Isolation and Characterization of Plasma-Derived Exosomes from the Marine Fish Rock Bream (Oplegnathus fasciatus) by Two Isolation Techniques
Abstract
:1. Introduction
2. Materials and Methods
2.1. Blood Collection and Plasma Isolation
2.2. Plasma Exosome Isolation
2.3. Characterization of Exosomes
2.3.1. Particle Size, Concentration, and Surface Charge Analysis
2.3.2. Field-Emission Transmission Electron Microscopy (FE-TEM) Analysis
2.3.3. Quantification of Intact and Lysed Exosome Protein Content
2.3.4. Exosome Protein Profile Analysis by Coomassie and Silver Staining
2.3.5. Immunoblotting Analysis
2.4. In Vitro Cytotoxicity Assay
2.5. In Vitro Immune Gene Transcriptional Analysis of Exosome-Treated FHM and RAW 264.7 Cells
2.6. Statistical Analysis
3. Results
3.1. Isolation and Characterization of Exosomes from Rock Bream
3.1.1. Determination of Exosome Yield and Recovery by Two Exosome Isolation Methods
3.1.2. FE-TEM Analysis
3.1.3. Size Distribution, Particle Size, Zeta Potential, and Particle Concentration Obtained from Two Exosome Isolation Methods
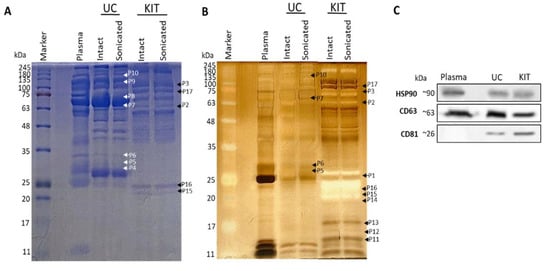
3.1.4. Protein Profiling and Immunoblotting Analysis of Exosomes Isolated by the Two Methods
3.2. In Vitro Cytotoxicity Analysis
3.3. In Vitro Immune Gene Transcriptional Analysis upon Exosome Treatment
4. Discussion
5. Conclusions
Supplementary Materials
Author Contributions
Funding
Institutional Review Board Statement
Data Availability Statement
Conflicts of Interest
References
- Gurung, S.; Perocheau, D.; Touramanidou, L.; Baruteau, J. The exosome journey: From biogenesis to uptake and intracellular signaling. Cell Commun. Signal. 2021, 19, 47. [Google Scholar] [CrossRef] [PubMed]
- Li, X.; Corbett, A.L.; Taatizadeh, E.; Tasnim, N.; Little, J.P.; Carnis, C.; Daugaard, M.; Guns, E.; Hoorfar, M.; Li, I.T.S. Challenges and opportunities in exosome research-perspectives from biology, engineering, and cancer therapy. APL Bioeng. 2019, 3, 011503. [Google Scholar] [CrossRef] [PubMed] [Green Version]
- Kalluri, R.; LeBleu, V.S. The biology, function, and biomedical applications of exosomes. Research 2020, 367, eaau6977. [Google Scholar] [CrossRef] [PubMed]
- Gomez, C.D.L.T.; Goreham, R.V.; Serra, J.J.B.; Nann, T.; Kussmann, M. “Exosomics”—A review of biophysics, biology, and biochemistry of exosomes with a focus on human breast milk. Front. Genet. 2018, 9, 92. [Google Scholar] [CrossRef] [Green Version]
- Schorey, J.S.; Cheng, Y.; Singh, P.P.; Smith, V.L. Exosomes and other extracellular vesicles in host-pathogen interactions. Rev. EMBO Rep. 2015, 16, 24–43. [Google Scholar] [CrossRef] [Green Version]
- Iliev, D.B.; Jorgensen, S.M.; Rode, M.; Krasnov, A.; Harneshaug, I.; Jorgensen, J.B. CpG-induced secretion of MHCIIβ and exosomes from salmon (Salmo salar) APCs. Dev. Comp. Immunol. 2010, 34, 29–41. [Google Scholar] [CrossRef]
- Faught, E.; Henriskson, L.; Vijayan, M.M. Plasma exosomes are enriched in Hsp70 and modulated by stress and cortisol in rainbow trout. J. Endocrinol. 2017, 232, 237–246. [Google Scholar] [CrossRef]
- Sun, Z.; Hao, T.; Tian, J. Identification of exosomes and its signature miRNAs of male and female Cynoglossus semilaevis. Sci. Rep. 2017, 7, 860. [Google Scholar] [CrossRef] [Green Version]
- Lagos, L.; Tandberg, J.; Kashulin-Bekkelund, A.K.; Colquhoun, D.J.; Sorum, H.; Winther-Larsen, H.C. Isolation and characterization of serum extracellular vesicles (EVs) from Atlantic salmon infected with Piscirickettsia Salmonis. Proteomes 2017, 5, 34. [Google Scholar] [CrossRef] [Green Version]
