Next Article in Journal
Can New Remineralizing Agents Serve as Fluoride Alternatives in Caries Prevention? A Scoping Review
Previous Article in Journal
Non-Extraction Orthodontic Camouflage for Severe Class II Malocclusion Post-TMJ Gap Arthroplasty: A Case Report
 
 
Font Type:
Arial Georgia Verdana
Font Size:
Aa Aa Aa
Line Spacing:
Column Width:
Background:
Article

Increased Overjet as a Predictor of the Magnitude of Skeletal Class II Malocclusion Correction: A Retrospective Analysis of Early Treatment with the Manni Telescopic Herbst Appliance

1
Department of Dentistry, Vita-Salute San Raffaele University, 20132 Milan, Italy
2
Istituto Giuseppe Cozzani, 19125 La Spezia, Italy
3
Department of Interdisciplinary Medicine, University of Bari Aldo Moro, 70121 Bari, Italy
*
Author to whom correspondence should be addressed.
Submission received: 3 March 2025 / Revised: 27 April 2025 / Accepted: 22 May 2025 / Published: 16 June 2025

Abstract

Background: Class II Division 1 malocclusion is often characterized by an increased overjet, which has traditionally been considered a negative predictor of aesthetic outcomes, treatment efficacy, and long-term stability. Although early two-phase treatment is generally perceived as less effective than a single-stage pubertal peak intervention, it may be beneficial in cases with concerns such as trauma risk or bullying. This study aimed to assess the relationship between initial overjet and sagittal correction (as measured by the ANB and WITS indices) to identify a threshold beyond which two-phase treatment might be more effective. Methods: A retrospective analysis was conducted on 58 patients (mean age: 9.01 years), all of whom were treated consecutively with the Manni Telescopic Herbst Appliance. Lateral cephalograms taken at the start (T0) and end (T1) of Herbst treatment were analyzed to evaluate changes in skeletal and dental parameters. Results: A significant positive correlation was found between higher initial overjet and increased skeletal sagittal correction. Specifically, for every 1 mm increase in overjet, there was a 0.65 mm reduction in the WITS index and a 0.30° decrease in the ANB angle (p < 0.01). These effects were more pronounced when the initial overjet exceeded 8.0 mm. Conclusions: The Manni Telescopic Herbst Appliance demonstrated enhanced skeletal correction in patients with larger initial overjet values, particularly when the overjet exceeded 8.0 mm. This suggests that early two-phase treatment may be especially beneficial in such cases.

1. Introduction

Skeletal Class II malocclusion affects approximately one-third of the North American population [1], with this percentage increasing to 36–48% among Caucasian patients seeking orthodontic consultation [2]. The condition is typically characterized by a deficiency in mandibular size or prominence, resulting in a convex facial profile and a retrusive chin [3]. Class II Division 1 malocclusion often manifests as an increased overjet, which has historically been a negative factor affecting aesthetic perception, treatment outcomes, and long-term stability [1,3,4,5,6].
Over the past century, several treatment approaches have been proposed for Class II Division 1 malocclusion. Although early treatment is often regarded as less effective than treatment during the pubertal peak, several studies endorse early two-phase management for patients at higher risk of trauma [7,8,9] or in specific cases, such as addressing bullying-related concerns [10]. Moreover, when the focus shifts from only dental occlusion changes to soft tissue considerations, traditional camouflage treatments often result in excessive flaring of the lower incisors, lingual tipping of the upper incisors and a clockwise rotation of the occlusal plane; these changes can be perceived as unfavorable outcomes [11,12], leading maxillofacial surgeons to recommend avoiding compensation treatments that may complicate future aesthetic corrections [13]. Therefore, effective orthopedic treatment should prioritize significant mandibular advancement while minimizing dental compensations.
Achieving this goal requires careful control of the vertical and sagittal positioning of the lower incisors. A direct relationship was reported between incisor position and mandibular advancement in skeletal Class II malocclusion patients with permanent dentition treated with the Manni Telescopic Herbst Appliance (MTHA). It was also found that common Class II dental compensations, which reduce the overjet, can limit the forward movement of the mandible [14]. Similarly, a correlation between overjet magnitude and mandibular growth during normal development was assessed in a study of untreated Class II malocclusion patients followed for over 10 years: individuals with a larger overjet (4–6 mm) exhibited significantly greater mandibular advancement compared to those with a smaller overjet (2–4 mm) [15].
Given the potential direct relationship between overjet and realistic mandibular advancement, it is reasonable to infer that cases with a higher initial overjet would experience more significant mandibular advancement than those with a smaller initial overjet, assuming the same orthodontic approach and expected dentoalveolar compensation. This article aims to confirm the relationship between pre-treatment overjet and mandibular advancement in Class II malocclusion patients with mixed dentition and to determine the threshold value of overjet beyond which this relationship becomes significant when the MTHA is used.

2. Materials and Methods

2.1. Selection of Participants

This retrospective analysis was conducted on 58 consecutively treated patients (30 males, 28 females; mean age 9.02 years) who received treatment in a private practice using the MTHA. The study adhered to the Declaration of Helsinki for experiments involving human subjects. It was approved by the Ethics Committee of Vita-Salute San Raffaele University (approval code DIG-RETRO-1/2021).
The inclusion criteria were as follows:
  • Mixed dentition (after the eruption of all incisors),
  • Class II skeletal relationship (ANB ≥ 4°), overjet ≥ 4 mm,
  • Bilateral Class II molar relationship of at least half a cusp,
  • Patients before the pubertal growth spurt (determined by the cervical vertebral maturation [CVM] method; CVM stage 1–2.
The exclusion criteria included:
  • Systemic disease,
  • Tooth agenesis,
  • Missing deciduous teeth,
  • Poor oral hygiene
  • Previous orthodontic treatment.

