The Role of Cardiac Magnetic Resonance in mRNA COVID-19 Vaccine-Related Myopericarditis: An Evolutive Case Series
Abstract
1. Introduction
2. Materials and Methods
3. Case Presentation
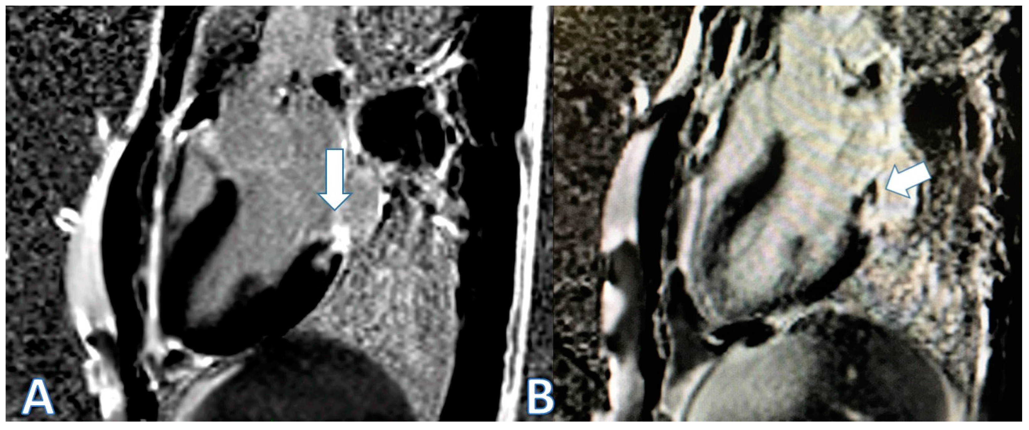
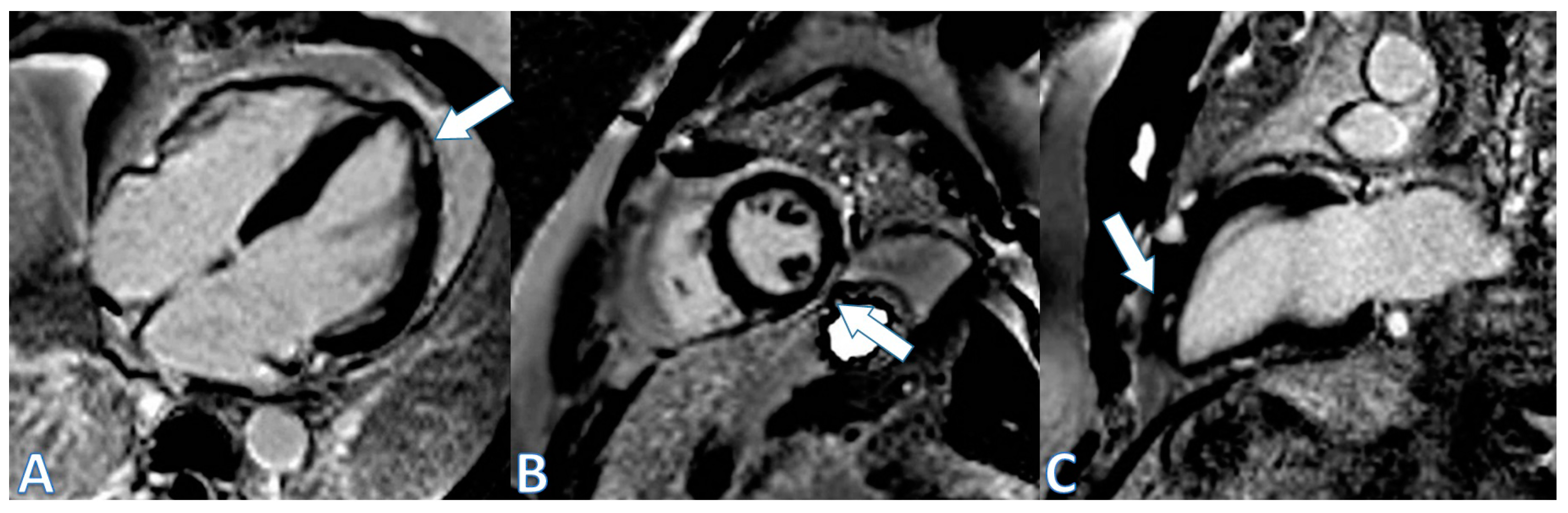
3.1. Case 1
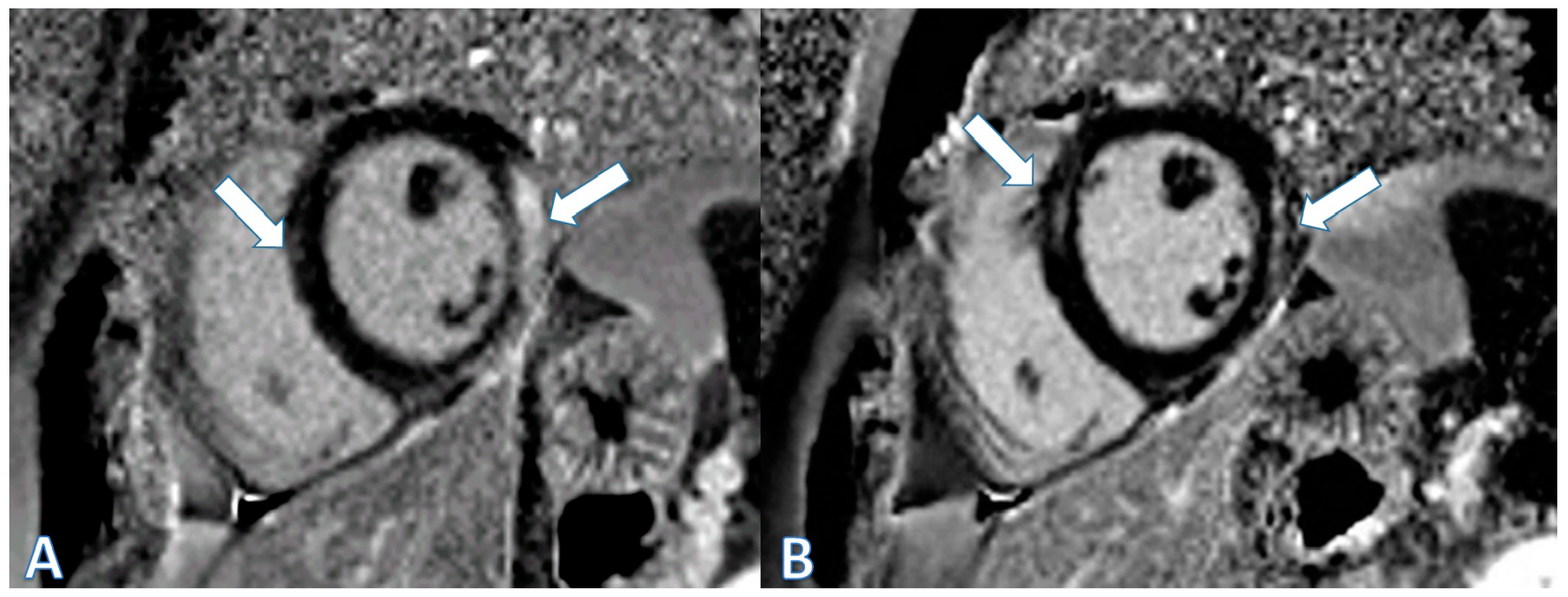
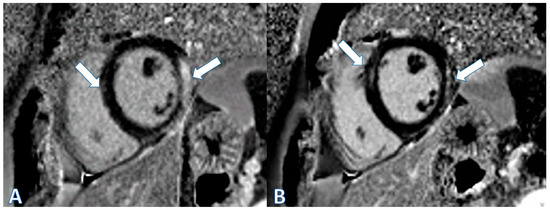
3.2. Case 2
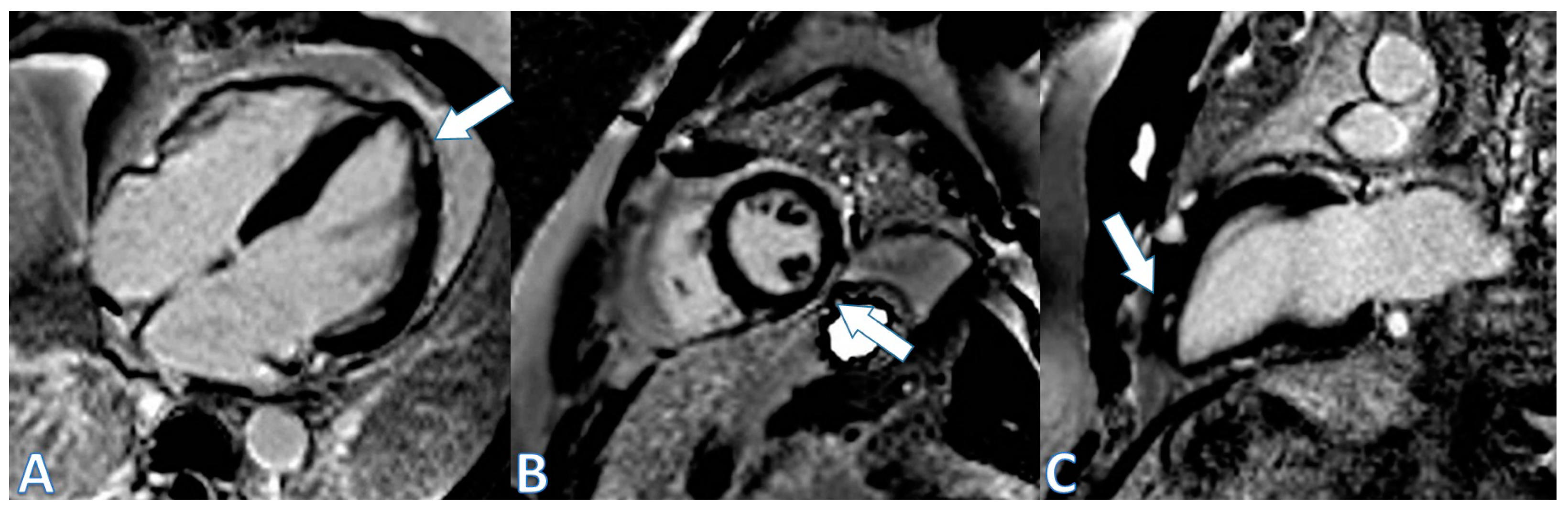
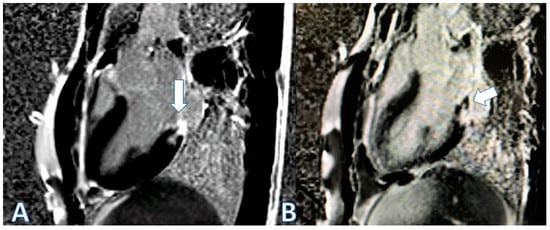
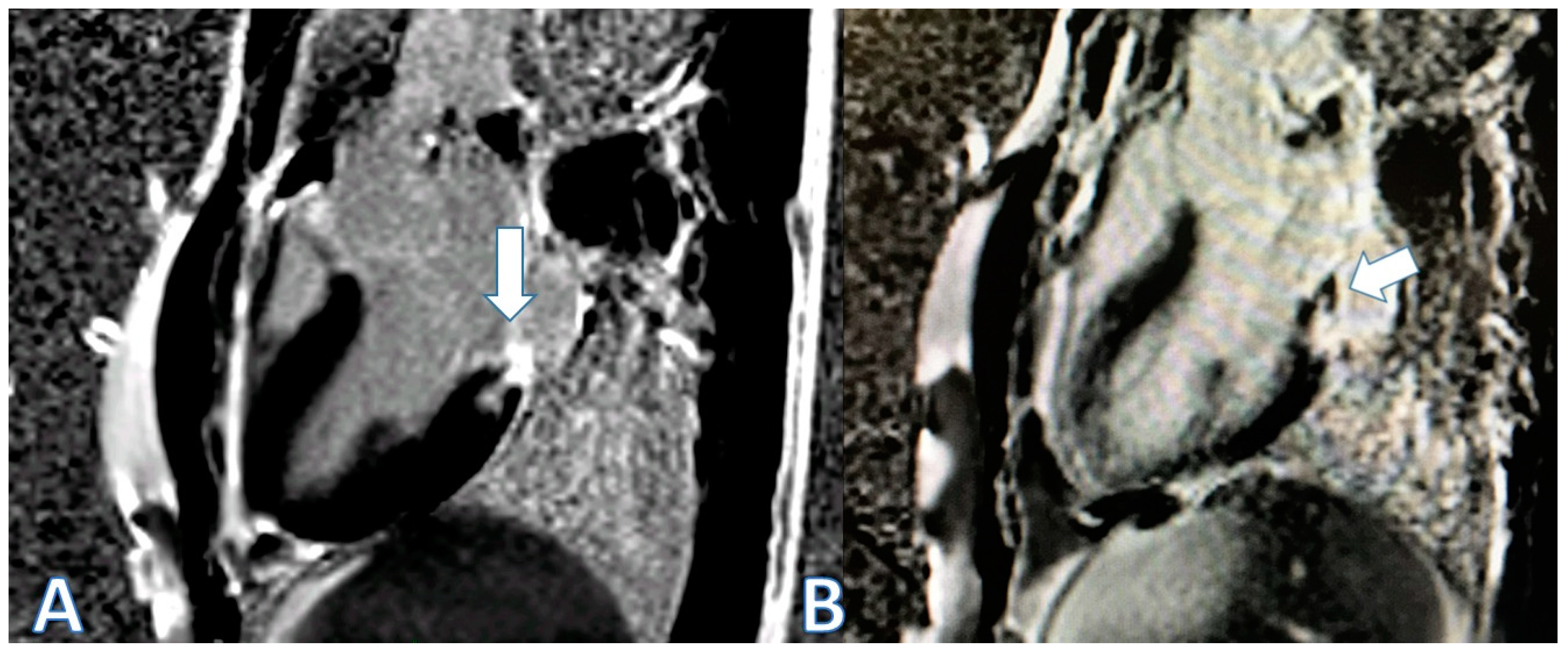
3.3. Case 3
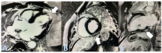
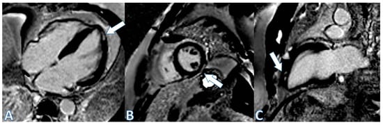
3.4. Case 4
4. Discussion
5. Conclusions
Author Contributions
Funding
Institutional Review Board Statement
Informed Consent Statement
Data Availability Statement
Conflicts of Interest
References
- Gargano, J.; Wallace, M.; Hadler, S.; Langley, G.; Su, J.; Oster, M.; Broder, K.; Gee, J.; Weintraub, E.; Shimabukuro, T.; et al. Use of mRNA COVID-19 Vaccine after Reports of Myocarditis among Vaccine Recipients: Update from the Advisory Committee on Immunization Practices—United States, June 2021. MMWR Morb. Mortal Wkly. Rep. 2021, 70, 977–982. [Google Scholar] [CrossRef] [PubMed]
- Nune, A.; Durkowski, V.; Pillay, S.S.; Barman, B.; Elwell, H.; Bora, K.; Bilgrami, S.; Mahmood, S.; Babajan, N.; Venkatachalam, S.; et al. New-Onset Rheumatic Immune-Mediated Inflammatory Diseases Following SARS-CoV-2 Vaccinations until May 2023: A Systematic Review. Vaccines 2023, 11, 1571. [Google Scholar] [CrossRef] [PubMed]
- Buoninfante, A.; Andeweg, A.; Genov, G.; Cavaleri, M. Myocarditis associated with COVID-19 vaccination. Vaccines 2024, 9, 122. [Google Scholar] [CrossRef] [PubMed]
