Journal Description
Lymphatics
Lymphatics
is an international, peer-reviewed, open access journal on lymphatics and related disorders published quarterly online by MDPI.
- Open Access— free for readers, with article processing charges (APC) paid by authors or their institutions.
- Rapid Publication: manuscripts are peer-reviewed and a first decision is provided to authors approximately 32.3 days after submission; acceptance to publication is undertaken in 5.8 days (median values for papers published in this journal in the first half of 2025).
- Recognition of Reviewers: APC discount vouchers, optional signed peer review, and reviewer names published annually in the journal.
- Lymphatics is a companion journal of IJMS.
Latest Articles
Lymphatic Spread of Non-Small-Cell Lung Cancer: Mechanisms, Patterns, Staging, and Diagnosis
Lymphatics 2025, 3(4), 43; https://doi.org/10.3390/lymphatics3040043 - 3 Dec 2025
Abstract
►
Show Figures
Lung cancer is the leading cause of cancer-related death worldwide. Lymph node involvement affects staging and, therefore, prognosis. Understanding lymph node drainage, metastatic patterns, and different sampling techniques contributes to the overall care of lung cancer patients. Non-small-cell lung cancer is the most
[...] Read more.
Lung cancer is the leading cause of cancer-related death worldwide. Lymph node involvement affects staging and, therefore, prognosis. Understanding lymph node drainage, metastatic patterns, and different sampling techniques contributes to the overall care of lung cancer patients. Non-small-cell lung cancer is the most common type of lung cancer; appropriate staging is vital to determine treatment modalities which includes surgery, radiation therapy, chemotherapy, or a combination of these. In this review, we aim to describe the pathogenesis of lymph node metastasis, current guidelines for lymph node sampling, patterns of lymph node spread, new and novel lymph node sampling techniques, and their diagnostic yields.
Full article
Open AccessCase Report
Indocyanine Green-Guided Lymphatic Sparing Surgery for Lipedema: A Case Series
by
Michael Mazarei, Shayan Mohammad Sarrami, Darya Fadavi, Meeti Mehta, Anna Bazell and Carolyn De La Cruz
Lymphatics 2025, 3(4), 42; https://doi.org/10.3390/lymphatics3040042 - 2 Dec 2025
Abstract
►▼
Show Figures
Background: Lipedema is a progressive adipofascial disorder marked by painful nodular fat deposition that is often mistaken for obesity. While tumescent liposuction reduces limb volume with relative lymphatic safety, persistent large, painful lobules frequently remain, and excisional strategies risk iatrogenic lymphatic injury. We
[...] Read more.
Background: Lipedema is a progressive adipofascial disorder marked by painful nodular fat deposition that is often mistaken for obesity. While tumescent liposuction reduces limb volume with relative lymphatic safety, persistent large, painful lobules frequently remain, and excisional strategies risk iatrogenic lymphatic injury. We evaluated the application of intraoperative indocyanine green (ICG) lymphography to identify and preserve lymphatic channels during debulking surgery for symptomatic lipedema. Methods: We conducted a single-center case series (University of Pittsburgh Medical Center, July 2023–December 2024) of adults with lipedema refractory to conservative therapy who underwent a selective dermato-lipectomy (lobule/skin excision) with or without tumescent liposuction. Patients with clinical lymphedema or dermal backflow in ICG were excluded. Near-infrared ICG (SPY-PHI) was used for pre-incision mapping and real-time intraoperative guidance; lymphatic trajectories were marked and spared during lobule excision. Primary measures included dermal backflow patterns and lymph node transit time; secondary outcomes were complications and symptom burden (Lymphedema Life Impact Scale, LLIS) through ≥24 months. Results: Eight patients (five female/three male; mean age 49.5 ± 14.4 years; median BMI 52.65 kg/m2) underwent ICG-guided surgery. Preoperatively, linear lymphatic patterns were visualized up to the knee in all patients, but dermal backflow patterns could not be visualized in 83% from the level of the knee to the groin. Still, 67% demonstrated inguinal nodal uptake (mean transit 24 min), suggesting preserved lymphatic transport. All cases achieved intraoperative confirmation of intact lymphatic flow after debulking. The mean liposuction aspirate was 925 ± 250 mL per lower extremity; the mean excision mass was 2209 ± 757 g per lower extremity. Complications included two superficial cellulitis events (25%) and one wound dehiscence (12.5%); no hematomas or skin necrosis occurred. No patient developed clinical or imaging evidence of iatrogenic lymphedema during follow-up. Conclusions: Intraoperative ICG lymphography is a practical adjunct for lymphatic-sparing debulking of symptomatic lipedema, enabling real-time identification and preservation of superficial collectors while addressing focal lobules. This hybrid approach—targeted tumescent liposuction followed by ICG-guided superficial dermato-lipectomy—was associated with meaningful symptom improvement and a low morbidity in this early series.
Full article

Figure 1
Open AccessReview
Indolent T- and Natural Killer-Cell Lymphomas and Lymphoproliferative Diseases—Entities in Evolution
by
Chi Sing Ng
Lymphatics 2025, 3(4), 41; https://doi.org/10.3390/lymphatics3040041 - 29 Nov 2025
Abstract
Indolent lymphoproliferative diseases or disorders (LPDs) derived from T cells or Natural Killer (NK) cells may be neoplastic or non-neoplastic, which are often difficult to distinguish from each other and from their aggressive counterparts. The etiology and pathogenesis are mostly nebulous and may
[...] Read more.