- Yang, H.; Li, X.; Ji, J.; Yuan, C.; Gao, X.; Zhang, Y.; Lu, C.; Li, F.; Zhang, X. Changes of microRNAs expression profiles from red swamp crayfish (Procambarus clarkia) hemolymph exosomes in response to WSSV infection. Fish. Shellfish Immunol. 2019, 84, 169–177. [Google Scholar] [CrossRef]
- Gong, Y.; Kong, T.; Ren, X.; Chen, J.; Lin, S.; Zhang, Y.; Li, S. Exosome-mediated apoptosis pathway during WSSV infection in crustacean mud crab. PLoS Pathog. 2020, 16, e1008366. [Google Scholar] [CrossRef] [PubMed]
- Zhao, N.; Zhang, B.; Xu, Z.; Jia, L.; Li, M.; He, X.; Bao, B. Detecting Cynoglossus semilaevis infected with Vibrio harveyi using micro RNAs from mucous exosomes. Mol. Immunol. 2020, 128, 268–276. [Google Scholar] [CrossRef] [PubMed]
- He, J.; Chen, N.N.; Li, Z.M.; Wang, Y.Y.; Weng, S.P.; Guo, C.J.; He, J.G. Evidence for a novel antiviral mechanism of teleost fish: Serum-derived exosomes inhibit virus replication through Incorporating Mx1 protein. Int. J. Mol. Sci. 2021, 22, 10346. [Google Scholar] [CrossRef] [PubMed]
- Jung, S.J.; Oh, M.J. Iridovirus-like infection associated with high mortalities of striped beakperch, Oplegnathus fasciatus (Temminck et Schlegel), in southern coastal areas of the Korean peninsula. J. Fish. Dis. 2000, 23, 223–226. [Google Scholar] [CrossRef]
- Kurita, J.; Nakajima, K. Megalocytiviruses. Viruses 2012, 4, 521–538. [Google Scholar] [CrossRef] [Green Version]
- Jung, M.H.; Chico, V.; Ciordia, S.; Mena, M.C.; Jung, S.J.; Villaizan, M.D.M.O. The Megalocytivirus RBIV induces apoptosis and MHC Class I presentation in rock bream (Oplegnathus fasciatus) red blood cells. Front. Immunol. 2019, 10, 160. [Google Scholar] [CrossRef] [Green Version]
- Chico, V.; Puente-Marin, S.; Nombela, I.; Ciordia, S.; Mena, M.C.; Carracedo, B.; Villena, A.; Mercado, L.; Coll, J.; Ortega-Villaizan, M.D. Shape-shifted red blood cells: A novel red blood cell stage? Cells 2018, 7, 31. [Google Scholar] [CrossRef] [Green Version]
- Puente-Marin, S.; Nombela, I.; Ciordia, S.; Mena, M.C.; Chico, V.; Coll, J.; Ortega-Villaizan, M.D.M. In silico functional networks identified in fish nucleated red blood cells by means of transcriptomic and proteomic profiling. Genes 2018, 9, 202. [Google Scholar] [CrossRef] [Green Version]
- Hong, C.S.; Funk, S.; Muller, L.; Boyiadzis, M.; Whiteside, T. Isolation of biologically active and morphologically intact exosomes from plasma of patients with cancer. J. Extracell. Vesicles 2016, 5, 29289. [Google Scholar] [CrossRef]
- Liu, S.; Chen, J.; Shi, J.; Zhou, W.; Wang, L.; Fang, W.; Zhong, Y.; Chen, X.; Chen, Y.; Sabri, A.; et al. M1-like macrophage-derived exosomes suppress angiogenesis and exacerbate cardiac dysfunction in a myocardial infarction microenvironment. Basic Res. Cardiol. 2020, 115, 22. [Google Scholar] [CrossRef]
- Nikapitiya, C.; Chandrarathna, H.P.S.U.; Dananjaya, S.H.S.; De Zoysa, M. Isolation and characterization of phage (ETP-1) specific to multidrug resistant pathogenic Edwardsiella tarda and its in vivo biocontrol efficacy in zebrafish (Danio rerio). Biologicals 2020, 63, 14–23. [Google Scholar] [CrossRef] [PubMed]
- Welch, J.L.; Madison, M.N.; Margolick, J.B.; Galvin, S.; Gupta, P.; Martínez-Maz, O.; Dash, C.; Okeoma, C.M. Effect of prolonged freezing of semen on exosome recovery and biologic activity. Sci. Rep. 2017, 7, 45034. [Google Scholar] [CrossRef] [PubMed] [Green Version]
- Livak, K.J.; Schmittgen, T.D. Analysis of relative gene expression data using real time quantitative PCR and the 2−ΔΔCT method. Methods 2001, 25, 402–408. [Google Scholar] [CrossRef] [PubMed]
