Gender-Specific Toxic Effects of S-Metolachlor and Its Metabolite on Hibernating Lizards: Implications for Reproductive Health and Ecosystem Vulnerability
Abstract
1. Introduction
2. Materials and Methods
2.1. Lizard Husbandry
2.2. Experimental Exposure
2.3. Biochemical Levels and Histological Evaluation
2.4. Data Analysis
3. Results
3.1. Survival Status During Hibernation
3.2. Assessment of Oxidative Damage
3.2.1. SOD Activity
3.2.2. CAT Activity
3.2.3. GST Activity
3.2.4. Lipid Peroxidation Evaluation
3.3. Hormone Levels
3.4. Relative mRNA Expression of erα, Ar, hsd17β, and cyp19 mRNA in Gonad
3.5. Relative mRNA Expression of erα, Ar, hsd17β, and cyp19 in the Brain
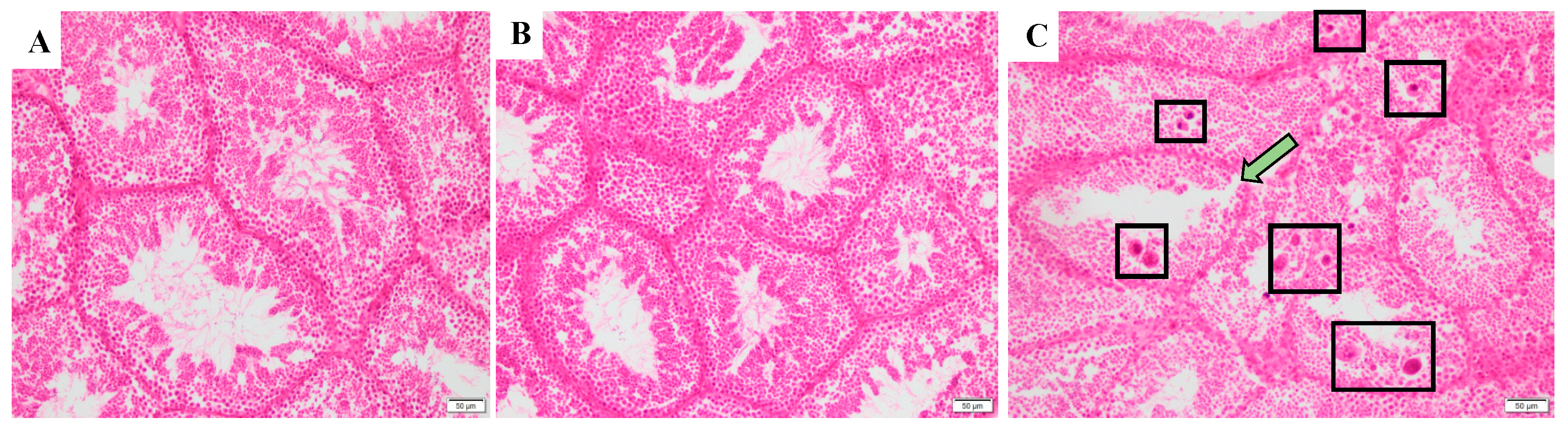
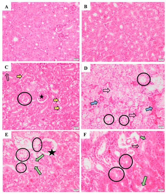
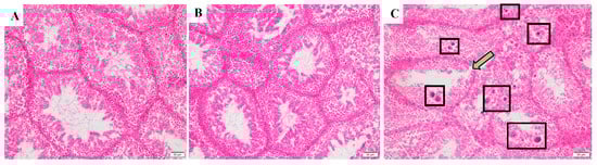
3.6. Histological Analysis
4. Discussion
5. Conclusions
Supplementary Materials
Author Contributions
Funding
Institutional Review Board Statement
Informed Consent Statement
Data Availability Statement
Conflicts of Interest
References
- Todd, B.D.; Willson, J.D.; Gibbons, J.W. The global status of reptiles and causes of their decline. In Ecotoxicology of Amphibians and Reptiles; CRC Press: Boca Raton, FL, USA, 2010; pp. 47–67. [Google Scholar]
- Rahman, M.R. Causes of biodiversity depletion in Bangladesh and their consequences on ecosystem services. Am. J. Environ. Prot. 2015, 4, 214–236. [Google Scholar]
- Storey, K.B. Reptile freeze tolerance: Metabolism and gene expression. Cryobiology 2006, 52, 1–16. [Google Scholar] [CrossRef] [PubMed]
- Secor, S.M.; Carey, H.V. Integrative physiology of fasting. Compr. Physiol. 2011, 6, 773–825. [Google Scholar]
- Bury, S.; Cichoń, M.; Bauchinger, U.; Sadowska, E.T. High oxidative stress despite low energy metabolism and vice versa: Insights through temperature acclimation in an ectotherm. J. Therm. Biol. 2018, 78, 36–41. [Google Scholar] [CrossRef]
- Capraro, A.; O’Meally, D.; Waters, S.A.; Patel, H.R.; Georges, A.; Waters, P.D. Waking the sleeping dragon: Gene expression profiling reveals adaptive strategies of the hibernating reptile Pogona vitticeps. BMC Genom. 2019, 20, 460. [Google Scholar] [CrossRef]
- Chen, B.; Niu, C.; Yuan, L.; Zhang, W. Physiological responses in vitamin C system during hibernation in juvenile Chinese soft-shelled turtle Pelodiscus sinensis. J. Oceanol. Limnol. 2019, 37, 767–776. [Google Scholar] [CrossRef]
- Zhang, W.-y.; Niu, C.-j.; Chen, B.-j.; Yuan, L. Antioxidant responses in hibernating Chinese soft-shelled turtle Pelodiscus sinensis hatchlings. Comp. Biochem. Physiol. Part A Mol. Integr. Physiol. 2017, 204, 9–16. [Google Scholar] [CrossRef]
- Rice, M.; Forman, R.; Chen, B.; Avshalumov, M.; Cragg, S.; Drew, K. Brain antioxidant regulation in mammals and anoxia-tolerant reptiles: Balanced for neuroprotection and neuromodulation. Comp. Biochem. Physiol. Part C Toxicol. Pharmacol. 2002, 133, 515–525. [Google Scholar] [CrossRef]
