Exploration of Secondary Metabolites in Platostoma menthoides (L.) Using Ethyl Acetate Extract and Its Antibacterial, Antioxidant, and Larvicidal Activities
Abstract
1. Introduction
2. Materials and Methods
2.1. Plant Collection and Identification
2.2. Preparation of Extract
2.3. Phytochemical Studies
2.3.1. Determination of Total Phenol Content
2.3.2. Determination of Total Flavonoid Content
2.4. FT-IR Analysis
2.5. GC–MS Analysis (Gas Chromatography–Mass Spectrometry)
2.6. Estimation of Antioxidant Activity
2.6.1. 2,2-Diphenyl-1-Picrylhydrazyl (DPPH) Radical Scavenging Assay
2.6.2. Ferric Reducing Antioxidant Potential Assay (FRAP)
2.7. Anti-Bacterial Activity
Agar Disc Diffusion Assay
2.8. Mosquito-Larvicidal Activity
2.8.1. Mosquito Larvae and Egg Culture
2.8.2. Larvicidal Bioassay
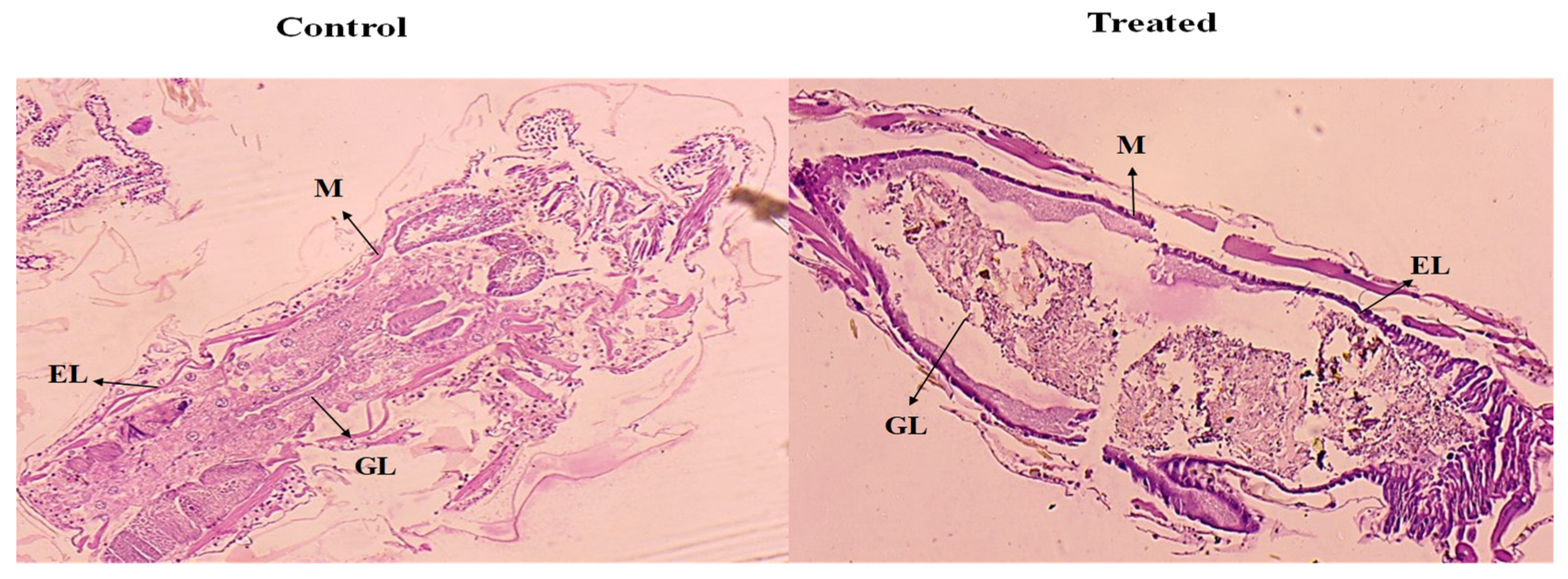
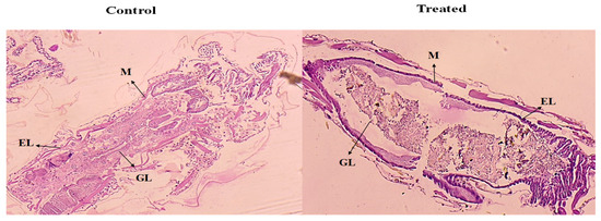
2.8.3. Analysis of Histopathology
2.8.4. Statistical Analysis
3. Results and Discussion
3.1. Phytochemical Studies Analysis
3.2. FTIR Analysis
3.3. GC–MS Analysis
3.4. Biological Studies
3.4.1. Antioxidant Activity
3.4.2. Antibacterial Activity
3.4.3. Larvicidal Activity
3.4.4. Histological Analysis
4. Conclusions
Supplementary Materials
Author Contributions
Funding
Institutional Review Board Statement
Informed Consent Statement
Data Availability Statement
Acknowledgments
Conflicts of Interest
References
- Lei, J.; Wang, Y.; Li, W.; Fu, S.; Zhou, J.; Lu, D.; Wang, G. Natural green deep eutectic solvents-based eco-friendly and efficient extraction of flavonoids from Selaginella moellendorffii: Process optimization, composition identification and biological activity. Sep. Purif. Technol. 2022, 283, 120203. [Google Scholar] [CrossRef]
- Aware, C.B.; Patil, D.N.; Suryawanshi, S.S.; Mali, P.R.; Rane, M.R.; Gurav, R.G.; Jadhav, J.P. Natural bioactive products as promising therapeutics: A review of natural product-based drug development. S. Afr. J. Bot. 2022, 151, 512–528. [Google Scholar] [CrossRef]
- Thotathil, V.; Rizk, H.H.; Fakrooh, A.; Sreerama, L. Phytochemical Analysis of Acacia ehrenbergiana (Hayne) Grown in Qatar: Identification of Active Ingredients and Their Biological Activities. Molecules 2022, 27, 6400. [Google Scholar] [CrossRef] [PubMed]
- Saleem, A.; Afzal, M.; Naveed, M.; Makhdoom, S.I.; Mazhar, M.; Aziz, T.; Khan, A.A.; Kamal, Z.; Shahzad, M.; Alharbi, M.; et al. HPLC, FTIR and GC-MS analyses of Thymus vulgaris phytochemicals executing in vitro and in vivo biological activities and effects on COX-1, COX-2 and gastric cancer genes computationally. Molecules 2022, 27, 8512. [Google Scholar] [CrossRef] [PubMed]