2.2. Procedure

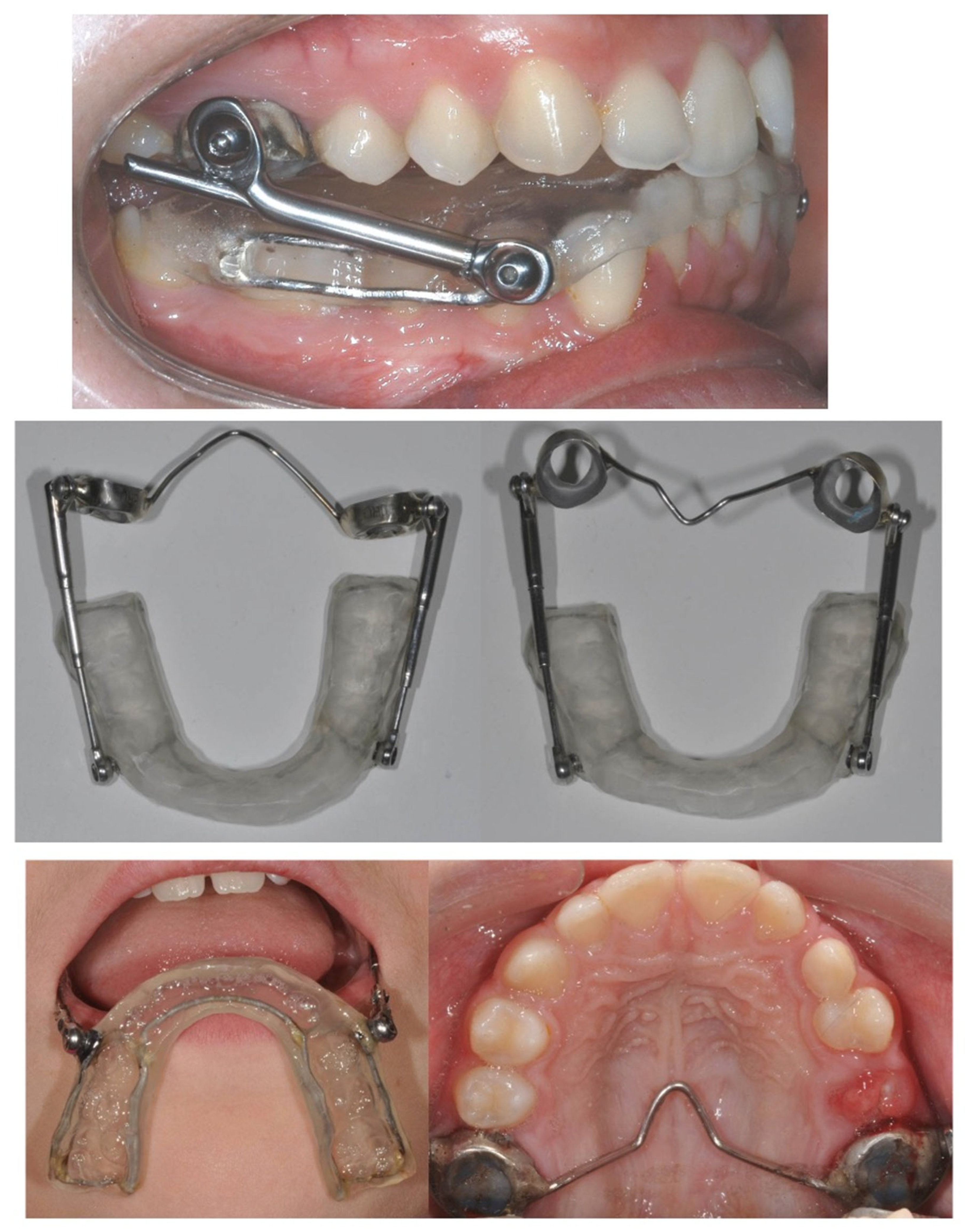
All patients received treatment with an MTHA (Manni Telescopic Herbst Appliance, American Orthodontics, Sheboygan, WI, USA) by a single operator (A.M.). The device is a no-compliance fixed functional appliance consisting of a fixed transpalatal bar cemented to the first maxillary molars and a lower acrylic splint. The splint is liftable to allow oral hygiene maneuvers in the lower arch but cannot be removed from the mouth. The resin-based splint occlusal surface is prepared to produce multiple even contacts in the protruding occlusal position. The upper and lower components are connected by a bilateral telescope mechanism that keeps the mandible in a continuous forward position [16,17] (Figure 1).
No multibracket appliance was utilized to alter the initial overjet before the application of the MTHA. The MTHA was initially activated with a 4–6 mm mandibular advancement. The mandible was gradually advanced in 2-mm increments every two months until a proper Class I relationship was achieved between the deciduous canines. Then, the appliance was kept in that position for an additional 2 months to encourage stabilization, the appliance was finally removed. The absence of posturing dual-bite at the end of treatment was assessed clinically and radiographically by comparing the Ar-Gn and Co-Gn distances. The confirmation of a high correlation index between pre-treatment and post-treatment measurements, as stated by other authors [18], provided reasonable confirmation of the absence of double closure. Lateral cephalograms were obtained for all treated patients by the same operator (A.M.), using the same X-ray machine, at the start of orthodontic treatment (T0) and immediately after removal of the Herbst appliance (T1). A cephalometric analysis was performed for each patient at both T0 and T1 by a single operator (E.G.). The cephalometric variables considered in the analysis included maxillary sagittal position (SNA°), mandibular sagittal position (SNB°), skeletal relationship (ANB° and WITS in mm), skeletal divergence (SN/GoGn°), maxillary incisor inclination (Is/PP°), mandibular incisor inclination (Ii/GoGn°), and overjet (OJ in mm). Additionally, mandibular length was measured using Co-Gn and Ar-Gn distance (in mm) for each patient.

2.3. Statistical Analysis

A sample size calculation was not conducted, as this is the first study of its kind. However, a convenience sample was used, which may serve as a basis for future related studies. The sample was divided based on the observation time (T0/T1) to compare differences in cephalometric variables. The normality of the quantitative variables was assessed using the Kolmogorov–Smirnov test. A non-parametric approach was applied based on the continuous variable distribution. Data are reported as mean ± standard deviation (SD), median (min to max), and interquartile range (IQR) for continuous variables and as frequency and percentage (%) for categorical variables. A p-value ≤ 0.05 was considered statistically significant. Spearman’s correlation matrix was performed to evaluate relationships between continuous variables (Table 1).
Table 2 summarizes the pre- and post-treatment variables, while Table 3 displays the differences between the observation periods (T0/T1). The Mann–Whitney U test assessed statistical differences between the two time points (T0/T1) (Table 3). Three rank-based estimation (RBE) regression models were constructed using the ANB difference (T1-T0) as the dependent variable and overjet (OJ) at T0 as the main regressor (Table 4). The first model (raw model) used only the overjet at T0 as the regressor. The second model added mandibular length to the first model’s regressor. The third model included the SN/GoGn angle at T0 and the variables from model 2. Similar RBE regression models were constructed using the WITS difference as the dependent variable and OJ quartiles at T0 as the regressors (Table 5). An RBE model was also built using the mandibular length (Ar-Gn) difference as the dependent variable, with initial OJ at T0 as the regressor (Table 6). The sample was divided into four quartiles based on pre-treatment overjet values to investigate different thresholds in the association between ANB or WITS and OJ (Table 7). Additional RBE regression models were then constructed using OJ quartiles as regressors, following the same approach as the first model (Table 8 and Table 9).

3. Results

3.1. Reliability

Intraclass correlation coefficients (ICC) were calculated for linear and angular measurements from 10 randomly selected cephalograms. Tracings were performed twice by the same operator, with a 12-week interval between sessions. The mean ICC value was 0.99 (range: 0.98 to 0.99) for linear and angular variables. The Co-Gn measurement was used to evaluate mandibular length differences to avoid multicollinearity in the prediction models. This choice was made after testing the correlation between Ar-Gn and Co-Gn lengths, which showed a strong positive correlation (rho: 0.84, p < 0.05).

