Impact of Ultra-High Pressure Homogenization on the Structural Properties of Egg Yolk Granule
Abstract
:1. Introduction
2. Materials and Methods
2.1. Preparation of Egg Yolk Granules
2.2. Ultra-High Pressure Homogenization
2.3. Proximate Composition
2.4. Particle Size Distribution
2.5. Microstructure of Egg Yolk Granules and Fractions
2.6. Protein Profiles
2.7. Proteomics Analysis
2.8. Statistical Analysis
3. Results
3.1. Proximate Composition of Control and Pressure-Treated Egg Yolk Fractions
3.2. Effect of UHPH Treatments on Particle Size Distribution
3.3. Microstructural Modifications Following UHPH Treatments
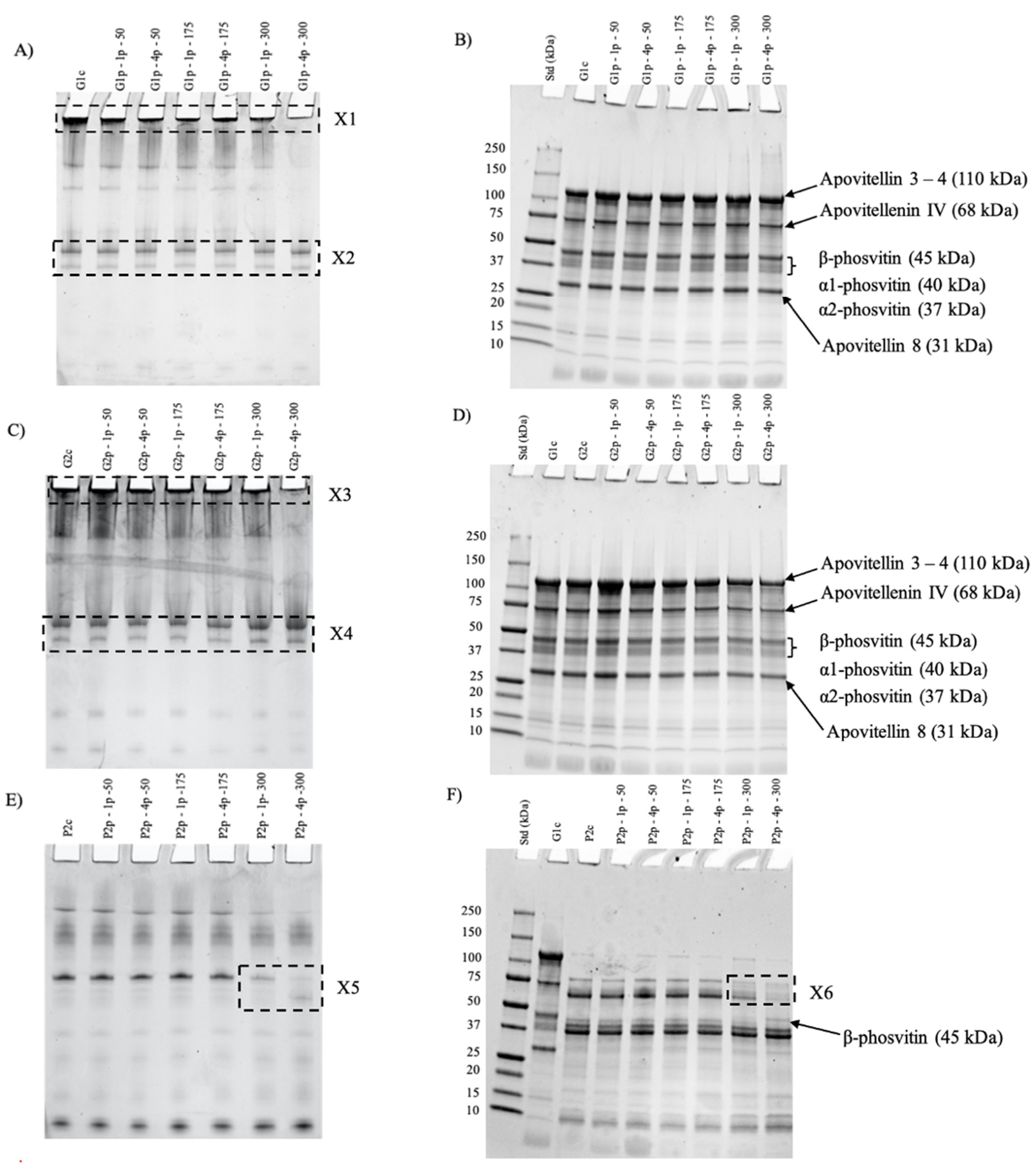
3.4. Effect of UHPH Treatments on Protein Profiles
3.5. Characterization of Egg Yolk Proteins by Proteomics Analysis
4. Discussion
4.1. Impact of UHPH Treatments on Particle Size Distribution of Initial (G1c) and Pressure-Treated Granule (G1p)
4.2. Impact of UHPH Treatments on the Protein Profile, Composition and Microstructure of Egg Yolk Fractions
5. Conclusions
Author Contributions
Funding
Institutional Review Board Statement
Informed Consent Statement
Data Availability Statement
Acknowledgments
Conflicts of Interest
Abbreviations
| AOAC | Association of Official Agricultural Chemists |
| ES MS/MS | Electrospray mass spectrometry |
| G1c | Granule fraction generated after the centrifugation of egg yolk |
| G1p | Granule fraction generated after pressurization of G1c |
| G2c | Granule fraction generated after the centrifugation of G1c |
| G2p | Granule fraction generated after the centrifugation of G1p |
| HDL | high-density lipoproteins |
| ICP-OES | Inductively coupled plasma optical emission spectroscopy |
| LDL | low-density lipoproteins |
| NanoLC | Nanoscale capillary liquid chromatography |
| PAGE | Polyacrylamide gel electrophoresis |
| P2c | Plasma fraction generated after the centrifugation of G1c |
| P2p | Plasma fraction generated after the centrifugation of G1p |
| RP | Reversed-phase |
| SDS | Sodium dodecyl sulphate |
| TEM | Transmission electron microscopy |
| TSC | Total spectrum count |
| UHPH | Ultra-high pressure homogenization |
| VTG | Vitellogenin |
References
- Anton, M. Egg yolk: Structures, functionalities and processes. J. Sci. Food Agric. 2013, 93, 2871–2880. [Google Scholar] [CrossRef] [PubMed]
- Powrie, W.D.; Nakai, S. The chemistry of eggs and egg products. In Egg Science and Technology, 4th ed.; CRC Press: Boca Raton, FL, USA, 1986; pp. 97–139. [Google Scholar]
- Anton. Composition and structure of hen egg yolk. In Bioactive Egg Compounds; Springer: Berlin/Heidelberg, Germany, 2007; pp. 1–6. [Google Scholar]
- Laca, A.; Sáenz, M.; Paredes, B.; Diaz, M. Rheological properties, stability and sensory evaluation of low-cholesterol mayonnaises prepared using egg yolk granules as emulsifying agent. J. Food Eng. 2010, 97, 243–252. [Google Scholar] [CrossRef]
