Thrombosed Mechanical Aortic Valve Treated with Low-Dose Ultraslow Alteplase Infusion
Abstract
1. Introduction
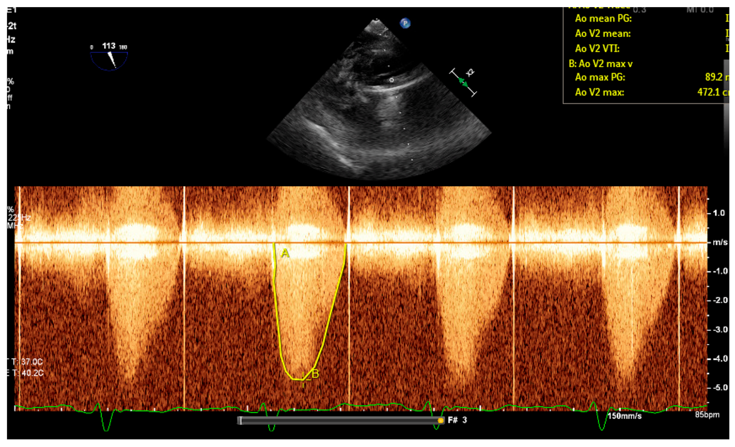
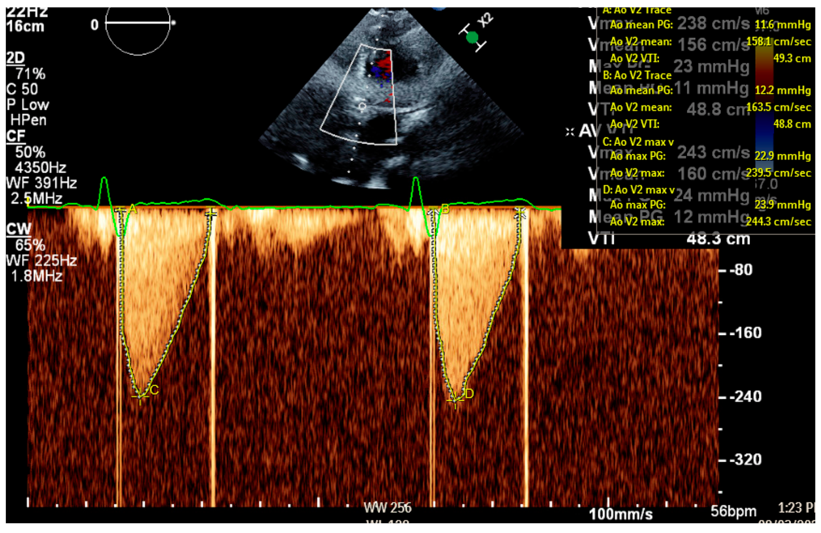
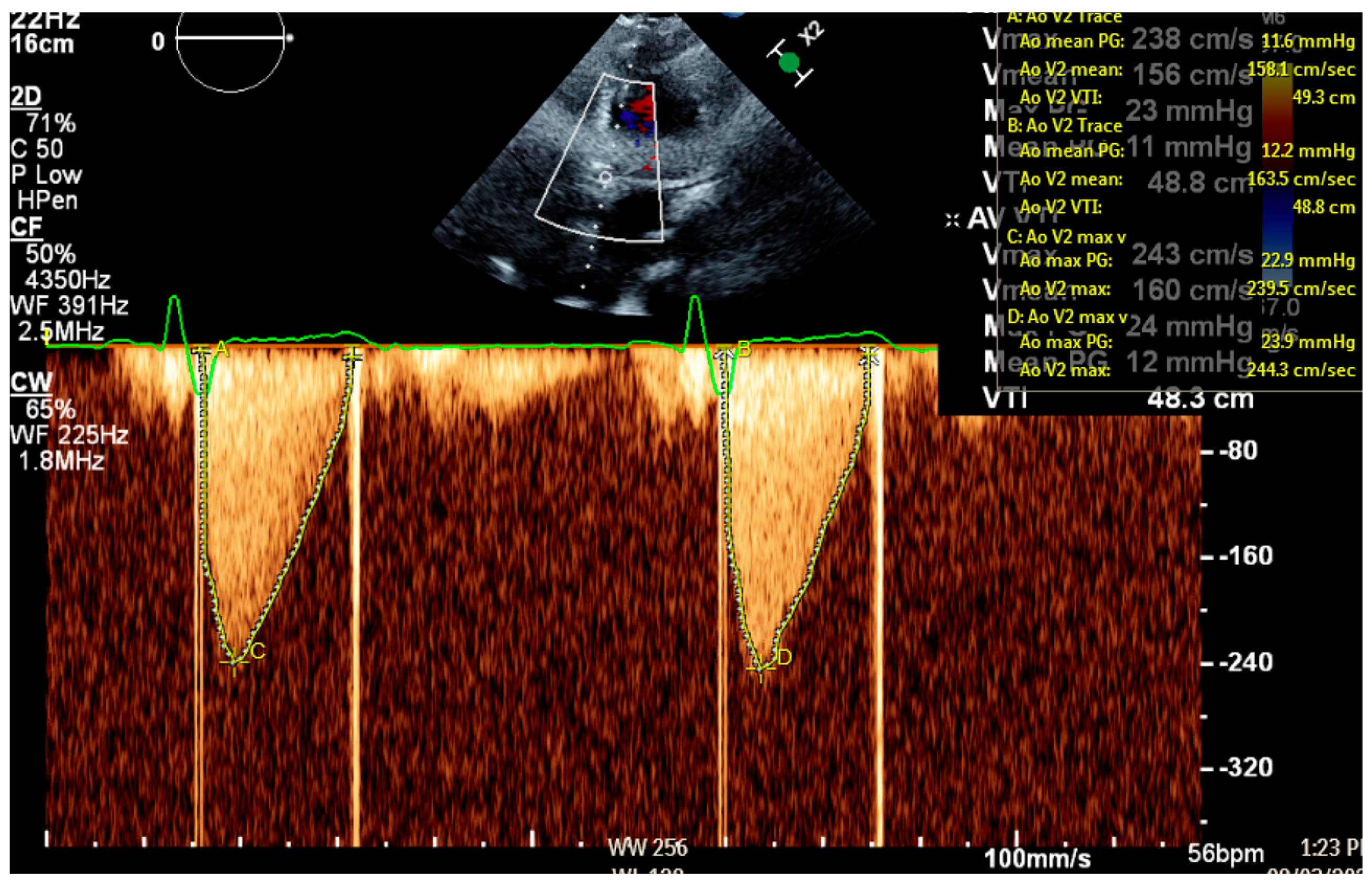
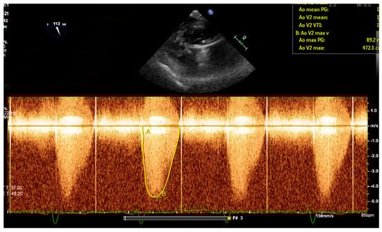
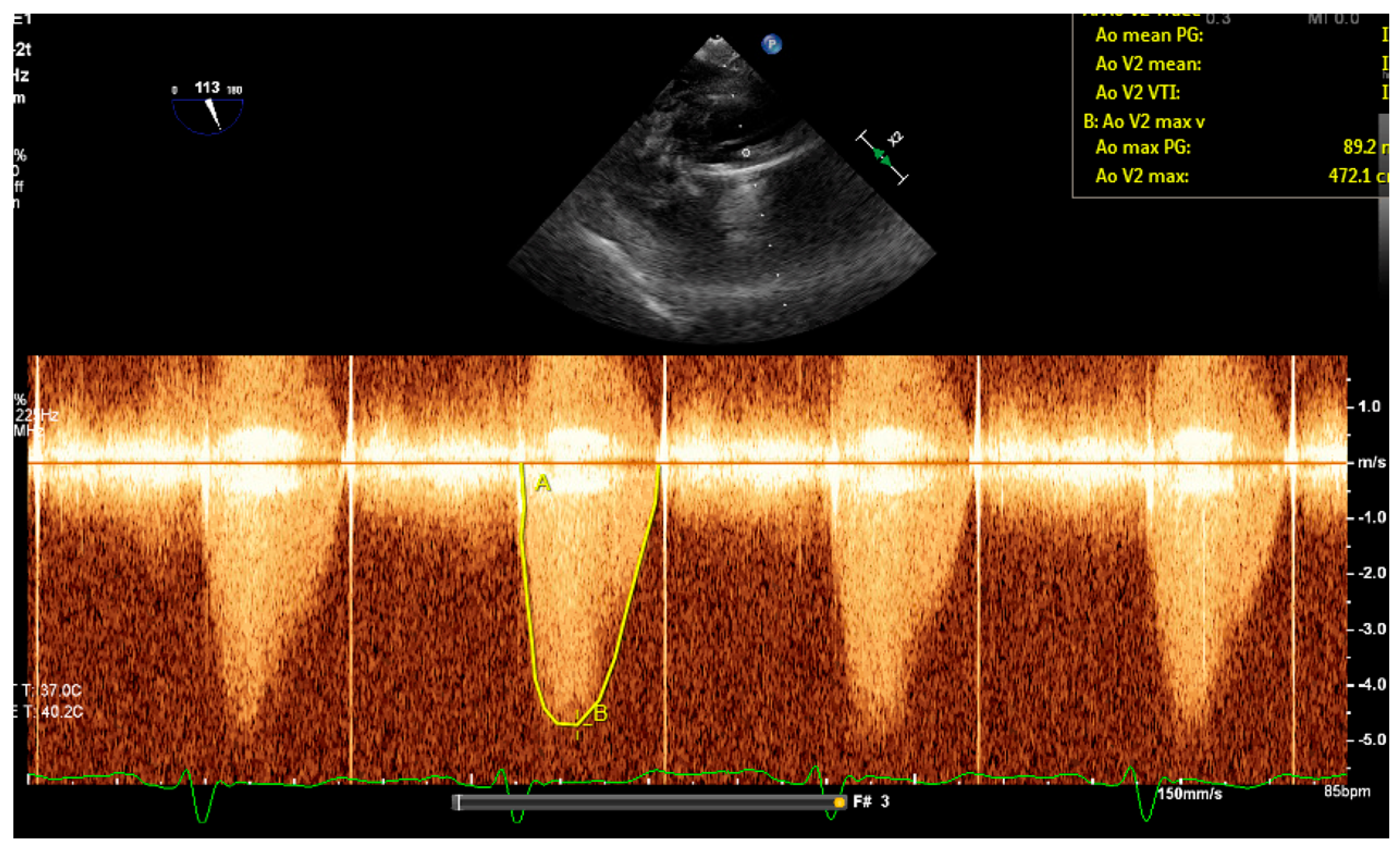
2. Patient Case
3. Discussion
4. Conclusions
Author Contributions
Funding
Institutional Review Board Statement
Informed Consent Statement
Data Availability Statement
Conflicts of Interest
References
- Roudaut, R.; Serri, K.; Lafitte, S. Thrombosis of prosthetic heart valves: Diagnosis and therapeutic considerations. Heart 2007, 93, 137–142. [Google Scholar] [CrossRef] [PubMed]
- Lin, S.S.; Tiong, I.Y.; Asher, C.R.; Murphy, M.T.; Thomas, J.D.; Griffin, B.P. Prediction of thrombus-related mechanical prosthetic valve dysfunction using transesophageal echocardiography. Am. J. Cardiol. 2000, 86, 1097–1101. [Google Scholar] [CrossRef] [PubMed]
- Dangas, G.D.; Weitz, J.I.; Giustino, G.; Makkar, R.; Mehran, R. Prosthetic Heart Valve Thrombosis. J. Am. Coll. Cardiol. 2016, 68, 2670–2689. [Google Scholar] [CrossRef]
- Bonou, M.; Lampropoulos, K.; Barbetseas, J. Prosthetic heart valve obstruction: Thrombolysis or surgical treatment? Eur. Heart J. Acute Cardiovasc. Care 2012, 1, 122–127. [Google Scholar] [CrossRef]
