Investigating the Role of OrbF in Biofilm Biosynthesis and Regulation of Biofilm-Associated Genes in Bacillus cereus BC1
Abstract
1. Introduction
2. Materials and Methods
2.1. Bacterial Strains and Growth Conditions
2.2. Construction of Transposon Mutagenesis Library
2.3. Constructing In-Frame Knockout Strains
2.4. Growth Curve of Different Strains
2.5. Biofilm Formation Assay
2.6. Swimming and Swarming Assay
2.7. RNA Extraction and Quantitative Real-Time PCR
2.8. OrbF Clone Expression, Preparation and Purification
2.9. Electrophoretic Mobility Shift Assay
2.10. Statistical Analysis
3. Results and Discussion
3.1. Transposon Efficiency
3.2. Screening of Key Genes for Biofilm Synthesis in Bacillus cereus
3.3. Identification of orbF, a Key Gene for Biofilm Synthesis in Bacillus cereus
3.4. OrbF Regulates BC1 Biofilm Synthesis, Flagellar Assembly, Bacterial Chemotaxis, and Community Sensing
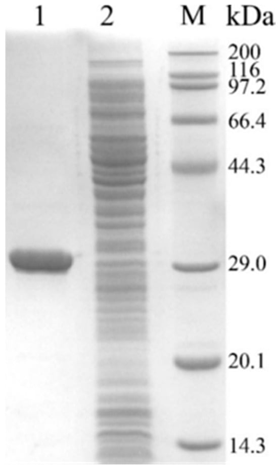
3.5. Cloning and Expression of OrbF
3.6. OrbF Positively Regulates the Fla/Che Operon
4. Discussion
Supplementary Materials
Author Contributions
Funding
Institutional Review Board Statement
Informed Consent Statement
Data Availability Statement
Conflicts of Interest
References
- Pires, S.M.; Desta, B.N.; Mughini-Gras, L.; Mmbaga, B.T.; Fayemi, O.E.; Salvador, E.M.; Gobena, T.; Majowicz, S.E.; Hald, T.; Hoejskov, P.S.; et al. Burden of foodborne diseases: Think global, act local. Curr. Opin. Food Sci. 2021, 39, 152–159. [Google Scholar] [CrossRef]
- Oliveira, M.; Carvalho, M.; Teixeira, P. Characterization of the Toxigenic Potential of Bacillus cereus sensu lato Isolated from Raw Berries and Their Products. Foods 2023, 12, 4021. [Google Scholar] [CrossRef] [PubMed]
- Gao, T.; Ding, Y.; Wu, Q.; Wang, J.; Zhang, J.; Yu, S.; Yu, P.; Liu, C.; Kong, L.; Feng, Z.; et al. Prevalence, Virulence Genes, Antimicrobial Susceptibility, and Genetic Diversity of Bacillus cereus Isolated from Pasteurized Milk in China. Front. Microbiol. 2018, 9, 533. [Google Scholar] [CrossRef]
- Gupta, P.; Sarkar, S.; Das, B.; Bhattacharjee, S.; Tribedi, P. Biofilm, pathogenesis and prevention--a journey to break the wall: A review. Arch. Microbiol. 2016, 198, 1–15. [Google Scholar] [CrossRef] [PubMed]
- Liu, C.; Yu, P.; Yu, S.; Wang, J.; Guo, H.; Zhang, Y.; Zhang, J.; Liao, X.; Li, C.; Wu, S.; et al. Assessment and molecular characterization of Bacillus cereus isolated from edible fungi in China. BMC Microbiol. 2020, 20, 310. [Google Scholar] [CrossRef]
- Kong, L.; Yu, S.; Yuan, X.; Li, C.; Yu, P.; Wang, J.; Guo, H.; Wu, S.; Ye, Q.; Lei, T.; et al. An Investigation on the Occurrence and Molecular Characterization of Bacillus cereus in Meat and Meat Products in China. Foodborne Pathog. Dis. 2021, 18, 306–314. [Google Scholar] [CrossRef]
- Zhang, Y.; Chen, M.; Yu, P.; Yu, S.; Wang, J.; Guo, H.; Zhang, J.; Zhou, H.; Chen, M.; Zeng, H.; et al. Prevalence, Virulence Feature, Antibiotic Resistance and MLST Typing of Bacillus cereus Isolated from Retail Aquatic Products in China. Front. Microbiol. 2020, 11, 1513. [Google Scholar] [CrossRef]
- Gram, L.; Ravn, L.; Rasch, M.; Bruhn, J.B.; Christensen, A.B.; Givskov, M. Food spoilage—Interactions between food spoilage bacteria. Int. J. Food Microbiol. 2002, 78, 79–97. [Google Scholar] [CrossRef]
