Production and Characterization of ACE Inhibitory and Anti-Diabetic Peptides from Buffalo and Camel Milk Fermented with Lactobacillus and Yeast: A Comparative Analysis with In Vitro, In Silico, and Molecular Interaction Study
Abstract
1. Introduction
2. Materials and Methods
2.1. Collection of Bacterial Cultures
2.2. Sample Preparation
2.3. Evaluation of Camel and Buffalo Milk’s ACE Inhibitory Activity
2.4. Evaluation of the Anti-Diabetic Properties of Fermented Camel and Buffalo Milk
2.4.1. ɑ-Glucosidase Inhibition Efficacy
2.4.2. ɑ-Amylase Inhibition Activity
2.4.3. Lipase Inhibitory Activity
2.4.4. Estimation of Proteolytic Activity
2.5. Sodium Dodecyl Polyacrylamide Gel Electrophoresis (SDS-PAGE) Analysis
2.6. 2D Gel Electrophoresis
2.7. Isoelectric Focusing (IEF)
2.8. Reversed-Phase High-Performance Liquid Chromatography for Peptide Separation
2.9. Identification and Characterization of Isolated Peptides by RPLC/MS
2.10. Data Analysis and Identification of Peptides
2.11. Fourier Transform Infrared Spectroscopy (FTIR)
2.12. Cell Culture
2.12.1. Cell Viability
2.12.2. Anti-Inflammatory Activity on LPS-Activated Macrophages
2.12.3. Measurement of TNF-α, IL-6, and IL-1β Cytokines
2.13. Molecular Docking
2.14. Statistical Analysis
3. Results and Discussions
3.1. ACE Inhibitory and Anti-Diabetic Activities of Fermented Camel and Buffalo Milk
3.2. Optimization for the Development of Peptides in Fermented Camel and Buffalo Milk
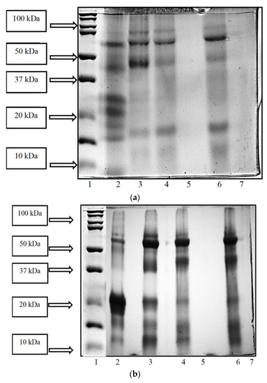
3.3. SDS-PAGE Analysis of WSE from Fermented Camel and Buffalo Milk
3.4. Two-dimensional Gel Electrophoresis
3.5. Evaluation of ACE Inhibitory, Anti-Diabetic, and Proteolytic Activities of Ultra-Filtered Fractions of WSE
3.6. RP-LC/MS Characterization and Identification of Purified Peptides
3.7. FTIR (Fourier Transform Infrared Spectroscopy)
3.8. KGL4 + WBS2A Did Not Alter the Cell Viability in RAW 264.7 Cells
3.9. KGL4 + WBS2A Fermented Camel and Buffalo Milk Attenuates LPS-Induced NO Production in RAW 264.7 Cells
3.9.1. Analysis Cytokine in RAW 264.7 Cells
3.9.2. Molecular Docking
4. Conclusions
Supplementary Materials
Author Contributions
Funding
Data Availability Statement
Acknowledgments
Conflicts of Interest
References
- Chauhan, S.; Powar, P.; Mehra, R. A review on nutritional advantages and nutraceutical properties of cow and goat milk. Int. J. Appl. Res. 2021, 7, 101–105. [Google Scholar] [CrossRef]
- Bankole, A.A.; Secka, A.; Ly, C. Risk behaviours for milk-borne diseases transmission along the milk chain in The Gambia and Senegal. J. Trop. Anim. Health Prod. 2011, 43, 103–109. [Google Scholar] [CrossRef]
- Olatunji, E.A.; Jubril, A.E.; Okpu, E.O.; Olafadehan, O.A.; Ijah, U.J.; Njidda, A.A. Bacteriological and Quality analysis of raw milk sold in Abuja, Nigeria. Food Sci. Qual. Manag. 2012, 7, 115–129. [Google Scholar]
- Abesinghe, A.M.N.L.; Priyashantha, H.; Prasanna, P.H.P.; Kurukulasuriya, M.S.; Ranadheera, C.S.; Vidanarachchi, J.K. Inclusion of probiotics into fermented buffalo (Bubalus bubalis) milk: An overview of challenges and opportunities. Fermentation 2020, 6, 121. [Google Scholar] [CrossRef]
- Abbas, S.; Ashraf, H.; Nazir, A.; Sarfraz, L. Physico-chemical analysis and composition of camel milk. Int. Res. 2013, 2, 85–98. [Google Scholar]
- Nagpal, R.; Behare, P.; Rana, R.; Kumar, A.; Kumar, M.; Arora, S.; Yadav, H. Bioactive peptides derived from milk proteins and their health beneficial potentials: An update. Food Funct. 2011, 2, 18–27. [Google Scholar] [CrossRef]
