Identification of Histopathological Criteria for the Diagnosis of Canine Cutaneous Progressive Angiomatosis
Abstract
:Simple Summary
Abstract
1. Introduction
2. Materials and Methods
Sample Collection, Histopathology and Statistical Analysis
3. Results
3.1. Clinical Presentation
3.2. Histopathology
- •
- Criterion 1. In most CPA cases, in the deep dermis and subcutis, increased vessel density was observed (17/28, 61%); 4/28 (14%) cases had only dermal lesions and 7/28 (25%) had lesion only in the subcutis. HS developed in the dermis in 5/11 (45%), in the subcutis in 4/11 (36%) and at both sites in 2/11 cases (18%).
- •
- Criterion 2. All cases of CPA (100%) had infiltrative growth. Most HS (8/11, 73%) had infiltrative growth as well.
- •
- Criterion 3 (Figure 2a–c). Eight cases of CPA (29%) had multiple large vessels with endoluminal papillary growth; in three of these, concurrent lobular growth was observed; in 20 cases (71%) lobular vascular growth pattern was seen, while a solid pattern of proliferation was never detected. All HS were characterized by irregular blood-filled channels and lacunae, in 2 (18%) a concurrent lobular growth was observed, solid/epithelioid areas within the tumors were seen in 6/11 cases (55%).
- •
- Criterion 4 (Figure 2d–f). In all cases of CPA (100%), normal tissue was interposed between vascular lesions. Normal tissue components varied in type and amount according with the lesion site and consisted of adnexal appendages (follicles, sebaceous and sweat glands, pili erector muscle) and structured connective tissue, fat and/or skeletal muscles. In HS, interposed normal tissue was seldom observed in the core of lesions (3/11, 30%).
- •
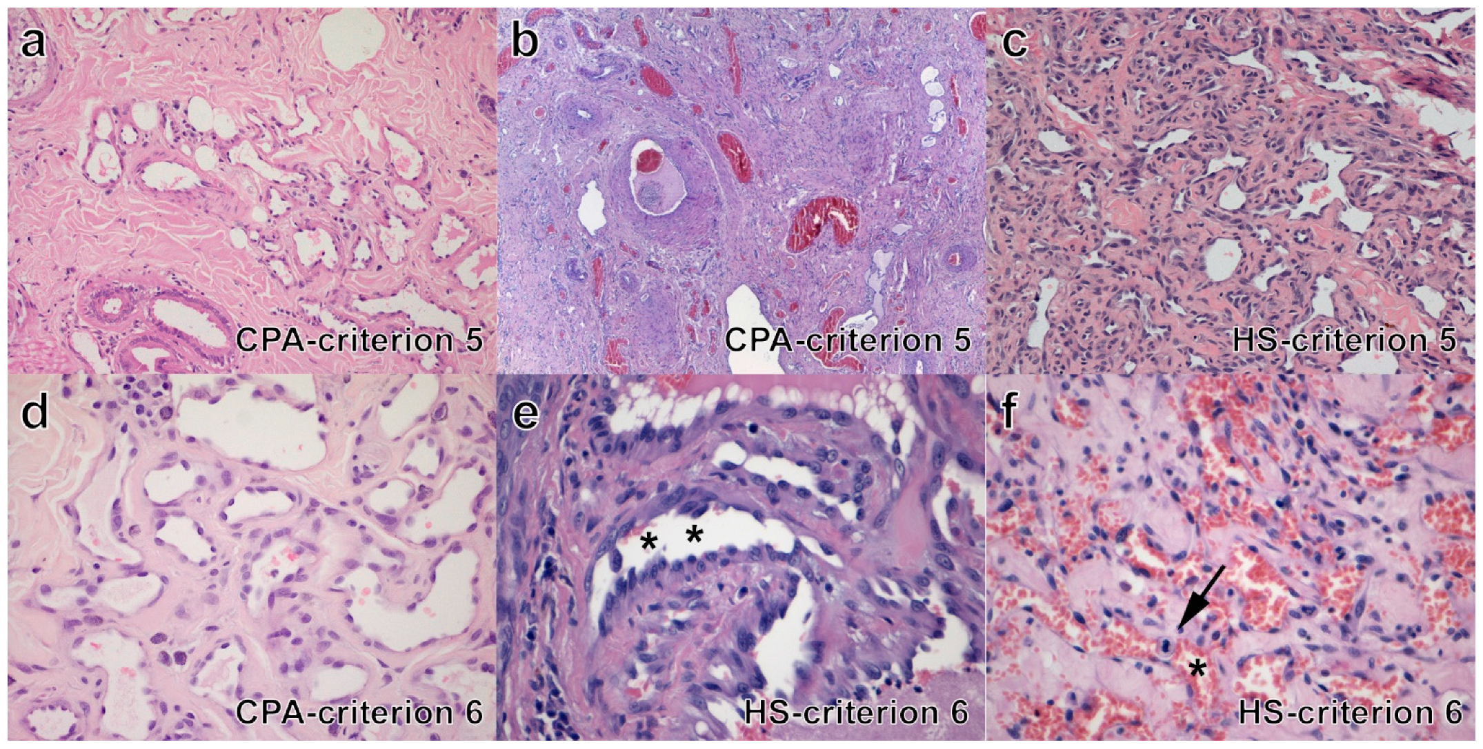
- Criterion 5 (Figure 3a–c). In CPA, variable types and variable combination of vessel types were observed and included capillaries, arteries, veins and lymphatics. Presence of all vessel types was seen in 8/28 (29%) cases; all hematic but not lymphatic vessels was detected in 16/28 (57%) cases; in four cases, arteries or veins and capillaries were seen. According to prevalence of the vessel type, cases of CPA were classified as arteriovenous (12/28, 43%), capillary (9/28, 32%), mixed cavernous with either a capillary or an arteriovenous component (5/28, 18%), or mostly cavernous (2/28, 7%). For HS, all channels and lacunae within the neoplasia were interpreted as newly formed abnormal vascular structures composed of neoplastic endothelial cells, with occasional vasoformation consisting of dilated capillaries and veins (100%).
- •
- Criterion 6 (Figure 3d–f). The endothelial lining of vessels in CPA was flat for all cases (100%); in 4/27 (15%) cases nuclei were focally plump and prominent but without atypia; piling up as well as mitoses were never detected. In all HS, the endothelial lining was prominent and characterized by cytological atypia (100%), in 2/11 (18%) cases, piling up was detected; median mitotic count was 11 in a 2.37 mm2 area (range 4–58).
