Modified Structural and Functional Properties of Fish Gelatin by Glycosylation with Galacto-Oligosaccharides
Abstract
1. Introduction
2. Materials and Methods
2.1. Materials
2.2. Preparation of Glycosylated FG
2.3. Analysis of Grafting Degree
2.4. Browning Degree Analysis
2.5. FG Structure Analysis
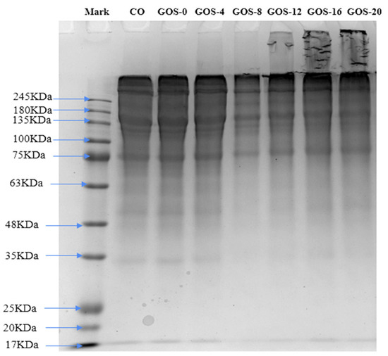
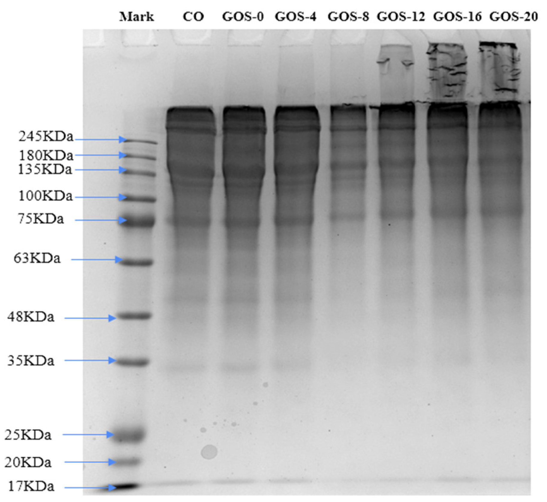
2.5.1. Protein Patterns
2.5.2. Surface Hydrophobicity
2.5.3. Intrinsic Fluorescence
2.5.4. Fourier Transform Infrared
2.5.5. Circular Dichroism (CD) Spectrum
2.6. Emulsifying Properties Analysis
2.6.1. Emulsion Activity Index (EAI) and Emulsion Stability Index (ESI)
2.6.2. Microscopic Observation of Emulsion Droplet
2.7. Foaming Properties Analysis
2.8. Gel Strength Analysis
2.9. Statistical Analysis
3. Results and Discussions
3.1. GD and Browning
3.2. SDS-PAGE
3.3. Surface Hydrophobicity and Intrinsic Fluorescence
3.4. FTIR and Secondary Structure
3.5. Functional Properties of Glycosylated FG
3.5.1. Emulsification Properties
3.5.2. Foaming Properties
3.5.3. Gel Properties
4. Conclusions
Author Contributions
Funding
Data Availability Statement
Conflicts of Interest
References
- Karim, A.A.; Bhat, R. Fish Gelatin: Properties, Challenges, and Prospects as an Alternative to Mammalian Gelatins. Food Hydrocoll. 2009, 23, 563–576. [Google Scholar] [CrossRef]
- Nitsuwat, S.; Zhang, P.; Ng, K.; Fang, Z. Fish Gelatin as an Alternative to Mammalian Gelatin for Food Industry: A Meta-Analysis. LWT 2021, 141, 110899. [Google Scholar] [CrossRef]
- Derkach, S.R.; Voron’ko, N.G.; Kuchina, Y.A.; Kolotova, D.S. Modified Fish Gelatin as an Alternative to Mammalian Gelatin in Modern Food Technologies. Polymers 2020, 12, 3051. [Google Scholar] [CrossRef] [PubMed]
- Huang, T.; Tu, Z.; Shangguan, X.; Sha, X.; Wang, H.; Zhang, L.; Bansal, N. Fish Gelatin Modifications: A Comprehensive Review. Trends Food Sci. Technol. 2019, 86, 260–269. [Google Scholar] [CrossRef]
- Yang, H.; Wang, H.; Huang, M.; Cao, G.; Tao, F.; Shen, Q.; Zhou, G.; Yang, H. Repurposing Fish Waste into Gelatin as a Potential Alternative for Mammalian Sources: A Review. Comp. Rev. Food Sci. Food Safe 2022, 21, 942–963. [Google Scholar] [CrossRef]
- Kołodziejska, I.; Kaczorowski, K.; Piotrowska, B.; Sadowska, M. Modification of the Properties of Gelatin from Skins of Baltic Cod (Gadus morhua) with Transglutaminase. Food Chem. 2004, 86, 203–209. [Google Scholar] [CrossRef]
- Wangtueai, S.; Noomhorm, A.; Regenstein, J.M. Effect of Microbial Transglutaminase on Gel Properties and Film Characteristics of Gelatin from Lizardfish (Saurida spp.) Scales. J. Food Sci. 2010, 75, C731–C739. [Google Scholar] [CrossRef]
- Cen, S.; Zhang, L.; Liu, L.; Lou, Q.; Wang, C.; Huang, T. Phosphorylation Modification on Functional and Structural Properties of Fish Gelatin: The Effects of Phosphate Contents. Food Chem. 2022, 380, 132209. [Google Scholar] [CrossRef]
