The Effects of High-Pressure Processing Pre-Treatment on Apple Fruit for Juice Production
Abstract
1. Introduction
2. Materials and Methods
2.1. Samples and Storage
2.2. Choice of the Best Processing Condition and Apple Fruit Characterisation
2.2.1. High-Pressure Processing (HPP)
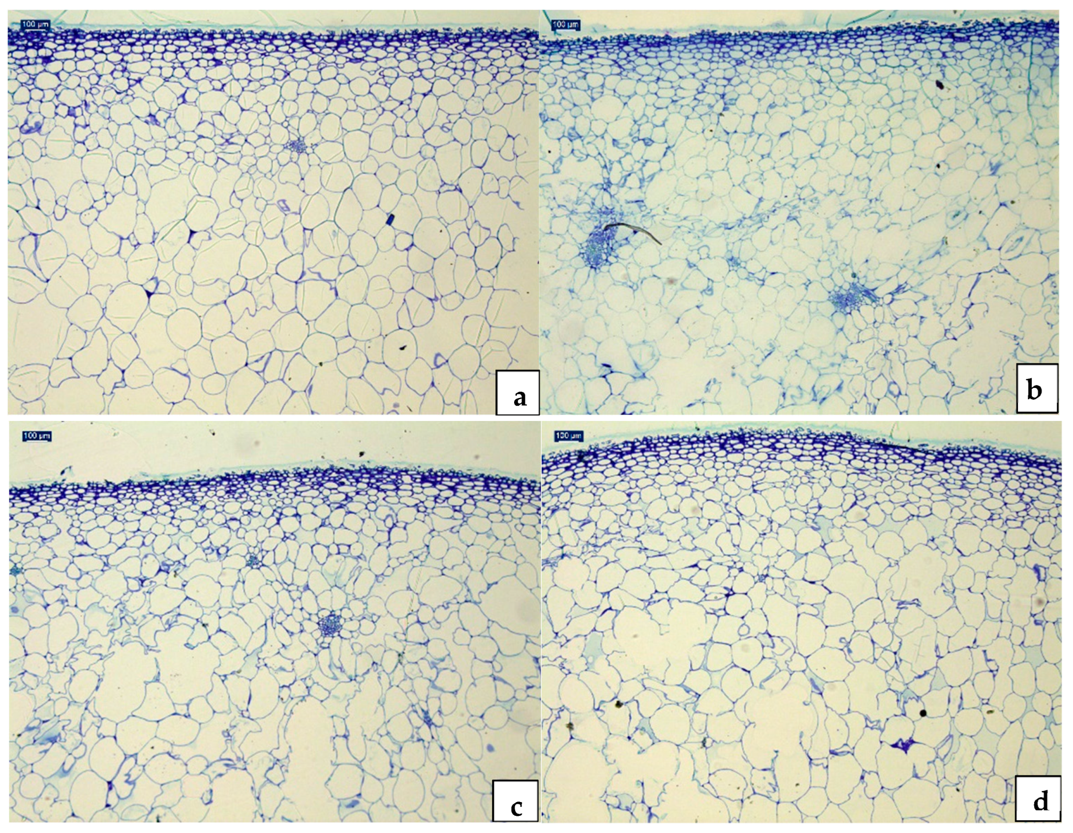
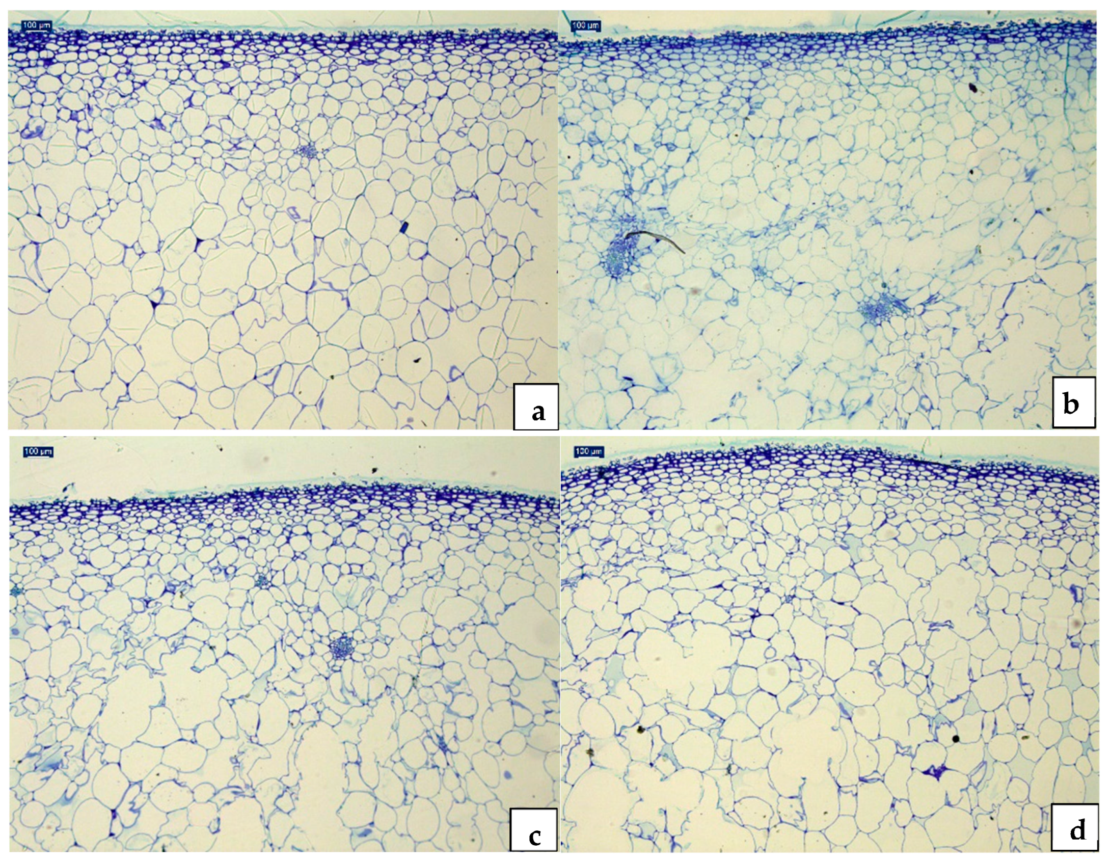
2.2.2. Histological Analysis of Apple Fruits
2.2.3. Physical Analysis of Apple Fruits
2.2.4. Texture Evaluation of Apple Fruits
2.2.5. Colour, Sucrose, Malic Acid, and Epicatechin Contents of Apple Measurements
2.3. Target Quality Analyses of Apple Juice
2.3.1. Juice Extraction and Thermal Pasteurisation (TP)
2.3.2. Colour Measurement of Juices
2.3.3. Viscosity of Juices
2.3.4. Total Antioxidant Capacity (TAC) and Total Phenolic Content (TPC)
2.4. Statistical Analysis
3. Results
3.1. Choice of the Best Processing Condition and Apple Fruit Characterisation
3.1.1. Microstructure Observation and Treatment Evaluation
3.1.2. Physical Analysis of Apple Fruits
3.1.3. Texture Profile of Apple Fruits
3.1.4. Colour, Sucrose, Malic Acid, and Epicatechin Contents of Apple Fruits
3.2. Target Quality Analyses of Apple Juice
3.2.1. Colour Measurement
3.2.2. Viscosity
3.2.3. Total Antioxidant Capacity (TAC) and Total Phenolic Content (TPC)
4. Conclusions
Author Contributions
Funding
Institutional Review Board Statement
Informed Consent Statement
Data Availability Statement
Conflicts of Interest
References
- FAOSTAT. Food and Agriculture Organization of the United Nations. 2022. Available online: http://www.fao.org (accessed on 21 March 2024).