- Yasmin, I.; Iqbal, R.; Liaqat, A.; Khan, W.A.; Nadeem, M.; Iqbal, A.; Khaliq, A. Characterization and comparative evaluation of milk protein variants from pakistani dairy breeds. Food Sci. Anim. Resour. 2020, 40, 689. [Google Scholar] [CrossRef]
- Huma, N.; Ghaffar, F.; Rafiq, S.; Pasha, I.; Sameen, A.; Hayat, I.; Hussain, I. Characterization of milk proteins from different animal species through gel electrophoresis. Pak. J. Zool. 2018, 50, 1601–1998. [Google Scholar] [CrossRef]
- Moatsou, G.; Sakkas, L. Sheep milk components: Focus on nutritional advantages and biofunctional potential. Small Rumin. Res. 2019, 180, 86–99. [Google Scholar] [CrossRef]
- Barros, E.; Brasil, L.H.A.; Tejero, J.P.; Delgado-Bermejo, J.; Ribeiro, M.N. Population structure and genetic variability of the Segureña sheep breed through pedigree analysis and inbreeding effects on growth traits. Small Rumin. Res. 2017, 149, 128–133. [Google Scholar] [CrossRef]
- Selvaggi, M.; D’Alessandro, A.G.; Dario, C. Environmental and genetic factors affecting milk yield and quality in three Italian sheep breeds. J. Dairy Res. 2017, 84, 27–31. [Google Scholar] [CrossRef]
- Al Kanhal, H.A.; Al haj, O.M. Compositional, technological and nutritional aspects of dromedary camel milk. Int. Dairy J. 2010, 20, 811–821. [Google Scholar]
- Hamid, M.A.; Zaman, M.A.; Rahman, A.; Hossain, K.M. Buffalo genetic resources and their conservation in Bangladesh. Res. J. Vet. Sci. 2017, 10, 1–13. [Google Scholar] [CrossRef]
- El-Hatmi, H.; Jrad, Z.; Khorchani, T.; Jardin, J.; Poirson, C.; Perrin, C.; Girardet, J.M. Identification of bioactive peptides derived from caseins, glycosylation-dependent cell adhesion molecule-1 (GlyCAM-1), and peptidoglycan recognition protein-1 (PGRP-1) in fermented camel milk. Int. Dairy J. 2016, 56, 159–168. [Google Scholar] [CrossRef]
- Tagliazucchi, D.; Shamsia, S.; Conte, A. Release of angiotensin converting enzyme-inhibitory peptides during in vitro gastro-intestinal digestion of camel milk. Int. Dairy J. 2016, 56, 119–128. [Google Scholar] [CrossRef]
- Mudgil, P.; Kamal, H.; Yuen, G.C.; Maqsood, S. Characterization and identification of novel antidiabetic and anti-obesity peptides from camel milk protein hydrolysates. Food Chem. 2018, 259, 46–54. [Google Scholar] [CrossRef] [PubMed]
- Savijoki, K.; Ingmer, H.; Varmanen, P. Proteolytic systems of lactic acid bacteria. Appl. Microbiol. Biotechnol. 2006, 71, 394–406. [Google Scholar] [CrossRef]
- Daliri, E.B.M.; Oh, D.H.; Lee, B.H. Bioactive peptides. Foods 2017, 6, 32. [Google Scholar] [CrossRef]
- Hafeez, Z.; Cakir-Kiefer, C.; Roux, E.; Perrin, C.; Miclo, L.; Dary-Mourot, A. Strategies of producing bioactive peptides from milk proteins to functionalize fermented milk products. Food Res. Int. 2014, 63, 71–80. [Google Scholar] [CrossRef]
- Fardet, A.; Rock, E. In vitro and in vivo antioxidant potential of milks, yoghurts, fermented milks and cheeses: A narrative review of evidence. Nutr. Res. Rev. 2018, 31, 52–70. [Google Scholar] [CrossRef]
- De Freitas, I.; Pinon, N.; Maubois, J.L.; Lortal, S.; Thierry, A. The addition of a cocktail of yeast species to Cantalet cheese changes bacterial survival and enhances aroma compound formation. Int. J. Food Microbiol. 2009, 129, 37–42. [Google Scholar] [CrossRef] [PubMed]
- Wang, S.Y.; Chen, H.C.; Liu, J.R.; Lin, Y.C.; Chen, M.J. Identification of yeasts and evaluation of their distribution in Taiwanese kefir and viili starters. J. Dairy Sci. 2008, 91, 3798–3805. [Google Scholar] [CrossRef] [PubMed]
