual-dye technique were included, utilizing intradermal injections of indocyanine green (ICG) into the wrist and isosulfan blue (ISB) into the upper arm. Axillary reverse mapping channels were categorized by the type of dye used to visualize. Dye injection site, number of lymphatic channels visualized, channel diameter (mm), time-to-first channel, coordinates relative to fixed landmarks, ILR configuration, and pathologic findings were reviewed. Mann–Whitney U tests were used to compare channel visualization rates between types of dye. Results: Of 26 patients, 21 underwent dual-dye mapping and were included. A total of 115 ARM channels were identified: 99 (86%) via ICG and 29 (25%) via ISB. A total of 64 lymphaticovenous anastomoses were performed (mean: 2.46 per patient). Both dyes were identified in the axilla in only 11.7% of patients. At the end of the study, the lymphedema rate was 12%. Conclusions: We developed a reproducible dual-dye ARM technique for ALND with planned ILR, reducing lymphedema risk while maintaining oncologic safety. Dual-dye mapping reveals that proximal and distal lymphatics exhibit both overlapping and divergent drainage to axillary nodes. ICG’s higher axillary detection rate may reflect true anatomical differences or dye properties. These findings support the need for individualized lymphatic mapping during breast cancer surgery to guide preservation techniques and reduce the risk of BCRL. Full article
Show Figures

Figure 1

18 pages, 311 KB  
Review
Physiologic Lymphedema Surgery: Current Treatments and Future Trends
by Ethan L. MacKenzie, Anne Huang, Min-Jeong Cho, Roman J. Skoracki and Rohini L. Kadle
Lymphatics 2025, 3(4), 35; https://doi.org/10.3390/lymphatics3040035 - 20 Oct 2025
Cited by 1 | Viewed by 2858
Abstract
Lymphedema is a chronic, progressive, and debilitating disease of the lymphatic system with no current cure. Physiologic procedures, which address the underlying pathophysiology of lymphatic dysfunction, have gained traction in both treatment and prevention of lymphedema. This narrative review examines current physiologic lymphedema [...] Read more.
Lymphedema is a chronic, progressive, and debilitating disease of the lymphatic system with no current cure. Physiologic procedures, which address the underlying pathophysiology of lymphatic dysfunction, have gained traction in both treatment and prevention of lymphedema. This narrative review examines current physiologic lymphedema surgical techniques and emerging developments in this rapidly evolving field. While the two most common physiologic surgeries remain lymphovenous bypass (LVB) and vascularized lymph node transfer (VLNT), newer physiologic surgery techniques such as vascularized lymph vessel transfer (VLVT) and lymph node to vein anastomosis (LNVA) have been described in an effort to reduce donor site morbidity, with early promising clinical outcomes. The use of bioengineering with stem cells, pro-lymphangiogenic growth factors, and biomaterials such as Biobridge can be applied in conjunction with surgery to help promote lymphangiogenesis. Technological advances in robotic surgical systems and 3D exoscopes are helping to make supermicrosurgery more technically feasible and ergonomic, and increasing accessibility to lymphedema surgery. As our surgical armamentarium expands, treatment algorithms must be updated to determine how various surgical techniques can be combined and sequenced, how the indications for physiologic surgery can be expanded, and how surgical treatment can be tailored to the patient and disease process. Full article
9 pages, 219 KB  
Review
Personalized Frontline Therapy in Diffuse Large B-Cell Lymphoma: Integrating Circulating Tumor DNA for Real-Time Adaptive Treatment Stratification
by Vasisht Karri and Samir Dalia
Lymphatics 2025, 3(4), 34; https://doi.org/10.3390/lymphatics3040034 - 17 Oct 2025
Viewed by 1275
Abstract
This review analyzed approximately 115 peer-reviewed studies published between 2010 and 2025, focusing on molecular subtyping and circulating tumor DNA (ctDNA)-guided approaches in Diffuse Large B-Cell Lymphoma (DLBCL). Evidence was synthesized from retrospective cohorts, prospective clinical trials, and translational studies, highlighting how molecular [...] Read more.
This review analyzed approximately 115 peer-reviewed studies published between 2010 and 2025, focusing on molecular subtyping and circulating tumor DNA (ctDNA)-guided approaches in Diffuse Large B-Cell Lymphoma (DLBCL). Evidence was synthesized from retrospective cohorts, prospective clinical trials, and translational studies, highlighting how molecular heterogeneity, clonal evolution, and the tumor microenvironment complicate classification and treatment. While molecular subtypes such as MCD, BN2, EZB, A53, and ST2 have improved prognostication, their routine use in clinical practice remains limited due to cost, complexity, and restricted access to sequencing platforms. Tumor-informed ctDNA assays show promise for minimal residual disease (MRD) monitoring and adaptive therapy, yet their predictive power for CAR-T therapy, bispecific antibodies, and checkpoint inhibitors is still incompletely understood. Overall, the literature converges on the need for integrated strategies combining ctDNA, molecular subtyping, and immune microenvironment analysis to personalize frontline therapy. Full article
(This article belongs to the Collection Lymphomas)
43 pages, 2880 KB  
Review
Relevance of AKT and RAS Signaling Pathways for Antibody–Drug Conjugate Immunotherapies in Acute Lymphoblastic Leukemia
by Patrick A. H. Ehm and Christoph Rehbach
Lymphatics 2025, 3(4), 33; https://doi.org/10.3390/lymphatics3040033 - 13 Oct 2025
Cited by 2 | Viewed by 2797
Abstract
Acute lymphoblastic leukemia is the most common cause of cancer-related death in children and represents a poor prognosis for patients in high-risk groups. Current treatment protocols are based on intensive polychemotherapy, which is associated with a significant toxicity profile. Due to their higher [...] Read more.
Acute lymphoblastic leukemia is the most common cause of cancer-related death in children and represents a poor prognosis for patients in high-risk groups. Current treatment protocols are based on intensive polychemotherapy, which is associated with a significant toxicity profile. Due to their higher specificity and lower toxicity, immunotherapies based on monoclonal antibodies, in particular antibody–drug conjugates (ADCs), are revolutionizing cancer therapy. However, reports on the potential efficacy of ADC-targeted therapy in ALL and its subgroups are limited. Gene expression data suggest that potentially new ADC antigens are highly abundant in ALL subgroups and represent promising targets for cancer therapy. In addition, the PI3K/AKT and RAS/MAPK signaling pathways are often persistently activated in ALL and recent data showed that active feedback loops following inhibition of these pathways can lead to redundancy of cell surface receptors that can potentially serve as antigens for ADC treatment. Therefore, we provide here an overview of the most interesting receptors of the various ALL subgroups and discuss the influence that feedback loops of the PI3K/AKT and RAS/MAPK signaling pathways may have on increasing protein expression of the aforementioned receptors, which could lead to targeted combination therapy approaches in the future. Full article
Show Figures