- Salehzadeh, F.; Pourfarzi, F.; Ataei, S. The Impact of Colchicine on COVID-19 patients: A Clinical Trial Study. Mediterr. J. Rheumatol. 2022, 33, 232–236. [Google Scholar] [CrossRef] [PubMed]
- Elshiwy, K.; Amin, G.E.E.; Farres, M.N.; Samir, R.; Allam, M.F. The role of colchicine in the management of COVID-19: A Meta-analysis. BMC Pulm. Med. 2024, 24, 190. [Google Scholar] [CrossRef] [PubMed]
- Yeo, S.Z.J.; Ho, C.L. COVID-19 mRNA vaccine-related myocarditis: A PRISMA systematic review, imaging approach and differential diagnoses. Radiol. Case Rep. 2023, 19, 1008–1019. [Google Scholar] [CrossRef] [PubMed]
- Valore, L.; Junker, T.; Heilmann, E.; Zuern, C.S.; Streif, M.; Drexler, B.; Arranto, C.; Halter, J.P.; Berger, C.T. Case report: mRNA-1273 COVID-19 vaccine-associated myopericarditis: Successful treatment and re-exposure with colchicine. Front. Cardiovasc. Med. 2023, 10, 1135848. [Google Scholar] [CrossRef] [PubMed]
- Caredda, G.; Bassareo, P.P.; Cau, R.; Mannelli, L.; Suri, J.S.; Saba, L. Emerging Role of Cardiac Magnetic Resonance Imaging in Diagnosing Myocarditis: A Blunder or the Way to Get the Problem Sorted? J. Thorac. Imaging 2022, 37, W12–W27. [Google Scholar] [CrossRef] [PubMed]
- Aviv, Y.; Shiyovich, A.; Plakht, Y.; Witberg, G.; Weissman, M.; Shafir, G.; Kornowski, R.; Hamdan, A. Cardiac Magnetic Resonance Imaging in COVID-19 Vaccine-Associated Myocarditis Compared With Classical Myocarditis. JACC Adv. 2023, 2, 100726. [Google Scholar] [CrossRef] [PubMed]
- Fronza, M.; Thavendiranathan, P.; Chan, V.; Karur, G.R.; Udell, J.A.; Wald, R.M.; Hong, R.; Hanneman, K. Myocardial Injury Pattern at MRI in COVID-19 Vaccine-Associated Myocarditis. Radiology 2022, 304, 553–562. [Google Scholar] [CrossRef] [PubMed]