Indolent lymphoproliferative diseases or disorders (LPDs) derived from T cells or Natural Killer (NK) cells may be neoplastic or non-neoplastic, which are often difficult to distinguish from each other and from their aggressive counterparts. The etiology and pathogenesis are mostly nebulous and may be related to infections or immune dysfunction. Indolent lymphomas differ from the high-grade aggressive counterparts by a prolonged clinical course of persistent or relapsing disease, histology, immunophenotype, and genetics. In recent decades, indolent lymphomas or LPD of T or NK cell derivation have been increasingly recognized, causing diagnostic and nosologic confusion. The issue is particularly challenging in the arena of indolent intestinal lymphomas and LPD, as evidenced by the myriad of names given to the indolent intestinal T- and NK-cell lymphomas and LPD. Confounding the picture are also reports of Epstein–Barr virus (EBV) positivity in various indolent non-intestinal LPD and, rarely, even in indolent intestinal T-cell lymphoma, which have been widely accepted to be typically EBV-negative. This review aims to curate current information and understanding of these diseases with the goal of resolving these issues. The recently described indolent T-lymphoblastic proliferation (iTLBP) and the re-classified indolent primary cutaneous CD4-positive small or medium T-cell LPDs and primary cutaneous acral CD8-positive T-cell LPDs also require greater awareness and recognition. It is important to diagnose these indolent entities in order to avoid over-treatment and unnecessary therapeutic intervention and to provide for accurate prognostic prediction and appropriate follow-up.
Full article
(This article belongs to the Special Issue Indolent Lymphomas and Lymphoreticular Proliferative Diseases)
►▼
Show Figures

Graphical abstract
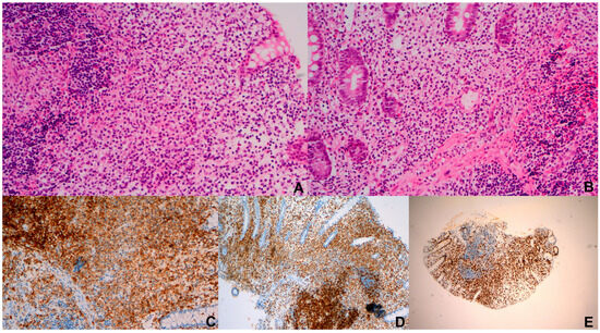
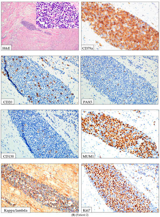
Open AccessCase Report
Reactive Intravascular B-Cell Immunoblastic Proliferation: A Recently Described Entity and a Mimicker of Intravascular Lymphoma
by
Nicolas Ulrich Edgar, Seodam Kwak, Kelsey Baron, Archana Agarwal, Anton Rets and Anna Shestakova
Lymphatics 2025, 3(4), 40; https://doi.org/10.3390/lymphatics3040040 - 26 Nov 2025
Abstract
►▼
Show Figures
Reactive intralymphovascular immunoblastic proliferation (ILVIP) is a rare and diagnostically challenging entity that can closely mimic intravascular large B-cell lymphoma (IVLBCL). We report the comprehensive clinicopathologic features of two patients with B-cell lineage ILVIP identified in bowel resection specimens. Both patients presented with
[...] Read more.
Reactive intralymphovascular immunoblastic proliferation (ILVIP) is a rare and diagnostically challenging entity that can closely mimic intravascular large B-cell lymphoma (IVLBCL). We report the comprehensive clinicopathologic features of two patients with B-cell lineage ILVIP identified in bowel resection specimens. Both patients presented with small bowel obstruction requiring surgical intervention, and one patient was initially erroneously diagnosed with IVLBCL. Neither patient had systemic findings suggestive of lymphoma, such as lymphadenopathy, hepatosplenomegaly, or B symptoms. Histologic evaluation demonstrated focal ILVIP composed of intermediate-to-large B-lineage immunoblasts positive for CD45, CD79a, and MUM1 with polytypic light-chain expression, and negative for CD20, PAX5, CD138, Epstein–Barr virus, and HHV8. The immunoblasts showed a high proliferation index (80–100%) in both cases. Recognition of ILVIP in specimens resected for bowel obstruction in otherwise healthy patients is essential to avoid misinterpretation as intravascular lymphoma and prevent unnecessary treatment.
Full article

Figure 1
Open AccessCorrection
Correction: Aoki et al. Specific Position of the Pulmonary Hilar Node in Cancer Immunity: Immunohistochemical and Morphometrical Study Using Lung Regional Nodes Obtained from Non-Small Cell Cancer Patients Without Metastasis. Lymphatics 2025, 3, 13
by
Masaya Aoki, Go Kamimura, Aya Harada-Takeda, Toshiyuki Nagata, Gen Murakami and Kazuhiro Ueda
Lymphatics 2025, 3(4), 39; https://doi.org/10.3390/lymphatics3040039 - 24 Nov 2025
Abstract
In the original publication [...]
Full article
Open AccessReview
Use of Adult T-Cell Leukemia/Lymphoma Cell Lines in a Novel Proteomic Approach for Clarifying the Function of Human Proteins of Unknown Function
by
Yasuhiro Tonoyama and Yo-ichi Ishida
Lymphatics 2025, 3(4), 38; https://doi.org/10.3390/lymphatics3040038 - 22 Nov 2025
Abstract
Clarifying the function of approximately 20,000 proteins encoded by the human genome is a key challenge in the fields of medicine and biology. However, many proteins remain uncharacterized. In this review, we introduce a challenge that uses adult T-cell leukemia/lymphoma (ATL) and proteomics
[...] Read more.
