Next Article in Journal
Effect of the Combined Application of Aqueous Cabbage Seed Extract and Chitosan Solutions on the Shelf Life of Fresh-Cut Apple Cubes
Previous Article in Journal
Lethal Effect and Two-Sex Life Table of Tuta absoluta (Meyrick) Treated with Melaleuca alternifolia and Eucalyptus staigeriana Essential Oils
 
 
Font Type:
Arial Georgia Verdana
Font Size:
Aa Aa Aa
Line Spacing:
Column Width:
Background:
Article

Propagation and Long-Term Storage of Rhaponticum carthamoides Under In Vitro Conditions

1
National Center for Biotechnology, Korgalzhyn 13/5, Astana 010000, Kazakhstan
2
RSI ‘West-Altai State Natural Reserve’, Semipalatinskaya 9, Ridder 070000, Kazakhstan
3
Scientific and Production Center of Grain Farming After A.I. Barayev, Nauchnyi 021601, Kazakhstan
*
Authors to whom correspondence should be addressed.
Horticulturae 2025, 11(8), 952; https://doi.org/10.3390/horticulturae11080952
Submission received: 15 July 2025 / Revised: 29 July 2025 / Accepted: 8 August 2025 / Published: 12 August 2025
(This article belongs to the Section Propagation and Seeds)

Abstract

Rhaponticum carthamoides (Willd.) Iljin. (Leuzea carthamoides, Maral root), a medicinally valuable species listed in the Red Book of Kazakhstan, is known for its rich phytochemical profile. However, limited data exist on its microclonal propagation. This study aimed to optimize in vitro and medium-term storage conditions using biotechnological methods. Mature seeds collected from natural populations in the Kazakhstani Altai were germinated, and tissues from the seedlings were used as explants. Sterile shoots were cultured on Murashige and Skoog (MS) medium supplemented with 3.0 mg L−1 −6-benzylaminopurine and 3.0 mg L−1 kinetin. For shoot induction, MS medium supplemented with 0.5 mg L−1 meta-Topolin and using stem apices as explants yielded optimal results. Medium-term storage with chlorocholine chloride at 0.1–0.4 g/L effectively preserved regenerative capacity for further rooting. After 12 months of storage, plantlets were transferred to half-strength MS medium with 3.0 g/L activated carbon and at 2.0 or 5.0 mg L−1 indole-3-butyric acid for rooting. Regenerated plants were successfully acclimatized ex vitro. The 20-hydroxyecdysone content in field-grown plants post-storage reached 9.24 mg/mL, 2.4-fold higher than in wild plants. Inter simple sequence repeat analysis confirmed genetic stability. Our optimized protocol ensures high-yield metabolite production and genetic fidelity, enabling in vitro conservation, nursery-scale cultivation, and the restoration of R. carthamoides natural populations.

1. Introduction

Natural plant resources serve as essential raw materials for various industries, including agriculture and medicine; however, their availability is steadily declining each year [1]. A critical concern is the conservation of rare plant species that are under threat of destruction, particularly those with socio-economic importance. Medicinal plants are especially at risk due to harvesting, which results in population decline and, in some cases, complete extinction [2,3].
The Asteraceae family includes numerous medicinal species, many of which are endemics and relict taxa of interest for biodiversity conservation. Among these is Rhaponticum carthamoides (Willd.) Iljin. (Leuzea carthamoides, Maral root), a rare and economically valuable medicinal plant experiencing rapid population decline. The global ecdysterone market size was estimated at USD 370 million in 2024 and is projected to grow to USD 619 million by 2032 (https://www.24marketreports.com (accessed on 29 July 2025)). Rhaponticum carthamoides is a prominent tall-herbaceous species known for its exceptional ability to synthesize extremely high concentrations of phytoecdysteroids (natural steroid compounds of plant origin that have adaptogenic, anabolic, immunomodulatory, and anti-stress effects on the human and animal body), as well as its longevity and significant productivity. In Kazakhstan, it exclusively grows in the mountainous regions of the Western and Eastern Altai, primarily within subalpine and alpine meadows [4,5]. This mesopsychrophyte species, native to northern Asia, typically inhabits subalpine and alpine meadows but may often descend along the meadows into the forest belt, and very rarely the alpine tundra. This perennial plant reaches up to 180–200 cm in height, characterised with a woody rhizome and a specific resinous odour. It initiates growth after the snowmelt, typically in late May to early June. Climatic conditions of Kazakhstan restrict its growing season to 110–120 days [6,7].
In Kazakhstan, due to its high medicinal and economic value, R. carthamoides has been included in the Red Book and granted state protection since 1981 [8,9]. The high amounts of phytoecdysteroids produced by this species [5] exhibit hepatoprotective, hypoglycaemic, and adaptogenic properties [10]. The anabolic properties of phytoecdysteroids have also attracted interest for their potential use as doping agents and antidiabetic compounds [11,12]. Currently, ecdysterone-containing substances are used in official pharmacology and medicine for the treatment of cardiovascular, neurodegenerative, and metabolic disorders, as well as for supporting recovery following illness or physiological stress [5]. In traditional medicine, R. carthamoides is used as a source of tonics to strengthen the central nervous system and to improve mental and physical health. Rhaponticum carthamoides extracts contain approximately 200 bioactive compounds belonging to various chemical classes, including phytoecdysteroids, flavonoids, phenolic acids, and sesquiterpene lactones. Preparations based on R. carthamoides are non-toxic and have no known contraindications [13].
In addition to its medicinal properties, R. carthamoides is a valuable forage crop. Its protein content ranges from 27 to 31%, with essential amino acids comprising 14–16% of this amount. In animal husbandry, R. carthamoides is administered as top dressing, water–alcohol extracts, infusions, decoctions, and wet mashes, and as part of premixes and compound feeds [14]. It is well accepted by cattle, sheep, horses, and wild animals on pastures. The green biomass serves as an excellent raw material for silage, haylage, and grass meal, which is used as a biologically active feed additive for young animals of various species [15,16].
The high medicinal value of R. carthamoides has led to its spontaneous and unstainable harvesting by local populations. This uncontrolled collection, particularly in easily accessible mountainous regions, contributes to the degradation of natural populations. Combined with livestock grazing and haymaking, mass harvesting disrupts the complete ontogenesis of R. carthamoides, resulting in the thinning of thickets, reduction of habitat areas, and alteration of population age structure [7,17,18].
Propagation of R. carthamoides from seed is limited by several factors, including slow and uneven seedling development, which strongly depends on seed quality and successful stratification [19]. Consequently, vegetative propagation has been considered a viable alternative for nursery establishment. However, this method also presents challenges, primarily the slow restoration of rhizomes after division and the limited availability of propagation material, as rhizome division is feasible only in mature plants aged 3–4 years [5].
To effectively conserve endangered plant species and establish ex situ nurseries, it is essential not only to rapidly produce large quantities of high-quality planting material but also to ensure its timely transplantation, tailored to regional climatic conditions. This objective can be achieved through modern biotechnological approaches, which emphasize the long-term viability of whole plants, as well as their individual organs in vitro. Common in vitro preservation strategies used in biotechnology include maintenance of plants under active growth conditions, long-term storage, and cryopreservation of cultures [20]. These methods reduce the spatial demands for maintaining donor plants, minimize labour-intensive care, limit disease risk, and preserve genetic integrity. Furthermore, they enable the reintroduction of endangered plant species through the creation of artificial populations in their natural habitats and facilitate the production of sterile specimens of rare and endemic plant species, without disturbing the natural phytocenosis [21,22].
Modern biotechnological approaches, particularly in vitro micropropagation, offer promising solutions for the efficient propagation of R. carthamoides. These approaches enable rapid production of genetically stable planting material, reduce dependence on natural populations, and facilitate species introduction. Compared to conventional propagation, in vitro techniques require less space, eliminate the need for intensive care, and minimize the risk of plant diseases and material loss [18]. Moreover, they provide new opportunities for conserving and restoring the genetic potential of wild flora representatives, without causing significant damage to natural habitats [23]. Despite these advantages, a review of the scientific literature reveals limited information on the microclonal propagation methods for R. carthamoides. Existing studies primarily focus on the development of protocols for obtaining hairy roots, callus, and suspension cultures, and shoot regeneration via direct and indirect organogenesis [24].
Long-term storage (deposit) techniques allow for extended intervals between transplantations by decelerating the culture growth while preserving high viability. Storage under slow-growth conditions enables the maintenance of biological material for several months to 2–3 years without the need for subculturing [25]. Growth retardation is achieved by modifying culture medium composition and cultivation conditions. These modifications include adjustments to the mineral and carbohydrate content of the medium, regulation of growth regulator concentration and combinations, incorporation of osmotically active substances, and reductions in temperature and light intensity [20].
An alternative approach involves increasing the solidity of the medium through higher agar concentration and the addition of activated carbon [26]. Furthermore, chemical retardants such as polyvinylpyrrolidone, abscisic acid (ABA), chlorocholine chloride (CCC), and similar substances are commonly employed to inhibit plant growth [27]. CCC is widely used in agriculture to enhance nitrogen fertilizer efficiency and functions as a growth inhibitor by suppressing gibberellin biosynthesis, thereby slowing vegetative growth [28,29]. In addition to its inhibitory effect on vegetative growth of plants, CCC influences plant physiological responses under environmental stress. It enhances photosynthetic efficiency, increases SOD (superoxide dismutase) and POD (peroxidase) activities, and elevates the concentration of soluble sugars in leaves [30,31,32]. Substantial experimental data support CCC’s positive impact on plant growth and development, productivity, and stress resistance [33,34,35].
When developing technologies for non-transplant cultivation (deposit) in the context of in vitro long-term storage, CCC is particularly valuable, owing to its ability to suppress apical meristem activity while stimulating cambial growth, which leads to reduced internode length and increased stem diameter due to the thickening of all structural elements [36]. CCC is often incorporated into medium-term storage protocols in combination with osmotic agents such as sucrose, mannitol, and polyethyleneglycol (PEG) [37]. Its presence alters the balance of endogenous bioactive compounds, thereby increasing the concentration of growth inhibitors and modifying growth kinetics without compromising explant viability [38,39]. Moreover, CCC application can enhance the accumulation of biologically active substances in in vitro culture [40].
In addition to the challenges associated with optimizing in vitro storage conditions, ensuring the genetic homogeneity of regenerated lines remains a significant concern due to the potential occurrence of somaclonal variations during cultivation. Depending on the technical capabilities of the research laboratories, various molecular marker systems have been employed to detect such variations; these include RAPD (Random Amplified Polymorphic DNA), SSRs (Simple Sequence Repeats), ISSRs (Inter Simple Sequence Repeats), and iPBS (inter Primer Binding Site) markers [41,42,43,44]. Among these, ISSR markers have proven particularly effective for assessing genetic polymorphism in a wide range of plant species, including R. carthamoides [45]. ISSR markers are based on the amplification of DNA regions located between SSRs, enabling the detection of a high degree of polymorphism without requiring prior genome sequence information [46]. This technique is widely used to assess genetic diversity, construct genetic maps, and analyse inter- and intra-specific relationships. It provides valuable insights into the genetic structure of populations in various plant taxa, including R. carthamoides [45,47].
To overcome the challenges associated with the efficient propagation of R. carthamoides, this study aimed to develop an efficient in vitro preservation system for the species while simultaneous assessing the genetic stability of regenerated plants following long-term storage.