- Elfahri, K.R.; Vasiljevic, T.; Yeager, T.; Donkor, O.N. Anti-colon cancer and antioxidant activities of bovine skim milk fermented by selected Lactobacillus helveticus strains. J. Dairy Sci. 2016, 99, 31–40. [Google Scholar] [CrossRef]
- Hati, S.; Sreeja, V.; Solanki, J.; Prajapati, J.B. Influence of proteolytic Lactobacilli on ACE inhibitory activity and release of bioactive peptides. Indian J. Dairy Sci. 2015, 68, 584–591. [Google Scholar]
- Shai, L.J.; Magano, S.R.; Lebelo, S.L.; Mogale, A.M. Inhibitory effects of five medicinal plants on rat alpha-glucosidase: Comparison with their effects on yeast alpha-glucosidase. J. Med. Plants Res. 2011, 5, 2863–2867. [Google Scholar]
- Yamaki, K.; Mori, Y. Evaluation of alpha-glucosidase inhibitory activity in colored foods: A trial using slope factors of regression curves. J. Jpn. Soc. Food Sci. Technol. 2006, 53, 229–231. [Google Scholar] [CrossRef]
- Telagari, M.; Hullatti, K. In-vitro α-amylase and α-glucosidase inhibitory activity of Adiantum caudatum Linn. and Celosia argentea Linn. extracts and fractions. Indian J. Pharmacol. 2015, 47, 425. [Google Scholar]
- Ademiluyi, A.O.; Oboh, G. Soybean phenolic-rich extracts inhibit key enzymes linked to type 2 diabetes (α-amylase and α-glucosidase) and hypertension (angiotensin I converting enzyme) in vitro. Exp. Toxicol. Pathol. 2013, 65, 305–309. [Google Scholar] [CrossRef] [PubMed]
- Kurihara, H.; Asami, S.; Shibata, H.; Fukami, H.; Tanaka, T. Hypolipemic effect of Cyclocarya paliurus (Batal) Iljinskaja in lipid-loaded mice. Biol. Pharm. Bull. 2003, 26, 383–385. [Google Scholar] [CrossRef]
- Sergent, T.; Vanderstraeten, J.; Winand, J.; Beguin, P.; Schneider, Y.J. Phenolic compounds and plant extracts as potential natural antiobesity substances. Food Chem. 2016, 135, 68–73. [Google Scholar] [CrossRef]
- Solanki, D.; Hati, S.; Sakure, A. In silico and in vitro analysis of novel angiotensin I-converting enzyme (ACE) inhibitory bioactive peptides derived from fermented camel milk (Camelus dromedarius). Int. J. Pept. Res. Ther. 2017, 23, 441–459. [Google Scholar] [CrossRef]
- Carrasco-Castilla, J.; Hernandez, A.; Lvarez, A.J.; Jimenez-Martinez, C.; Jacinto-Hernandez, C.; Alaiz, M.; Giron-Calle, J.; Vioque, J.; Davila-Ortiz, G. Antioxidant and metal chelating activities of Phaseolus vulgaris L. var. Jamapa protein isolates, phaseolin and lectin hydrolysates. Food Chem. 2012, 131, 1157–1164. [Google Scholar] [CrossRef]
- Laemmli, U.K. Cleavage of structural proteins during the assembly of the head of bacteriophage T4. Nature 1970, 227, 680–685. [Google Scholar] [CrossRef]
- Solanki, D. Purification and Characterization of ACE-Inhibitory Peptides Derived from Fermented Camel Milk. Master’s Thesis, Anand Agricultural University, Anand, India, 2016. [Google Scholar]
- Yang, Y.; Zheng, N.; Yang, J.; Bu, D.; Wang, J.; Ma, L.; Sun, P. Animal species milk identification by comparison of two-dimensional gel map profile and mass spectrometry approach. Int. Dairy J. 2014, 35, 15–20. [Google Scholar] [CrossRef]
- Panchal, G.; Hati, S.; Sakure, A. Characterization and production of novel antioxidative peptides derived from fermented goat milk by L. fermentum. LWT 2020, 119, 108887. [Google Scholar] [CrossRef]
- Parmar, H. Isolation and Purification of ACE-Inhibitory Peptides Derived from Fermented Surti Goat Milk. Master’s Thesis, Anand Agricultural University, Anand, India, 2017. [Google Scholar]