Clarifying the function of approximately 20,000 proteins encoded by the human genome is a key challenge in the fields of medicine and biology. However, many proteins remain uncharacterized. In this review, we introduce a challenge that uses adult T-cell leukemia/lymphoma (ATL) and proteomics to study human proteins of unknown function (PUFs). The characteristic properties of ATL cells are as follows: ATL cells (1) are infected with virus, (2) are derived from CD4+ T cells, (3) are generated via multi-stage carcinogenesis, (4) have flower-like nuclei, and (5) are highly infiltrative in the aggressive type. Given that ATL cells have contributed to impressive basic research, such as the discovery of HTLV-1 as a human cancer virus and interleukin-2 (IL-2) receptor α chain (IL-2Rα)/CD25, which is used for identifying regulatory T (Treg) cells, ATL cell lines could still be considered an attractive research tool. Furthermore, the “Unknome database” is useful for examining function-unknown degrees of proteins of interest using known scores based on Gene Ontology (GO) annotations and protein analysis through evolutionary relationships (PANTHER). Combining ATL proteomic data obtained by us with the “Unknome database” is expected to contribute not only to investigating the pathogenetic mechanism of ATL but also to clarifying the functions of PUFs.
Full article
(This article belongs to the Special Issue New Lymphology Combined with Lymphatic Physiology, Innate Immunology, and Oncology)
►▼
Show Figures

Figure 1
Open AccessReview
Rewiring the Lymphatic Landscape: Disorders, Remodeling, and Cancer Progression
by
Sudeep Kumar, Ujjwal Adhikari and Brijendra Singh
Lymphatics 2025, 3(4), 37; https://doi.org/10.3390/lymphatics3040037 - 18 Nov 2025
Abstract
The lymphatic system is essential for maintaining the body’s fluid balance, lipid absorption, and immune regulation. The dysfunction of the lymphatic system is associated with a wide spectrum of disorders. These disorders include primary and secondary lymphedema, congenital malformations, and lymphatic neoplasms. In
[...] Read more.
The lymphatic system is essential for maintaining the body’s fluid balance, lipid absorption, and immune regulation. The dysfunction of the lymphatic system is associated with a wide spectrum of disorders. These disorders include primary and secondary lymphedema, congenital malformations, and lymphatic neoplasms. In cancer patients, lymphatic remodeling is essential, which facilitates tumor progression and metastasis, while tertiary lymphoid structures (TLSs) develop during chronic inflammation and may be involved in anti-tumor immunity. This review highlights the immunological basis of lymphatic disorders, with a particular focus on cellular and molecular biomarkers that define disease states. The recent advances in molecular imaging techniques, such as ultrasonography (US), computed tomography (CT), and magnetic resonance lymphography (MRL), have improved and identified the diagnosis and therapeutic targets for lymphedema. Moreover, nanobiotechnology and nano-delivery tools have further enhanced the visibility of cancer cells by imaging. Artificial Intelligence (AI) in lymphatic systems have offered a new spectrum for disease prediction using forms of AI such as natural language processing (NLP), machine learning (ML), robotics-assisted approaches, fussy model (FM), and natural language processing (NLP)-based algorithms. Collectively, these advanced tools have improved diagnostic approaches and reveal exciting opportunities for future research and new therapeutic developments in patient care.
Full article
(This article belongs to the Special Issue Advances in Lymphoid Disorders: Immunological Insights and Therapeutic Innovations)
►▼
Show Figures

Figure 1
Open AccessArticle
Differentiating Afferent Lymphatic Channels Using a Dual-Dye Technique During Immediate Lymphatic Reconstruction
by
Meeti Mehta, Michael Mazarei, Shayan Mohammad Sarrami and Carolyn De La Cruz
Lymphatics 2025, 3(4), 36; https://doi.org/10.3390/lymphatics3040036 - 27 Oct 2025
Abstract
►▼
Show Figures
Introduction: Axillary reverse mapping (ARM) aims to reduce the risk of breast cancer-related lymphedema (BCRL) by preserving and limiting dissection of arm-draining lymphatics. The ideal type of dye and the location of injection, which maximize the sparing of lymphatics and improve outcomes of
[...] Read more.
Introduction: Axillary reverse mapping (ARM) aims to reduce the risk of breast cancer-related lymphedema (BCRL) by preserving and limiting dissection of arm-draining lymphatics. The ideal type of dye and the location of injection, which maximize the sparing of lymphatics and improve outcomes of immediate lymphatic reconstruction (ILR), remain under-studied. The current literature reports inconsistent visualization of lymphatics using blue dye alone, whereas indocyanine green (ICG) near-infrared (NIR) lymphography has shown improved rates. However, optimized dual-dye workflows integrating breast–plastics co-surgery are lacking. Methods: A retrospective review of patients who underwent ILR following ALND for breast cancer between June 2021 and June 2023 was conducted. Patients who underwent ARM using our dual-dye technique were included, utilizing intradermal injections of indocyanine green (ICG) into the wrist and isosulfan blue (ISB) into the upper arm. Axillary reverse mapping channels were categorized by the type of dye used to visualize. Dye injection site, number of lymphatic channels visualized, channel diameter (mm), time-to-first channel, coordinates relative to fixed landmarks, ILR configuration, and pathologic findings were reviewed. Mann–Whitney U tests were used to compare channel visualization rates between types of dye. Results: Of 26 patients, 21 underwent dual-dye mapping and were included. A total of 115 ARM channels were identified: 99 (86%) via ICG and 29 (25%) via ISB. A total of 64 lymphaticovenous anastomoses were performed (mean: 2.46 per patient). Both dyes were identified in the axilla in only 11.7% of patients. At the end of the study, the lymphedema rate was 12%. Conclusions: We developed a reproducible dual-dye ARM technique for ALND with planned ILR, reducing lymphedema risk while maintaining oncologic safety. Dual-dye mapping reveals that proximal and distal lymphatics exhibit both overlapping and divergent drainage to axillary nodes. ICG’s higher axillary detection rate may reflect true anatomical differences or dye properties. These findings support the need for individualized lymphatic mapping during breast cancer surgery to guide preservation techniques and reduce the risk of BCRL.
