Next Issue
Volume 12, November
Previous Issue
Volume 12, September
 
 

Vet. Sci., Volume 12, Issue 10 (October 2025) – 99 articles

Cover Story (view full-size image): The paper stems from several clinical and in vitro observations conducted by the authors or gathered from the literature, where nutraceuticals (e.g., omega-3 fatty acids, prebiotics, probiotics, plant extracts, and dietary supplements) in the form of raw materials or encapsulated in functional formulations (e.g., capsules, tablets) or in pet food have resulted in effective relief of pathological conditions. Moreover, the role of such nutraceuticals in improving pet–owner social interactions was also discussed, posing a debate about the importance of pet food in enhancing animals’ sociability while reducing stress. Last but not least is the theme of longevity, presented as a plausible outcome of combining correct pet food and nutraceutical intake, as well as an improved overall pet health status. View this paper
  • Issues are regarded as officially published after their release is announced to the table of contents alert mailing list.
  • You may sign up for e-mail alerts to receive table of contents of newly released issues.
  • PDF is the official format for papers published in both, html and pdf forms. To view the papers in pdf format, click on the "PDF Full-text" link, and use the free Adobe Reader to open them.
Order results
Result details
Section
Select all
Export citation of selected articles as:
18 pages, 479 KB  
Systematic Review
Critical Analysis of Protocols for Good Veterinary Practices in Monitoring, Prevention and Treatment of Ketosis in Dairy Cows
by Elena Stancheva and Toncho Penev
Vet. Sci. 2025, 12(10), 1019; https://doi.org/10.3390/vetsci12101019 - 21 Oct 2025
Cited by 1 | Viewed by 2226
Abstract
Ketosis is one of the most common metabolic disorders in high-yielding dairy cows in early lactation. It has a negative impact on milk yield, reproduction, and general health of the animals. The present review aims to systematize and critically analyze current scientific data [...] Read more.
Ketosis is one of the most common metabolic disorders in high-yielding dairy cows in early lactation. It has a negative impact on milk yield, reproduction, and general health of the animals. The present review aims to systematize and critically analyze current scientific data on the monitoring, diagnosis, prevention, and treatment of subclinical and clinical ketosis, with the aim of developing an applicable protocol for good veterinary medical practices (GMP). Based on the comparative analysis method of data from the literature and clinical practice, β-hydroxybutyrate (BHBA) in blood is confirmed as the gold standard for diagnosis with specificity and sensitivity above 90%. Indicators such as fat/protein (F/P) > 1.4 and NEFA > 0.4 mmol/L, as well as reduced citrate content in milk, have been evaluated as useful screening tools, although with lower diagnostic value. Despite the advantages of some indirect methods (such as F/P), critical analysis shows that they are strongly influenced by physiological status, lactation stage, and diet and cannot replace direct blood tests. Preventive approaches emphasize the importance of stable nutrition in the pre- and post-calving period, restriction of ketogenic feeds, and use of oral glucose precursors. Literature analysis shows that propylene glycol is effective, but with prolonged use it can reduce appetite. Combined antiketotic products have also been introduced, providing not only energy support but also liver protection. Particular attention has been paid to monensin (applied in the commercial product “Kexxtone”)—a polyether antibiotic with sustained release, which reduces the incidence of ketosis by over 50% and increases milk yield in the first weeks after calving. However, its high cost, antibiotic nature, and need for veterinary supervision limit its universal use. The treatment protocol is differentiated according to the clinical type: glucose I. V. and propylene glycol in type I ketosis and avoidance of glucocorticoids in suspected type II (hepatic steatosis). In the critical analysis It is noted that improper use of glucocorticoids can lead to a worsening of the condition. A structured protocol for DVMP (Dairy Veterinary Medical Practice) is proposed, which includes targeted metabolic monitoring (NEFA, BHBA, F/P); proven preventive regimens (Kexxtone, propylene glycol, balanced rations), and staged prevention and treatment according to the form of ketosis. The adaptation of good practices to the scale of the farm and the level of knowledge and skills of the staff for their correct application remains a challenge. Providing training, a standardized control log, and access to field diagnostic tools is key to the success of any protocol. Full article
(This article belongs to the Section Nutritional and Metabolic Diseases in Veterinary Medicine)
Show Figures

Graphical abstract

15 pages, 1608 KB  
Article
Effects of Stevia Straw Supplementation on Meat Quality, Nutrient Composition, and Rumen Microbiota in Sheep
by Congbin Xu, Yan Ma, Jinlong Li, Tuo Yong, Liangzhong Hou and Tongjun Guo
Vet. Sci. 2025, 12(10), 1018; https://doi.org/10.3390/vetsci12101018 - 21 Oct 2025
Viewed by 870
Abstract
This study investigated the effects of dietary stevia straw supplementation on meat quality, amino acid and fatty acid content, and rumen microbial diversity in sheep. A total of 50 ram lambs (3–4 months, 27.01 ± 3.8 kg) were randomly assigned to five groups. [...] Read more.
This study investigated the effects of dietary stevia straw supplementation on meat quality, amino acid and fatty acid content, and rumen microbial diversity in sheep. A total of 50 ram lambs (3–4 months, 27.01 ± 3.8 kg) were randomly assigned to five groups. Each group received a total mixed ration supplemented with 0% (control), 5%, 15%, 25% and 35% dry stevia straw for 72 days. Adding 15% and 25% stevia straw significantly increased the pre-slaughter body weight. EE content was also significantly higher across all experimental groups (p < 0.01), showing a linear increase with supplementation. Glutamic acid content in the 15% group was significantly higher than that in the 25% group (p < 0.05). The addition of stevia straw improved the fatty acid profile: C18:1n9c content in the 5%, 15%, and 25% groups was significantly higher than that in the CK (Control) group (p < 0.05); C18:2n6c content in the 25% group was significantly higher than that in the CK, 5%, and 15% groups (p < 0.05); the content of (C20:1) was extremely significantly higher in all experimental groups compared to the CK group. Additionally, the unsaturated fatty acid content in the 25% group was significantly higher than that in the CK group (p < 0.05). The relative abundances of Bacteroidota and Firmicutes were increased in the 25% and 35% groups, but the differences were not significant (p > 0.05). In conclusion, dietary supplementation of 15–25% stevia straw to the ration can significantly improve the slaughtering performance, meat quality and muscle nutrient composition of fattening sheep. In addition, the addition of stevia straw had no negative effect on the rumen microflora, and the 15% level could increase the abundance and activity of the rumen microflora, so it is recommended to use 15% stevia straw in the ration for sheep during the fattening period. Full article
Show Figures

Figure 1

13 pages, 357 KB  
Article
Systematic Assessment of Mortalities in Calves at Commercial Calf Ranches and the Association Between Cause of Death and Season
by Rebecca A. Bigelow, Phillip A. Lancaster, Brad J. White, Tera R. Barnhardt, Miles E. Theurer and Raghavendra G. Amachawadi
Vet. Sci. 2025, 12(10), 1017; https://doi.org/10.3390/vetsci12101017 - 21 Oct 2025
Viewed by 1270
Abstract
As breeding practices in dairy industry shift toward the use of beef semen, the number of calves sent off-site for rearing has increased. The limited literature describes mortalities by season, sex, or breed within calf ranches. The objectives were to identify primary and [...] Read more.
As breeding practices in dairy industry shift toward the use of beef semen, the number of calves sent off-site for rearing has increased. The limited literature describes mortalities by season, sex, or breed within calf ranches. The objectives were to identify primary and co-morbidities at necropsy in calf ranches and determine whether causes of death varied by season, sex, breed, or ranch. Systematic necropsies (n = 243) were performed monthly over 12 months at four ranches by technicians with diagnoses confirmed by veterinarians. Mortalities were classified as respiratory (RESP), gastrointestinal (GI), septicemia (SEPT), or other (OTH) based on gross necropsy findings. A subset from ranches with 12 months of necropsy data (n = 175) was analyzed using generalized linear and multinomial models to evaluate associations between RESP diagnoses or GI lesion locations and 4-month periods, sex, breed, and ranch. Respiratory disease was most common (67.5%), followed by GI (11.5%), SEPT (9.5%), and OTH (11.5%). Most (86.0%) lacked co-morbidities; RESP (7.0%) and OTH (3.7%) were the frequent primary diagnoses with co-morbidities. No significant associations were detected with time, sex, breed, or ranch (p ≥ 0.11 for RESP; p ≥ 0.13 for GI). Although inferences were limited by sample size, findings provide insight into calf mortalities and co-morbidities in commercial ranches. Full article
Show Figures

