Evaluation of Bacterial Cellulose/Alginate-Based Hydrogel and Frog Skin Dressings in Equine Skin Wound Healing
Abstract
1. Introduction
2. Results and Discussion
2.1. Results
2.1.1. Physical Assessment of Horses
2.1.2. The Assessment of the Wounds
2.1.3. Wound Area and Wound Contraction Rate
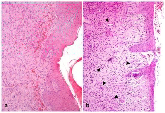
2.1.4. Histopathological Evaluation
2.2. Discusion
3. Conclusions
4. Materials and Methods
4.1. Animals
4.2. Bacterial Cellulose Hydrogel with Alginate
4.3. Frog Skin (Rana catesbeiana)
4.4. Experimental Induction of Skin Wounds
4.5. Treatments
4.6. Clinical and Photographic Evaluation of Wounds
4.7. Biopsy and Histopathological Evaluation
Author Contributions
Funding
Institutional Review Board Statement
Informed Consent Statement
Data Availability Statement
Acknowledgments
Conflicts of Interest
References
- Theoret, C.L.; Wilmink, J.M. Aberrant wound healing in the horse: Naturally occurring conditions reminiscent of those observed in man. Wound Repair Regen. 2013, 21, 365–371. [Google Scholar] [CrossRef] [PubMed]
- Harman, R.M.; Theoret, C.L.; Van De Walle, G.R. The horse as a model for the study of cutaneous wound healing. Adv. Wound Care. 2021, 10, 381–399. [Google Scholar] [CrossRef] [PubMed]
- Baxter, G.M. Wound healing and delayed wound closure in the lower limb of the horse. Eq. Pract. 1988, 10, 23–31. [Google Scholar]
- Knottenbelt, D.C. Equine wound management: Are the significant differences in healing at different sites on the body? Vet. Dermatol. 1997, 8, 273–290. [Google Scholar] [CrossRef]
- Swaim, S.S.; Henderson, R.A. Wound healing. In Small Animal Wound Management, 2nd ed.; Swaim, S.S., Henderson, R.A., Eds.; Williams & Wilkins: Baltimore, MD, USA, 1997; pp. 101–112. [Google Scholar]
- Munhoz, L.L.S.; Guillens, L.C.; Alves, B.C.; Nascimento, M.G.F.S.; Meneguin, A.B.; Carbinatto, F.M.; Arruda, G.; Barud, H.S.; Aro, A.A.; Casagrande, L.R.; et al. Bacterial nanocellulose/calcium alginate hydrogel for the treatment of burns. Acta Cir. Bras. 2024, 39, e393324. [Google Scholar] [CrossRef] [PubMed]
- Barud, H.S.; Barrios, C.; Regiani, T.; Marques, R.F.C.; Verelst, M.; Dexpert-Ghys, J.; Messaddeq, Y.; Ribeiro, S.J.L. Self-supported silver nanoparticles containing bacterial cellulose membranes. Mater. Sci. Eng. 2008, C28, 515–518. [Google Scholar] [CrossRef]
- Foresti, M.L.; Vázquez, A.; Boury, B. Applications of bacterial cellulose as precursor of carbono and composites with metal oxide, metal sulfide and metal nanoparticles: A review of recent advances. Carbohydr. Polym. 2017, 157, 446–447. [Google Scholar] [CrossRef] [PubMed]
- Denadai, D.S.; Guiati, M.Z.; Urzedo, G.F.; Faria, A.P.P.A.; Mendes, L.C.N.; Peiró, J.R.; Andrade, A.L.; Lucas, F.A. Termografia de feridas lombares experimentais tratadas com gel de biocelulose em equinos (Resumo). Revista Veterinária e Zootecnia em Minas. Suplemento Especial. In Proceedings of the IX SIMCAV, Belo Horizonte, MG, Brasil, 25–27 April 2019; pp. 348–349. [Google Scholar]