Full article

Figure 1
Open AccessReview
Physiologic Lymphedema Surgery: Current Treatments and Future Trends
by
Ethan L. MacKenzie, Anne Huang, Min-Jeong Cho, Roman J. Skoracki and Rohini L. Kadle
Lymphatics 2025, 3(4), 35; https://doi.org/10.3390/lymphatics3040035 - 20 Oct 2025
Abstract
Lymphedema is a chronic, progressive, and debilitating disease of the lymphatic system with no current cure. Physiologic procedures, which address the underlying pathophysiology of lymphatic dysfunction, have gained traction in both treatment and prevention of lymphedema. This narrative review examines current physiologic lymphedema
[...] Read more.
Lymphedema is a chronic, progressive, and debilitating disease of the lymphatic system with no current cure. Physiologic procedures, which address the underlying pathophysiology of lymphatic dysfunction, have gained traction in both treatment and prevention of lymphedema. This narrative review examines current physiologic lymphedema surgical techniques and emerging developments in this rapidly evolving field. While the two most common physiologic surgeries remain lymphovenous bypass (LVB) and vascularized lymph node transfer (VLNT), newer physiologic surgery techniques such as vascularized lymph vessel transfer (VLVT) and lymph node to vein anastomosis (LNVA) have been described in an effort to reduce donor site morbidity, with early promising clinical outcomes. The use of bioengineering with stem cells, pro-lymphangiogenic growth factors, and biomaterials such as Biobridge can be applied in conjunction with surgery to help promote lymphangiogenesis. Technological advances in robotic surgical systems and 3D exoscopes are helping to make supermicrosurgery more technically feasible and ergonomic, and increasing accessibility to lymphedema surgery. As our surgical armamentarium expands, treatment algorithms must be updated to determine how various surgical techniques can be combined and sequenced, how the indications for physiologic surgery can be expanded, and how surgical treatment can be tailored to the patient and disease process.
Full article
Open AccessReview
Personalized Frontline Therapy in Diffuse Large B-Cell Lymphoma: Integrating Circulating Tumor DNA for Real-Time Adaptive Treatment Stratification
by
Vasisht Karri and Samir Dalia
Lymphatics 2025, 3(4), 34; https://doi.org/10.3390/lymphatics3040034 - 17 Oct 2025
Abstract
This review analyzed approximately 115 peer-reviewed studies published between 2010 and 2025, focusing on molecular subtyping and circulating tumor DNA (ctDNA)-guided approaches in Diffuse Large B-Cell Lymphoma (DLBCL). Evidence was synthesized from retrospective cohorts, prospective clinical trials, and translational studies, highlighting how molecular
[...] Read more.
This review analyzed approximately 115 peer-reviewed studies published between 2010 and 2025, focusing on molecular subtyping and circulating tumor DNA (ctDNA)-guided approaches in Diffuse Large B-Cell Lymphoma (DLBCL). Evidence was synthesized from retrospective cohorts, prospective clinical trials, and translational studies, highlighting how molecular heterogeneity, clonal evolution, and the tumor microenvironment complicate classification and treatment. While molecular subtypes such as MCD, BN2, EZB, A53, and ST2 have improved prognostication, their routine use in clinical practice remains limited due to cost, complexity, and restricted access to sequencing platforms. Tumor-informed ctDNA assays show promise for minimal residual disease (MRD) monitoring and adaptive therapy, yet their predictive power for CAR-T therapy, bispecific antibodies, and checkpoint inhibitors is still incompletely understood. Overall, the literature converges on the need for integrated strategies combining ctDNA, molecular subtyping, and immune microenvironment analysis to personalize frontline therapy.
Full article
(This article belongs to the Collection Lymphomas)
Open AccessReview
Relevance of AKT and RAS Signaling Pathways for Antibody–Drug Conjugate Immunotherapies in Acute Lymphoblastic Leukemia
by
Patrick A. H. Ehm and Christoph Rehbach
Lymphatics 2025, 3(4), 33; https://doi.org/10.3390/lymphatics3040033 - 13 Oct 2025
Abstract
Acute lymphoblastic leukemia is the most common cause of cancer-related death in children and represents a poor prognosis for patients in high-risk groups. Current treatment protocols are based on intensive polychemotherapy, which is associated with a significant toxicity profile. Due to their higher
[...] Read more.