Figure 1

20 pages, 1640 KB  
Review
Choline as a Modulator of Periparturient Diseases in Dairy Cows
by Fenghong Wang, Yuanyin Guo, Xiu Su and Jie Cao
Vet. Sci. 2025, 12(10), 1016; https://doi.org/10.3390/vetsci12101016 - 21 Oct 2025
Cited by 1 | Viewed by 1999
Abstract
Dairy cows experiencing negative energy balance (NEB) are prone to metabolic and inflammatory disorders, including ketosis, fatty liver, mastitis, endometritis, and hypocalcemia, which impair productive and reproductive performance. NEB elevates non-esterified fatty acids (NEFA) and β-hydroxybutyrate (BHBA), leading to disrupted lipid metabolism characterized [...] Read more.
Dairy cows experiencing negative energy balance (NEB) are prone to metabolic and inflammatory disorders, including ketosis, fatty liver, mastitis, endometritis, and hypocalcemia, which impair productive and reproductive performance. NEB elevates non-esterified fatty acids (NEFA) and β-hydroxybutyrate (BHBA), leading to disrupted lipid metabolism characterized by increased fatty acid synthesis (via SREBP-1c, ACC, FASN), impaired lipid export (downregulated MTTP, ApoB100, ACAT2), and reduced oxidation (suppressed SIRT1–PPARα–CPT1A/2 pathway), resulting in triacylglycerol (TAG) accumulation and ketosis. Excess reactive oxygen species (ROS) trigger oxidative and endoplasmic reticulum (ER) stress and apoptosis through JNK, p53/Nrf2, and PERK–eIF2α signaling, while HIF-2α–mediated hypoxia aggravates hepatic damage. Elevated NEFA/BHBA impair polymorphonuclear neutrophil (PMN) chemotaxis and phagocytosis, promoting mastitis and endometritis, and hypocalcemia further weakens immune defense. Rumen-protected choline (RPC) improves lipid metabolism by enhancing VLDL assembly and TAG export (upregulating MTTP, ApoB100, ATG3; inhibiting SREBF1, DGAT2), stimulating fatty acid oxidation (activating AMPK–PPARα–CPT1α), and reducing oxidative stress (suppressing ROS–ERN1). Moreover, RPC decreases IL-6 and TNF-α levels and enhances antioxidant capacity and PMN function. Overall, RPC alleviates NEB-induced metabolic and inflammatory diseases, supporting its inclusion in periparturient management to mitigate NEB and associated disorders. Full article
Show Figures

Figure 1

18 pages, 2824 KB  
Article
Design and Implementation of a Deep Learning System to Analyze Bovine Sperm Morphology
by Francisco Sevilla, Ignacio Araya-Zúñiga, Abel Méndez-Porras, Jorge Alfaro-Velasco, Efren Jiménez-Delgado, Miguel A. Silvestre, Rafael Molina-Montero, Eduardo R. S. Roldan and Anthony Valverde
Vet. Sci. 2025, 12(10), 1015; https://doi.org/10.3390/vetsci12101015 - 21 Oct 2025
Cited by 4 | Viewed by 1833
Abstract
Sperm morphology analysis is critical for assessing bovine fertility, since it provides insight into bull reproductive potential as well as subfertility and infertility. Traditional sperm morphology analysis is time-consuming, subjective, and prone to human error, all of which highlight the need for automated, [...] Read more.
Sperm morphology analysis is critical for assessing bovine fertility, since it provides insight into bull reproductive potential as well as subfertility and infertility. Traditional sperm morphology analysis is time-consuming, subjective, and prone to human error, all of which highlight the need for automated, objective solutions. This study presents the design and implementation of a computer-aided system for bovine sperm morphology analysis, leveraging deep learning models to detect and classify sperm cells based on their morphological characteristics. Using micrographs of bull sperm, we present a sequential deep learning framework that automatically detects morphological sperm aberrations. The model segments and analyzes each cell, identifying defects in the head, neck/midpiece, tail, and residual cytoplasm. Specifically, the system employs the YOLOv7 object detection framework, trained on a dataset of 277 annotated images comprising six morphological categories, to automatically identify and classify sperm abnormalities. The experimental results demonstrate a global mAP@50 of 0.73, precision of 0.75, and recall of 0.71, indicating a balanced tradeoff between accuracy and efficiency. By reducing reliance on manual analysis, this work enhances efficiency and accuracy in animal reproduction laboratories, contributing to veterinary reproduction through a cost-effective and scalable solution for sperm quality assessment. Full article
(This article belongs to the Special Issue Current Method and Perspective in Animal Reproduction)
Show Figures

Figure 1

42 pages, 1647 KB  
Review
Preventive Immunology for Livestock and Zoonotic Infectious Diseases in the One Health Era: From Mechanistic Insights to Innovative Interventions
by Eman Marzouk and Ahmed I. Alajaji
Vet. Sci. 2025, 12(10), 1014; https://doi.org/10.3390/vetsci12101014 - 20 Oct 2025
Cited by 1 | Viewed by 4374
Abstract
Preventive immunology is emerging as a cornerstone of animal infectious disease control within One Health, shifting emphasis from treatment to prevention. This review integrates mechanistic insights in host immunity with a comparative evaluation of next-generation interventions—mRNA/DNA and viral-vector vaccines, nanovaccines, monoclonal antibodies, cytokine [...] Read more.
Preventive immunology is emerging as a cornerstone of animal infectious disease control within One Health, shifting emphasis from treatment to prevention. This review integrates mechanistic insights in host immunity with a comparative evaluation of next-generation interventions—mRNA/DNA and viral-vector vaccines, nanovaccines, monoclonal antibodies, cytokine modulators, probiotics/postbiotics, bacteriophages, and CRISPR-based approaches—highlighting their immunogenicity, thermostability, delivery, and field readiness. Distinct from prior reviews, we appraise diagnostics as preventive tools (point-of-care assays, biosensors, MALDI-TOF MS, AI-enabled analytics) that enable early detection, risk prediction, and targeted interventions, and we map quantifiable links between successful prevention and reduced antimicrobial use. We embed translation factors—regulatory alignment, scalable manufacturing, workforce capacity, equitable access in LMICs, and public trust—alongside environmental and zoonotic interfaces that shape antimicrobial resistance dynamics. We also provide a critical analysis of limitations and failure cases: gene editing may require stacked edits and concurrent vaccination; phage programs must manage host range, resistance, stability, and regulation; and probiotic benefits remain context-specific. Finally, we present a risk–benefit–readiness framework and a time-bound research agenda to guide deployment and evaluation across animal–human–environmental systems. Coordinating scientific innovation with governance and ethics can measurably reduce disease burden, curb antimicrobial consumption, and improve health outcomes across species. Full article
Show Figures

Figure 1

23 pages, 2800 KB  
Article
Timing, Tools, and Thinking: H5P-Driven Engagement in Flipped Veterinary Education
by Nieves Martín-Alguacil, Rubén Mota-Blanco, Luis Avedillo, Mercedes Marañón-Almendros and Miguel Gallego-Agundez
Vet. Sci. 2025, 12(10), 1013; https://doi.org/10.3390/vetsci12101013 - 20 Oct 2025
Cited by 1 | Viewed by 1018
Abstract
Traditional lectures in veterinary anatomy often limit student engagement and higher-order thinking. The flipped classroom (FC) model shifts foundational content to independent study using interactive tools such as H5P® and Wooclap®, reserving classroom time for collaborative problem-solving. Objective: To evaluate [...] Read more.
Traditional lectures in veterinary anatomy often limit student engagement and higher-order thinking. The flipped classroom (FC) model shifts foundational content to independent study using interactive tools such as H5P® and Wooclap®, reserving classroom time for collaborative problem-solving. Objective: To evaluate the impact of the FC model on student engagement, preparation habits, and cognitive performance in veterinary anatomy, focusing on the respiratory and cardiovascular systems. Methodology: The intervention was implemented over two academic years (2023/24 and 2024/25) and included continuous assessment, cognitive-level evaluations based on Marzano’s taxonomy, platform analytics, and anonymous student surveys. Results: Platform data showed high engagement, with completion rates exceeding 90%. Students who prepared 2–3 days in advance performed better on application and integration tasks. Survey responses indicated a shift from passive video viewing to active learning strategies, such as structured note-taking and strategic time management. By 2024/25, 85% of students dedicated 30+ min to preparation, compared to 48% the previous year. Conclusion: The FC model fostered autonomy, spatial reasoning, and clinical contextualization. Aligned with constructivist principles, it supported Intended Learning Outcomes through adaptive scaffolding. Despite institutional challenges, the model proved scalable and pedagogically coherent, warranting further longitudinal research and broader curricular integration. Full article
Show Figures