- Naderi, N.; House, J.D.; Pouliot, Y. Effect of selected pre-treatments on folate recovery of granule suspensions prepared from hen egg yolk. LWT Food Sci. Technol. 2016, 68, 341–348. [Google Scholar] [CrossRef]
- Naderi, N.; House, J.D.; Pouliot, Y. Scaling-up a process for the preparation of folate-enriched protein extracts from hen egg yolks. J. Food Eng. 2014, 141, 85–92. [Google Scholar] [CrossRef]
- Anton, M.; Gandemer, G. Composition, solubility and emulsifying properties of granules and plasma of egg yolk. J. Food Sci. 1997, 62, 484–487. [Google Scholar] [CrossRef]
- Causeret, D.; Matringe, E.; Lorient, D. Ionic strength and pH effects on composition and microstructure of yolk granules. J. Food Sci. 1991, 56, 1532–1536. [Google Scholar] [CrossRef]
- Anton, M.; Le Denmat, M.; Gandemer, G. Thermostability of hen egg yolk granules: Contribution of native structure of granules. J. Food Sci. 2000, 65, 581–584. [Google Scholar] [CrossRef]
- Sirvente, H.; Beaumal, V.; Gaillard, C.; Bialek, L.; Hamm, D.; Anton, M. Structuring and functionalization of dispersions containing egg yolk, plasma and granules induced by mechanical treatments. J. Agric. Food Chem. 2007, 55, 9537–9544. [Google Scholar] [CrossRef]
- Naderi, N.; Doyen, A.; House, J.D.; Pouliot, Y. The use of high hydrostatic pressure to generate folate-enriched extracts from the granule fraction of hen’s egg yolk. Food Chem. 2017, 232, 253–262. [Google Scholar] [CrossRef]
- Naderi, N.; Pouliot, Y.; House, J.D.; Doyen, A. High hydrostatic pressure effect in extraction of 5-methyltetrahydrofolate (5-MTHF) from egg yolk and granule fractions. Innov. Food Sci. Emerg. Technol. 2017, 43, 191–200. [Google Scholar] [CrossRef]
- Duffuler, P.; Giarratano, M.; Naderi, N.; Suwal, S.; Marciniak, A.; Perreault, V.; Offret, C.; Brisson, G.; House, J.D.; Pouliot, Y.; et al. High hydrostatic pressure induced extraction and selective transfer of β-phosvitin from the egg yolk granule to plasma fractions. Food Chem. 2020, 321, 126696. [Google Scholar] [CrossRef] [PubMed]
- Giarratano, M.; Duffuler, P.; Chamberland, J.; Brisson, G.; House, J.D.; Pouliot, Y.; Doyen, A. Combination of high hydrostatic pressure and ultrafiltration to generate a new emulsifying ingredient from egg yolk. Molecules 2020, 25, 1184. [Google Scholar] [CrossRef] [PubMed] [Green Version]
- Motta-Romero, H.; Zhang, Z.; Nguyen, A.T.; Schlegel, V.; Zhang, Y. Isolation of egg yolk granules as low-cholesterol emulsifying agent in mayonnaise. J. Food Sci. 2017, 82, 1588–1593. [Google Scholar] [CrossRef] [PubMed]
- Dumay, E.; Chevalier-Lucia, D.; Picart-Palmade, L.; Benzaria, A.; Gràcia-Julià, A.; Blayo, C. Technological aspects and potential applications of (ultra) high-pressure homogenisation. Trends Food Sci. Technol. 2013, 31, 13–26. [Google Scholar] [CrossRef]
