Recombinant Gonadotropins to Induce Oocyte Development In Vitro and In Vivo in the European Eel Anguilla anguilla
Abstract
1. Introduction
2. Materials and Methods
2.1. Ethics
2.2. Broodstock Conditioning
2.2.1. Males
2.2.2. Females
2.3. Production of rGTHs
2.4. In Vitro Experiment of Ovarian Tissues
2.4.1. Biometrics
2.4.2. Artificial Maturation
2.4.3. In Vitro Dose–Response Effects of Ovarian Tissue
2.4.4. Microscopy Analysis
2.4.5. Histology
2.4.6. Gene Expression Analysis
2.5. In Vivo Experiment
2.5.1. Biometrics and Ultrasound
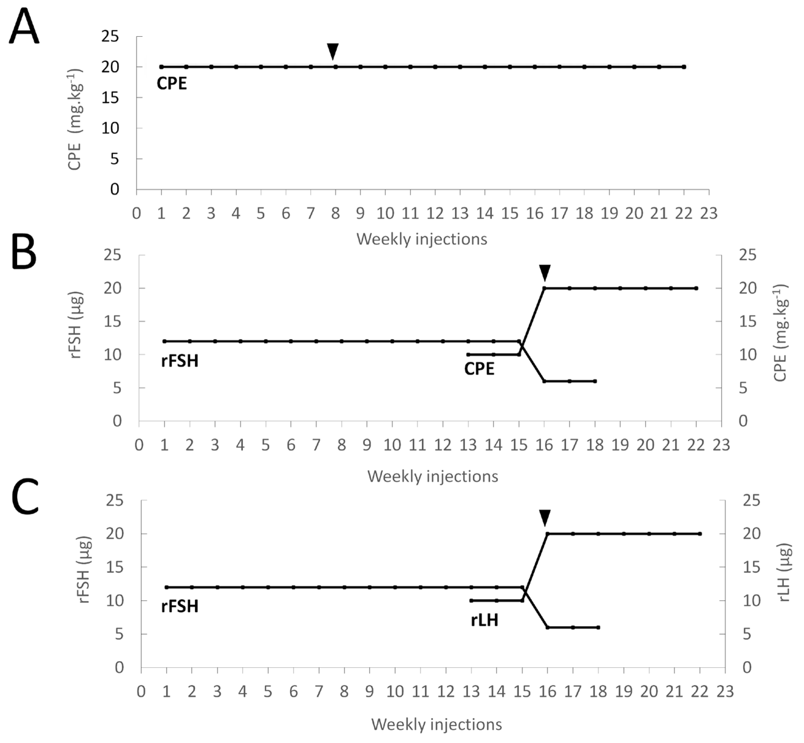
2.5.2. Artificial Induction of Sexual Maturation
2.5.3. Fertilization and Hatchery Practices
2.6. Statistical Analysis
3. Results
3.1. In Vitro Experiment
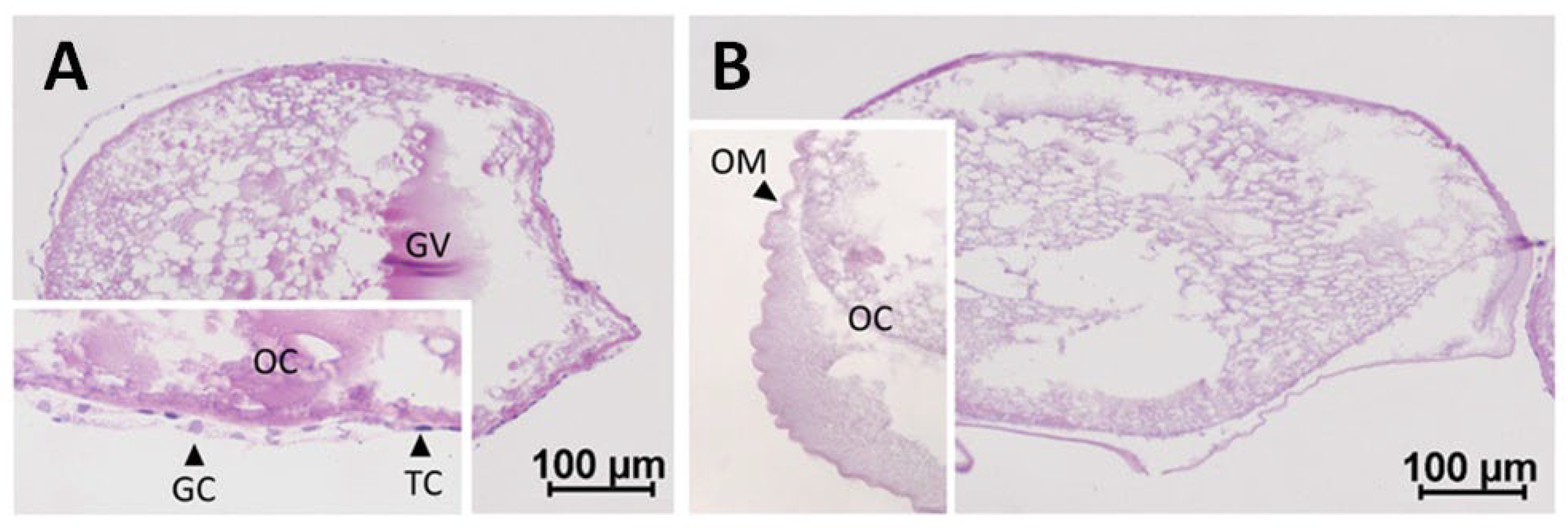
3.1.1. Biometrics and Histology
3.1.2. GVBD, Hydration and Lipid Fusion
3.1.3. Expression of Nuclear and Membrane Progestin Receptors
3.1.4. Expression of Gonadotropin, Androgen and Prostaglandin Receptors
3.2. In Vivo Experiment
3.2.1. Biometrics and GSI
3.2.2. Sexual Maturation
3.2.3. Reproductive Success
4. Discussion
5. Conclusion
Supplementary Materials
Author Contributions
Funding
Institutional Review Board Statement
Data Availability Statement
Acknowledgments
Conflicts of Interest
References
- Planas, J.V.; Swanson, P. Physiological function of gonadotropins in fish. In Fish Reproduction; Rocha, M.J., Arukwe, A., Kapoor, B.G., Eds.; Sciences Publisher: Enfield, CT, USA, 2008; pp. 37–66. [Google Scholar]
- Lubzens, E.; Young, G.; Bobe, J.; Cerdà, J. Oogenesis in teleosts: How fish eggs are formed. Gen. Comp. Endocrinol. 2010, 165, 367–389. [Google Scholar] [CrossRef]
- Sire, M.F.; Babin, P.J.; Vernier, J.M. Involvement of the lysosomal system in yolk protein deposit and degradation during vitellogenesis and embryonic development in trout. J. Exp. Zool. 1994, 269, 69–83. [Google Scholar] [CrossRef]
- Montserrat, N.; González, A.; Méndez, E.; Piferrer, F.; Planas, J.V. Effects of follicle stimulating hormone on estradiol-17b production and P-450 aromatase (CYP19) activity and mRNA expression in brown trout vitellogenic ovarian follicles in vitro. Gen. Comp. Endocrinol. 2004, 137, 123–131. [Google Scholar] [CrossRef] [PubMed]
- Nagahama, Y.; Yamashita, M. Regulation of oocyte maturation in fish. Develop. Growth Differ. 2008, 50, S195–S219. [Google Scholar] [CrossRef] [PubMed]
- Greeley, M.S.; Calder, D.R.; Wallace, R.A. Changes un teleost yolk proteins during oocyte maturation: Correlation of yolk proteolysis with oocyte hydration. Comp. Biochem. Physiol. 1986, 84, 1–9. [Google Scholar] [CrossRef]
- Palstra, A.P.; Cohen, E.G.H.; Niemantsverdriet, P.R.W.; van Ginneken, V.J.T.; van den Thillart, G.E.E.J.M. Artificial maturation and reproduction of European silver eel: Development of oocytes during final maturation. Aquaculture 2005, 249, 533–547. [Google Scholar] [CrossRef]
- Takahashi, T.; Hagiwara, A.; Ogiwara, K. Follicle rupture during ovulation with an emphasis on recent progress in fish models. Reproduction 2019, 157, R1–R13. [Google Scholar] [CrossRef]
- Takahashi, T.; Hagiwara, A.; Ogiwara, K. Prostaglandins in teleost ovulation: A review of the roles with a view to comparison with prostaglandins in mammalian ovulation. Mol. Cell Endocrinol. 2018, 461, 236–247. [Google Scholar] [CrossRef]