Graphical abstract

22 pages, 2461 KB  
Article
Combining Load–Close–Homogenize with Testing, Removal, and Rollover Strategies to Repopulate PRRSV Elimination Breeding Herds Using PRRSV-Positive Weaned Gilts
by Yulong Hu, Kangning Zhao, Guangqiang Wu, Haozhou Hong, Tian Xia, Zhicheng Liu, Yijuan Wang, Chunqing Sun, Chaosi Li, Zhendong Zhang and Jianfeng Zhang
Vet. Sci. 2025, 12(10), 1012; https://doi.org/10.3390/vetsci12101012 - 20 Oct 2025
Viewed by 1491
Abstract
This study aimed to evaluate the effectiveness of combining load–close–homogenize (LCH), test and removal (T&R), and rollover strategies for PRRSV elimination in breeding herds using PRRSV-positive weaned gilts. Here, a novel strategy was explored for PRRSV elimination from more than 1500 weaned gilts, [...] Read more.
This study aimed to evaluate the effectiveness of combining load–close–homogenize (LCH), test and removal (T&R), and rollover strategies for PRRSV elimination in breeding herds using PRRSV-positive weaned gilts. Here, a novel strategy was explored for PRRSV elimination from more than 1500 weaned gilts, and we documented the process from PRRSV natural infection to elimination at the herd level. With LCH implementation, the herd achieved PRRSV-positive stability within 8 months. Consequently, by rolling in self-breeding PRRSV-naive gilts to replace PRRSV-positive weaned sows batch by batch, the time from being positive stable to negative was 13 months. A PRRSV-positive farm intending to retain its genes in its repopulate farrow to become a finished breeding farm can initiate PRRSV elimination from its weaned gilts; this will result in the first farrowing batch of piglets aged 8–10 weeks becoming PRRSV-negative after 8 months of herd closure. This approach offers a viable pathway for genetic retention and PRRSV elimination in breeding farms. Full article
(This article belongs to the Special Issue Advances in Post-Outbreak Control and Eradication of Swine Diseases)
Show Figures

Figure 1

14 pages, 1215 KB  
Article
Environmental and Serological Monitoring of Porcine Circovirus by Loop-Mediated Isothermal Amplification in Pig Farms
by Alexandre Lamas, Alejandro Garrido-Maestu and Gonzalo López-Lorenzo
Vet. Sci. 2025, 12(10), 1011; https://doi.org/10.3390/vetsci12101011 - 18 Oct 2025
Viewed by 917
Abstract
Despite the widespread use of Porcine circovirus type 2 (PCV2) vaccination, subclinical infection persists and remains a concern due to its economic impact. Therefore, continuous herd-level monitoring is essential to assess the dynamics of this infection on farms and minimize its impact. This [...] Read more.
Despite the widespread use of Porcine circovirus type 2 (PCV2) vaccination, subclinical infection persists and remains a concern due to its economic impact. Therefore, continuous herd-level monitoring is essential to assess the dynamics of this infection on farms and minimize its impact. This study evaluated the applicability of a loop-mediated isothermal amplification (LAMP) assay for PCV2 detection in serum, air, and surface samples collected under field conditions. In addition, a simplified Direct LAMP protocol, omitting DNA extraction, was compared with quantitative PCR (qPCR) as the reference method. A total of 360 samples from PCV2 vaccinated and unvaccinated fattening farms were analyzed. Diagnostic performance was assessed in terms of sensitivity, specificity, predictive values, and concordance with qPCR, using Cohen’s kappa coefficient (κ). LAMP showed higher agreement with qPCR (κ = 0.52) than Direct LAMP (κ = 0.16). Serum samples provided the most reliable results when DNA extraction was performed, reaching substantial agreement with qPCR (κ = 0.76). However, Direct LAMP applied directly to serum was negatively affected by inhibitory substances, resulting in a significant drop in sensitivity. In contrast both air and surface samples yielded comparable results between LAMP and Direct LAMP, without the need for DNA extraction. Notably, LAMP-based assays detected PCV2 circulation earlier than qPCR, particularly in environmental samples. These findings demonstrate the potential of LAMP as a practical alternative to qPCR for PCV2 monitoring. While DNA extraction remains essential for reliable detection in serum, Direct LAMP represents a promising strategy for environmental surveillance, enabling rapid, low-cost, and on-farm diagnostics. Full article
Show Figures

Figure 1

18 pages, 778 KB  
Article
Growing Tibetan Pigs Adapt to High-Fiber Diets by Enhancing Fiber Degradation Capacity
by Zhima Lamu, Shuyu Hao, Boxuan Li, Sichen Yang, Zhenda Shang, Peng Shang, Suozhu Liu, Yan Lin and Zhankun Tan
Vet. Sci. 2025, 12(10), 1010; https://doi.org/10.3390/vetsci12101010 - 18 Oct 2025
Viewed by 1041
Abstract
The systematic analysis of the synergistic mechanism between microbial fiber-degrading enzymes and short-chain fatty acids under high-fiber diet conditions is limited. In this study, we evaluated the effects of a high-fiber diet on the growth performance, nutrient digestibility, blood and serum metrics, cellulase/hemicellulase [...] Read more.
The systematic analysis of the synergistic mechanism between microbial fiber-degrading enzymes and short-chain fatty acids under high-fiber diet conditions is limited. In this study, we evaluated the effects of a high-fiber diet on the growth performance, nutrient digestibility, blood and serum metrics, cellulase/hemicellulase activity, and fecal microbial composition of growing Tibetan pigs. Forty Tibetan pigs were allocated to a control group (CON, the diet contains 5% crude fiber) or a high-fiber group (HF, the diet contains 10% crude fiber) based on crude fiber levels as a blocking factor. The pre-trial period was 7 d, and the formal trial lasted 28 d. CON group and HF group showed no effect on growth performance and nutrient apparent digestibility (p > 0.05). The HF group showed significantly higher fecal cellulase and hemicellulase activities than those of the CON group (p < 0.05). Additionally, the HF group showed significantly elevated levels of acetic, propionic, and butyric acids, as well as increased relative abundances of Fibrobacter and p-75-a5 in the feces (p < 0.05). The correlation analysis revealed that Fibrobacter exhibited significant positive correlations with acetic acid, butyric acid, cellulase, and hemicellulase, whereas p-75-a5 was significantly positively correlated with hemicellulase (p < 0.05). In conclusion, this study provides strong evidence that the efficient utilization of dietary fiber by Tibetan pigs results from highly specialized microbial mechanisms in their large intestine, as reflected by their fecal microbiota composition. Fibrobacter and p-75-a5 play a crucial role in enabling these pigs to utilize fiber effectively. Certain specific microbiota secrete a greater quantity of enzymes to facilitate the decomposition of dietary fiber, and this process ultimately leads to the generation of more metabolites. Full article
(This article belongs to the Special Issue Nutritional Health of Monogastric Animals)
Show Figures

Figure 1

13 pages, 589 KB  
Article
Effect of an Ad Libitum Milk Supply During the First Three Weeks of Life of Dairy Calves on Heart Rate and Heart Rate Variability During Feeding and Rehousing
by Luise Prokop, Gundula Hoffmann, Martin Kaske and Steffi Wiedemann
Vet. Sci. 2025, 12(10), 1009; https://doi.org/10.3390/vetsci12101009 - 17 Oct 2025
Viewed by 1011
Abstract
Early-life feeding strategies are known to affect growth, behavior, and stress physiology in dairy calves. This study examined the effects of different milk feeding regimes on heart rate (HR) and heart rate variability (HRV) during feeding and rehousing as indicators of autonomic activity. [...] Read more.
Early-life feeding strategies are known to affect growth, behavior, and stress physiology in dairy calves. This study examined the effects of different milk feeding regimes on heart rate (HR) and heart rate variability (HRV) during feeding and rehousing as indicators of autonomic activity. Dairy calves were fed either a restrictive milk allowance twice per day (6 L/d; RES; n = 21) or an unlimited amount of milk (ad libitum; ADL; n = 24) during the first three weeks of life. All calves were housed in individual straw bedded hutches from d 1 to 23 of life and were moved to a group pen on d 23 ± 2 of life. Starting at least one day before rehousing until one hour after the rehousing process HR, HRV, and variables in the time and frequency domain were measured continuously using a portable recording system. To study the cardiac response to the feeding process, six time windows of 5 min each were chosen as follows: resting time at 5.00 a.m., start of personnel activity in the barn, 15 min before feeding, during feeding, 15 min after feeding, and 1 h after feeding. For the evaluation of cardiac response to an unknown stressor such as rehousing, four time windows of 5 min each were selected as follows: resting time at 5.00 a.m., during rehousing, 30 min after rehousing, and 1 h after rehousing. During resting as well as before feeding and rehousing, HR was higher in ADL calves compared with RES calves. During feeding and rehousing, HR reached peak values which were comparable in both groups. HRV variables of the time and frequency domain indicated a shift towards a sympathetic dominance in the balance of the autonomic nervous system during feeding time, particularly in RES calves. Differences between resting and feeding values were demonstrated in RES calves at low-frequency and high-frequency power, whereas no differences were observed in ADL calves which did not react to the feeding process. The cardiac response of calves to rehousing was inconsistent in both groups. An increase in RMSSD and SD1 in ADL calves indicated that the vagal component in the vegetative neurological control was increased in these calves during rehousing. In conclusion, our findings indicate that restrictive milk feeding alters autonomic regulation and may increase physiological stress responses in calves. Full article
Show Figures