- Serra, M.; Trujillo, A.; Guamis, B.; Ferragut, V. Proteolysis of yogurts made from ultra-high-pressure homogenized milk during cold storage. J. Dairy Sci. 2009, 92, 71–78. [Google Scholar] [CrossRef] [Green Version]
- Briviba, K.; Gräf, V.; Walz, E.; Guamis, B.; Butz, P. Ultra high pressure homogenization of almond milk: Physico-chemical and physiological effects. Food Chem. 2016, 192, 82–89. [Google Scholar] [CrossRef]
- Floury, J.; Desrumaux, A.; Legrand, J. Effect of Ultra-high-pressure homogenization on structure and on rheological properties of soy protein-stabilized emulsions. J. Food Sci. 2002, 67, 3388–3395. [Google Scholar] [CrossRef]
- Paquin, P.; Lacasse, J.; Subirade, M.; Turgeon, S. Continuous process of dynamic high-pressure homogenization for the denaturation of proteins. U.S. Patent 6511695B1, 28 January 2003. [Google Scholar]
- Keerati-U-Rai, M.; Corredig, M. Effect of dynamic high pressure homogenization on the aggregation state of soy protein. J. Agric. Food Chem. 2009, 57, 3556–3562. [Google Scholar] [CrossRef]
- Paquin, P. Technological properties of high pressure homogenizers: The effect of fat globules, milk proteins, and polysaccharides. Int. Dairy J. 1999, 9, 329–335. [Google Scholar] [CrossRef]
- Floury, J.; Desrumaux, A.; Lardières, J. Effect of high-pressure homogenization on droplet size distributions and rheological properties of model oil-in-water emulsions. Innov. Food Sci. Emerg. Technol. 2000, 1, 127–134. [Google Scholar] [CrossRef]
- Marco-Molés, R.; Hernando, I.; Llorca, E.; Pérez-Munuera, I. Influence of high pressure homogenization (HPH) on the structural stability of an egg/dairy emulsion. J. Food Eng. 2012, 109, 652–658. [Google Scholar] [CrossRef]
- Sørensen, H.; Mortensen, K.; Sørland, G.H.; Larsen, F.H.; Paulsson, M.; Ipsen, R. Dynamic ultra-high pressure homogenisation of whey protein-depleted milk concentrate. Int. Dairy J. 2015, 46, 12–21. [Google Scholar] [CrossRef]
- Speroni, F.; Puppo, M.C.; Chapleau, N.; de Lamballerie, M.; Castellani, O.; Añón, A.M.C.; Anton, M. High-pressure induced physicochemical and functional modifications of low-density lipoproteins from hen egg yolk. J. Agric. Food Chem. 2005, 53, 5719–5725. [Google Scholar] [CrossRef] [PubMed]
- Bouaouina, H.; Desrumaux, A.; Loisel, C.; Legrand, J. Functional properties of whey proteins as affected by dynamic high-pressure treatment. Int. Dairy J. 2006, 16, 275–284. [Google Scholar] [CrossRef]
- Chevalier-Lucia, D.; Blayo, C.; Gràcia-Julià, A.; Picart-Palmade, L.; Dumay, E. Processing of phosphocasein dispersions by dynamic high pressure: Effects on the dispersion physico-chemical characteristics and the binding of α-tocopherol acetate to casein micelles. Innov. Food Sci. Emerg. Technol. 2011, 12, 416–425. [Google Scholar] [CrossRef]
- Grácia-Juliá, A.; René, M.; Cortés-Muñoz, M.; Picart, L.; López-Pedemonte, T.; Chevalier, D.; Dumay, E. Effect of dynamic high pressure on whey protein aggregation: A comparison with the effect of continuous short-time thermal treatments. Food Hydrocoll. 2008, 22, 1014–1032. [Google Scholar] [CrossRef]