- Almoshari, Y. Medicinal plants used for dermatological disorders among the people of the kingdom of Saudi Arabia: A narrative review. Saudi J. Biol. Sci. 2022, 29, 103303. [Google Scholar] [CrossRef]
- Ray, A.; Jena, S.; Sahoo, A.; Kamila, P.K.; Das, P.K.; Mohanty, S.; Panda, P.C. Chemical composition, antioxidant, anti-inflammatory and anticancer activities of bark essential oil of Cryptocarya amygdalina from India. J. Essent. Oil-Bear. Plants. 2021, 24, 617–631. [Google Scholar] [CrossRef]
- Petran, M.; Dragos, D.; Gilca, M. Historical ethnobotanical review of medicinal plants used to treat children diseases in Romania (1860s–1970s). J. Ethnobiol. Ethnomed. 2020, 16, 15. [Google Scholar] [CrossRef]
- Singhal, A.; Singhal, V.; Bhati, V.; Gupta, H. Evaluation of antipyretic activity of ethanolic extract of plant Geniosporum prostratum (L.) Benth. Bark. Chron. Young Sci. 2011, 2, 168. [Google Scholar] [CrossRef]
- Tennakoon, T.M.S.G.; Abeysekera, A.M.; De Silva, K.T.D.; Padumadasa, C.; Wijesundara, D.S.A. Essential oil composition of Platostoma menthoides (L.). AJ Paton whole plant. J. Essent. Oil-Bear. Plants. 2016, 19, 1516–1520. [Google Scholar]
- Raj, F.J.; Jagadeesan, G.; Mathews Paul, B.; Thangaraj, P.; Kilimas, R. Evaluation of Pharmacological Potential of Miliusa nilagirica Bedd. Leaves Using In Vitro Antidiabetic and Antioxidant Assays. Appl. Biochem. Biotechnol. 2023, 11, 6790–6808. [Google Scholar] [CrossRef]
- Nataraj, G.; Velmurgan, P.; Jagadeesan, G.; Manoharan, A.L.; Thangaraj, P. A Comparative study of solvent extraction methods for a weed Sphaeranthus amaranthoides Burm. f.: Phytocompound evaluation using chromatography (GC/MS and HPLC) and in vitro anti-diabetic activity. Biomass Convers. Biorefin. 2023, 14, 23805–23824. [Google Scholar] [CrossRef]
- Zhang, S.; Zhang, L.; Wang, L.; Zhao, Y. Total phenols, flavonoids, and procyanidins levels and total antioxidant activity of different Korean pine (Pinus koraiensis) varieties. J. For. Res. 2019, 30, 1743–1754. [Google Scholar] [CrossRef]
- Mainasara, M.M.; Bakar, M.A. Phytochemical constituents, antioxidant and antiproliferative properties of Artocarpus altilis (sukun) from Endau Rompin, Johor, Malaysia. Sci. World J. 2019, 14, 124–135. [Google Scholar]
- Sari, K.R.P.; Ikawati, Z.; Danarti, R.; Hertiani, T. Micro-titer plate assay for measurement of total phenolic and total flavonoid contents in medicinal plant extracts. Arab. J. Chem. 2023, 16, 105003. [Google Scholar] [CrossRef]
- Thavamurugan, S.; Pavithra, S.K.; Kavipriya, M.R.; Prabha, A.L. Synthesis of silver nanoparticles using Catunaregam spinosa fruit extract for their biological activities. Biomass Convers. Biorefin. 2022, 1–14. [Google Scholar] [CrossRef]
