Comparison of Imaging Methods and Population Pattern in Dogs with Spinal Diseases in Three Periods between 2005 and 2022: A Retrospective Study
Abstract
:Simple Summary
Abstract
1. Introduction
2. Materials and Methods
2.1. Imaging Protocols
2.2. Data Collection
3. Results
3.1. Gender, Age, Body Weight, Breed
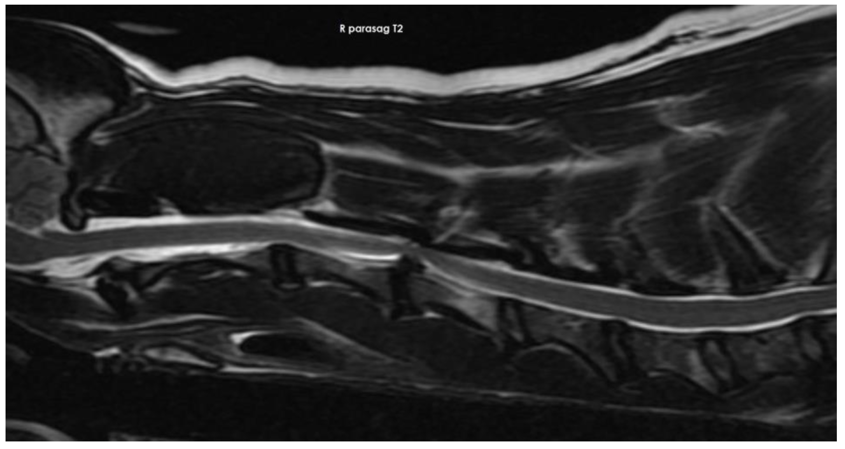
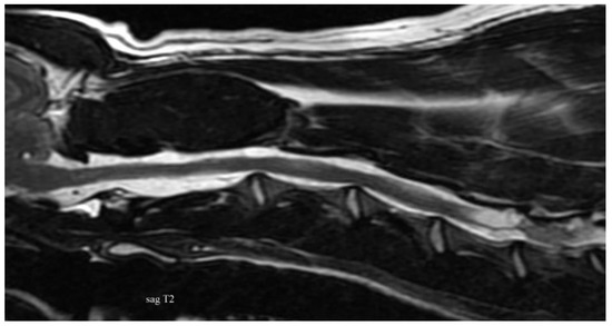
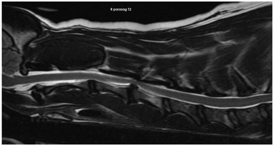
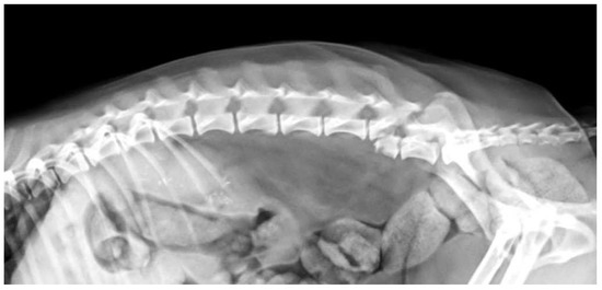
3.2. Diagnostic Imaging
3.3. Neuroanatomic Localization
3.4. Therapy
3.5. Seasonal Occurrence
4. Discussion
5. Conclusions
Author Contributions
Funding
Institutional Review Board Statement
Informed Consent Statement
Data Availability Statement
Acknowledgments
Conflicts of Interest
References
- Halati, N.F.; Vajhi, A.; Molazem, M.; Dehghan, M.M.; Ansari, F. Are magnetic resonance imaging or radiographic findings correlated with clinical prognosis in spinal cord neuropathy? Vet. Res. Forum 2016, 7, 261–266. [Google Scholar]
- Dewey, W.C.; Fossum, W.T. Neurodiagnostic overview for the small animal surgeon. In Small Animal Surgery, 5th ed.; Fossum, W.T., Duprey, L.P., Eds.; Elsevier: Philadhelpia, PA, USA, 2019; ISBN 9780323443449. [Google Scholar]
- Gonçalves, R.; De Decker, S.; Walmsley, G.; Butterfield, S.; Maddox, T.W. Inflammatory Disease Affecting the Central Nervous System in Dogs: A Retrospective Study in England (2010–2019). Front. Vet. Sci. 2022, 8, 819945. [Google Scholar] [CrossRef] [PubMed]
- Freeman, J.W.; McGlashan, N.D.; Loughhead, M.G. Temperature and the incidence of acute myocardial infarction in a temperate climate. Am. Heart J. 1976, 92, 405–407. [Google Scholar] [CrossRef] [PubMed]
- Al-Dabbagh, T.Q.; Fahadi, K. Seasonal variations in the incidence of ureteric colic. Br. J. Urol. 1977, 49, 269–275. [Google Scholar] [CrossRef]
- Fujita, K. Weather and the incidence of urinary stone colic. Jpn. J. Nephrol. 1987, 29, 1123–1127. [Google Scholar] [CrossRef]
- Packer, R.M.; Seath, I.J.; O’Neill, D.G.; De Decker, S.; Volk, H.A. DachsLife 2015: An investigation of lifestyle associations with the risk of intervertebral disc disease in Dachshunds. Can. Genet. Epidemiol. 2016, 3, 8. [Google Scholar] [CrossRef]
- Barandun, M.A.; Bult, S.; Demierre, S.; Vidondo, B.; Forterre, F. Colder Ambient Temperatures Influence Acute Onset Canine Intervertebral Disc Extrusion. Front. Vet. Sci. 2020, 7, 175. [Google Scholar] [CrossRef]
- Vitale, C.L.; Coates, J.R. Acute spinal cord injury. Stand. Care 2007, 9, 1–11. [Google Scholar]
- Nečas, A.; Toombs, J.P.; Chaloupka, R. Nemoci Krční Páteře; VFU Brno: Brno, Czech Republic, 2004. [Google Scholar]
- De Risio, L.; Adams, V.; Dennis, R.; McConnell, F.; Platt, S.R. Magnetic resonance imaging findings and clinical associations in 52 dogs with suspected ischemic myelopathy. J. Vet. Intern. Med. 2007, 21, 1290–1298. [Google Scholar] [CrossRef]
- Levine, J.M.; Fosgate, G.T.; Chen, A.V.; Rushing, R.; Nghiem, P.P.; Platt, S.R.; Bagley, R.S.; Kent, M.; Hicks, D.G.; Young, B.D.; et al. Magnetic resonance imaging in dogs with neurologic impairment due to acute thoracic and lumbar intervertebral disk herniation. J. Vet. Intern. Med. 2009, 23, 1220–1226. [Google Scholar] [CrossRef]