- Panozzo, A.; Manzocco, L.; Calligaris, S.; Bartolomeoli, I.; Maifreni, M.; Lippe, G.; Nicoli, M.C. Effect of high pressure homogenisation on microbial inactivation, protein structure and functionality of egg white. Food Res. Int. 2014, 62, 718–725. [Google Scholar] [CrossRef]
- Roach, A.; Harte, F. Disruption and sedimentation of casein micelles and casein micelle isolates under high-pressure homogenization. Innov. Food Sci. Emerg. Technol. 2008, 9, 1–8. [Google Scholar] [CrossRef]
- Wang, C.; Ma, Y.; Liu, B.; Kang, Z.; Geng, S.; Wang, J.; Wei, L.; Ma, H. Effects of dynamic ultra-high pressure homogenization on the structure and functional properties of casein. Int. J. Agric. Biol. Eng. 2019, 12, 229–234. [Google Scholar] [CrossRef]
- Hayes, M.G.; Kelly, A.L. High pressure homogenisation of milk (b) effects on indigenous enzymatic activity. J. Dairy Res. 2003, 70, 307–313. [Google Scholar] [CrossRef]
- Patrignani, F.; Lanciotti, R.J.F.I.M. Applications of high and ultra high pressure homogenization for food safety. Front. Microbiol. 2016, 7, 1132. [Google Scholar] [CrossRef] [PubMed] [Green Version]
- Guilmineau, F.; Krause, A.I.; Kulozik, U. Efficient Analysis of egg yolk proteins and their thermal sensitivity using sodium dodecyl sulfate polyacrylamide gel electrophoresis under reducing and nonreducing conditions. J. Agric. Food Chem. 2005, 53, 9329–9336. [Google Scholar] [CrossRef] [PubMed]
- Lundgren, D.H.; Hwang, S.; Wu, L.; Han, D.K. Role of spectral counting in quantitative proteomics. Expert Rev. Proteom. 2010, 7, 39–53. [Google Scholar] [CrossRef] [PubMed]
- Arenella, M.; Giagnoni, L.; Masciandaro, G.; Ceccanti, B.; Nannipieri, P.; Renella, G. Interactions between proteins and humic substances affect protein identification by mass spectrometry. Biol. Fertil. Soils 2014, 50, 447–454. [Google Scholar] [CrossRef]
- Cortés-Muñoz, M.; Chevalier-Lucia, D.; Dumay, E. Characteristics of submicron emulsions prepared by ultra-high pressure homogenisation: Effect of chilled or frozen storage. Food Hydrocoll. 2009, 23, 640–654. [Google Scholar] [CrossRef]
- Hayes, M.G.; Fox, P.F.; Kelly, A.L. Potential applications of high pressure homogenisation in processing of liquid milk. J. Dairy Res. 2005, 72, 25–33. [Google Scholar] [CrossRef]
- Zamora, A.; Guamis, B.; Trujillo, A. Protein composition of caprine milk fat globule membrane. Small Rumin. Res. 2009, 82, 122–129. [Google Scholar] [CrossRef]
- Chang, C.M.; Powrie, W.D.; Fennema, O. Microstructure of egg yolk. J. Food Sci. 1977, 42, 1193–1200. [Google Scholar] [CrossRef]
- Anton, M.; Gandemer, G. Effect of pH on interface composition and on quality of oil-in-water emulsions made with hen egg yolk. Colloids Surf. B Biointerfaces 1999, 12, 351–358. [Google Scholar] [CrossRef]