3.2. Descriptive Data

The sample included 58 patients (30 males, 28 females) with a mean age of 9.01 years, all in cervical vertebral maturation (CVM) stages 1–2. The average treatment duration was 13.4 months, without significant differences among quartiles. Table 2 summarizes the pre- and post-treatment variables, while Table 3 displays the differences between the observation periods (T0/T1).
The overall assessment of the sample before and after treatment revealed significant skeletal changes, including a reduction in ANB (−1.37° ± 1.51°) and WITS (−3.15 ± 2.20 mm), as well as an increase in SNB (1.11° ± 1.38°). Regarding dental changes, there was a significant decrease in upper incisor inclination (−5.52° ± 4.71°) and an increase in lower incisor inclination (5.80° ± 4.91°), which resulted in a significant reduction in overjet (−5.05 ± 1.91 mm).

3.3. Quantitative Analysis

The three rank-based estimation (RBE) regression models (Table 4 and Table 5) revealed a statistically significant linear correlation between the initial overjet and the change in WITS. Specifically, for each 1 mm increase in overjet, there was a reduction of 0.65 mm in WITS. Similarly, a statistically significant linear association was found between the initial overjet and the change in ANB, with each 1 mm increase in overjet corresponding to a reduction of 0.28° in ANB. These associations remained significant even when pre-treatment mandibular length and skeletal divergence were included in the models.
On the contrary, no significant association was found between the mandibular length (Ar-Gn) difference and initial overjet (Table 6).
The sample was divided into quartiles, and pre- and post-treatment variables for each quartile are presented in Table 7.
Statistically significant differences were observed among the groups for the following variables: post-treatment SNB° (p = 0.04), changes in ANB° (p < 0.01), changes in WITS (mm) (p < 0.01), changes in lower incisor inclination (p < 0.01), pre-treatment overjet (OJ in mm) (p < 0.01), and changes in overjet (OJ in mm) (p < 0.01). No significant differences were detected in other variables.
Additional RBE regression models were constructed for ANB and WITS correction, using OJ quartiles as regressors as described in the first model (Table 8 and Table 9).
A significant relationship was found between the initial overjet and the reduction in ANB, particularly in the third quartile (OJ ranging from 8.0 to 9.1 mm) and the fourth quartile (OJ > 9.1 mm), with p < 0.01 and p = 0.02, respectively. Mandibular length and skeletal divergence did not influence this relationship. A similar significant relationship was found between the initial overjet and the reduction in WITS, particularly in the third and fourth quartiles, with p = 0.01. Again, mandibular length and skeletal divergence did not influence this relationship.

4. Discussion

Treating growing patients with skeletal Class II malocclusion can be challenging, as achieving a clinically appropriate advancement of the mandible is often unpredictable, even when the same appliance is used. However, an increased pre-treatment overjet has consistently been identified as a negative predictor of success for such interventions [4,5,6].
Building on previous findings [14], which suggested that reducing dentoalveolar compensations and controlling the positions of the maxillary and mandibular incisors during therapy with MTHA could improve facially-focused treatment outcomes by enhancing mandibular advancement in young patients with skeletal Class II malocclusion, this study aimed to determine whether initial overjet could serve as a reliable predictor of treatment success during the mixed dentition phase. Specifically, the goal was to evaluate the relationship between the extent of pre-treatment overjet and mandibular advancement in skeletal Class II patients and identify a potential overjet threshold beyond which two-stage treatment would be most beneficial and effective. As mentioned earlier, a larger overjet is generally assumed to correlate with increased difficulty in achieving effective mandibular advancement [4,5,6]. However, our findings suggest a direct relationship between an initially elevated overjet and the correction degree of the ANB angle (p < 0.01). This trend was similarly confirmed for the WITS correction (p < 0.01). Specifically, for each 1 mm increase in overjet, there was a reduction of 0.28° in the ANB angle and 0.65 mm in the WITS measurement.
Additionally, the relation between pre-treatment overjet and the corrections in SNA° (p = 0.57) and SNB° (p = 0.02) suggests that the observed changes were primarily due to mandibular advancement, rather than maxillary distalization. To determine the threshold value of overjet at which this relationship becomes particularly significant, the patients were divided into four subgroups (quartiles) based on the severity of their overjet. Analysis of the relationship between overjet (OJ) and the correction of ANB and WITS across quartiles revealed statistically significant results, particularly in the third and fourth quartiles, representing the groups with the highest overjet (higher than 8.0 mm). In these subgroups, the correction of the ANB angle (p < 0.01 in the third and p = 0.02 in the fourth quartile) and WITS measurement (p = 0.01 in both the quartiles) were particularly pronounced, likely because the remaining overjet, despite unwanted dentoalveolar compensation movements, provided sufficient space to achieve a more meaningful mandibular advancement.
This response may be attributable to geometric factors. In treating Class II malocclusion with fixed functional appliances, specific side effects from dental movements, such as the upper incisors’ lingual inclination and the lower incisors’ buccal inclination, can limit mandibular advancement once interarch incisor contact is reached. These dentoalveolar compensations effectively “consume” some of the available overjet, reducing the sagittal space needed for increased mandibular advancement. This likely explains why patients with a reduced initial overjet exhibited less mandibular advancement than those with an increased initial overjet.
Moreover, although an initially increased overjet is generally related to more pronounced dentoalveolar compensations [19,20,21], when the overjet is significantly large, particularly beyond the threshold of 8 mm, these dental movements, despite being increased, may not limit increased mandibular advancement.
The study results, showing that an increase in initial overjet correlates with greater ANB correction, are consistent with findings from a study conducted on patients with permanent dentition with the same appliance [14]. When the vertical dimension was included as a variable, no significant differences were observed compared to the previous models. This finding supports the idea that when the Herbst appliance with a resin-based splint is used, vertical control leads to similar outcomes across hypo-, normo-, and hyperdivergent patients [22,23], which differs from the results typically observed with traditional Herbst appliances [24,25,26,27]. Furthermore, by increasing the vertical distance between the upper and lower arches, the resin splint itself may provide additional space for mandibular advancement.
The increase in mandibular length was similar across the four quartiles and was consistent and comparable to findings reported in the literature. Previous studies indicated an expected growth of 1–2 mm per year, while functional appliances can contribute about an additional 1–2 mm [3]. Furthermore, no correlation was found between the increase in mandibular length and the initial overjet. Considering the absence of a double bite (clinically verified and confirmed by significant correlation between Co-Gn and Ar-Gn variables) and the similar mandibular rotation observed across all quartiles, it is reasonable to hypothesize that different skeletal correction primarily occurs through mandibular advancement rather than mandibular growth. This would imply the hypothesis of some remodeling of the glenoid fossa [3,28,29,30]. However, this should be considered with caution since the evaluation of the fossa cannot be reliably assessed using lateral cephalometric analysis. Another possible reason for the improved mandibular projection may be a counterclockwise rotation of the mandible due to the posterior upper teeth’s relative intrusion as a side effect of the force delivery, as previously stated [31].
The skeletal results showed in the current study are not superior to one-phase treatment [32], confirming that most patients with skeletal Class II malocclusion should ideally be treated in a single phase during permanent dentition at the pubertal peak to maximize treatment efficiency [33]. At this stage, anchorage systems, such as skeletal anchorage in one or both arches, can control overjet and limit unfavorable compensations by managing dental movements. Extracting two lower premolars may also increase overjet and facilitate proper mandibular advancement [34].
However, although early treatment is generally considered less effective than treatment during the pubertal peak, and despite some controversial opinions [35], several studies support early two-phase management for patients at increased risk of trauma [7,8,9] or in specific situations, such as addressing bullying-related concerns [10]. While less efficient than a one-phase approach, early treatment may still be effective in reducing the risk of trauma to the upper incisors [7], especially when the overjet is significantly increased [9]. Moreover, it may be logical to infer that the greater the overjet, the higher the likelihood of both bullying and trauma, even though anterior teeth trauma might also be related to the type of physical activity of children [36]. From this perspective, if patients present with an initial overjet greater than 8.0 mm, it may be advisable to initiate treatment at an earlier stage, especially in cases of bullying or increased risk of trauma. In fact, the amount of mandibular advancement achievable in these cases appears comparable to that reported in the literature during the pubertal peak [7]. In such instances, increased pre-treatment overjet could be considered a positive predictor of treatment success rather than the negative predictor traditionally described in the literature [4,5,6].

