Posterior Hip Pointer: Subperiosteal Detachment of the Gluteal Muscles at the Posterior Iliac Crest in Two Elite Athletes
Abstract
1. Introduction
2. Detailed Case Description
2.1. Case Presentation
- Case 1: A handball player with posterior pelvis trauma
- Case 2: An ice hockey player with posterior pelvis trauma
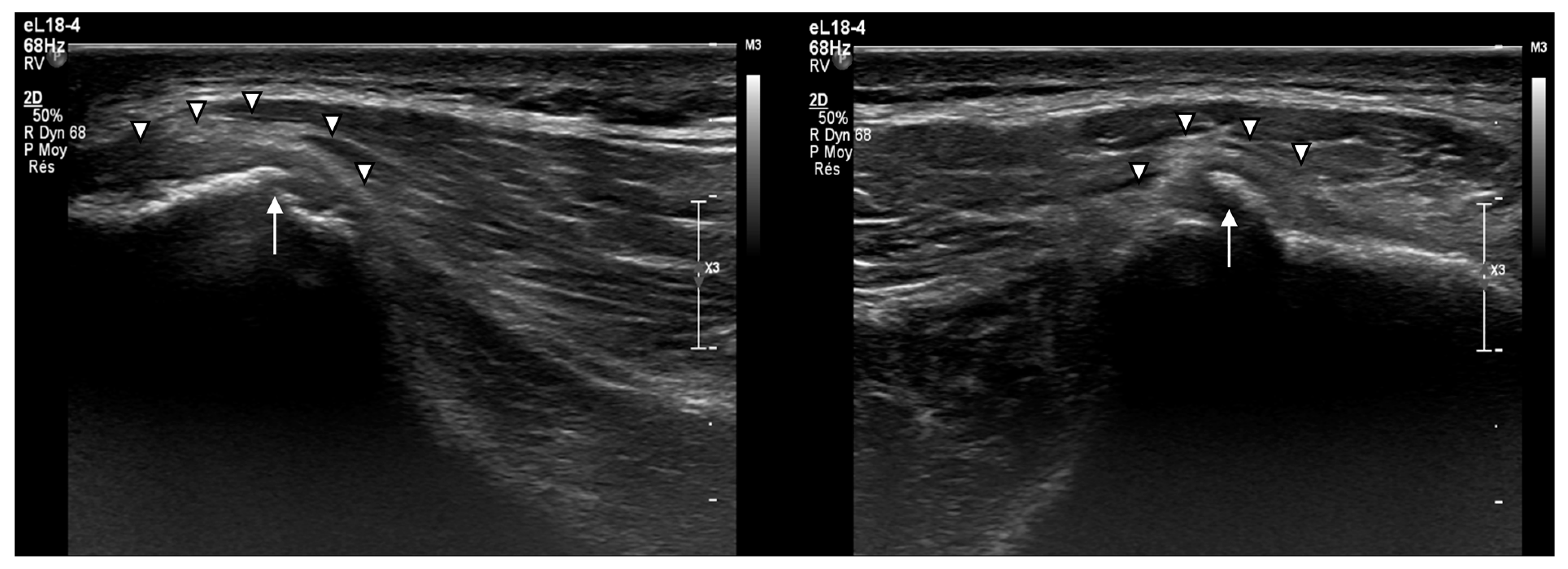
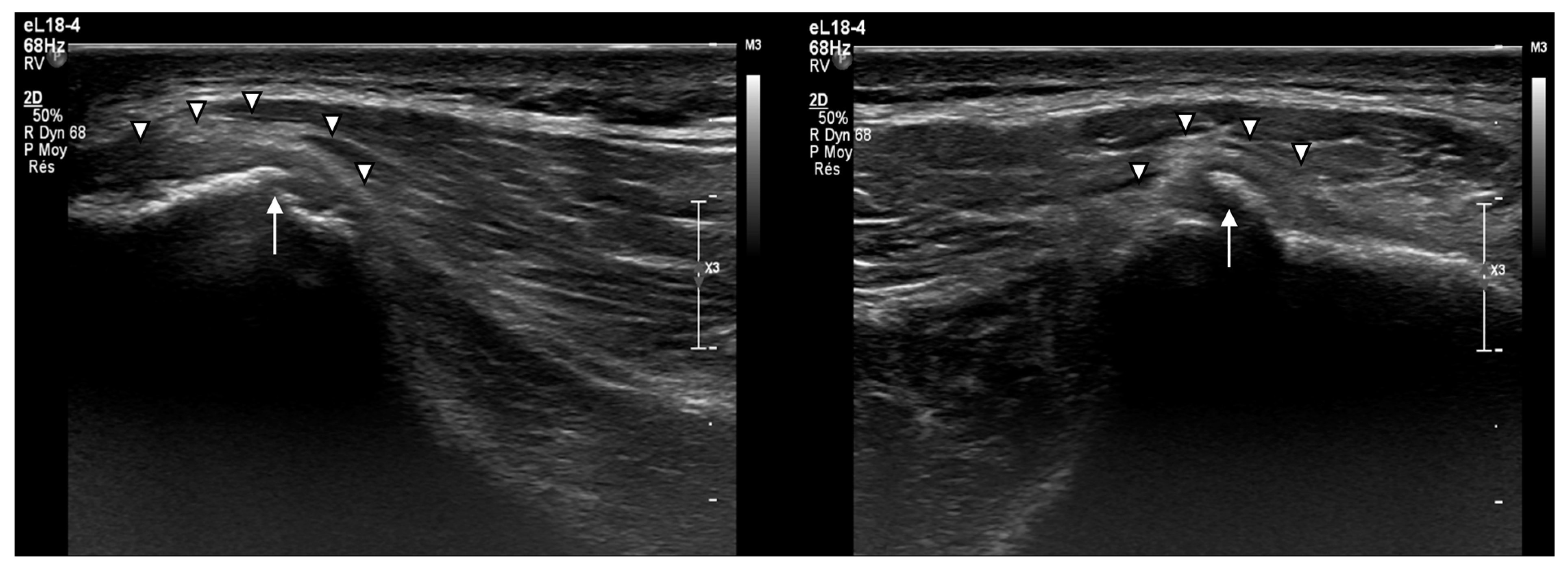
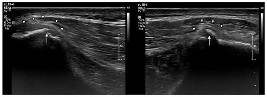
2.2. Imaging Findings
- Subperiosteal hematoma at the posterior iliac crest;
- A 20–25 mm detachment of the gluteus maximus;
- Partial involvement of the gluteus medius.
2.3. Treatment and Outcome
3. Discussion
- Subperiosteal hematoma formation at the posterior iliac crest;
- Partial detachment of the gluteus maximus (~20–25 mm), with involvement of the gluteus medius;
- Persistent cortical irregularities, including calcifications and periosteal thickening, on long-term follow-up.
4. Conclusions
Author Contributions
Funding
Institutional Review Board Statement
Informed Consent Statement
Data Availability Statement
Acknowledgments
Conflicts of Interest
Abbreviations
| PSIS | posterior superior iliac spine |
| SEBT | star excursion balance test |
| AIIS | anterior inferior iliac spine |
| ASIS | anterior superior iliac spine |
| MRI | magnetic resonance imaging |
| NSAIDs | non-steroidal anti-inflammatory drugs |
References
- Kerbel, Y.E.; Smith, C.M.; Prodromo, J.P.; Nzeogu, M.I.; Mulcahey, M.K. Epidemiology of Hip and Groin Injuries in Collegiate Athletes in the United States. Orthop. J. Sports Med. 2018, 6, 2325967118771676. [Google Scholar] [CrossRef]
- Frank, R.M.; Slabaugh, M.A.; Grumet, R.C.; Virkus, W.W.; Bush-Joseph, C.A.; Nho, S.J. Posterior Hip Pain in an Athletic Population: Differential Diagnosis and Treatment Options. Sports Health 2010, 2, 237–246. [Google Scholar] [CrossRef] [PubMed]
- Blazina, M.E. The “Hip-Pointer”, a Term to Describe a Specific Kind of Athletic Injury. Calif. Med. 1967, 106, 450. [Google Scholar]
- Hall, M.; Anderson, J. Hip Pointers. Clin. Sports Med. 2013, 32, 325–330. [Google Scholar] [CrossRef]
- Grumet, R.C.; Frank, R.M.; Slabaugh, M.A.; Virkus, W.W.; Bush-Joseph, C.A.; Nho, S.J. Lateral Hip Pain in an Athletic Population. Sports Health 2010, 2, 191–196. [Google Scholar] [CrossRef]
- Anderson, K.; Strickland, S.M.; Warren, R. Hip and Groin Injuries in Athletes. Am. J. Sports Med. 2001, 29, 521–533. [Google Scholar] [CrossRef]