- Kiełczewska, K.; Ambroziak, K.; Krzykowska, D.; Aljewicz, M. The effect of high-pressure homogenisation on the size of milk fat globules and MFGM composition in sweet buttermilk and milk. Int. Dairy J. 2021, 113, 104898. [Google Scholar] [CrossRef]
- Song, X.; Zhou, C.; Fu, F.; Chen, Z.; Wu, Q. Effect of high-pressure homogenization on particle size and film properties of soy protein isolate. Ind. Crop. Prod. 2013, 43, 538–544. [Google Scholar] [CrossRef]
- Kuhn, K.R.; Cunha, R. Flaxseed oil—Whey protein isolate emulsions: Effect of high pressure homogenization. J. Food Eng. 2012, 111, 449–457. [Google Scholar] [CrossRef] [Green Version]
- Fernández-Ávila, C.; Escriu, R.; Trujillo, A. Ultra-high pressure homogenization enhances physicochemical properties of soy protein isolate-stabilized emulsions. Food Res. Int. 2015, 75, 357–366. [Google Scholar] [CrossRef] [PubMed]
- Suhag, R.; Dhiman, A.; Thakur, D.; Kumar, A.; Upadhyay, A. Physico-chemical and functional properties of microfluidized egg yolk. J. Food Eng. 2021, 294, 110416. [Google Scholar] [CrossRef]
- Staneva, G.; Momchilova, A.; Wolf, C.; Quinn, P.J.; Koumanov, K. Membrane microdomains: Role of ceramides in the maintenance of their structure and functions. Biochim. Biophys. Acta Biomembr. 2009, 1788, 666–675. [Google Scholar] [CrossRef] [PubMed] [Green Version]
- Aluko, R.E.; Mine, Y. Characterization of oil-in-water emulsions stabilized by hen’s egg yolk granule. Food Hydrocoll. 1998, 12, 203–210. [Google Scholar] [CrossRef]
- Anton, M.; Beaumal, V.; Gandemer, G. Adsorption at the oil–water interface and emulsifying properties of native granules from egg yolk: Effect of aggregated state. Food Hydrocoll. 2000, 14, 327–335. [Google Scholar] [CrossRef]
- Harte, F. Food processing by high-pressure homogenization. In High Pressure Processing of Food; Springer: New York, NY, USA, 2016; pp. 123–141. [Google Scholar]
- Le Denmat, M.; Anton, M.; Gandemer, G. Protein denaturation and emulsifying properties of plasma and granules of egg yolk as related to heat treatment. J. Food Sci. 1999, 64, 194–197. [Google Scholar] [CrossRef]
- Zambrowicz, A.; Dąbrowska, A.; Bobak, Ł.; Szołtysik, M. Egg yolk proteins and peptides with biological activity. Adv. Hyg. 2014, 68, 1524–1529. [Google Scholar] [CrossRef]





| Fraction | Dry Matter | Protein | Lipid | Ash | Phosphorus (P) | Iron (Fe) |
|---|---|---|---|---|---|---|
| (% w/w, Dry Basis) | (×10−2) | |||||
| G1c (control) | 96.1 ± 1.0 a* | 64.6 ± 0.7 a | 39.7 ± 11.2 a | 6.5 ± 0.2 a | 1.1 ± 0.5 a | 2.4 ± 1.2 a |
| G1p (50, 175 and 300 MPa for 1 and 4 passes) | 96.5 ± 2.2 a | 62.7 ± 0.8 a | 29.7 ± 5.0 a | 6.4 ± 0.2 a | 1.0 ± 0.4 a | 1.5 ± 0.8 a |
| G2c (control) | 99.0 ± 0.6 a | 63.6 ± 1.2 a | 37.3 ± 6.4 a | 5.4 ± 0.6 b | 0.5 ± 0.2 a | 1.9 ± 0.7 a |
| G2p (50, 175 and 300 MPa for 1 and 4 passes) | 99.1 ± 0.4 a | 62.8 ± 2.1 a | 42.0 ± 8.6 a | 5.5 ± 0.2 b | 0.5 ± 0.2 a | 1.5 ± 0.4 a |