2. Materials and Methods

2.1. Plant Material

Seeds of R. carthamoides were manually collected 24–28 days after flowering from randomly distributed, well-developed plants within a natural coenopopulation, ensuring the absence of visible insect damage. Immature inflorescences with unopened heads and a receptacle diameter of ≥5 cm were placed in paper bags for post-harvest ripening. After collection, the plant samples were transported to the laboratory. After cleaning, seeds were stored at 4 °C and later used for medium composition optimization and explant selection for in vitro culture initiation. Molecular analyses were performed using DNA extracted from the plants grown from these seeds.

2.2. Seed Disinfection and In Vitro Culture Initiation

Seeds of R. carthamoides were treated with a soap solution and rinsed under running water for 20 min. Surface disinfection was performed in two stages. First, the seeds were pre-cleaned of physical impurities, washed under running water, placed in a 0.1% KMnO4 solution for 20 min under room temperature, and finally again rinsed with sterile water. Subsequently, the seeds were soaked in sterile water for 48 h, and lightweight (immature and damaged) seeds were discarded. Then, the remaining viable seeds were surface-sterilized by immersion in a 10% NaClO solution for 10 min. After rinsing in sterile water, a second disinfection step was conducted for 20 min, using a 0.1% HgCl2 solution. Then, the seeds were rinsed thoroughly (at least three times) with sterile distilled water to remove any residual HgCl2 [48]. Finally, the disinfection seeds were dried by blotting on sterile filter paper and aseptically placed on Murashige and Skoog (MS) medium (Sigma-Aldrich, St. Louis, MO, USA) supplemented with 3.0 mg L−1 6-benzylaminopurine (BAP) (Sigma-Aldrich, St. Louis, MO, USA) and 3.0 mg L−1 kinetin (Kin) (Sigma-Aldrich, St. Louis, MO, USA) [48]. The culture was incubated in a BJPX-A1500CI climate chamber (BIOBASE®, Jinan, Shandong, China) under controlled conditions of 26 °C, 3000 lux illumination, and a 16 h photoperiod.

2.3. In Vitro Micropropagation

Adventitious shoot formation of R. carthamoides was induced using sterile seedlings cultured on MS medium supplemented with 3.0 mg L−1 BAP and 3.0 mg L−1 Kin. To optimize shoot proliferation, media were further supplemented with varying concentrations (0.5–5.0 mg L−1) of BAP and meta-Topolin (mT) (PhytoTech Labs, Lenexa, KS, USA). All media contained 30 g/L sucrose (PhytoTech Labs, Lenexa, KS, USA) and 5 g/L plant agar (Condalab, Madrid, Spain). Three-week-old seedlings were divided into two parts by a transverse cut: shoot apex with cotyledons (SA) and hypocotyl with primary rootlet (HPR). In a subset of randomly selected seedlings, one cotyledon was used for genomic DNA extraction as the original reference material. For each hormone treatment and explant type, 30 explants were cultured in triplicate on the modified media for 30 days. Explants were maintained in a BIOBASE climate control system (model BJPX-A1500CI) at 26 °C under 3000 lux illumination and a 16 h photoperiod.

2.4. Deposition of Aseptic In Vitro Cultures

Adventitious shoots of R. carthamoides (20–25 mm in length) propagated in vitro were used for deposition experiments. Ten shoots per treatment were cultured in triplicate on half-strength MS medium supplemented with 60 g/L sucrose and varying concentrations (0.1, 0.4, or 0.8 g/L) of the growth regulator CCC (Sigma-Aldrich, St. Louis, MO, USA) and 5 g/L plant agar. The control treatment consisted of half-strength MS medium supplemented with 60 g/L sucrose, without CCC and 5 g/L plant agar. Cultures were stored in BPR-5V298 refrigerated chambers (BIOBASE®, Shandong, China) at 4 ± 1 °C, under 0.5 klx illumination, and a 16 h photoperiod. The efficiency of medium-term storage was evaluated after 3, 6, and 12 months of culture without subculturing. Parameters assessed included de novo shoot formation, foliage development, and the ability to resume growth under optimal in vitro and ex vitro conditions.

2.5. In Vitro Rooting

Rooting was performed on solidified half-strength MS medium supplemented with indole-3-butyric acid (IBA; 2.0 or 5.0 mg L−1; Sigma-Aldrich, St. Louis, MO, USA), activated charcoal (3.0 g/L; Sigma-Aldrich, St. Louis, MO, USA), agar (5 g/L), sucrose (30 g/L), and ascorbic acid (3.0 mg L−1; Sigma-Aldrich, St. Louis, MO, USA) to prevent tissue browning. Additionally, 2 mL of ascorbic acid solution was directly applied to the surface of the medium during the passage of shoots. Cultures were maintained in a BIOBASE climate chamber (BJPX-A1500CI) at 26 °C, under 3000 lux illumination, and a 16 h photoperiod.

2.6. Ex Vitro Rooting

Rooted R. carthamoides plantlets were transferred to plastic containers (0.5 L) containing a substrate composed of peat (Kekkilä-BVB Oy, Vantaa, Finland) and perlite (Florizel, Krasnoyarsk, Russia) in a 1:1 ratio. After planting in the soil, the plants were covered with a transparent film and exposed once a day, gradually increasing the duration of ventilation to facilitate acclimatization.

2.7. Quantitative Determination of 20-Hydroxyecdysone in Plant Extracts

Crushed leaves from both donor and regenerated R. carthamoides plants, stored for 12 months, were analysed for 20-hydroxyecdysone (20-HE) content. The raw materials were air-dried in a cool, dry environment and ground to a particle size of 2–3 mm. 20-HE extraction was performed according to a previously described method [49].
20-HE was quantified using high-performance liquid chromatography (HPLC) on an Agilent 1200 Series system (Agilent Technologies, Santa Clara, CA, USA) equipped with a diode array detector, operating at 254 nm. Separation was achieved using an Eclipse XBD-C18 column (4.6 × 150 mm, 5 μm) at 20 °C, mobile phase (MP): 10% isopropyl alcohol. The mobile phase flow rate was maintained at 0.75 mL/min, and the injection volume was set at 20 μL. Samples were filtered through 0.45 µm membrane filters prior to analysis, and compounds were identified based on retention time and UV spectra comparison with a reference standard of 20-HE (Sigma-Aldrich, St. Louis, MO, USA).

2.8. Evaluation of Genetic Stability of R. Carthamoides Plants

To assess the genetic stability of R. carthamoides plants, genomic DNA was isolated from both the mother plant and 10 randomly selected in vitro-regenerated plantlets after 12 months of long-term storage. Briefly, genomic DNA was extracted using CTAB buffer (2% CTAB, 2 M NaCl, 10 mM Na3EDTA, 100 mM HEPES; pH 5.3). The extracted DNA was dissolved in 1X TE buffer (1 mM EDTA, 10 mM Tris-HCl; pH 8.0). DNA concentration and purity were spectrophotometrically assessed using a NanoDrop spectrophotometer (Thermo Fisher Scientific, Waltham, MA, USA) and by electrophoresis in a 1% agarose gel stained with ethidium bromide.
PCR amplification was performed in a SimpliAmp™ Thermal Cycler (Thermo Fisher Scientific, Waltham, MA, USA) using a total of 11 different ISSR primers, each tested in a separate reaction [45,48]. The 25 μL PCR reaction mixture contained 10 ng genomic DNA, PCR buffer (2 mM MgSO4; 10 mM KCl; 10 mM (NH4)2SO4; 20 mM Tris-HCl, pH 8.8), 1 μM (10 mM) primer, 200 mM dNTPs, and 1 U Phire Hot Start II DNA Polymerase (Thermo Fisher Scientific, Waltham, MA, USA). The amplification program consisted of an initial denaturation at 98 °C for 3 min, followed by 35 cycles of denaturation at 98 °C for 15 s, annealing at 54–67 °C for 30 s, and extension at 72 °C for 60 s. A final extension was performed at 72 °C for 2 min. Amplification products were separated in a 1.5% agarose gel in 1X TBE buffer containing ethidium bromide. Fragment sizes were determined using the GeneRuler DNA Ladder Mix (100–10,000 bp; Thermo Fisher Scientific, Waltham, MA, USA) as a molecular marker. The length of the obtained ISSR fragments was visualized using the IBright 1500 Imaging System. (Thermo Fisher Scientific, Waltham, MA, USA). The genetic stability of ISSR loci was evaluated using ISSR fingerprinting by comparing the size and number of amplified fragments between the original plant and regenerated plants [45].