- Di Biase, A.; Lokman, P.M.; Govoni, N.; Casalini, A.; Emmanuele, P.; Parmeggiani, A.; Mordenti, O. Co-treatment with androgens during artificial induction of maturation in female eel, Anguilla anguilla: Effect on egg production and early development. Aquaculture 2017, 479, 508–515. [Google Scholar] [CrossRef]
- Asturiano, J.F. Improvement on the reproductive control of the European eel. In Reproduction in Aquatic Animals: From Basic Biology to Aquaculture Technology, 1st ed.; Yoshida, M., Asturiano, F., Eds.; Springer: Singapore, 2020. [Google Scholar] [CrossRef]
- Politis, S.N.; Syropoulou, E.; Benini, E.; Bertolini, F.; Sørensen, S.R.; Miest, J.J.; Butts, I.A.E.; Tomkiewicz, J. Performance thresholds of hatchery produced European eel larvae reared at different salinity regimes. Aquaculture 2021, 539, 736651. [Google Scholar] [CrossRef]
- Jéhannet, P.; Palstra, A.P.; Heinsbroek, L.T.N.; Kruijt, L.; Dirks, R.P.; Swinkels, W.; Komen, H. What goes wrong during early development of artificially reproduced European eel Anguilla anguilla? Clues from the larval transcriptome and gene expression patterns. Animals 2021, 11, 1710. [Google Scholar] [CrossRef] [PubMed]
- Yamamoto, K.; Yamauchi, K. Sexual maturation of Japanese eel and production of eel larvae in the aquarium. Nature 1974, 251, 220–222. [Google Scholar] [CrossRef] [PubMed]
- Lokman, P.M.; Young, G. Induced spawning and early ontogeny of New Zealand freshwater eels (Anguilla dieffenbachii and A. australis). N. Z. J. Mar. Freshw. Res. 2000, 34, 135–145. [Google Scholar] [CrossRef]
- Kottmann, J.S.; Jørgensen, M.G.P.; Bertolini, F.; Loh, A.; Tomkiewicz, J. Differential impacts of carp and salmon pituitary extracts on induced oogenesis, egg quality, molecular ontogeny and embryonic developmental competence in European eel. PLoS ONE 2020, 15, e0235617. [Google Scholar] [CrossRef] [PubMed]
- Adachi, S.; Ijiri, S.; Kazeto, Y.; Yamauchi, K. Oogenesis in the Japanese eel, Anguilla japonica. In Eel Biology; Aida, K., Tsukamoto, K., Yamauchi, K., Eds.; Springer: Tokyo, Japan, 2003; pp. 301–317. [Google Scholar] [CrossRef]
- Politis, S.N.; Mazurais, D.; Servili, A.; Zambonino-Infante, J.L.; Miest, J.J.; Tomkiewicz, J.; Butts, I.A.E. Salinity reduction benefits European eel larvae: Insights at the morphological and molecular level. PLoS ONE 2018, 13, e0198294. [Google Scholar] [CrossRef] [PubMed]
- Da Silva, F.F.G.; Jacobsen, C.; Kjørsvik, E.; Støttrup, J.G.; Tomkiewicz, J. Oocyte and egg quality indicators in European eel: Lipid droplet coalescence and fatty acid composition. Aquaculture 2018, 496, 30–38. [Google Scholar] [CrossRef]
- Kawauchi, H.; Moriyama, S.; Yasuda, A.; Yamaguchi, K.; Shirahata, K.; Kubota, J.; Hirano, T. Isolation and characterization of chum salmon growth hormone. Arch. Biochem. Biophys. 1986, 244, 542–552. [Google Scholar] [CrossRef] [PubMed]
- Degani, G.; Boker, R.; Jackson, K. Growth hormone, gonad development, and steroid levels in female carp. Comp. Biochem. Physiol. Part C Toxicol. Pharmacol. 1996, 115, 133–140. [Google Scholar] [CrossRef]
- Moriyama, S.; Swanson, P.; Larsen, D.A.; Miwa, S.; Kawauchi, H.; Dickhoff, W.W. Salmon thyroid-stimulating hormone: Isolation, characterization, and development of a radioimmunoassay. Gen. Comp. Endocrinol. 1997, 108, 457–471. [Google Scholar] [CrossRef]