- Park, E.H.; White, G.A.; Tieber, L.M. Mechanisms of injury and emergency care of acute spinal cord injury in dogs and cats. J. Vet. Emerg. Crit. Care 2012, 22, 160–178. [Google Scholar] [CrossRef] [PubMed]
- Cooper, J.J.; Young, B.D.; Griffin, I.V.J.F.; Fosgate, G.T.; Levine, J.M. Comparison between noncontrast computed tomography and magnetic resonance imaging for detection and characterization of thoracolumbar myelopathy caused by intervertebral disk herniation in dogs. Vet. Radiol. Ultrasound 2014, 55, 182–189. [Google Scholar] [CrossRef]
- De Risio, L.; Adams, V.; Dennis, R.; McConnell, F.J.; Platt, S.R. Association of clinical and magnetic resonance imaging findings with outcome in dogs suspected to have ischemic myelopathy: 50 cases (2000–2006). J. Am. Vet. Med. Assoc. 2008, 233, 129–135. [Google Scholar] [CrossRef] [PubMed]
- Nakamoto, Y.; Ozawa, T.; Katakabe, K.; Nishiya, K.; Yasuda, N.; Mashita, T.; Nakaichi, M. Fibrocartilaginous embolism of the spinal cord diagnosed by characteristic clinical findings and magnetic resonance imaging in 26 dogs. J. Vet. Med. Sci. 2009, 71, 171–176. [Google Scholar] [CrossRef]
- Griffin, J.F.; Davis, M.C.; Ji, J.X.; Cohen, N.D.; Young, B.D.; Levine, J.M. Quantitative magnetic resonance imaging in a naturally occurring canine model of spinal cord injury. Spinal Cord 2015, 53, 278–284. [Google Scholar] [CrossRef] [PubMed]
- Lewis, M.J.; Cohen, E.B.; Olby, N.J. Magnetic resonance imaging features of dogs with incomplete recovery after acute, severe spinal cord injury. Spinal Cord 2018, 56, 133. [Google Scholar] [CrossRef] [PubMed]
- Platt, S.R.; Olby, N.J. BSAVA Manual of Canine and Feline Neurology, 3rd, ed.; BSAVA: Gloucester, UK, 2004; ISBN 0 905214 74 9. [Google Scholar]
- Egenvall, A.; Bonnett, B.N.; Olson, P.; Hedhammar, A. Gender, age and breed pattern of diagnosis for veterinary care in insured dogs in Sweden during 1996. Vet. Rec. 2000, 146, 551–557. [Google Scholar] [CrossRef] [PubMed]
- Barone, G.; Ziemer, L.S.; Sofer, F.S.; Steinberg, S.A. Risk factors associated with development of seizures after use of iohexol for myelography in dogs: 182 cases (1998). J. Am. Vet. Med. Assoc. 2002, 220, 1499–1502. [Google Scholar] [CrossRef]
- Harkin, K.R.; Andrews, G.A.; Nietfeld, J.C. Dysautonomia in dogs: 65 cases (1993–2000). J. Am. Vet. Med. Assoc. 2002, 220, 633–639. [Google Scholar] [CrossRef]
- Tobias, K.M.; Rohrbach, B.W. Association of breed with the diagnosis of congenital portosystemic shunts in dogs: 2400 cases (1980–2002). J. Am. Vet. Med. Assoc. 2003, 223, 1636–1639. [Google Scholar] [CrossRef]
- Brisson, B.A.; Moffatt, S.L.; Swayne, S.L.; Parent, J.M. Recurrence of thoracolumbar intervertebral disk extrusion in chondrodystrophic dogs after surgical decompression with or without prophylactic fenestration: 265 cases, (1995–1999). J. Am. Vet. Med. Assoc. 2004, 224, 1808–1814. [Google Scholar] [CrossRef]