2.9. Statistical Analyses

To evaluate the effects of growth inhibitor concentration and storage duration during deposition, as well as the effects of growth regulator type and its concentration during cultivation, two-way analyses of variance (ANOVA) were performed. The interactions between these factors were also examined. Each variable was separately analysed, and statistically significant differences between groups were determined using Tukey’s HSD post hoc test. Differences were considered statistically significant at p < 0.05. All statistical analyses were conducted using R software (version 4.2.3, R Foundation for Statistical Computing, Vienna, Austria) [50].

3. Results

3.1. Collection and Characterization of R. carthamoides Samples

A coenopopulation of R. carthamoides was identified in the Kazakh Altai region, specifically in the Prokhodnoy Belok area of the Ivanovsky Ridge, within alpine forb meadows at an elevation of 1891 m above sea level (50°13′16″ N, 83°32′00″ E). The coenopopulation occupied an area of approximately 30 ha, with a total projective cover of 100%. Rhaponticum carthamoides was the dominant species, accounting for up to 60% of the coverage. Plants were scattered throughout the population, with an average density ranging from 3.3 to 4.7 individuals/m2. All age groups were represented, with generative individuals comprising the majority (Figure 1). The coenopopulation included the following associated species: Saussurea latifolia, Veratrum lobelianum, Doronicum altaicum, Geranium albiflorum, Ptarmica ledebourii, Rumex acetosella, Euphorbia pilosa, Pedicularis proboscidea, Solidago virgaurea, Festuca kryloviana, Viola altaica, Alchemilla acutiloba, Primula pallasii, V. disjuncta, Anthoxanthum alpinum, and Lathyrus gmelinii.
Three to five weeks post-collection, the flower heads fully dehisced, and the seeds freely dispersed, indicating full seed maturity. The mean 1000-seed weight was 13.45 ± 0.25 g. Although seeds were collected from visually healthy plants with no apparent signs of insect damage, approximately 20% of seeds were found to be infested with Curculionidae sp. larvae during threshing. After drying, the cleaned seeds were stored at 4 °C and used for further research.

3.2. In Vitro Germination of Rhaponticum Carthamoides Seeds

The first sprouts of R. carthamoides emerged from the seeds on the 3rd day of cultivation, with explant sterility maintained between 85% and 100%. Germination was marked initially by the emergence of a white embryonic rootlet, followed by the development of a white hypocotyl with a well-defined root cap. Subsequently, folded elliptical cotyledon leaves and a light green hypocotyl became visible (Figure 2A). The opening of the cotyledon leaves continued through days 10–14, with the hypocotyl changing colour from green to reddish, and the rootlet also acquiring a reddish hue. Notably, the in vitro cultivation process did not induce any morphological abnormalities. No hyperhydration or atypical growth forms were observed, and the development of seedlings was consistent with that observed under natural growing conditions.

3.3. In Vitro Micropropagation of Rhaponticum Carthamoides Explants

For in vitro microcloning, the seedlings were transversely sectioned into two segments: SA and HPR (Figure 2B). Both explant types were cultured on media of identical composition to assess organogenesis potential. SA explants consistently exhibited a robust regenerative response, with a 100% frequency of de novo multiple adventitious shoot formation across all tested medium variants. No non-responsive explants were observed. On MS medium supplemented with mT at concentrations ranging from 0.5 to 5.0 mg L−1, the average number of shoots per SA explant varied from 1.5 to 7.5. The highest shoot proliferation (7.5 shoots per explant), average leaf number (33), and average leaf length (10.4 cm) were recorded at 0.5 mg L−1 mT. A slight decline in these parameters was observed at 1.0 mg −1 mT, with the average leaf length and shoot number reduced to 6.1 cm and 6.5 shoots per explant, respectively (Figure 2C,D).
In contrast, media supplemented with BAP at 0.5–1.0 mg L−1 significantly suppressed morphogenetic parameters, with shoot numbers limited to 2.5–3.0, and lower values for both leaf numbers (11–14). Increasing the BAP concentration to 2.0–5.0 mg L−1 led to a moderate increase in leaf number; however, shoot number and leaf length declined.
HPR explants responded in a different manner under in vitro conditions. No de novo adventitious shoot formation was observed across any medium variant. Instead, a single pre-existing shoot continued to elongate. Non-morphogenic callus formation was observed in fewer than 5% of HPR explants. On media supplemented with mT, HPR explants developed 5 to 16 small leaves per explant, with leaf lengths ranging from 1.1 to 4.5 cm. On BAP-supplemented media, the number of leaves ranged from 4 to 13, with leaf lengths between 0.7 and 2.9 cm, depending on the cytokinin concentration (Table 1, Figure 2).
Adventitious shoot formation predominantly occurred in SA explants. Cultivation on MS medium supplemented with 0.5 mg L−1 mT resulted in de novo development of up to 7.5 shoots per explant.
A two-way ANOVA revealed that both the growth regulator type and its concentration, as well as their interactions, significantly influenced the average number of leaves per explant (p < 0.001). Notably, explant type significantly interacted with both growth regulator type and concentration.
Correlation analysis based on R. carthamoides SA explants demonstrated a clear relationship between cytokinin concentration and developmental parameters (Figure 3). A significant negative correlation was observed between mT concentration and both the number of shoots (r = −0.90) and the number of leaves (r = −0.82), indicating that higher mT concentrations inhibit adventitious shoot and leaf development. Similarly, increasing the BAP concentration led to a reduction in shoot formation and leaf length, although a weak positive correlation (r = 0.44) was found with the number of leaves.
For HPR explants, a similar interaction pattern between cytokinin type and concentration was observed, significantly influencing key quantitative traits of explants, such as leaf number and leaf length.

3.4. Optimization of In Vitro Storage Conditions for Rhaponticum Carthamoides

During the first 3 months of cultivation, R. carthamoides shoots remained viable across all nutrient media variants. However, their growth intensity varied depending on the concentration of CCC, with the most pronounced decline in viability observed at the highest CCC concentration (0.8 g/L). By the 6th month, all media variants showed reduced shoot growth, with visible signs of shoot necrosis, leaf browning, and death. These symptoms reflect a physiological response to prolonged exposure to low temperature (4 °C) and elevated CCC concentrations. Nonetheless, green colouration and viability were retained in some shoots and leaves, particularly in medium variants containing CCC at 0.1–0.4 g/L. In contrast, high concentrations of CCC (0.8 g/L) exerted a progressively inhibitory effect, leading to complete shoot death by the 12th month.
Morphometric analysis after 3 months showed that CCC concentrations ranging from 0.1 to 0.8 g/L reduced shoot length from 1.9 ± 0.1 to 1.2 ± 0.2 cm and leaf number from 4.6 ± 0.2 to 2.1 ± 0.3. In the control, shoot length and leaf number averaged 2.5 ± 0.2 cm and 2.5 ± 0.8, respectively. Root formation was not observed in any of the media variants after 12 months, nor were callus formation and shoot hyperhydration—an important outcome for minimizing somaclonal variation during long-term preservation (Figure 4).
Statistical analysis confirmed that CCC concentration had a significant effect on leaf number (F (3108) = 51.48, p < 0.001). Cultivation duration was also significant (F (2108) = 79.58, p < 0.001), indicating temporal changes in this parameter. Furthermore, a significant interaction between CCC concentration and cultivation duration was observed (F (6108) = 2.97, p = 0.01), demonstrating that the impact of CCC varied over time.
Evaluation of viability after 12 months of storage showed that regenerants maintained high viability on media containing 0.1–0.4 g/L CCC, with 96.5–98% of explants resuming growth upon transfer to optimal conditions. In contrast, explants stored on control media lacking CCC showed complete desiccation of leaves and shoot death, with no viable material recovered.

3.5. In Vitro Rooting and Acclimatization of Rhaponticum Carthamoides Regenerants

The application of IBA at concentrations of 2.0–5.0 mg L−1 effectively induced rooting in R. carthamoides shoots, resulting in a well-developed root system and enhanced shoot growth (Table 2, Figure 5). The average number of roots per shoot ranged from 9.5 ± 0.5 to 9.7 ± 0.7, whereas average root length varied from 18.3 ± 0.5 to 19.7 ± 0.6 cm. These results indicate that increasing IBA concentration within this range has a consistently positive effect on rhizogenesis of R. carthamoides. At an IBA concentration of 2 mg L−1 in the medium, root initiation was observed as early as day 6. Although shoots developed normally at IBA concentrations of 5 mg L−1, root formation was slightly delayed, with visible roots appearing after 7–10 days.
Following in vitro rooting, the regenerated plants were acclimatized to ex vitro conditions. At the time of transplanting, each plant had five to seven true leaves. The acclimatization period lasted 12 days, following which the protective covering was removed from the pots. A 1:1 peat–perlite substrate promoted successful adaptation, evidenced by the emergence of new leaves and the active growth of existing ones.
Subsequently, the acclimatized plants were planted in open soil to establish a nursery of R. carthamoides for plantation cultivation in the steppe zone of Northern Kazakhstan. A total of 369 regenerated plants were planted using a square-nesting pattern (60 × 60 cm) with manual watering. Plant survival one month after planting was remarkably high, ranging from 99 to 100%. By the end of the first growing season, the plants had reached the basal leaf rosette stage. The basal leaves measured 37–40 cm in length and 17–20 cm in width, with an elliptical, elongated, and pinnately dissected morphology. No signs of pathogenic microflora were observed at the end of the growing season. Overwinter survival of the regenerated plants was 100%.

3.6. Quantitative Analysis of 20-Hydroxyecdysone in Rhaponticum Carthamoides Plants

Comparative chromatographic analysis revealed significant differences between the wild plants (WPs) and regenerated plants (PR-1 and PR-2) (Table 2). In WPs, the 20-HE content was 7.88 mg/mL. In contrast, the content significantly decreased to 3.88 mg/mL in PR-1 at the ex vitro rooting stage following long-term in vitro cultivation. When grown in a nursery (PR-2), 20-HE level increased by 2.4-fold to 9.24 mg/mL, exceeding that of the wild plant (WP). All samples exhibited additional chromatographic peaks, possibly corresponding to ecdysteroid glycosides, hydrophilic flavonoids, and phenolic acids, indicating the presence of a diverse mixture of biologically active compounds (Table 3, Figure 6).