- Zhao, H.; Kang, X.; Zhou, X.; Tong, L.; Yu, W.; Zhang, J.; Yang, W.; Lou, Q.; Huang, T. Glycosylation Fish Gelatin with Gum Arabic: Functional and Structural Properties. LWT 2021, 139, 110634. [Google Scholar] [CrossRef]
- Bedis Kaynarca, G.; Gümüş, T.; Damla Altan Kamer, D. Rheological Properties of Fish (Sparus aurata) Skin Gelatin Modified by Agricultural Wastes Extracts. Food Chem. 2022, 393, 133348. [Google Scholar] [CrossRef]
- Biscarat, J.; Galea, B.; Sanchez, J.; Pochat-Bohatier, C. Effect of Chemical Cross-Linking on Gelatin Membrane Solubility with a Non-Toxic and Non-Volatile Agent: Terephthalaldehyde. Int. J. Biol. Macromol. 2015, 74, 5–11. [Google Scholar] [CrossRef] [PubMed]
- Karayannakidis, P.D.; Zotos, A. Physicochemical Properties of Yellowfin Tuna (Thunnus albacares) Skin Gelatin and Its Modification by the Addition of Various Coenhancers: Modification of Yellowfin Tuna Skin Gelatin. J. Food Process. Preserv. 2015, 39, 530–538. [Google Scholar] [CrossRef]
- Yuan, K.; Luo, S.; Zhang, H.; Yang, X.; Zhang, S.; Yang, X.; Guo, Y. Physical Modification on Gelation of Fish Gelatin by Incorporating Nicandra physalodes (Linn.) Gaertn. Pectin: Effect of Monovalent and Divalent Cation Ions. Food Chem. 2023, 405, 134932. [Google Scholar] [CrossRef]
- Sezer, P.; Okur, I.; Oztop, M.H.; Alpas, H. Improving the Physical Properties of Fish Gelatin by High Hydrostatic Pressure (HHP) and Ultrasonication (US). Int. J. Food Sci. Technol. 2020, 55, 1468–1476. [Google Scholar] [CrossRef]
- Sung, W.-C.; Chen, Z.-Y. UV Treatment and γ Irradiation Processing on Improving Porcine and Fish Gelatin and Qualities of Their Premix Mousse. Radiat. Phys. Chem. 2014, 97, 208–211. [Google Scholar] [CrossRef]
- Zhang, Q.; Li, L.; Lan, Q.; Li, M.; Wu, D.; Chen, H.; Liu, Y.; Lin, D.; Qin, W.; Zhang, Z.; et al. Protein Glycosylation: A Promising Way to Modify the Functional Properties and Extend the Application in Food System. Crit. Rev. Food Sci. Nutr. 2019, 59, 2506–2533. [Google Scholar] [CrossRef] [PubMed]
- Zhang, Y.; Xu, J.; Zhang, T.; Tao, L.; Nie, Y.; Wang, X.; Zhong, J. Effect of Carbon Numbers and Structures of Monosaccharides on the Glycosylation and Emulsion Stabilization Ability of Gelatin. Food Chem. 2022, 389, 133128. [Google Scholar] [CrossRef]
- Guo, W.; Ding, K.; Su, K.; Sun, W.; Zhan, S.; Lou, Q.; Huang, T. Ultrasonic-Assisted Glycosylation with Glucose on the Functional and Structural Properties of Fish Gelatin. Gels 2023, 9, 119. [Google Scholar] [CrossRef]
- Krumbeck, J.A.; Rasmussen, H.E.; Hutkins, R.W.; Clarke, J.; Shawron, K.; Keshavarzian, A.; Walter, J. Probiotic Bifidobacterium Strains and Galactooligosaccharides Improve Intestinal Barrier Function in Obese Adults but Show No Synergism When Used Together as Synbiotics. Microbiome 2018, 6, 121. [Google Scholar] [CrossRef]
