Protective Effects of Four Natural Antioxidants on Hydroxyl-Radical-Induced Lipid and Protein Oxidation in Yak Meat
Abstract
1. Introduction
2. Materials and Methods
2.1. Chemicals
2.2. Sample Preparation
2.3. Lipid Peroxide (POV) Determination
2.4. Conjugated Diene (CD) Determination
2.5. Thiobarbituric Acid–Reactive Substance (TBARs) Assay
2.6. Myofibrillar Protein (MP) Extraction
2.7. Carbonyl Group Determination
2.8. Sulfhydryl Group Determination
2.9. Fourier Transform Infrared (FTIR) Spectroscopy
2.10. SDS-PAGE Analysis
2.11. Physical Stability Measurement
2.12. Statistical Analysis
3. Results and Discussion
3.1. POV and CD Value
3.2. TBARs Content
3.3. Carbonyl Content
3.4. Sulphydryl Group
3.5. Secondary Structure
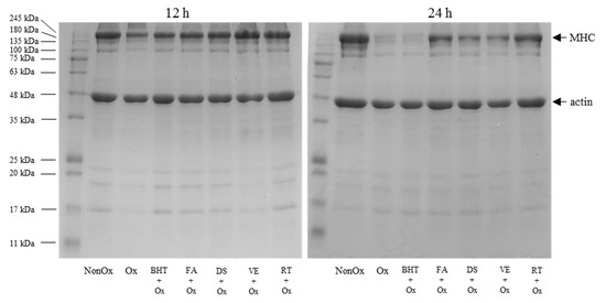
3.6. SDS-PAGE
3.7. Instability Index
4. Conclusions
Author Contributions
Funding
Institutional Review Board Statement
Informed Consent Statement
Data Availability Statement
Conflicts of Interest
References
- Jiang, J.; Xiong, Y.L. Natural antioxidants as food and feed additives to promote health benefits and quality of meat products: A review. Meat Sci. 2016, 120, 107–117. [Google Scholar] [CrossRef]
- Ladikos, D.; Lougovois, V. Lipid oxidation in muscle foods: A review. Food Chem. 1990, 35, 295–314. [Google Scholar] [CrossRef]
- Zhang, L.; Lin, Y.H.; Leng, X.J.; Huang, M.; Zhou, G.H. Effect of sage (Salvia officinalis) on the oxidative stability of Chinese-style sausage during refrigerated storage. Meat Sci. 2013, 95, 145–150. [Google Scholar] [CrossRef] [PubMed]
- Estévez, M. Protein carbonyls in meat systems: A review. Meat Sci. 2011, 89, 259–279. [Google Scholar] [CrossRef]
- Maqsood, S.; Abushelaibi, A.; Manheem, K.; Rashedi, A.A.; Kadim, I.T. Lipid oxidation, protein degradation, microbial and sensorial quality of camel meat as influenced by polyphenolic compounds. LWT Food Sci. Technol. 2015, 63, 953–959. [Google Scholar] [CrossRef]
- Wang, T.T.; Li, Z.X.; Yuan, F.Z.; Lin, H.; Pavase, T.R. Effects of brown seaweed polyphenols, α-tocopherol, and ascorbic acid on protein oxidation and textural properties of fish mince (Pagrosomus major) during frozen storage. J. Sci. Food Agric. 2016, 97, 1102–1107. [Google Scholar] [CrossRef] [PubMed]
- Cheng, J.R.; Xiang, R.; Tang, D.B.; Zhu, M.J.; Liu, X.M. Regulation of protein oxidation in Cantonese sausages by rutin, quercetin and caffeic acid. Meat Sci. 2021, 175, 108422. [Google Scholar] [CrossRef]
- Özünlü, O.; Ergezer, H.; Gökçe, R. Improving physicochemical, antioxidative and sensory quality of raw chicken meat by using acorn extracts. LWT Food Sci. Technol. 2018, 98, 477–484. [Google Scholar] [CrossRef]
- Khan, I.A.; Xu, W.M.; Wang, D.Y.; Yun, A.; Khan, A.; Zhu, Z.S.; Ijaz, M.U.; Cheng, Y.Q.; Hussain, M.; Huang, M. Antioxidant potential of chrysanthemum morifolium flower extract on lipid and protein oxidation in goat meat patties during refrigerated storage. J. Food Sci. 2020, 85, 618–627. [Google Scholar] [CrossRef]