- Sandhiya, U.; Manikandan, T.; Thavamurugan, S.; Kavipriya, M.R.; Pavithra, S.K.; Lakshmi Prabha, A.M. Profiling bioactive compounds of Pogostemon benghalensis (Burm. f.) Kuntze and its antibacterial activity. Vegetos 2024, 37, 144–154. [Google Scholar]
- Sahoo, B.; Panigrahi, L.L.; Das, R.P.; Pradhan, A.K.; Arakha, M. Biogenic synthesis of silver nanoparticle from Punica granatum L. and evaluation of its antioxidant, antimicrobial and anti-biofilm activity. J. Inorg. Organomet. Polym. Mater. 2022, 32, 4250–4259. [Google Scholar] [CrossRef]
- Khan, I.A.; Luo, J.; Shi, H.; Zou, Y.; Khan, A.; Zhu, Z.; Xu, W.; Wang, D.; Huang, M. Mitigation of heterocyclic amines by phenolic compounds in allspice and perilla frutescens seed extract: The correlation between antioxidant capacities and mitigating activities. Food Chem. 2022, 368, 130845. [Google Scholar] [CrossRef]
- Sivapalan, S.; Dharmalingam, S.; Venkatesan, V.; Angappan, M.; Ashokkumar, V. Phytochemical analysis, anti-inflammatory, antioxidant activity of Calotropis gigantea and its therapeutic applications. J. Ethnopharmacol. 2023, 303, 115963. [Google Scholar] [CrossRef]
- Corrigan, H.; Dunne, A.; Purcell, N.; Guo, Y.; Wang, K.; Xuan, H.; Granato, D. Conceptual functional-by-design optimisation of the antioxidant capacity of trans-resveratrol, quercetin, and chlorogenic acid: Application in a functional tea. Food Chem. 2023, 428, 136764. [Google Scholar] [CrossRef]
- Kamaraj, C.; Bagavan, A.; Rahuman, A.A.; Zahir, A.A.; Elango, G.; Pandiyan, G. Larvicidal potential of medicinal plant extracts against Anopheles subpictus Grassi and Culex tritaeniorhynchus Giles (Diptera: Culicidae). Parasitol. Res. 2009, 104, 1163–1171. [Google Scholar] [CrossRef] [PubMed]
- Vivekanandhan, P.; Panikar, S.; Sethuraman, V.; Usha-Raja-Nanthini, A.; Shivakumar, M.S. Toxic and synergetic effect of plant essential oils along with nano-emulsion for control of three mosquito species. J. Nat. Pestic. Res. 2023, 5, 100045. [Google Scholar] [CrossRef]
- Dhanasundaram, S.; Aravinth, A.; Perumal, P.; Amutha, V.; Rajaram, R.; Santhanam, P. Mosquito-pupicidal activity of the extracts of seaweeds, Sargassum wightii, and Gelidiella acerosa against the dengue vector, Aedes aegypti. Biomass Convers. Biorefin. 2022, 1–8. [Google Scholar] [CrossRef]
- Loganathan, T.; Barathinivas, A.; Soorya, C.; Balamurugan, S.; Nagajothi, T.G.; Jayakumararaj, R. GCMS profile of bioactive secondary metabolites with therapeutic potential in the ethanolic leaf extracts of Azadirachta indica: A sacred traditional medicinal plant of india. J. Drug Deliv. Ther. 2021, 11, 119–126. [Google Scholar] [CrossRef]