Acute lymphoblastic leukemia is the most common cause of cancer-related death in children and represents a poor prognosis for patients in high-risk groups. Current treatment protocols are based on intensive polychemotherapy, which is associated with a significant toxicity profile. Due to their higher specificity and lower toxicity, immunotherapies based on monoclonal antibodies, in particular antibody–drug conjugates (ADCs), are revolutionizing cancer therapy. However, reports on the potential efficacy of ADC-targeted therapy in ALL and its subgroups are limited. Gene expression data suggest that potentially new ADC antigens are highly abundant in ALL subgroups and represent promising targets for cancer therapy. In addition, the PI3K/AKT and RAS/MAPK signaling pathways are often persistently activated in ALL and recent data showed that active feedback loops following inhibition of these pathways can lead to redundancy of cell surface receptors that can potentially serve as antigens for ADC treatment. Therefore, we provide here an overview of the most interesting receptors of the various ALL subgroups and discuss the influence that feedback loops of the PI3K/AKT and RAS/MAPK signaling pathways may have on increasing protein expression of the aforementioned receptors, which could lead to targeted combination therapy approaches in the future.
Full article
(This article belongs to the Special Issue Advances in Lymphoid Disorders: Immunological Insights and Therapeutic Innovations)
►▼
Show Figures

Figure 1
Open AccessCorrection
Correction: Koizumi et al. Lipoperoxides as Prognostic Markers in Pediatric B-Acute Lymphocytic Leukemia Patients Undergoing Induction Chemotherapy. Lymphatics 2025, 3, 11
by
Bruna Yukie Koizumi, Marina Rayciki Sotomayor, Carolina Coradi, Ana Luiza Goulart Starck, Anna Will Ribeiro, Maikely Bruna Leite, Maria Eduarda Pardal Simonato, Rafael Gomes Paz, Vinicius de Melo Tizzo, Stefania Tagliari Longo, Geise Ellen Broto, Fausto Celso Trigo and Carolina Panis
Lymphatics 2025, 3(4), 32; https://doi.org/10.3390/lymphatics3040032 - 13 Oct 2025
Abstract
In the original publication [...]
Full article
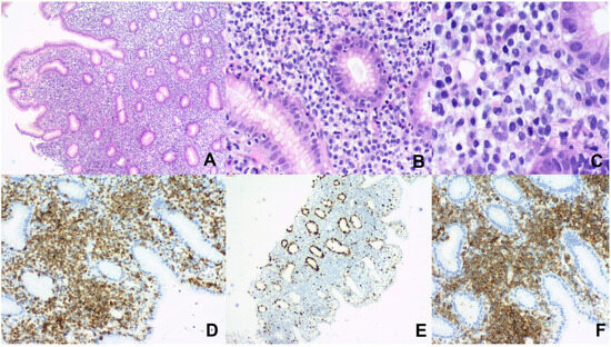
Open AccessReview
Gastrointestinal Lymphomas: A Comprehensive Review of Epidemiology, Clinical Features, Diagnosis, Histopathology, and Management
by
Vignesh Krishnan Nagesh, Ruchi Bhuju, Ahmed S. Mohammed, Emelyn Martinez, Marina Basta, Deepa Francis, Shraboni Dey, Maggie James, Damien Islek, Sanket Bhattarai, Mohammed A. Saafan, Shruthi Badam and Adam Atoot
Lymphatics 2025, 3(4), 31; https://doi.org/10.3390/lymphatics3040031 - 29 Sep 2025
Abstract
Gastrointestinal (GI) lymphomas are a diverse group of extranodal non-Hodgkin lymphomas primarily affecting the stomach, small intestine, and colon. They present with non-specific symptoms such as abdominal pain, weight loss, or GI bleeding, making early diagnosis challenging. Histologic subtypes vary, with mucosa-associated lymphoid
[...] Read more.
Gastrointestinal (GI) lymphomas are a diverse group of extranodal non-Hodgkin lymphomas primarily affecting the stomach, small intestine, and colon. They present with non-specific symptoms such as abdominal pain, weight loss, or GI bleeding, making early diagnosis challenging. Histologic subtypes vary, with mucosa-associated lymphoid tissue (MALT) lymphoma and diffuse large B-cell lymphoma (DLBCL) being the most common. Diagnosis involves endoscopic evaluation with biopsy, cross-sectional imaging, and often PET-CT. Management is subtype-dependent, including antibiotics for H. pylori-associated MALT lymphoma, chemotherapy, immunotherapy, and occasionally surgery. A multidisciplinary approach is essential for optimal outcomes. Core Tip: Gastrointestinal lymphomas are rare but clinically significant malignancies with variable presentations. Accurate diagnosis and tailored treatment based on the histologic subtype and site are critical, requiring close collaboration among gastroenterologists, pathologists, oncologists, and radiologists.
Full article
(This article belongs to the Collection Lymphomas)
►▼
Show Figures

Figure 1
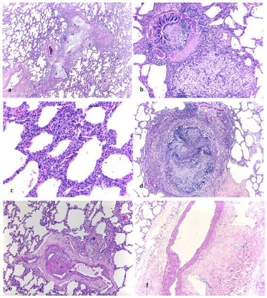
Open AccessCase Report
Bronchiolitis Obliterans in a Young Female Patient with Paraneoplastic Pemphigus Associated with Unicentric Castleman’s Disease
by
Walid Kteiche, Vasiliki Besa, Stefanie Werther, Dirk Theegarten, Stefanie Bertram, Enno Schmidt, Anna Daniels and Silke C. Hofmann
Lymphatics 2025, 3(4), 30; https://doi.org/10.3390/lymphatics3040030 - 24 Sep 2025
Abstract
►▼
Show Figures
Background: Castleman’s disease (CD), also known as angiofollicular lymph node hyperplasia, describes a rare group of diseases manifesting with enlarged lymph nodes and various inflammatory symptoms. The association between Castleman’s disease, paraneoplastic pemphigus and bronchiolitis obliterans has been described in the literature and
[...] Read more.