- Hermes-Lima, M.; Moreira, D.C.; Rivera-Ingraham, G.A.; Giraud-Billoud, M.; Genaro-Mattos, T.C.; Campos, É.G. Preparation for oxidative stress under hypoxia and metabolic depression: Revisiting the proposal two decades later. Free. Radic. Biol. Med. 2015, 89, 1122–1143. [Google Scholar] [CrossRef]
- Manolis, S.; Webb, G.; Britton, A. Crocodilians and Other Reptiles: Bioindicators of Pollution; Australian Nuclear Science and Technology Organisation (ANSTO): Sydney, Australia, 2002. [Google Scholar]
- Lushchak, V.I.; Matviishyn, T.M.; Husak, V.V.; Storey, J.M.; Storey, K.B. Pesticide toxicity: A mechanistic approach. EXCLI J. 2018, 17, 1101. [Google Scholar]
- Simbula, G.; Moltedo, G.; Catalano, B.; Martuccio, G.; Sebbio, C.; Onorati, F.; Stellati, L.; Bissattini, A.M.; Vignoli, L. Biological responses in pesticide exposed lizards (Podarcis siculus). Ecotoxicology 2021, 30, 1017–1028. [Google Scholar] [CrossRef]
- Voituron, Y.; Servais, S.; Romestaing, C.; Douki, T.; Barré, H. Oxidative DNA damage and antioxidant defenses in the European common lizard (Lacerta vivipara) in supercooled and frozen states. Cryobiology 2006, 52, 74–82. [Google Scholar] [CrossRef] [PubMed]
- Hermes-Lima, M.; Storey, K.B. Antioxidant defenses in the tolerance of freezing and anoxia by garter snakes. Am. J. Physiol.-Regul. Integr. Comp. Physiol. 1993, 265, R646–R652. [Google Scholar] [CrossRef] [PubMed]
- Gavric, J.; Prokic, M.; Despotovic, S.; Gavrilovic, B.; Radovanovic, T.; Borkovic-Mitic, S.; Pavlovic, S.; Saičic, Z. Biomarkers of oxidative stress and acetylcholinesterase activity in the blood of grass snake (Natrix natrix L.) during prehibernation and posthibernation periods. Braz. Arch. Biol. Technol. 2015, 58, 443–453. [Google Scholar] [CrossRef]
- Alavanja, M.C.; Hoppin, J.A.; Kamel, F. Health effects of chronic pesticide exposure: Cancer and neurotoxicity. Annu. Rev. Public Health 2004, 25, 155–197. [Google Scholar] [CrossRef]
- Brennan, A.A.; Harwood, A.D.; You, J.; Landrum, P.F.; Lydy, M.J. Degradation of fipronil in anaerobic sediments and the effect on porewater concentrations. Chemosphere 2009, 77, 22–28. [Google Scholar] [CrossRef]
- Odukkathil, G.; Vasudevan, N. Toxicity and bioremediation of pesticides in agricultural soil. Rev. Environ. Sci. Bio/Technol. 2013, 12, 421–444. [Google Scholar] [CrossRef]
- Clark, R.D. Predicting mammalian metabolism and toxicity of pesticides in silico. Pest Manag. Sci. 2018, 74, 1992–2003. [Google Scholar] [CrossRef]
- Wen, Y.; Zhang, L.; Chen, Z.; Sheng, X.; Qiu, J.; Xu, D. Co-exposure of silver nanoparticles and chiral herbicide imazethapyr to Arabidopsis thaliana: Enantioselective effects. Chemosphere 2016, 145, 207–214. [Google Scholar] [CrossRef]
- Chen, S.; Zhang, L.; Chen, H.; Chen, Z.; Wen, Y. Enantioselective toxicity of chiral herbicide metolachlor to Microcystis aeruginosa. J. Agric. Food Chem. 2019, 67, 1631–1637. [Google Scholar] [CrossRef]
- Authority, E.F.S.; Alvarez, F.; Arena, M.; Auteri, D.; Binaglia, M.; Castoldi, A.F.; Chiusolo, A.; Colagiorgi, A.; Colas, M.; Crivellente, F. Peer review of the pesticide risk assessment of the active substance S-metolachlor excluding the assessment of the endocrine disrupting properties. EFSA J. 2023, 21, e07852. [Google Scholar]