3.7. Analysis of Genetic Stability in R. carthamoides Plants by ISSR Marker Technique

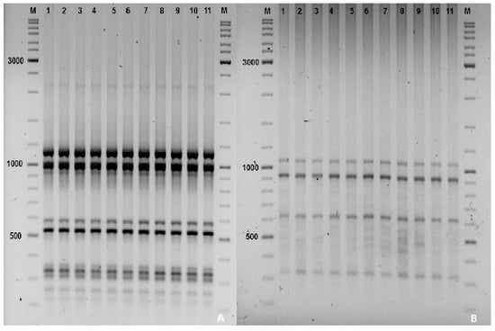
Genetic stability between in vitro preserved and original R. carthamoides plants was assessed using 11 ISSR markers. The analysis revealed identical amplification profiles across all samples. The primer annealing temperatures ranged from 54 °C to 67 °C. A total of 670 fragments were amplified, with sizes ranging from 150 to 2500 bp. The highest number of amplified fragments per sample (110) was obtained with primer number 1820, whereas the lowest (40) was observed using primer number 1815 (Table 4).
All ISSR primers produced reproducible amplification patterns from the genomic DNA of both the original plants and plants stored in vitro for 12 months (Figure 7). No polymorphism was detected in the ISSR-PCR profiles, confirming that the genetic profiles of microshoots remained identical to those of the original maternal plants in both the number and size of amplicons.

4. Discussion

In vitro conservation technologies—encompassing active growth maintenance, long-term storage, and the creation of cryocollections—are widely employed for preserving the biodiversity of endangered plant species [22,51]. Major advantages of in vitro conservation include the elimination of land use requirement, reduced need for routine care, and the capacity to safeguard genetic diversity without disrupting natural phytocenoses [20,52]. Medium-term preservation is typically achieved by suppressing growth through nutrient reduction or the incorporation of osmotically active agents (mannitol, sorbitol, PEG), or growth inhibitors such as CCC or ABA. These strategies slow growth kinetics and extend subculture intervals to 2 years or more [53,54,55,56,57].
The method of in vitro deposition, which enables prolonged viability under slowed growth conditions, has been successfully applied to various crop species [58,59]. In the present study, we applied medium-term in vitro storage for the first time to R. carthamoides, a valuable medicinal plant, to establish a slow-growth collection for subsequent clonal propagation and nursery cultivation.
The establishment of an in vitro collection of slow-growing plants involves a series of critical steps: aseptic culture initiation from meristematic explants, micropropagation, optimization of slow-growth conditions to maintain viability during storage, and successful ex vitro rooting and acclimatization [60]. The careful selection of explant type, nutrient medium composition, deposition conditions, and in vitro cultivation parameters is essential for effective sample preservation and for minimizing the risk of somaclonal variation.
Obtaining sterile, viable R. carthamoides seedlings in vitro is challenging due to the presence of a dense seed coat. This characteristic is especially problematic for wild-collected samples, which are often heavily contaminated with endophytic microorganisms. Therefore, optimizing disinfection protocols is a critical step. Our previous studies demonstrated the necessity of using multiple disinfection agents to achieve a high proportion of sterile, viable seedlings [48].
Although micropropagation protocols have been established for various plant species, including members of the Asteraceae family [61,62], research on R. carthamoides remains limited. Existing studies primarily focus on the induction of direct and indirect organogenesis from different explant types, as well as the development of suspension cultures and hairy roots system [63,64]. However, studies on long-term in vitro storage and subsequent regeneration of R. carthamoides are limited—a crucial gap considering its importance for conserving the genetic diversity and supporting large-scale nursery establishment.
In the present study, to facilitate microclonal propagation through the induction of adventitious shoot formation, 3-week-old sterile shoots were transversely segmented into two types of explants: SA and HPR. These explants exhibited distinct responses to exogenous phytohormones. SA explants demonstrated significantly higher efficiency in adventitious shoots formation than HPR explants (p < 0.001). This enhanced regenerative capacity of SA explants is possibly attributed to the presence of the shoot apex meristem, which contains cells with high mitotic activity. These cells effectively respond to low concentrations of cytokinins, promoting direct shoot organogenesis. Our findings align with those of previous studies, which reported that apical explants of R. carthamoides are most conducive to direct organogenesis and subsequent microclonal propagation, whereas leaf and root explants tend to regenerate via callus formation [63,65,66,67]. In contrast, HPR explants, derived from the basal region of the seedling, most often exhibit lower regenerative potential, possibly due to elevated auxin levels in the root apical meristem [68].
In the present study, optimization of the type and concentration of plant growth regulators enabled the successful establishment of in vitro cultures of R. carthamoides from various explant types and highlighted a critical role of cytokinin type in micropropagation efficiency. Media supplemented with mT induced the formation of physiologically normal adventitious shoots in 100% of explants, characterized by well-developed leaf apparatus and the absence of hyperhydration. In contrast, BAP did not significantly enhance morphometric parameters or shoot proliferation compared to mT; however, it positively influenced the leaf number and length, although to a lesser extent. The highest shoot number was obtained with 0.5 mg L−1 mT, whereas 0.5 mg L−1 BAP produced approximately half as many shoots (p < 0.001). The differential response of explants to mT and BAP possibly stems from their modes of action. mT undergoes O-glucosylation, resulting in less-stable metabolites and, as a result, has a lower toxic effect on plants [69]. Conversely, BAP forms chemically stable metabolites with slower release of active free bases, which may accumulate in roots and interfere with rooting and acclimatization under ex vitro conditions [70,71]. Our findings are consistent with those of previous studies demonstrating the positive effect of mT on microclonal propagation in various plant species [72,73]. Moreover, we observed high propagation efficiency using both mT and BAP in R. carthamoides. Several studies have also reported successful shoot generation from callus using BAP in combination with auxins [63,74,75]. We propose that the response to growth regulators is influenced by explant type and genotype-specific sensitivity, underscoring the importance of optimizing micropopagation protocols through systemic selection processes based on species-specific physiological traits and the mode of action of PGR (plant growth regulator).
Cryopreservation and low-temperature storage under slow-growth conditions are widely used for the in vitro conservation of germplasm without compromising explant viability [76]. This approach extends the interval between subcultures to several months or even years, thereby reducing labour costs and minimizing the risk of somaclonal variations. Slow growth is ensured by lowering temperature and light intensity, limiting nutrient availability, inducing osmotic stress, or applying growth retardants [77]. A key advantage of this method is the ability to resume normal growth and development upon removal of the inhibitory conditions [78].
The use of CCC in combination with osmotic agents such as mannitol, PEG, or sucrose is an effective strategy for inhibiting in vitro plant growth. This approach alters growth kinetics, enhances antioxidant activity, and improves gas exchange without compromising explant viability [37,40]. In the present study, we employed a multifactorial strategy to suppress the growth of R. carthamoides in vitro, incorporating mineral deficiency, elevated sucrose concentration, CCC application, low temperatures, and reduced light intensity. These combined treatments effectively inhibited plant growth without inducing toxicity or morphophysiological abnormalities. Viability under slow-growth conditions generally ranges from 50% to 100%, depending on the plant species [79]. In the present study, the viability was high (96.5–98%). These results are consistent with those of previous studies conducted on various plant species, supporting the use of high-sucrose media to reduce explant growth rates [80].
Root induction is a critical step in micropropagation because in vitro-cultured microshoots often exhibit poorly developed or completely absent root systems, reducing their chances of successful acclimatization. Although spontaneous root formation may occur in some species, most require auxin supplementation to initiate rhizogenesis [63]. In the present study, after 12 months of continuous cultivation, R. carthamoides retained the capacity for rhizogenesis when transferred to an optimized medium supplemented with 2–5 mg L−1 IBA, with root formation initiation observed by day 6. Rhizogenesis was further enhanced, and tissue necrosis prevented, by using a medium with half-strength mineral salts supplemented with activated carbon and ascorbic acid. These additives facilitate the absorption of toxic compounds and inhibit phenolic oxidation, thereby improving auxin efficacy and promoting growth and root development [81]. Optimization of the root induction phase resulted in R. carthamoides plants with well-developed root systems, enabling successful acclimatization to ex vitro conditions and high survival rates under field conditions.
In vitro culture methods offer a viable alternative for producing plant biomass enriched with bioactive secondary metabolites. A recent review highlights key approaches for obtaining phytoecdysteroids from various in vitro culture types—callus, suspension, and hairy root cultures—of R. carthamoides. The review discusses the influence of the nutrient medium composition, sucrose concentration, plant growth regulators, environmental factors (for example, temperature and light), and various biotic and abiotic elicitors on secondary metabolite yield [82]. In particular, the observed tendency of lower temperatures to increase the accumulation of ecdysteroids is noteworthy: in the post-stress period, the content of 20-NE nearly doubled, despite a decrease in the vegetative mass of R. carthamoides plants [83,84]. This may be due to the activation of signalling cascades and genes involved in the biosynthesis of phytoecdysteroids, including 20-HE, which plays a significant role in plant stress response and development regulation. This fact supports the view that phytoecdysteroid production in R. carthamoides is part of a non-specific adaptive response [85]. Our study showed that long-term in vitro cultivation under conditions of low temperature and light deficiency has a significant stress effect, reducing the level of 20-HE in PR-1 plants. However, during the post-stress recovery period, when vital physiological functions resumed, the 20-HE content increased 2.4-fold in PR-2 plants, surpassing levels observed in wild plants (WPs). After 4 weeks of the post-stress recovery period, plants exhibited a rich green colour, vigorous leaf rosette formation, and substantial biomass accumulation. This effect may reflect the protective and regenerative role of 20-HE, which functions similar to phytoalexins by facilitating recovery from stress-induced cellular damage [86]. In addition, the increase in 20-HE may also be due to the effect of the retardant CCC during long-term storage. Retardants block the pathways of gibberellin synthesis, the content of which, in turn, indirectly affects the accumulation of phytoecdysteroids. Studies shows that a decrease in the content of GA3 inhibits the growth of callus tissues, while it also stimulated the synthesis of phytoecdysterone [85,87]. Moreover, the findings of the present study indicate that long-term (12 months) in vitro cultivation preserves both the regenerative potential of R. carthamoides and its ability to produce pharmacologically important metabolites at levels comparable to those of wild plants. These results highlight the potential of biotechnological cultivation systems and controlled plantation methods as effective strategies for the sustainable production of high-value plant materials.
ISSR analysis revealed genetic consistency between the original plants and those regenerated after 12 months of storage. The absence of differences in the nature of the amplified products across samples for a given primer indicates the genetic stability of both the original source plants and the in vitro-propagated plants stored long-term.