- Kanski, J.; Aksenova, M.; Stoyanova, A.; Butterfield, D.A. Ferulic acid antioxidant protection against hydroxyl and peroxyl radical oxidation in synaptosomal and neuronal cell culture systems in vitro: Structure-activity studies. J. Nutr. Biochem. 2002, 13, 273–281. [Google Scholar] [CrossRef]
- Vaisali, C.; Belur, P.D.; Regupathi, I. Comparison of antioxidant properties of phenolic compounds and their effectiveness in imparting oxidative stability to sardine oil during storage. LWT Food Sci. Technol. 2016, 69, 153–160. [Google Scholar] [CrossRef]
- Utrera, M.; Estévez, M. Analysis of tryptophan oxidation by fluorescence spectroscopy: Effect of metal-catalyzed oxidation and selected phenolic compounds. Food Chem. 2012, 135, 88–93. [Google Scholar] [CrossRef]
- Guo, X.; Hu, L.; Wang, Z.P.; Zhu, X.R.; Deng, X.R.; Zhang, J. Effect of rutin on the physicochemical and gel characteristics of myofibrillar protein under oxidative stress. J. Food Biochem. 2021, 45, e13928. [Google Scholar] [CrossRef] [PubMed]
- Yin, M.C.; Hwang, S.W.; Chan, K.C. Nonenzymatic antioxidant activity of four organosulfur compounds derived from garlic. J. Agric. Food Chem. 2002, 50, 6143–6147. [Google Scholar] [CrossRef] [PubMed]
- Tokur, B.; Korkmaz, K. The effects of an iron-catalyzed oxidation system on lipids and proteins of dark muscle fish. Food Chem. 2007, 104, 754–760. [Google Scholar] [CrossRef]
- Zhu, W.H.; Huan, H.Z.; Bu, Y.; Li, X.P.; Shiuan, D.; Li, J.R.; Sun, X.T. Effects of hydroxyl radical induced oxidation on water holding capacity and protein structure of jumbo squid (Dosidicus gigas) mantle. Int. J. Food Sci. Technol. 2019, 54, 2159–2168. [Google Scholar] [CrossRef]
- Nyaisaba, B.M.; Liu, X.X.; Zhu, S.C.; Fan, X.J.; Sun, L.L.; Hatab, S.; Miao, W.H.; Chen, M.L.; Deng, S.G. Effect of hydroxyl-radical on the biochemical properties and structure of myofibrillar protein from Alaska pollock (Theragra chalcogramma). LWT Food Sci. Technol. 2019, 106, 15–21. [Google Scholar] [CrossRef]
- Chen, C.; Han, L.; Yu, Q.L.; Li, R.R. Color stability and antioxidant capacity of yak meat as affected by feeding with pasture or grain. Can. J. Anim. Sci. 2015, 95, 189–195. [Google Scholar] [CrossRef]
- Liu, C.Y.; Jin, G.F.; Luo, Z.; Li, S.G.; Sun, S.G.; Li, Y.G.; Ma, M.H. Chinese yak and yellow cattle exhibit considerable differences in tissue content of squalene, tocopherol, and fatty acids. Eur. J. Lipid Sci. Technol. 2015, 117, 899–902. [Google Scholar] [CrossRef]
- Li, J.J.; Tang, S.H.; Li, S.N.; Li, Q.S.; Mo, R. Oxidative protection effect of garlic powder on yak myofibrillar protein in vitro. Food Ferment. Ind. 2022, 48, 145–152. (In Chinese) [Google Scholar]
