The Efficiency of Lemon Essential Oil-Based Nanoemulsions on the Inhibition of Phomopsis sp. and Reduction of Postharvest Decay of Kiwifruit
Abstract
:1. Introduction
2. Materials and Methods
2.1. Materials
2.2. Determination of the Chemical Constituents of LEO
2.3. Preparation of LEO Nanoemulsions
2.4. Characterization of LEO/NE
2.4.1. Detection of the Encapsulation Efficiency
2.4.2. Dynamic Light Scattering (DLS) and Zeta Potential (ZP)
2.4.3. Fourier Transform Infrared (FT-IR) Spectroscopy Analysis
2.5. Effects of LEO/NE on Spore Germination of the Fungal Phomopsis sp.
2.6. Effects of LEO/NE on the Cell Viability and Mycelial Growth of Phomopsis sp.
2.7. Effects of LEO/NE on Reactive Oxygen Species (ROS) Accumulation of Phomopsis sp.
2.8. Effects of LEO/NE on Intracellular Antioxidant Enzyme Activities in Phomopsis sp.
2.9. Effects of LEO/NE on Cell Apoptosis of Phomopsis sp.
2.10. Effect of LEO/NE on the Postharvest Decay of Kiwifruit
2.11. Statistical Analysis
3. Results and Discussion
3.1. Chemical Compositions of LEO
3.2. Physical and Chemical Characteristics of LEO/NE
3.3. FT-IR Spectroscopy Detection of LEO/NE
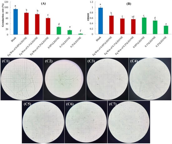
3.4. Effects of LEO/NE on Spore Germination of Phomopsis sp.
3.5. Effects of LEO/NE on Cell Viability and Mycelial Growth of Phomopsis sp.
3.6. Effects of LEO/NE on Reactive Oxygen Species (ROS) Accumulation of Phomopsis sp.
3.7. Effects of LEO/NE on Intracellular Antioxidant Enzyme Activities of Phomopsis sp.
3.8. Effects of LEO/NE on Cell Apoptosis of Phomopsis sp.
3.9. Effect of LEO/NE on the Postharvest Decay of Kiwifruit Caused by Phomopsis sp.
4. Conclusions
Author Contributions
Funding
Institutional Review Board Statement
Informed Consent Statement
Data Availability Statement
Conflicts of Interest
References
- Wojdylo, A.; Nowicka, P.; Oszmianski, J.; Golis, T. Phytochemical compounds and biological effects of Actinidia fruits. J. Funct. Foods 2017, 30, 194–202. [Google Scholar] [CrossRef]
- Luongo, L.; Santori, A.; Riccioni, L.; Belisario, A. Phomopsis sp. associated with post-harvest fruit rot of kiwifruit in Italy. J. Plant Pathol. 2011, 93, 205–209. [Google Scholar]
- Zhang, C.; Long, Y.; Li, J.; Li, M.; Xing, D.; An, H.; Wu, X.; Wu, Y. A chitosan composite film sprayed before pathogen infection effectively controls postharvest soft rot in kiwifruit. Agronomy 2020, 10, 265. [Google Scholar] [CrossRef] [Green Version]
- Zhang, C.; Li, M.; Long, Y.; Wu, X. Control of soft rot in kiwifruit by pre-harvest application of chitosan composite coating and its effect on preserving and improving kiwifruit quality. Food Sci. 2016, 37, 274–281, (In Chinese with English abstract). [Google Scholar]
- Pan, L.; Zhao, X.; Chen, M.; Fu, Y.; Xiang, M.; Chen, J. Effect of exogenous methyl jasmonate treatment on disease resistance of postharvest kiwifruit. Food Chem. 2020, 305, 125483. [Google Scholar] [CrossRef]
- Jin, M.; Jiao, J.; Zhao, Q.; Ban, Q.; Gao, M.; Suo, J.; Zhu, Q.; Rao, J. Dose effect of exogenous abscisic acid on controlling lignification of postharvest kiwifruit (Actinidia chinensis cv. hongyang). Food Control 2021, 124, 107911. [Google Scholar] [CrossRef]
- Liu, Y.; Lv, G.; Chai, J.; Yang, Y.; Ma, F.; Liu, Z. The Effect of 1-MCP on the expression of carotenoid, chlorophyll degradation, and ethylene response factors in ‘Qihong’ kiwifruit. Foods 2021, 10, 3017. [Google Scholar] [CrossRef]
- Bajwa, U.; Sandhu, K.S. Effect of handling and processing on pesticide residues in food—A review. J. Food Sci. Technol. 2014, 51, 201–220. [Google Scholar] [CrossRef] [Green Version]