- Onuma, T.; Ando, H.; Koide, N.; Okada, H.; Urano, A. AEffects of salmon GnRH and sex steroid hormones on expression of genes encoding growth hormone/prolactin/somatolactin family hormones and a pituitary-specific transcription factor in masu salmon pituitary cells in vitro. Gen. Comp. Endocrinol. 2005, 143, 129–141. [Google Scholar] [CrossRef]
- Minegeshi, Y.; Dirks, R.P.; de Wijze, D.L.; Brittijn, S.A.; Burgerhout, E.; Spaink, H.P.; van den Thillart, G.E.E.J.M. Quantitative bioassays for measuring biologically functional gonadotropins based on eel gonadotropic receptors. Gen. Comp. Endocrinol. 2012, 178, 145–152. [Google Scholar] [CrossRef]
- Le Gac, F.; Blaise, O.; Fostier, A.; Le Bail, P.Y.; Loir, M.; Mourot, B.; Weil, C. Growth hormone (GH) and reproduction: A review. Fish Physiol. Biochem. 1993, 11, 219–293. [Google Scholar] [CrossRef] [PubMed]
- Planas, J.V.; Swanson, P.; Rand-Weaver, M.; Dickhoff, W.W. Somatolactin stimulates in vitro gonadal steroidogenesis in coho salmon, Oncorhynchus kisutch. Gen. Comp. Endocrinol. 1992, 87, 1–5. [Google Scholar] [CrossRef]
- Benedet, S.; Björnsson, B.T.; Taranger, G.L.; Andersson, E. Cloning of somatolactin alpha, beta forms and the somatolactin receptor in Atlantic salmon: Seasonal expression profile in pituitary and ovary of maturing female broodstock. Reprod. Biol. Endocrinol. 2008, 6, 42. [Google Scholar] [CrossRef] [PubMed]
- Whittington, C.M.; Wilson, A.B. The role of prolactin in fish reproduction. Gen. Comp. Endocrinol. 2013, 191, 123–136. [Google Scholar] [CrossRef] [PubMed]
- Kumar, R.S.; Trant, J.M. Piscine glycoprotein hormone (gonadotropin and thyrotropin) receptors: A review of recent development. Comp. Biochem. Physiol. B Biochem. Mol. Biol. 2001, 129, 347–355. [Google Scholar] [CrossRef]
- Wong, A.O.L.; Zhou, H.; Jiang, Y.; Ko, W.K.W. Feedback regulation of growth hormone synthesis and secretion in fish and the emerging concept of intrapituitary feedback loop. Comp. Biochem. Physiol. Part A Mol. Integr. Physiol. 2006, 144, 284–305. [Google Scholar] [CrossRef] [PubMed]
- Pandofli, M.; Pozzi, A.G.; Canepa, M.; Vissio, P.G.; Shimizu, A.; Maggese, M.C.; Lobo, G. Presence of β-Follicle-Stimulating Hormone and β Luteinizing Hormone transcripts in the brain of Cichlasoma dimerus (Perciformes: Cichlidae). Neuroendocrinology 2009, 89, 27–37. [Google Scholar] [CrossRef]
- Lin, C.; Jiang, X.; Hu, G.; Ko, W.K.; Wong, A.O.L. Grass carp prolactin: Molecular cloning, tissue expression intrapituitary autoregulation by prolactin and paracrine regulation by growth hormone and luteinizing hormone. Mol. Cell Endocrinol. 2015, 399, 267–283. [Google Scholar] [CrossRef]
- Mylonas, C.C.; Fostier, A.; Zanuy, S. Broodstock management and hormonal manipulations of fish reproduction. Gen. Comp. Endocrinol. 2010, 165, 516–534. [Google Scholar] [CrossRef]
- Kazeto, Y.; Kohara, M.; Miura, T.; Miura, C.; Yamaguchi, S.; Trant, J.M.; Adachi, S.; Yamauchi, K. Japanese eel follicle-stimulating hormone (Fsh) and luteinizing hormone (Lh): Production of biologically active recombinant Fsh and Lh by Drosophila S2 cells and their differential actions on the reproductive biology. Biol. Reprod. 2008, 79, 938–946. [Google Scholar] [CrossRef] [PubMed]
- Brooks, S.A. Appropriate glycosylation of recombinant proteins for human use. Implication of choice of expression system. Mol. Biotech. 2004, 28, 241–255. [Google Scholar] [CrossRef] [PubMed]