- Leon-Lopez, A.; Perez-Marroquin, X.A.; Campos-Lozada, G.; Campos-Montiel, R.G.; Aguirre-Alvarez, G. Characterization of whey-based fermented beverages supplemented with hydrolyzed collagen: Antioxidant activity and bioavailability. Foods 2020, 9, 1106. [Google Scholar] [CrossRef]
- Khare, P.; Maurya, R.; Bhatia, R.; Mangal, P.; Singh, J.; Podili, K.; Kondepudi, K.K. Polyphenol rich extracts of finger millet and kodo millet ameliorate high fat diet-induced metabolic alterations. Food Funct. 2020, 11, 9833–9847. [Google Scholar] [CrossRef]
- Singh, S.; Singh, H.; Tuknait, A.; Chaudhary, K.; Singh, B.; Kumaran, S.; Raghava, G.P. PEPstrMOD: Structure prediction of peptides containing natural, non-natural and modified residues. Biol. Direct 2015, 10, 73. [Google Scholar] [CrossRef]
- Jendele, L.; Krivak, R.; Skoda, P.; Novotny, M.; Hoksza, D. PrankWeb: A web server for ligand binding site prediction and visualization. Nucleic Acids Res. 2019, 47, W345–W349. [Google Scholar] [CrossRef]
- Van Zundert, G.C.P.; Rodrigues, J.P.G.L.M.; Trellet, M.; Schmitz, C.; Kastritis, P.L.; Karaca, E.; Bonvin, A.M.J.J. The HADDOCK2.2 web servers: User-friendly integrative modeling of biomolecular complexes. J. Mol. Biol. 2016, 428, 720–725. [Google Scholar] [CrossRef]
- Steel, R.G.D.; Torrie, J.H. Principles and Procedure of Statistics—A Biometrical Approach; Mcgraw Hill Kogakusha Ltd.: Tokyo, Japan, 2019; p. 137. [Google Scholar]
- Shukla, P. Production and Characterization of Anti-Diabetic And ACE Inhibitory Peptides from Fermented Camel Milk. Master’s Thesis, Kamdhenu University, Anand, India, 2021. [Google Scholar]
- Ayyash, M.; Al-Nuaimi, A.K.; Al-Mahadin, S.; Liu, S.Q. In vitro investigation of anticancer and ACE-inhibiting activity, α-amylase and α-glucosidase inhibition, and antioxidant activity of camel milk fermented with camel milk probiotic: A comparative study with fermented bovine milk. Food Chem. 2018, 239, 588–597. [Google Scholar] [CrossRef] [PubMed]
- Jafar, S.; Kamal, H.; Mudgil, P.; Hassan, H.M.; Maqsood, S. Camel whey protein hydrolysates displayed enhanced cholesteryl esterase and lipase inhibitory, anti-hypertensive and anti-hemolytic properties. LWT 2018, 98, 212–218. [Google Scholar] [CrossRef]
- Ayyash, M.; Abdalla, A.; Alameri, M.; Baig, M.A.; Kizhakkayil, J.; Chen, G.; Huppertz, T.; Kamal-Eldin, A. Biological activities of the bioaccessible compounds after in vitro digestion of low-fat Akawi cheese made from blends of bovine and camel milk. J. Dairy Sci. 2021, 104, 9450–9464. [Google Scholar] [CrossRef]
- Dharmisthaben, P.; Basaiawmoit, B.; Sakure, A.; Das, S.; Maurya, R.; Bishnoi, M.; Kondepudi, K.K.; Hati, S. Exploring potentials of antioxidative, anti-inflammatory activities and production of bioactive peptides in lactic fermented camel milk. Food Biosci. 2021, 44, 101404. [Google Scholar] [CrossRef]
- Solanki, D.; Hati, S. Considering the potential of Lactobacillus rhamnosus for producing Angiotensin I-Converting Enzyme (ACE) inhibitory peptides in fermented camel milk (Indian breed). Food Biosci. 2018, 23, 16–22. [Google Scholar] [CrossRef]
- Gonçalves, B.H.R.F.; de Jesus Silva, G.; Conceição, D.G.; do Egito, A.S.; Ferrão, S.P.B. Buffalo mozzarella chemical composition and authenticity assessment by electrophoretic profiling. Semin. Ciências Agrárias 2017, 38, 1841–1851. [Google Scholar] [CrossRef][Green Version]