- Damyeh, M.S.; Mereddy, R.; Netzel, M.E.; Sultanbawa, Y. An insight into curcumin-based photosensitization as a promising and green food preservation technology. Compr. Rev. Food Sci. 2020, 19, 1727–1759. [Google Scholar] [CrossRef]
- Calo, J.R.; Crandall, P.G.; O’Bryan, C.A.; Ricke, S.C. Essential oils as antimicrobials in food systems—A review. Food Control 2015, 54, 111–119. [Google Scholar] [CrossRef]
- Majeed, H.; Bian, Y.-Y.; Ali, B.; Jamil, A.; Majeed, U.; Khan, Q.F.; Iqbal, K.J.; Shoemaker, C.F.; Fang, Z. Essential oil encapsulations: Uses, procedures, and trends. RSC Adv. 2015, 5, 58449–58463. [Google Scholar] [CrossRef]
- Elshafie, S.S.; Elshafie, H.S.; El Bayomi, R.M.; Camele, I.; Morshdy, A.E.M.A. Evaluation of the antimicrobial activity of four plant essential oils against some food and phytopathogens isolated from processed meat products in Egypt. Foods 2022, 11, 1159. [Google Scholar] [CrossRef] [PubMed]
- Antonioli, G.; Fontanella, G.; Echeverrigaray, S.; Longaray Delamare, A.P.; Fernandes Pauletti, G.; Barcellos, T. Poly(lactic acid) nanocapsules containing lemongrass essential oil for postharvest decay control: In vitro and in vivo evaluation against phytopathogenic fungi. Food Chem. 2020, 326, 126997. [Google Scholar] [CrossRef] [PubMed]
- Meng, F.B.; Lei, Y.T.; Zhang, Q.; Li, Y.C.; Chen, W.J.; Liu, D.Y. Encapsulation of Zanthoxylum bungeanum essential oil to enhance flavor stability and inhibit lipid oxidation of Chinese-style sausage. J. Sci. Food Agric. 2022. [Google Scholar] [CrossRef]
- Meng, F.B.; Zhang, Q.; Li, Y.C.; Liu, S.Y.; Liu, D.Y.; Yu, H. In vitro fermentation and camellia oil emulsification characteristics of konjac glucomannan octenyl succinate. Food Sci. Nutr. 2020, 8, 3912–3922. [Google Scholar] [CrossRef]
- Gago, C.; Antão, R.; Dores, C.; Guerreiro, A.; Miguel, M.G.; Faleiro, M.L.; Figueiredo, A.C.; Antunes, M.D. The effect of nanocoatings enriched with essential Oils on ‘Rocha’ pear long storage. Foods 2020, 9, 240. [Google Scholar] [CrossRef] [Green Version]
- Crupi, M.L.; Costa, R.; Dugo, P.; Dugo, G.; Mondello, L. A comprehensive study on the chemical composition and aromatic characteristics of lemon liquor. Food Chem. 2007, 105, 771–783. [Google Scholar] [CrossRef]
- Li, X.L.; Xiao, N.Y.; Xiao, G.S.; Bai, W.D.; Zhang, X.Q.; Zhao, W.H. Lemon essential oil/vermiculite encapsulated in electrospun konjac glucomannan-grafted-poly (acrylic acid)/polyvinyl alcohol bacteriostatic pad: Sustained control release and its application in food preservation. Food Chem. 2021, 348, 129021. [Google Scholar] [CrossRef]
- Perdones, A.; Escriche, I.; Chiralt, A.; Vargas, M. Effect of chitosan-lemon essential oil coatings on volatile profile of strawberries during storage. Food Chem. 2016, 197, 979–986. [Google Scholar] [CrossRef]
- Dimic, G.; Kocic-Tanackov, S.; Mojovic, L.; Pejin, J. Antifungal activity of lemon essential oil, coriander and cinnamon extracts on foodborne molds in direct contact and the vapor phase. J. Food Process. Pres. 2015, 39, 1778–1787. [Google Scholar] [CrossRef]
- Li, Y.C.; Zhong, G.; Meng, F.B.; Yu, H.; Liu, D.Y.; Peng, L.X. Konjac glucomannan octenyl succinate (KGOS) as an emulsifier for lipophilic bioactive nutrient encapsulation. J. Sci. Food Agric. 2018, 98, 5742–5749. [Google Scholar] [CrossRef] [PubMed]