- Munhoz, L.L.S.; Alves, M.T.O.; Alves, B.C.; Nascimento, M.G.F.S.; Sabio, R.M.; Manieri, K.F.; Barud, H.S.; Esquisatto, M.A.M.; Aro, A.A.; Casagrande, L.R.; et al. Bacterial cellulose membrane incorporated with silver nanoparticles for wound healing in animal model. Biochem. Biophys. Res. Commun. 2023, 654, 47–54. [Google Scholar] [CrossRef] [PubMed]
- Mikkelsen, M.D.; Harholt, J.; Ulvskov, P.; Johansen, I.E.; Fangel, J.U.; Doblin, M.S.; Bacic, A.; Willats, W.G.T. Evidence for land plant cell wall biosynthetic mechanisms in charophyte green algae. Ann. Bot. 2014, 114, 1217–1236. [Google Scholar] [CrossRef] [PubMed]
- Lima, F.M.T.; Pinto, F.C.M.; Costa, B.L.S.A.; Silva, J.G.M.; Campos Júnio, O.; Aguiar, J.L.A. Biocompatible bacterial cellulose membrane in dural defect repair of rat. J. Mater. Sci. Mater. Med. 2017, 28, 37. [Google Scholar] [CrossRef] [PubMed]
- Shi, M.; Zhang, H.; Song, T.; Liu, X.; Gao, Y.; Zhou, J.; Li, Y. Sustainable dual release of antibiotic and growth factor from pH-responsive uniform alginate composite microparticles to enhance wound healing. ACS Appl. Mater. Interfaces 2019, 1, 22730–22744. [Google Scholar] [CrossRef] [PubMed]
- Thomas, S. Alginate dressings in surgery and wound management—Part 1. J. Wound Care 2000, 9, 56–60. [Google Scholar] [CrossRef] [PubMed]
- Verma, D.; Okhawilai, M.; Nangan, S.; Thakur, V.K.; Gopi, S.; Kuppusamy, K.; Sharma, M.; Uyama, H. A sustainable and green approach towards the utilization of biopolymers for effective wound dressing applications: A detailed review. Nano-Struct. Nano-Objects 2024, 37, 101086. [Google Scholar] [CrossRef]
- Sheridan, R.L.; Tompkins, R.G. Skin substitutes in burns. Burns 1999, 25, 97–103. [Google Scholar] [CrossRef] [PubMed]
- Pruitt, B.A., Jr. The evolutionary development of biologic dressings and skin substitutes. J. Burn Care Rehabil. 1997, 18 Pt 2, S2–S5. [Google Scholar] [CrossRef] [PubMed]
- Kumar, K.V.; Sai, K.P.; Babu, M. Application of frog (Rana tigerina Daudin) skin collagen as a novel substrate in cell culture. J. Biomed. Mater. Res. 2002, 61, 197–202. [Google Scholar] [CrossRef]
- Gomes, A.; Giri, B.; Saha, A.; Mishra, R.; Dasgupta, S.C.; Debnath, A.; Gomes, A. Bioactive molecules from amphibian skin: Their biological activities with reference to therapeutic potentials for possible drug development. Indian. J. Exp. Biol. 2007, 45, 579–593. [Google Scholar] [PubMed]
- Mashreghi, M.; Bazaz, M.R.; Shahri, N.M.; Asoodeh, A.; Mashreghi, M.; Rassouli, M.B.; Golmohammadzadeh, S. Topical effects of frog “Rana ridibunda” skin secretions on wound healing and reduction of wound microbial load. J. Ethnopharmacol. 2013, 145, 793–797. [Google Scholar] [CrossRef] [PubMed]
- Piccolo, N.S.; Piccolo, M.S.; Piccolo, M.T.S. The use of frogskin as a biological dressing for temporary cover of burn wounds. In Innovations in Plastic an Aesthetic Surgery; Eisenmann-Klein, M., Neuhann-Lorenz, C., Eds.; Springer: Berlin, Germany, 2008; pp. 139–147. [Google Scholar] [CrossRef]