- Liga, S.; Paul, C.; Péter, F. Flavonoids: Overview of biosynthesis, biological activity, and current extraction techniques. Plants 2023, 12, 2732. [Google Scholar] [CrossRef]
- Assanpour, S.H.; Doroudi, A. Review of the antioxidant potential of flavonoids as a subgroup of polyphenols and partial substitute for synthetic antioxidants. Avicenna J. Phytomed. 2023, 13, 354–376. [Google Scholar]
- Sharma, A.; Nagraik, R.; Venkidasamy, B.; Khan, A.; Dulta, K.; Kumar Chauhan, P.; Shin, D.S. In vitro antidiabetic, antioxidant, antimicrobial, and cytotoxic activity of Murraya koenigii leaf extract intercedes ZnO nanoparticles. J. Lumin. 2023, 38, 1139–1148. [Google Scholar] [CrossRef]
- Cirak, C.; Radusiene, J.; Raudone, L.; Vilkickyte, G.; Seyis, F.; Marksa, M.; Yayla, F. Phenolic compounds and antioxidant activity of Achillea arabica populations. S. Afr. J. Bot. 2022, 147, 425–433. [Google Scholar] [CrossRef]
- Unal, O.; Eraslan, E.C.; Uysal, I.; Mohammed, F.S.; Sevindik, M.; Akgul, H. Biological activities and phenolic contents of Rumex scutatus collected from Turkey. Fresenius Environ. Bull. 2022, 31, 7341–7346. [Google Scholar]
- Rasouli, K.; Rasouli, J.; Mohtaram, M.S.; Sabbaghi, S.; Kamyab, H.; Moradi, H.; Chelliapan, S. Biomass-derived activated carbon nanocomposites for cleaner production: A review on aspects of photocatalytic pollutant degradation. J. Clean. Prod. 2023, 419, 138181. [Google Scholar] [CrossRef]
- Elshibani, F.A.; Mohammed, H.A.; Abouzied, A.S.; Abdulkarim, A.K.; Khan, R.A.; Almahmoud, S.A.; Huwaimel, B.; Alamami, A.D. Phytochemical and biological activity profiles of Thymbra linearifolia: An exclusively native species of Libyan Green mountains. Arab. J. Chem. 2023, 16, 104775. [Google Scholar] [CrossRef]
- Ahmed, H.S.; Mohamed, E.I.; Amin, E.; Moawad, A.S.; Sadek Abdel-Bakky, M.; Almahmoud, S.A.; Afifi, N. Phytochemical investigation and anti-inflammatory potential of Atriplex leucoclada Boiss. BMC Complement. Med. Ther. 2023, 23, 464. [Google Scholar] [CrossRef]
- Wang, Y.; Zhang, Y.; Cheng, J.; Zhao, J.; Shi, R.; He, L.; Li, Q.; Chen, Y. Efficient purification of flavonoids from bamboo shoot residues of Phyllostachys edulis by macroporous resin and their hypoglycemic activity. Food Chem. X 2022, 16, 100505. [Google Scholar] [CrossRef] [PubMed]
- Beheshti, F.; Abdipour, M.; Hosseinifarahi, M.; Kelidari, A. Characterization of Lavender Essential Oil and Its Chemical Composition Intercropped with Marigold as Affected by Polyamines and Arbuscular Mycorrhizal Fungi Inoculation. Commun. Soil Sci. Plant 2024, 55, 343–364. [Google Scholar] [CrossRef]