- Bozkurt, B.; Kamat, I.; Hotez, P.J. Myocarditis with COVID-19 mRNA Vaccines. Circulation 2021, 144, 471–484. [Google Scholar] [CrossRef] [PubMed]
- Núñez-Gil, I.J.; Feltes, G.; Viana-Llamas, M.C.; Raposeiras-Roubin, S.; Romero, R.; Alfonso-Rodríguez, E.; Uribarri, A.; Santoro, F.; Becerra-Muñoz, V.; Pepe, M.; et al. Post-COVID-19 Symptoms and Heart Disease: Incidence, Prognostic Factors, Outcomes and Vaccination: Results from a Multi-Center International Prospective Registry (HOPE 2). J. Clin. Med. 2023, 12, 706. [Google Scholar] [CrossRef] [PubMed]
- Bianchi, F.P.; Rizzi, D.; Daleno, A.; Stefanizzi, P.; Migliore, G.; Tafuri, S. Assessing the temporal and cause-effect relationship between myocarditis and mRNA COVID-19 vaccines. A retrospective observational study. Int. J. Infect. Dis. 2024, 141, 106960. [Google Scholar] [CrossRef] [PubMed]
- Adler, Y.; Charron, P.; Imazio, M.; Badano, L.; Barón-Esquivias, G.; Bogaert, J.; Brucato, A.; Gueret, P.; Klingel, K.; Lionis, C.; et al. 2015 ESC Guidelines for the diagnosis and management of pericardial diseases: The Task Force for the Diagnosis and Management of Pericardial Diseases of the European Society of Cardiology (ESC)Endorsed by: The European Association for Cardio-Thoracic Surgery (EACTS). Eur. Heart J. 2015, 36, 2921–2964. [Google Scholar] [PubMed]
- Maron, B.J.; Udelson, J.E.; Bonow, R.O.; Nishimura, R.A.; Ackerman, M.J.; Estes, N.A., 3rd; Cooper, L.T., Jr.; Link, M.S.; Maron, M.S.; American Heart Association Electrocardiography and Arrhythmias Committee of Council on Clinical Cardiology; et al. Eligibility and Disqualification Recommendations for Competitive Athletes with Cardiovascular