- Cairns, L.S.; Hobley, L.; Stanley-Wall, N.R. Biofilm formation by Bacillus subtilis: New insights into regulatory strategies and assembly mechanisms. Mol. Microbiol. 2014, 93, 587–598. [Google Scholar] [CrossRef] [PubMed]
- Vlamakis, H.; Chai, Y.; Beauregard, P.; Losick, R.; Kolter, R. Sticking together: Building a biofilm the Bacillus subtilis way. Nat. Rev. Microbiol. 2013, 11, 157–168. [Google Scholar] [CrossRef]
- Slamti, L.; Lemy, C.; Henry, C.; Guillot, A.; Huillet, E.; Lereclus, D. CodY Regulates the Activity of the Virulence Quorum Sensor PlcR by Controlling the Import of the Signaling Peptide PapR in Bacillus thuringiensis. Front. Microbiol. 2015, 6, 1501. [Google Scholar] [CrossRef] [PubMed]
- Yan, F.; Yu, Y.; Gozzi, K.; Chen, Y.; Guo, J.H.; Chai, Y. Genome-Wide Investigation of Biofilm Formation in Bacillus cereus. Appl. Environ. Microbiol. 2017, 83, e00561-17. [Google Scholar] [CrossRef]
- Gastélum, G.; de la Torre, M.; Rocha, J. Rap Protein Paralogs of Bacillus thuringiensis: A Multifunctional and Redundant Regulatory Repertoire for the Control of Collective Functions. J. Bacteriol. 2020, 202, e00747-19. [Google Scholar] [CrossRef] [PubMed]
- Slamti, L.; Perchat, S.; Huillet, E.; Lereclus, D. Quorum sensing in Bacillus thuringiensis is required for completion of a full infectious cycle in the insect. Toxins 2014, 6, 2239–2255. [Google Scholar] [CrossRef]
- Verplaetse, E.; Slamti, L.; Gohar, M.; Lereclus, D. Cell Differentiation in a Bacillus thuringiensis Population during Planktonic Growth, Biofilm Formation, and Host Infection. mBio 2015, 6, e00138-15. [Google Scholar] [CrossRef] [PubMed]
- Li, Y.; Chen, N.; Wu, Q.; Liang, X.; Yuan, X.; Zhu, Z.; Zheng, Y.; Yu, S.; Chen, M.; Zhang, J.; et al. A Flagella Hook Coding Gene flgE Positively Affects Biofilm Formation and Cereulide Production in Emetic Bacillus cereus. Front. Microbiol. 2022, 13, 897836. [Google Scholar] [CrossRef]
- Slack, F.J.; Serror, P.; Joyce, E.; Sonenshein, A.L. A gene required for nutritional repression of the Bacillus subtilis dipeptide permease operon. Mol. Microbiol. 1995, 15, 689–702. [Google Scholar] [CrossRef] [PubMed]
- Yan, F.; Yu, Y.; Wang, L.; Luo, Y.; Guo, J.H.; Chai, Y. The comER Gene Plays an Important Role in Biofilm Formation and Sporulation in both Bacillus subtilis and Bacillus cereus. Front. Microbiol. 2016, 7, 1025. [Google Scholar] [CrossRef] [PubMed]
- Lin, Y.; Briandet, R.; Kovács, Á.T. Bacillus cereus sensu lato biofilm formation and its ecological importance. Biofilm 2022, 4, 100070. [Google Scholar] [CrossRef]
- Le Breton, Y.; Mohapatra, N.P.; Haldenwang, W.G. In vivo random mutagenesis of Bacillus subtilis by use of TnYLB-1, a mariner-based transposon. Appl. Environ. Microbiol. 2006, 72, 327–333. [Google Scholar] [CrossRef][Green Version]
- Tagawa, Y. Isolation and characterization of flagellar filaments from Bacillus cereus ATCC 14579. Antonie Van Leeuwenhoek 2014, 106, 1157–1165. [Google Scholar] [CrossRef]
- Chelliah, R.; Wei, S.; Park, B.J.; Kim, S.H.; Park, D.S.; Kim, S.H.; Hwan, K.S.; Oh, D.H. Novel motB as a potential predictive tool for identification of B. cereus, B. thuringiensis and differentiation from other Bacillus species by triplex real-time PCR. Microb. Pathog. 2017, 111, 22–27. [Google Scholar] [CrossRef] [PubMed]