Figure 1

14 pages, 386 KB  
Review
Application of Probiotics in Cats and Dogs: Benefits and Mechanisms
by Jintao Sun, Xinshu Gu, Huaiyu Zhang, Lihong Zhao, Jinquan Wang, Xiumin Wang, Hui Tao, Zhenlong Wang and Bing Han
Vet. Sci. 2025, 12(10), 1008; https://doi.org/10.3390/vetsci12101008 - 17 Oct 2025
Cited by 6 | Viewed by 8605
Abstract
Probiotics have grown increasingly pivotal for the health of pets, particularly dogs and cats. Emerging research demonstrates that probiotics exert a significant positive impact on gut health, including alleviating intestinal inflammation, regulating gut microbiota balance, and relieving diarrhea symptoms for pets. Regarding nutrient [...] Read more.
Probiotics have grown increasingly pivotal for the health of pets, particularly dogs and cats. Emerging research demonstrates that probiotics exert a significant positive impact on gut health, including alleviating intestinal inflammation, regulating gut microbiota balance, and relieving diarrhea symptoms for pets. Regarding nutrient metabolism, probiotics aid in prevention and management of obesity and associated metabolic diseases, primarily by enhancing nutrient digestibility and regulating energy utilization and fat metabolism. Furthermore, probiotics exhibit positive effects, including antiviral activity, immune regulation, and antioxidation. Specific probiotic strains exert their functions via mechanisms such as increasing immunoglobulin levels, suppressing the expression of inflammatory factors, and boosting antioxidant enzyme activity. The underlying mechanisms primarily involve regulating metabolites (e.g., short-chain fatty acids, SCFAs), strengthening the intestinal barrier function, modulating immune responses, and optimizing the gut microbial composition. While existing studies highlight the broad potential of probiotics in preventing and managing various chronic diseases in dogs and cats, their utility in addressing acute illnesses and severe organ damage remains limited. Future research should prioritize investigating species-specific mechanisms of actions and extend to exploring potential applications in the neurological health and behavior of pets. Full article
(This article belongs to the Special Issue Gastrointestinal Disease and Health in Pets)
Show Figures

Figure 1

16 pages, 3804 KB  
Article
The Role of Phase Angle in Non-Invasive Fluid Assessment in Dogs with Patent Ductus Arteriosus: A Novel Method in Veterinary Cardiology
by Zongru Li, Ahmed Farag, Ahmed S. Mandour, Tingfeng Xu, Kazuyuki Terai, Kazumi Shimada, Lina Hamabe, Aimi Yokoi, Shujun Yan and Ryou Tanaka
Vet. Sci. 2025, 12(10), 1007; https://doi.org/10.3390/vetsci12101007 - 17 Oct 2025
Viewed by 981
Abstract
Background: Patent ductus arteriosus (PDA) in dogs causes persistent left-to-right shunting, leading to pulmonary overcirculation, left heart volume overload, and potential congestive heart failure. Accurate assessment of fluid imbalance is essential but challenging with conventional echocardiography or biomarkers. Phase angle (PhA), derived from [...] Read more.
Background: Patent ductus arteriosus (PDA) in dogs causes persistent left-to-right shunting, leading to pulmonary overcirculation, left heart volume overload, and potential congestive heart failure. Accurate assessment of fluid imbalance is essential but challenging with conventional echocardiography or biomarkers. Phase angle (PhA), derived from bioelectrical impedance analysis (BIA), may serve as a non-invasive marker of extracellular fluid distribution and cellular integrity. Objectives: This study aimed to evaluate PhA as an indicator of thoracic fluid imbalance in dogs with PDAby analyzing its correlation with pulmonary velocity (PV) and end-diastolic volume (eV), as well as its responsiveness to surgical correction. In addition, we assessed the relationships between PhA and echocardiographic structural indices (LA/Ao, TDI Sep E/Em, TDI Lat E/Em) and examined the influence of the measurement region. Methods: PhA was measured at 5, 50, and 250 kHz in 30 PDA-affected and 15 healthy dogs, with electrode placement across thorax, trunk, and abdomen. Echocardiography evaluated PV, eV, and PDA-specific structural parameters. Results: Thoracic PhA at 5 kHz was significantly reduced in PDAdogs, strongly correlated with PV and moderately with eV. Postoperative measurements showed progressive PhA recovery. Only TDI Lat E/Em correlated with mid-frequency PhA, while other structural indices showed minimal association. Thoracic PhA was lower than trunk or abdominal values, indicating that thoracic measurements may better capture localized extracellular fluid changes in PDAcompared with other regions. Conclusion: Thoracic PhA at 5 kHz effectively reflects extracellular fluid changes in PDA, complements structural echocardiography, and tracks postoperative fluid normalization. Its non-invasive nature supports clinical utility for monitoring hemodynamic burden and therapeutic response. Full article
Show Figures

Figure 1

27 pages, 6921 KB  
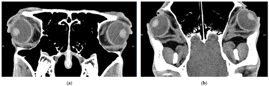
Review
Intraocular Tumors in Horses: Diagnosis, Tumor Classification, Oncologic Assessment and Therapy
by Christopher Ostendarp and Ann Kristin Barton
Vet. Sci. 2025, 12(10), 1006; https://doi.org/10.3390/vetsci12101006 - 17 Oct 2025
Viewed by 1847
Abstract
Intraocular neoplasia in horses is rare and only few case reports and small case series exist. Intraocular neoplasia has various clinical signs and includes important differential diagnoses in ocular disease. This narrative review of the current literature aims to provide a clinically relevant [...] Read more.
Intraocular neoplasia in horses is rare and only few case reports and small case series exist. Intraocular neoplasia has various clinical signs and includes important differential diagnoses in ocular disease. This narrative review of the current literature aims to provide a clinically relevant overview and classification of intraocular tumors in horses and adds a comparative oncological perspective concerning diagnosis, treatment and future considerations. The available clinical and imaging examination techniques allow for a reliable and differentiated investigation of the tumor, even in the standing horse, using high-frequency ultrasound or optical coherence tomography, which have gained importance in equine ophthalmology. Sectional imaging techniques, in particular computed tomography, are suitable for the examination of the peribulbar, retrobulbar and orbital structures. Differentiated diagnostics including precise tumor staging (TNM: tumor, node, metastasis) are essential for a general prognostic and therapeutic assessment. The embryologic and anatomic tissue origin of the neoplasm is the basis for clinicopathologic classification. Medulloepithelioma and uveal melanocytic neoplasia are the most common intraocular tissue formations occurring in horses. Whereas melanocytic neoplasia of the iris can be treated surgically, neuroepithelial tumors regularly lead to bulbus extirpation. Other primary intraocular neoplasms are sporadically reported, as well as intraocular metastasis of systemic neoplasia. Chemotherapy and radiation therapy are not currently used to treat intraocular neoplasia in horses and need to be further investigated, especially regarding the latest developments in human and small animal medicine. In addition, horses and dogs may serve as models for human oncologic research. Full article
(This article belongs to the Section Anatomy, Histology and Pathology)
Show Figures

Figure 1

12 pages, 10576 KB  
Article
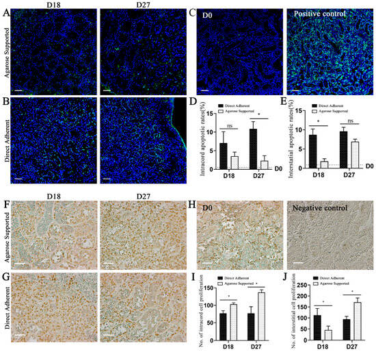
Agarose Gel-Supported Culture of Cryopreserved Calf Testicular Tissues
by Daozhen Jiang, Wenqian Zhu, Rui Yang, Boyang Zhang, Yingshu Pan, Yifei Mao, Yueqi Wang, Yan Zhang, Bo Tang and Xueming Zhang
Vet. Sci. 2025, 12(10), 1005; https://doi.org/10.3390/vetsci12101005 - 17 Oct 2025
Viewed by 949
Abstract
Optimizing the cultivation system is crucial for tissue culture. The culture of cryopreserved testicular tissues is of great importance for the germplasm preservation of endangered animals and especially to ensure high-quality and high-output livestock. In this study, we compared two cultivation systems (Agarose-Supported [...] Read more.
Optimizing the cultivation system is crucial for tissue culture. The culture of cryopreserved testicular tissues is of great importance for the germplasm preservation of endangered animals and especially to ensure high-quality and high-output livestock. In this study, we compared two cultivation systems (Agarose-Supported system and Direct Adherent system) by evaluating their effects on tissue morphology, cell proliferation, apoptosis, gene expression, and endocrine function in cryopreserved testicular tissues from 30-day-old calves. The testicular tissues were cultured for 18 and 27 days with three biological replicates per group, aiming to identify which system better supports tissue preservation, cellular viability, and spermatogenic differentiation. This allowed us to clarify how different cultivation systems influence the structural maintenance and developmental potential of immature bovine testicular tissues. Histological and gene expression analyses revealed that the Agarose-Supported system better preserved the seminiferous cord architecture and supported the development of the seminiferous epithelium compared to the Direct Adherent system. The Agarose system significantly reduced the apoptosis and enhanced the expression of some key genes, including spermatogonial stem cell (SSC) markers (GFRα-1, UCHL1), meiotic marker (SYCP3), mature sperm marker (CRISP1), and testicular somatic cell markers (STAR, SOX9, ACTA2). The Agarose-Supported system also benefited spermatogenic differentiation and testosterone secretion. These findings demonstrate that the Agarose-Supported system facilitates the in vitro development of spermatogenic cells and Leydig cells in post-cryopreserved immature bovine testicular tissues. Full article
(This article belongs to the Special Issue Current Method and Perspective in Animal Reproduction)
Show Figures