Limitations

This article was the first one underlining a positive relationship between the amount of pre-treatment overjet and the extent of mandibular advancement in Class II malocclusion correction during mixed dentition. In fact, despite the brief treatment duration and the temporal distance of the considered patients from the pubertal growth peak, the analysis of expected craniofacial changes could be helpful in better evaluating the true therapeutic efficacy of this approach and its impact on facial aesthetics. However, despite the promising results, some limitations of this study need to be stated. The first one is represented by its retrospective design, underscoring the need for randomized controlled trials to confirm these findings.
Secondly, a larger sample size, together with long-term follow-up and comparisons with patients treated in a single phase at the pubertal peak, would be essential to assess the stability and effectiveness of the treatment. Nevertheless, although the absence of an untreated control group might be perceived as a limitation, it would not provide, in this case, additional clarity in addressing the study hypothesis due to the division of the sample into quartiles.

5. Conclusions

Considering the retrospective case series nature of this study, it can be suggested that a large overjet may serve as a positive predictive factor for early skeletal correction of Class II malocclusions in mixed dentition when fixed functional appliances with acrylic splints, such as the Herbst MTHA, are used.
Main findings were:
  • A direct correlation was identified between pre-treatment overjet and a reduction in the WITS index, where for every 1 mm increase in overjet, a decrease of 0.65 mm in the WITS index is observed,
  • A direct correlation was identified between pre-treatment overjet and a reduction in the ANB angle, where for every 1 mm increase in overjet, a decrease of 0.28 degrees in the ANB angle is observed. This correction was primarily due to an increase in the SNB angle,
  • This correlation becomes particularly significant when the initial overjet exceeds 8.0 mm,
  • When using an acrylic splint Herbst appliance, such as the MTHA, the results do not appear to be influenced by vertical dimension.

Author Contributions

A.M. contributed to conceptualization, methodology, Writing—original draft. E.G. contributed to Data Curation. F.C. contributed to formal analysis. G.G. contributed to Supervision, Writing—review and editing. M.C. contributed to methodology, Writing—review and editing. A.B. contributed to conceptualization, methodology, Writing—original draft. All authors have read and agreed to the published version of the manuscript.

Funding

This research received no external funding.

Institutional Review Board Statement

The study was conducted in accordance with the Declaration of Helsinki and was approved by the Ethics Committee of Vita-Salute San Raffaele University (approval code DIG-RETRO-1/2021, 15 December 2021).

Informed Consent Statement

Informed consent was obtained from all subjects involved in the study.

Data Availability Statement

The original contributions presented in this study are included in the article. Further inquiries can be directed to the corresponding author.

Conflicts of Interest

The authors declare no conflicts of interest.