- Sims, I.M.; Tannock, G.W. Galacto- and Fructo-Oligosaccharides Utilized for Growth by Cocultures of Bifidobacterial Species Characteristic of the Infant Gut. Appl. Environ. Microbiol. 2020, 86, e00214-20. [Google Scholar] [CrossRef]
- Wang, L.; Wu, M.; Liu, H.-M. Emulsifying and Physicochemical Properties of Soy Hull Hemicelluloses-Soy Protein Isolate Conjugates. Carbohydr. Polym. 2017, 163, 181–190. [Google Scholar] [CrossRef]
- Bostar, M.; Hosseini, E. Improving the Functional Properties of Fish Gelatin by Conjugation with the Water-Soluble Fraction of Bitter Almond Gum. Food Sci. Biotechnol. 2021, 30, 55–63. [Google Scholar] [CrossRef] [PubMed]
- Ai, M.; Xiao, N.; Jiang, A. Molecular Structural Modification of Duck Egg White Protein Conjugates with Monosaccharides for Improving Emulsifying Capacity. Food Hydrocoll. 2021, 111, 106271. [Google Scholar] [CrossRef]
- Pan, J.; Jia, H.; Shang, M.; Li, Q.; Xu, C.; Wang, Y.; Wu, H.; Dong, X. Effects of Deodorization by Powdered Activated Carbon, β-Cyclodextrin and Yeast on Odor and Functional Properties of Tiger Puffer (Takifugu rubripes) Skin Gelatin. Int. J. Biol. Macromol. 2018, 118, 116–123. [Google Scholar] [CrossRef]
- Pan, J.; Lian, H.; Jia, H.; Li, S.; Hao, R.; Wang, Y.; Zhang, X.; Dong, X. Ultrasound Treatment Modified the Functional Mode of Gallic Acid on Properties of Fish Myofibrillar Protein. Food Chem. 2020, 320, 126637. [Google Scholar] [CrossRef] [PubMed]
- Huang, T.; Tu, Z.-C.; Shangguan, X.; Wang, H.; Zhang, N.; Zhang, L.; Sha, X. Gelation Kinetics and Characterization of Enzymatically Enhanced Fish Scale Gelatin–Pectin Coacervate. J. Sci. Food Agric. 2018, 98, 1024–1032. [Google Scholar] [CrossRef]
- Wang, Y.; Jia, H.; Hao, R.; Mráz, J.; Pu, Y.; Li, S.; Dong, X.; Pan, J. Gelling and Emulsifying Properties of Tiger Puffer (Takifugu rubripes) Skin Gelatin as Manipulated by PH. J. Mol. Liq. 2023, 369, 120886. [Google Scholar] [CrossRef]
- Liu, Y.; Xia, L.; Jia, H.; Li, Q.; Jin, W.; Dong, X.; Pan, J. Physiochemical and Functional Properties of Chum Salmon (Oncorhynchus Keta) Skin Gelatin Extracted at Different Temperatures: Chum Salmon Skin Gelatin Extracted at Different Temperatures. J. Sci. Food Agric. 2017, 97, 5406–5413. [Google Scholar] [CrossRef]
- Niknam, R.; Mousavi, M.; Kiani, H. Comprehensive Evaluation of Emulsifying and Foaming Properties of Gleditsia Caspica Seed Galactomannan as a New Source of Hydrocolloid: Effect of Extraction Method. Food Hydrocoll. 2022, 131, 107758. [Google Scholar] [CrossRef]
- Wang, Y.; Zhang, A.; Wang, Y.; Wang, X.; Xu, N.; Jiang, L. Effects of Irradiation on the Structure and Properties of Glycosylated Soybean Proteins. Food Funct. 2020, 11, 1635–1646. [Google Scholar] [CrossRef]
