Densification of Ceramic Matrix Composite Preforms by Si2N2O Formed by Reaction of Si with SiO2 under High Nitrogen Pressure. Part 2: Materials Properties
Abstract
:1. Introduction
Oxidation of SiC and Si2N2O
2. Experimental Details
2.1. Oxidation Experiments
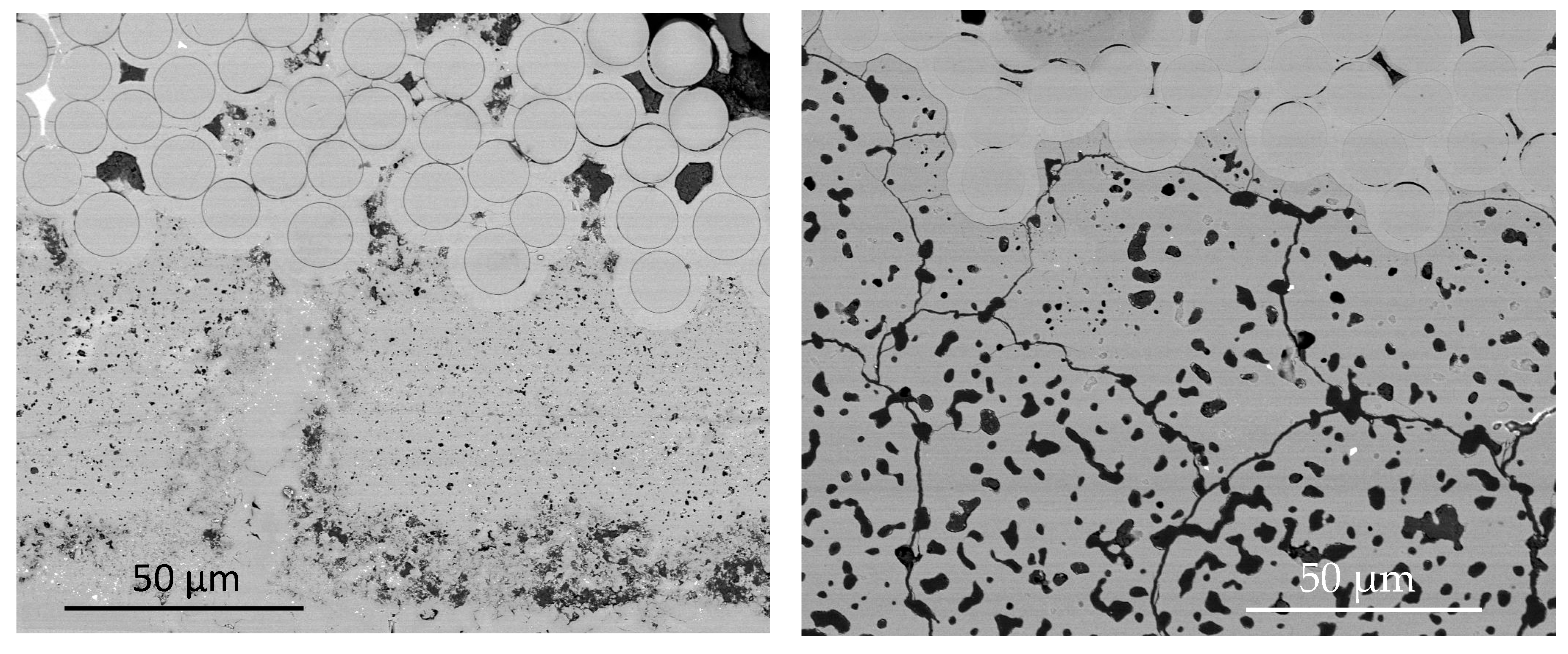
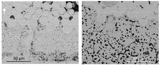
- A preform A, in which a 1-µm-thick consolidation layer made of SiC was first deposited by CVD. The preform was further impregnated by suction of submicron silicon powder slurry. Part of this silicon was finally oxidized in situ to provide the silica required for the Si2N2O synthesis reaction. The resulting composite matrix was composed of 90 wt% Si2N2O with the remaining 10% being Si3N4. The measured open residual porosity of the matrix was 20%.
- A preform B, in which a 5-µm-thick consolidation layer made of SiC was first deposited by CVD. The preform was further impregnated by suction of submicron silicon/silica (3/1) powder slurry. The resulting composite matrix was composed of 75 wt% Si2N2O with the remaining 25% being Si3N4. The measured open residual porosity of the matrix was 14%.