Abnormalities: Task Force 3: Hypertrophic Cardiomyopathy, Arrhythmogenic Right Ventricular Cardiomyopathy and Other Cardiomyopathies, and Myocarditis: A Scientific Statement From the American Heart Association and American College of Cardiology. Circulation 2015, 132, e273–e280. [Google Scholar] [PubMed]
- Patel, Y.; Louis, D.; Atalay, M.; Agarwal, S.; Shah, N. Cardiovascular magnetic resonance findings in young adult patients with acute myocarditis following mRNA COVID-19 vaccination: A case series. J. Cardiovasc. Magn. Reson. 2021, 23, 101. [Google Scholar] [CrossRef] [PubMed]
- Gräni, C.; Eichhorn, C.; Bière, L.; Murthy, V.L.; Agarwal, V.; Kaneko, K.; Cuddy, S.; Aghayev, A.; Steigner, M.; Blankstein, R.; et al. Prognostic Value of Cardiac Magnetic Resonance Tissue Characterization in Risk Stratifying Patients with Suspected Myocarditis. J. Am. Coll. Card. 2017, 70, 1964–1976. [Google Scholar] [CrossRef] [PubMed]
- Talib, N.; Fronza, M.; Marschner, C.A.; Thavendiranathan, P.; Karur, G.R.; Hanneman, K. Cardiovascular magnetic resonance imaging and clinical follow-up in patients with clinically suspected myocarditis after COVID-19 vaccination. J. Cardiovasc. Magn. Reson. 2024, 26, 101036. [Google Scholar] [CrossRef] [PubMed]





| PATIENT 1 | PATIENT 2 | PATIENT 3 | PATIENT 4 | |
|---|---|---|---|---|
| Age (years old) | 20 | 45 | 34 | 48 |
| Sex | Male | Male | Male | Male |
| Previous cardiac disease | No | No | No | No |
| Symptoms onset after vaccination (days) | 3 | 4 | 15 | 3 |
| Vaccine type | mRNA-1273 (Moderna) | mRNA-1273 (Moderna) | BNT162b2 mRNA (Pfizer-BioNTech) | mRNA-1273 (Moderna) |