- Lyu, F.; Luiz, S.F.; Azeredo, D.R.P.; Cruz, A.G.; Ajlouni, S.; Ranadheera, C.S. Apple Pomace as a Functional and Healthy Ingredient in Food Products: A Review. Processes 2020, 8, 319. [Google Scholar] [CrossRef]
- Włodarska, K.; Pawlak-Lemańska, K.; Górecki, T.; Sikorska, E. Factors Influencing Consumers’ Perceptions of Food: A Study of Apple Juice Using Sensory and Visual Attention Methods. Foods 2019, 8, 545. [Google Scholar] [CrossRef] [PubMed]
- Putnik, P.; Bursać Kovačević, D.; Herceg, K.; Levaj, B. Influence of Antibrowning Solutions, Air Exposure, and Ultrasound on Color Changes in Fresh-Cut Apples during Storage. J. Food Process. Preserv. 2017, 41, e13288. [Google Scholar] [CrossRef]
- Fernández García, A.; Butz, P.; Tauscher, B. Does the Antioxidant Potential of High Pressure Treated Apple Juice Change during Storage? High Press. Res. 2000, 19, 153–160. [Google Scholar] [CrossRef]
- Yi, J.; Kebede, B.T.; Dang, D.N.H.; Buvé, C.; Grauwet, T.; Van Loey, A.; Hu, X.; Hendrickx, M. Quality Change during High Pressure Processing and Thermal Processing of Cloudy Apple Juice. LWT 2017, 75, 85–92. [Google Scholar] [CrossRef]
- Wibowo, S.; Essel, E.A.; De Man, S.; Bernaert, N.; Van Droogenbroeck, B.; Grauwet, T.; Van Loey, A.; Hendrickx, M. Comparing the Impact of High Pressure, Pulsed Electric Field and Thermal Pasteurization on Quality Attributes of Cloudy Apple Juice Using Targeted and Untargeted Analyses. Innov. Food Sci. Emerg. Technol. 2019, 54, 64–77. [Google Scholar] [CrossRef]
- Paciulli, M.; Medina Meza, I.G.; Rinaldi, M.; Ganino, T.; Pugliese, A.; Rodolfi, M.; Barbanti, D.; Morbarigazzi, M.; Chiavaro, E. Improved Physicochemical and Structural Properties of Blueberries by High Hydrostatic Pressure Processing. Foods 2019, 8, 272. [Google Scholar] [CrossRef] [PubMed]
- De Ancos, B.; Rodrigo, M.J.; Sánchez-Moreno, C.; Cano, M.P.; Zacarías, L. Effect of High-Pressure Processing Applied as Pretreatment on Carotenoids, Flavonoids and Vitamin C in Juice of the Sweet Oranges ‘Navel’ and the Red-Fleshed ‘Cara Cara’. Food Res. Int. 2020, 132, 109105. [Google Scholar] [CrossRef] [PubMed]
- Castro, S.M.; Saraiva, J.A.; Lopes-da-Silva, J.A.; Delgadillo, I.; Van Loey, A.; Smout, C.; Hendrickx, M. Effect of Thermal Blanching and of High Pressure Treatments on Sweet Green and Red Bell Pepper Fruits (Capsicum annuum L.). Food Chem. 2008, 107, 1436–1449. [Google Scholar] [CrossRef]
- Tangwongchai, R.; Ledward, D.A.; Ames, J.M. Effect of High-Pressure Treatment on the Texture of Cherry Tomato. J. Agric. Food Chem. 2000, 48, 1434–1441. [Google Scholar] [CrossRef]
- Marigheto, N.; Vial, A.; Wright, K.; Hills, B. A Combined NMR and Microstructural Study of the Effect of High-Pressure Processing on Strawberries. Appl. Magn. Reson. 2004, 26, 521–531. [Google Scholar] [CrossRef]