- Mayhew, P.D.; Mclear, R.C.; Ziemer, L.S.; Culp, W.T.; Russeli, K.N.; Shofer, F.S.; Kapatkin, A.S.; Smith, G.K. Risk factors for recurrence of clinical signs associated with thoracolumbar intervertebral disk herniation in dogs: 229 cases (1994–2000). J. Am. Vet. Med. Assoc. 2004, 225, 1231–1236. [Google Scholar] [CrossRef] [PubMed]
- Guptill, L.; Glickman, L.; Glickman, N. Time trends and risk factors for diabetes mellitus in dogs: Analysis of veterinary medical data base records (1970–1999). Vet. J. 2003, 165, 240–247. [Google Scholar] [CrossRef]
- Shelton, G.D.; Schule, A.; Kass, P.H. Risk factors for acquired myasthenia gravis in dogs: 1154 cases (1991–1995). J. Am. Vet. Med. Assoc. 1997, 211, 1428–1431. [Google Scholar]
- Moore, G.E.; Burkman, K.D.; Carter, M.N.; Peterson, M.R. Causes of death or reasons for euthanasia in military working dogs: 927 cases (1993–1996). J. Am. Vet. Med. Assoc. 2001, 219, 209–214. [Google Scholar] [CrossRef] [PubMed]
- Fleuhmann, G.; Dohher, M.G.; Jaggy, A. Canine neurological disease in a referral hospital population between 1989 and 200 in Switzerland. J. Small Anim. Pract. 2006, 47, 582–587. [Google Scholar] [CrossRef]
- Mayousse, V.; Desquilbet, L.; Jeandel, A.; Blot, S. Prevalence of neurological disorders in French bulldog: A retrospective study of 343 cases (2002–2016). Vet. Res. 2017, 13, 212. [Google Scholar] [CrossRef] [PubMed]
- Lewis, M.J.; Jeffery, N.D.; Olby, N.J. Canine Spinal Cord Injury Consortium (CANSORT-SCI). Ambulation in Dogs with Absent Pain Perception after Acute Thoracolumbar Spinal Cord Injury. Front. Vet. Sci. 2020, 7, 560. [Google Scholar] [CrossRef]
- Witsberger, T.H.; Levine, J.M.; Fosgate, G.T.; Slater, M.R.; Kerwin, S.C.; Russell, K.E.; Levine, G.J. Associations between cerebrospinal fluid biomarkers and long-term neurologic outcome in dogs with acute intervertebral disk herniation). J. Am. Vet. Med. Assoc. 2012, 240, 555–562. [Google Scholar] [CrossRef]
- Havig, M.E.; Cornell, K.K.; Hawthorne, J.C.; McDonnell, J.J.; Selcer, B.A. Evaluation of nonsurgical treatment of atlantoaxial subluxation in dogs: 19 cases (1992–2001). J. Am. Vet. Med. Assoc. 2005, 227, 257–262. [Google Scholar] [CrossRef]
- Da Costa, R.C.; Parent, J.M.; Holmberg, D.L.; Sinclair, D.; Monteith, G. Outcome of medical and surgical treatment in dogs with cervical spondylomyelopathy: 104 cases (1988–2004). J. Am. Vet. Med. Assoc. 2008, 233, 1284–1290. [Google Scholar] [CrossRef]
- Martin, S.; Liebel, F.X.; Fadda, A.; Lazzerini, K.; Harcourt-Brown, T. Same-day surgery may reduce the risk of losing pain perception in dogs with thoracolumbar disc extrusion. J. Small Anim. Pract. 2020, 61, 442–448. [Google Scholar] [CrossRef]
- McKee, W.M. Spinal trauma in dogs and cats: A review of 51 cases. Vet. Rec. 1990, 126, 285–289. [Google Scholar]
- Coates, J.R. Intervertebral disk disease. Vet. Clin. N. Am. Small Anim. Pract. 2000, 30, 77–110. [Google Scholar] [CrossRef] [PubMed]
- Okwerekwu, G.; Brooks, F.; Spolton-Dean, C.; Khurana, A.; Manoj-Thomas, A.; Cordell-Smith, J. Is there a seasonal variation of acute admissions for back pain. Spine J. 2015, 15, S76. [Google Scholar] [CrossRef]