5. Conclusions

Our optimized protocol for regenerating R. carthamoides via direct organogenesis, combined with long-term in vitro storage for 12 months, effectively preserves the plant’s ability to produce the secondary metabolite 20-HE without inducing somaclonal variation. This approach is suitable for both the establishment of in vitro collections aimed at biodiversity conservation and the nursery-based cultivation or restoration of natural populations of this valuable medicinal species. Long-term storage under slow-growth conditions is an effective method for maintaining genetically homogeneous and stable R. carthamoides plant material capable of regeneration under ex vitro conditions, thereby supporting the development of large-scale ex situ nurseries. Furthermore, this technique offers a promising foundation for the creation of strategic biobanks to safeguard plant genetic resources in the event of global environmental or technogenic disruptions, where natural ecosystems may be lost or severely damaged.

Author Contributions

O.R. and D.T. and N.F. performed the experiments, prepared figures and tables, authored or reviewed paper drafts, and approved the final draft; N.P. collected R. carthamoides samples; A.T. and S.M. and Z.A. analysed the data, prepared figures and tables, authored or reviewed paper drafts, and approved the final draft; O.K. and G.N. conceived and designed the experiments, analysed the data, prepared figures and tables, authored or reviewed paper drafts, and approved the final draft. All authors have read and agreed to the published version of the manuscript.

Funding

This research was funded by the Science Committee of the Ministry of Science and Higher Education of the Republic of Kazakhstan (Grant No. AP19679407).

Data Availability Statement

The original contributions presented in the study are included in the article material; further inquiries can be directed to the corresponding author.

Conflicts of Interest

The authors declare no conflicts of interest.

Abbreviations

The following abbreviations are used in this manuscript:
ABAAbscisic acid
ANOVAAnalysis of variance
BAP6-benzylaminopurine
CCCChlorocholine chloride
HPLCHigh-performance liquid chromatography
HPRHypocotyl with primary rootlet
IBAIndole-3-butyric acid
iPBSinter Primer Binding Site
ISSRInter simple sequence repeats
KinKinetin
MSMurashige and Skoog
mTMeta-Topolin
PEGPolyethyleneglycol
PGRPlant growth regulator
PODPeroxidase
PR-1Plants regenerated after long-term storage and rooted ex vitro
PR-2Regenerated plants cultivated in a nursery
RAPDRandom Amplified Polymorphic DNA
SAShoot apex with cotyledons
SODSuperoxide dismutase
SSRSimple sequence repeats
WPWild plant
20-HE20-hydroxyecdysone