Graphical abstract

9 pages, 263 KB  
Article
Pharmacokinetic Comparison of Tylvalosin Tartrate Nanocrystal Suspension and Soluble Powder in Broiler Chickens After Oral and Intravenous Administration
by Ao Lin, Yanzhe Qing, Yani Gu, Jingjie Huang, Xinxin Ma and Jiancheng Li
Vet. Sci. 2025, 12(10), 1004; https://doi.org/10.3390/vetsci12101004 - 17 Oct 2025
Viewed by 1724
Abstract
This study was performed to investigate and compare the pharmacokinetic characteristics of tylvalosin tartrate in broiler chickens following oral administration of a nanocrystal suspension (PO-NM) or a soluble powder formulation (PO-SP), with intravenous administration (IV) of tylvalosin tartrate serving as the reference standard. [...] Read more.
This study was performed to investigate and compare the pharmacokinetic characteristics of tylvalosin tartrate in broiler chickens following oral administration of a nanocrystal suspension (PO-NM) or a soluble powder formulation (PO-SP), with intravenous administration (IV) of tylvalosin tartrate serving as the reference standard. A total of 30 healthy broiler chickens were randomly allocated into three groups (PO-NM, PO-SP, and IV; n = 10). Tylvalosin was administered at a dose of 25 mg/kg body weight (BW), and blood samples were collected at multiple time points from 0 to 24 h post-administration. Plasma concentrations of tylvalosin were quantified using a validated ultra-performance liquid chromatography–tandem mass spectrometry (UPLC-MS/MS) method, and pharmacokinetic parameters were calculated using non-compartmental analysis. The results showed no significant differences in the terminal elimination half-life (t1/2λz) and mean residence time (MRT) between the two oral formulations. However, the time to maximum concentration (Tmax) of PO-NM (0.71 ± 0.09 h) was significantly shorter than that of PO-SP (1.42 ± 0.18 h) (p < 0.05), while the maximum plasma concentration (Cmax) of PO-NM (255.52 ± 111.88 ng/mL) was markedly higher than that of PO-SP (120.45 ± 45.82 ng/mL) (p < 0.05). Furthermore, the absolute bioavailability (F) of PO-NM (15.73 ± 4.29%) showed a modest increase compared with PO-SP (11.45 ± 4.66%); however, this difference did not reach statistical significance. Collectively, these findings demonstrate that the PO-NM formulation achieved faster absorption, higher peak plasma levels, and greater systemic exposure compared with PO-SP, without significantly altering the elimination process. Overall, nanoparticle formulation appears to enhance the oral pharmacokinetic performance of tylvalosin in broiler chickens, potentially reducing residue risks and offering substantial application value in poultry medicine. Full article
Show Figures

Figure 1

11 pages, 3806 KB  
Article
Disopyramide Therapy in Cats with Obstructive Hypertrophic Cardiomyopathy Non-Responsive to Carvedilol
by Shuji Satomi, Ryohei Suzuki, Yunosuke Yuchi, Haruka Kanno, Miyuki Nomura, Takahiro Teshima and Hirotaka Matsumoto
Vet. Sci. 2025, 12(10), 999; https://doi.org/10.3390/vetsci12100999 - 16 Oct 2025
Viewed by 1427
Abstract
Hypertrophic cardiomyopathy (HCM) is the most common cardiomyopathy in cats and is classified as obstructive (HOCM) or non-obstructive based on anatomical differences in the left ventricular outflow tract (LVOT). In severe obstructive cases, while beta-blockers are the recommended initial treatment in humans, some [...] Read more.
Hypertrophic cardiomyopathy (HCM) is the most common cardiomyopathy in cats and is classified as obstructive (HOCM) or non-obstructive based on anatomical differences in the left ventricular outflow tract (LVOT). In severe obstructive cases, while beta-blockers are the recommended initial treatment in humans, some patients exhibit treatment resistance. For these cases, the addition of the antiarrhythmic agent disopyramide is common. However, its use in cats has only been documented in a case report. In this study, the use of disopyramide resulted in a significant reduction in the LVOT velocity and cardiac troponin I levels. Additionally, no significant adverse effects were observed. These findings suggest that disopyramide could be a potential therapeutic option for the treatment in cats with HOCM. Full article
Show Figures

Figure 1

16 pages, 1193 KB  
Article
Classification of Clinical Outcomes in Hospitalized Asian Elephants Using Machine Learning and Survival Analysis: A Retrospective Study (2019–2024)
by Worapong Kosaruk, Veerasak Punyapornwithaya, Pichamon Ueangpaiboon and Taweepoke Angkawanish
Vet. Sci. 2025, 12(10), 998; https://doi.org/10.3390/vetsci12100998 - 16 Oct 2025
Viewed by 1468
Abstract
Captive Asian elephants (Elephas maximus) frequently present to hospitals with complex, multisystemic diseases, yet veterinarians lack objective tools to predict and classify clinical outcomes. Decision-making often relies on experience or anecdote, and few studies have applied data-driven approaches in wildlife medicine. [...] Read more.
Captive Asian elephants (Elephas maximus) frequently present to hospitals with complex, multisystemic diseases, yet veterinarians lack objective tools to predict and classify clinical outcomes. Decision-making often relies on experience or anecdote, and few studies have applied data-driven approaches in wildlife medicine. This study developed a machine learning–based classification model using routinely collected clinical data. A total of 467 medical records from hospitalized elephants at Thailand’s National Elephant Institute (2019–2024) were retrospectively analyzed. Four variables (age, sex, disease group, and length of stay [LOS]) were used to train four classification algorithms: Random Forest, eXtreme Gradient Boosting, Naïve Bayes, and multinomial logistic regression. The Random Forest model achieved the highest classification performance (accuracy = 86.3%; log-loss = 0.374), with disease group, LOS, and age as key predictors. Survival analysis revealed distinct hospitalization trajectories across disease groups: acute conditions like elephant endotheliotropic herpesvirus-hemorrhagic disease and toxicosis showed rapid early declines, whereas dental and renal cases followed more prolonged courses. Our findings demonstrate the preliminary feasibility of outcome classification in elephant care and highlight the potential of clinical data science to improve in-hospital prognostication, monitoring, and treatment planning in zoological and wildlife medicine. Full article
Show Figures

Figure 1

14 pages, 855 KB  
Article
Precursor A-Kinase Anchor Protein 4 as a Predictive Biomarker of Post-Thaw Semen Quality in Goats
by Ahmet Eser, Abdurrahman Alakuş, Kemal Bağcı, Aslıhan Çakır Cihangiroğlu, Selin Yağcıoğlu, Ramazan Arıcı and Kamber Demir
Vet. Sci. 2025, 12(10), 1003; https://doi.org/10.3390/vetsci12101003 - 16 Oct 2025
Cited by 2 | Viewed by 907
Abstract
The evaluation of sperm proteins has emerged as a promising approach to predicting semen quality across animal species. This study investigated the relationship between post-thaw concentrations of precursor A-kinase anchor protein 4 (proAKAP4) and objective sperm quality parameters in goats. Semen was collected [...] Read more.
The evaluation of sperm proteins has emerged as a promising approach to predicting semen quality across animal species. This study investigated the relationship between post-thaw concentrations of precursor A-kinase anchor protein 4 (proAKAP4) and objective sperm quality parameters in goats. Semen was collected from 16 adult goats (Boer, n = 8; Anglo-Nubian, n = 8) and frozen using a standardized protocol with OptiXcell (IMV Technologies, l′Aigle, France) extender (n = 5). After thawing, proAKAP4 concentrations were measured with an enzyme-linked immunosorbent assay (ELISA), while sperm motility and kinematics were assessed with computer-assisted analysis (CASA), and viability, plasma membrane integrity, acrosome integrity, and mitochondrial activity were evaluated using flow cytometry. Samples were grouped according to low, medium, or high proAKAP4 levels for comparison, and correlations with sperm parameters were examined. The results showed that semen with higher proAKAP4 concentrations had significantly greater total and progressive motility, more favorable kinematic values, and improved viability, plasma membrane integrity, and mitochondrial function (p < 0.05), whereas acrosome integrity was not influenced (p > 0.05). The average post-thaw proAKAP4 concentration was 38.66 ± 1.11 ng/106 sperm, and no differences were observed between Boer and Anglo-Nubian breeds (p > 0.05). These findings indicate that proAKAP4 is strongly associated with multiple sperm functional traits and may serve as a reliable biomarker for assessing post-thaw semen quality in goats. Full article
(This article belongs to the Section Veterinary Reproduction and Obstetrics)
Show Figures