- Schulz, K.S.; Walker, M.; Moon, M.; Waldron, D.; Slater, M.; McDonald, D.E. Correlation of clinical, radiographic, and surgical localization of intervertebral disc extrusion in small-breed dogs: A prospective study of 50 cases. Vet. Surg. 1998, 27, 105–111. [Google Scholar] [CrossRef] [PubMed]
- Griffin, J.; Levine, J.; Kerwin, S. Canine thoracolumbar intervertebral disk disease: Pathophysiology, neurologic examination, and emergency medical therapy. Comp. Cont. Educ. Pract. 2009, 31, 1–12. [Google Scholar]
- Sukhiani, H.R.; Parent, J.M.; Atilola, M.A.; Holmberg, D.L. Intervertebral disk disease in dogs with signs of back pain alone: 25 cases (1986–1993). J. Am. Vet. Med. Assoc. 1996, 209, 1275–1279. [Google Scholar]
- Besalti, O.; Ozak, A.; Pekcan, Z.; Tong, S.; Eminaga, S.; Tacal, T. The role of extruded disk material in thoracolumbar intervertebral disk disease: A retrospective study in 40 dogs. Can. Vet. J. 2005, 46, 814. [Google Scholar]
- Penning, V.; Platt, S.R.; Dennis, R.; Capello, R.; Adams, V. Association of spinal cord compression seen on magnetic resonance imaging with clinical outcome in 67 dogs with thoracolumbar intervertebral disc extrusion. J. Small Anim. Pract. 2006, 47, 644–650. [Google Scholar] [CrossRef]
- Carroll, G.L.; Keene, B.W.; Forrest, L.J. Asystole associated with iohexol myelography in dog. Vet. Radiol. Ultrasound 1997, 38, 284–287. [Google Scholar] [CrossRef] [PubMed]
- Mirvis, S.E.; Geisler, F.H.; Jelinek, J.J.; Joslyn, J.N.; Gellad, F. Acute cervical spine trauma: Evaluation with 1.5-T MR imaging. Radiology 1988, 166, 807–816. [Google Scholar] [CrossRef]
- Filho, J.G.P.; Selmi, A.L. Retrospective study of thoracolumbar ventral fenestration through intercostal thoracotomy and paracostal laparotomy in the dog. Braz. J. Vet. Res. Anim. Sci. 1999, 36, 223–227. [Google Scholar] [CrossRef]
- Priester, W.A. Canine intervertebral disc disease—Occurrence by age, breed, and sex among 8117 cases. Theriogenology 1976, 6, 293–303. [Google Scholar] [CrossRef]
- Goggin, J.E.; Li, A.S.; Franti, C.E. Canine intervertebral disk disease: Characterization by age, sex, breed, and anatomic site of involvement. Am. J. Vet. Res. 1970, 31, 1687–1692. [Google Scholar]
- Hoerlein, B.F. Comparative disk disease: Man and dog. J. Am. Anim. Hosp. Assoc. 1979, 15, 535–545. [Google Scholar]
- Verheijen, J.; Bouw, J. Canine intervertebral disc disease: A review of etiologic and predisposing factors. Vet. Q. 1982, 4, 125–134. [Google Scholar] [CrossRef] [PubMed]
- Nečas, A. Clinical aspects of surgical treatment of thoracolumbar disc extrusion in dogs. A retrospective study of 300 cases. Acta Vet. Brno 1999, 68, 121–130. [Google Scholar] [CrossRef]
- De Lahunta, A. Small animal spinal cord diseases. In Veterinary Neuroanatomy and Clinical Neurology, 2nd ed.; W.B. Saunders: Philadelphia, PA, USA, 1983. [Google Scholar]
- Jensen, V.F.; Arnbjerg, J. Development of intervertebral disk calcification in the dachshund: A prospective longitudinal study. J. Am. Anim. Hosp. Assoc. 2001, 37, 274–282. [Google Scholar] [CrossRef]
