Effects of Heating Treatment on Functional and Structural Properties of Liquid Whole Egg
Abstract
1. Introduction
2. Materials and Methods
2.1. Materials
2.2. Methods
2.2.1. LWE Samples Preparation
2.2.2. Solubility Determination
2.2.3. Determination of Emulsifying Properties
2.2.4. Determination of Foaming Properties
2.2.5. Determination of Free Sulfhydryl Content
2.2.6. The Determination of Surface Hydrophobicity
2.2.7. Sodium Dodecyl Sulphate–Polyacrylamide Gel Electrophoresis (SDS-PAGE)
2.2.8. Rheological Properties
2.3. Statistical Analysis
3. Results and Discussion
3.1. Appearance and Solubility
3.2. Emulsifying Properties
3.3. Foaming Activity
3.4. Surface Hydrophobicity and Sulfhydryl Group Content
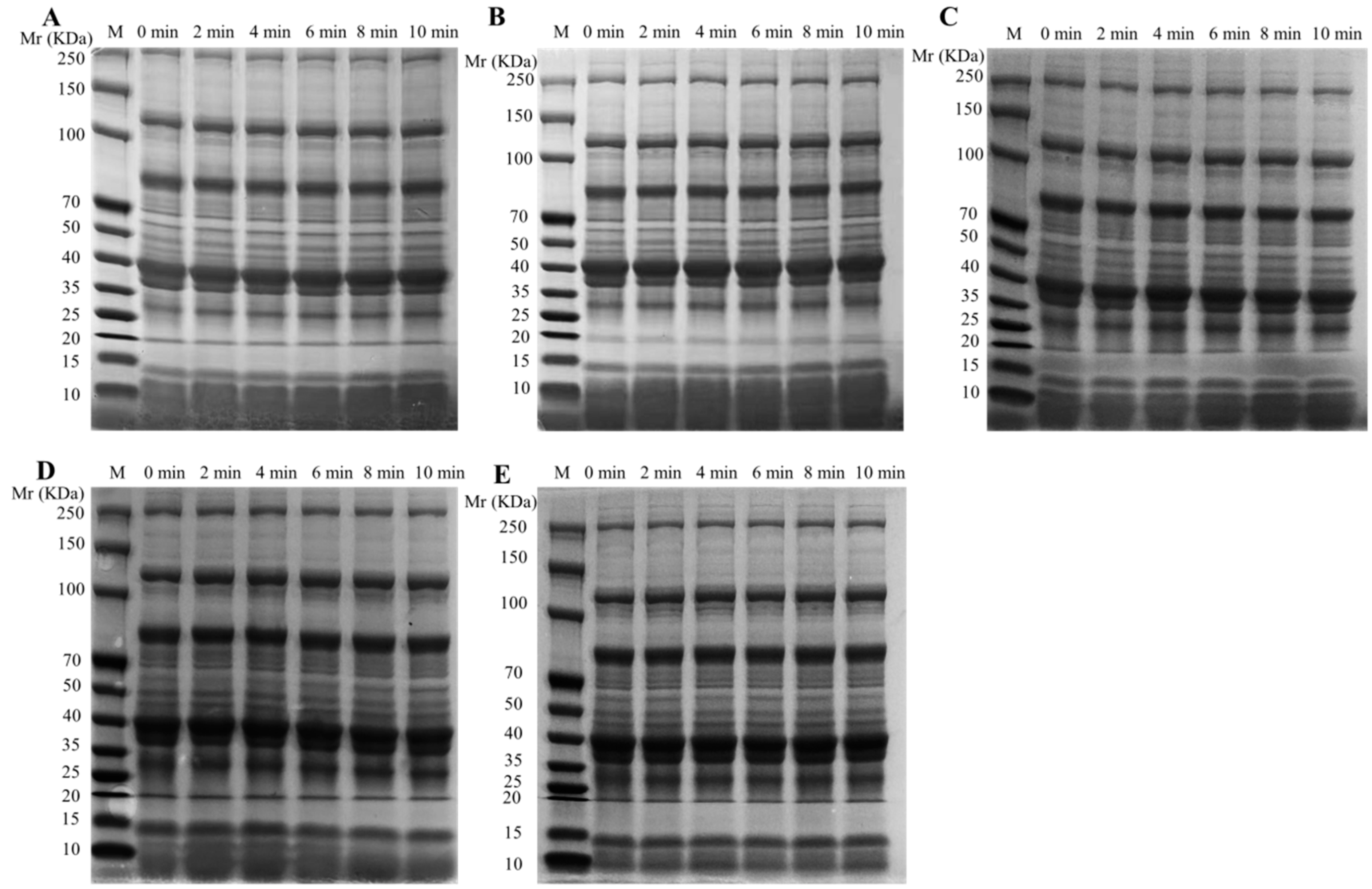
3.5. SDS-PAGE
3.6. Rheological Properties
4. Conclusions
Author Contributions
Funding
Data Availability Statement
Conflicts of Interest
References
- Uysal:, R.S.; Boyacı, İ.H.; Soykut, E.A.; Ertaş, N. Effects of Heat Treatment Parameters on Liquid Whole Egg Proteins. Food Chem. 2017, 216, 201–208. [Google Scholar] [CrossRef] [PubMed]
- Bi, X.; Wang, X.; Chen, Y.; Chen, L.; Xing, Y.; Che, Z. Effects of Combination Treatments of Lysozyme and High Power Ultrasound on the Salmonella Typhimurium Inactivation and Quality of Liquid Whole Egg. Ultrason. Sonochem. 2020, 60, 104763. [Google Scholar] [CrossRef] [PubMed]
- Ping, T.; Feng, Z.; Yuliang, H.; Hongbing, C.; Jinyan, G. Effect of Sodium Salt Substitute on the Functional Properties of Liquid Whole Egg. Food Sci. 2022, 43, 52. [Google Scholar] [CrossRef]
- Alamprese, C.; Cigarini, M.; Brutti, A. Effects of Ohmic Heating on Technological Properties of Whole Egg. Innov. Food Sci. Emerg. Technol. 2019, 58, 102244. [Google Scholar] [CrossRef]
- Hamid-Samimi, M.; Swartzel, K.R.; Ball, H.R. Flow Behavior of Liquid Whole Egg During Thermal Treatments. J. Food Sci. 1984, 49, 132–136. [Google Scholar] [CrossRef]
- Martín-Belloso, O.; Vega-Mercado, H.; Qin, B.L.; Chang, F.J.; Barbosa-Canovas, G.V.; Swanson, B.C. Inactivation of Escherichia Coli Suspended in Liquid Egg Using Pulsed Electric Fields. J. Food Process. Preserv. 1997, 21, 193–208. [Google Scholar] [CrossRef]
- Tang, D.; Wang, R.; He, X.; Chen, X.; Huo, X.; Lü, X.; Shan, Y. Comparison of the Edible Quality of Liquid Egg with Different Cooking Methods and Their Antioxidant Activity after in Vitro Digestion. Food Res. Int. 2021, 140, 110013. [Google Scholar] [CrossRef]
- Ngarize, S.; Adams, A.; Howell, N. A Comparative Study of Heat and High Pressure Induced Gels of Whey and Egg Albumen Proteins and Their Binary Mixtures. Food Hydrocoll. 2005, 19, 984–996. [Google Scholar] [CrossRef]