- Atwood, D.; Paisley-Jones, C. Pesticides Industry Sales and Usage: 2008–2012 Market Estimates; US Environmental Protection Agency: Washington, DC, USA, 2017; p. 20460. [Google Scholar]
- Caux, P.Y.; Kent, R.; Fan, G.; Grande, C. Canadian water quality guidelines for linuron. Environ. Toxicol. Water Qual. Int. J. 1998, 13, 1–41. [Google Scholar] [CrossRef]
- Arthur, E.L.; Perkovich, B.S.; Anderson, T.A.; Coats, J.R. Degradation of an atrazine and metolachlor herbicide mixture in pesticide-contaminated soils from two agrochemical dealerships in Iowa. Water Air Soil Pollut. 2000, 119, 75–90. [Google Scholar] [CrossRef]
- Aga, D.; Thurman, E. Formation and transport of the sulfonic acid metabolites of alachlor and metolachlor in soil. Environ. Sci. Technol. 2001, 35, 2455–2460. [Google Scholar] [CrossRef]
- Clark, G.M.; Goolsby, D.A. Occurrence and load of selected herbicides and metabolites in the lower Mississippi River. Sci. Total Environ. 2000, 248, 101–113. [Google Scholar] [CrossRef]
- Zemolin, C.; Avila, L.; Cassol, G.; Massey, J.; Camargo, E. Environmental fate of S-Metolachlor: A review. Planta Daninha 2014, 32, 655–664. [Google Scholar] [CrossRef]
- Chang, X.; Liang, J.; Sun, Y.; Zhao, L.; Zhou, B.; Li, X.; Li, Y. Isolation, degradation performance and field application of the metolachlor-degrading fungus Penicillium oxalicum MET-F-1. Appl. Sci. 2020, 10, 8556. [Google Scholar] [CrossRef]
- Marín-Benito, J.M.; Herrero-Hernández, E.; Ordax, J.M.; Sánchez-Martín, M.J.; Rodríguez-Cruz, M.S. The role of two organic amendments to modify the environmental fate of S-metolachlor in agricultural soils. Environ. Res. 2021, 195, 110871. [Google Scholar] [CrossRef]
- Sidoli, P.; Lassabatere, L.; Angulo-Jaramillo, R.; Baran, N. Experimental and modeling of the unsaturated transports of S-metolachlor and its metabolites in glaciofluvial vadose zone solids. J. Contam. Hydrol. 2016, 190, 1–14. [Google Scholar] [CrossRef]
- Buttle, J. Metolachlor transport in surface runoff. J. Environ. Qual. 1990, 19, 531–538. [Google Scholar] [CrossRef]
- Greenlee, A.R.; Ellis, T.M.; Berg, R.L. Low-dose agrochemicals and lawn-care pesticides induce developmental toxicity in murine preimplantation embryos. Environ. Health Perspect. 2004, 112, 703–709. [Google Scholar] [CrossRef] [PubMed]
- Liu, H.; Xiong, M. Comparative toxicity of racemic metolachlor and S-metolachlor to Chlorella pyrenoidosa. Aquat. Toxicol. 2009, 93, 100–106. [Google Scholar] [CrossRef]
- Chen, L.; Wang, D.; Tian, Z.; Di, S.; Zhang, W.; Wang, F.; Zhou, Z.; Diao, J.J.E.P. Comparative toxic responses of male and female lizards (Eremias argus) exposed to (S)-metolachlor-contaminated soil. Environ. Pollut. 2017, 227, 476–483. [Google Scholar] [CrossRef] [PubMed]
- Olayinka, E.T.; Ore, A.; Adewole, K.E.; Oyerinde, O. Evaluation of the toxicological effects of atrazine-metolachlor in male rats: In vivo and in silico studies. Environ. Anal. Health Toxicol. 2022, 37, e2022021. [Google Scholar] [CrossRef] [PubMed]