- Pan, J.; Li, Q.; Jia, H.; Xia, L.; Jin, W.; Shang, M.; Xu, C.; Dong, X. Physiochemical and Functional Properties of Tiger Puffer (Takifugu rubripes) Skin Gelatin as Affected by Extraction Conditions. Int. J. Biol. Macromol. 2018, 109, 1045–1053. [Google Scholar] [CrossRef]
- Zhang, B. Improvement of Emulsifying Properties of Oat Protein Isolate–Dextran Conjugates by Glycation. Carbohydr. Polym. 2015, 127, 168–175. [Google Scholar] [CrossRef] [PubMed]
- Zhao, C.; Yin, H.; Yan, J.; Qi, B.; Liu, J. Structural and Physicochemical Properties of Soya Bean Protein Isolate/Maltodextrin Mixture and Glycosylation Conjugates. Int. J. Food Sci. Technol. 2020, 55, 3315–3326. [Google Scholar] [CrossRef]
- Somjai, C. Utilization of Maillard Reaction in Moist-Dry-Heating System to Enhance Physicochemical and Antioxidative Properties of Dried Whole Longan Fruit. Heliyon 2021, 7, e07094. [Google Scholar] [CrossRef]
- Liu, J.; Ru, Q.; Ding, Y. Glycation a Promising Method for Food Protein Modification: Physicochemical Properties and Structure, a Review. Food Res. Int. 2012, 49, 170–183. [Google Scholar] [CrossRef]
- Sha, X.-M.; Tu, Z.-C.; Liu, W.; Wang, H.; Shi, Y.; Huang, T.; Man, Z.-Z. Effect of Ammonium Sulfate Fractional Precipitation on Gel Strength and Characteristics of Gelatin from Bighead Carp (Hypophthalmichthys nobilis) Scale. Food Hydrocoll. 2014, 36, 173–180. [Google Scholar] [CrossRef]
- Liu, G.; Zhong, Q. Glycation of Whey Protein To Provide Steric Hindrance against Thermal Aggregation. J. Agric. Food Chem. 2012, 60, 9754–9762. [Google Scholar] [CrossRef] [PubMed]
- Huang, X.; Tu, Z.; Xiao, H.; Wang, H.; Zhang, L.; Hu, Y.; Zhang, Q.; Niu, P. Characteristics and Antioxidant Activities of Ovalbumin Glycated with Different Saccharides under Heat Moisture Treatment. Food Res. Int. 2012, 48, 866–872. [Google Scholar] [CrossRef]
- Zhang, X.; Yue, X.; Ma, B.; Fu, X.; Ren, H.; Ma, M. Ultrasonic Pretreatment Enhanced the Glycation of Ovotransferrin and Improved Its Antibacterial Activity. Food Chem. 2021, 346, 128905. [Google Scholar] [CrossRef]
- Barth, A. Infrared Spectroscopy of Proteins. Biochim. Biophys. Acta (BBA) Bioenerg. 2007, 1767, 1073–1101. [Google Scholar] [CrossRef]
- Kaewruang, P.; Benjakul, S.; Prodpran, T. Characteristics and Gelling Property of Phosphorylated Gelatin from the Skin of Unicorn Leatherjacket. Food Chem. 2014, 146, 591–596. [Google Scholar] [CrossRef]
- Huang, T.; Tu, Z.; Zou, Z.; Shangguan, X.; Wang, H.; Bansal, N. Glycosylated Fish Gelatin Emulsion: Rheological, Tribological Properties and Its Application as Model Coffee Creamers. Food Hydrocoll. 2020, 102, 105552. [Google Scholar] [CrossRef]