- Sun, Y.; Wang, L.; Osire, T.; Fu, W.; Yi, G.; Yang, S.-T.; Yang, T.; Rao, Z. Comparative transcriptome analysis reveals metabolic regulation of prodigiosin in Serratia marcescens. Syst. Microbiol. Biomanuf. 2021, 1, 323–335. [Google Scholar] [CrossRef]
- Zhu, Y.; Ji, F.; Shang, H.; Zhu, Q.; Wang, P.; Xu, C.; Deng, Y.; Peng, D.; Ruan, L.; Sun, M. Gene clusters located on two large plasmids determine spore crystal association (SCA) in Bacillus thuringiensis subsp. finitimus strain YBT-020. PLoS ONE 2011, 6, e27164. [Google Scholar] [CrossRef]
- Arantes, O.; Lereclus, D. Construction of cloning vectors for Bacillus thuringiensis. Gene 1991, 108, 115–119. [Google Scholar] [CrossRef] [PubMed]
- Okshevsky, M.; Louw, M.G.; Lamela, E.O.; Nilsson, M.; Tolker-Nielsen, T.; Meyer, R.L. A transposon mutant library of Bacillus cereus ATCC 10987 reveals novel genes required for biofilm formation and implicates motility as an important factor for pellicle-biofilm formation. Microbiologyopen 2018, 7, e00552. [Google Scholar] [CrossRef] [PubMed]
- Pan, X.; Sun, C.; Tang, M.; You, J.; Osire, T.; Zhao, Y.; Xu, M.; Zhang, X.; Shao, M.; Yang, S.; et al. LysR-Type Transcriptional Regulator MetR Controls Prodigiosin Production, Methionine Biosynthesis, Cell Motility, H(2)O(2) Tolerance, Heat Tolerance, and Exopolysaccharide Synthesis in Serratia marcescens. Appl. Environ. Microbiol. 2020, 86, e02241-19. [Google Scholar] [CrossRef]
- Sun, Y.; Wang, L.; Osire, T.; Fu, W.; Yi, G.; Yang, S.T.; Yang, T.; Rao, Z. Enhanced Prodigiosin Production in Serratia marcescens JNB5-1 by Introduction of a Polynucleotide Fragment into the pigN 3′ Untranslated Region and Disulfide Bonds into O-Methyl Transferase (PigF). Appl. Environ. Microbiol. 2021, 87, e0054321. [Google Scholar] [CrossRef]
- Sun, Y.; Wang, L.; Pan, X.; Osire, T.; Fang, H.; Zhang, H.; Yang, S.T.; Yang, T.; Rao, Z. Improved Prodigiosin Production by Relieving CpxR Temperature-Sensitive Inhibition. Front. Bioeng. Biotechnol. 2020, 8, 344. [Google Scholar] [CrossRef]
- Vilain, S.; Pretorius, J.M.; Theron, J.; Brözel, V.S. DNA as an adhesin: Bacillus cereus requires extracellular DNA to form biofilms. Appl. Environ. Microbiol. 2009, 75, 2861–2868. [Google Scholar] [CrossRef]
- Bugert, P.; Geider, K. Molecular analysis of the ams operon required for exopolysaccharide synthesis of Erwinia amylovora. Mol. Microbiol. 1995, 15, 917–933. [Google Scholar] [CrossRef]
- Chai, Y.; Beauregard, P.B.; Vlamakis, H.; Losick, R.; Kolter, R. Galactose metabolism plays a crucial role in biofilm formation by Bacillus subtilis. mBio 2012, 3, e00184-12. [Google Scholar] [CrossRef] [PubMed]
- Houry, A.; Briandet, R.; Aymerich, S.; Gohar, M. Involvement of motility and flagella in Bacillus cereus biofilm formation. Microbiology 2010, 156, 1009–1018. [Google Scholar] [CrossRef] [PubMed]
- Lindbäck, T.; Mols, M.; Basset, C.; Granum, P.E.; Kuipers, O.P.; Kovács, Á.T. CodY, a pleiotropic regulator, influences multicellular behaviour and efficient production of virulence factors in Bacillus cereus. Environ. Microbiol. 2012, 14, 2233–2246. [Google Scholar] [CrossRef] [PubMed]
- Gohar, M.; Faegri, K.; Perchat, S.; Ravnum, S.; Økstad, O.A.; Gominet, M.; Kolstø, A.B.; Lereclus, D. The PlcR virulence regulon of Bacillus cereus. PLoS ONE 2008, 3, e2793. [Google Scholar] [CrossRef]
- Slamti, L.; Lereclus, D. A cell-cell signaling peptide activates the PlcR virulence regulon in bacteria of the Bacillus cereus group. Embo J. 2002, 21, 4550–4559. [Google Scholar] [CrossRef]