- Bamal, D.; Duhan, A.; Pal, A.; Beniwal, R.K.; Kumawat, P.; Dhanda, S.; Goyat, A.; Hooda, V.S.; Yadav, R. Herbicide risks to non-target species and the environment: A review. Environ. Chem. Lett. 2024, 22, 2977–3032. [Google Scholar] [CrossRef]
- Silver, S.R.; Bertke, S.J.; Hines, C.J.; Alavanja, M.C.; Hoppin, J.A.; Lubin, J.H.; Rusiecki, J.A.; Sandler, D.P.; Beane Freeman, L.E. Cancer incidence and metolachlor use in the Agricultural Health Study: An update. Int. J. Cancer 2015, 137, 2630–2643. [Google Scholar] [CrossRef]
- Zhao, Q.; Liu, H.-X.; Luo, L.-G.; Ji, X. Comparative population genetics and phylogeography of two lacertid lizards (Eremias argus and E. brenchleyi) from China. Mol. Phylogenet. Evol. 2011, 58, 478–491. [Google Scholar] [CrossRef]
- Sun, B.-J.; Li, S.-R.; Xu, X.-F.; Zhao, W.-G.; Luo, L.-G.; Ji, X.; Du, W.-G. Different mechanisms lead to convergence of reproductive strategies in two lacertid lizards (Takydromus wolteri and Eremias argus). Oecologia 2013, 172, 645–652. [Google Scholar] [CrossRef]
- Kim, B.-N.; Kim, J.-K.; Park, D. Mating behavior of the Mongolian racerunner (Eremias argus; Lacertidae, Reptilia). Anim. Cells Syst. 2012, 16, 337–342. [Google Scholar] [CrossRef][Green Version]
- Council, N.R. Guide for the Care and Use of Laboratory Animals; The National Academies Press: Washington, DC, USA, 2010. [Google Scholar]
- Amaral, M.J.; Sanchez-Hernandez, J.C.; Bicho, R.C.; Carretero, M.A.; Valente, R.; Faustino, A.M.; Soares, A.M.; Mann, R.M. Biomarkers of exposure and effect in a lacertid lizard (Podarcis bocagei Seoane) exposed to chlorpyrifos. Environ. Toxicol. Chem. 2012, 31, 2345–2353. [Google Scholar] [CrossRef]
- Chang, J.; Pan, Y.; Yang, L.; Xie, Y.; Xu, P.; Wang, H.J.E.P. Environmental relevant concentration of λ-cyhalothrin and 3-phenoxybenzoic acid caused endocrine-disrupting effects on male lizards (Eremias argus). Environ. Pollut. 2020, 265, 115077. [Google Scholar] [CrossRef] [PubMed]
- Etheridge, K.; Wit, L.C.; Sellers, J.C.; Trauth, S.E. Seasonal changes in reproductive condition and energy stores in Cnemidophorus sexlineatus. J. Herpetol. 1986, 20, 554–559. [Google Scholar] [CrossRef]
- Li, X.; Elwell, M.R.; Ryan, A.M.; Ochoa, R. Morphogenesis of postmortem hepatocyte vacuolation and liver weight increases in Sprague-Dawley rats. Toxicol. Pathol. 2003, 31, 682–688. [Google Scholar] [CrossRef] [PubMed]
- Hernansanz-Agustín, P.; Izquierdo-Álvarez, A.; Sánchez-Gómez, F.J.; Ramos, E.; Villa-Piña, T.; Lamas, S.; Bogdanova, A.; Martínez-Ruiz, A. Acute hypoxia produces a superoxide burst in cells. Free. Radic. Biol. Med. 2014, 71, 146–156. [Google Scholar] [CrossRef]
- Smith, K.A.; Waypa, G.B.; Schumacker, P.T. Redox signaling during hypoxia in mammalian cells. Redox Biol. 2017, 13, 228–234. [Google Scholar] [CrossRef]
- Kahraman, M.; Röske, A.; Laufer, T.; Fehlmann, T.; Backes, C.; Kern, F.; Kohlhaas, J.; Schrörs, H.; Saiz, A.; Zabler, C. MicroRNA in diagnosis and therapy monitoring of early-stage triple-negative breast cancer. Sci. Rep. 2018, 8, 11584. [Google Scholar] [CrossRef]