- Dallman, M.F.; Akana, S.F.; Scribner, K.A.; Bradbury, M.J.; Walker, C.D.; Strack, A.M.; Cascio, C.S. Stress, Feedback and Facilitation in the Hypothalamo-Pituitary-Adrenal Axis. J. Neuroendocrinol. 1992, 4, 517–526. [Google Scholar] [CrossRef] [PubMed]
- Cudia, S.P.; Duval, J.M. Thoracolumbar intervertebral disk disease in large, nonchondrodystrophic dogs: A retrospective study. J. Am. Anim. Hosp. Assoc. 1997, 33, 456–460. [Google Scholar] [CrossRef]
- Hoerlein, B.F. The Status of the Various Intervertebral Disc Surgeries for the Dog in 1978. J. Am. Anim. Hosp. Assoc. 1978, 14, 563–570. [Google Scholar]
- Toombs, J.P.; Bauer, M.S.; Slatter, D. Intervertebral Disc Disease. In Textbook of Small Animal Surgery, 2nd ed.; W.B. Saunders: Philadelphia, PA, USA, 1993; pp. 1070–1087. [Google Scholar]
- Hopkins, N. Pedigree dog welfare: Whose responsibility? Vet. Nurs. J. 2015, 30, 108–110. [Google Scholar] [CrossRef]
- Morris, A. Animal Welfare: Whose responsibility? Vet. Rec. 2009, 164, 705–707. [Google Scholar] [CrossRef]
- Thompson, P.C.; Wilson, B.J.; Wade, C.M.; Shariflou, M.R.; James, J.W.; Tammen, I.; Raadsma, H.W.; Nicholas, F.W. The utility of estimated breeding values for inherited disorders of dogs. Vet. J. 2010, 183, 243–244. [Google Scholar] [CrossRef] [PubMed]
- Guevar, J.; Penderis, J.; Faller, K.; Yeamans, C.; Stalin, C.; Gutierrez-Quintana, R. Computer-assisted radiographic calculation of spinal curvature in brachycephalic “screw-tailed” dog breeds with congenital thoracic vertebral malformations: Reliability and clinical evaluation. PLoS ONE 2014, 9, e106957. [Google Scholar] [CrossRef]
- Lorenz, M.D.; Kornegay, J.N. Confirming a diagnosis. In Handbook of Veterinary Neurology, 4th ed.; Saunders: St. Louis, MO, USA, 2004. [Google Scholar]
- Toombs, J.P.; Waters, D.J. Intervertebral disc disease. In Textbook of Small Animal Surgery; Slatter, D., Ed.; Elsevier, Science: Amsterdam, The Netherlands, 2003; Volume 1, ISBN 0721686079. [Google Scholar]
- Hansen, H.J. A pathologic-anatomical study on disk degeneration in the dog, with special reference to the so-called enchondrosisintervertebralis. Acta Orthop. Scand. Suppl. 1952, 11, 1–117. [Google Scholar] [CrossRef] [PubMed]
- Braund, K.G.; Taylor, T.K.F.; Ghosh, P.; Sherwood, A.A. Spinal mobility in the dog. A study in chondrodystrophoid and non-chondrodystrophoid animals. Res. Vet. Sci. 1997, 22, 78–82. [Google Scholar] [CrossRef]
- Ferreira, A.J.A.; Correia, J.H.D.; Jaggy, A. Thoracolumbar disc disease in 71 paraplegic dogs: Influence of rate of onset and duration of clinical signs on treatment results. J. Small Anim. Pract. 2002, 43, 158–163. [Google Scholar] [CrossRef]
- Levine, J.M.; Levine, G.J.; Kerwin, S.C.; Hettlich, B.F.; Fosgate, G.T. Association between various physical factors and acute thoracolumbar intervertebral disk extrusion or protrusion in dachshunds. J. Am. Vet. Med. Assoc. 2006, 229, 370–375. [Google Scholar] [CrossRef]
- Fenn, J.; Olby, N.J. Canine Spinal Cord Injury Consortium (CANSORT-SCI). Classification of Intervertebral Disc Disease. Front. Vet. Sci. 2020, 7, 579025. [Google Scholar] [CrossRef]