References

  1. Indu, I.; Mehta, B.K.; Shashikumara, P.; Gupta, G.; Dikshit, N.; Chand, S.; Yadav, P.K.; Ahmed, S.; Singhal, R.K. Forage crops: A repository of functional trait diversity for current and future climate adaptation. Crop Pasture Sci. 2023, 74, 961–977. [Google Scholar] [CrossRef]
  2. Chen, C.; Chang, H.; Pang, X.; Liu, Q.; Xue, L.; Yin, C. Genetic diversity analysis and conservation strategy recommendations for ex situ conservation of Cupressus chengiana. BMC Plant Biol. 2025, 25, 552. [Google Scholar] [CrossRef]
  3. Lopes Paulo, M.; Machado Leitea, D.; Gabriel Do Carmob, D.; Montenegro Valls, J.F.; Borghetti, F.; Ebling Brondanic, G. A germination and micropropagation protocol for an endangered grass, Gymnopogon doellii, for ex situ conservation. Seed Sci. Technol. 2024, 52, 41–55. [Google Scholar] [CrossRef]
  4. Todorova, V.; Savova, M.S.; Ivanova, S.; Ivanov, K.; Georgiev, M.I. Anti-adipogenic activity of Rhaponticum carthamoides and its secondary metabolites. Nutrients 2023, 15, 3061. [Google Scholar] [CrossRef]
  5. Timofeev, N.P. Experience of Rhaponticum carthamoides (Willd.) Iliin cultivation as a natural source of ecdysterone under the conditions of the Arkhangelsk region. Agric. Biol. 2023, 58, 114–141. [Google Scholar] [CrossRef]
  6. Kubentaev, S.A.; Danilova, A.N. Evaluation of ecological and biological characteristics of Rhaponticum carthamoides (Willd.) Iljin and its resource indicators on the Ridge of Ivanovo (Eastern Kazakhstan). Biology 2017, 37, 31–46. [Google Scholar] [CrossRef]
  7. Zhmud, E.V. Rhaponticum carthamoides (Asteraceae) in the Altai Republic: Assessment of the State of the Plant Affected by Human Activities. J. Sib. Fed. Biol. 2022, 15, 92–106. [Google Scholar] [CrossRef]
  8. Baitulin, I.O. (Ed.) The Red Book of Kazakhstan (Plants); Art Print XXI: Astana, Kazakhstan, 2014; 452p. (In Russian) [Google Scholar]
  9. Bikov, B.K. (Ed.) Rare and Endangered Species of Animals and Plants. Part 2. Plants. In Red Data Book of Kazakh SSR; Nauka: Alma-Ata, Kazakhstan, 1981; 260p. (In Russian) [Google Scholar]
  10. Tarkowská, D.; Strnad, M. Plant ecdysteroids: Plant sterols with intriguing distributions, biological effects and relations to plant hormones. Planta 2016, 244, 545–555. [Google Scholar] [CrossRef]
  11. Parr, M.K.; Botrè, F.; Naß, A.; Hengevoss, J.; Diel, P.; Wolber, G. Ecdysteroids: A novel class of anabolic agents? Biol. Sport 2015, 32, 169–173. [Google Scholar] [CrossRef]
  12. Głazowska, J.; Kamiński, M.M.; Kamiński, M. Chromatographic separation, determination and identification of ecdysteroids: Focus on Maral root (Rhaponticum carthamoides, Leuzea carthamoides). J. Sep. Sci. 2018, 41, 4304–4314. [Google Scholar] [CrossRef]
  13. Kosović, E.; Lino, K.; Kuchař, M. HPLC-MS Methodology for R. carthamoides extract quality evaluation: A simultaneous determination of eight bioactive compounds. Diversity 2022, 14, 880. [Google Scholar] [CrossRef]
  14. Ulrikh, E.V.; Smolovskaya, O.V.; Pak, N.G. Study of antibacterial and antioxidant properties of medical plant extracts. BIO Web Conf. 2022, 47, 06001. [Google Scholar] [CrossRef]
  15. Yang, Y.; Asyakina, L.; Babich, O.; Dyshluk, L.; Sukhikh, S.; Popov, A.; Kostyushina, N. Physicochemical properties and biological activity of extracts of dried biomass of callus and suspension cells and in vitro root cultures. Food Process Tech. Technol. 2020, 50, 480–492. [Google Scholar] [CrossRef]
  16. Myrzagaliyeva, A.; Irsaliyev, S.; Tustubayeva, S.; Samarkhanov, T.; Orazov, A.; Alemseitova, Z. Natural Resources of Rhaponticum carthamoides in the Tarbagatai State National Nature Park. Diversity 2024, 16, 676. [Google Scholar] [CrossRef]
  17. Zhdanova, I.N. The effect of vitamin-herbal flour from R. Carthamoides on the blood parameters of young cattle. Agrar. Nauka 2022, N2, 28–31. [Google Scholar] [CrossRef]
  18. Mamyrova, S.; Kupriyanov, A.; Ishmuratova, M.; Ivashchenko, A.; Myrzagaliyeva, A.; Orazov, A.; Kubentayev, S. The current state of populations of Rhaponticum altaicum (Asteraceae) in the northern and central Kazakhstan. Diversity 2025, 17, 206. [Google Scholar] [CrossRef]
  19. Maysak, G.P.; Matolinets, D.A. Seed productivity of Maral root in the Perm Territory. Kormoproizvodstvo 2021, 2, 32–35. [Google Scholar] [CrossRef]
  20. Cordeiro, S.Z.; Simas, N.K.; Henriques, A.B.; Sato, A. In vitro conservation of Mandevilla moricandiana (Apocynaceae): Short-term storage and encapsulation–dehydration of nodal segments. In Vitro Cell. Dev. Biol.-Plant 2014, 50, 326–336. [Google Scholar] [CrossRef]
  21. Jalli, R.; Aravind, J.; Pandey, A. Conservation and management of endemic and threatened plant species in India: An overview. In Plant Biology and Biotechnology; Bahadur, B., Venkat Rajam, M., Sahijram, L., Krishnamurthy, K.V., Eds.; Springer: New Delhi, India, 2015; pp. 461–486. [Google Scholar] [CrossRef]
  22. Lundgren, M.R.; Cavanagh, A.P.; Macnaghten, P. Agricultural biotechnology: Potential, challenges, and debate. Plants People Planet 2025, early view. [Google Scholar] [CrossRef]
  23. Engelmann, F. Use of biotechnologies for the conservation of plant biodiversity. In Vitro Cell. Dev. Biol.-Plant 2011, 47, 5–16. [Google Scholar] [CrossRef]
  24. Prosekov, A.Y.; Kozlova, O.V.; Vesnina, A.D. Biotechnology of Cultivation of Rhaponticum Carthamoides (willd.) Suspension Cells: A Prospective Source of antitumor Substances. Russ. Agric. Sci. 2022, 48, 197–202. [Google Scholar] [CrossRef]
  25. Chauhan, R.; Singh, V.; Quraishi, A. In vitro conservation through slow-growth storage. In Synthetic Seeds: Germplasm Regeneration, Preservation and Prospects; Faisal, M., Alatar, A.A., Eds.; Springer International Publishing: Cham, Switzerland, 2019; pp. 397–416. [Google Scholar] [CrossRef]
  26. Nhut, D.T.; Van Le, B.; Fukai, S.; Tanaka, M.; Van, K.T.T. Effects of activated charcoal, explant size, explant position and sucrose concentration on plant and shoot regeneration of Lilium longiflorum via young stem culture. Plant Growth Regul. 2001, 33, 59–65. [Google Scholar] [CrossRef]
  27. Rademacher, W. Biochemical effects of plant growth retardants. In Plant Biochemical Regulators; CRC Press: Boca Raton, FL, USA, 2020; pp. 169–200. [Google Scholar]
  28. Ma, Z.B.; Dong, X.R.; Fang, M.Y.; Wang, Q.; Yan, P.; Wang, Q.Y.; Lu, L.; Dong, Z.Q. Effects of basic application of chlorocholine chloride combined with nitrogen fertilizer on nitrogen use of summer maize in North China Plain. Ying Yong Sheng Tai Xue Bao 2021, 32, 931–941. [Google Scholar] [CrossRef] [PubMed]
  29. Castro-Camba, R.; Sánchez, C.; Vidal, N.; Vielba, J.M. Interactions of gibberellins with phytohormones and their role in stress responses. Horticulturae 2022, 8, 241. [Google Scholar] [CrossRef]
  30. Hua, W.R.; Yong, L.; Sheng, W.; Hua, N.X. Liu Peng Effect of plant growth retardants on the growth and development of potted rose. Acta Bot. Boreali-Occidentalia Sin. 2012, 32, 767–773. [Google Scholar]
  31. Karimi, M.; Ahmadi, A.; Hashemi, J.; Abbasi, A.; Angelini, L.G. Effect of two plant growth retardants on steviol glycosides content and antioxidant capacity in Stevia (Stevia rebaudiana Bertoni). Acta Physiol. Plant 2014, 36, 1211–1219. [Google Scholar] [CrossRef]
  32. Ju, S.; Xu, D.; Zhang, C.; Lu, J.; Jiang, X.; Ji, L. Induction of tolerance by chlorocholine chloride in Sequoia sempervirens seedlings under natural cooling and drought. J. For. Sci. 2020, 66, 236–243. [Google Scholar] [CrossRef]
  33. Andrade, D.S.S.; Souza, E.H.; Costa, E.M.R.; Souza, F.V.D. In vitro conservation of three endemic Bromeliaceae species and reintroduction into their natural habitat. J. Nat. Conserv. 2025, 84, 126839. [Google Scholar] [CrossRef]
  34. Lu, X.; Sun, P.; Liu, R.; Wang, C.; Tong, L.; Tahir, M.M.; Ma, X.; Bao, J.; Zhang, D.; Wang, M.; et al. In vitro slow-growth conservation, acclimatization, and genetic stability of virus-free apple plants. Hortic. Adv. 2024, 2, 30. [Google Scholar] [CrossRef]
  35. Pan, X.J.; Zhang, W.E.; Li, X. In Vitro Conservation of Native Chinese Wild Grape (Vitis Heyneana Roem. & Schult) by Slow Growth Culture. Vitis 2015, 53, 207. [Google Scholar] [CrossRef]
  36. Alleweldt, G.; Harstlangenbucher, M. The effect of growth-inhibitors on long-term storage of in vitro cultures of grapevine. Vitis 1987, 26, 57–64. [Google Scholar]
  37. Mitrofanova, I.V.; Ivanova, N.N.; Brailko, V.A. Clematis plants conservation under in vitro GeneBank conditions. Acta Hortic. 2020, 1298, 167–174. [Google Scholar] [CrossRef]
  38. Du, Y.; Li, W.; Zhang, M.; He, H.; Jia, G. The establishment of a slow-growth conservation system in vitro for two wild lily species. Afr. J. Biotechnol. 2012, 11, 1981–1990. [Google Scholar] [CrossRef]
  39. Mitrofanova, I.V.; Brailko, V.A.; Lesnikova-Sedoshenko, N.P.; Ivanova, N.N.; Mitrofanova, O.V. Structure of Vegetative Organs in Essential Oil Rose Under Standard Culture Conditions and Long-Term Conservation In Vitro; International Society for Horticultural Science (ISHS): Leuven, Belgium, 2021. [Google Scholar] [CrossRef]
  40. Dey, A.; Kundu, S.; Bandyopadhyay, A.; Bhattacharjee, A. Efficient micropropagation and chlorocholine chloride induced stevioside production of Stevia rebaudiana Bertoni. Comptes Rendus Biol. 2013, 336, 17–28. [Google Scholar] [CrossRef] [PubMed]
  41. Tikendra, L.; Potshangbam, A.M.; Dey, A.; Devi, T.R.; Sahoo, M.R.; Nongdam, P. RAPD, ISSR, and scot markers based genetic stability assessment of micropropagated Dendrobium fimbriatum Lindl. var. oculatum Hk. f.- an important endangered orchid. Physiol. Mol. Biol. Plants 2021, 27, 341–357. [Google Scholar] [CrossRef] [PubMed]
  42. Çetin, B. Plant regeneration from hypocotyls of black carrot via direct somatic embryogenesis and determination of its genetic stability by RAPD and ipbs methods. Indian J. Genet. Plant Breed. 2018, 78, 373–377. [Google Scholar] [CrossRef]
  43. Kalendar, R.; Schulman, A.H. Transposon-based tagging: IRAP, REMAP, and iPBS. Molecular plant taxonomy: Methods and protocols. Methods Mol. Biol. 2014, 1115, 233–255. [Google Scholar] [CrossRef]
  44. Tikendra, L.; Choudhary, R.; Sanayaima Devi, R.; Dey, A.; Potshangbam, A.M.; Nongdam, P. Micropropagation of bamboos and clonal fidelity assessment using molecular markers. In Biotechnological Advances in Bamboo; Ahmad, Z., Ding, Y., Shahzad, A., Eds.; Springer: Singapore, 2021; pp. 145–185. [Google Scholar] [CrossRef]
  45. Kalendar, R.; Muterko, A.; Boronnikova, S. Retrotransposable Elements: DNA Fingerprinting and the Assessment of Genetic Diversity. In Molecular Plant Taxonomy; Besse, P., Ed.; Methods in Molecular Biology; Humana: New York, NY, USA, 2021; Volume 2222. [Google Scholar] [CrossRef]
  46. Etminan, A.; Pour-Aboughadareh, A.; Mohammadi, R.; Ahmadi-Rad, A.; Noori, A.; Mahdavian, Z.; Moradi, Z. Applicability of start codon targeted (SCoT) and inter-simple sequence repeat (ISSR) markers for genetic diversity analysis in durum wheat genotypes. Biotechnol. Biotechnol. Equip. 2016, 30, 1075–1081. [Google Scholar] [CrossRef]
  47. Bornet, B.; Branchard, M. Nonanchored inter simple sequence repeat (ISSR) markers: Reproducible and specific tools for genome fingerprinting. Plant Mol. Biol. Report. 2001, 19, 209–215. [Google Scholar] [CrossRef]
  48. Raizer, O.; Tagimanova, D.; Nagmetova, G.; Khapilina, O. Introduction to in vitro culture of Rhaponticum carthamoides. Eurasian J. Appl. Biotechnol. 2024, 2, 61–69. [Google Scholar] [CrossRef]
  49. Fang, L.; Li, J.; Zhou, J.; Wang, X.; Guo, L. Isolation and purification of three ecdysteroids from the stems of Diploclisia glaucescens by high-speed countercurrent chromatography and their anti-inflammatory activities in vitro. Molecules 2017, 22, 1310. [Google Scholar] [CrossRef]
  50. R Core Team. R: A Language and Environment for Statistical Computing; R Foundation for Statistical Computing: Vienna, Austria, 2023. [Google Scholar]
  51. Nazari, M.; Kordrostami, M.; Ghasemi-Soloklui, A.A. Conservation of medicinal plants by tissue culture techniques. In Medicinal Plants: Biodiversity, Biotechnology and Conservation Sustainable; Jha, S., Halder, M., Eds.; Springer: Singapore, 2023; Volume 33, pp. 801–818. [Google Scholar] [CrossRef]
  52. Sarasan, V.; Cripps, R.; Ramsay, M.M.; Atherton, C.; McMichen, M.; Prendergast, G.; Rowntree, J.K. Conservation in vitro of threatened plants—Progress in the past decade. In Vitro Cell. Dev. Biol.-Plant 2006, 42, 206–214. [Google Scholar] [CrossRef]
  53. Chauhan, R.; Keshavkant, S.; Jadhav, S.K.; Quraishi, A. In vitro slow-growth storage of Chlorophytum borivilianum Sant. et Fernand: A critically endangered herb. In Vitro Cell. Dev. Biol.-Plant 2016, 52, 315–321. [Google Scholar] [CrossRef]
  54. Gonçalves, S.; Romano, A. In vitro minimum growth for conservation of Drosophyllum lusitanicum. Biol. Plant 2007, 51, 795–798. [Google Scholar] [CrossRef]
  55. Trejgell, A.; Kamińska, M.; Tretyn, A. In vitro slow growth storage of Senecio macrophyllus shoots. Acta Physiol. Plant 2015, 37, 234. [Google Scholar] [CrossRef]
  56. Keller, E.R.J.; Senula, A.; Leunufna, S.; Grübe, M. Slow growth storage and cryopreservation—Tools to facilitate germplasm maintenance of vegetatively propagated crops in living plant collections. Int. J. Refrig. 2006, 29, 411–417. [Google Scholar] [CrossRef]
  57. Arora, K.; Rai, M.K.; Sharma, A.K. Tissue culture mediated biotechnological interventions in medicinal trees: Recent progress. Plant Cell Tiss. Organ. Cult. 2022, 150, 267–287. [Google Scholar] [CrossRef]
  58. Benelli, C.; Tarraf, W.; İzgü, T.; Anichini, M.; Faraloni, C.; Salvatici, M.C.; Jouini, N.; Germanà, M.A.; Danti, R.; Lambardi, M. Long-term conservation for the safeguard of Abies nebrodensis: An endemic and endangered species of Sicily. Plants 2024, 13, 1682. [Google Scholar] [CrossRef]
  59. Krishnan, P.N.; Decruse, S.W.; Radha, R.K. Conservation of medicinal plants of Western Ghats, India and its sustainable utilization through in vitro technology. In Vitro Cell. Dev. Biol.-Plant 2011, 47, 110–122. [Google Scholar] [CrossRef]
  60. Cruz-Cruz, C.A.; González-Arnao, M.T.; Engelmann, F. Biotechnology and conservation of plant biodiversity. Resources 2013, 2, 73–95. [Google Scholar] [CrossRef]