- Cheng, K.; Escalon, B.L.; Robert, J.; Chinchar, V.G.; Reyero, N.G. Differential transcription of fathead minnow immune-related genes following infection with frog virus 3, an emerging pathogen of ectothermic vertebrates. Virology 2014, 456, 77–86. [Google Scholar] [CrossRef] [Green Version]
- Chen, J.; Xia, L.; Wang, W.; Wang, Z.; Hou, S.; Xie, C.; Cai, J.; Lu, Y. Identification of a mitochondrial-targeting secretory protein from Nocardia seriolae which induces apoptosis in fathead minnow cells. J. Fish. Dis. 2019, 42, 1493–1507. [Google Scholar] [CrossRef]
- Wang, F.; Jiao, H.; Liu, W.; Chen, B.; Wang, Y.; Chen, B.; Lu, Y.; Su, J.; Zhang, Y.; Liu, X. The antiviral mechanism of viperin and its splice variant in spring viremia of carp virus infected fathead minnow cells. Fish. Shellfish Immunol. 2019, 86, 805–813. [Google Scholar] [CrossRef]
- Rikkert, L.G.; Nieuwland, R.; Terstappen, L.; Terstappen, L.W.M.M.; Coumans, F.A.W. Quality extracellular vescicle images by transmission electron microscopy is operator and protocol dependent. Extracell. Vesicles 2019, 8, 1555419. [Google Scholar] [CrossRef]
- Chuo, S.T.Y.; Cheien, J.C.Y.; Lai, C.P.K. Imaging extracellular vesicles: Current and emerging methods. J. Biomed. Sci. 2018, 25, 91. [Google Scholar] [CrossRef] [Green Version]
- Kim, Y.S.; Ahn, J.S.; Kim, S.; Kim, H.J.; Kim, S.H.; Kang, J.S. The potential theragnostic (diagnostic therapeutic) application of exosomes in diverse biomedical fields. Korean J. Physiol. Pharmacol. 2018, 22, 113–125. [Google Scholar] [CrossRef] [Green Version]
- Patel, G.K.; Khan, M.A.; Zubair, H.; Srivastava, S.K.; Khushman, M.; Singh, S.; Singh, A.P. Comparative analysis of exosome isolation methods using culture supernatant for optimum yield, purity and downstream applications. Sci. Rep. 2019, 9, 5335. [Google Scholar] [CrossRef] [Green Version]
- Ding, X.Q.; Wang, Z.Y.; Xia, D.; Wang, R.X.; Pan, X.R.; Tong, J.H. Proteomic profiling of serum exosomes from patients with metastatic gastric cancer. Font. Oncol. 2020, 10, 1113. [Google Scholar] [CrossRef] [PubMed]
- Enderle, D.; Spiel, A.; Coticchia, C.M.; Berghoff, E.; Mueller, R.; Schlumpberger, M.; Sprenger-Haussels, M.; Shaffer, J.M.; Lader, E.; Skog, J.; et al. Characterization of RNA from exosomes and other extracellular vesicles isolated by a novel spin column-based method. PLoS ONE 2015, 10, e0136133. [Google Scholar] [CrossRef] [PubMed] [Green Version]
- Gutiérrez García, G.; Galicia García, G.; Zalapa Soto, J.; Izquierdo Medina, A.; Rotzinger-Rodríguez, M.; Casas Aguilar, G.A.; López Pacheco, C.P.; Aguayo, Á.; Aguilar-Hernandez, M.M. Analysis of RNA yield in extracellular vesicles isolated by membrane affinity column and differential ultracentrifugation. PLoS ONE 2020, 6, e0238545. [Google Scholar] [CrossRef] [PubMed]
- Baranyai, T.; Herczeg, K.; Onódi, Z.; Voszka, I.; Módos, K.; Marton, N.; Nagy, G.; Mäger, I.; Wood, M.J.; El Andaloussi, S.; et al. Isolation of exosomes from blood plasma: Qualitative and quantitative comparison of ultracentrifugation and size exclusion chromatography methods. PLoS ONE 2015, 10, e0145686. [Google Scholar] [CrossRef] [PubMed] [Green Version]
- Gorr, T.A.; Vogel, J. Western blotting revisited: Critical perusal of underappreciated technical issues. Proteomics Clin. Appl. 2015, 9, 396–405. [Google Scholar] [CrossRef]