- Niu, Y.; Cao, W.; Zhao, Y.; Zhai, H.; Zhao, Y.; Tang, X.; Chen, Q. The levels of oxidative stress and antioxidant capacity in hibernating Nanorana parkeri. Comp. Biochem. Physiol. Part A Mol. Integr. Physiol. 2018, 219, 19–27. [Google Scholar] [CrossRef]
- Dave, K.R.; Christian, S.L.; Perez-Pinzon, M.A.; Drew, K.L. Neuroprotection: Lessons from hibernators. Comp. Biochem. Physiol. Part B Biochem. Mol. Biol. 2012, 162, 1–9. [Google Scholar] [CrossRef]
- Wickler, S.J.; Hoyt, D.F.; van Breukelen, F. Disuse atrophy in the hibernating golden-mantled ground squirrel, Spermophilus lateralis, American Journal of Physiology-Regulatory. Integr. Comp. Physiol. 1991, 261, R1214–R1217. [Google Scholar] [CrossRef]
- Hindle, A.G.; Otis, J.P.; Epperson, L.E.; Hornberger, T.A.; Goodman, C.A.; Carey, H.V.; Martin, S.L. Prioritization of skeletal muscle growth for emergence from hibernation. J. Exp. Biol. 2015, 218, 276–284. [Google Scholar] [CrossRef]
- Patnaik, P.; Sahoo, D.D. Variations in oxidative stress and antioxidant defense level during different phases of hibernation in common Asian toad, Duttaphrynus melanostictus. Biol. Open 2021, 10, bio058567. [Google Scholar] [CrossRef] [PubMed]
- Zena, L.A.; Dillon, D.; Hunt, K.E.; Navas, C.A.; Bícego, K.C.; Buck, C.L. Seasonal changes in plasma concentrations of the thyroid, glucocorticoid and reproductive hormones in the tegu lizard Salvator merianae. Gen. Comp. Endocrinol. 2018, 273, 134–143. [Google Scholar] [CrossRef] [PubMed]
- Chen, L.; Wang, D.; Zhang, W.; Wang, F.; Zhang, L.; Wang, Z.; Li, Y.; Zhou, Z.; Diao, J. Ecological risk assessment of alpha-cypermethrin-treated food ingestion and reproductive toxicity in reptiles. Ecotoxicol. Environ. Saf. 2019, 171, 657–664. [Google Scholar] [CrossRef] [PubMed]
- Woolley, S.C.; Sakata, J.T.; Crews, D. Evolutionary insights into the regulation of courtship behavior in male amphibians and reptiles. Physiol. Behav. 2004, 83, 347–360. [Google Scholar] [CrossRef]
- Joy, J.E.; Crews, D. Hibernation in garter snakes (Thamnophis Sirtalis Parietalis): Seasonal cycles of cold tolerance. Comp. Biochem. Physiol. A Comp. Physiol. 1987, 87, 1097–1101. [Google Scholar] [CrossRef]
- Edwards, A.; Jones, S.M. Changes in plasma progesterone, estrogen, and testosterone concentrations throughout the reproductive cycle in female viviparous blue-tongued skinks, Tiliqua nigrolutea (Scincidae), in Tasmania. Gen. Comp. Endocrinol. 2001, 35, 293–299. [Google Scholar] [CrossRef]
- Hamlin, H.J.; Lowers, R.H.; Satomi, K.; Naoko, M.W.; Haruna, A.; Akihiko, H.; Yasuhiko, O.; Shinichi, M.; Taisen, I.; Guillette, L.J. The reproductive hormone cycle of adult female American alligators from a barrier island population. Reproduction 2014, 147, 855–863. [Google Scholar] [CrossRef]
- Lance, V.A.; Rostal, D.C.; Elsey, R.M.; Iii, P.L.T. Ultrasonography of reproductive structures and hormonal correlates of follicular development in female American alligators, Alligator mississippiensis, in southwest Louisiana. Gen. Comp. Endocrinol. 2009, 162, 251–256. [Google Scholar] [CrossRef]