- Otto, C.M.; Nishimura, R.A.; Bonow, R.O.; Carabello, B.A.; Erwin, J.P., III; Gentile, F.; Jneid, H.; Krieger, E.V.; Mack, M.; McLeod, C.; et al. 2020 ACC/AHA Guideline for the Management of Patients With Valvular Heart Disease: Executive Summary: A Report of the American College of Cardiology/American Heart Association Joint Committee on Clinical Practice Guidelines. Circulation 2021, 143, e35–e71. [Google Scholar] [CrossRef]
- Beyersdorf, F.; Vahanian, A.; Milojevic, M.; Praz, F.; Baldus, S.; Bauersachs, J.; Capodanno, D.; Conradi, L.; De Bonis, M.; De Paulis, R.; et al. 2021 ESC/EACTS Guidelines for the management of valvular heart disease. Eur. J. Cardiothorac. Surg. 2021, 60, 727–800. [Google Scholar] [CrossRef] [PubMed]
- Castilho, F.M.; De Sousa, M.R.; Mendonça, A.L.P.; Ribeiro, A.L.P.; Cáceres-Lóriga, F.M. Thrombolytic therapy or surgery for valve prosthesis thrombosis: Systematic review and meta-analysis. J. Thromb. Haemost. 2014, 12, 1218–1228. [Google Scholar] [CrossRef]
- Karthikeyan, G.; Senguttuvan, N.B.; Joseph, J.; Devasenapathy, N.; Bahl, V.K.; Airan, B. Urgent surgery compared with fibrinolytic therapy for the treatment of left-sided prosthetic heart valve thrombosis: A systematic review and meta-analysis of observational studies. Eur. Heart J. 2013, 34, 1557–1566. [Google Scholar] [CrossRef] [PubMed]
- Özkan, M.; Gündüz, S.; Biteker, M.; Astarcioglu, M.A.; Çevik, C.; Kaynak, E.; Yıldız, M.; Oğuz, E.; Aykan, A.Ç. Comparison of different TEE-guided thrombolytic regimens for prosthetic valve thrombosis: The TROIA trial. JACC Cardiovasc. Imaging 2013, 6, 206–216. [Google Scholar] [CrossRef] [PubMed]