- Martín-Guzón, I.; Muñoz, A.; Lorenzo-Calvo, J.; Muriarte, D.; Marquina, M.; de la Rubia, A. Injury Prevalence of the Lower Limbs in Handball Players: A Systematic Review. Int. J. Environ. Res. Public Health 2021, 19, 332. [Google Scholar] [CrossRef]
- Wörner, T.; Thorborg, K.; Clarsen, B.; Eek, F. Incidence, Prevalence, and Severity of and Risk Factors for Hip and Groin Problems in Swedish Male Ice Hockey Players: A 1-Season Prospective Cohort Study. J. Athl. Train. 2022, 57, 72–78. [Google Scholar] [CrossRef]
- Kuhn, A.W.; Noonan, B.C.; Kelly, B.T.; Larson, C.M.; Bedi, A. The Hip in Ice Hockey: A Current Concepts Review. Arthrosc. J. Arthrosc. Relat. Surg. 2016, 32, 1928–1938. [Google Scholar] [CrossRef]
- LaPrade, R.F.; Wijdicks, C.A.; Griffith, C.J. Division I Intercollegiate Ice Hockey Team Coverage. Br. J. Sports Med. 2009, 43, 1000–1005. [Google Scholar] [CrossRef]
- Gultekin, S.; Cross, T. The Franklin-Naismith Lesion: A Severe Variant of Hip Pointer. Orthop. J. Sports Med. 2019, 7, 2325967118820507. [Google Scholar] [CrossRef]
- Narciso, R.; Venis, L.; Cardoos, N. Distal Abdominal Oblique Avulsion Injuries in Two Collegiate Hockey Players: A Case Report. Curr. Sports Med. Rep. 2024, 23, 168–170. [Google Scholar] [CrossRef]
- Ladd, L.M.; Blankenbaker, D.G.; Davis, K.W.; Keene, J.S. MRI of the Hip: Important Injuries of the Adult Athlete. Curr. Radiol. Rep. 2014, 2, 51. [Google Scholar] [CrossRef]
- Hegazi, T.M.; Belair, J.A.; McCarthy, E.J.; Roedl, J.B.; Morrison, W.B. Sports Injuries about the Hip: What the Radiologist Should Know. Radiogr. Rev. Publ. Radiol. Soc. N. Am. Inc 2016, 36, 1717–1745. [Google Scholar] [CrossRef]
- Grassi, A.; Quaglia, A.; Canata, G.L.; Zaffagnini, S. An Update on the Grading of Muscle Injuries: A Narrative Review from Clinical to Comprehensive Systems. Joints 2016, 4, 39–46. [Google Scholar] [CrossRef]
- Orlandi, D.; Corazza, A.; Arcidiacono, A.; Messina, C.; Serafini, G.; Sconfienza, L.M.; Silvestri, E. Ultrasound-Guided Procedures to Treat Sport-Related Muscle Injuries. Br. J. Radiol. 2016, 89, 20150484. [Google Scholar] [CrossRef]
- Varacallo, M.A.; Bordoni, B. Hip Pointer Injuries. In StatPearls; StatPearls Publishing: Treasure Island, FL, USA, 2025. [Google Scholar]
- Orchard, J.W.; Steet, E.; Massey, A.; Dan, S.; Gardiner, B.; Ibrahim, A. Long-Term Safety of Using Local Anesthetic Injections in Professional Rugby League. Am. J. Sports Med. 2010, 38, 2259–2266. [Google Scholar] [CrossRef] [PubMed]