Background: Castleman’s disease (CD), also known as angiofollicular lymph node hyperplasia, describes a rare group of diseases manifesting with enlarged lymph nodes and various inflammatory symptoms. The association between Castleman’s disease, paraneoplastic pemphigus and bronchiolitis obliterans has been described in the literature and is depicted thoroughly in this case. Case Presentation: We present a case of severe bronchiolitis obliterans developing in a 17-year-old female with paraneoplastic pemphigus and unicentric Castleman’s disease. Conclusion: Surgical resection of unicentric Castleman’s disease remains the treatment of choice due to its efficacy in preventing the recurrence of associated morbidity caused by bronchiolitis obliterans and paraneoplastic pemphigus.
Full article

Figure 1
Open AccessArticle
Transplanted Mesenteric Lymph Node Metastasis After Free Jejunal Reconstruction in Head and Neck Cancer
by
Yuki Asahi, Tatsuhiko Yamada, Masashi Kuroki, Yuta Sato, Yoshihiro Tanaka, Manato Matsubara, Saki Akita, Rina Kato, Ryota Iinuma, Ryo Kawaura, Hiroshi Okuda, Kosuke Terazawa, Kenichi Mori, Hirofumi Shibata, Natsuko Ueda, Keishi Kohyama, Hisakazu Kato and Takenori Ogawa
Lymphatics 2025, 3(4), 29; https://doi.org/10.3390/lymphatics3040029 - 24 Sep 2025
Abstract
►▼
Show Figures
Free jejunum is used for reconstruction after resection of advanced head and neck cancer. Postoperative transplanted mesenteric lymph nodes swelling is often experienced, but its clinical significance is unclear. This study included patients who underwent free jejunal reconstruction at Gifu University Hospital between
[...] Read more.
Free jejunum is used for reconstruction after resection of advanced head and neck cancer. Postoperative transplanted mesenteric lymph nodes swelling is often experienced, but its clinical significance is unclear. This study included patients who underwent free jejunal reconstruction at Gifu University Hospital between March 2017 and November 2023. Regarding the size change of postoperative mesenteric lymph node and risk factors, the correlation with metastasis and prognosis was investigated. This study included 51 patients, of whom 16 cases (31.4%) had postoperative mesenteric lymph node swelling and 2 cases (3.9%) had metastasis. Only two cases with metastasis showed an increase in size of 5 mm or more. Many cases without extracapsular extension and cases of salvage surgery had postoperative mesenteric lymph node swelling (p = 0.0429, p = 0.0269). No correlation was found between postoperative mesenteric lymph node swelling and prognosis. However, because all cases with metastasis were included in cases of postoperative mesenteric lymph node swelling, this could be one factor in determining whether or not metastasis occurred. The transplanted mesenteric lymph node swelling is one of the important postoperative evaluation items, and additional evaluation such as PET-CT may be recommended.
Full article

Figure 1
Open AccessCase Report
Lymphomatoid Granulomatosis and Tuberculosis, Coincidence or Cohabitation—A Case Report
by
Nicolas Giachetti, Sarah Bellal, Marianne Schwarz, Jérôme Paillassa, Aline Clavert, Mathilde Hunault-Berger and Firas Safa
Lymphatics 2025, 3(3), 28; https://doi.org/10.3390/lymphatics3030028 - 15 Sep 2025
Abstract
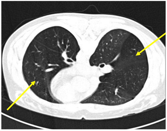
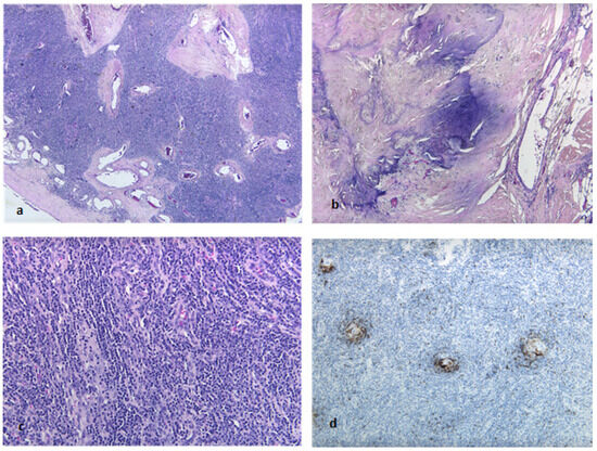
Background: Lymphomatoid granulomatosis (LYG) is a rare and atypical EBV-induced B-cell lymphoproliferative disorder. Clinical manifestations are mainly respiratory, with nodular infiltrates, varying in number and size, being responsible for respiratory distress. Cutaneous, hepatic, or neurological involvement is also possible. Although pathogenesis is not
[...] Read more.