References

  1. Proffit, W.R.; Fields, H.W., Jr.; Moray, L.J. Prevalence of malocclusion and orthodontic treatment need in the United States: Estimates from the NHANES III survey. Int. J. Adult Orthod. Orthognath. Surg. 1998, 13, 97–106. [Google Scholar]
  2. LaHaye, M.B.; Buschang, P.H.; Boley, J.C. Orthodontic treatment changes of chin position in Class II Division 1 patients. Am. J. Orthod. Dentofac. Orthop. 2006, 130, 732–741. [Google Scholar] [CrossRef]
  3. Cozza, P.; Baccetti, T.; Franchi, L.; De Toffol, L.; McNamara, J.A. Mandibular changes produced by functional appliances in Class II malocclusion: A systematic review. Am. J. Orthod. Dentofac. Orthop. 2006, 129, 599.e1–599.e12. [Google Scholar] [CrossRef]
  4. Burden, D.J.; McGuinness, N.; Stevenson, M.; McNamara, T. Predictors of outcome among patients with Class II Division 1 malocclusion treated with fixed appliances in the permanent dentition. Am. J. Orthod. Dentofac. Orthop. 1999, 116, 452–459. [Google Scholar] [CrossRef]
  5. Proffit, W.R.; Phillips, C.; Tulloch, J.F.; Medland, P.H. Surgical versus orthodontic correction of skeletal Class II malocclusion in adolescents: Effects and indications. Int. J. Adult Orthod. Orthognath. Surg. 1992, 7, 209–220. [Google Scholar]
  6. Drage, K.J.; Hunt, N.P. Overjet relapse following functional appliance therapy. Br. J. Orthod. 1990, 17, 205–213. [Google Scholar] [CrossRef] [PubMed]
  7. Batista, K.B.S.L.; Thiruvenkatachari, B.; Harrison, J.E.; O’Brien, K.D. Orthodontic treatment for prominent upper front teeth (Class II malocclusion) in children and adolescents. Cochrane Database Syst. Rev. 2018, 2018, CD003452. [Google Scholar] [CrossRef]
  8. Kalha, A.S. Early orthodontic treatment reduced incisal trauma in children with class II malocclusions. Evid. Based Dent. 2014, 15, 18–20. [Google Scholar] [CrossRef]
  9. Nguyen, Q.V.; Bezemer, P.D.; Habets, L.; Prahl-Andersen, B. A systematic review of the relationship between overjet size and traumatic dental injuries. Eur. J. Orthod. 1999, 21, 503–515. [Google Scholar] [CrossRef]
  10. Morales-Salazar, S.A.; Monteagudo-Sangama, J.M.; Arriola-Guillén, L.E. Influence of dentofacial characteristics on the appearance of self-reported bullying: A review. Dent. Med. Probl. 2022, 59, 657–661. [Google Scholar] [CrossRef]
  11. Franchi, L.; Baccetti, T. Prediction of individual mandibular changes induced by functional jaw orthopedics followed by fixed appliances in Class II patients. Angle Orthod. 2006, 76, 950–954. [Google Scholar] [CrossRef] [PubMed]
  12. Kim, J.E.; Mah, S.J.; Kim, T.W.; Kim, S.-J.; Park, K.-H.; Kang, Y.-G. Predictors of favorable soft tissue profile outcomes following Class II Twin-block treatment. Korean J. Orthod. 2018, 48, 11–22. [Google Scholar] [CrossRef]
  13. Burk, S.M.; Charipova, K.; Orra, S.; Harbour, P.W.; Mishu, M.D.; Baker, S.B. A surgeon’s perspective on the uncorrected skeletal deformity. part II: The role of esthetic surgery for orthognathic camouflage. Am. J. Orthod. Dentofac. Orthop. 2022, 161, 878–885. [Google Scholar] [CrossRef]
  14. Manni, A.; Mutinelli, S.; Cerruto, C.; Cozzani, M. Influence of incisor position control on the mandibular response in growing patients with skeletal Class II malocclusion. Am. J. Orthod. Dentofac. Orthop. 2021, 159, 594–603. [Google Scholar] [CrossRef] [PubMed]
  15. Taloumtzi, M.; Padashi-Fard, M.; Pandis, N.; Fleming, P.S. Skeletal growth in class II malocclusion from childhood to adolescence: Does the profile straighten? Prog. Orthod. 2020, 21, 13. [Google Scholar] [CrossRef]
  16. Manni, A.; Cozzani, M.; Mazzotta, L.; Fiore, V.P.; Mutinelli, S. Acrylic splint Herbst and Hanks telescoping Herbst: A retrospective study of emergencies, retreatments, treatment times and failures. Int. Orthod. 2014, 12, 100–110. [Google Scholar] [CrossRef]
  17. Manni, A.; Mutinelli, S.; Cerruto, C.; Giraudo, P.; Romano, R.; Cozzani, M. Comparison of complications in the conventional telescopic Herbst rod and tube and Manni telescopic Herbst: A retrospective clinical study. Angle Orthod. 2018, 88, 377–383. [Google Scholar] [CrossRef] [PubMed]
  18. Haas, D.W.; Martinez, D.F.; Eckert, G.J.; Diers, N.R. Measurements of mandibular length: A comparison of articulare vs condylion. Angle Orthod. 2001, 71, 210–215. [Google Scholar]
  19. Pancherz, H.; Hensen, K. Occlusal changes during and after Herbst treatment: A cephalometric investigation. Eur. J. Orthod. 1986, 8, 215–228. [Google Scholar] [CrossRef]
  20. Pancherz, H. The Herbst appliance—Its biologic effects and clinical use. Am. J. Orthod. Dentofac. Orthop. 1985, 87, 1–20. [Google Scholar] [CrossRef]
  21. Konik, M.; Pancherz, H.; Hansen, K. The mechanism of Class II correction in late Herbst treatment. Am. J. Orthod. Dentofac. Orthop. 1997, 112, 87–91. [Google Scholar] [CrossRef]
  22. Manni, A.; Migliorati, M.; Boggio, A.; Drago, S.; Paggi, E.; Calzolari, C.; Gastaldi, G.; Cozzani, M. Evaluation of the Co–Go–Me angle as a predictor in Class II patients treated with Herbst appliance and skeletal anchorage: A retrospective cohort study. Front. Oral Health 2024, 5, 1389628. [Google Scholar] [CrossRef] [PubMed]
  23. Giuca, M.R.; Pasini, M.; Drago, S.; Del Corso, L.; Vanni, A.; Carli, E.; Manni, A. Influence of vertical facial growth pattern on herbst appliance effects in prepubertal patients: A retrospective controlled study. Int. J. Dent. 2020, 2020, 1018793. [Google Scholar] [CrossRef] [PubMed]
  24. Perinetti, G.; Primožič, J.; Franchi, L.; Contardo, L. Treatment effects of removable functional appliances in pre-pubertal and pubertal Class II patients: A systematic review and meta-analysis of controlled studies. PLoS ONE 2015, 10, e0141198. [Google Scholar] [CrossRef]
  25. Baysal, A.; Uysal, T. Dentoskeletal effects of Twin Block and Herbst appliances in patients with Class II division 1 mandibular retrognathy. Eur. J. Orthod. 2014, 36, 164–172. [Google Scholar] [CrossRef] [PubMed]
  26. Pancherz, H. Vertical dentofacial changes during Herbst appliance treatment. A cephalometric investigation. Swed. Dent. J. 1982, 15, 189–196. [Google Scholar]
  27. Yang, X.; Zhu, Y.; Long, H.; Zhou, Y.; Jian, F.; Ye, N.; Gao, M.; Lai, W. The effectiveness of the Herbst appliance for patients with Class II malocclusion: A meta-analysis. Eur. J. Orthod. 2016, 38, 324–333. [Google Scholar] [CrossRef]