- Lohrer, H.; Höferlin, A. Successful Repair of M. Obliquus Internus Abdominis Avulsion at the Iliac Crest-Operative Technique in Professional Soccer Players. Orthop. Surg. 2023, 15, 1399–1404. [Google Scholar] [CrossRef]
- Notarnicola, A.; Ladisa, I.; Lanzilotta, P.; Bizzoca, D.; Covelli, I.; Bianchi, F.P.; Maccagnano, G.; Farì, G.; Moretti, B. Shock Waves and Therapeutic Exercise in Greater Trochanteric Pain Syndrome: A Prospective Randomized Clinical Trial with Cross-Over. J. Pers. Med. 2023, 13, 976. [Google Scholar] [CrossRef]
- Draovitch, P.; Maschi, R.A.; Hettler, J. Return to Sport Following Hip Injury. Curr. Rev. Musculoskelet. Med. 2012, 5, 9–14. [Google Scholar] [CrossRef]
- Kivlan, B.R.; Martin, R.L. Functional Performance Testing of the Hip in Athletes: A Systematic Review for Reliability and Validity. Int. J. Sports Phys. Ther. 2012, 7, 402–412. [Google Scholar]
- Julia, M.; Dupeyron, A.; Laffont, I.; Parisaux, J.-M.; Lemoine, F.; Bousquet, P.-J.; Hérisson, C. Reproducibility of Isokinetic Peak Torque Assessments of the Hip Flexor and Extensor Muscles. Ann. Phys. Rehabil. Med. 2010, 53, 293–305. [Google Scholar] [CrossRef]
- Suits, W.H. Clinical Measures of Pelvic Tilt in Physical Therapy. Int. J. Sports Phys. Ther. 2021, 16, 1366–1375. [Google Scholar] [CrossRef]
- Sinha, R.; Johnson, B.; Morris, W.Z.; Wilson, P.L.; Ellis, H.B. Hip Injuries in the Pediatric Athlete—Pelvic Apophyseal Avulsions. Oper. Tech. Sports Med. 2024, 32, 151110. [Google Scholar] [CrossRef]
- Filippo, C.; Alessandro, N.; Cristina, G.; Margherita, M.; Francesco, P.; Francesco, C. Apophyseal Avulsion Fractures of the Pelvis. A Review. Acta Biomed. Atenei Parm. 2018, 89, 470–476. [Google Scholar] [CrossRef]






| Feature | Classic Hip Pointer | Posterior Hip Pointer |
|---|---|---|
| Location | Lateral aspect of the iliac crest | Posterior iliac crest near the PSIS |
| Mechanism of Injury | Direct impact to the iliac crest; Contact (out-of-bounds object/person-opponent) | Direct impact to the lower back/pelvis; Contact (floor/surface) |
| Involved Structures | Gluteus medius, tensor fasciae latae, anterolateral abdominal wall (obliquus and transversus abdominis) | Gluteus maximus, gluteus medius |
| Symptoms | Localized pain, swelling, tenderness over lateral iliac crest | Localized pain, swelling, tenderness over posterior iliac crest |