- Li, Q.S.; Tang, S.H.; Li, S.N.; Mo, R.; Li, J.J. Effects of pomegranate peel extract on the physicochemical properties and rheological properties of yak minced meat products during storage. Food Ferment. Ind. 2022, 48, 90–97. (In Chinese) [Google Scholar]
- Huang, L.; Xiong, Y.L.; Kong, B.H.; Huang, X.; Li, J. Influence of storage temperature and duration on lipid and protein oxidation and flavour changes in frozen pork dumpling filler. Meat Sci. 2013, 95, 295–301. [Google Scholar] [CrossRef] [PubMed]
- Juntachote, T.; Berghofer, E.; Siebenhandl, S.; Bauer, F. The antioxidative properties of Holy basil and Galangal in cooked ground pork. Meat Sci. 2006, 72, 446–456. [Google Scholar] [CrossRef] [PubMed]
- Berardo, A.; De Maere, H.; Stavropoulou, D.A.; Rysman, T.; Leroy, F.; De Smet, S. Effect of sodium ascorbate and sodium nitrite on protein and lipid oxidation in dry fermented sausages. Meat Sci. 2016, 121, 359–364. [Google Scholar] [CrossRef] [PubMed]
- Serra, A.; Buccioni, A.; Rodriguez-Estrada, M.T.; Conte, G.; Cappucci, A.; Mele, M. Fatty acid composition, oxidation status and volatile organic compounds in “Colonnata” lard from Large White or Cinta Senese pigs as affected by curing time. Meat Sci. 2014, 97, 504–512. [Google Scholar] [CrossRef] [PubMed]
- Zhang, D.; Li, H.J.; Emara, A.M.; Hu, Y.; Wang, Z.F.; Wang, M.Q.; He, Z.F. Effect of in vitro oxidation on the water retention mechanism of myofibrillar proteins gel from pork muscles. Food Chem. 2020, 315, 126226. [Google Scholar] [CrossRef]
- Soglia, F.; Petracci, M.; Ertbjerg, P. Novel DNPH-based method for determination of protein carbonylation in muscle and meat. Food Chem. 2016, 197, 670–675. [Google Scholar] [CrossRef]
- Ellman, G.L. Tissue sulfhydryl groups. Arch. Biochem. Biophys. 1959, 82, 70–77. [Google Scholar] [CrossRef]
- Gangidi, R.R.; Proctora, A.; Pohlman, F.W. Rapid determination of spinal cord content in ground beef by attenuated total reflectance fourier transform infrared spectroscopy. J. Food Sci. 2003, 68, 124–127. [Google Scholar] [CrossRef]
- Xu, Y.J.; Han, M.Y.; Huang, M.Y.; Xu, X.L. Enhanced heat stability and antioxidant activity of myofibrillar protein-dextran conjugate by the covalent adduction of polyphenols. Food Chem. 2021, 352, 129376. [Google Scholar] [CrossRef]
- Li, S.N.; Tang, S.H.; He, Q.; Hu, J.X.; Zheng, J. Changes in proteolysis in fermented milk produced by Streptococcus thermophilus in co-culture with Lactobacillus plantarum or Bifidobacterium animalis subsp. lactis during refrigerated storage. Molecules 2019, 24, 3699. [Google Scholar] [CrossRef] [PubMed]
- Tian, H.; Zhao, Q.Z.; He, Z.Y.; Wang, Z.J.; Qin, F.; Zeng, M.M.; Chen, J. Effects of molecular weight and degree of esterification of soluble soybean polysaccharide on the stability of casein under acidic conditions. Foods 2021, 10, 686. [Google Scholar] [CrossRef] [PubMed]
- Guyon, C.; Meynier, A.; de Lamballerie, M. Protein and lipid oxidation in meat: A review with emphasis on high-pressure treatments. Trends Food Sci. Technol. 2016, 50, 131–143. [Google Scholar] [CrossRef]