  28. Ruf, S.; Pancherz, H. Temporomandibular joint remodeling in adolescents and young adults during Herbst treatment: A prospective longitudinal magnetic resonance imaging and cephalometric radiographic investigation. Am. J. Orthod. Dentofac. Orthop. 1999, 115, 607–618. [Google Scholar] [CrossRef]
  29. Voudouris, J.C.; Woodside, D.G.; Altuna, G.; Angelopoulos, G.; Bourque, P.J.; Lacouture, C.Y. Condyle-fossa modifications and muscle interactions during Herbst treatment, Part 2. Results and conclusions. Am. J. Orthod. Dentofac. Orthop. 2003, 124, 13–29. [Google Scholar] [CrossRef]
  30. Rabie, A.B.; Zhao, Z.; Shen, G.; Hägg, E.; Robinson, W. Osteogenesis in the glenoid fossa in response to mandibular advancement. Am. J. Orthod. Dentofac. Orthop. 2001, 119, 390–400. [Google Scholar] [CrossRef]
  31. Buschang, P.H.; Jacob, H.B. Mandibular rotation revisited: What makes it so important? Semin. Orthod. 2014, 20, 299–315. [Google Scholar] [CrossRef]
  32. Veitz-Keenan, A.; Liu, N. One phase or two phase orthodontic treatment for Class II division 1 malocclusion? Evid.-Based Dent. 2019, 20, 72–73. [Google Scholar] [CrossRef]
  33. Pancherz, H.; Hägg, U. Dentofacial orthopedics in relation to somatic maturation: An analysis of 70 consecutive cases treated with the Herbst appliance. Am. J. Orthod. Dentofac. Orthop. 1985, 88, 273–287. [Google Scholar] [CrossRef] [PubMed]
  34. Manni, A.; Cozzani, M.; Paggi, E. Herbst and Extractions of Two Lower Premolars to Correct a Second Class Patient with Thin Gingival Biotype. Open Access J. Dent. Oral Surg. 2022, 3, 1–5. [Google Scholar]
  35. Koroluk, L.D.; Tulloch, J.F.C.; Phillips, C. Incisor trauma and early treatment for Class II Division 1 malocclusion. Am. J. Orthod. Dentofac. Orthop. 2003, 123, 117–125. [Google Scholar] [CrossRef]
  36. Naeini, H.S.; Lindqvist, K.; Jafari, H.R.; Hossein Mirlohi, A.; Dalal, K. Playground injuries in children. Open Access J. Sports Med. 2011, 24, 61–68. [Google Scholar] [CrossRef]
Figure 1. The MTH Appliance.
Figure 1. The MTH Appliance.
Oral 05 00046 g001
Table 1. Spearman’s correlation matrix of overjet (T0).
Table 1. Spearman’s correlation matrix of overjet (T0).
Rhop Value
Age (years)−0.080.53
SNA (T0)−0.160.23
SNA (T1)−0.150.26
(T1-T0) SNA−0.080.57
SNB (T0)−0.280.04
SNB (T1)−0.130.33
(T1-T0) SNB0.30.02
ANB (T0)0.270.04
ANB (T1)−0.10.44
(T1-T0) ANB−0.45<0.01
WITS (T0)0.37<0.01
WITS (T1)−0.140.29
(T1-T0) WITS−0.47<0.01
SN/GoGn (T0)−0.020.88
SN/GoGn (T1)−0.010.93
(T1-T0) SN/GoGn−0.010.96
Is/PP (T0)0.130.35
Is/PP (T1)−0.130.32
(T1-T0) Is/PP−0.290.02
II/GoGn (T0)−0.080.56
Ii/GoGn (T1)0.130.32
(T1-T0) Ii/GoGn0.30.02
OJ (T0)1NA
OJ (T1)0.160.22
(T1-T0) Oj−0.8<0.01
Co-Gn (T0)0.040.70
Co-Gn (T1)−0.020.86
Co-Gn (T1-T0)−0.220.12
Ar-Gn (T0)−0.020.85
Ar-Gn (T1)−0.040.77
Ar-GN (T1-T0)−0.130.37
T1-T0 (months)−0.030.83
Table 2. Description of the whole sample. N:58. All data are shown as mean ± sd, median (iqr) for continuous variables, and n (%) for categorical ones.
Table 2. Description of the whole sample. N:58. All data are shown as mean ± sd, median (iqr) for continuous variables, and n (%) for categorical ones.
Mean ± SdMedian (iqr)
Age (year)9.016 ± 1.389 (2)
Sex
Female28 (48.30)
Male30 (51.70)
SNA (T0)80.828 ± 2.97981.05 (4.575)
SNA (T1)80.567 ± 3.26680.2 (4.3)
SNA difference (T1-T0)−0.231 ± 1.577−0.35 (1.925)
SNB (T0)75.024 ± 2.94575 (4.725)
SNB (T1)76.131 ± 3.15875.95 (4.85)
SNB difference (T1-T0)1.107 ± 1.3761 (1.875)
ANB (T0)5.797 ± 1.6566.15 (1.975)
ANB (T1)4.429 ± 1.54.5 (2.025)
ANB difference (T1-T0)−1.367 ± 1.509−1.4 (1.75)
WITS (T0)3.241 ± 2.1553 (3)
WITS (T1)0.086 ± 1.6680 (2)
WITS difference (T1-T0)−3.155 ± 2.199−3 (3.5)
SN/GoGn (T0)33.971 ± 4.77934.15 (7.025)
SN/GoGn (T1)34.1 ± 5.25333.15 (6.775)
SN/GoGn difference (T1-T0)0.129 ± 2.2270.1 (3.225)
Is/PP (T0)114.203 ± 5.491114.35 (6.825)
Is/PP (T1)108.681 ± 5.267108.75 (7.5)
Is/PP difference (T1-T0)−5.522 ± 4.714−5.35 (5.2)
II/GoGn (T0)96.457 ± 6.92296.7 (9.6)
Ii/GoGn (T1)102.259 ± 6.998102.8 (10.75)
Ii/GoGn difference (T1-T0)5.802 ± 4.9175.65 (5.25)
OJ (T0)8.269 ± 1.7758 (2.125)
OJ (T1)3.219 ± 1.0443.35 (1.525)
Overjet difference (T1-T0)−5.05 ± 1.909−4.7 (2.475)
Co-Gn (T0)96.762 ± 6.00697.45 (7.35)
Co-Gn (T1)99.731 ± 5.972100.4 (8.475)
Co-Gn difference (T1-T0) 2.969 ± 1.463 (2.05)
Ar-Gn (T0)92.787 ± 6.28993 (7)
Ar-Gn (T1)96.340 ± 6.41096 (7.5)
Ar-Gn difference (T1-T0)3.553 ± 2.1854 (3)
T1-T0 (months)13.362 ± 1.8813 (2)
Table 3. Description of the whole sample according to time of observation (T0/T1). All data are continuous and shown as mean ± sd and median (iqr).
Table 3. Description of the whole sample according to time of observation (T0/T1). All data are continuous and shown as mean ± sd and median (iqr).
T0T1
Mean ± SdMedian (iqr)Mean ± SdMedian (iqr)p-Value
SNA80.828 ± 2.97981.05 (4.575)80.567 ± 3.26680.2 (4.3)0.70
SNB75.024 ± 2.94575 (4.725)76.131 ± 3.15875.95 (4.85)0.07
ANB5.797 ± 1.6566.15 (1.975)4.429 ± 1.54.5 (2.025)<0.01
WITS3.241 ± 2.1553 (3)0.086 ± 1.6680 (2)<0.01
SN/GoGn33.971 ± 4.77934.15 (7.025)34.1 ± 5.25333.15 (6.775)0.80
Is/PP114.203 ± 5.491114.35 (6.825)108.681 ± 5.267108.75 (7.5)<0.01
II/GoGn96.457 ± 6.92296.7 (9.6)102.259 ± 6.998102.8 (10.75)<0.01
OJ8.269 ± 1.7758 (2.125)3.219 ± 1.0443.35 (1.525)<0.01
Ar-Gn92.787 ± 6.28993 (7)96.340 ± 6.41096 (7.5)<0.01
Co-Gn96.762 ± 6.00697.45 (7.35)99.731 ± 5.972100.4 (8.475)0.02
Table 4. Rank-based estimation regression model on ANB difference as the dependent variable and regressors.
Table 4. Rank-based estimation regression model on ANB difference as the dependent variable and regressors.
Model 1Model 2Model 3
BetaStand. Err.CI 95%pBetaStand. Err.CI 95%pBetaStand. Err.CI 95%p
OJ (T0)−0.280.08−0.4 to −0.13<0.01−0.280.08−0.45 to −0.11<0.01−0.290.09−0.46 to −0.11<0.01
Co-Gn (T0) 0.030.02−0.01 to 0.090.140.020.02−0.01 to 0.090.16
SN/GoGn (T0) 0.020.04−0.06 to 0.090.72
Table 5. Rank-based estimation regression model on WITS difference as the dependent variable and regressors.
Table 5. Rank-based estimation regression model on WITS difference as the dependent variable and regressors.
Model 1Model 2Model 3
BetaStand. Err.CI 95%pBetaStand. Err.CI 95%pBetaStand. Err.CI 95%p
OJ (T0)−0.650.15−0.95 to −0.36<0.01−0.640.15−0.95 to −0.33<0.01−0.620.16−0.94 to −0.31<0.01
Co-Gn (T0) 0.010.04−0.07 to 0.100.710.040.05−0.05 to 0.140.35
SN/GoGn (T0) 0.050.07−0.08 to 0.190.46