- •
- Criteria 7 & 8 (Figure 4a–c). In CPA, arteriovenous shunts were seen in 4/27 cases (15%) and malformed vessels were present in 14/28 (48%) cases; none of the aforementioned alterations were observed in HS.
- •
- Criterion 9. In CPA, thromboses were occasionally detected (7/28, 25%) in medium to large sized vessels, while necrosis was never observed; in HS, thromboses and necrosis were seen in three and two cases, respectively (27%, 18%).
- •
- Criterion 10 (Figure 4d). Bone invasion was observed in 1/28 cases (4%), with digit involvement; bone invasion was never recorded in HS cases.
- •
- Criterion 11 (Figure 4e,f). Nerve bundles were often seen at the vessel periphery in a large proportion of CPA cases (20/28, 71%). Intralesional nerve bundles were detected in CPA as small central axons covered by myelin sheaths and ensheathed by endonevrium. Nerve bundles were never detected within HS.



3.3. Statistic Analysis
4. Discussion
Supplementary Materials
Author Contributions
Funding
Institutional Review Board Statement
Informed Consent Statement
Data Availability Statement
Acknowledgments
Conflicts of Interest
References
- Peavy, G.M.; Walder, E.J.; Nelson, J.S.; Rosenberg, M. Use of laser photocoagulation for treatment of cutaneous angiomatosis in one dog and two cats. J Am. Vet. Ned. Assoc. 2001, 219, 1094–1097. [Google Scholar] [CrossRef] [PubMed]
- Gross, T.L.; Ihrke, P.J.; Walder, E.J.; Affolter, V.K. Skin Diseases of the Dog and Cat: Clinical and Histopathologic Diagnosis, 2nd ed.; Blackwell Science: Oxford, UK, 2005; pp. 161–198. [Google Scholar]
- Roccabianca, P.; Schulman, Y.; Avallone, G.; Foster, R.; Scruggs, J.; Dittmer, K.; Kiupel, M. Surgical Pathology of Tumors of Domestic Animals 3: Tumor like lesions. In Tumors of Soft Tissues, 4th ed.; Davis Thomson Foundation: Gurnee, Illinois, 2020; pp. 183–199. [Google Scholar]
- Kim, Y.; Reinecke, S.; Malarkey, D.E. Cutaneous angiomatosis in a young dog. Vet. Path 2005, 42, 378–381. [Google Scholar] [CrossRef] [PubMed]
- Kuroki, K.; Britt, L.G.; Franklin, S.P.; Henry, C.J. Skeletal-extraskeletal angiomatosis in a dog. Vet. Path 2010, 47, 944947. [Google Scholar] [CrossRef] [PubMed]
- Olivieri, L.; Nardini, G.; Pengo, G.; Abramo, F. Cutaneous progressive angiomatosis on the muzzle of a dog, treated by laser photocoagulation therapy. Vet. Dermatol. 2010, 21, 517–521. [Google Scholar] [CrossRef] [PubMed]
- Ide, K.; Uchida, N.; Iyori, K.; Mochizuki, T.; Fukushima, R.; Iwasaki, T.; Nishifuji, K. Multi-system progressive angiomatosis in a dog resembling blue rubber bleb nevus syndrome in humans. J. Small Anim. Pract. 2013, 54, 201–204. [Google Scholar] [CrossRef] [PubMed]
- Sluiter, K.L.; Randell, S.C.; Ramirez, J.R.; Farina, L.L. Bacterial sepsis resulting in severe systemic illness and euthanasia in a dog with cutaneous angiomatosis. Can. Vet. J. 2013, 54, 397–402. [Google Scholar] [PubMed]