- Dettori, M.L.; Milone, L.; Grassi, C.; Zicarelli, F.; Napolano, R.; Giovane, A.; Di Palo, R. Milk protein and cheese yield in buffalo species. Ital. J. Anim. Sci. 2009, 8 (Suppl. S2), 381–383. [Google Scholar] [CrossRef]
- Shanmugam, V.P.; Kapila, S.; Kemgang, T.S.; Reddi, S.; Kapila, R.; Muthukumar, S.; Rajesh, D. Isolation and characterization of angiotensin converting enzyme inhibitory peptide from buffalo casein. Int. J. Pept. Res. Ther. 2021, 27, 1481–1491. [Google Scholar] [CrossRef]
- Kim, S.; Lim, S.D. Separation and purification of lipase inhibitory peptide from fermented milk by Lactobacillus plantarum Q180. Food Sci. Anim. Resour. 2020, 40, 87–92. [Google Scholar] [CrossRef] [PubMed]
- Gu, Y.; Majumder, K.; Wu, J. QSAR-aided in silico approach in evaluation of food proteins as precursors of ACE inhibitory peptides. Food Res. Int. 2011, 44, 2465–2474. [Google Scholar] [CrossRef]
- Dziuba, M.; Dziuba, B.; Iwaniak, A. Milk proteins as precursors of bioactive peptides. Acta Sci. Pol. Technol. Aliment. 2009, 8, 71–90. [Google Scholar]
- Wu, J.; Aluko, R.E.; Nakai, S. Structural requirements of angiotensin I-converting enzyme inhibitory peptides: Quantitative structure-activity relationship modeling of peptides containing 4–10 amino acid residues. QSAR Comb. Sci. 2006, 25, 873–880. [Google Scholar] [CrossRef]
- Puchalska, P.; Marina Alegre, M.L.; Garcia Lopez, M.C. Isolation and characterization of peptides with antihypertensive activity in foodstuffs. Crit. Rev. Food Sci. Nutr. 2015, 55, 521–551. [Google Scholar] [CrossRef]
- Espejo-Carpio, F.J.; De Gobba, C.; Guadix, A.; Guadix, E.M.; Otte, J. Angiotensin I-converting enzyme inhibitory activity of enzymatic hydrolysates of goat milk protein fractions. Int. Dairy J. 2013, 32, 175–183. [Google Scholar] [CrossRef]
- Pihlanto-Leppälä, A.; Rokka, T.; Korhonen, H. Angiotensin I converting enzyme inhibitory peptides derived from bovine milk proteins. Int. Dairy J. 1998, 8, 325–331. [Google Scholar] [CrossRef]
- Wakai, T.; Yamamoto, N. Antihypertensive peptides specific to Lactobacillus helveticus fermented milk. Biotechnol.-Mol. Stud. Nov. Appl. Improv. Qual. Hum. Life 2012, 1, 159–172. [Google Scholar]
- del Mar Contreras, M.; Carrón, R.; Montero, M.J.; Ramos, M.; Recio, I. Novel casein-derived peptides with antihypertensive activity. Int. Dairy J. 2009, 19, 566–573. [Google Scholar] [CrossRef]
- Martínez-Maqueda, D.; Miralles, B.; Recio, I.; Hernández-Ledesma, B. Antihypertensive peptides from food proteins: A review. Food Funct. 2012, 3, 350–361. [Google Scholar] [CrossRef]
- Tauzin, J.; Miclo, L.; Gaillard, J.L. Angiotensin-I-converting enzyme inhibitory peptides from tryptic hydrolysate of bovine αS2-casein. FEBS Lett. 2002, 531, 369–374. [Google Scholar] [CrossRef]
- El-Salam, M.A.; El-Shibiny, S. Bioactive peptides of buffalo, camel, goat, sheep, mare, and yak milks and milk products. Food Rev. Int. 2013, 29, 1–23. [Google Scholar] [CrossRef]
- Tavares, T.G.; Malcata, F.X. Whey proteins as source of bioactive peptides against hypertension. Bioact. Food Pept. Health Dis. 2013, 1, 75. [Google Scholar]
- Lacroix, I.M.E.; Li-Chan, E.C.Y. Isolation and characterization of peptides with dipeptidyl peptidase-IV inhibitory activity from pepsin-treated bovine whey proteins. Peptides 2014, 54, 39–48. [Google Scholar] [CrossRef] [PubMed]
- Harnedy, P.A.; O’Keeffe, M.B.; FitzGerald, R.J. Purification and identification of dipeptidyl peptidase (DPP) IV inhibitory peptides from the macroalga Palmaria palmata. Food Chem. 2015, 172, 400–406. [Google Scholar] [CrossRef]