| Clinical characteristics | oppressive precordial pain | stabbing chest pain radiated to the neck | precordial oppression radiating to the left arm | oppressive epigastric pain |
| Troponin peak levels (ng/L) | 181 | 353 | 286 | 400 |
| CRP peak levels (mg/dL) | 3.94 | 3.63 | 9.8 | 4.4 |
| Coronary angiography | No | Yes | No | Yes |
| Treatment | NSAIDs and colchicine | NSAIDs and colchicine | NSAIDs and colchicine | NSAIDs and colchicine |
| Outcome | discharged on the 3rd day | discharged on the 3rd day | discharged on the 3rd day | discharged on the 3rd day |
| CMR at hospitalization | LGE of both pericardial leaves and foci of late subepicardial enhancement on the basal inferolateral, lateral, and inferior walls | LGE at the level of the pericardial leaves and a basal inferolateral subepicardial focus | Edema and LGE in the lower-middle, inferolateral, and anterolateral segments | Edema and LGE at the anterolateral, basal-mid inferolateral and basal inferior segments, and intramyocardial in the mid-inferoseptal and apex segments |
| Control CMR at 3 months | Persistence of LGE on the inferolateral wall | Disappearance of LGE | - | - |
| Control CMR at 6–9 months | Persistence of LGE on the inferolateral wall | - | LGE in the inferolateral and anterolateral walls | LGE intramyocardial and subepicardial at inferolateral, anterolateral, and inferoseptal walls (reduced extent) |
| Control CMR at 2 years | - | - | LGE in the inferolateral and anterolateral walls (reduced extent) | - |
Disclaimer/Publisher’s Note: The statements, opinions and data contained in all publications are solely those of the individual author(s) and contributor(s) and not of MDPI and/or the editor(s). MDPI and/or the editor(s) disclaim responsibility for any injury to people or property resulting from any ideas, methods, instructions or products referred to in the content. |