- Gélis-Jeanvoine, S.; Canette, A.; Gohar, M.; Caradec, T.; Lemy, C.; Gominet, M.; Jacques, P.; Lereclus, D.; Slamti, L. Genetic and functional analyses of krs, a locus encoding kurstakin, a lipopeptide produced by Bacillus thuringiensis. Res. Microbiol. 2017, 168, 356–368. [Google Scholar] [CrossRef]
- Hsueh, Y.H.; Somers, E.B.; Lereclus, D.; Wong, A.C. Biofilm formation by Bacillus cereus is influenced by PlcR, a pleiotropic regulator. Appl. Environ. Microbiol. 2006, 72, 5089–5092. [Google Scholar] [CrossRef]
- Chmielewski, R.A.N.; Frank, J.F. Biofilm Formation and Control in Food Processing Facilities. Compr. Rev. Food Sci. Food Saf. 2003, 2, 22–32. [Google Scholar] [CrossRef]
- Flemming, H.C.; Wuertz, S. Bacteria and archaea on Earth and their abundance in biofilms. Nat. Rev. Microbiol. 2019, 17, 247–260. [Google Scholar] [CrossRef]
- Bisht, K.; Luecke, A.R.; Wakeman, C.A. Temperature-specific adaptations and genetic requirements in a biofilm formed by Pseudomonas aeruginosa. Front. Microbiol. 2022, 13, 1032520. [Google Scholar] [CrossRef] [PubMed]
- Li, Y.; Hu, X.; Ruan, J.; Arola, D.D.; Ji, C.; Weir, M.D.; Oates, T.W.; Chang, X.; Zhang, K.; Xu, H.H.K. Bonding durability, antibacterial activity and biofilm pH of novel adhesive containing antibacterial monomer and nanoparticles of amorphous calcium phosphate. J. Dent. 2019, 81, 91–101. [Google Scholar] [CrossRef] [PubMed]
- Dehbanipour, R.; Ghalavand, Z. Acinetobacter baumannii: Pathogenesis, virulence factors, novel therapeutic options and mechanisms of resistance to antimicrobial agents with emphasis on tigecycline. J. Clin. Pharm. Ther. 2022, 47, 1875–1884. [Google Scholar] [CrossRef] [PubMed]
- Caro-Astorga, J.; Frenzel, E.; Perkins, J.R.; Álvarez-Mena, A.; de Vicente, A.; Ranea, J.A.G.; Kuipers, O.P.; Romero, D. Biofilm formation displays intrinsic offensive and defensive features of Bacillus cereus. NPJ Biofilms Microbiomes 2020, 6, 3. [Google Scholar] [CrossRef] [PubMed]
- Li, S.; Zhang, B.; Hu, J.; Zhong, Y.; Sun, Y.; Nie, S. Utilization of four galactans by Bacteroides thetaiotaomicron A4 based on transcriptome. Food Front. 2021, 2, 218–231. [Google Scholar] [CrossRef]
- Dempwolff, F.; Sanchez, S.; Kearns, D.B. TnFLX: A Third-Generation mariner-Based Transposon System for Bacillus subtilis. Appl. Environ. Microbiol. 2020, 86, e02893-19. [Google Scholar] [CrossRef] [PubMed]
- Meeske, A.J.; Rodrigues, C.D.; Brady, J.; Lim, H.C.; Bernhardt, T.G.; Rudner, D.Z. High-Throughput Genetic Screens Identify a Large and Diverse Collection of New Sporulation Genes in Bacillus subtilis. PLoS Biol. 2016, 14, e1002341. [Google Scholar] [CrossRef]
- Wang, P.; Guo, Q.; Ma, Y.; Li, S.; Lu, X.; Zhang, X.; Ma, P. DegQ regulates the production of fengycins and biofilm formation of the biocontrol agent Bacillus subtilis NCD-2. Microbiol. Res. 2015, 178, 42–50. [Google Scholar] [CrossRef]







| Time | Transposition Efficiency (%) | |||||
|---|---|---|---|---|---|---|
| 40 °C | 42 °C | 44 °C | 46 °C | 48 °C | 50 °C | |
| 4 | 21.46 ± 0.32 d | 24.68 ± 0.37 d | 29.35 ± 0.41 d | 34.76 ± 0.37 d | 12.34 ± 0.18 c | 11.98 ± 0.19 b |
| 6 | 36.77 ± 0.41 c | 37.41 ± 0.41 c | 41.26 ± 0.46 c | 48.23 ± 0.51 c | 19.78 ± 0.21 b | 29.16 ± 0.26 a |