- Ali, J.; Abbas, J. Comparative bioactive compounds and antifungal potential evaluation of Mentha longifolia (L.) Hudson (Lamiaceae) extracts against plant pathogenic fungi. Int. J. Eng. Sci. Technol. 2023, 15, 48–57. [Google Scholar] [CrossRef]
- Du, W.; Yang, H.; Lu, C.; Fang, Z.; Liu, T.; Xu, X.; Zheng, Y. Aldehyde-mediated adaptive membranes with self-healing and antimicrobial properties for endometrial repair. Int. J. Biol. Macromol. 2023, 229, 1023–1035. [Google Scholar] [CrossRef]
- Francis, S.; Gideon, V.A.; Britto, S.J. Antibacterial and GC-MS analysis of stem and leaf of Premna paucinervis (CB Clarke) gamble (Lamiaceae)—An endemic and rediscovered species. Int. J. Bot. Stud. 2021, 6, 282–292. [Google Scholar]
- Mishra, A.K.; Tiwari, K.N.; Saini, R.; Chaurasia, J.K.; Mishra, S.K. Assessment of antioxidant potential in seed extracts of Nyctanthes arbor-tristis L. and phytochemical profiling by Gas Chromatography-Mass Spectrometry system. Braz. J. Phar. Sci. 2022, 58, e21180. [Google Scholar] [CrossRef]
- Pradhan, B.; Rout, L.; Ki, J.S. Immunomodulatory and anti-inflammatory and anticancer activities of porphyran, a sulfated galactan. Carbohydr. Polym. 2023, 301, 120326. [Google Scholar] [CrossRef]
- Chimezie, C.C.; Eze, P.M.; Abba, C.C.; Onyegbule, F.A.; Esimone, C.O. The Synergistic Potentials of Platostoma africanum and Psidium guajava against Some Multi-Drug-Resistant Bacteria. Eur. J. Med. Plants 2017, 18, 1–12. [Google Scholar] [CrossRef]
- Tella, O.A.; Benjamin, A.A.; Kayode, F.I.; Adekola, A.I.; Bidemi, A.O.; Esther, O.O. Free Radical Scavenging Activity of a 70% Ethanol Extract of the Whole Herb of Platostoma africanum P. Beaur. (Lamiaceae). Int. J. Pharm. Chem. 2021, 7, 101–110. [Google Scholar] [CrossRef]
- Ngezahayo, J.; Pottier, L.; Ribeiro, S.O.; Delporte, C.; Fontaine, V.; Hari, L.; Duez, P. Plastotoma rotundifolium aerial tissue extract has antibacterial activities. Ind. Crop. Prod. 2016, 86, 301–310. [Google Scholar] [CrossRef]
- Mohanty, S.; Dash, K.T.; Jena, S.; Ray, A.; Sahoo, A.; Kar, S.K.; Panda, P.C. Chemical Composition, Antimicrobial and Cytotoxic Activity of the Essential Oil of Platostoma hispidum, an Unexplored Species of Lamiaceae. J. Essent. Oil-Bear. Plants. 2021, 24, 1300–1310. [Google Scholar] [CrossRef]
- ERSÖZ, T.; Kaya, D.; Yalcin, F.N.; Kazaz, C.; Palaska, E.; Gotfredsen, C.H.; Jensen, S.R.; Çaliş, İ. Iridoid glucosides from Lamium garganicum subsp. laevigatum. Turk. J. Chem. 2007, 31, 155–162. [Google Scholar]
- Dias, C.N.; Moraes, D.F.C. Essential oils and their compounds as Aedes aegypti L. (Diptera: Culicidae) larvicides. Parasitol. Res. 2014, 113, 565–592. [Google Scholar] [CrossRef]