- Kobayashi, M.; Hayakawa, Y.; Park, W.; Banba, A.; Yoshizaki, G.; Kumamaru, K.; Kagawa, H.; Kaki, H.; Nagaya, H.; Sohn, Y.C. Production of recombinant Japanese eel gonadotropins by baculovirus in silkworm larvae. Gen. Comp. Endocrinol. 2010, 16, 379–386. [Google Scholar] [CrossRef] [PubMed]
- Choi, J.H.; Kim, D.J.; Hong, S.M.; Jo, S.J.; Min, K.S.; Sohn, Y.C.; Lee, J.M.; Kusakabe, T. Molecular analysis and bioactivity of luteinizing hormone from Japanese eel, Anguilla japonica, produced in silkworm pupae. Biotechnol. Bioprocess. Eng. 2016, 21, 381–388. [Google Scholar] [CrossRef]
- Peñaranda, D.S.; Gallego, V.; Rozenfeld, C.; Herranz-Jusdado, J.G.; Pérez, L.; Gómez, A.; Giménez, I.; Asturiano, J.F. Using specific recombinant gonadotropins to induce spermatogenesis and spermiation in the European eel (Anguilla anguilla). Theriogenology 2018, 107, 6–20. [Google Scholar] [CrossRef]
- Ramos-Júdez, S.; Giménez, J.; Gumbau-Pous, J.; Arnold- Cruañes, L.S.; Estévez, A.; Duncan, N. Recombinant Fsh and Lh therapy for spawning induction of previtellogenic and early spermatogenic arrested teleost, the flathead grey mullet (Mugil cephalus). Sci. Rep. 2022, 12, 6563. [Google Scholar] [CrossRef]
- Chai, Y.; Tosaka, R.; Abe, T.; Sago, K.; Sago, Y.; Hatanaka, E.; Ijiri, S.; Adachi, S. The relationship between the developmental stage of oocytes in various seasons and the quality of the egg obtained by artificial maturation in the feminized Japanese eel Anguilla japonica. Aquac. Sci. 2010, 58, 269–278. [Google Scholar] [CrossRef]
- Ijiri, S.; Tsukamoto, K.; Chow, S.; Kurogi, H.; Adachi, S.; Tanaka, H. Controlled reproduction in the Japanese eel (Anguilla japonica), past and present. Aquac. Europe. 2011, 36, 13–17. [Google Scholar]
- Mes, D.; Dirks, R.P.; Palstra, A.P. Simulated migration under mimicked photothermal conditions enhances sexual maturation of farmed European eel (Anguilla anguilla). Aquaculture 2016, 452, 367–372. [Google Scholar] [CrossRef]
- Palstra, A.P.; Bouwan, L.J.; Jéhannet, P.; Kruijt, L.; Schipper, H.; Blokland, M.H.; Swinkels, W.; Heinsbroek, L.T.N.; Lokman, P.M. 17α-methyltestosterone and 17β-estradiol implants for the induction of vitellogenesis in feminized European silver eels (Anguilla anguilla L.). Front. Genet. 2022, 13, 969202. [Google Scholar] [CrossRef]
- Pankhurst, N.W. Relation of visual changes to the onset of sexual maturation in the European eel Anguilla anguilla (L.). J. Fish Biol. 1982, 21, 127–140. [Google Scholar] [CrossRef]
- Kagawa, H.; Horiuchi, Y.; Kasuga, Y.; Kishi, T. Oocyte hydration in the Japanese eel (Anguilla japonica) during meiosis resumption and ovulation. J. Exp. Zool. 2011, 311, 752–762. [Google Scholar] [CrossRef]
- Schindelin, J.; Arganda-Carreras, I.; Frise, E.; Kaynig, V.; Longair, M.; Pietzsch, T.; Preibisch, S.; Rueden, C.; Saalfeld, S.; Schmid, B.; et al. Fiji: An open-source platform for biological-image analysis. Nat. Methods 2012, 9, 676–682. [Google Scholar] [CrossRef] [PubMed]
- Unuma, T.; Hasegawa, N.; Sawaguchi, S.; Tanaka, T.; Matsubara, T.; Nomura, K.; Tanaka, H. Fusion of lipid droplets in Japanese eel oocytes: Stage classification and its use as a biomarker for induction of final oocyte maturation and ovulation. Aquaculture 2011, 322–323, 142–148. [Google Scholar] [CrossRef]
- Koressaar, T.; Remm, M. Enhancements and modifications of primer design program Primer3. Bioinformatics 2007, 23, 1289–1291. [Google Scholar] [CrossRef]