Figure 1

1 pages, 150 KB  
Correction
Correction: Koizumi et al. Lipoperoxides as Prognostic Markers in Pediatric B-Acute Lymphocytic Leukemia Patients Undergoing Induction Chemotherapy. Lymphatics 2025, 3, 11
by Bruna Yukie Koizumi, Marina Rayciki Sotomayor, Carolina Coradi, Ana Luiza Goulart Starck, Anna Will Ribeiro, Maikely Bruna Leite, Maria Eduarda Pardal Simonato, Rafael Gomes Paz, Vinicius de Melo Tizzo, Stefania Tagliari Longo, Geise Ellen Broto, Fausto Celso Trigo and Carolina Panis
Lymphatics 2025, 3(4), 32; https://doi.org/10.3390/lymphatics3040032 - 13 Oct 2025
Viewed by 454
Abstract
In the original publication [...] Full article
18 pages, 418 KB  
Review
Gastrointestinal Lymphomas: A Comprehensive Review of Epidemiology, Clinical Features, Diagnosis, Histopathology, and Management
by Vignesh Krishnan Nagesh, Ruchi Bhuju, Ahmed S. Mohammed, Emelyn Martinez, Marina Basta, Deepa Francis, Shraboni Dey, Maggie James, Damien Islek, Sanket Bhattarai, Mohammed A. Saafan, Shruthi Badam and Adam Atoot
Lymphatics 2025, 3(4), 31; https://doi.org/10.3390/lymphatics3040031 - 29 Sep 2025
Viewed by 6750
Abstract
Gastrointestinal (GI) lymphomas are a diverse group of extranodal non-Hodgkin lymphomas primarily affecting the stomach, small intestine, and colon. They present with non-specific symptoms such as abdominal pain, weight loss, or GI bleeding, making early diagnosis challenging. Histologic subtypes vary, with mucosa-associated lymphoid [...] Read more.
Gastrointestinal (GI) lymphomas are a diverse group of extranodal non-Hodgkin lymphomas primarily affecting the stomach, small intestine, and colon. They present with non-specific symptoms such as abdominal pain, weight loss, or GI bleeding, making early diagnosis challenging. Histologic subtypes vary, with mucosa-associated lymphoid tissue (MALT) lymphoma and diffuse large B-cell lymphoma (DLBCL) being the most common. Diagnosis involves endoscopic evaluation with biopsy, cross-sectional imaging, and often PET-CT. Management is subtype-dependent, including antibiotics for H. pylori-associated MALT lymphoma, chemotherapy, immunotherapy, and occasionally surgery. A multidisciplinary approach is essential for optimal outcomes. Core Tip: Gastrointestinal lymphomas are rare but clinically significant malignancies with variable presentations. Accurate diagnosis and tailored treatment based on the histologic subtype and site are critical, requiring close collaboration among gastroenterologists, pathologists, oncologists, and radiologists. Full article
(This article belongs to the Collection Lymphomas)
Show Figures