- Oliveira, C.R. Propriedades Fisicas e Biológicas do Novo Curativo Constituído da pele da rã Rana catesbeiana; Dissertaçao de Mestrado em Biologia Animal, Instituto de Ciências Biológicas, Departamento de Ciências Fisiológicas, Universidade de Brasília: Brasília, Distrito Federal, Brazil, 2002; 62p. [Google Scholar]
- Adorno, J. Avaliação Histológica e Imunohistoquímica de Cicatrização com Curativo de pele de rã (Rana catesbeiana) em Pacientes Vítimas de Queimaduras; Dissertação de Mestrado em Ciências Médicas, Universidade de Brasília: Brasília, Distrito Federal, Brazil, 2005; 73p. [Google Scholar]
- Bazaz, M.R.; Mashreghi, M.; Shahri, N.M.; Mashreghi, M.; Assodeh, A.; Rassouli, M.B.; Golmohammadzadeh, S. Pharmaceutical application of frog skin on full-thickness skin wound healing in mice. Pharm. Biol. 2013, 51, 1600–1606. [Google Scholar] [CrossRef] [PubMed]
- Li, C.; Fu, Z.; Jin, T.; Liu, Y.; Yin, S.; Wang, Z.; Huang, Y.; Wang, Y.; Zhang, Y.; Li, J.; et al. A frog peptide provides new strategies for the intervention against skin wound healing. Cell. Mol. Biol. Lett. 2023, 28, 61. [Google Scholar] [CrossRef] [PubMed]
- Talukdar, A.H.; Calhoun, M.L.; Stinson, A.W. Microscopic anatomy of the skin of the horse. Am. J. Vet. Res. 1972, 33, 2365–2390. [Google Scholar]
- Summerfield, A.; Meurens, F.; Ricklin, M.E. The immunology of the porcine skin and its value as a model for human skin. Mol. Immunol. 2015, 66, 14–21. [Google Scholar] [CrossRef] [PubMed]
- Lucas, F.A.; Kandrotas, A.L.; Nardin Neto, E.; Siqueira, C.E.; André, G.A.; Bromerschenkel, I.; Perri, S.H.V. Copaiba oil in experimental wound healing in horses. Cienc. Rural 2017, 47, e20151292. [Google Scholar] [CrossRef][Green Version]
- Souza, D.W.; Machado, T.S.L.; Zoppa, A.L.V.; Cruz, R.S.F.; Gárague, A.P.; Silva, L.C.L.C. Ensaio da aplicação de creme à base de Triticum vulgare na cicatrização de feridas cutâneas induzidas em equinos. Rev. Bras. Pl. Med. 2006, 8, 9–13. [Google Scholar]
- Martins, E.A.N.; Invernizzi, M.S.; Campos, M.G.N.; Teodoro, P.A.; Contieri, M.B.; Silva, L.C.L.C. Emprego de membrana de quitosana em feridas cutâneas induzidas experimentalmente em equinos. Cienc. Rural 2013, 43, 1824–1830. [Google Scholar] [CrossRef]
- Tracey, A.K.; Alcott, C.J.; Schleining, J.A.; Safayi, S.; Zaback, P.C.; Hostetter, J.M.; Reinertson, E.L. The effects of topical oxygen therapy on equine distal limb dermal wound healing. Can. Vet. J. 2014, 55, 1146–1152. [Google Scholar]
- Gomez, J.H.; Schumacher, J.; Lauten, S.D.; Sartin, E.A.; Hathcock, T.L.; Swaim, S.F. Effects of 3 biologic dressings on healing of cutaneous wounds. Can. J. Vet. Res. 2004, 68, 49–55. [Google Scholar] [PubMed]
- Oliveira, L.A.T., Jr.; Souza, V.R.C.; Endringer, D.C.; Hendrickson, D.A.; Coelho, C.S. Effects of topical application of sun-flower-seed oil on experimentally induced wounds in horses. J. Equine Vet. Sci. 2012, 32, 139–145. [Google Scholar] [CrossRef]
- Madison, J.B.; Gronwall, R.R. Influence of wound shape on wound contraction in horses. Am. J. Vet. Res. 1992, 53, 1575–1578. [Google Scholar] [CrossRef] [PubMed]