- Mills, E.N.C.; Huang, L.; Noel, T.R.; Gunning, A.P.; Morris, V.J. Formation of Thermally Induced Aggregates of the Soya Globulin L-Conglycinin. Biochim. Biophys. Acta 2001, 1547, 339–350. [Google Scholar] [CrossRef] [PubMed]
- Nooshkam, M.; Varidi, M. Maillard Conjugate-Based Delivery Systems for the Encapsulation, Protection, and Controlled Release of Nutraceuticals and Food Bioactive Ingredients: A Review. Food Hydrocoll. 2020, 100, 105389. [Google Scholar] [CrossRef]
- Liu, J.; Tu, Z.; Zhang, L.; Wang, H.; Sha, X.; Shao, Y. Influence of Ultrasonication Prior to Glycation on the Physicochemical Properties of Bovine Serum Albumin–Galactose Conjugates. Food Sci. Technol. Res. 2018, 24, 35–44. [Google Scholar] [CrossRef]
- Corzo-Martínez, M.; Carrera Sánchez, C.; Moreno, F.J.; Rodríguez Patino, J.M.; Villamiel, M. Interfacial and Foaming Properties of Bovine β-Lactoglobulin: Galactose Maillard Conjugates. Food Hydrocoll. 2012, 27, 438–447. [Google Scholar] [CrossRef]
- Huang, T.; Tu, Z.; Wang, H.; Shangguan, X.; Zhang, L.; Zhang, N.; Bansal, N. Pectin and Enzyme Complex Modified Fish Scales Gelatin: Rheological Behavior, Gel Properties and Nanostructure. Carbohydr. Polym. 2017, 156, 294–302. [Google Scholar] [CrossRef] [PubMed]








Disclaimer/Publisher’s Note: The statements, opinions and data contained in all publications are solely those of the individual author(s) and contributor(s) and not of MDPI and/or the editor(s). MDPI and/or the editor(s) disclaim responsibility for any injury to people or property resulting from any ideas, methods, instructions or products referred to in the content. |
© 2023 by the authors. Licensee MDPI, Basel, Switzerland. This article is an open access article distributed under the terms and conditions of the Creative Commons Attribution (CC BY) license (https://creativecommons.org/licenses/by/4.0/).
Share and Cite
Wang, Y.; Wu, C.; Jia, H.; Mráz, J.; Zhao, R.; Li, S.; Dong, X.; Pan, J. Modified Structural and Functional Properties of Fish Gelatin by Glycosylation with Galacto-Oligosaccharides. Foods 2023, 12, 2828. https://doi.org/10.3390/foods12152828
Wang Y, Wu C, Jia H, Mráz J, Zhao R, Li S, Dong X, Pan J. Modified Structural and Functional Properties of Fish Gelatin by Glycosylation with Galacto-Oligosaccharides. Foods. 2023; 12(15):2828. https://doi.org/10.3390/foods12152828
Chicago/Turabian StyleWang, Yong, Caiyun Wu, Hui Jia, Jan Mráz, Ran Zhao, Shengjie Li, Xiuping Dong, and Jinfeng Pan. 2023. "Modified Structural and Functional Properties of Fish Gelatin by Glycosylation with Galacto-Oligosaccharides" Foods 12, no. 15: 2828. https://doi.org/10.3390/foods12152828
APA StyleWang, Y., Wu, C., Jia, H., Mráz, J., Zhao, R., Li, S., Dong, X., & Pan, J. (2023). Modified Structural and Functional Properties of Fish Gelatin by Glycosylation with Galacto-Oligosaccharides. Foods, 12(15), 2828. https://doi.org/10.3390/foods12152828