- Laganga, P.; Marconato, L.; Cancedda, S.; Leone, V.F.; Rohrer-Bley, C.; Rossi, F. Radiation therapy for the treatment of canine progressive cutaneous angiomatosis: Description of 2 cases. Can. Vet. J. 2018, 59, 1067–1070. [Google Scholar] [PubMed]
- Affolter, V.K.; Gross, T.L.; Walder, E.J. Characterization of cutaneous angiomatosis in dogs and cats. Vet. Dermatol. 2004, 15, 71. [Google Scholar] [CrossRef]
- Rongioletti, F.; Rebora, A. Cutaneous reactive angiomatoses: Patterns and classification of reactive vascular proliferation. J. Am. Acad. Dermatol. 2003, 49, 887–896. [Google Scholar] [CrossRef]
- Adegboyega, P.A.; Qiu, S. Hemangioma versus vascular malformation: Presence of nerve bundle is a diagnostic clue for vascular malformation. Arch. Pathol. Lab. Med. 2005, 129, 772–775. [Google Scholar] [CrossRef] [PubMed]
- De Cock, H.; Mols, N.; van Roy, M.R.; Ducatelle, R.; Simoens, P. Klippel-Trenaunay syndrome in a Border collie. N. Zeal. Vet. J. 1996, 44, 194–197. [Google Scholar] [CrossRef] [PubMed]
- Hughes, M.; Hao, M.; Luu, M. PIK3CA vascular overgrowth syndromes: An update. Curr. Opin. Pediatr. 2020, 32, 539–546. [Google Scholar] [CrossRef]
- Bulman-Fleming, J.C.; Gibson, T.W.; Kruth, S.A. Invasive cutaneous angiomatosis and thrombocytopenia in a cat. J. Am. Vet. Med. Assoc. 2009, 234, 381–384. [Google Scholar] [CrossRef]
- Baron, C.P.; Puntel, F.C.; Fukushima, F.B.; da Cunha, O. Progressive cutaneous angiomatosis in the metatarsal region of a cat. J. Am. Vet. Med. Assoc. 2020, 256, 226–229. [Google Scholar] [CrossRef] [PubMed]
- Ettinger, S.J.; Feldman, E.C.; Coté, E. Peripheral vascular diseases. In Textbook of Veterinary Internal Medicine: Diseases of the Dog and the Cat, 8th ed.; Elsevier: St. Louis, MI, USA, 2017; Volume 2, pp. 3250–3265. [Google Scholar]
- Girard, C.; Graham, J.H.; Johnson, W.C. Arteriovenous hemangioma (arteriovenous shunt). A clinicopathological and histochemical study. J. Cutan. Pathol. 1974, 1, 73–87. [Google Scholar] [CrossRef] [PubMed]

| Case N° | Breed | Age | Gender | Site | Type of Lesion |
|---|---|---|---|---|---|
| 1 | Mixed | 7 y | F | Limb, elbow | na |
| 2 | Springer spaniel | 10 y | M | Limb, carpus (volar) | Nodule, violet, not painful, 2–3 m lasting |
| 3 | Mixed | 3 y | M | Limb, anterior, thigh | Ulcerated, 1 y lasting |
| 4 | Mixed | 3 y | M | Limb, metatarsus | Nodule, pink-red, 1 y lasting |
| 5 | Mixed | 11 y | M | Limb, lateral thigh | Nodule, red |
| 6 | Bull mastiff | 8 y | F | Limb, carpus, flank | Nodule 3 cm on carpus multiple on flank, 2 m lasting |
| 7 | Dogue de Bordeaux | 6 m | M | Limb, lateral knee | Nodule, 2 cm, at birth |
| 8 | Yorkshire terrier | 2 y | M | na | na |
| 9 | Dachshund | 9 y | M | Tail base, lateral | Plaque, pink-red, alopecic, 1 cm, 4 m lasting |
| 10 | Dogue de Bordeaux | 1 y | M | Head, cheekbone | 3 cm, serpiginous, 1 m lasting |