- Nolasco, E.; Yang, J.; Ciftci, O.; Vu, D.C.; Alvarez, S.; Purdum, S.; Majumder, K. Evaluating the Effect of Cooking and Gastrointestinal Digestion in Modulating the Bio-Accessibility of Different Bioactive Compounds of Eggs. Food Chem. 2021, 344, 128623. [Google Scholar] [CrossRef]
- Razi, S.M.; Fahim, H.; Amirabadi, S.; Rashidinejad, A. An Overview of the Functional Properties of Egg White Proteins and Their Application in the Food Industry. Food Hydrocoll. 2023, 135, 108183. [Google Scholar] [CrossRef]
- Bot, F.; Cossuta, D.; O’Mahony, J.A. Inter-Relationships between Composition, Physicochemical Properties and Functionality of Lecithin Ingredients. Trends Food Sci. Technol. 2021, 111, 261–270. [Google Scholar] [CrossRef]
- Jin, D.; Wei, J.; He, F.; Chai, T.; Ren, S.; Fu, J.; Chen, Y. Effect of Tea Polyphenols on Sturgeon Myofibrillar Protein Structure in the in Vitro Anti-Glycation Model Mediated by Low Temperature Vacuum Heating. Food Chem. 2023, 407, 135133. [Google Scholar] [CrossRef] [PubMed]
- Liu, X.; Wang, J.; Liu, L.; Cheng, L.; Huang, Q.; Wu, D.; Peng, L.; Shi, X.; Li, S.; Geng, F. Quantitative N-Glycoproteomic Analyses Provide Insights into the Effects of Thermal Processes on Egg White Functional Properties. Food Chem. 2021, 342, 128252. [Google Scholar] [CrossRef]
- Yao, J.J.; Tanteeratarm, K.; Wei, L.S. Effects of Maturation and Storage on Solubility, Emulsion Stability and Gelation Properties of Isolated Soy Proteins. J. Am. Oil Chem. Soc. 1990, 67, 974–979. [Google Scholar] [CrossRef]
- Raymundo, A.; Empis, J.; Sousa, I. Method to Evaluate Foaming Performance. J. Food Eng. 1998, 36, 445–452. [Google Scholar] [CrossRef]
- Pi, X.; Liu, J.; Sun, Y.; Ban, Q.; Cheng, J.; Guo, M. Heat-Induced Changes in Epitopes and IgE Binding Capacity of Soybean Protein Isolate. Food Chem. 2023, 405, 134830. [Google Scholar] [CrossRef]
- Wang, X.-S.; Tang, C.-H.; Li, B.-S.; Yang, X.-Q.; Li, L.; Ma, C.-Y. Effects of High-Pressure Treatment on Some Physicochemical and Functional Properties of Soy Protein Isolates. Food Hydrocoll. 2008, 22, 560–567. [Google Scholar] [CrossRef]
- Cui, Q.; Sun, Y.; Cheng, J.; Guo, M. Effect of Two-Step Enzymatic Hydrolysis on the Antioxidant Properties and Proteomics of Hydrolysates of Milk Protein Concentrate. Food Chem. 2022, 366, 130711. [Google Scholar] [CrossRef]
- Sheng, L.; Zu, L.; Ma, M. Study of High Pressure Carbon Dioxide on the Physicochemical, Interfacial and Rheological Properties of Liquid Whole Egg. Food Chem. 2021, 337, 127989. [Google Scholar] [CrossRef]