- Untergasser, A.; Cutcutache, I.; Koressaar, T.; Ye, J.; Faircloth, B.C.; Remm, M.; Rozen, S.G. Primer3–new capabilities and interfaces. Nucl. Acids Res. 2012, 40, e115. [Google Scholar] [CrossRef]
- Setiawan, A.N.; Lokman, P.M. The use of reference gene selection programs to study the silvering transformation in a freshwater eel Anguilla australis: A cautionary tale. BMC Mol. Biol. 2010, 11, 75. [Google Scholar] [CrossRef]
- Morini, M.; Peñaranda, D.S.; Vilchez, M.; Nourizadeh-Lillabadi, R.; Lafont, A.G.; Dufour, S.; Asturiano, J.F.; Weltzien, F.A.; Pérez, L. Nuclear and membrane progestin receptors in the European eel: Characterization and expression in vivo through spermatogenesis. Comp. Biochem. Physiol. Part A Mol. Integr. Physiol. 2017, 207, 79–92. [Google Scholar] [CrossRef]
- Zadmajid, V.; Falahatimarvast, A.; Damsteegt, E.L.; Setiawan, A.N.; Ozaki, Y.; Shoae, A.; Lokman, P.M. Effects of 11-ketotestosterone and temperature on inhibin subunit mRNA levels in the ovary of the shortfinned eel, Anguilla australis. Comp. Biochem. Phys. B. 2015, 187, 14–21. [Google Scholar] [CrossRef]
- Maugars, G.; Dufour, S. Demonstration of the coexistence of duplicated LH receptors in teleosts, and their origin in ancestral Actinopterygians. PLoS ONE 2015, 10, e0135184. [Google Scholar] [CrossRef]
- Livak, K.J.; Schmittgen, T.D. Analysis of relative gene expression data using real- time quantitative PCR and the 2−ΔΔCT method. Methods 2001, 25, 402–408. [Google Scholar] [CrossRef]
- Jéhannet, P.; Heinsbroek, L.T.N.; Palstra, A.P. Ultrasonography to assist with timing of spawning in European eel. Theriogenology 2017, 101, 73–80. [Google Scholar] [CrossRef]
- Bureau du Colombier, S.; Jacobs, L.; Gesset, C.; Elie, P.; Lambert, P. Ultrasonography as a non-invasive tool for sex determination and maturation monitoring in silver eels. Fish. Res. 2015, 164, 50–58. [Google Scholar] [CrossRef]
- Kahn, I.A.; Lopez, E.; Leloup-Hâtey, J. Induction of spermatogenesis and spermiation by a single injection of human chorionic gonadotropin in intact and hypophysectomised immature European eel (Anguilla anguilla L.). Gen. Comp. Endocrinol. 1987, 68, 91–103. [Google Scholar] [CrossRef]
- Pérez, L.; Asturiano, J.F.; Tomás, A.; Zegrari, S.; Barrera, R.; Espinós, F.J.; Navarro, J.C.; Jover, M. Induction of maturation and spermiation in the male European eel: Assessment of sperm quality throughout treatment. J. Fish Biol. 2005, 57, 1488–1504. [Google Scholar] [CrossRef]
- Peñaranda, D.S.; Pérez, L.; Gallego, V.; Barrera, R.; Jover, M.; Asturiano, J.F. European eel sperm diluent for short-term storage. Reprod. Domest. Anim. 2010, 45, 407–415. [Google Scholar] [CrossRef] [PubMed]
- Ko, H.; Park, W.; Kim, D.J.; Kobayashi, M.; Sohn, Y.C. Biological activities of recombinant Manchurian trout FSH and LH: Their receptor specificity, steroidogenic and vitellogenic potencies. J. Mol. Endocrinol. 2007, 38, 99–111. [Google Scholar] [CrossRef]
- Palstra, A.P.; Jéhannet, P.; Heinsbroek, L.T.N.; Lokman, P.M.; Vesala, S.; Tulonen, J.; Lakka, T.; Saukkonen, S. First observation of a spontaneously matured female European eel (Anguilla anguilla). Sci. Rep. 2020, 10, 2339. [Google Scholar] [CrossRef]
- Palstra, A.P. Energetic Requirements and Environmental Constraints of Reproductive Migration and Maturation of European Silver eel (Anguilla anguilla L.). 2006. Available online: https://hdl.handle.net/1887/4926 (accessed on 23 January 2023).