| P2c (control) | N.D. | 50.0 ± 10.7 b | N.D. | N.D. | N.D. | N.D. |
| P2p (50, 175 and 300 MPa for 1 and 4 passes) | N.D. | 50.1 ± 3.6 b | N.D. | N.D. | N.D. | N.D. |
| # Protein | Identified Proteins | Molecular Weight (kDa) | UniProt ID | % Coverage | Total Spectrum Count (TSC) | ||||
|---|---|---|---|---|---|---|---|---|---|
| G1c | 300 MPa 1 Pass | 300 MPa 4 Passes | G1c | 300 MPa 1 Pass | 300 MPa 4 Passes | ||||
| 1 | Phosvitin OS = Gallus gallus OX = 9031 GN = VTG2 PE = 4 SV = 1 | 205 | F1NFL6_CHICK | 63 | 59 | 73 | 1235 | 660 | 1227 |
| 2 | Phosvitin OS = Gallus gallus OX = 9031 GN = VTG1 PE = 4 SV = 1 | 211 | A0A1D5NUW2_CHICK | 56 | 48 | 60 | 523 | 341 | 608 |
| 3 | Phosvitin OS = Gallus gallus OX = 9031 GN = VTG3 PE = 4 SV = 1 | 187 | A0A3Q2U347_CHICK | 55 | 49 | 63 | 267 | 197 | 309 |
| 4 | Apolipoprotein B OS = Gallus gallus OX = 9031 GN = APOB PE = 4 SV = 2 | 523 | F1NV02_CHICK | 51 | 48 | 59 | 374 | 401 | 571 |
| 5 | Apovitellenin-1 OS = Gallus gallus OX = 9031 PE = 1 SV = 1 | 12 | APOV1_CHICK | 65 | 41 | 63 | 34 | 17 | 36 |
| 6 | Albumin OS = Gallus gallus OX = 9031 GN = ALB PE = 4 SV = 2 | 64 | A0A1D5NW68_CHICK | 9 | 68 | 82 | 8 | 50 | 86 |
| 7 | Ovotransferrin OS = Gallus gallus OX = 9031 GN = TF PE = 3 SV = 4 | 83 | E1BQC2_CHICK | 0 | 34 | 43 | 0 | 30 | 37 |
| 8 | Ovalbumin OS = Gallus gallus OX = 9031 GN = SERPINB14 PE = 1 SV = 2 | 43 | OVAL_CHICK (+1) | 0 | 9 | 17 | 0 | 3 | 6 |
Publisher’s Note: MDPI stays neutral with regard to jurisdictional claims in published maps and institutional affiliations. |
© 2022 by the authors. Licensee MDPI, Basel, Switzerland. This article is an open access article distributed under the terms and conditions of the Creative Commons Attribution (CC BY) license (https://creativecommons.org/licenses/by/4.0/).
Share and Cite
Gaillard, R.; Marciniak, A.; Brisson, G.; Perreault, V.; House, J.D.; Pouliot, Y.; Doyen, A. Impact of Ultra-High Pressure Homogenization on the Structural Properties of Egg Yolk Granule. Foods 2022, 11, 512. https://doi.org/10.3390/foods11040512
Gaillard R, Marciniak A, Brisson G, Perreault V, House JD, Pouliot Y, Doyen A. Impact of Ultra-High Pressure Homogenization on the Structural Properties of Egg Yolk Granule. Foods. 2022; 11(4):512. https://doi.org/10.3390/foods11040512
Chicago/Turabian StyleGaillard, Romuald, Alice Marciniak, Guillaume Brisson, Véronique Perreault, James D. House, Yves Pouliot, and Alain Doyen. 2022. "Impact of Ultra-High Pressure Homogenization on the Structural Properties of Egg Yolk Granule" Foods 11, no. 4: 512. https://doi.org/10.3390/foods11040512
APA StyleGaillard, R., Marciniak, A., Brisson, G., Perreault, V., House, J. D., Pouliot, Y., & Doyen, A. (2022). Impact of Ultra-High Pressure Homogenization on the Structural Properties of Egg Yolk Granule. Foods, 11(4), 512. https://doi.org/10.3390/foods11040512