- Li, J.; Wang, C.; Zhang, M.; Zhai, Y.; Zhou, B.; Su, Y.; Yang, Y. Effects of Selected Phosphate Salts on Gelling Properties and Water State of Whole Egg Gel. Food Hydrocoll. 2018, 77, 1–7. [Google Scholar] [CrossRef]
- Li, J.; Zhang, M.; Chang, C.; Gu, L.; Peng, N.; Su, Y.; Yang, Y. Molecular Forces and Gelling Properties of Heat-Set Whole Chicken Egg Protein Gel as Affected by NaCl or PH. Food Chem. 2018, 261, 36–41. [Google Scholar] [CrossRef] [PubMed]
- Li, J.; Wang, C.; Gu, L.; Su, Y.; Chang, C.; Yang, Y. Gel Properties of Salty Liquid Whole Egg as Affected by Preheat Treatment. J. Food Sci. Technol. 2020, 57, 877–885. [Google Scholar] [CrossRef] [PubMed]
- Van der Plancken, I.; Van Loey, A.; Hendrickx, M.E. Kinetic Study on the Combined Effect of High Pressure and Temperature on the Physico-Chemical Properties of Egg White Proteins. J. Food Eng. 2007, 78, 206–216. [Google Scholar] [CrossRef]
- Lu, Z.; Lee, P.-R.; Yang, H. Synergistic Adsorption of Surface-Active Components at the Air-Liquid Interface Improves Foaming Properties of Plant-Based Egg Analogues. Food Hydrocoll. 2023, 137, 108414. [Google Scholar] [CrossRef]
- Hu, W.; Wu, Y.; Chen, H.; Gao, J.; Tong, P. Effects of Glucose and Homogenization Treatment on the Quality of Liquid Whole Eggs. Foods 2022, 11, 2521. [Google Scholar] [CrossRef]
- Lomakina, K.; Míková, K. A Study of the Factors Affecting the Foaming Properties of Egg White—A Review. Czech J. Food Sci. 2006, 24, 110–118. [Google Scholar] [CrossRef]
- Rossi, M.; Casiraghi, E.; Primavesi, L.; Pompei, C.; Hidalgo, A. Functional Properties of Pasteurised Liquid Whole Egg Products as Affected by the Hygienic Quality of the Raw Eggs. LWT Food Sci. Technol. 2010, 43, 436–441. [Google Scholar] [CrossRef]
- Bakwo Bassogog, C.B.; Nyobe, C.E.; Ngui, S.P.; Minka, S.R.; Mune Mune, M.A. Effect of Heat Treatment on the Structure, Functional Properties and Composition of Moringa Oleifera Seed Proteins. Food Chem. 2022, 384, 132546. [Google Scholar] [CrossRef]
- Li, J.; Wang, C.; Chang, C.; Jiao, H.; Su, Y.; Gu, L.; Yang, Y.; Yu, H. Changes in Stability and in Vitro Digestion of Egg-protein Stabilized Emulsions and β -carotene Gels in the Presence of Sodium Tripolyphosphate. J. Sci. Food Agric. 2021, 101, 5591–5598. [Google Scholar] [CrossRef]
- Van der Plancken, I.; Van Loey, A.; Hendrickx, M.E. Foaming Properties of Egg White Proteins Affected by Heat or High Pressure Treatment. J. Food Eng. 2007, 78, 1410–1426. [Google Scholar] [CrossRef]