- Paiva, L.A.F.; Cunha, K.M.A.; Santos, F.A.; Gramosa, N.V.; Silveira, E.R.; Rao, V.S.N. Investigation on the wound healing activity of oleoresin from Copaifera langsdorffi in rats. Phytother. Res. 2002, 16, 737–739. [Google Scholar] [CrossRef] [PubMed]
- Pandey, M.; Mohamad, N.; Low, W.-L.; Martin, C.; Amin, M.C.I.M. Microwaved bacterial cellulose-based hydrogel microparticles for the healing of partial thickness burn wounds. Drug. Deliv. Transl. Res. 2017, 7, 89–99. [Google Scholar] [CrossRef] [PubMed]
- Junker, J.P.E.; Kamel, R.A.; Caterson, E.J.; Eriksson, E. Clinical impact upon wound healing and inflammation in moist, wet, and dry environments. Adv. Wound Care 2013, 2, 348–356. [Google Scholar] [CrossRef] [PubMed]
- Portela, R.; Leal, C.R.; Almeida, P.L.; Sobral, R.G. Bacterial cellulose: A versatile biopolymer for wound dressing applications. Microb. Biotechnol. 2019, 12, 586–610. [Google Scholar] [CrossRef] [PubMed]
- Chiaoprakobkij, N.; Seetabhawang, S.; Sanchavanakit, N.; Phisalaphong, M. Fabrication and characterization of novel bacterial cellulose/alginate/gelatin biocomposite film. J. Biomater. Sci. Polym. 2019, 30, 961–982. [Google Scholar] [CrossRef]
- Silva, G.A.; Zanchin, E.M.; Silva, A.M.; Bertanha, M.; Aquino Junior, A.E.; Carbinatto, F.M.; Barud, H.G.O.; Barud, H.S. Bacterial cellulose/calcium alginate hydrogels in wound’s cicatricial process of diabetic foot implementation: Case report. Int. J. Adv. Med. Biotechnol. 2021, 14, 32–34. [Google Scholar] [CrossRef]
- Raghavan, K.V.; Babu, M.; Rajaram, R.; Purna Sai, K. Efficacy of frog skin lipids in wound healing. Lipids Health Dis. 2010, 9, 74. [Google Scholar] [CrossRef] [PubMed]
- Falcão, S.C.; Lopes, S.L.; Coelho, A.R.B.; Almeida, E.L. Pele de Rana catesbeiana como curativo biológico oclusivo no tratamento de feridas cutâneas produzidas em cães. Alterações macroscópicas e microscópicas resultantes da interação desses tecidos. Estudo preliminar. Acta Cir. Bras. 2002, 17, 151–159. [Google Scholar] [CrossRef]
- DeRossi, R.; Coelho, A.C.A.O.; Mello, G.S.; Frazilio, F.B.; Leal, C.R.B.; Facco, G.G.; Brum, K.B. Effects of platelet-rich plasma gel ons in healing in surgical wounds in horses. Acta Cir. Bras. 2009, 24, 276–281. [Google Scholar] [CrossRef] [PubMed]
- Maciel, F.B.; DeRossi, R.; Módolo, T.J.; Pagliosa, R.C.; Leal, C.R.; Delben, A.A. Scanning electron microscopy and microbiological evaluation of equine burn wound repair after platelet-rich plasma gel treatment. Burns 2012, 38, 1058–1065. [Google Scholar] [CrossRef]
- Moradi, O.; Ghamsari, S.M.; Dehghan, M.M.; Sedaghat, R.; Akbarein, H. Effects of platelet rich plasma (PRP) and platelet rich growth factor (PRGF®) on the wound healing of distal part of limbs in horses. Iran. J. Vet. Surg. 2013, 8, 41–48. [Google Scholar]
- Ramsey, D.T.; Pope, E.R.; Wagner-Mann, C.; Berg, J.N.; Swain, S.F. Effects of three occlusive dressing materials on healing of full-thickness skin wounds in dogs. Am. J. Vet. Res. 1995, 56, 941–949. [Google Scholar] [CrossRef] [PubMed]









| Treatment | Wound Area (Mean—cm2) | ||||||||||||
|---|---|---|---|---|---|---|---|---|---|---|---|---|---|