- Meng, F.B.; Li, Y.C.; Liu, D.Y.; Zhong, G.; Guo, X.Q. The characteristics of konjac glucomannan octenyl succinate (KGOS) prepared with different substitution rates. Carbohydr. Polym. 2018, 181, 1078–1085. [Google Scholar] [CrossRef] [PubMed]
- Meng, F.B.; Zhang, Q.; Li, Y.C.; Li, J.J.; Liu, D.Y.; Peng, L.X. Konjac glucomannan octenyl succinate as a novel encapsulation wall material to improve curcumin stability and bioavailability. Carbohydr. Polym. 2020, 238, 116193. [Google Scholar] [CrossRef] [PubMed]
- Meng, F.B.; Li, J.J.; Zhang, Q.; Li, Y.C.; Liu, D.Y.; Chen, W.J.; Zhang, Y. Complex wall materials of polysaccharide and protein effectively protected numb-taste substance degradation of Zanthoxylum bungeanum. J. Sci. Food Agric. 2021, 101, 4605–4612. [Google Scholar] [CrossRef] [PubMed]
- Chen, W.; Wang, W.; Guo, M.; Li, Y.; Meng, F.; Liu, D. Whey protein isolate-gum Acacia Maillard conjugates as emulsifiers for nutraceutical emulsions: Impact of glycation methods on physicochemical stability and in vitro bioaccessibility of β-carotene emulsions. Food Chem. 2022, 375, 131706. [Google Scholar] [CrossRef]
- Li, Y.-C.; Luo, Y.; Meng, F.-B.; Li, J.; Chen, W.-J.; Liu, D.-Y.; Zou, L.-H.; Zhou, L. Preparation and characterization of feruloylated oat β-glucan with antioxidant activity and colon-targeted delivery. Carbohydr. Polym. 2022, 279, 119002. [Google Scholar] [CrossRef]
- Zhang, D.; Bi, W.; Kai, K.; Ye, Y.; Liu, J. Effect of chlorogenic acid on controlling kiwifruit postharvest decay caused by Diaporthe sp. LWT 2020, 132, 109805. [Google Scholar] [CrossRef]
- Kai, K.; Bi, W.; Sui, Y.; Hua, C.; Liu, Y.; Zhang, D. Curcumin inhibits Diaporthe phaseolorum and reduces postharvest decay in kiwifruit. Sci. Hortic. 2020, 259, 108860. [Google Scholar] [CrossRef]
- Chen, H.; Cheng, Z.; Wisniewski, M.; Liu, Y.; Liu, J. Ecofriendly hot water treatment reduces postharvest decay and elicits defense response in kiwifruit. Environ. Sci. Pollut. Res. 2015, 22, 15037–15045. [Google Scholar] [CrossRef]
- Yazgan, H.; Ozogul, Y.; Kuley, E. Antimicrobial influence of nanoemulsified lemon essential oil and pure lemon essential oil on food-borne pathogens and fish spoilage bacteria. Int. J. Food Microbiol. 2019, 306, 108266. [Google Scholar] [CrossRef]
- Combrinck, S.; Regnier, T.; Kamatou, G. In vitro activity of eighteen essential oils and some major components against common postharvest fungal pathogens of fruit. Ind. Crops Prod. 2011, 33, 344–349. [Google Scholar] [CrossRef]
- Hasani, S.; Ojagh, S.M.; Ghorbani, M. Nanoencapsulation of lemon essential oil in Chitosan-Hicap system. Part 1: Study on its physical and structural characteristics. Int. J. Biol. Macromol. 2018, 115, 143–151. [Google Scholar] [CrossRef] [PubMed]
- Gong, D.; Bi, Y.; Zong, Y.; Li, Y.; Sionov, E.; Prusky, D. Characterization and sources of volatile organic compounds produced by postharvest pathogenic fungi colonized fruit. Postharvest Biol. Technol. 2022, 188, 111903. [Google Scholar] [CrossRef]
- De Oliveira, J.L.; Campos, E.V.R.; Pereira, A.E.S.; Pasquoto, T.; Lima, R.; Grillo, R.; de Andrade, D.J.; dos Santos, F.A.; Fraceto, L.F. Zein nanoparticles as eco-friendly carrier systems for botanical repellents aiming sustainable agriculture. J. Agric. Food Chem. 2018, 66, 1330–1340. [Google Scholar] [CrossRef]
- Jacobs, C.; Müller, R.H. Production and characterization of a budesonide nanosuspension for pulmonary administration. Pharm. Res. 2002, 19, 189–194. [Google Scholar] [CrossRef]