| 11 | Mixed | 3 y | F | Hind limb | na |
| 12 | Mixed | na | na | Head, ear, bilateral | na |
| 13 | Boxer | 6 y | M | Sternum | Nodule, red, ulcerated, since long time |
| 14 | Dachshund | 2 m | F | Head, lip | Plaque, erythematous, 2 cm, at birth |
| 15 | Mixed | 10 y | M | Limb, metatarsus | Nodule, peduncolated, 1 m lasting |
| 16 | Cocker spaniel | 10 y | F | Head, muzzle | Multiple nodules, confluent, 5 y lasting |
| 17 | Mixed | 1 y | M | Top of the head, lip margin, tongue | Multiple plaques, erythematous, crusted, 2 ms lasting |
| 18 | German shepherd | 6 y | M | Limb, tarsum | Nodule, simil callus, 3 cm |
| 19 | Mixed | 11 y | M | Abdomen, peripreputial | Multiple red plaques, 0.5 cm |
| 20 | Mixed | na | M | na | na |
| 21 | Mixed | 5 y | F | Ear margin | na |
| 22 | Shorthair pointer | na | na | na | na |
| 23 | Husky | 13 y | F | Knee | Associated with SCC |
| 24 | Mixed | 8 y | M | Sternum | Papillated, ulcerated |
| 25 | Pincher | 4 y | M | Ear, bilateral, hemorrhagic | na |
| 26 | Mixed | 9 y | M | Sternum | Nodule, ulcerated, hemorrhagic |
| 27 | Australian sheepdog | 4 y | M | Dorsum | Nodule, ulcerated |
| 28 | Great Dane | 6 y | M | Forelimb (3rd digit) | Subcutaneous mass |
Publisher’s Note: MDPI stays neutral with regard to jurisdictional claims in published maps and institutional affiliations. |
© 2022 by the authors. Licensee MDPI, Basel, Switzerland. This article is an open access article distributed under the terms and conditions of the Creative Commons Attribution (CC BY) license (https://creativecommons.org/licenses/by/4.0/).
Share and Cite
Abramo, F.; Vascellari, M.; Colzi, G.; Pazzini, L.; Albanese, F.; Olivieri, L.; Zanardello, C.; Salvadori, C.; Avallone, G.; Roccabianca, P. Identification of Histopathological Criteria for the Diagnosis of Canine Cutaneous Progressive Angiomatosis. Vet. Sci. 2022, 9, 340. https://doi.org/10.3390/vetsci9070340
Abramo F, Vascellari M, Colzi G, Pazzini L, Albanese F, Olivieri L, Zanardello C, Salvadori C, Avallone G, Roccabianca P. Identification of Histopathological Criteria for the Diagnosis of Canine Cutaneous Progressive Angiomatosis. Veterinary Sciences. 2022; 9(7):340. https://doi.org/10.3390/vetsci9070340
Chicago/Turabian StyleAbramo, Francesca, Marta Vascellari, Giada Colzi, Luca Pazzini, Francesco Albanese, Lara Olivieri, Claudia Zanardello, Claudia Salvadori, Giancarlo Avallone, and Paola Roccabianca. 2022. "Identification of Histopathological Criteria for the Diagnosis of Canine Cutaneous Progressive Angiomatosis" Veterinary Sciences 9, no. 7: 340. https://doi.org/10.3390/vetsci9070340
APA StyleAbramo, F., Vascellari, M., Colzi, G., Pazzini, L., Albanese, F., Olivieri, L., Zanardello, C., Salvadori, C., Avallone, G., & Roccabianca, P. (2022). Identification of Histopathological Criteria for the Diagnosis of Canine Cutaneous Progressive Angiomatosis. Veterinary Sciences, 9(7), 340. https://doi.org/10.3390/vetsci9070340