- Meij, B. Cervical and thoracolumbar disc disease: Diagnosis and treatment. In Proceedings of the 30th Congress of the World Small Animal Veterinary Association, Mexico City, Mexico, 11–14 May 2005. [Google Scholar]
- Forterre, F.; Konar, M.; Tomek, A.; Doherr, M.; Howard, J.; Spreng, D.; Vandevelde, M.; Jaggy, A. Accuracy of the withdrawal reflex for localization of the site of cervical disk herniation in dogs: 35 cases (2004–2007). J. Am. Vet. Med. Assoc. 2008, 232, 559. [Google Scholar] [CrossRef] [PubMed]
- Tu, J.; Vargas Castilo, J.; Das, A.; Diwan, A.D. Degenerative Cervical Myelopathy: Insights into Its Pathobiology and Molecular Mechanisms. J. Clin. Med. 2021, 10, 1214. [Google Scholar] [CrossRef] [PubMed]
- De Decker, S.; Wawrzenski, L.A.; Volk, H.A. Clinical signs and outcome of dogs treated medically for degenerative lumbosacral stenosis: 98 cases (2004–2012). J. Am. Vet. Med. Assoc. 2014, 245, 408–413. [Google Scholar] [CrossRef]
- Nessler, J.; Flieshardt, C.; Tünsmeyer, J.; Dening, R.; Tipold, A. Comparison of surgical and conservative treatment of hydrated nucleus pulposus extrusion in dogs. J. Vet. Intern. Med. 2018, 32, 1989–1995. [Google Scholar] [CrossRef] [PubMed]
- Millis, D.L. Veterinary rehabilitation of spinal cord trauma conservative and surgical therapies. In Proceedings of the 2nd VEPRA Conference, Warsaw, Poland, 17–18 September 2011. [Google Scholar]
- Bagley, R.S. Diseases of the spine: Surgical considerations in the management of spinal disease. In Proceedings of the SCIVAC Congress, Rimini, Italy, 1–3 June 2007; pp. 51–55. [Google Scholar]
- Aikawa, T.; Fujita, H.; Kanazono, S.; Shibata, M.; Yoshigae, Y. Long-term neurologic outcome of hemilaminectomy and disk fenestration for treatment of dogs with thoracolumbar intervertebral disk herniation: 831 cases (2000–2007). J. Am. Vet. Med. Assoc. 2012, 241, 1617–1626. [Google Scholar] [CrossRef] [PubMed]
- Furlan, J.C.; Noonan, V.; Cadotte, D.W.; Fehlings, M.G. Timing of decompressive surgery of spinal cord after traumatic spinal cord injury: An evidence-based examination of pre-clinical and clinical studies. J. Neurotrauma 2011, 28, 1371–1399. [Google Scholar] [CrossRef]
- VanMiddendorp, J.J. Letter to the editor regarding: Early versus delayed decompression for traumatic cervical spinal cord injury: Results of the Surgical Timing in Acute Spinal Cord Injury Study (STASCIS). Spine J. 2012, 12, 540. [Google Scholar] [CrossRef]
- Siddiqui, A.M.; Khazaei, M.; Fehlings, M.G. Translating mechanisms of neuroprotection, regeneration, and repair to treatment of spinal cord injury. Prog. Brain Res. 2015, 218, 15–54. [Google Scholar] [CrossRef]
- Fehlings, M.G.; Ibrahim, A.; Tetreault, L.; Albanese, V.; Alvarado, M.; Arnold, P.; Kale, S. A global perspective on the outcomes of surgical decompression in patients with cervical spondylotic myelopathy. Spine 2015, 40, 1322–1328. [Google Scholar] [CrossRef]