- Özkan, M.; Gündüz, S.; Gürsoy, O.M.; Karakoyun, S.; Astarcıoğlu, M.A.; Kalçık, M.; Aykan, A.Ç.; Çakal, B.; Bayram, Z.; Oğuz, A.E.; et al. Ultraslow thrombolytic therapy: A novel strategy in the management of PROsthetic MEchanical valve Thrombosis and the prEdictors of outcomE: The Ultra-slow PROMETEE trial. Am. Heart J. 2015, 170, 409–418. [Google Scholar] [CrossRef] [PubMed]
- Behzadnia, N.; Abedini, A.; Seyedi, S.R.; Ahmadi, H.Z.; Zadeh, F.N.; Fakharian, A. Treatment of Recurrent Prosthetic Mitral Valve Thrombosis with Reteplase: A Report of Four Cases. Tanaffos 2016, 15, 117–120. [Google Scholar]
- Kathirvel, D.; Paul, G.J.; Palanisamy, G.; Gnanavelu, G.; Ravishankar, G.; Swaminathan, N.; Venkatesan, S. Tenecteplase versus streptokinase thrombolytic therapy in patients with mitral prosthetic valve thrombosis. Indian Heart J. 2018, 70, 506–510. [Google Scholar] [CrossRef] [PubMed]
- Mishra, C.; Mishra, A.; Manoj, D.; Routray, S. Comparative Safety and Efficacy of Tenecteplase and Streptokinase in Prosthetic Valve Thrombosis: An observation from Eastern India. Panacea J. Med. Sci. 2022, 12, 538–544. [Google Scholar] [CrossRef]