- Palstra, A.P.; van den Thillart, G.E.E.J.M. Swimming physiology of European silver eels (Anguilla anguilla L.): Energetic costs and effects on sexual maturation and reproduction. Fish Physiol. Biochem. 2010, 36, 297–322. [Google Scholar] [CrossRef]
- Kim, N.S.L.; Park, C.W.; Kim, D.W.; Park, H.K.; Byambaragchaa, M.; Lee, N.S.; Hong, S.M.; Seo, M.Y.; Kang, M.H.; Min, K.S. Production and characterization of monoclonal antibodies against recombinant tethered follicle-stimulating hormone from Japanese eel Anguilla japonica. Gen. Comp. Endocrinol. 2016, 233, 8–15. [Google Scholar] [CrossRef][Green Version]
- Kucharczyk, D.; Czarkowski, T.; Nowosad, J.; Targonska, K.; Kupren, K.; Wyszomirska, E.; Kujawa, R.; Horváth, L.; Müller, T. Influence of temperature on successful European eel female maturation under controlled conditions. Turkish J. Fish. Aquat. Sci. 2016, 16, 477–482. [Google Scholar] [CrossRef]
- Tanaka, T.; Adachi, S.; Nomura, K.; Tanaka, H.; Unuma, T. Effects of rearing temperature manipulation on oocyte maturation progress in Japanese eel. Fish. Sci. 2021, 87, 681–691. [Google Scholar] [CrossRef]
- Zhu, Y.; Rice, C.D.; Pang, Y.; Pace, M.; Thomas, P. Cloning, expression, and characterization of a membrane progestin receptor and evidence it is an intermediary in meiotic maturation of fish oocytes. Proc. Natl. Acad. Sci. USA 2003, 100, 2231–2236. [Google Scholar] [CrossRef]
- Thomas, P.; Pang, Y.; Zhu, Y.; Detweiler, C.; Doughty, K. Multiple rapid progestin actions and progestin membrane receptor subtypes in fish. Steroids 2004, 69, 567–573. [Google Scholar] [CrossRef]
- Kazeto, Y.; Goto-Kazeto, R.; Trant, J.M. Membrane-bound progestin receptors in channel catfish and zebrafish ovary: Changes in gene expression associated with the reproductive cycles and hormonal reagents. Gen. Comp. Endocrinol. 2005, 142, 204–211. [Google Scholar] [CrossRef] [PubMed]
- Hagiwara, A.; Ogiwara, K.; Katsu, Y.; Takahashi, T. Luteinizing hormone-induced expression of Ptger4b, a prostaglandin E2 receptor indispensable for ovulation of the medaka Oryzias latipes, is regulated by a genomic mechanism involving nuclear progestin receptor. Biol. Reprod. 2014, 90, 1–14. [Google Scholar] [CrossRef] [PubMed]
- Hagiwara, A.; Ogiwara, K.; Takahashi, T. Expression of membrane progestin receptors (mPRs) in granulosa cells of medaka preovulatory follicles. Zool. Sci. 2016, 33, 98–105. [Google Scholar] [CrossRef]
- Mourot, B.; Nguyen, T.; Fostier, A.; Bobe, J. Two unrelated putative membrane-bound progestin receptors, progesterone membrane receptor component I (PGMRCI) and membrane progestin receptor (mPR) beta, are expressed in the rainbow trout oocyte and exhibit similar ovarian expression patterns. Reprod. Biol. Endocrinol. 2006, 4, 6. [Google Scholar] [CrossRef] [PubMed]
- Thomas, P.; Pinter, J.; Das, S. Upregulation of the maturation-inducing steroid membrane receptor in spotted seatrout ovaries by gonadotropin during oocyte maturation and its physiological significance. Biol. Reprod. 2001, 64, 21–29. [Google Scholar] [CrossRef]
- Thomas, P.; Dressing, G.; Pang, Y.; Berg, H.; Tubbs, C.; Benninghoff, A.; Doughty, K. Progestin, estrogen and androgen G-protein coupled receptors in fish gonads. Steroids 2006, 71, 310–316. [Google Scholar] [CrossRef]
- Aizen, J.; Pang, Y.; Harris, C.; Converse, A.; Zhu, Y.; Aguirre, M.A.; Thomas, P. Roles of progesterone receptor membrane component 1 and membrane progestin receptor alpha in regulation of zebrafish oocyte maturation. Gen. Com. Endocrinol. 2018, 263, 51–61. [Google Scholar] [CrossRef]
- Kazeto, Y.; Mayuko, K.; Ryoata, T.; Koichiro, G.; Yokoyama, M.; Miura, C.; Miura, T.; Adachi, S.; Yamauchi, K. Molecular characterization and gene expression of Japanese eel (Anguilla anguilla) gonadotropin receptors. Zool. Sci. 2012, 29, 204–211. [Google Scholar] [CrossRef]