- Hermansen, J.; Kuricová, M.; Lipták, T. Intervertebral Disc Disease in Dogs—The Relationship between Recovery and Timing of Surgery. Folia Vet. 2022, 66, 54–59. [Google Scholar] [CrossRef]
- Scott, H.W. Hemilaminectomy for the treatment of thoracolumbar disc disease in the dog: A follow up study of 40 cases. J. Small Anim. Pract. 1997, 38, 488–494. [Google Scholar] [CrossRef] [PubMed]
- Olby, N.J.; Levine, J.; Harris, T. Long term functional outcome of dogs with severe injuries of the thoracolumbar spinal cord: 87 cases (1996–2001). J. Am. Vet. Med. Assoc. 2003, 222, 762–769. [Google Scholar] [CrossRef] [PubMed]
- Olby, N.J.; da Costa, R.C.; Levine, J.M.; Stein, V.M. Canine Spinal Cord Injury Consortium (CANSORT SCI). Prognostic Factors in Canine Acute Intervertebral Disc Disease. Front. Vet. Sci. 2020, 7, 596059. [Google Scholar] [CrossRef] [PubMed]
- Ito, D.; Matsunaga, S.; Jeffery, N.D.; Sasaki, N.; Nishimura, R.; Mochizuki, M.; Kasahara, M.; Fujiwara, R.; Ogawa, H. Prognostic value of magnetic resonance imaging in dogs with paraplegia caused by thoracolumbar intervertebral disk extrusion: 77 cases (2000–2003). J. Am. Vet. Med. Assoc. 2005, 227, 1454–1460. [Google Scholar] [CrossRef] [PubMed]









| 2005–2014 (n = 597) | 2015–2018 (n = 204) | 2019–2022 (n = 197) | |
|---|---|---|---|
| Females/Males (Spayed/Castrated) | 252/345 (191/242) | 119/85 (81/63) | 103/94 (72/52) |
| Age (months) Median (IQR) Min–Max | 86 a 6–192 | 75 ac 7–169 | 88 c 10–158 |
| Body weight (kg) Mean ± SD Min–Max | 23.6 ± 14.02 ab 4.1–52.8 | 14.5 ± 12.02 a 4.7–38.9 | 17.5 ± 16.61 b 3.2–58.2 |
| Most Affected Breeds | 2005–2014 (n = 597) | Most Affected Breeds | 2015–2018 (n = 204) | Most Affected Breeds | 2019–2022 (n = 197) |
|---|---|---|---|---|---|
| German Shepherd Dogs | 125 (20.9%) | Dachshunds | 35 (17.1%) | French Bulldogs | 34 (17.2%) |
| Dachshunds | 85 (14.2%) | German Shepherd Dogs | 30 (14.7%) | Yorkshire terriers | 24 (12.1%) |
| Mixed-breed dogs | 76 (12.7%) | Mixed-breed dogs | 28 (13.7%) | Dachshunds | 23 (11.6%) |
| Cocker Spaniels | 42 (7%) | Cocker Spaniels | 18 (8.8%) | Mixed-breed dogs | 22 (11.1%) |
| Other breeds [number of different breeds] | 296 (45%) [12] | Other breeds [number of different breeds] | 93 (45.6%) [9] | Other breeds [number of different breeds] | 94 (48%) [16] |
| Spinal Segment | 2005–2014 (n = 597) | Most Affected Breed | 2015–2018 (n = 204) | Most Affected Breed | 2019–2022 (n = 197) | Most Affected Breed |
|---|---|---|---|---|---|---|
| C1-C5 | 46 (7.8%) | Jack Russel Terrier (16) | 13 (6.3%) | Chihuahua (4) | 49 (24.8%) | Yorkshire terrier (22) |
| C6-T2 | 14 (2.2%) | Pinscher (5) | 8 (4%) | Lhasa Apso (3) | 12 (6.2%) | Dachshund (3) |
| T3-L3 | 411 (68.8%) | Dachshund (56) | 98 (48%) | Dachshund (28) | 103 (52.3%) | French Bulldog (28) |
| L4-S3 | 126 (21.2%) | German Shepherd Dog (48) | 83 (40.7%) | German Shepherd Dog (40) | 33 (16.7%) | German Shepherd Dog (19) |
| Differential Diagnosis | Percentage of Affected Dogs | Diagnosis | Percentage of Diagnosis Gained with X-ray ± Myelography | Percentage of Diagnosis Gained with MRI |
|---|---|---|---|---|