Disclaimer/Publisher’s Note: The statements, opinions and data contained in all publications are solely those of the individual author(s) and contributor(s) and not of MDPI and/or the editor(s). MDPI and/or the editor(s) disclaim responsibility for any injury to people or property resulting from any ideas, methods, instructions or products referred to in the content. |
© 2025 by the authors. Licensee MDPI, Basel, Switzerland. This article is an open access article distributed under the terms and conditions of the Creative Commons Attribution (CC BY) license (https://creativecommons.org/licenses/by/4.0/).
Share and Cite
Pavlatos, N.; Daga, P.; Shah, A.; Khan, M.; Mattumpuram, J. Thrombosed Mechanical Aortic Valve Treated with Low-Dose Ultraslow Alteplase Infusion. Medicines 2025, 12, 3. https://doi.org/10.3390/medicines12010003
Pavlatos N, Daga P, Shah A, Khan M, Mattumpuram J. Thrombosed Mechanical Aortic Valve Treated with Low-Dose Ultraslow Alteplase Infusion. Medicines. 2025; 12(1):3. https://doi.org/10.3390/medicines12010003
Chicago/Turabian StylePavlatos, Nicholas, Pawan Daga, Aangi Shah, Muhammad Khan, and Jishanth Mattumpuram. 2025. "Thrombosed Mechanical Aortic Valve Treated with Low-Dose Ultraslow Alteplase Infusion" Medicines 12, no. 1: 3. https://doi.org/10.3390/medicines12010003
APA StylePavlatos, N., Daga, P., Shah, A., Khan, M., & Mattumpuram, J. (2025). Thrombosed Mechanical Aortic Valve Treated with Low-Dose Ultraslow Alteplase Infusion. Medicines, 12(1), 3. https://doi.org/10.3390/medicines12010003