- Sambroni, E.; Le Gac, F.; Breton, B.; Lareyre, J.J. Functional specificity of the rainbow trout (Oncorhynchus mykiss) gonadotropin receptors as assayed in mammalian cell line. J. Endocrinol. 2007, 195, 213–228. [Google Scholar] [CrossRef]
- Bobe, J.; Nguyen, T.; Jalabert, B. Targeted gene expression profiling in rainbow trout (Oncorhynchus mykiss) Ovary during maturational competence acquisition and oocyte maturation. Biol. Reprod. 2004, 71, 73–82. [Google Scholar] [CrossRef] [PubMed]
- Crowder, C.M.; Lassiter, C.S.; Gorelick, D.A. Nuclear androgen receptor regulates testes organization and oocyte maturation in zebrafish. Endocrinology 2018, 159, 980–993. [Google Scholar] [CrossRef]
- Li, J.; Huang, D.; Sun, X.; Li, X.; Cheng, C.H.K. Zinc mediates the action of androgen in acting as a downstream effector of luteinizing hormone on oocyte maturation in zebrafish. Biol. Reprod. 2019, 100, 468–478. [Google Scholar] [CrossRef] [PubMed]
- Robker, R.; Akison, L.K.; Russell, D.L. Control of oocyte release by progesterone-regulated gene expression. Nucl. Recept. Signal. 2009, 7, nrs-07012. [Google Scholar] [CrossRef]
- Tang, H.; Liu, Y.; Li, J.; Yin, Y.; Li, G.; Chen, Y.; Li, S.; Zhang, Y.; Lin, H.; Liu, X.; et al. Gene knockout of nuclear progesterone receptor provides insights into the regulation of ovulation by Lh signalling in zebrafish. Sci. Rep. 2016, 6, 28545. [Google Scholar] [CrossRef]
- Liu, D.T.; Carter, N.J.; Wu, X.J.; Hong, W.S.; Chen, S.X.; Zhu, Y. Progestin and nuclear progestin receptor are essential for upregulation of metalloproteinase in zebrafish preovulatory follicles. Front. Endocrinol. 2018, 9, 517. [Google Scholar] [CrossRef] [PubMed]
- Yamauchi, K. Studies of gonadal steroids involved in final gonadal maturation in the Japanese eel, Anguilla japonica, a review. Int. Revue Ges. Hydrobiol. 1990, 75, 859–860. [Google Scholar] [CrossRef]







| Gene | Accession Number | Primer Sequence | T⁰ | Length | Efficiency | Source |
|---|---|---|---|---|---|---|
| elf1 | EU407825 | FW: CCCCTGCAGGATGTCTACAA RV: AGGGACTCATGGTGCATTTC | 64 | 152 bp | 96% | [50] |
| pgr1 | AFV13730.1 | FW: AGTTTGCCAATCTCCAGGTG RV: ATCAAACTGTGGCTGGCTCT | 60 | 107 bp | 101% | [51] |
| pgr2 | AFV13731.1 | FW: GCCTCTGGATGTCACTACGG RV: CCGGCACAAAGGTAGTTCTG | 60 | 95 bp | 94% | [51] |
| mPRα | XM_035410974.1 | FW: GCCAGTACAGCCGAGTTCTATTT RV: GTCCTATCCAAGCCGTGATTT | 62 | 141 bp | This study | |
| mPRAL1 | XM_035428761.1 | FW: CTGGCCTACATGAGCTTCAG RV: CCCACGTAGTCCAGGAAGAA | 62 | 92 bp | [51] | |
| mPRAL2 | XM_035409137.1 | FW: AATCGTCATGGAGAGGCTTG RV: GTACCCGCTGTGGATGTAGG | 62 | 157 bp | This study | |
| mPRγ | XM_035394888.1 | FW: AAACAGCACCTTCCACCTGT RV: TGCAGAAACGGTAAGCCAAG | 60 | 102 bp | 92% | [51] |
| mPRδ | XM_035430606.1 | FW: GCAGCTTCCAGATGACCAAT RV: GCAGCATGTAGACCAGCAGA | 60 | 147 bp | [51] | |
| fshr | LN831181 | FW: CCTGGTCGAGATAACAATCACC RV: CCTGAAGGTCAAACAGAAAGTCC | 63 | 173 bp | 109% | [52] |
| lhcgr1 | LN831182 | FW: GCGGAAACACAGGGAGAAC RV: GGTTGAGGTACTGGAAATCGAAG | 60 | 155 bp | 101% | [53] |
| lhcgr2 | LN831183 | FW: TCAACAACCTCACCAATCTCTCT RV: GCAGTGAAGAAATAGCCGACA | 62 | 162 bp | 106% | This study |
| ptger4b | XM_035392436.1 | FW: ATTGAGAAGGTGAAGTGCCTGT RV: AGAATGTTTGAGAGGTGCTGGT | 62 | 169 bp | 105% | This study |
| arα | FR668031 | FW: AGGAAGAACTGCCCCTCTTG RV: ATTTGCCCGATCTTCTTCAG | 62 | 90 bp | 93% | [50] |
| Biometric | CPE (N = 10) | rFSH-CPE (N = 10) | rFSH-rLH (N = 10) |
|---|---|---|---|
| BL (cm) | 53 ± 3 | 55 ± 3 | 53 ± 1 |
| BW (g) | 284 ± 42 | 299 ± 32 | 286 ± 26 |
| BGI | 0.21 ± 0.01 | 0.20 ± 0.01 | 0.21 ± 0.01 |