| 8 | 42.59 ± 0.41 b | 44.16 ± 0.48 b | 57.26 ± 0.32 b | 71.17 ± 0.61 b | 28.93 ± 0.28 a | - |
| 10 | 52.76 ± 0.32 a | 59.39 ± 0.32 a | 76.47 ± 0.32 a | 89.77 ± 0.32 a | - | - |
| Mutant | Gene (bp) | Product |
|---|---|---|
| NJS-1-11 | J8Y18_20970 (303) | type II secretion system protein |
| NJS-1-15 | J8Y18_08450 (774) | flagellar basal body rod protein FlgG |
| NJS-1-21 | J8Y18_14985 (276) | TIGR04197 family type VII secretion effector |
| NJS-1-36 | J8Y18_22350 (789) | flagellar motor protein MotB |
| NJS-1-57 | J8Y18_08360 (1221) | flagellar hook protein FlgE |
| NJS-1-89 | J8Y18_07220 (1623) | nitrite/sulfite reductase |
| NJS-2-24 | J8Y18_10090 (366) | cupin |
| NJS-2-38 | J8Y18_18390 (1083) | chitinase |
| NJS-2-59 | J8Y18_18430 (228) | hypothetical protein |
| NJS-2-72 | J8Y18_22905 (423) | hypothetical protein |
| NJS-3-02 | J8Y18_08480 (360) | hypothetical protein |
| NJS-3-46 | J8Y18_03975 (597) | hypothetical protein |
| NJS-3-78 | J8Y18_05105 (777) | RNA polymerase sigma factor SigB |
| NJS-3-82 | J8Y18_01585 (714) | response regulator transcription factor |
| NJS-3-93 | J8Y18_16035 (678) | response regulator transcription factor |
| NJS-4-11 | J8Y18_09555 (690) | response regulator transcription factor |
| NJS-4-21 | J8Y18_19300 (456) | UDP-N-acetylmuramate dehydrogenase |
| NJS-4-68 | J8Y18_04490 (1491) | coproporphyrinogen III oxidase |
| NJS-4-79 | J8Y18_07090 (510) | acetolactate synthase small subunit |
| NJS-5-10 | J8Y18_17815 (2424) | DNA topoisomerase IV subunit A |
| NJS-5-26 | J8Y18_25845 (1761) | phosphomethylpyrimidine synthase ThiC |
| NJS-5-26 | J8Y18_13760 (1194) | glycosyl transferase family 1 |
| NJS-5-58 | J8Y18_01690 (1308) | adenylosuccinate lyase |
| NJS-5-73 | J8Y18_08880 (804) | UDP-galactose-lipid carrier transferase |
Disclaimer/Publisher’s Note: The statements, opinions and data contained in all publications are solely those of the individual author(s) and contributor(s) and not of MDPI and/or the editor(s). MDPI and/or the editor(s) disclaim responsibility for any injury to people or property resulting from any ideas, methods, instructions or products referred to in the content. |
© 2024 by the authors. Licensee MDPI, Basel, Switzerland. This article is an open access article distributed under the terms and conditions of the Creative Commons Attribution (CC BY) license (https://creativecommons.org/licenses/by/4.0/).
Share and Cite
Sun, Y.; Shuai, W.; Nie, L.; Li, X.; Jiang, L. Investigating the Role of OrbF in Biofilm Biosynthesis and Regulation of Biofilm-Associated Genes in Bacillus cereus BC1. Foods 2024, 13, 638. https://doi.org/10.3390/foods13050638
Sun Y, Shuai W, Nie L, Li X, Jiang L. Investigating the Role of OrbF in Biofilm Biosynthesis and Regulation of Biofilm-Associated Genes in Bacillus cereus BC1. Foods. 2024; 13(5):638. https://doi.org/10.3390/foods13050638
Chicago/Turabian StyleSun, Yang, Wenjing Shuai, Lanmengya Nie, Xiangfei Li, and Ling Jiang. 2024. "Investigating the Role of OrbF in Biofilm Biosynthesis and Regulation of Biofilm-Associated Genes in Bacillus cereus BC1" Foods 13, no. 5: 638. https://doi.org/10.3390/foods13050638
APA StyleSun, Y., Shuai, W., Nie, L., Li, X., & Jiang, L. (2024). Investigating the Role of OrbF in Biofilm Biosynthesis and Regulation of Biofilm-Associated Genes in Bacillus cereus BC1. Foods, 13(5), 638. https://doi.org/10.3390/foods13050638