- Mojica, L.; Chen, K.; de Mejía, E.G. Impact of commercial precooking of common bean (Phaseolus vulgaris) on the generation of peptides, after pepsin–pancreatin hydrolysis, capable to inhibit dipeptidyl peptidase-IV. J. Food Sci. 2015, 80, H188–H198. [Google Scholar] [CrossRef]
- Zambrowicz, A.; Eckert, E.; Pokora, M.; Bobak, Ł.; Dąbrowska, A.; Szołtysik, M.; Chrzanowska, J. Antioxidant and antidiabetic activities of peptides isolated from a hydrolysate of an egg-yolk protein by-product prepared with a proteinase from Asian pumpkin (Cucurbita ficifolia). RSC Adv. 2015, 5, 10460–10467. [Google Scholar] [CrossRef]
- Uenishi, H.; Kabuki, T.; Seto, Y.; Serizawa, A.; Nakajima, H. Isolation and identification of casein-derived dipeptidyl-peptidase 4 (DPP-4)-inhibitory peptide LPQNIPPL from gouda-type cheese and its effect on plasma glucose in rats. Int. Dairy J. 2012, 22, 24–30. [Google Scholar] [CrossRef]
- Pei, J.; Liu, Z.; Pan, D.; Zhao, Y.; Dang, Y.; Gao, X. Transport, Stability, and In Vivo Hypoglycemic Effect of a Broccoli-Derived DPP-IV Inhibitory Peptide VPLVM. J. Agric. Food Chem. 2022, 70, 4934–4941. [Google Scholar] [CrossRef]
- Wang, J.; Wu, T.; Fang, L.; Liu, C.; Liu, X.; Li, H.; Min, W. Anti-diabetic effect by walnut (Juglans mandshurica Maxim.)-derived peptide LPLLR through inhibiting α-glucosidase and α-amylase, and alleviating insulin resistance of hepatic HepG2 cells. J. Funct. Foods 2020, 69, 103944. [Google Scholar] [CrossRef]
- Matsui, T.; Oki, T.; Osajima, Y. Isolation and identification of peptidic α- glucosidase inhibitors derived from sardine muscle hydrolyzate. Z. Für Nat. C 1999, 54, 259–263. [Google Scholar] [CrossRef]
- Siow, H.L.; Gan, C.Y. Extraction, identification, and structure–activity relationship of antioxidative and α-amylase inhibitory peptides from cumin seeds (Cuminum cyminum). J. Funct. Foods 2016, 22, 1–12. [Google Scholar] [CrossRef]
- Silveira, S.T.; Martínez-Maqueda, D.; Recio, I.; Hernández-Ledesma, B. Dipeptidyl peptidase-IV inhibitory peptides generated by tryptic hydrolysis of a whey protein concentrate rich in β-lactoglobulin. Food Chem. 2013, 141, 1072–1077. [Google Scholar] [CrossRef] [PubMed]
- Zhou, B.; Carrillo-Larco, R.M.; Danaei, G.; Riley, L.M.; Paciorek, C.J.; Stevens, G.A.; Breckenkamp, J. Worldwide trends in hypertension prevalence and progress in treatment and control from 1990 to 2019: A pooled analysis of 1201 population-representative studies with 104 million participants. Lancet 2021, 398, 957–980. [Google Scholar] [CrossRef]
- Liu, L.; Chen, J.; Li, X. Novel peptides with α-glucosidase inhibitory activity from Changii Radix hydrolysates. Process Biochem. 2021, 111, 200–206. [Google Scholar] [CrossRef]
- Ravinder, D.; Gowtham, P.; Khatri, K.; Pawar, S.C.; Botlagunta, M. Comparison of Various Milk Samples Using Spectroscopy Chromatography, and Microscopic Analysis. J. Food Sci. Nutr. Res. 2021, 4, 12–22. [Google Scholar] [CrossRef]
- Gao, G.; Zhou, J.; Zhou, J.; Wang, H.; Ke, L.; Ding, Y.; Zhang, S.; Ding, W.; Rao, P.; Li, J. Divalent cations of magnesium, iron and copper regulate oxidative responses and inflammatory cytokines in RAW 264.7 macrophages. Food Control 2022, 141, 109212. [Google Scholar] [CrossRef]
- Feng, M.; Wang, X.; Xiong, H.; Qiu, T.; Zhang, H.; Guo, F.; Jiang, L.; Sun, Y. Anti-inflammatory effects of three selenium-enriched brown rice protein hydrolysates in LPS-induced RAW264.7 macrophages via NF-κB/MAPKs signaling pathways. J. Funct. Foods 2021, 76, 104320. [Google Scholar] [CrossRef]