Figure 1

13 pages, 424 KB  
Article
Observed Trace Mineral Deficiencies in a Group of Locally Harvested Sheep in Hawai’i
by Shaye N. R. Nishimura, Janae S. Bulosan, Mark S. Thorne, Melelani A. Oshiro, Jenee S. Odani and Caleb C. Reichhardt
Vet. Sci. 2025, 12(10), 1002; https://doi.org/10.3390/vetsci12101002 - 16 Oct 2025
Viewed by 1178
Abstract
Trace minerals (TM) play a critical role in the health and productivity of small ruminants. They are essential for various physiological functions, including growth, reproduction, and immune response, yet research on their status in Hawai’i is notably limited. This study focused on surveying [...] Read more.
Trace minerals (TM) play a critical role in the health and productivity of small ruminants. They are essential for various physiological functions, including growth, reproduction, and immune response, yet research on their status in Hawai’i is notably limited. This study focused on surveying the current trace mineral concentrations of locally raised and harvested sheep to identify common deficiencies and toxicities. Sheep liver (n = 83) and plasma (n = 79) samples were collected over eight months from local harvest facilities and private operations. There was a high percentage of liver samples that were deficient in copper (47%), iron (46%), and cobalt (31%). There was a low percentage of liver samples that were toxic in Mn (11%). Strong positive correlations in plasma zinc and plasma magnesium (r = 0.814, p < 0.0001) and liver molybdenum and liver selenium (r = 0.72, p < 0.0001) were found. With this data, local small ruminant producers will be able to evaluate their nutrition management program. Addressing these gaps is vital for conducting future research studies, improving sheep health, and ensuring the productivity of small ruminant operations in Hawai’i. Full article
Show Figures

Figure 1

15 pages, 970 KB  
Article
Effects of Synchronized Ovulation Protocols on Reproductive Performance of Beef Cattle in Korea: A Retrospective Study of 755 Cases
by Jong-Geol Ha, Tae-Gyun Kim, Sung-Ho Kim, Sang-Yup Lee, Saet-Byul Kim, Seung-Joon Kim and Won-Jae Lee
Vet. Sci. 2025, 12(10), 1001; https://doi.org/10.3390/vetsci12101001 - 16 Oct 2025
Viewed by 1581
Abstract
Reproductive outcomes following synchronized ovulation protocol in beef cattle are influenced by multiple factors, making protocol selection based on farm-specific conditions essential. This retrospective study analyzed the relationship between pregnancy rates and associated factors under the CIDR (GnRH with CIDR insertion–PGF with [...] Read more.
Reproductive outcomes following synchronized ovulation protocol in beef cattle are influenced by multiple factors, making protocol selection based on farm-specific conditions essential. This retrospective study analyzed the relationship between pregnancy rates and associated factors under the CIDR (GnRH with CIDR insertion–PGF with CIDR removal–GnRH), GPG (GnRH–PGF–GnRH), and GPPG (GnRH–PGF–PGF–GnRH) protocols in Hanwoo cattle. The highest pregnancy rate was observed with the CIDR protocol (58.3%), whereas the GPG protocol yielded the lowest (47.5%). The CIDR protocol demonstrated superior suitability compared with the GPG protocol in first service (61.0% vs. 47.0%) and young breeding cattle (parity: 0–2; 61.6–70.0% vs. 47.5–48.6%). The dominant follicle size strongly associated with pregnancy success was 13–16 mm, and the CIDR protocol induced these follicles more frequently than the GPG protocol (50.2% vs. 35.5%). Although interpretive bias may exist from data collected from pregnant animals only, CIDR protocol significantly increased luteinizing hormone levels compared to GPG. The GPPG protocol produced outcomes that were improved relative to the GPG protocol and statistically comparable to the CIDR protocol. These findings addressed the study’s objective, identifying optimal synchronized ovulation strategies and underscoring reproductive management importance for Korean Hanwoo operations. Full article
Show Figures

Figure 1

13 pages, 881 KB  
Article
Assessment of the Relationship Between Bioexclusion Practices Applied in Wean-to-Harvest Sites and PRRS Outbreaks
by Mariah Musskopf, Tina Peterson, Isadora Machado, Thinh Tran Pham Tien, Elly Kirwa, Daniel Carnevale de Almeida Moraes, Guilherme Cezar, Mafalda Mil-Homens, Peng Li, Elisa De Conti, Ana Paula Poeta Silva, Derald J. Holtkamp, Daniel C. L. Linhares and Gustavo S. Silva
Vet. Sci. 2025, 12(10), 1000; https://doi.org/10.3390/vetsci12101000 - 16 Oct 2025
Viewed by 1331
Abstract
Porcine reproductive and respiratory syndrome virus (PRRSV) is a significant cause of economic loss in the swine industry, yet its control remains challenging in wean-to-harvest sites. This prospective observational study followed 95 wean-to-harvest sites across six U.S. states for one production cycle. Sites [...] Read more.
Porcine reproductive and respiratory syndrome virus (PRRSV) is a significant cause of economic loss in the swine industry, yet its control remains challenging in wean-to-harvest sites. This prospective observational study followed 95 wean-to-harvest sites across six U.S. states for one production cycle. Sites were required to be PRRSV-negative or vaccinated with a modified live virus (MLV) and free of major coronaviruses. Outbreaks were defined as RT-qPCR-positive in unvaccinated sites or detection of ORF5 sequences distinct from the MLV strain. Biosecurity data were collected through a survey, and oral fluids were tested every four weeks. PRRS outbreaks occurred in 14/42 nurseries (33.3%), 8/12 wean-to-finish (66.7%), and 35/41 finishers (82.4%), with lineage 1C.5 most frequently detected. In univariate models, higher odds of outbreaks were associated with transporting pigs of unknown status (OR 9.80, 1.73–55.37), rendering (OR 6.47, 1.62–25.84), and employee cohabitation (OR 6.15, 1.51–25.09). Protective factors included exclusive pumping equipment (OR 0.07, 0.01–0.43) and overnight downtime for multi-site workers (OR 0.15, 0.04–0.56). In multivariable models, finisher sites (OR 17.47, 2.44–125.19) and greater swine site density within one mile (OR 1.62, 1.09–2.41) significantly increased outbreak odds. These results support targeted biosecurity practices, helping farmers and the swine industry reduce PRRS outbreaks. Full article
Show Figures

Figure 1

13 pages, 1153 KB  
Article
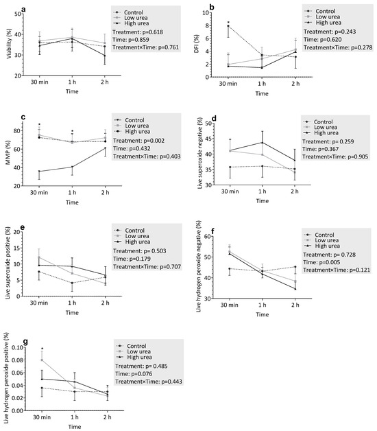
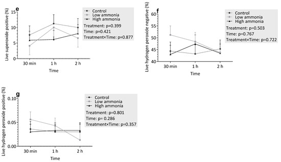
In Vitro Effect of Elevated Ammonia and Urea Levels on Post-Thawed Bull Semen Sperm Characteristics
by Amine Abdelli, Mohamed Besbaci, Ziyad Al-Kass, Mokrane Iguer-Ouada and Jane M. Morrell
Vet. Sci. 2025, 12(10), 997; https://doi.org/10.3390/vetsci12100997 - 15 Oct 2025
Cited by 1 | Viewed by 1138
Abstract
Elevated ammonia and urea, common byproducts of nitrogen metabolism, are increasingly found in dairy cows and may negatively impact reproductive function. However, their effects on bull sperm remain unclear. This study aimed to assess the impact of ammonia and urea at physiologically relevant [...] Read more.
Elevated ammonia and urea, common byproducts of nitrogen metabolism, are increasingly found in dairy cows and may negatively impact reproductive function. However, their effects on bull sperm remain unclear. This study aimed to assess the impact of ammonia and urea at physiologically relevant concentrations on key sperm characteristics. Thawed bull semen was incubated under five treatment conditions: control (no added ammonia or urea), low urea (LU), high urea (HU), low ammonia (LA), and high ammonia (HA). Sperm motility and kinematics were assessed using Computer-Assisted Semen Analysis (CASA), and sperm viability, DNA integrity, mitochondrial membrane potential (MMP), and oxidative stress markers were evaluated using flow cytometry. HA significantly reduced MMP (p = 0.008) and several motility parameters, including progressive motility and velocity (VCL, VSL, ALH), compared to LA and control groups. A decrease in sperm viability was observed in the HA group compared to LA at the beginning of incubation. While HU reduced MMP (p = 0.002), sperm motility was not significantly affected compared to LU. No significant differences were found in DNA fragmentation or oxidative stress biomarkers between groups. These results highlight the impact of ammonia, specifically, on sperm mitochondrial function and motility, which are crucial for successful fertilization. Full article
Show Figures