- Ryu, K.J.; Lee, J.Y.; Park, C.; Cho, D.; Kim, S.J. Isolation of small extracellular vesicles from human serum using a combination of ultracentrifugation with polymer-based precipitation. Ann. Lab. Med. 2020, 40, 253–258. [Google Scholar] [CrossRef]
- McDonald, M.K.; Tian, Y.; Qureshi, R.A.; Gormley, M.; Ertel, A.; Gao, R.; Lopez, E.A.; Alexander, G.M.; Sacan, A.; Fortina, P.; et al. Functional significance of macrophage-derived exosomes in inflammation and pain. Pain 2014, 155, 1527–1539. [Google Scholar] [CrossRef] [Green Version]
- Tarbes, S.M.; Borras, F.E.; Montoya, M.; Fraile, L.; Portillo, H.A.D. Serum-derived exosomes from non-viremic animals previously exposed to the porcine respiratory and reproductive virus contain antigenic viral proteins. Veter. Res. 2016, 47, 59. [Google Scholar] [CrossRef] [Green Version]
- Zhu, X.; Badawi, M.; Pomeroy, S.; Sutaria, D.S.; Xie, Z.; Baek, A.; Jiang, J.; Elgamal, O.A.; Mo, X.; Perle, K.L.; et al. Comprehensive toxicity and immunogenicity studies reveal minimal effects in mice following sustained dosing of extracellular vesicles derived from HEK293T cells. J. Extracell. Vesic. 2017, 6, 1324730. [Google Scholar] [CrossRef]




| Exosome Isolation Method | Size Range (nm) | Mean Size (nm) | Mode Size (nm) | Zeta Potential (mv) | Particle Con. (particles/mL) | Protein Con. (mg/mL) | Total Yield (mg) | Protein Recovery (mg/mL plasma) |
|---|---|---|---|---|---|---|---|---|
| UC | D10: 65.7 ± 2.8 | 114.6 ± 4.6 | 83.1 ± 7.7 | −19.90 ± 3.47 a | 4.90 × 1010 ± 2.91 × 109 a | 2.65 ± 0.01 a | 0.40 ± 0.0 a | 0.12 ± 0.0 a |
| D50: 97.4 ± 5.0 | ||||||||
| D90: 176.5 ± 7.3 | ||||||||
| exoEasy Maxi kit | D10: 62.5 ± 1.3 | 111.2 ± 2.2 | 68.4 ± 2.7 | −27.00 ± 3.57 b | 1.05 × 1011 ± 1.23 × 1010 b | 2.33 ± 0.03 b | 1.86 ± 0.03 b | 0.55 ± 0.01 b |
| D50: 90.8 ± 3.3 | ||||||||
| D90: 195.2 ± 5.7 |
Publisher’s Note: MDPI stays neutral with regard to jurisdictional claims in published maps and institutional affiliations. |
© 2022 by the authors. Licensee MDPI, Basel, Switzerland. This article is an open access article distributed under the terms and conditions of the Creative Commons Attribution (CC BY) license (https://creativecommons.org/licenses/by/4.0/).
Share and Cite
Nikapitiya, C.; Jayathilaka, E.H.T.T.; Edirisinghe, S.L.; Rajapaksha, D.C.; Wasana, W.P.; Jayasinghe, J.N.C.; De Zoysa, M. Isolation and Characterization of Plasma-Derived Exosomes from the Marine Fish Rock Bream (Oplegnathus fasciatus) by Two Isolation Techniques. Fishes 2022, 7, 36. https://doi.org/10.3390/fishes7010036
Nikapitiya C, Jayathilaka EHTT, Edirisinghe SL, Rajapaksha DC, Wasana WP, Jayasinghe JNC, De Zoysa M. Isolation and Characterization of Plasma-Derived Exosomes from the Marine Fish Rock Bream (Oplegnathus fasciatus) by Two Isolation Techniques. Fishes. 2022; 7(1):36. https://doi.org/10.3390/fishes7010036
Chicago/Turabian StyleNikapitiya, Chamilani, Eriyawala Hewage Thimira Thulshan Jayathilaka, Shan Lakmal Edirisinghe, Dinusha C. Rajapaksha, Withanage Prasadini Wasana, Jayasinghage Nirmani Chathurangika Jayasinghe, and Mahanama De Zoysa. 2022. "Isolation and Characterization of Plasma-Derived Exosomes from the Marine Fish Rock Bream (Oplegnathus fasciatus) by Two Isolation Techniques" Fishes 7, no. 1: 36. https://doi.org/10.3390/fishes7010036
APA StyleNikapitiya, C., Jayathilaka, E. H. T. T., Edirisinghe, S. L., Rajapaksha, D. C., Wasana, W. P., Jayasinghe, J. N. C., & De Zoysa, M. (2022). Isolation and Characterization of Plasma-Derived Exosomes from the Marine Fish Rock Bream (Oplegnathus fasciatus) by Two Isolation Techniques. Fishes, 7(1), 36. https://doi.org/10.3390/fishes7010036