- Rinaldi, M.; Littardi, P.; Ganino, T.; Aldini, A.; Rodolfi, M.; Barbanti, D.; Chiavaro, E. Comparison of Physical, Microstructural, Antioxidant and Enzymatic Properties of Pineapple Cubes Treated with Conventional Heating, Ohmic Heating and High-Pressure Processing. LWT 2020, 134, 110207. [Google Scholar] [CrossRef]
- Denoya, G.I.; Vaudagna, S.R.; Polenta, G. Effect of High Pressure Processing and Vacuum Packaging on the Preservation of Fresh-Cut Peaches. LWT-Food Sci. Technol. 2015, 62, 801–806. [Google Scholar] [CrossRef]
- Andreou, V.; Kourmbeti, E.; Dimopoulos, G.; Psarianos, M.; Katsaros, G.; Taoukis, P. Optimization of Virgin Olive Oil Yield and Quality Applying Nonthermal Processing. Food Bioprocess Technol. 2022, 15, 891–903. [Google Scholar] [CrossRef]
- Cripps, J.E.L.; Richards, L.A.; Mairata, A.M. Pink Lady’apple. HortScience 1993, 28, 1057. [Google Scholar] [CrossRef]
- Neri, D. Low-Input Apple Production in Central Italy: Tree and Soil Management. J. Fruit Ornam. Plant Res. 2004, 12, 69–76. [Google Scholar]
- D’Abrosca, B.; Pacifico, S.; Cefarelli, G.; Mastellone, C.; Fiorentino, A. ‘Limoncella’ Apple, an Italian Apple Cultivar: Phenolic and Flavonoid Contents and Antioxidant Activity. Food Chem. 2007, 104, 1333–1337. [Google Scholar] [CrossRef]
- Ruzin, S. Plant Microtechnique and Microscopy; Oxford University Press: Cary, NC, USA, 1999. [Google Scholar]
- Dhenge, R.; Langialonga, P.; Alinovi, M.; Lolli, V.; Aldini, A.; Rinaldi, M. Evaluation of Quality Parameters of Orange Juice Stabilized by Two Thermal Treatments (Helical Heat Exchanger and Ohmic Heating) and Non-Thermal (High-Pressure Processing). Food Control 2022, 141, 109150. [Google Scholar] [CrossRef]
- Kolniak-Ostek, J.; Oszmiański, J.; Wojdyło, A. Effect of L-Ascorbic Acid Addition on Quality, Polyphenolic Compounds and Antioxidant Capacity of Cloudy Apple Juices. Eur. Food Res. Technol. 2013, 236, 777–798. [Google Scholar] [CrossRef]
- Suárez-Jacobo, Á.; Rüfer, C.E.; Gervilla, R.; Guamis, B.; Roig-Sagués, A.X.; Saldo, J. Influence of Ultra-High Pressure Homogenisation on Antioxidant Capacity, Polyphenol and Vitamin Content of Clear Apple Juice. Food Chem. 2011, 127, 447–454. [Google Scholar] [CrossRef]
- Oszmianski, J.; Wolniak, M.; Wojdylo, A.; Wawer, I. Comparative Study of Polyphenolic Content and Antiradical Activity of Cloudy and Clear Apple Juices. J. Sci. Food Agric. 2007, 87, 573–579. [Google Scholar] [CrossRef]
- Cicco, N.; Lattanzio, V. The Influence of Initial Carbonate Concentration on the Folin-Ciocalteu Micro-Method for the Determination of Phenolics with Low Concentration in the Presence of Me-Thanol: A Comparative Study of Real-Time Monitored Reactions. Am. J. Anal. Chem. 2011, 2, 840. [Google Scholar] [CrossRef][Green Version]