- Öztürk-Kerimoğlu, B.; Nacak, B.; Özyurt, V.H.; Serdaroğlu, M. Protein oxidation and in vitro digestibility of heat-treated fermented sausages: How do they change with the effect of lipid formulation during processing? J. Food Biochem. 2019, 43, e13007. [Google Scholar] [CrossRef]
- Shahidi, F.; Zhong, Y. Lipid oxidation and improving the oxidative stability. Chem. Soc. Rev. 2010, 39, 4067–4079. [Google Scholar] [CrossRef]
- Vaithiyanathan, S.; Naveena, B.M.; Muthukumar, M.; Girish, P.S.; Kondaiah, N. Effect of dipping in pomegranate (Punica granatum) fruit juice phenolic solution on the shelf life of chicken meat under refrigerated storage (4 °C). Meat Sci. 2011, 88, 409–414. [Google Scholar] [CrossRef]
- Cao, Y.G.; Xiong, Y.L. Chlorogenic acid-mediated gel formation of oxidatively stressed myofibrillar protein. Food Chem. 2015, 180, 235–243. [Google Scholar] [CrossRef]
- Medina, I.; González, M.J.; Iglesias, J.; Hedges, N.D. Effect of hydroxycinnamic acids on lipid oxidation and protein changes as well as water holding capacity in frozen minced horse mackerel white muscle. Food Chem. 2009, 114, 881–888. [Google Scholar] [CrossRef]
- Vossen, E.; De Smet, S. Protein oxidation and protein nitration influenced by sodium nitrite in two different meat model systems. J. Agric. Food Chem. 2015, 63, 2550–2556. [Google Scholar] [CrossRef]
- Patel, R.P.; Boersma, B.J.; Crawford, J.H.; Hogg, N.; Kirk, M.; Kalyanaraman, B.; Parks, D.A.; Barnes, S.; Darley-Usmar, V. Antioxidant mechanisms of isoflavones in lipid systems: Paradoxical effects of peroxyl radical scavenging. Free. Radic. Biol. Med. 2001, 31, 1570–1581. [Google Scholar] [CrossRef]
- Pedraza-Chaverrí, J.; Maldonado, P.D.; Barrera, D.; Cerón, A.; Medina-Campos, O.N.; Hernández-Pando, R. Protective effect of diallyl sulfide on oxidative stress and nephrotoxicity induced by gentamicin in rats. Mol. Cell. Biochem. 2003, 254, 125–130. [Google Scholar] [CrossRef] [PubMed]
- Çelik, N.; Vurmaz, A.; Kahraman, A. Protective effect of quercetin on homocysteine-induced oxidative stress. Nutrition 2017, 33, 291–296. [Google Scholar] [CrossRef] [PubMed]
- Viskupicova, J.; Strosova, M.K.; Zizkova, P.; Majekova, M.; Horakova, L. Rutin stimulates sarcoplasmic reticulum Ca2+-ATPase activity (SERCA1) and protects SERCA1 from peroxynitrite mediated injury. Mol. Cell. Biochem. 2015, 402, 51–62. [Google Scholar] [CrossRef] [PubMed]
- Bao, Z.J.; Wu, J.P.; Cheng, Y.; Chi, Y.J. Effects of lipid peroxide on the structure and gel properties of ovalbumin. Process Biochem. 2017, 57, 124–130. [Google Scholar] [CrossRef]
- Keppler, J.K.; Schwarz, K.; van der Goot, A.J. Covalent modification of food proteins by plant-based ingredients (polyphenols and organosulphur compounds): A commonplace reaction with novel utilization potential. Trends Food Sci. Technol. 2020, 101, 38–49. [Google Scholar] [CrossRef]