  61. Wildi, E.; Schaffner, W.; Berger Büter, K. In vitro propagation of Petasites hybridus (Asteraceae) from leaf and petiole explants and from inflorescence buds. Plant Cell Rep. 1998, 18, 336–340. [Google Scholar] [CrossRef]
  62. Gianguzzi, V.; Barone, G.; Di Gristina, E.; Sottile, F.; Domina, G. Micropropagation of endemic endangered taxa of the Italian flora: Adenostyles alpina subsp. macrocephala (Asteraceae), as a case study. Plants 2023, 12, 1530. [Google Scholar] [CrossRef]
  63. Skała, E.; Grąbkowska, R.; Sitarek, P.; Kuźma, Ł.; Błauż, A.; Wysokińska, H. Rhaponticum carthamoides regeneration through direct and indirect organogenesis, molecular profiles and secondary metabolite production. Plant Cell Tiss. Organ. Cult. 2015, 123, 83–98. [Google Scholar] [CrossRef]
  64. Skała, E.; Kicel, A.; Olszewska, M.A.; Kiss, A.K.; Wysokińska, H. Establishment of hairy root cultures of Rhaponticum carthamoides (Willd.) Iljin for the production of biomass and caffeic acid derivatives. BioMed Res. Int. 2015, 2015, 181098. [Google Scholar] [CrossRef]
  65. Sauer, M.; Robert, S.; Kleine-Vehn, J. Auxin: Simply complicated. J. Exp. Bot. 2013, 64, 2565–2577. [Google Scholar] [CrossRef]
  66. Davidović Gidas, J.; Zeljković, S.; Đekić, N.; Đurić, G. LED lights and plant growth regulators enhance the in vitro mass propagation of rosemary (Rosmarinus officinalis L.). Eur. J. Hortic. Sci. 2025, 90, 0008. [Google Scholar] [CrossRef]
  67. Skała, E.; Olszewska, M.A.; Tabaka, P.; Kicel, A. Light-emitting diodes and liquid system affect the caffeoylquinic acid derivative and flavonoid production and shoot growth of Rhaponticum carthamoides (Willd.) Iljin. Molecules 2024, 29, 2145. [Google Scholar] [CrossRef] [PubMed]
  68. Krakhmaleva, I.L.; Molkanova, O.I.; Orlova, N.D.; Koroleva, O.V.; Mitrofanova, I.V. In vitro morpho-anatomical and regeneration features of cultivars of Actinidia kolomikta (Maxim.) Maxim. Horticulturae 2024, 10, 1335. [Google Scholar] [CrossRef]
  69. Reshi, Z.A.; Husain, F.M.; Khanam, M.N.; Javed, S.B. Effect of meta-Topolin on morphological, physiochemical, and molecular dynamics during in vitro regeneration of Salix tetrasperma Roxb. BMC Plant Biol. 2025, 25, 121. [Google Scholar] [CrossRef] [PubMed]
  70. San José, M.C.; Cernadas, M.J.; Janeiro, L.V. Optimization of micropropagation protocols in some woody plants using meta-topolin. In Meta-Topolin: A Growth Regulator for Plant Biotechnology and Agriculture; Ahmad, N., Strnad, M., Eds.; Springer: Singapore, 2021; pp. 221–240. [Google Scholar] [CrossRef]
  71. Aremu, A.O.; Bairu, M.W.; Doležal, K.; Finnie, J.F.; Van Staden, J. Topolins: A panacea to plant tissue culture challenges? Plant Cell Tiss. Organ. Cult. 2012, 108, 1–16. [Google Scholar] [CrossRef]
  72. Ptak, A.; Szewczyk, A.; Simlat, M.; Błażejczak, A.; Warchoł, M. Meta-Topolin-induced mass shoot multiplication and biosynthesis of valuable secondary metabolites in Stevia rebaudiana Bertoni bioreactor culture. Sci. Rep. 2023, 13, 15520. [Google Scholar] [CrossRef]
  73. Domingues, J.; Eira, A.; Ramalho, I.; Barrocas, I.; Gonçalves, J.C. In vitro Propagation and Conservation of Lavandula stoechas subsp. luisieri and Pterospartum tridentatum, Two Important Medicinal and aromatic Species from Portugal. Plants 2024, 13, 2124. [Google Scholar] [CrossRef]
  74. Akhtar, Z.; Alireza, B.; Reza, O.; Elham, D. Study on callus induction and plant regeneration of Leuzea carthamoides via tissue culture system. J. Med. Plants Res. 2014, 8, 260–268. [Google Scholar] [CrossRef]
  75. Duškova, J.; Dušek, J. Leuzea carthamoides DC. in vitro. Herba Pol. 1995, 41, 165–169. [Google Scholar]
  76. Engelmann, F. Present development and use of in vitro culture techniques for the conservation of plant genetic resources. Acta Hortic. 1997, 447, 471–476. [Google Scholar] [CrossRef]
  77. Hussain, I.; Saleem, M.H.; Mumtaz, S.; Rasheed, R.; Ashraf, M.A.; Maqsood, F.; Rehman, M.; Yasmin, H.; Ahmed, S.; Ishtiaq, M.; et al. Choline chloride mediates chromium tolerance in spinach (Spinacia oleracea L.) by restricting its uptake in relation to morpho-physio-biochemical attributes. J. Plant Growth Regul. 2022, 41, 1594–1614. [Google Scholar] [CrossRef]
  78. Koroleva, O.V.; Molkanova, O.I.; Mishanova, E.V. Biotechnological methods of reproduction and preservation of species and cultivars of the genus Syringa L. Acta Hortic. 2022, 1339, 87–92. [Google Scholar] [CrossRef]
  79. Mitrofanova, I.V.; Brailko, V.A.; Ivanova, N.N.; Mitrofanova, O.V. Some special features of the conservation of valuable, essential oil rose cultivars: In vitro deposition and cryopreservation. Acta Hortic. 2019, 1234, 195–202. [Google Scholar] [CrossRef]
  80. Mehraj, H.; Alam, M.M.; Habiba, S.U.; Mehbub, H. LEDs combined with CHO sources and CCC priming PLB regeneration of Phalaenopsis. Horticulturae 2019, 5, 34. [Google Scholar] [CrossRef]
  81. Poniewozik, M.; Parzymies, M.; Szot, P. Effect of activated charcoal and ascorbic acid on in vitro morphogenesis and o-dihydroxyphenols content in Paphiopedilum insigne. Hortic. Sci. 2022, 49, 48–51. [Google Scholar] [CrossRef]
  82. Martins, J.P.R.; Wawrzyniak, M.K.; Kalemba, E.M.; Ley-López, J.M.; Lira, J.M.S.; Chmielarz, P. In vitro rooting of Quercus robur, activated charcoal vs. exogenous auxin: A morphophysiological approach. Plant Cell Tiss. Organ. Cult. 2024, 156, 24. [Google Scholar] [CrossRef]
  83. Timofeev, N.P. Accumulation and variability of ecdysteroid content in medicinal raw materials of Leuzea carthamoides. Agric. Biol. 2009, 44, 106–117. (In Russian) [Google Scholar]
  84. Timofeev, N.P. Productivity of aboveground phytomass and ecdysterone content in the agropopulation of Leuzea carthamoides for 27 years of ontogenesis. In New and Unconventional Plants and Prospects for Their Use; Federal Scientific Center of Vegetable Growing: Vniissok, Russia, 2017; Number S13; pp. 167–170. (In Russian) [Google Scholar]
  85. Thiem, B.; Kikowska, M.; Maliński, M.P.; Kruszka, D.; Napierała, M.; Florek, E. Ecdysteroids: Production in plant in vitro cultures. Phytochem. Rev. 2017, 16, 603–622. [Google Scholar] [CrossRef]
  86. Arif, Y.; Singh, P.; Bajguz, A.; Hayat, S. Phytoecdysteroids: Distribution, structural diversity, biosynthesis, activity, and crosstalk with phytohormones. Int. J. Mol. Sci. 2022, 23, 8664. [Google Scholar] [CrossRef]
  87. Ravishankar, G.A.; Mehta, A.R. Control of Ecdysterone Biogenesis in Tissue Cultures of Trianthema portulacastrum. J. Nat. Prod. 1979, 42, 152–158. [Google Scholar] [CrossRef] [PubMed]
Figure 1. Rhaponticum carthamoides plants in their natural habitat. (A) adult plant; (B) flowering stage; (C) seed maturation; (D) mature seeds.
Figure 1. Rhaponticum carthamoides plants in their natural habitat. (A) adult plant; (B) flowering stage; (C) seed maturation; (D) mature seeds.
Horticulturae 11 00952 g001
Figure 2. Response of Rhaponticum carthamoides explants grown on Murashige and Skoog medium supplemented with different cytokinins. (A) Seed germination; (B) dissection of seedlings into shoot apex with cotyledons (SA) and hypocotyl with primary rootlet (HPR); (C) SA grown on meta-Topolin (mT) medium (left) and on 6-benzylaminopurine (BAP) medium (right); (D) HPR grown on mT medium (left) and on BAP medium (right).
Figure 2. Response of Rhaponticum carthamoides explants grown on Murashige and Skoog medium supplemented with different cytokinins. (A) Seed germination; (B) dissection of seedlings into shoot apex with cotyledons (SA) and hypocotyl with primary rootlet (HPR); (C) SA grown on meta-Topolin (mT) medium (left) and on 6-benzylaminopurine (BAP) medium (right); (D) HPR grown on mT medium (left) and on BAP medium (right).
Horticulturae 11 00952 g002
Figure 3. Correlation analysis between cytokinin concentration and developmental parameters of different Rhaponticum carthamoides explant types. (A) Shoot apex with cotyledons (SA) and (B) hypocotyl with primary rootlet (HPR) growth indices. Each cell in the matrix displays the correlation coefficient between two features ranging from −1 to +1. Dark blue indicates a strong positive correlation (approaching +1), whereas red indicates a strong negative correlation (approaching −1).
Figure 3. Correlation analysis between cytokinin concentration and developmental parameters of different Rhaponticum carthamoides explant types. (A) Shoot apex with cotyledons (SA) and (B) hypocotyl with primary rootlet (HPR) growth indices. Each cell in the matrix displays the correlation coefficient between two features ranging from −1 to +1. Dark blue indicates a strong positive correlation (approaching +1), whereas red indicates a strong negative correlation (approaching −1).
Horticulturae 11 00952 g003
Figure 4. Morphological characteristics of Rhaponticum carthamoides explants after 12 months of deposition.
Figure 4. Morphological characteristics of Rhaponticum carthamoides explants after 12 months of deposition.
Horticulturae 11 00952 g004
Figure 5. Regenerated plants of Rhaponticum carthamoides. (A) Cultivation on rhizogenesis induction medium; (B) microshoots of R. carthamoides with roots; (C) rooting and acclimatization to ex vitro conditions; (D) regenerated plants established in the field in the steppe zone of Northern Kazakhstan.
Figure 5. Regenerated plants of Rhaponticum carthamoides. (A) Cultivation on rhizogenesis induction medium; (B) microshoots of R. carthamoides with roots; (C) rooting and acclimatization to ex vitro conditions; (D) regenerated plants established in the field in the steppe zone of Northern Kazakhstan.
Horticulturae 11 00952 g005
Figure 6. HPLC chromatogram of Rhaponticum carthamoides plant extract. (A) Wild plants (WPs); (B) plants regenerated after long-term storage and rooted ex vitro (PR-1); (C) regenerated plants cultivated in a nursery (PR-2). The purple lines on the chromatogram indicate the integration baseline used by ChemStation software for the automatic calculation of peak areas.
Figure 6. HPLC chromatogram of Rhaponticum carthamoides plant extract. (A) Wild plants (WPs); (B) plants regenerated after long-term storage and rooted ex vitro (PR-1); (C) regenerated plants cultivated in a nursery (PR-2). The purple lines on the chromatogram indicate the integration baseline used by ChemStation software for the automatic calculation of peak areas.
Horticulturae 11 00952 g006
Figure 7. Inter simple sequence repeat fingerprinting profile of Rhaponticum carthamoides plants generated using primer numbers (A) 1813 and (B) 1814. Lane M: DNA marker (100–10,000 bp DNA ladder); lane 1: DNA from the R. carthamoides mother plant (control); lanes 2–11: DNA from R. carthamoides plants following in vitro storage for 12 months.
Figure 7. Inter simple sequence repeat fingerprinting profile of Rhaponticum carthamoides plants generated using primer numbers (A) 1813 and (B) 1814. Lane M: DNA marker (100–10,000 bp DNA ladder); lane 1: DNA from the R. carthamoides mother plant (control); lanes 2–11: DNA from R. carthamoides plants following in vitro storage for 12 months.
Horticulturae 11 00952 g007
Table 1. Effect of explant type and different cytokinin concentrations on shoot induction in Rhaponticum carthamoides.
Table 1. Effect of explant type and different cytokinin concentrations on shoot induction in Rhaponticum carthamoides.
Growth Regulator (Cytokinin)Concentration
(mg L−1)
Average Number of Leaves/ExplantAverage Length of Leaves (cm)Average Number of Shoots/Explant
SA
mT0.533 ± 2.1 ab10.4 ± 2.0 a7.5 ± 1.5 a
1.031 ± 2.4 d6.1 ± 1.5 c 6.5 ± 1.2 c
2.031 ± 3.7 bd4.8 ± 1.0 d4.5 ± 0.9 e
5.022 ± 2.6 e3.8 ± 1.5 b1.5 ± 0.2 d
BAP0.514 ± 1.3 f5.6 ± 0.9 cd3.0 ± 0.4 b
1.011 ± 1.0 c3.7 ± 0.5 b2.5 ± 0.3 b
2.034 ± 3.1 a3.6 ± 0.6 b1.5 ± 0.5 d
5.023 ± 2.0 e3.1 ± 0.4 b1.5 ± 0.2 d
Significance level 0.000 ***0.000 ***0.000 ***
HPR
mT0.516 ± 1.6 a4.5 ± 0.6 a1 a
1.09 ± 1.4 c3.5 ± 0.5 c1 a
2.08 ± 1.3 e1.2 ± 0.2 f1 a
5.05 ± 0.9 g1.1 ± 0.1 ef1 a
BAP0.56 ± 1.2 f2.9 ± 0.5 b1 a
1.04 ± 0.7 b2.6 ± 0.4 b1 a
2.013 ± 1.2 d0.9 ± 0.1 e1 a
5.07 ± 1.0 ef0.7 ± 0.1 d1 a
Significance level 0.000 ***0.000 ***n.s.
BAP, 6-benzylaminopurine; HPR, hypocotyl with primary rootlet; mT, meta-Topolin; SA, shoot apex with cotyledons. Different letters “a–g” within the table indicate statistically significant differences according to Tukey’s HSD post hoc test (*** p < 0.05), n.s., not significant.
Table 2. The effect of IBA concentrations on the induction of shoot rooting Rhaponticum carthamoides.
Table 2. The effect of IBA concentrations on the induction of shoot rooting Rhaponticum carthamoides.
Concentration IBA, mg L−1Average Number of Roots, pcsAverage Root Length, cm
(control)1.5 ± 0.54.5 ± 1.5
1.01.7 ± 0.85.6 ± 1.9
2.09.7 ± 0.719.7 ± 0.6
5.09.5 ± 0.518.3 ± 0.5
Table 3. Quantification of 20-hydroxyecdysone in wild and regenerated Rhaponticum carthamoides plants after long-term cultivation.
Table 3. Quantification of 20-hydroxyecdysone in wild and regenerated Rhaponticum carthamoides plants after long-term cultivation.
SampleRetention Time of Main Peak (min)Main Peak Area (mAU·s)Share of Main Peak (%)Content of 20-HE (mg/mL)
WP (leaf rosette phase)24.37716,690.231.547.88
PR-1 (after deposition, ex vitro rooting)24.348235.414.963.88
PR-2 (after deposition, nursery, leaf rosette phase)24.29819,574.742.259.24
20-HE, 20-hydroxyecdysone; PR-1, plants regenerated after long-term storage and rooted ex vitro; PR-2, regenerated plants cultivated in a nursery; WP, wild Plants.
Table 4. Characteristics of inter simple sequence repeat microsatellite primers.
Table 4. Characteristics of inter simple sequence repeat microsatellite primers.
SequenceTm
(°C)
Amplicon Size (bp)Number of Amplicons
AGCAGCAGCAGCAGCAGCC67350–130080
CTCCTCCTCCTCCTCCTCG61550–250060
GAGAGAGAGAGAGAGAGAGAC54300–120040
CTCTCTCTCTCTCTCTCTCTG54250–180020
ACACACACACACACACACACC60450–150090
ACACACACACACACACACACG60250–150030
ACACACACACACACACACACT58300–180050
AGAGAGAGAGAGAGAGAGAGC56400–1500110
TGTGTGTGTGTGTGTGTGTGC60200–120060
CACCACCACCACCACCACCACT67150–100060
TGTGTGTGTGTGTGTGTGTGA58350–160070
Disclaimer/Publisher’s Note: The statements, opinions and data contained in all publications are solely those of the individual author(s) and contributor(s) and not of MDPI and/or the editor(s). MDPI and/or the editor(s) disclaim responsibility for any injury to people or property resulting from any ideas, methods, instructions or products referred to in the content.