Figure 1

10 pages, 3338 KB  
Case Report
Bronchiolitis Obliterans in a Young Female Patient with Paraneoplastic Pemphigus Associated with Unicentric Castleman’s Disease
by Walid Kteiche, Vasiliki Besa, Stefanie Werther, Dirk Theegarten, Stefanie Bertram, Enno Schmidt, Anna Daniels and Silke C. Hofmann
Lymphatics 2025, 3(4), 30; https://doi.org/10.3390/lymphatics3040030 - 24 Sep 2025
Viewed by 1209
Abstract
Background: Castleman’s disease (CD), also known as angiofollicular lymph node hyperplasia, describes a rare group of diseases manifesting with enlarged lymph nodes and various inflammatory symptoms. The association between Castleman’s disease, paraneoplastic pemphigus and bronchiolitis obliterans has been described in the literature and [...] Read more.
Background: Castleman’s disease (CD), also known as angiofollicular lymph node hyperplasia, describes a rare group of diseases manifesting with enlarged lymph nodes and various inflammatory symptoms. The association between Castleman’s disease, paraneoplastic pemphigus and bronchiolitis obliterans has been described in the literature and is depicted thoroughly in this case. Case Presentation: We present a case of severe bronchiolitis obliterans developing in a 17-year-old female with paraneoplastic pemphigus and unicentric Castleman’s disease. Conclusion: Surgical resection of unicentric Castleman’s disease remains the treatment of choice due to its efficacy in preventing the recurrence of associated morbidity caused by bronchiolitis obliterans and paraneoplastic pemphigus. Full article
Show Figures

Figure 1

9 pages, 945 KB  
Article
Transplanted Mesenteric Lymph Node Metastasis After Free Jejunal Reconstruction in Head and Neck Cancer
by Yuki Asahi, Tatsuhiko Yamada, Masashi Kuroki, Yuta Sato, Yoshihiro Tanaka, Manato Matsubara, Saki Akita, Rina Kato, Ryota Iinuma, Ryo Kawaura, Hiroshi Okuda, Kosuke Terazawa, Kenichi Mori, Hirofumi Shibata, Natsuko Ueda, Keishi Kohyama, Hisakazu Kato and Takenori Ogawa
Lymphatics 2025, 3(4), 29; https://doi.org/10.3390/lymphatics3040029 - 24 Sep 2025
Viewed by 830
Abstract
Free jejunum is used for reconstruction after resection of advanced head and neck cancer. Postoperative transplanted mesenteric lymph nodes swelling is often experienced, but its clinical significance is unclear. This study included patients who underwent free jejunal reconstruction at Gifu University Hospital between [...] Read more.
Free jejunum is used for reconstruction after resection of advanced head and neck cancer. Postoperative transplanted mesenteric lymph nodes swelling is often experienced, but its clinical significance is unclear. This study included patients who underwent free jejunal reconstruction at Gifu University Hospital between March 2017 and November 2023. Regarding the size change of postoperative mesenteric lymph node and risk factors, the correlation with metastasis and prognosis was investigated. This study included 51 patients, of whom 16 cases (31.4%) had postoperative mesenteric lymph node swelling and 2 cases (3.9%) had metastasis. Only two cases with metastasis showed an increase in size of 5 mm or more. Many cases without extracapsular extension and cases of salvage surgery had postoperative mesenteric lymph node swelling (p = 0.0429, p = 0.0269). No correlation was found between postoperative mesenteric lymph node swelling and prognosis. However, because all cases with metastasis were included in cases of postoperative mesenteric lymph node swelling, this could be one factor in determining whether or not metastasis occurred. The transplanted mesenteric lymph node swelling is one of the important postoperative evaluation items, and additional evaluation such as PET-CT may be recommended. Full article
Show Figures

Figure 1

Previous Issue
Next Issue
Back to TopTop