- Briones-Labarca, V.; Venegas-Cubillos, G.; Ortiz-Portilla, S.; Chacana-Ojeda, M.; Maureira, H. Effects of High Hydrostatic Pressure (HHP) on Bioaccessibility, as Well as Antioxidant Activity, Mineral and Starch Contents in Granny Smith Apple. Food Chem. 2011, 128, 520–529. [Google Scholar] [CrossRef] [PubMed]
- Paciulli, M.; Rinaldi, M.; Rodolfi, M.; Ganino, T.; Morbarigazzi, M.; Chiavaro, E. Effects of High Hydrostatic Pressure on Physico-Chemical and Structural Properties of Two Pumpkin Species. Food Chem. 2019, 274, 281–290. [Google Scholar] [CrossRef] [PubMed]
- Zhou, L.; Guan, Y.; Bi, J.; Liu, X.; Yi, J.; Chen, Q.; Wu, X.; Zhou, M. Change of the Rheological Properties of Mango Juice by High Pressure Homogenization. LWT-Food Sci. Technol. 2017, 82, 121–130. [Google Scholar] [CrossRef]
- Kaushik, N.; Kaur, B.P.; Rao, P.S. Application of High Pressure Processing for Shelf Life Extension of Litchi Fruits (Litchi chinensis Cv. Bombai) during Refrigerated Storage. Food Sci. Technol. Int. 2014, 20, 527–541. [Google Scholar] [CrossRef]
- Martínez-Hernández, G.B.; Álvarez-Hernández, M.H.; Artés-Hernández, F. Browning Control Using Cyclodextrins in High Pressure–Treated Apple Juice. Food Bioprocess Technol. 2019, 12, 694–703. [Google Scholar] [CrossRef]
- Podsędek, A.; Wilska-Jeszka, J.; Anders, B.; Markowski, J. Compositional Characterisation of Some Apple Varieties. Eur. Food Res. Technol. 2000, 210, 268–272. [Google Scholar] [CrossRef]
- Barba, F.J.; Esteve, M.J.; Frígola, A. High Pressure Treatment Effect on Physicochemical and Nutritional Properties of Fluid Foods During Storage: A Review. Comp. Rev. Food Sci. Food Saf. 2012, 11, 307–322. [Google Scholar] [CrossRef]
- Francini, A.; Sebastiani, L. Phenolic Compounds in Apple (Malus x domestica Borkh.): Compounds Characterization and Stability during Postharvest and after Processing. Antioxidants 2013, 2, 181–193. [Google Scholar] [CrossRef]
- Xu, J.; Wang, Y.; Zhang, X.; Zhao, Z.; Yang, Y.; Yang, X.; Wang, Y.; Liao, X.; Zhao, L. A Novel Method of a High Pressure Processing Pre-Treatment on the Juice Yield and Quality of Persimmon. Foods 2021, 10, 3069. [Google Scholar] [CrossRef] [PubMed]
- Fraeye, I.; Colle, I.; Vandevenne, E.; Duvetter, T.; Van Buggenhout, S.; Moldenaers, P.; Van Loey, A.; Hendrickx, M. Influence of Pectin Structure on Texture of Pectin–Calcium Gels. Innov. Food Sci. Emerg. Technol. 2010, 11, 401–409. [Google Scholar] [CrossRef]