- Yang, Y.; Zhao, Y.; Xu, M.; Wu, N.; Yao, Y.; Du, H.; Liu, H.; Tu, Y. Changes in Physico-Chemical Properties, Microstructure and Intermolecular Force of Preserved Egg Yolk Gels during Pickling. Food Hydrocoll. 2019, 89, 131–142. [Google Scholar] [CrossRef]
- Qing, M.; Zang, J.; Ma, Y.; Chi, Y.; Chi, Y. Effects of Rice Vinegar Treatment on the Antioxidant Activities and Protein Structures of Whole Egg Liquid before and after Gastrointestinal Digestion. Food Chem. 2023, 404, 134574. [Google Scholar] [CrossRef] [PubMed]
- Malik, M.A.; Saini, C.S. Heat Treatment of Sunflower Protein Isolates near Isoelectric Point: Effect on Rheological and Structural Properties. Food Chem. 2019, 276, 554–561. [Google Scholar] [CrossRef] [PubMed]
- de Souza, P.M.; Fernández, A. Rheological Properties and Protein Quality of UV-C Processed Liquid Egg Products. Food Hydrocoll. 2013, 31, 127–134. [Google Scholar] [CrossRef]
- Kumbár, V.; Ondrušíková, S.; Trost, D.; Polcar, A.; Nedomová, Š. Rheological and Flow Behaviour of Yolk, Albumen and Liquid Whole Egg from Eggs of Six Different Poultry Species. Foods 2021, 10, 3130. [Google Scholar] [CrossRef]







| Sample | K (pa·s2) | n |
|---|---|---|
| Con | 0.01093 | 0.02884 |
| 55 °C | 0.01458 | 0.02823 |
| 58 °C | 0.01894 | 0.03443 |
| 61 °C | 0.04444 | 0.02660 |
| 64 °C | 0.05878 | 0.02920 |
Disclaimer/Publisher’s Note: The statements, opinions and data contained in all publications are solely those of the individual author(s) and contributor(s) and not of MDPI and/or the editor(s). MDPI and/or the editor(s) disclaim responsibility for any injury to people or property resulting from any ideas, methods, instructions or products referred to in the content. |
© 2023 by the authors. Licensee MDPI, Basel, Switzerland. This article is an open access article distributed under the terms and conditions of the Creative Commons Attribution (CC BY) license (https://creativecommons.org/licenses/by/4.0/).
Share and Cite
Wang, H.; Ma, Y.; Chi, Y. Effects of Heating Treatment on Functional and Structural Properties of Liquid Whole Egg. Foods 2023, 12, 1474. https://doi.org/10.3390/foods12071474
Wang H, Ma Y, Chi Y. Effects of Heating Treatment on Functional and Structural Properties of Liquid Whole Egg. Foods. 2023; 12(7):1474. https://doi.org/10.3390/foods12071474
Chicago/Turabian StyleWang, Huiyong, Yanqiu Ma, and Yujie Chi. 2023. "Effects of Heating Treatment on Functional and Structural Properties of Liquid Whole Egg" Foods 12, no. 7: 1474. https://doi.org/10.3390/foods12071474
APA StyleWang, H., Ma, Y., & Chi, Y. (2023). Effects of Heating Treatment on Functional and Structural Properties of Liquid Whole Egg. Foods, 12(7), 1474. https://doi.org/10.3390/foods12071474