- Meurot, C.; Martin, C.; Sudre, L.; Breton, J.; Bougault, C.; Rattenbach, R.; Berenbaum, F. Liraglutide, a glucagon-like peptide 1 receptor agonist, exerts analgesic, anti-inflammatory and anti-degradative actions in osteoarthritis. Sci. Rep. 2022, 12, 1567. [Google Scholar] [CrossRef]
- Peng, Y.; Bu, L.; Zhang, X.; Ji, Z.; Xie, H.; Liang, G. Identification and molecular mechanism of a tri-peptide inhibitor targeting iNOS from duck embryo protein hydrolysates by experimental and bioinformatics studies. Bioorganic Chem. 2022, 122, 105736. [Google Scholar] [CrossRef]
- Dharmisthaben, P.; Sakure, A.; Liu, Z.; Maurya, R.; Das, S.; Basaiawmoit, B.; Hati, S. Identification and molecular mechanisms of novel antioxidative peptides from fermented camel milk (Kachchi breed, India) with anti-inflammatory activity in raw macrophages cell lines. Int. J. Dairy Technol. 2022, 76, 111–125. [Google Scholar] [CrossRef]
- Ashokbhai, J.K.; Basaiawmoit, B.; Das, S.; Sakure, A.; Maurya, R.; Bishnoi, M.; Hatia, S. Antioxidative, antimicrobial and anti-inflammatory activities and release of ultra-filtered antioxidative and antimicrobial peptides during fermentation of sheep milk: In-vitro, in-silico and molecular interaction studies. Food Biosci. 2022, 47, 101666. [Google Scholar] [CrossRef]
- Shukla, P.; Sakure, A.; Pipaliya, R.; Basaiawmoit, B.; Maurya, R.; Bishnoi, M.; Hati, S. Exploring the potential of Lacticaseibacillus paracasei M11 on antidiabetic, anti-inflammatory, and ACE inhibitory effects of fermented dromedary camel milk (Camelus dromedaries) and the release of antidiabetic and anti-hypertensive peptides. J. Food Biochem. 2022, 46, e14449. [Google Scholar] [CrossRef] [PubMed]
- Shukla, P.; Sakure, A.; Maurya, R.; Bishnoi, M.; Kondepudi, K.K.; Das, S.; Hati, S. Antidiabetic, angiotensin-converting enzyme inhibitory and anti-inflammatory activities of fermented camel milk and characterisation of novel bioactive peptides from lactic-fermented camel milk with molecular interaction study. Int. J. Dairy Technol. 2022, 76, 149–167. [Google Scholar] [CrossRef]










| Sample | UF Fractions | No. of Peaks | Retention Time Range (min.) |
|---|---|---|---|
| Buffalo milk (KGL4 + WBS2A) | <3 kDa | 58 | 26.17–54.74 |
| >3 kDa | 52 | 26.58–54.77 | |
| <10 kDa | 56 | 22.59–53.69 | |
| >10 kDa | 54 | 25.37–54.74 | |
| Camel milk (KGL4 + WBS2A) | <3 kDa | 34 | 27.19–51.27 |
| >3 kDa | 54 | 24.79–54.29 | |
| <10 kDa | 25 | 38.27–52.52 | |
| >10 kDa | 44 | 25.41–54.45 |
| Milk | Sequence | Peptide Ranking Score | Mol. wt. | Prediction | Iso-Electric Point | Net Charge at pH 7 | Hydro-Phobicity | Hydro-Pathicity | Hydro-Philicity |
|---|---|---|---|---|---|---|---|---|---|
| Buffalo milk (KGL4 + WBS2A) | ALPMHIR | 0.62 | 837.15 | Non-Toxin | 10.91 | 1.1 | −0.07 | 0.39 | −0.41 |
| EMPFPK | 0.76 | 747.98 | Non-Toxin | 8.85 | 0 | −0.17 | −0.98 | 0.37 | |
| TTMPLW | 0.73 | 747.99 | Non-Toxin | 3.29 | 0 | 0.12 | 0.30 | −1.22 | |
| SCQAQPTTMTR | 0.50 | 1223.53 | Non-Toxin | 8.6 | 0.9 | −0.31 | −0.89 | −0.03 | |
| FFNDKIAK | 0.48 | 982.25 | Non-Toxin | 9.7 | 1 | −0.17 | −0.36 | 0.24 | |
| HPHPHLSFMAIPPK | 0.80 | 1609.13 | Non-Toxin | 9.88 | 1.3 | −0.03 | −0.42 | −0.44 | |
| IPAVFK | 0.49 | 673.93 | Non-Toxin | 10.14 | 1 | 0.16 | 1.30 | −0.55 | |
| LDQWLCEK | 0.52 | 1034.31 | Non-Toxin | 3.93 | −1.1 | −0.21 | −0.65 | 0.15 | |