- Vasantha-Srinivasan, P.; Thanigaivel, A.; Edwin, E.S.; Ponsankar, A.; Senthil-Nathan, S.; Selin-Rani, S.; Al-Dhabi, N.A. Toxicological effects of chemical constituents from Piper against the environmental burden Aedes aegypti Liston and their impact on non-target toxicity evaluation against biomonitoring aquatic insects. Environ. Sci. Pollut. Res. Int. 2018, 25, 10434–10446. [Google Scholar] [CrossRef]
- Kanayairam Velayutham, K.V.; Rahuman, A.A.; Govindasamy Rajakumar, G.R.; Roopan, S.M.; Gandhi Elango, G.E.; Chinnaperumal Kamaraj, C.K.; Chinnadurai Siva, C.S. Larvicidal activity of green synthesized silver nanoparticles using bark aqueous extract of Ficus racemosa against Culex quinquefasciatus and Culex gelidus. Asian Pac. J. Trop. Med. 2013, 6, 95–101. [Google Scholar] [CrossRef]
- Moola, A.K.; Ayyadurai, T.; Balasubramani, S.; Vignesh, R.; Mohan, P.K.; Sathish, S.; Diana, R.K.B. Chemical composition and larvicidal activity against Aedes aegypti larvae from Hyptis suaveolens (L.). Poit essential oil. J. Nat. Pest. Res. 2023, 3, 100018. [Google Scholar]








| Phytochemicals Tested | Reagent Used | Ethyl Acetate |
|---|---|---|
| Steroids | Salkowski test | + |
| Triterpenoids | Liebermann–Burchard reaction | + |
| Reducing sugar | Fehling’s Reagent | ++ |
| Sugar | Fehling’s Reagent | + |
| Alkaloids | Mayers, Hagers test | + |
| Phenolic compounds | Lead acetate test | +++ |
| Glycosides | Keller–Killiani’s test | - |
| Flavonoids | Aluminium Chloride test | +++ |
| Saponins | Foam test | + |
| Tannins | FeCl2 test | - |
| Anthraquinones | Modified borntragers test | + |
| Aminoacids | Ninhydrin test | - |
| Concentrations (µg/mL) | Phenolic Content | Flavonoid Content |
|---|---|---|
| 20 | 150.05 ± 0.01 e | 143.48 ± 0.32 e |
| 40 | 170.47 ± 0.01 d | 156.98 ± 0.57 d |
| 60 | 196.23 ± 0.05 c | 172.38 ± 0.86 c |
| 80 | 213.62 ± 0.04 b | 183.71 ± 0.25 b |
| 100 | 231.28 ± 0.02 a | 196.84 ± 0.87 a |
| S. No | Frequency cm−1 | Bond | Functional Group | Vibration/Intensity |
|---|---|---|---|---|
| 1. | 2984.3 | C-H stretching | alkane | medium |
| 2. | 1736.58 | C=O stretching | esters | strong |
| 3. | 1447.31 | C-C stretching | aromatics | medium |
| 4. | 1372.1 | O-H bending | phenol | medium |
| 5. | 1234.22 | C-N stretching | aromatic amine | medium |
| 6. | 1095.37 | C-N stretching | aliphatic amine | strong |
| 7. | 1043.3 | CO-O-CO stretching | anhydride | strong, broad |
| 8. | 938.199 | O-H bend | carboxylic acids | medium |
| 9. | 846.597 | C-Cl stretching | alkyl halides | medium |
| 10. | 783.922 | C-Cl stretching | alkyl halides | medium |
| Bacteria Strains | 20 µg | 40 µg | 60 µg | Ampicillin |
|---|---|---|---|---|