2.2. Mechanical Testing
- SiC consolidation layer: 5 µm thick,
- Powder mixture impregnated with a slurry composed of Si and SiO2 (Si/SiO2 = 3),
- Reaction synthesis carried out with a heating rate of 200 °C/min and under a nitrogen pressure of 2 GPa,
- In order to minimize the thermal residual stress, a cooling rate of 10 °C/min was imposed.
3. Results and Discussion
3.1. Oxidation Tests
3.2. Mechanical Tests
3.2.1. Indentation Test
3.2.2. Stress Test
3.2.3. Cycled Tensile Test
- Elastic modulus: 158 ± 3 GPa
- Elastic limit: 40 ± 3 MPa
- Ultimate tensile strength: 350 MPa
- Yield strain: 0.59
4. Conclusions
Author Contributions
Funding
Acknowledgments
Conflicts of Interest
References
- Naslain, R. Design, preparation and properties of non-oxide CMCs for application in engines and nuclear reactors: An overview. Compos. Sci. Technol. 2004, 64, 155–170. [Google Scholar] [CrossRef]
- Jacobson, N.S.; Myers, D.L. Active Oxidation of SiC. Oxid. Met. 2011, 75, 1–25. [Google Scholar] [CrossRef]
- Brisebourg, M.Q.; Rebillat, F.; Teyssandier, F. Oxidation of β-SiC at high temperature in Ar/O2, Ar/CO2, Ar/H2O gas mixtures: Active/passive transition. J. Eur. Ceram. Soc. 2018, 38, 4320–4328. [Google Scholar] [CrossRef]
- Opila, E.J.; Hann, R.E. Paralinear Oxidation of CVD SiC in Water Vapor. J. Am. Ceram. Soc. 1997, 80, 197–205. [Google Scholar] [CrossRef]
- Du, H.; Tressler, R.E.; Spear, K.E.; Pantano, C.G. Oxidation studies of crystalline CVD silicon Nitride. J. Electrochem. Soc. 1989, 136, 1527–1536. [Google Scholar] [CrossRef]
- Ogbuji, L.U.J.T.; Opila, E.J. A Comparison of the Oxidation Kinetics of SiC and Si3N4. J. Electrochem. Soc. 1995, 142, 925–930. [Google Scholar] [CrossRef]
- LOgbuji, U.J.T.; Bryan, S.R. The SiO2-Si3N4 Interface, Part I: Nature of the lnterphase. J. Am. Ceram. Soc. 1995, 78, 1272–1278. [Google Scholar] [CrossRef]
- Ogbuji, L.U.J.T. The SiO2-Si3N4 Interface, Part II: O2 Permeation and Oxidation Reaction. J. Am. Ceram. Soc. 1995, 78, 1279–1284. [Google Scholar] [CrossRef]
- Fourrier, A.; Bosseboeuf, A.; Bouchier, D.; Gautherin, G. Thermal Oxidation in Wet Oxygen of Reactive Ion-Beam Sputter-Deposited Silicon Nitride Films. Electrochem. Soc. 1991, 138, 1084–1089. [Google Scholar] [CrossRef]
- Washburn, M.E. Silicon oxynitride refractories. Am. Ceram. Soc. Bull. 1967, 46, 667–671. [Google Scholar]
- Lortholary, P.; Goursat, P.; Tétard, D.; Billy, M. Etude du système silicium-oxygène-azote. II de l’oxynitrure Si2N2O pulvérulent par l’oxygène au-dessus de 1100 °C. Rev. Int. Hautes Tempér. Réfract. 1972, 9, 325–332. [Google Scholar]
- Persson, J.; Käll, P.O.; Nygren, M. Interpretation of the parabolic and nonparabolic oxidation behavior of silicon oxynitride. J. Am. Ceram. Soc. 1992, 75, 3377–3384. [Google Scholar] [CrossRef]
- Manessis, D.; Du, H.; Larker, R. Oxydation studies of silicon oxynitride ceramics. J. Electrochem. Soc. 1998, 145, 1355–1360. [Google Scholar] [CrossRef]
- Ehlert, T.C.; Dean, T.P.; Billy, M.; Labbe, J.C. Thermal decomposition of the oxynitride of silicon. J. Am. Ceram. Soc. 1980, 63, 235–236. [Google Scholar] [CrossRef]
- Lin, S.; Ye, F.; Ding, J.; Yang, C.P.; Ma, J.; Dong, S.; Liu, Q. Effects of pore diameters on phase, oxidation resistance, and thermal shock resistance of the porous Si2N2O ceramics. J. Am. Ceram. Soc. 2017, 100, 2190–2198. [Google Scholar] [CrossRef]