| D0 | D3 | D7 | D14 | D21 | D28 | Value p | |||||||
| Mean | SD | Mean | SD | Mean | SD | Mean | SD | Mean | SD | Mean | SD | ||
| CW | 7.94A | 2.55 | 5.84AB | 1.22 | 5.07B | 1.06 | 3.29BC | 1.68 | 1.79CD | 1.32 | 0.31D | 0.30 | <0.05 |
| BCAW | 8.32A | 1.67 | 7.29A | 1.55 | 6.11A | 1.16 | 2.65B | 0.99 | 1.54B | 0.83 | 0.54B | 0.31 | |
| FSW | 9.23A | 1.37 | 7.40AB | 1.46 | 5.85BC | 2.28 | 4.50CD | 2.08 | 3.08DE | 1.60 | 1.09E | 0.72 | |
| Value p | ns | ns | ns | ns | ns | ns | |||||||
| Treatment | Contraction Rate (%) | Value p | |||||||||
|---|---|---|---|---|---|---|---|---|---|---|---|
| D3 | D7 | D14 | D21 | D28 | |||||||
| Mean | SD | Mean | SD | Mean | SD | Mean | SD | Mean | SD | ||
| CW | 24.40A | 11.86 | 32.28AB | 17.95 | 56.57BC | 24.48 | 76.51CD | 18.81 | 96.08D | 3.92 | <0.05 |
| BCAW | 12.24A | 5.57 | 26.07A | 7.52 | 67.68B | 10.97 | 80.34B | 12.33 | 92.87B | 5.38 | |
| FSW | 18.83A | 14.32 | 36.14AB | 23.85 | 51.95BC | 18.68 | 67.39CD | 14.87 | 88.60D | 6.53 | |
Disclaimer/Publisher’s Note: The statements, opinions and data contained in all publications are solely those of the individual author(s) and contributor(s) and not of MDPI and/or the editor(s). MDPI and/or the editor(s) disclaim responsibility for any injury to people or property resulting from any ideas, methods, instructions or products referred to in the content. |
© 2025 by the authors. Licensee MDPI, Basel, Switzerland. This article is an open access article distributed under the terms and conditions of the Creative Commons Attribution (CC BY) license (https://creativecommons.org/licenses/by/4.0/).
Share and Cite
Campebell, R.C.; Oliveira, A.B.; Fagundes, J.L.A.; Fortes, B.N.A.; Veado, H.C.; Macedo, I.L.; Dallago, B.S.L.; Barud, H.S.; Adorno, J.; Salvador, P.A.V.; et al. Evaluation of Bacterial Cellulose/Alginate-Based Hydrogel and Frog Skin Dressings in Equine Skin Wound Healing. Gels 2025, 11, 107. https://doi.org/10.3390/gels11020107
Campebell RC, Oliveira AB, Fagundes JLA, Fortes BNA, Veado HC, Macedo IL, Dallago BSL, Barud HS, Adorno J, Salvador PAV, et al. Evaluation of Bacterial Cellulose/Alginate-Based Hydrogel and Frog Skin Dressings in Equine Skin Wound Healing. Gels. 2025; 11(2):107. https://doi.org/10.3390/gels11020107
Chicago/Turabian StyleCampebell, Rita C., Andressa B. Oliveira, Jéssyca L. A. Fagundes, Beatriz N. A. Fortes, Henrique C. Veado, Isabel L. Macedo, Bruno S. L. Dallago, Hernane S. Barud, José Adorno, Pablo A. V. Salvador, and et al. 2025. "Evaluation of Bacterial Cellulose/Alginate-Based Hydrogel and Frog Skin Dressings in Equine Skin Wound Healing" Gels 11, no. 2: 107. https://doi.org/10.3390/gels11020107
APA StyleCampebell, R. C., Oliveira, A. B., Fagundes, J. L. A., Fortes, B. N. A., Veado, H. C., Macedo, I. L., Dallago, B. S. L., Barud, H. S., Adorno, J., Salvador, P. A. V., Santos, P. S., & Castro, M. B. (2025). Evaluation of Bacterial Cellulose/Alginate-Based Hydrogel and Frog Skin Dressings in Equine Skin Wound Healing. Gels, 11(2), 107. https://doi.org/10.3390/gels11020107