| Streptococcus pyogenes | 5.4 ± 0.26 | 9.3 ± 0.01 | 12 ± 0.67 | 15 ± 1.11 |
| Enterococcus faecalis | 9.2 ± 0.12 | 13 ± 0.32 | 15 ± 0.62 | 14 ± 0.21 |
| Pseudomonas aeruginosa | 5.8 ± 0.12 | 10 ± 0.45 | 18 ± 0.22 | 21 ± 1.12 |
| Salmonella typhi | 10 ± 1.26 | 11 ± 0.32 | 14 ± 1.12 | 17 ± 1.20 |
| Mosquito Vector | Sample | Con. (µg/mL) | LC50 µg/mL (LCL-UCL) | LC90 µg/mL (LCL-UCL) | χ2 |
|---|---|---|---|---|---|
| Ae. aegypti | Ethyl acetate extract | 20 40 60 80 100 | 81.32 (73.53–91.89) | 161.47 (139.86–197.88) | 3.33 |
Disclaimer/Publisher’s Note: The statements, opinions and data contained in all publications are solely those of the individual author(s) and contributor(s) and not of MDPI and/or the editor(s). MDPI and/or the editor(s) disclaim responsibility for any injury to people or property resulting from any ideas, methods, instructions or products referred to in the content. |
© 2025 by the authors. Licensee MDPI, Basel, Switzerland. This article is an open access article distributed under the terms and conditions of the Creative Commons Attribution (CC BY) license (https://creativecommons.org/licenses/by/4.0/).
Share and Cite
Senthilkumar, P.; Thavamurugan, S.; Annamalai, A.; Kolandhasamy, P.; Muthunarayanan, V.; Selvaraj, N.; Azhagiyamanavalan, L.; Vinayagam, R. Exploration of Secondary Metabolites in Platostoma menthoides (L.) Using Ethyl Acetate Extract and Its Antibacterial, Antioxidant, and Larvicidal Activities. Toxics 2025, 13, 51. https://doi.org/10.3390/toxics13010051
Senthilkumar P, Thavamurugan S, Annamalai A, Kolandhasamy P, Muthunarayanan V, Selvaraj N, Azhagiyamanavalan L, Vinayagam R. Exploration of Secondary Metabolites in Platostoma menthoides (L.) Using Ethyl Acetate Extract and Its Antibacterial, Antioxidant, and Larvicidal Activities. Toxics. 2025; 13(1):51. https://doi.org/10.3390/toxics13010051
Chicago/Turabian StyleSenthilkumar, Pavithra, Subbu Thavamurugan, Aravinth Annamalai, Prabhu Kolandhasamy, Vasanthy Muthunarayanan, Nandhini Selvaraj, Lakshmiprabha Azhagiyamanavalan, and Ramachandran Vinayagam. 2025. "Exploration of Secondary Metabolites in Platostoma menthoides (L.) Using Ethyl Acetate Extract and Its Antibacterial, Antioxidant, and Larvicidal Activities" Toxics 13, no. 1: 51. https://doi.org/10.3390/toxics13010051
APA StyleSenthilkumar, P., Thavamurugan, S., Annamalai, A., Kolandhasamy, P., Muthunarayanan, V., Selvaraj, N., Azhagiyamanavalan, L., & Vinayagam, R. (2025). Exploration of Secondary Metabolites in Platostoma menthoides (L.) Using Ethyl Acetate Extract and Its Antibacterial, Antioxidant, and Larvicidal Activities. Toxics, 13(1), 51. https://doi.org/10.3390/toxics13010051