- Lamon, J. A micromechanics-based approach to the mechanical behavior of brittle-matrix composites. Compos. Sci. Technol. 2001, 61, 2259–2272. [Google Scholar] [CrossRef]













| Sample Ref. | Thickness of the Consolidation Layer | Elaboration Conditions | Vol % Initial Open Porosity | Vol % Residual Open Porosity | Vol % of Matrix in the Sample | Wt % Si2N2O in the Matrix | Wt % Si3N4 in the Matrix | Wt % Si2N2O in the Sample | Wt % Si3N4 in the Sample |
|---|---|---|---|---|---|---|---|---|---|
| A | 1 µm | 200 °C/min 20 bar | 53% | 20% | 33% | 90% | 10% | 30% | 3% |
| B | 5 µm | 200 °C/min 20 bar | 33% | 14% | 19% | 75% | 25% | 14% | 5% |
| Sample N° | Thickness of the Sic Consolidation Layer | Pre-Oxidation of the Matrix before CS Processing | Elaboration Conditions | Composition (Weight %) | Residual Open Porosity | Reduced Modulus Er (GPa) | Hardness H (GPa) |
|---|---|---|---|---|---|---|---|
| 1 | 1 µm | - | 200 °C/min | 95% Si2N2O | 27% | 101.2 +/− 6.3 | 8.4 +/− 1.1 |
| 2 Mpa | 5% Si3N4 | ||||||
| 2 | 1 µm | - | 200 °C/min | 80% Si2N2O | 28% | 104.8 +/− 11.2 | 9.0 +/− 1.9 |
| 3 Mpa | 20% Si3N4 | ||||||
| 3 | 1 µm | 1 h 15,900 h in air | 300 °C/min | 85% Si2N2O | 22% | 99.7 +/− 7.4 | 8.1 +/− 1.3 |
| 3 Mpa | 15% Si3N4 | ||||||
| 4 | 5 µm | - | 200 °C/min | 80% Si2N2O | 16% | 71.8 +/− 4.5 | 5.5 +/− 0.7 |
| 2 Mpa | 20% Si3N4 | ||||||
| 5 | 5 µm | - | 300 °C/min | 65% Si2N2O | 13% | 67.0 +/− 7.4 | 4.3 +/− 1.2 |
| 3 Mpa | 30% Si3N4 | ||||||
| 5% Si |
| Sample | E (Gpa) | σe (MPa) | σr (MPa) | εr (%) |
|---|---|---|---|---|
| 1 | 143 ± 3 | 40–45 | 323 | 0.5 |
| 2 | 147 ± 3 | 336 | 0.51 |
Publisher’s Note: MDPI stays neutral with regard to jurisdictional claims in published maps and institutional affiliations. |
© 2021 by the authors. Licensee MDPI, Basel, Switzerland. This article is an open access article distributed under the terms and conditions of the Creative Commons Attribution (CC BY) license (https://creativecommons.org/licenses/by/4.0/).
Share and Cite
Taillet, B.; Pailler, R.; Teyssandier, F. Densification of Ceramic Matrix Composite Preforms by Si2N2O Formed by Reaction of Si with SiO2 under High Nitrogen Pressure. Part 2: Materials Properties. J. Compos. Sci. 2021, 5, 179. https://doi.org/10.3390/jcs5070179
Taillet B, Pailler R, Teyssandier F. Densification of Ceramic Matrix Composite Preforms by Si2N2O Formed by Reaction of Si with SiO2 under High Nitrogen Pressure. Part 2: Materials Properties. Journal of Composites Science. 2021; 5(7):179. https://doi.org/10.3390/jcs5070179
Chicago/Turabian StyleTaillet, Brice, René Pailler, and Francis Teyssandier. 2021. "Densification of Ceramic Matrix Composite Preforms by Si2N2O Formed by Reaction of Si with SiO2 under High Nitrogen Pressure. Part 2: Materials Properties" Journal of Composites Science 5, no. 7: 179. https://doi.org/10.3390/jcs5070179
APA StyleTaillet, B., Pailler, R., & Teyssandier, F. (2021). Densification of Ceramic Matrix Composite Preforms by Si2N2O Formed by Reaction of Si with SiO2 under High Nitrogen Pressure. Part 2: Materials Properties. Journal of Composites Science, 5(7), 179. https://doi.org/10.3390/jcs5070179