Background: Lymphomatoid granulomatosis (LYG) is a rare and atypical EBV-induced B-cell lymphoproliferative disorder. Clinical manifestations are mainly respiratory, with nodular infiltrates, varying in number and size, being responsible for respiratory distress. Cutaneous, hepatic, or neurological involvement is also possible. Although pathogenesis is not clearly elucidated, quantitative or qualitative cellular immunodepression is thought to be a main factor. Here, we report a case of concomitant LYG and pulmonary tuberculosis. Case presentation: An 80-year-old female patient presented to the emergency unit for steadily increasing dyspnea, with workup revealing bilateral pulmonary nodules and mediastinal lymph node enlargement on chest imaging. Empiric antibiotic therapy was initially started with amoxicillin-clavulanate, which was later combined with azithromycin following respiratory deterioration. A CT-guided lung biopsy showed grade 2 LYG. Treatment with corticosteroids and weekly rituximab was initiated, leading to rapid improvement of respiratory symptoms. After the second dose of rituximab, sputum cultures that were initially collected were found to be positive for Mycobacterium tuberculosis. Rituximab was suspended, and antituberculous treatment was initiated. Rituximab was restarted once tuberculosis was controlled. Follow-up imaging later showed adequate control of both tuberculosis and LYG, with at least a partial remission of the latter. Conclusions: Our case highlights the importance of a complete diagnostic workup when a diagnosis of LYG is made, to avoid missing a concomitant pulmonary disease, such as tuberculosis, even when definite pathologic and clinical features of the former are present.
Full article
(This article belongs to the Special Issue Indolent Lymphomas and Lymphoreticular Proliferative Diseases)
►▼
Show Figures

Figure 1
Open AccessArticle
Non-Pneumatic Active Compression Device vs. Advanced Pneumatic Compression Device for Treating Lower Extremity Lymphedema: Impact on the Medicare-Eligible Population
by
Thomas S. Maldonado, Michael Barfield, Ron Winokur, Todd Berland, Sandi Davis, Vicky Ralph, Nancy Chatham and Stanley G. Rockson
Lymphatics 2025, 3(3), 27; https://doi.org/10.3390/lymphatics3030027 - 13 Sep 2025
Abstract
►▼
Show Figures
Objective: Chronic edema, whether systemic or localized, is often underrecognized by providers due to limited awareness of its prevalence and debilitating impact. As result, patients suffering from this condition live with suboptimal management, diminished quality of life, and increased healthcare costs. Non-pneumatic compression
[...] Read more.
Objective: Chronic edema, whether systemic or localized, is often underrecognized by providers due to limited awareness of its prevalence and debilitating impact. As result, patients suffering from this condition live with suboptimal management, diminished quality of life, and increased healthcare costs. Non-pneumatic compression devices (NPCDs) have been shown to be safe and more clinically effective in treating lymphedema (LED) than advanced pneumatic compression devices (APCD) in multiple published studies. In the latest study, the TEAYS trial, NPCDs showed superior clinical utility, better outcomes, and higher patient adherence than APCDs for managing lower extremity swelling. This sub-analysis of the TEAYS study focuses on outcomes for patients aged 65 and above diagnosed with lymphedema in the lower extremity. Methods: This trial was a randomized, crossover, head-to-head study across nine sites in the US in 2023. Patients were subjected to an initial 4-week washout period and then randomized to either the NPCD or a commercially available APCD. Patients used the randomly assigned initial device for 90 days followed by a second washout period before a 90-day use of the second device. Results: Analysis included a total of 71 patients with lower extremity lymphedema, 27 of whom were aged 65 or above, and this subset comprises the study cohort for the current study. These patients achieved statistically greater mean limb volume reduction (353.9 ± 99.17 mL) while on NPCD vs. APCD (−10.7 ± 125.59 mL). NPCD also showed significantly better improvement in overall quality of life (1.43 ± 0.45) vs. APCD (−0.10 ± 0.34). Statistically significant improvement in adherence was also observed while on NPCD (77%) vs. APCD (23%). No device-related adverse events were reported. Conclusions: For adults aged 65 and older with lower extremity lymphedema, non-pneumatic compression devices (NPCDs) demonstrated superior clinical outcomes—including greater limb volume reduction, improved mobility, higher adherence, and patient satisfaction—compared to advanced pneumatic compression devices (APCDs), supporting NPCDs as an effective, patient-preferred solution.
Full article

Figure 1
Open AccessReview
Beyond Swelling: A Review of Postoperative Lymphedema in Aesthetic Surgery
by
Varoon Phondge, Maya Dornbrand-Lo, Pooja Deshpande and Alex K. Wong
Lymphatics 2025, 3(3), 26; https://doi.org/10.3390/lymphatics3030026 - 9 Sep 2025
Abstract
Postoperative edema is a nearly universal consequence of aesthetic surgery, yet its clinical implications and potential progression to lymphedema remain underexplored. This review examines the prevalence, pathophysiology, diagnostic criteria, and management strategies for edema and lymphedema following aesthetic procedures. A comprehensive search of
[...] Read more.
Postoperative edema is a nearly universal consequence of aesthetic surgery, yet its clinical implications and potential progression to lymphedema remain underexplored. This review examines the prevalence, pathophysiology, diagnostic criteria, and management strategies for edema and lymphedema following aesthetic procedures. A comprehensive search of PubMed, Embase, and Cochrane databases identified studies involving adult patients undergoing aesthetic surgeries with documented postoperative edema or lymphedema. The review found that while edema is expected postoperatively and is generally self-limiting, persistent or disproportionate swelling may indicate early lymphedema. Risk factors include extensive liposuction, body contouring, and procedures involving lymphatic disruption. Despite its significance, lymphedema remains underdiagnosed due to a lack of standardized diagnostic criteria and low clinical suspicion. Emerging imaging modalities, such as indocyanine green lymphography, enhance early detection, while conservative treatments, such as manual lymphatic drainage, compression, and physical therapy, remain first-line interventions. Increased awareness among surgeons and incorporation of lymphatic-preserving techniques are vital to reducing morbidity. This review underscores the importance of distinguishing transient edema from chronic lymphedema and calls for further research to establish evidence-based guidelines for diagnosis, prevention, and management of postoperative lymphedema in aesthetic surgery.