| Imaging | Ultrasound, MRI, X-ray (if fracture/apophyseal injuries suspected) | Ultrasound, MRI (if fracture suspected, apophyseal injuries less common) |
| Treatment | Contact avoidance Compression and icing to reduce swelling Pain management (avoiding NSAIDs) Combination of local anesthetic and corticosteroid for pain relief (to be considered) Rehabilitation focusing on hip range of motion and hip abduction/abdominal wall strengthening | Similar treatment strategies Rehabilitation focusing on hip abduction/extension, powerful movements (upward/forward propulsion) |
| Complications | Rare cases of bone exostosis or periostitis Possible temporary sensory nerve block Uncommon bruising extending to the lower body | Persistent cortical irregularities, calcifications, periosteal thickening |
Disclaimer/Publisher’s Note: The statements, opinions and data contained in all publications are solely those of the individual author(s) and contributor(s) and not of MDPI and/or the editor(s). MDPI and/or the editor(s) disclaim responsibility for any injury to people or property resulting from any ideas, methods, instructions or products referred to in the content. |
© 2025 by the authors. Licensee MDPI, Basel, Switzerland. This article is an open access article distributed under the terms and conditions of the Creative Commons Attribution (CC BY) license (https://creativecommons.org/licenses/by/4.0/).
Share and Cite
Drigny, J.; Labrousse, A.; Remilly, M.; Reboursière, E. Posterior Hip Pointer: Subperiosteal Detachment of the Gluteal Muscles at the Posterior Iliac Crest in Two Elite Athletes. Muscles 2025, 4, 12. https://doi.org/10.3390/muscles4020012
Drigny J, Labrousse A, Remilly M, Reboursière E. Posterior Hip Pointer: Subperiosteal Detachment of the Gluteal Muscles at the Posterior Iliac Crest in Two Elite Athletes. Muscles. 2025; 4(2):12. https://doi.org/10.3390/muscles4020012
Chicago/Turabian StyleDrigny, Joffrey, Amélie Labrousse, Marion Remilly, and Emmanuel Reboursière. 2025. "Posterior Hip Pointer: Subperiosteal Detachment of the Gluteal Muscles at the Posterior Iliac Crest in Two Elite Athletes" Muscles 4, no. 2: 12. https://doi.org/10.3390/muscles4020012
APA StyleDrigny, J., Labrousse, A., Remilly, M., & Reboursière, E. (2025). Posterior Hip Pointer: Subperiosteal Detachment of the Gluteal Muscles at the Posterior Iliac Crest in Two Elite Athletes. Muscles, 4(2), 12. https://doi.org/10.3390/muscles4020012