© 2024 by the authors. Licensee MDPI, Basel, Switzerland. This article is an open access article distributed under the terms and conditions of the Creative Commons Attribution (CC BY) license (https://creativecommons.org/licenses/by/4.0/).
Share and Cite
Feltes, G.; Sánchez Sánchez, V.; Pérez-David, E.; Moreno-Hurtrez, J.L.; Jiménez, J.D.; Núñez-Gil, I.J. The Role of Cardiac Magnetic Resonance in mRNA COVID-19 Vaccine-Related Myopericarditis: An Evolutive Case Series. J. Cardiovasc. Dev. Dis. 2024, 11, 259. https://doi.org/10.3390/jcdd11090259
Feltes G, Sánchez Sánchez V, Pérez-David E, Moreno-Hurtrez JL, Jiménez JD, Núñez-Gil IJ. The Role of Cardiac Magnetic Resonance in mRNA COVID-19 Vaccine-Related Myopericarditis: An Evolutive Case Series. Journal of Cardiovascular Development and Disease. 2024; 11(9):259. https://doi.org/10.3390/jcdd11090259
Chicago/Turabian StyleFeltes, Gisela, Violeta Sánchez Sánchez, Esther Pérez-David, José Luis Moreno-Hurtrez, Juan Delgado Jiménez, and Iván J. Núñez-Gil. 2024. "The Role of Cardiac Magnetic Resonance in mRNA COVID-19 Vaccine-Related Myopericarditis: An Evolutive Case Series" Journal of Cardiovascular Development and Disease 11, no. 9: 259. https://doi.org/10.3390/jcdd11090259
APA StyleFeltes, G., Sánchez Sánchez, V., Pérez-David, E., Moreno-Hurtrez, J. L., Jiménez, J. D., & Núñez-Gil, I. J. (2024). The Role of Cardiac Magnetic Resonance in mRNA COVID-19 Vaccine-Related Myopericarditis: An Evolutive Case Series. Journal of Cardiovascular Development and Disease, 11(9), 259. https://doi.org/10.3390/jcdd11090259