- Taylor, E.N.; Denardo, D.F.; Jennings, D.H. Seasonal steroid hormone levels and their relation to reproduction in the Western Diamond-backed Rattlesnake, Crotalus atrox (Serpentes: Viperidae). Gen. Comp. Endocrinol. 2004, 136, 328–337. [Google Scholar] [CrossRef]
- García-Valdez, S.C.M.V.; Jahn, G.A.; Arce, O.E.A.; Manes, M.E. Plasmatic estradiol and progesterone variations during the reproductive cycle of captive female argentine red tegu lizards, Tupinambis rufescens. Herpetol. Conserv. Biol. 2016, 11, 519–526. [Google Scholar]
- Li, M.; Cao, J.; Chen, J.; Song, J.; Zhou, B.; Feng, C.; Wang, J. Waterborne fluoride exposure changed the structure and the expressions of steroidogenic-related genes in gonads of adult zebrafish (Danio rerio). Chemosphere 2016, 145, 365–375. [Google Scholar] [CrossRef] [PubMed]
- Li, J.; Chang, J.; Li, W.; Guo, B.; Li, J.; Wang, H. Disruption of sex-hormone levels and steroidogenic-related gene expression on Mongolia Racerunner (Eremias argus) after exposure to triadimefon and its enantiomers. Chemosphere 2017, 171, 554–563. [Google Scholar] [CrossRef] [PubMed]
- Simpson, E.R.; Mahendroo, M.S.; Means, G.D.; Kilgore, M.W.; Hinshelwood, M.M.; Graham-Lorence, S. Aromatase cytochrome p450, the enzyme responsible for estrogen biosynthesis. Endocr. Rev. 1994, 15, 342–355. [Google Scholar] [PubMed]
- Nakamura, M.; Bhandari, R.K.; Higa, M. The role estrogens play in sex differentiation and sex changes of fish. Fish Physiol. Biochem. 2003, 28, 113–117. [Google Scholar] [CrossRef]
- Nakamura, M.; Kobayashi, Y.; Miura, S.; Alam, M.A.; Bhandari, R.K. Sex change in coral reef fish. Fish Physiol. Biochem. 2005, 31, 117–122. [Google Scholar] [CrossRef]
- Frisch, A. Sex-change and gonadal steroids in sequentially-hermaphroditic teleost fish. Rev. Fish Biol. Fish. 2004, 14, 481–499. [Google Scholar] [CrossRef]
- Okuno, A.; Kimura, F.K.; Shimizu, H.; Yoshidome, H.; Ohtsuka, M.; Kato, A.; Fukada, T.; Miyazaki, M. Effects of partial hepatic venous congestion on hepatic hemodynamics and histology. Hepato-Gastroenterol. 2010, 57, 127–133. [Google Scholar]
- Nayak, N.C.; Sathar, S.A.; Mughal, S.; Duttagupta, S.; Mathur, M.; Chopra, P. The nature and significance of liver cell vacuolation following hepatocellular injury--an analysis based on observations on rats rendered tolerant to hepatotoxic damage. Virchows Arch. Int. J. Pathol. 1996, 428, 353–365. [Google Scholar] [CrossRef]
- Moore, M.J.; Stegeman, J.J. Bromodeoxyuridine uptake in hydropic vacuolation and neoplasms in winter flounder liver. Mar. Environ. Res. 1992, 34, 13–18. [Google Scholar] [CrossRef]
- Trowell, O.A. The experimental production of watery vacuolation of the liver. J. Physiol. 1946, 105, 268. [Google Scholar] [CrossRef]
- Sandipan, P.; Emiko, K.; Jiro, K.; Seiichi, U.; Ghosh, A.R. Histopathological alterations in gill, liver and kidney of common carp exposed to chlorpyrifos. J. Environ. Sci. Health B 2012, 47, 180–195. [Google Scholar]
- Zancanaro, C.; Malatesta, M.; Mannello, F.; Vogel, P.; Fakan, S. The kidney during hibernation and arousal from hibernation. A natural model of organ preservation during cold ischaemia and reperfusion. Nephrol. Dial. Transplant. 1999, 14, 1982–1990. [Google Scholar] [CrossRef] [PubMed]