| EI | 9.6 ± 1.2 | 9.4 ± 1.0 | 9.4 ± 1.2 |
| K | 0.19 ±0.02 | 0.18 ±0.02 | 0.19 ±0.02 |
| GSI | 5.6 ± 1.9 | 5.1 ± 2.3 | 4.2 ± 1.2 |
| Treatment | Tag | Inj. | BWI1 | BWI2 | BGI1 | BGI2 | t(h) | GSI | Floaters (%) | Larvae | Fate |
|---|---|---|---|---|---|---|---|---|---|---|---|
| CPE | 34B5 | 9 | 22 | † | |||||||
| CPE | D801 | 13 | 30 | †† | |||||||
| CPE | 16A8 | 7 | 31 | †† | |||||||
| CPE | 243C | 8 | 28 | †† | |||||||
| CPE | 1AE2 | 8 | 131 | 0.29 | 60 | ††† | |||||
| CPE | 2FD1 | 9 | 118 | 120 | 0.26 | 0.27 | 50 | ††† | |||
| CPE | 3010 | 8 | 131 | 134 | 0.29 | 0.30 | 13 | 11 * | 40 | ||
| CPE | 2D59 | 13 | 122 | 130 | 0.26 | 0.28 | 12 | 38 * | 10 | ||
| CPE | 056B | 8 | 125 | 136 | 0.25 | 0.26 | 12 | 20 * | 60 | >50 | 18 dph larvae |
| CPE | 25EA | 8 | 112 | 136 | 0.23 | 0.26 | 12 | 15 * | 80 | <50 | 6 dph larvae |
| rFSH-CPE | D78F | 9 | 11 | † | |||||||
| rFSH-CPE | D7D3 | 22 | 27 | † | |||||||
| rFSH-CPE | D825 | 14 | 22 | † | |||||||
| rFSH-CPE | DFCF | 7 | 14 | † | |||||||
| rFSH-CPE | D7FE | 20 | 37 | †† | |||||||
| rFSH-CPE | DA51 | 18 | 114 | 116 | 0.24 | 0.26 | 51 | ††† | |||
| rFSH-CPE | DBB2 | 18 | 122 | 0.27 | 77 | ††† | |||||
| rFSH-CPE | EAB1 | 18 | 121 | 126 | 0.30 | 0.31 | 75 | ††† | |||
| rFSH-CPE | D902 | 17 | 137 | 0.26 | 58 * | ||||||
| rFSH-CPE | D774 | 16 | 125 | 138 | 0.25 | 0.29 | 13 | 20 * | 70 | <50 | 2 dph larvae |
| rFSH-rLH | B4B5 | 10 | 23 | † | |||||||
| rFSH-rLH | DFAF | 22 | 23 | † | |||||||
| rFSH-rLH | E68B | 5 | 18 | † | |||||||
| rFSH-rLH | DB92 | 22 | 32 | †† | |||||||
| rFSH-rLH | E15E | 22 | 31 | †† | |||||||
| rFSH-rLH | EA2D | 17 | 41 | †† | |||||||
| rFSH-rLH | E331 | 22 | 116 | 127 | 0.26 | 0.29 | 80 | ††† | |||
| rFSH-rLH | E004 | 19 | 132 | 140 | 0.26 | 0.28 | 13 | 32 * | 0 | ||
| rFSH-rLH | E6E5 | 16 | 141 | 141 | 0.28 | 0.29 | 14 | 19 * | 10 | ||
| rFSH-rLH | D74E | 21 | 129 | 141 | 0.27 | 0.28 | 16.5 | 27 * | 3 | <50 | 2 dph larvae |
Disclaimer/Publisher’s Note: The statements, opinions and data contained in all publications are solely those of the individual author(s) and contributor(s) and not of MDPI and/or the editor(s). MDPI and/or the editor(s) disclaim responsibility for any injury to people or property resulting from any ideas, methods, instructions or products referred to in the content. |
© 2023 by the authors. Licensee MDPI, Basel, Switzerland. This article is an open access article distributed under the terms and conditions of the Creative Commons Attribution (CC BY) license (https://creativecommons.org/licenses/by/4.0/).
Share and Cite
Jéhannet, P.; Palstra, A.P.; Giménez Nebot, I.; Schipper, H.; Swinkels, W.; Heinsbroek, L.T.N.; Komen, H. Recombinant Gonadotropins to Induce Oocyte Development In Vitro and In Vivo in the European Eel Anguilla anguilla. Fishes 2023, 8, 123. https://doi.org/10.3390/fishes8030123
Jéhannet P, Palstra AP, Giménez Nebot I, Schipper H, Swinkels W, Heinsbroek LTN, Komen H. Recombinant Gonadotropins to Induce Oocyte Development In Vitro and In Vivo in the European Eel Anguilla anguilla. Fishes. 2023; 8(3):123. https://doi.org/10.3390/fishes8030123
Chicago/Turabian StyleJéhannet, Pauline, Arjan P. Palstra, Ignacio Giménez Nebot, Henk Schipper, William Swinkels, Leon T. N. Heinsbroek, and Hans Komen. 2023. "Recombinant Gonadotropins to Induce Oocyte Development In Vitro and In Vivo in the European Eel Anguilla anguilla" Fishes 8, no. 3: 123. https://doi.org/10.3390/fishes8030123
APA StyleJéhannet, P., Palstra, A. P., Giménez Nebot, I., Schipper, H., Swinkels, W., Heinsbroek, L. T. N., & Komen, H. (2023). Recombinant Gonadotropins to Induce Oocyte Development In Vitro and In Vivo in the European Eel Anguilla anguilla. Fishes, 8(3), 123. https://doi.org/10.3390/fishes8030123