Table 6. Rank-based estimation regression model on mandibular length difference as the dependent variable and regressors.
Table 6. Rank-based estimation regression model on mandibular length difference as the dependent variable and regressors.
BetaStand. Err.CI 95%p
OJ (T0)0.020.12−0.22 to 0.270.84
Table 7. Description of the whole sample according to overjet (T0) quartiles. N:58. All data are shown as mean ± sd, median (iqr) for continuous variables, and n (%) for categorical ones *.
Table 7. Description of the whole sample according to overjet (T0) quartiles. N:58. All data are shown as mean ± sd, median (iqr) for continuous variables, and n (%) for categorical ones *.
1st Quartile (≤6.950)2nd Quartile (6.951–8.000)3rd Quartile (8.001–9.075)4th Quartile (>9.076)
Mean ± SdMedian (iqr)Mean ± SdMedian (iqr)Mean ± SdMedian (iqr)Mean ± SdMedian (iqr)p-Value
Age (years)9.067 ± 1.33510 (2)9.315 ± 1.7039 (3.105)9.092 ± 1.2699 (2)8.6 ± 1.1839 (1.5)0.76
Sex
Female9 (60.00) 8 (53.30) 4 (30.80) 7 (46.70) 0.45
Male6 (40.00) 7 (46.70) 9 (69.20) 8 (53.30)
SNA (T0)80.84 ± 2.30180.5 (4.3)81.187 ± 3.30582.1 (3.9)81.985 ± 3.32381.6 (6.1)79.453 ± 2.65378.7 (4.6)0.15
SNA (T1)80.527 ± 2.65579.8 (3.3)80.973 ± 3.73180.4 (6)81.8 ± 3.20681.9 (3.5)79.133 ± 3.13979.4 (3.75)0.18
SNA difference (T1-T0)−0.313 ± 1.208−0.1 (1.35)−0.025 ± 1.311−0.2 (1.325)−0.225 ± 2.253−0.6 (2.35)−0.32 ± 1.602−0.1 (2.15)0.90
SNB (T0)75.587 ± 2.20875.4 (3.95)75.187 ± 3.0875.7 (5)76.192 ± 3.06976.3 (3.1)73.287 ± 2.8372.4 (3.7)0.06
SNB (T1)76.2 ± 2.41775.6 (2.45)75.847 ± 3.73275.9 (5.8)77.892 ± 2.97577.3 (3.7)74.82 ± 2.90574.4 (3.3)0.04
SNB difference (T1-T0)0.613 ± 1.2080.6 (1.8)0.66 ± 1.0360.6 (1.55)1.7 ± 1.7081.7 (2.2)1.533 ± 1.2951.7 (2.2)0.09
ANB (T0)5.227 ± 0.865.2 (1.05)6.007 ± 1.4056.5 (1.65)5.785 ± 1.7716.3 (2)6.167 ± 2.2856.7 (2.5)0.11
ANB (T1)4.327 ± 1.3234.3 (1.85)5.107 ± 1.1595 (1.15)3.892 ± 1.5593.3 (2.6)4.32 ± 1.7914.3 (1.45)0.15
ANB difference (T1-T0)−0.9 ± 0.831−0.8 (1.1)−0.9 ± 1.061−1.3 (1.35)−1.892 ± 2.068−2.3 (2.4)−1.847 ± 1.678−1.9 (1.45)<0.01
WITS (T0)2.4 ± 1.7652 (1.5)2.8 ± 2.213 (2)3.538 ± 2.1453 (3)4.267 ± 2.1875 (3)0.06
WITS (T1)0.2 ± 1.4740 (1.5)0.533 ± 1.4570 (2.5)−0.308 ± 2.3230 (3)−0.133 ± 1.4070 (2)0.57
WITS difference (T1-T0)−2.2 ± 1.373−2 (2.5)−2.267 ± 1.668−2 (1.5)−3.846 ± 2.544−4 (4)−4.4 ± 2.354−4 (2.5)<0.01
SN/GoGn (T0)33.34 ± 3.43533.7 (5.3)35.727 ± 5.05137.8 (8.5)31.462 ± 5.03230.7 (7.4)35.02 ± 4.81833.9 (4.5)0.18
SN/GoGn (T1)33.513 ± 4.22833 (3.7)36.253 ± 5.47136.4 (9.2)31.215 ± 4.51531.3 (6.3)35.033 ± 5.75234.8 (6.35)0.09
SN/GoGn difference (T1-T0)0.173 ± 2.276−0.7 (3.7)0.527 ± 2.1540.9 (2.45)−0.246 ± 2.470.2 (2.5)0.013 ± 2.1980.1 (2.9)0.80
Is/PP (T0)114.42 ± 3.502114.1 (3.05)111.933 ± 4.512112.1 (6.1)114.723 ± 5.569114.6 (8.8)115.807 ± 7.415115.4 (9.3)0.39
Is/PP (T1)109.487 ± 4.56111 (6.8)108.233 ± 4.108108.7 (7)108.746 ± 6.929108.7 (7.6)108.267 ± 5.746108.7 (6.75)0.70
Is/PP difference (T1-T0)−4.933 ± 2.939−4.7 (4.1)−3.7 ± 4.133−4.2 (3.45)−5.977 ± 6.515−6.6 (4.8)−7.54 ± 4.458−7.2 (5.05)0.06
II/GoGn (T0)98.1 ± 6.94699.9 (6.6)95.713 ± 6.81596.3 (10.7)97.023 ± 7.69796.1 (10.2)95.067 ± 6.61396.6 (7)0.69
Ii/GoGn (T1)102.507 ± 7.693103 (6.6)99.953 ± 6.268101.8 (8.35)102.338 ± 7.182100.8 (7.4)104.247 ± 6.833104.3 (9.35)0.37
Ii/GoGn difference (T1-T0)4.407 ± 3.7195.4 (5.25)4.24 ± 3.624.8 (3.9)5.315 ± 6.2344.8 (5.3)9.18 ± 4.5868.5 (7.3)<0.01
OJ (T0)6.34 ± 0.5726.6 (0.65)7.547 ± 0.3937.6 (0.75)8.531 ± 0.3438.6 (0.6)10.693 ± 1.15810.8 (1.5)<0.01
OJ (T1)2.94 ± 0.93 (1.45)3.32 ± 0.8993.4 (1.2)3.146 ± 1.3613.2 (2.3)3.46 ± 1.0363.7 (0.95)0.54
Overjet difference (T1-T0)−3.4 ± 1.129−3.2 (1.95)−4.227 ± 1.058−4.2 (1.25)−5.385 ± 1.36−5.5 (1.5)−7.233 ± 1.414−7.1 (2.05)<0.01
Co-Gn (T0)96.614 ± 4.52796.85 (4.425)98.156 ± 7.62699.9 (11.1)100.845 ± 4.955101.7 (4.8)96.069 ± 7.11795.4 (5)0.21
Co-Gn (T1)100.486 ± 4.971100.4 (4.45)101.733 ± 8.624105.5 (10)104.018 ± 5.122105.4 (4.6)99.031 ± 6.775100.2 (6.6)0.20
Co-Gn difference (T1-T0)3.871 ± 2.0123.9 (2.05)3.578 ± 1.7183.9 (3)3.173 ± 1.7233 (2.6)2.962 ± 1.8373.4 (2)0.61
Ar-Gn (T0)92 ± 4.64193 (4.5)93.222 ± 7.94995 (11)95.818 ± 4.99697 (7)90.769 ± 7.1991 (4)0.25
Ar-Gn (T1)95.857 ± 5.21696 (4.75)96.667 ± 8.818100 (11)99.364 ± 4.802100 (4.5)94.077 ± 6.53895 (5)0.16
Ar-Gn difference (T1-T0)3.857 ± 2.3814 (2.75)3.444 ± 1.4243 (2)3.545 ± 2.2964 (3.5)3.308 ± 2.4964 (4)0.93
T1-T0 (months)12.8 ± 1.78112 (2)13.8 ± 1.56813 (1.5)14.231 ± 2.35114 (2)12.733 ± 1.53412 (1)0.08
* Kruskal–Wallis rank-sum test for independent samples for continuous variables, and Chi-squared test for categorical ones.
Table 8. Rank-based estimation regression model on ANB difference as the dependent variable and regressors (quartiles).
Table 8. Rank-based estimation regression model on ANB difference as the dependent variable and regressors (quartiles).
Model 1Model 2Model 3
BetaStand. Err.CI 95%pBetaStand. Err.CI 95%pBetaStand. Err.CI 95%p
OJ (T0) (2nd quartile)−0.10.49−1.06 to 0.860.830.140.53−0.90 to 1.180.790.150.55−0.92 to 1.240.77
OJ (T0) (3rd quartile)−1.40.51−2.40 to −0.39<0.01−1.200.51−2.21 to −0.190.02−1.230.53−2.28 to −0.170.02
OJ (T0) (4th quartile)−1.20.49−2.16 to −0.230.02−1.260.47−2.63 to −0.32<0.01−1.250.49−2.22 to −0.260.01
Co-Gn (T0) 0.040.04−0.02 to 0.100.120.040.03−0.02 to 0.110.16
SN/GoGn (T0) −0.010.05−0.10 to 0.090.87
Table 9. Rank-based estimation regression model on WITS difference as the dependent variable and regressors (quartiles).
Table 9. Rank-based estimation regression model on WITS difference as the dependent variable and regressors (quartiles).
Model 1Model 2Model 3
BetaStand. Err.CI 95%pBetaStand. Err.CI 95%pBetaStand. Err.CI 95%p
OJ (T0) (2nd quartile)0.020.01−0.01 to 0.030.990.150.78−1.38 to 1.690.840.160.77−1.36 to 1.680.83
OJ (T0) (3rd quartile)−2.000.01−3.67 to −0.320.01−2.440.76−1.38 to −0.94<0.01−2.460.75−3.94 to 1.68<0.01
OJ (T0) (4th quartile)−2.000.01−3.60 to −0.390.01−2.460.70−3.84 to −1.07<0.01−2.490.70−3.86 to −0.94<0.01
Co-Gn (T0) 0.060.04−0.02 to 0.160.120.060.04−0.02 to 0.160.13
SN/GoGn (T0) −0.010.06−0.13 to 0.110.89
Disclaimer/Publisher’s Note: The statements, opinions and data contained in all publications are solely those of the individual author(s) and contributor(s) and not of MDPI and/or the editor(s). MDPI and/or the editor(s) disclaim responsibility for any injury to people or property resulting from any ideas, methods, instructions or products referred to in the content.