- Storey, K.B.; Storey, J.M. Metabolic rate depression and biochemical adaptation in anaerobiosis, hibernation and estivation. Q. Rev. Biol. 1990, 65, 145–174. [Google Scholar] [CrossRef] [PubMed]
- Nasrullah Rastegar-Pouyani, F.T. The Role of Hibernation on Testicular Cycle and Testicular Activation During Dormancy in Nature in Hibernating Lizards. Russ. J. Herpetol. 2010, 17, 251–254. [Google Scholar]
- Jones, T.M.; Anderson, W.; Fang, V.S.; Landau, R.L.; Rosenfield, R.L. Experimental cryptorchidism in adult male rats: Histological and hormonal sequelae. Anat. Rec. 1977, 189, 1–27. [Google Scholar] [CrossRef]
- D’Souza, U.J. Tamoxifen induced multinucleated cells (symplasts) and distortion of seminiferous tubules in rat testis. Asian J. Androl. 2003, 5, 217–220. [Google Scholar]








| Day | MC | MSM | MMO | FC | FSM | FMO |
|---|---|---|---|---|---|---|
| 0 | 0 | 0 | 0 | 0 | 0 | 0 |
| 15 | 4 | 6 | 2 | 3 | 5 | 2 |
| 30 | 3 | 3 | 2 | 1 | 2 | 4 |
| 45 | 0 | 0 | 0 | 1 | 0 | 0 |
| Total Deaths | 7 | 9 | 4 | 5 | 7 | 6 |
Disclaimer/Publisher’s Note: The statements, opinions and data contained in all publications are solely those of the individual author(s) and contributor(s) and not of MDPI and/or the editor(s). MDPI and/or the editor(s) disclaim responsibility for any injury to people or property resulting from any ideas, methods, instructions or products referred to in the content. |
© 2024 by the authors. Licensee MDPI, Basel, Switzerland. This article is an open access article distributed under the terms and conditions of the Creative Commons Attribution (CC BY) license (https://creativecommons.org/licenses/by/4.0/).
Share and Cite
Chen, L.; Diao, J.; Tian, Z.; Wang, D.; Zhang, W.; Zhang, L.; Wang, Z.; Zhou, Z.; Di, S. Gender-Specific Toxic Effects of S-Metolachlor and Its Metabolite on Hibernating Lizards: Implications for Reproductive Health and Ecosystem Vulnerability. Toxics 2024, 12, 834. https://doi.org/10.3390/toxics12110834
Chen L, Diao J, Tian Z, Wang D, Zhang W, Zhang L, Wang Z, Zhou Z, Di S. Gender-Specific Toxic Effects of S-Metolachlor and Its Metabolite on Hibernating Lizards: Implications for Reproductive Health and Ecosystem Vulnerability. Toxics. 2024; 12(11):834. https://doi.org/10.3390/toxics12110834
Chicago/Turabian StyleChen, Li, Jinling Diao, Zhongnan Tian, Dezhen Wang, Wenjun Zhang, Luyao Zhang, Zikang Wang, Zhiqiang Zhou, and Shanshan Di. 2024. "Gender-Specific Toxic Effects of S-Metolachlor and Its Metabolite on Hibernating Lizards: Implications for Reproductive Health and Ecosystem Vulnerability" Toxics 12, no. 11: 834. https://doi.org/10.3390/toxics12110834
APA StyleChen, L., Diao, J., Tian, Z., Wang, D., Zhang, W., Zhang, L., Wang, Z., Zhou, Z., & Di, S. (2024). Gender-Specific Toxic Effects of S-Metolachlor and Its Metabolite on Hibernating Lizards: Implications for Reproductive Health and Ecosystem Vulnerability. Toxics, 12(11), 834. https://doi.org/10.3390/toxics12110834