- Ravichandran, C.; Jayachandran, L.E.; Kothakota, A.; Pandiselvam, R.; Balasubramaniam, V.M. Influence of High Pressure Pasteurization on Nutritional, Functional and Rheological Characteristics of Fruit and Vegetable Juices and Purees-an Updated Review. Food Control 2023, 146, 109516. [Google Scholar] [CrossRef]
- Imeh, U.; Khokhar, S. Distribution of Conjugated and Free Phenols in Fruits: Antioxidant Activity and Cultivar Variations. J. Agric. Food Chem. 2002, 50, 6301–6306. [Google Scholar] [CrossRef]




| Samples | Weight (g) | Volume (ml) | Transversal Diameter (cm) | Longitudinal Diameter (cm) | Juice Yield (%) | Hardness (N) |
|---|---|---|---|---|---|---|
| LIM | ||||||
| Untr | 166.5 ± 13.4 a | 205.6 ± 13.3 a | 7.21 ± 0.14 a | 6.86 ± 0.35 a | 70.8 ± 5.8 a | 21.4 ± 2.3 a |
| 200 MPa | 157.3 ± 14.7 b | 160.0 ± 0.3 b | 6.36 ± 0.32 b | 6.37 ± 0.32 b | 54.3 ± 3.4 b | 18.1 ± 1.3 b |
| 400 MPa | 156.9 ± 9.4 c | 162.7 ± 10.9 b | 6.48 ± 0.36 b | 6.15 ± 0.36 b | 54.9 ± 3.5 b | 17.9 ± 1.9 bc |
| 600 MPa | 156.1 ± 15.1 c | 155.7 ± 13.06 c | 6.33 ± 0.25 b | 6.28 ± 0.43 b | 49.5 ± 3.3 c | 16.8 ± 1.2 c |
| PL | ||||||
| Untr | 159.5 ± 11.3 a | 198.5 ± 14.1 a | 6.18 ± 0.16 a | 7.82 ± 0.39 a | 67.8 ± 4.7 a | 19.5 ± 1.7 a |
| 200 MPa | 146.3 ± 09.2 c | 154.9 ± 0.2 bc | 5.33 ± 0.25 b | 5.34 ± 0.41 b | 57.2 ± 2.3 b | 15.2 ± 1.6 b |
| 400 MPa | 148.8 ± 9.1 b | 159.8 ± 08.7 b | 5.42 ± 0.43 b | 4.16 ± 0.33 b | 49.8 ± 2.5 c | 13.9 ± 0.85 bc |
| 600 MPa | 144.1 ± 13.0 bc | 151.8 ± 11.8 c | 5.31 ± 0.19 b | 5.27 ± 0.47 b | 51.5 ± 2.3 bc | 11.5 ± 1.23 c |
| LIM | PL | |||
|---|---|---|---|---|
| Untr | HPP | Untr | HPP | |
| Pulp | ||||
| L* | 78.8 ± 2.3 | 50.0 ± 2.2 | 83.6 ± 1.1 ** | 56.4 ± 2.2 |
| a* | 3.9 ± 1.1 | 6.0 ± 1.3 | −1.4 ± 0.4 ** | 7.7 ± 1.0 |
| b* | 30.0 ± 4.6 | 23.0 ± 1.4 | 22.7 ± 2.1 | 19.7 ± 2.1 |
| Peel | ||||
| L* | 73.2 ± 2.0 ** | 53.0 ± 2.8 | 65.3 ± 5.2 | 51.6 ± 6.4 |
| a* | 0.2 ± 3.3 * | 7.6 ± 2.3 | 4.1 ± 6.7 | 8.9 ± 6.9 |
| b* | 42.7 ± 4.3 ** | 20.7 ± 3.4 | 25.5 ± 5.7 | 19.4 ± 4.9 |
| Sucrose (g/100mL) | 7.7 ± 1.2 | 7.9 ± 0.9 | 13.4 ± 0.9 | 13.1 ± 1.3 |
| Malic acid (g/100mL) | 0.65 ± 0.06 * | 0.59 ± 0.06 | 2.32 ± 0.22 | 2.14 ± 0.11 |
| Epicatechin (mg/100mL) | 51.6 ± 3.9 | 54.5 ± 2.7 * | 11.2 ± 1.9 | 20.8 ± 1.5 * |
| LIM | ||||||
|---|---|---|---|---|---|---|
| Untr | HPP | |||||
| Time (months) | L* | a* | b* | L* | a* | b* |
| 0 | 44.6 ± 2.3 a | −1.58 ± 0.03 c | 16.6 ± 0.1 a | 43.3 ± 0.2 a | −1.71 ± 0.01 ab* | 14.3 ± 0.52 a* |
| 1 | 44.5 ± 1.8 a | −1.56 ± 0.09 c | 15.7 ± 0.9 b | 43.6 ± 0.8 a | −1.78 ± 0.03 ab* | 14.3 ± 0.4 a* |
| 2 | 44.4 ± 1.3 a | −1.42 ± 0.05 c | 14.9 ± 0.6 bc | 43.6 ± 1.1 a | −1.63 ± 0.02 a* | 14.2 ± 0.1 a |
| 4 | 44.2 ± 1.0 a | −1.20 ± 0.05 b | 13.3 ± 1.0 c | 44.0 ± 0.8 a | −1.65 ± 0.06 a* | 13.9 ± 0.7 ab |