Graphical abstract

13 pages, 649 KB  
Article
Genomic Selection for Economic Traits in Inner Mongolia Cashmere Goats by Integrating GWAS Prior Information
by Haijiao Xi, Qi Xu, Huanfeng Yao, Zihao Shen, Bohan Zhou, Qi Lv, Jinquan Li, Ruijun Wang, Yanjun Zhang, Rui Su and Zhiying Wang
Vet. Sci. 2025, 12(10), 996; https://doi.org/10.3390/vetsci12100996 - 15 Oct 2025
Viewed by 950
Abstract
The accuracy of genomic selection has a significant impact on the selection of superior individuals in livestock. Studies have reported that integrating GWAS information can improve the accuracy of genomic prediction. In this study, phenotypic data, systematic environmental data, and genotypic data of [...] Read more.
The accuracy of genomic selection has a significant impact on the selection of superior individuals in livestock. Studies have reported that integrating GWAS information can improve the accuracy of genomic prediction. In this study, phenotypic data, systematic environmental data, and genotypic data of important economic traits (cashmere yield, cashmere diameter, body weight, and cashmere length) of Inner Mongolia cashmere goats were utilized. Based on the results of a previous genome-wide association study that considered additive and dominance effects, the top 5%, top 10%, top 15%, and top 20% of loci were extracted as prior marker information. The genomic breeding values for each trait were estimated using the GBLUP–GA method based on GWAS prior information, and the accuracy of genomic prediction was further evaluated using a five-fold cross-validation method. The results showed that the contribution of significant loci to the genetic variance of each trait gradually increased with an increase of the number of integrated loci. The genetic variance contribution rates of significant loci to cashmere yield, cashmere diameter, body weight, and cashmere length were 64–71%, 47–57%, 76–82%, and 66–80%, respectively. The additive heritability estimates for cashmere yield, cashmere diameter, body weight, and cashmere length using GWAS prior information were 0.252–0.266, 0.297–0.580, 0.305–0.330, and 0.107–0.117, respectively. These values were higher than those obtained using the traditional G matrix constructed from all loci, with increases of 0.052–0.066, 0.007–0.29, 0.134–0.159, and 0.015–0.025, respectively. The results of genomic prediction accuracy showed that when 5% of the GWAS prior information was integrated, the highest genomic prediction accuracy was achieved for cashmere yield (0.8156), body weight (0.8361), and cashmere length (0.7571). When 20% of the GWAS prior information was integrated, the genomic prediction accuracy for cashmere diameter was 0.8074, which was significantly higher than that at other levels. Additionally, it was found that the dominance heritability for cashmere diameter, body weight, and cashmere length was very small and could be ignored when integrating GWAS prior information. Therefore, when integrating prior information for genomic selection of these traits, the influence of dominance effects can be disregarded. Full article
Show Figures

Figure 1

13 pages, 1992 KB  
Article
Development and Standardization of Indirect ELISA for African Swine Fever Virus Using Recombinant p30 Protein Produced in Prokaryotic System
by José Luis Cerriteño-Sánchez, José Bryan García-Cambrón, Perla Lucero Zavala-Ocampo, Llilianne Ganges and Julieta Sandra Cuevas-Romero
Vet. Sci. 2025, 12(10), 995; https://doi.org/10.3390/vetsci12100995 - 15 Oct 2025
Cited by 2 | Viewed by 1438
Abstract
African Swine Fever (ASF), caused by the African Swine Fever Virus (ASFV), is a highly contagious hemorrhagic disease with high mortality (≈100%) in pigs and is considered the most devastating disease to date. Given the importance of this disease, we aimed to assess [...] Read more.
African Swine Fever (ASF), caused by the African Swine Fever Virus (ASFV), is a highly contagious hemorrhagic disease with high mortality (≈100%) in pigs and is considered the most devastating disease to date. Given the importance of this disease, we aimed to assess the use of the recombinant p30 protein as the sole antigen for the development of an accurate and precise ELISA test (iELISA) for the virus. The recombinant p30 protein (rp30) was produced in a bacterial expression system using a SUMO-tagged expression vector. Protein expression was confirmed by Western blot analysis and purified using affinity chromatography. Antigenicity was evaluated in CF-1 mice, which demonstrated the ability to generate high levels of specific antibodies. The rp30 showed a sensitivity of 95.6% when used in the development of iELISA, a specificity of 92.3%, and a kappa index (κ) of 0.836. Furthermore, reference sera (OIE-ASF) were used to validate the assays, and the results demonstrated an excellent capacity to detect ASF antibodies using only the rp30 antigen up to a serum dilution of 1:100. The inter- and intra-assay variability coefficients were 4.27% and 4.85%, respectively, demonstrating that the assay was accurate and reproducible, allowing its use in seroepidemiological analyses for ASF surveillance. Full article
(This article belongs to the Special Issue Prevention and Control of Swine Infectious Diseases: 2nd Edition)
Show Figures

Graphical abstract

11 pages, 1900 KB  
Article
Monoplane Simpson’s Method Is Reliable for Left Atrial Volume Assessment in Small Dogs with Myxomatous Mitral Valve Disease
by Minsuk Kim, Minwoong Seo and Chul Park
Vet. Sci. 2025, 12(10), 994; https://doi.org/10.3390/vetsci12100994 - 15 Oct 2025
Viewed by 1607
Abstract
Left atrial enlargement is a key marker of disease progression and prognosis in dogs with myxomatous mitral valve disease. Echocardiographic assessment of left atrial volume provides a more comprehensive measure than linear dimensions, yet different two-dimensional methods may yield variable results. This study [...] Read more.
Left atrial enlargement is a key marker of disease progression and prognosis in dogs with myxomatous mitral valve disease. Echocardiographic assessment of left atrial volume provides a more comprehensive measure than linear dimensions, yet different two-dimensional methods may yield variable results. This study aimed to compare the monoplane Simpson’s method of discs and the biplane area–length method for estimating left atrial volume indexed to body weight in dogs across different stages of disease. Dogs were prospectively evaluated with transthoracic echocardiography, and left atrial volumes were calculated using both techniques. Both indices clearly distinguished dogs with enlarged atria from controls and stage B1 patients. However, the two methods were not interchangeable, regardless of atrial size, as demonstrated by the Bland–Altman analysis. In conclusion, both techniques are clinically useful for assessing left atrial remodeling, but because they are not interchangeable, clinicians should consistently use one method. The monoplane Simpson’s method may be particularly practical for routine clinical application due to its convenience. Full article
Show Figures

Figure 1

22 pages, 1910 KB  
Article
Knowledge, Attitudes, and Practices of Smallholder Dairy Cattle Farmers in Tanzania: A Cross-Sectional Survey on Cattle Infertility
by Athanas Ngou, Richard Laven, Timothy Parkinson, Isaac Kashoma and Daniel Donaghy
Vet. Sci. 2025, 12(10), 993; https://doi.org/10.3390/vetsci12100993 - 15 Oct 2025
Viewed by 1627
Abstract
Infertility is one of the major farming constraints facing smallholder dairy cattle farming in Tanzania. Despite its impact, there is limited information on how farmers understand and manage it. The present study aimed to assess farmers’ knowledge, attitudes and practices related to dairy [...] Read more.
Infertility is one of the major farming constraints facing smallholder dairy cattle farming in Tanzania. Despite its impact, there is limited information on how farmers understand and manage it. The present study aimed to assess farmers’ knowledge, attitudes and practices related to dairy cattle infertility. A cross-sectional survey was conducted using a structured questionnaire involving 301 farmers across six major dairy-farming regions: Tanga, Arusha, Kilimanjaro, Mbeya, Morogoro and Njombe. Overall, 95% of respondents reported encountering infertility on their farms. Farmers were asked to identify signs of infertility from the list of 10 (8 correct and 2 distractors); the median score for correct identification was 7 (range 2–10). The most recognised sign was return to oestrus after insemination (94%). Most farmers correctly identified low milk yield and mastitis as not being signs of infertility. The main reported causes included poor nutrition/housing (93%), livestock diseases (89%), poor record keeping (85%), and poor oestrus detection (83%). Nearly all (98%) viewed infertility as a serious issue, predominantly naming repeat breeding (95%) and failure to produce a calf/year (90%). Management strategies included seeking veterinary services (94%), slaughter (69%), sell to other farmers (23%) and self-treatment (16%). Our findings highlight widespread awareness of infertility while pointing out gaps in management, which reinforces the need for improved farmer education and support services. Full article
Show Figures