| AVPYPQR | 0.56 | 830.04 | Non-Toxin | 9.9 | 1 | −0.25 | −0.93 | −0.16 | |
| Camel milk (KGL4 + WBS2A) | EKTFLLYSCPHR | 0.49 | 1493.91 | Non-Toxin | 8.77 | 1 | −0.22 | −0.55 | −0.08 |
| TDVMPQWW | 0.74 | 1062.32 | Non-Toxin | 0.67 | −1 | −0.01 | −0.63 | −0.85 | |
| SSHPYLEQLY | 0.45 | 1236.49 | Non-Toxin | 5.1 | −0.9 | −0.12 | −0.84 | −0.49 | |
| IDSGLYLGSNYITAIR | 0.49 | 1756.23 | Non-Toxin | 6.55 | 0 | 0.00 | 0.36 | −0.48 | |
| FDEFLSQSCAPGSDPR | 0.58 | 1756.08 | Non-Toxin | 3.54 | −2.1 | −0.20 | −0.68 | 0.30 |
| Peptide Sequences | HADDOCK Scores | ||
|---|---|---|---|
| 3BAI * | 3CTT * | 1O8A * | |
| Buffalo milk peptides | |||
| FFNDKIAK | −82.7+/−2.1 | −81.2+/−2.9 | 4.7 +/−8.2 |
| LDQWLCEK | −76.0+/−0.5 | −68.0+/−8.8 | −16.6+/−6.4 |
| AVPYPQR | −67.7+/−3.6 | −69.9+/−1.7 | 17.9+/−7.4 |
| Camel milk peptides | |||
| EKTFLLYSCPHR | −111.6+/−2.4 | −93.6+/−2.7 | −30.1+/−10.0 |
| SSHPYLEQLY | −83.2+/−6.0 | −98.6+/−3.0 | −13.4+/−1.6 |
| IDSGLYLGSNYITAIR | −89.2+/−2.7 | −73.5+/−3.5 | 19.1+/−10.7 |
| FDEFLSQSCAPGSDPR | −113.0+/−2.7 | −84.0+/−1.2 | 7.8+/−12.0 |
Disclaimer/Publisher’s Note: The statements, opinions and data contained in all publications are solely those of the individual author(s) and contributor(s) and not of MDPI and/or the editor(s). MDPI and/or the editor(s) disclaim responsibility for any injury to people or property resulting from any ideas, methods, instructions or products referred to in the content. |
© 2023 by the authors. Licensee MDPI, Basel, Switzerland. This article is an open access article distributed under the terms and conditions of the Creative Commons Attribution (CC BY) license (https://creativecommons.org/licenses/by/4.0/).
Share and Cite
Khakhariya, R.; Basaiawmoit, B.; Sakure, A.A.; Maurya, R.; Bishnoi, M.; Kondepudi, K.K.; Padhi, S.; Rai, A.K.; Liu, Z.; Hati, S. Production and Characterization of ACE Inhibitory and Anti-Diabetic Peptides from Buffalo and Camel Milk Fermented with Lactobacillus and Yeast: A Comparative Analysis with In Vitro, In Silico, and Molecular Interaction Study. Foods 2023, 12, 2006. https://doi.org/10.3390/foods12102006
Khakhariya R, Basaiawmoit B, Sakure AA, Maurya R, Bishnoi M, Kondepudi KK, Padhi S, Rai AK, Liu Z, Hati S. Production and Characterization of ACE Inhibitory and Anti-Diabetic Peptides from Buffalo and Camel Milk Fermented with Lactobacillus and Yeast: A Comparative Analysis with In Vitro, In Silico, and Molecular Interaction Study. Foods. 2023; 12(10):2006. https://doi.org/10.3390/foods12102006
Chicago/Turabian StyleKhakhariya, Ruchita, Bethsheba Basaiawmoit, Amar A. Sakure, Ruchika Maurya, Mahendra Bishnoi, Kanthi Kiran Kondepudi, Srichandan Padhi, Amit Kumar Rai, Zhenbin Liu, and Subrota Hati. 2023. "Production and Characterization of ACE Inhibitory and Anti-Diabetic Peptides from Buffalo and Camel Milk Fermented with Lactobacillus and Yeast: A Comparative Analysis with In Vitro, In Silico, and Molecular Interaction Study" Foods 12, no. 10: 2006. https://doi.org/10.3390/foods12102006
APA StyleKhakhariya, R., Basaiawmoit, B., Sakure, A. A., Maurya, R., Bishnoi, M., Kondepudi, K. K., Padhi, S., Rai, A. K., Liu, Z., & Hati, S. (2023). Production and Characterization of ACE Inhibitory and Anti-Diabetic Peptides from Buffalo and Camel Milk Fermented with Lactobacillus and Yeast: A Comparative Analysis with In Vitro, In Silico, and Molecular Interaction Study. Foods, 12(10), 2006. https://doi.org/10.3390/foods12102006