| 6 | 44.0 ± 2.2 a | −0.71 ± 0.02 a | 13.6 ± 0.3 c | 44.2 ± 0.3 a | −1.86 ± 0.12 b* | 13.3 ± 1.1 ab |
| 9 | 43.7 ± 1.1 b | −1.21 ± 0.04 b | 14.3 ± 0.3 bc | 42.5 ± 1.0 b | −1.62 ± 0.06 a* | 12.0 ± 1.1 b* |
| PL | ||||||
| Untr | HPP | |||||
| L* | a* | b* | L* | a* | b* | |
| 0 | 42.1 ± 0.3 a | −2.21 ± 0.03 c | 7.1 ± 0.1 b | 40.0 ± 1.1 ab | −2.14 ± 0.02 bc | 5.1 ± 0.21 c* |
| 1 | 42.0 ± 0.8 a | −2.00 ± 0.02 c | 7.1 ± 1.1 b | 41.6 ± 0.8 ab | −2.34 ± 0.06 c* | 5.2 ± 0.8 c* |
| 2 | 41.9 ± 0.5 a | −1.79 ± 0.04 b | 7.1 ± 1.3 b | 40.6 ± 1.9 ab | −2.43 ± 0.01 c* | 5.3 ± 0.9 c* |
| 4 | 41.8 ± 1.3 a | −1.41 ± 0.01 b | 7.0 ± 1.0 b | 39.6 ± 1.8 b | −2.37 ± 0.05 c* | 5.6 ± 0.5 b* |
| 6 | 41.6 ± 0.2 a | −1.07 ± 0.03 ab | 6.9 ± 1.2 b | 43.2 ± 0.7 a | −1.92 ± 0.02 b* | 5.7 ± 1.3 b* |
| 9 | 41.4 ± 1.8 a | −0.61 ± 0.06 a | 7.7 ± 1.3 a | 38.4 ± 0.8 b* | −0.56 ± 0.08 a | 6.2 ± 1.0 a* |
Disclaimer/Publisher’s Note: The statements, opinions and data contained in all publications are solely those of the individual author(s) and contributor(s) and not of MDPI and/or the editor(s). MDPI and/or the editor(s) disclaim responsibility for any injury to people or property resulting from any ideas, methods, instructions or products referred to in the content. |
© 2024 by the authors. Licensee MDPI, Basel, Switzerland. This article is an open access article distributed under the terms and conditions of the Creative Commons Attribution (CC BY) license (https://creativecommons.org/licenses/by/4.0/).
Share and Cite
Rinaldi, M.; Dhenge, R.; Rodolfi, M.; Littardi, P.; Lacey, K.; Cavazza, A.; Grimaldi, M.; Lolli, V.; Cirlini, M.; Chiancone, B.; et al. The Effects of High-Pressure Processing Pre-Treatment on Apple Fruit for Juice Production. Foods 2024, 13, 2182. https://doi.org/10.3390/foods13142182
Rinaldi M, Dhenge R, Rodolfi M, Littardi P, Lacey K, Cavazza A, Grimaldi M, Lolli V, Cirlini M, Chiancone B, et al. The Effects of High-Pressure Processing Pre-Treatment on Apple Fruit for Juice Production. Foods. 2024; 13(14):2182. https://doi.org/10.3390/foods13142182
Chicago/Turabian StyleRinaldi, Massimiliano, Rohini Dhenge, Margherita Rodolfi, Paola Littardi, Karen Lacey, Antonella Cavazza, Maria Grimaldi, Veronica Lolli, Martina Cirlini, Benedetta Chiancone, and et al. 2024. "The Effects of High-Pressure Processing Pre-Treatment on Apple Fruit for Juice Production" Foods 13, no. 14: 2182. https://doi.org/10.3390/foods13142182
APA StyleRinaldi, M., Dhenge, R., Rodolfi, M., Littardi, P., Lacey, K., Cavazza, A., Grimaldi, M., Lolli, V., Cirlini, M., Chiancone, B., & Ganino, T. (2024). The Effects of High-Pressure Processing Pre-Treatment on Apple Fruit for Juice Production. Foods, 13(14), 2182. https://doi.org/10.3390/foods13142182