| Vascular | 5 | Fibrocartilaginous thromboembolism | 100 | |
| Spinal cord haemorrhage | 100 | |||
| Inflammatory/infectious | 12 | Discospondylitis | 80 | 20 |
| Steroid responsive meningitis arteritis | 100 | |||
| Granulomatous meningoencephalomyelitis | 100 | |||
| Toxoplasmosis | 100 | |||
| Spinal empyema | 25 | 75 | ||
| Osteomyelitis of vertebrae | 80 | 20 | ||
| Traumatic | 15 | Fractures | 80 | 20 |
| Atlantoaxial subluxation | 70 | 30 | ||
| Intervertebral disc extrusion | 60 | 40 | ||
| Subdural/intraspinal haemorrhage | 100 | |||
| Anomalous | 8 | Subarachnoid diverticula | 100 | |
| Atlantoaxial subluxation | 90 | 10 | ||
| Syringohydromyelia | 100 | |||
| Hemivertebrae | 100 | |||
| Metabolic/toxic | 7 | Thiamin deficiency | 100 | |
| Copper deficiency | 100 | |||
| Organophosphate poisoning | 100 | |||
| Idiopathic | 5 | Diffuse idiopathic skeletal hyperostosis | 100 | |
| Neoplastic | 8 | Tumour of the vertebrae | 80 | 20 |
| Lymphoma | 100 | |||
| Hemangiosarcoma | 100 | |||
| Degenerative | 40 | Intervertebral disc degeneration | 40 | 60 |
| Degenerative myelopathy | 100 | |||
| Degenerative lumbosacral stenosis | 80 | 20 | ||
| Caudal cervical spondylomyelopathy | 40 | 60 | ||
| Spondylosis deformans | 100 | |||
| Osteoarthritis of facet joints | 35 | 65 |
Disclaimer/Publisher’s Note: The statements, opinions and data contained in all publications are solely those of the individual author(s) and contributor(s) and not of MDPI and/or the editor(s). MDPI and/or the editor(s) disclaim responsibility for any injury to people or property resulting from any ideas, methods, instructions or products referred to in the content. |
© 2023 by the authors. Licensee MDPI, Basel, Switzerland. This article is an open access article distributed under the terms and conditions of the Creative Commons Attribution (CC BY) license (https://creativecommons.org/licenses/by/4.0/).
Share and Cite
Fuchs, J.; Domaniža, M.; Kuricová, M.; Lipták, T.; Ledecký, V. Comparison of Imaging Methods and Population Pattern in Dogs with Spinal Diseases in Three Periods between 2005 and 2022: A Retrospective Study. Vet. Sci. 2023, 10, 359. https://doi.org/10.3390/vetsci10050359
Fuchs J, Domaniža M, Kuricová M, Lipták T, Ledecký V. Comparison of Imaging Methods and Population Pattern in Dogs with Spinal Diseases in Three Periods between 2005 and 2022: A Retrospective Study. Veterinary Sciences. 2023; 10(5):359. https://doi.org/10.3390/vetsci10050359
Chicago/Turabian StyleFuchs, Jakub, Michal Domaniža, Mária Kuricová, Tomáš Lipták, and Valent Ledecký. 2023. "Comparison of Imaging Methods and Population Pattern in Dogs with Spinal Diseases in Three Periods between 2005 and 2022: A Retrospective Study" Veterinary Sciences 10, no. 5: 359. https://doi.org/10.3390/vetsci10050359
APA StyleFuchs, J., Domaniža, M., Kuricová, M., Lipták, T., & Ledecký, V. (2023). Comparison of Imaging Methods and Population Pattern in Dogs with Spinal Diseases in Three Periods between 2005 and 2022: A Retrospective Study. Veterinary Sciences, 10(5), 359. https://doi.org/10.3390/vetsci10050359