Full article
Open AccessReview
Epidemiology of Systemic Light-Chain (AL) Amyloidosis
by
Rafael Ríos-Tamayo
Lymphatics 2025, 3(3), 25; https://doi.org/10.3390/lymphatics3030025 - 14 Aug 2025
Abstract
►▼
Show Figures
Systemic light-chain (AL) amyloidosis is a challenging, complex and heterogeneous disease. AL amyloidosis is classified under the category of plasma cell neoplasms and other diseases with paraproteins in the fifth edition of the World Health Organization classification of lymphoid tumors. Epidemiological information is
[...] Read more.
Systemic light-chain (AL) amyloidosis is a challenging, complex and heterogeneous disease. AL amyloidosis is classified under the category of plasma cell neoplasms and other diseases with paraproteins in the fifth edition of the World Health Organization classification of lymphoid tumors. Epidemiological information is limited, largely due to its low incidence and the lack of a global network of population-based specific registries. Despite recent advances, AL amyloidosis is still considered an incurable disease. The presence of a precursor disease, particularly monoclonal gammopathy of uncertain significance, is the main consolidated risk factor. Limited knowledge about other risk factors precludes the possibility of establishing preventive measures. A relevant percentage of AL amyloidosis patients fulfill the current diagnostic criteria of multiple myeloma. Incidence should be evaluated in the setting of population-based studies. On the one hand, incidence shows a slightly increasing pattern. On the other hand, survival is progressively increasing. Consequently, prevalence is also rising. Early mortality, commonly associated with advanced heart involvement, remains a serious drawback to improve the outcome. Epidemiology represents the first level of heterogeneity in AL amyloidosis. Both genomic and clinical epidemiological research in systemic AL amyloidosis have a crucial role in the global strategy to combat this multifaceted disease.
Full article

Figure 1
Open AccessReview
Precision Oncology in Hodgkin’s Lymphoma: Immunotherapy and Emerging Therapeutic Frontiers
by
Adit Singhal, David Mueller, Benjamin Ascherman, Pratik Shah, Wint Yan Aung, Edward Zhou and Maria J. Nieto
Lymphatics 2025, 3(3), 24; https://doi.org/10.3390/lymphatics3030024 - 6 Aug 2025
Abstract
►▼
Show Figures
Hodgkin’s Lymphoma (HL) affects approximately 8500 individuals annually in the United States. The 5-year relative survival rate has improved to 88.5%, driven by transformative advances in immunotherapy and precision oncology. The integration of Brentuximab vedotin (BV) and immune checkpoint inhibitors (ICIs) has redefined
[...] Read more.
Hodgkin’s Lymphoma (HL) affects approximately 8500 individuals annually in the United States. The 5-year relative survival rate has improved to 88.5%, driven by transformative advances in immunotherapy and precision oncology. The integration of Brentuximab vedotin (BV) and immune checkpoint inhibitors (ICIs) has redefined treatment paradigms. The phase III SWOG S1826 trial established nivolumab plus doxorubicin, vinblastine, and dacarbazine (N + AVD) as an emerging new standard for advanced-stage HL, achieving a 2-year progression-free survival (PFS) of 92% compared to 83% for BV plus AVD (HR 0.48, 95% CI: 0.33–0.70), with superior safety, particularly in patients over 60. In relapsed/refractory HL, pembrolizumab outperforms BV, with a median PFS of 13.2 versus 8.3 months (HR 0.65, 95% CI: 0.48–0.88), as demonstrated in the KEYNOTE-204 trial. Emerging strategies, including novel ICI combinations, minimal residual disease (MRD) monitoring via circulating tumor DNA (ctDNA), and artificial intelligence (AI)-driven diagnostics, promise to further personalize therapy. This review synthesizes HL’s epidemiology, pathogenesis, diagnostic innovations, and therapeutic advances, highlighting the role of precision medicine in addressing unmet needs and disparities in HL care.
Full article

Figure 1
Highly Accessed Articles
Latest Books
E-Mail Alert
News
Topics
Topic in
Biophysica, CIMB, IJMS, IJTM, Lymphatics, Sci. Pharm.
Smart Delivery Systems for Biomolecular Therapeutics
Topic Editors: Biana Godin, Vivek GuptaDeadline: 31 October 2026
Conferences
Special Issues
Special Issue in
Lymphatics
Chronic Lymphocytic Leukemia (CLL): From Benchside to Bedside
Guest Editor: Varsha GandhiDeadline: 30 December 2025
Special Issue in
Lymphatics
New Lymphology Combined with Lymphatic Physiology, Innate Immunology, and Oncology
Guest Editor: Toshio OhhashiDeadline: 30 December 2025
Special Issue in
Lymphatics
Radiation Therapy in Hematological Malignancies in the Era of Cellular Therapy
Guest Editor: Bouthaina S. DabajaDeadline: 30 December 2025
Special Issue in
Lymphatics
Adult Acute Lymphoblastic Leukemia (Adult ALL)
Guest Editor: Nicholas J. ShortDeadline: 28 February 2026
Topical Collections
Topical Collection in
Lymphatics
Acute Lymphoblastic Leukemia (ALL)
Collection Editors: Nitin Jain, Ibrahim Aldoss
Topical Collection in
Lymphatics
Radiation Oncology
Collection Editors: Bouthaina S. Dabaja, Andrea K. Ng, Paolo Strati, Michael T. Spiotto, Hans Theodor Eich, Nicholas J. Short, N. George Mikhaeel