Figure 1

16 pages, 5265 KB  
Article
Duck Plague Virus Full-Length UL15 Protein Is a Multifunctional Enzyme Which Not Only Possesses Nuclease Activity but Also Exerts ATPase and DNA-Binding Activity
by Qiao Yang, Guoying Zhou, Jing Yang, Mingshu Wang, Ying Wu, Bin Tian and Anchun Cheng
Vet. Sci. 2025, 12(10), 992; https://doi.org/10.3390/vetsci12100992 - 14 Oct 2025
Viewed by 774
Abstract
The genome of the herpesvirus is a linear double-stranded DNA. The viral genome replicates in the host cell to form a concatemeric DNA, which is then cleaved to produce a unit-length genome. This unit-length genome is packaged into procapsid to produce mature virus [...] Read more.
The genome of the herpesvirus is a linear double-stranded DNA. The viral genome replicates in the host cell to form a concatemeric DNA, which is then cleaved to produce a unit-length genome. This unit-length genome is packaged into procapsid to produce mature virus particles. The terminase large subunit, pUL15, mediates the cleavage and packaging of viral concatemeric genomes. Duck plague virus (DPV) is a member of the α herpesvirus subfamily. Previous studies have demonstrated that the C-terminal region of DPV pUL15 exhibits non-sequence-specific DNA cleavage activity in vitro, but the characteristics of DPV full-length pUL15 remain unclear. In this study, it was determined that the full-length pUL15 exerted non-sequence-specific nuclease activity. Additionally, full-length pUL15 was capable of binding to DNA and hydrolyzing ATP. To analyze the functional domain of DPV pUL15, pUL15 mutants were constructed, expressed, and purified. The results revealed that DNA-binding and ATPase functions of pUL15 were primarily mediated by its N-terminal region, and the nuclease activity was conducted by its C-terminus. The loss of the nuclease activity did not effect on the DNA-binding and ATPase activity. Taken together, this study’s findings demonstrated that DPV pUL15 is a multifunctional enzyme with ATPase, nuclease, and DNA-binding activities. These results will provide important clues for subsequent studies on the function of terminase and the process of viral genome packaging, and provide a foundational basis for the development of broad-spectrum anti-herpesviral drugs targeting the conserved terminase complex, with direct relevance to veterinary medicine. Full article
Show Figures

Figure 1

14 pages, 859 KB  
Article
Post-Vaccination Assessment of Peste Des Petits Ruminants in Sheep and Goats in the United Arab Emirates
by Yassir M. Eltahir, Mervat Mari. Al Nuaimat, Oum Keltoum Bensalah, Ebrahim Osman, Diya S. Al-Ramamneh, Rashid A. Khan, Naema A. Alsuwaidi, Meera Saeed. Mohamed, Kaltham Kayaf, Sameera Ismaeil, Fatmah Yaaqeib, Mahmoud Abdelfatah, Ahmed Tharwat, Mohamed Antar, Mohammed Abd Elmottalib. Kheir, Assem S. Abdelazim, Rafeek Koliyan and Mohamed Moustafa. Abdelhalim
Vet. Sci. 2025, 12(10), 991; https://doi.org/10.3390/vetsci12100991 - 14 Oct 2025
Viewed by 1943
Abstract
Background: Peste des petits ruminants (PPR) is an acute or subacute contagious trans-boundary viral disease causing high morbidity and mortality in domestic and wild small ruminants. The national UAE-PPR control and eradication plan follows the PPR Global Control and Eradication Strategy (PPR GCES) [...] Read more.
Background: Peste des petits ruminants (PPR) is an acute or subacute contagious trans-boundary viral disease causing high morbidity and mortality in domestic and wild small ruminants. The national UAE-PPR control and eradication plan follows the PPR Global Control and Eradication Strategy (PPR GCES) and relies on the annual mass vaccination of small ruminants to eradicate the disease from the country by 2030. Despite the immunization effort against PPR, the vaccination coverage reached 65% at maximum, which necessitates conducting a post-vaccination evaluation (PVE) study at the national level. Methods: Using multistage random sampling to assess the PPR vaccine and vaccination effectiveness, protocol (2) of the PPR GCES, using two serosurveys; serosurvey (1) (pre-vaccination) at day 0 before vaccination, to assess the primary PPR serological investigation, and serosurvey (2) at (30–90) days post-PPR vaccination, to evaluate the immune response, were carried out from September to December 2024 across the seven Emirates of the UAE. The nucleoprotein-based competitive enzyme-linked immunosorbent assay (c-ELISA) was used to detect PPR antibodies in a total of 1592 and 1589 sera samples collected, respectively, before and after vaccination from different (n = 163) sheep and goats holdings (epi-unit) distributed in the different Emirates of the UAE. Results: In serosurvey (1). prior to vaccination, out of the total 1592 samples tested (839 goats and 753 sheep), 833 animals (52.32%) were found to be seropositive for PPR antibodies. In contrast, in serosurvey (2), after vaccination, 1490 (93.77%) animals were found to be seropositive out of the total 1589 small ruminants (825 goats and 764 sheep) tested by c-ELISA. A statistically significant increase (41.45%) in the overall seroprevalence from (52.32%) pre-vaccination to (93.77%) post-vaccination was observed. Post-vaccination, 93.87% (n = 153) of the vaccinated epi-units achieved more than 70% seroprevalence compared to 43.56% (n = 71) before vaccination. Prediction analysis showed that all the seven UAE Emirates require 1.2 years maximum to reach 100% immune-protection levels. Conclusions: An efficient PPR vaccine was used to immunize small ruminants in the UAE. Higher (89.47–100%) post-vaccination herd immunity than the threshold recommended by the PPR GCES (>80% immunity) was attained, which can efficiently break the spread of PPRV within the UAE. To enhance the eradication of PPR I the UAE, conducting mass vaccination campaigns targeting over the (95%) immunization coverage of eligible animals for the next three years is recommended to attain the requested sustained (>80%) immunity at the animals holding level. Full article
(This article belongs to the Section Veterinary Microbiology, Parasitology and Immunology)
Show Figures

Figure 1

16 pages, 1311 KB  
Article
Associations Between Milk Composition, Blood Metabolomics, and Systemic Physiological Indices in High- vs. Low-Yielding Guanzhong Dairy Goats During Early Lactation
by Ziqi Meng, Chenxi Fang, Qinan Zhao, Lei Yang, Hai Jin, Jingwei Qi and Xiaoping An
Vet. Sci. 2025, 12(10), 990; https://doi.org/10.3390/vetsci12100990 - 14 Oct 2025
Viewed by 960
Abstract
This study aimed to elucidate the intrinsic regulatory mechanisms by comparing milk quality, blood metabolomics, and physiological indices between high-yielding (BH, n = 15, high milk yield, daily milk yield with 4.08 ± 0.17 kg) and low-yielding (BL, n = 15, low milk [...] Read more.
This study aimed to elucidate the intrinsic regulatory mechanisms by comparing milk quality, blood metabolomics, and physiological indices between high-yielding (BH, n = 15, high milk yield, daily milk yield with 4.08 ± 0.17 kg) and low-yielding (BL, n = 15, low milk yield, daily milk yield with 2.54 ± 0.26 kg) Guanzhong dairy goats during early lactation. The results showed that the lactose content in the BH group was significantly lower than that in the BL group (p < 0.05), but the total daily lactose yield was 60 g higher. No significant differences were observed in milk fat or milk protein (p > 0.05). Among blood biochemical indices, total protein (TP), glucose (GLU), and alkaline phosphatase (ALP) were significantly lower in the BH group (p < 0.05), while β-hydroxybutyrate (BHBA) was significantly higher (p < 0.05). Milk yield exhibited a highly significant negative correlation with TP and creatinine (CRE). Regarding immune and antioxidant indices, catalase (CAT), glutathione peroxidase (GSH-Px), IgM, and IL-2 were significantly elevated in the BH group (p < 0.05), while IL-6 was significantly reduced (p < 0.05). CAT and IL-2 showed positive correlations with milk yield. Using a subset of animals for in-depth profiling (n = 6 per group)Serum metabolomics identified 184 differential metabolites (114 upregulated, 70 downregulated). In the BH group, betaine, acylcarnitines, and L-valine exhibited significant negative correlations with milk yield, implicating pathways related to fatty acid -oxidation, methyl donor regulation, and amino acid metabolism. These findings indicate that high-yielding dairy goats achieve efficient lactation through enhanced fatty acid β-oxidation, optimized methyl donor regulation for milk fat synthesis, and prioritized allocation of amino acids towards the mammary gland. Full article
Show Figures

Figure 1

Previous Issue
Next Issue
Back to TopTop