Share and Cite

MDPI and ACS Style

Raiser, O.; Tagimanova, D.; Turzhanova, A.; Magzumova, S.; Nagmetova, G.; Akhmetkarimova, Z.; Premina, N.; Filippova, N.; Khapilina, O. Propagation and Long-Term Storage of Rhaponticum carthamoides Under In Vitro Conditions. Horticulturae 2025, 11, 952. https://doi.org/10.3390/horticulturae11080952

AMA Style

Raiser O, Tagimanova D, Turzhanova A, Magzumova S, Nagmetova G, Akhmetkarimova Z, Premina N, Filippova N, Khapilina O. Propagation and Long-Term Storage of Rhaponticum carthamoides Under In Vitro Conditions. Horticulturae. 2025; 11(8):952. https://doi.org/10.3390/horticulturae11080952

Chicago/Turabian Style

Raiser, Olesya, Damelya Tagimanova, Ainur Turzhanova, Saule Magzumova, Gulden Nagmetova, Zhanar Akhmetkarimova, Nataliya Premina, Nadezhda Filippova, and Oxana Khapilina. 2025. "Propagation and Long-Term Storage of Rhaponticum carthamoides Under In Vitro Conditions" Horticulturae 11, no. 8: 952. https://doi.org/10.3390/horticulturae11080952

APA Style

Raiser, O., Tagimanova, D., Turzhanova, A., Magzumova, S., Nagmetova, G., Akhmetkarimova, Z., Premina, N., Filippova, N., & Khapilina, O. (2025). Propagation and Long-Term Storage of Rhaponticum carthamoides Under In Vitro Conditions. Horticulturae, 11(8), 952. https://doi.org/10.3390/horticulturae11080952

Note that from the first issue of 2016, this journal uses article numbers instead of page numbers. See further details here.

Article Metrics

Back to TopTop