- Andersen, E.; Andersen, M.L.; Baron, C.P. Characterization of oxidative changes in salted herring (Clupea harengus) during ripening. J. Agric. Food Chem. 2007, 55, 9545–9553. [Google Scholar] [CrossRef]
- Wang, X.; Li, X.; Xu, D.; Zhu, Y.C.; Cao, Y.P.; Wang, J.; Sun, B.G. Comparision of heteroaggregation, layer-by-layer and directly mixing techniques on the physical properties and in vitro digestion of emulsions. Food Hydrocoll. 2019, 95, 228–237. [Google Scholar] [CrossRef]
- Jayaraman, S.; Gantz, D.L.; Gursky, O. Effects of protein oxidation on the structure and stability of model discoidal high-density lipoproteins. Biochemistry 2008, 47, 3875–3882. [Google Scholar] [CrossRef]
- Walstra, P. Dispersed systems: Basic considerations. In Food Chemistry, 3rd ed.; Fennema, O.R., Ed.; Marcel Dekker, Inc.: New York, NY, USA, 1996. [Google Scholar]






| Treatment | POV (meq/kg) | CD (mmol/kg) | ||
|---|---|---|---|---|
| 12 h | 24 h | 12 h | 24 h | |
| NonOx | 0.11 ± 0.03 bB | 0.18 ± 0.03 dA | 0.47 ± 0.06 cA | 0.51 ± 0.07 dA |
| Ox | 0.24 ± 0.03 aB | 0.34 ± 0.03 aA | 0.78 ± 0.05 aA | 0.88 ± 0.08 aA |
| BHT + Ox | 0.09 ± 0.03 bcB | 0.23 ± 0.01 bcA | 0.66 ± 0.06 bB | 0.82 ± 0.07 abA |
| FA + Ox | 0.05 ± 0.02 cB | 0.14 ± 0.03 dA | 0.46 ± 0.06 cB | 0.64 ± 0.05 cA |
| DS + Ox | 0.10 ± 0.03 bB | 0.25 ± 0.01 bA | 0.66 ± 0.04 bB | 0.74 ± 0.01 bA |
| VE + Ox | 0.06 ± 0.02 bcB | 0.19 ± 0.03 cdA | 0.64 ± 0.07 bA | 0.75 ± 0.03 bA |
| RT + Ox | 0.07 ± 0.02 bcB | 0.17 ± 0.03 dA | 0.46 ± 0.04 cB | 0.56 ± 0.03 cdA |
Publisher’s Note: MDPI stays neutral with regard to jurisdictional claims in published maps and institutional affiliations. |
© 2022 by the authors. Licensee MDPI, Basel, Switzerland. This article is an open access article distributed under the terms and conditions of the Creative Commons Attribution (CC BY) license (https://creativecommons.org/licenses/by/4.0/).
Share and Cite
Li, S.; Tang, S.; Li, J.; Chen, L.; Ma, Y. Protective Effects of Four Natural Antioxidants on Hydroxyl-Radical-Induced Lipid and Protein Oxidation in Yak Meat. Foods 2022, 11, 3062. https://doi.org/10.3390/foods11193062
Li S, Tang S, Li J, Chen L, Ma Y. Protective Effects of Four Natural Antioxidants on Hydroxyl-Radical-Induced Lipid and Protein Oxidation in Yak Meat. Foods. 2022; 11(19):3062. https://doi.org/10.3390/foods11193062
Chicago/Turabian StyleLi, Sining, Shanhu Tang, Jinjin Li, Lamei Chen, and Yuan Ma. 2022. "Protective Effects of Four Natural Antioxidants on Hydroxyl-Radical-Induced Lipid and Protein Oxidation in Yak Meat" Foods 11, no. 19: 3062. https://doi.org/10.3390/foods11193062
APA StyleLi, S., Tang, S., Li, J., Chen, L., & Ma, Y. (2022). Protective Effects of Four Natural Antioxidants on Hydroxyl-Radical-Induced Lipid and Protein Oxidation in Yak Meat. Foods, 11(19), 3062. https://doi.org/10.3390/foods11193062