Share and Cite

MDPI and ACS Style

Manni, A.; Gotti, E.; Castellana, F.; Gastaldi, G.; Cozzani, M.; Boggio, A. Increased Overjet as a Predictor of the Magnitude of Skeletal Class II Malocclusion Correction: A Retrospective Analysis of Early Treatment with the Manni Telescopic Herbst Appliance. Oral 2025, 5, 46. https://doi.org/10.3390/oral5020046

AMA Style

Manni A, Gotti E, Castellana F, Gastaldi G, Cozzani M, Boggio A. Increased Overjet as a Predictor of the Magnitude of Skeletal Class II Malocclusion Correction: A Retrospective Analysis of Early Treatment with the Manni Telescopic Herbst Appliance. Oral. 2025; 5(2):46. https://doi.org/10.3390/oral5020046

Chicago/Turabian Style

Manni, Antonio, Emma Gotti, Fabio Castellana, Giorgio Gastaldi, Mauro Cozzani, and Andrea Boggio. 2025. "Increased Overjet as a Predictor of the Magnitude of Skeletal Class II Malocclusion Correction: A Retrospective Analysis of Early Treatment with the Manni Telescopic Herbst Appliance" Oral 5, no. 2: 46. https://doi.org/10.3390/oral5020046

APA Style

Manni, A., Gotti, E., Castellana, F., Gastaldi, G., Cozzani, M., & Boggio, A. (2025). Increased Overjet as a Predictor of the Magnitude of Skeletal Class II Malocclusion Correction: A Retrospective Analysis of Early Treatment with the Manni Telescopic Herbst Appliance. Oral, 5(2), 46. https://doi.org/10.3390/oral5020046

Article Metrics

Back to TopTop