- Beikzadeh, S.; Akbarinejad, A.; Swift, S.; Perera, J.; Kilmartin, P.A.; Travas-Sejdic, J. Cellulose acetate electrospun nanofibers encapsulating Lemon Myrtle essential oil as active agent with potent and sustainable antimicrobial activity. React. Funct. Polym. 2020, 157, 104769. [Google Scholar] [CrossRef]
- Wang, L.X.; Lee, A.R.; Yuan, Y.; Wang, X.M.; Lu, T.J. Preparation and FTIR, Raman and SEM characterizations of konjac glucomannan-KCl electrogels. Food Chem. 2020, 331, 127289. [Google Scholar] [CrossRef]
- Hashemi, S.M.B.; Jafarpour, D. The efficacy of edible film from Konjac glucomannan and saffron petal extract to improve shelf life of fresh-cut cucumber. Food Sci. Nutr. 2020, 8, 3128–3137. [Google Scholar] [CrossRef]
- Ammad, F.; Moumen, O.; Gasem, A.; Othmane, S.; Hisashi, K.N.; Zebib, B.; Merah, O. The potency of lemon (Citrus limon L.) essential oil to control some fungal diseases of grapevine wood. Comptes Rendus Biol. 2018, 341, 97–101. [Google Scholar] [CrossRef]
- Kodituwakku, T.D.; Ekanayake, G.C.M.; Abeywickrama, K.P.; Jayakody, R. In vitro antifungal effi cacy of selected essential oils in controllingfungi associated with the stem-end rot disease of mango (cv. Karutha Colomban) fruits and characterisation of antifungal components. J. Natl. Sci. Found. Sri Lanka 2020, 48, 101–111. [Google Scholar] [CrossRef]
- Huang, Z.H.; Guo, L.F.; Wang, H.; Qu, H.X.; Ma, S.M.; Liu, Y.F.; Huang, H.W.; Jiang, Y.M. Energy status of kiwifruit stored under different temperatures or exposed to long-term anaerobic conditions or pure oxygen. Postharvest Biol. Technol. 2014, 98, 56–64. [Google Scholar] [CrossRef]
- Brandt, K.; Maiwald, S.; Herkenhoff-Hesselmann, B.; Gnirss, K.; Greie, J.C.; Dunn, S.D.; Deckers-Hebestreit, G. Individual interactions of the b subunits within the stator of the Escherichia coli ATP synthase. J. Biol. Chem. 2013, 288, 24465–24479. [Google Scholar] [CrossRef] [PubMed] [Green Version]
- Sharma, P.; Jha, A.; Dubey, R.; Pessarakli, M. Reactive oxygen species, oxidative damage, and antioxidative defense mechanism in plants under stressful conditions. J. Bot. 2012, 2012, 217037. [Google Scholar] [CrossRef] [Green Version]
- Da Silva, E.P.; Nachbar, R.T.; Levada-Pires, A.C.; Hirabara, S.M.; Lambertucci, R.H. Omega-3 fatty acids differentially modulate enzymatic anti-oxidant systems in skeletal muscle cells. Cell Stress Chaperones 2016, 21, 87–95. [Google Scholar] [CrossRef] [PubMed] [Green Version]
- Granata, S.; Dalla Gassa, A.; Tomei, P.; Lupo, A.; Zaza, G. Mitochondria: A new therapeutic target in chronic kidney disease. Nutr. Metab. 2015, 12, 49. [Google Scholar] [CrossRef] [PubMed] [Green Version]
- Souza, C.F.; Baldissera, M.D.; Cossetin, L.F.; Dalla Lana, D.F.; Monteiro, S.G. Achyrocline satureioides essential oil loaded in nanocapsules ameliorate the antioxidant/oxidant status in heart of rats infected with Trypanosoma evansi. Microb. Pathog. 2017, 105, 30–36. [Google Scholar] [CrossRef]






| Number | Compounds | RT (min) | RI | Relative Percentage (%) |
|---|---|---|---|---|
| 1 | α-Phellandrene | 4.817 | 997 | 0.44 ± 0.01 |
| 2 | α-Pinene | 4.925 | 1005 | 1.87 ± 0.04 |
| 3 | Camphene | 5.115 | 1016 | 0.06 ± 0.00 |
| 4 | Sabinene | 5.375 | 1031 | 1.99 ± 0.04 |
| 5 | β-Pinene | 5.449 | 1035 | 12.43 ± 0.07 |
| 6 | 7-Methyl-3-methyleneocta-1,6-diene | 5.507 | 1039 | 1.45 ± 0.02 |
| 7 | Octanal | 5.635 | 1046 | 0.05 ± 0.00 |
| 8 | 1,3,6-Octatriene,3,7-dimethyl-, (3E)- | 5.73 | 1052 | 0.05 ± 0.01 |
| 9 | α-Terpinene | 5.868 | 1060 | 0.20 ± 0.01 |
| 10 | Benzene,1-methyl-2-(1-methylethyl)- | 5.956 | 1065 | 0.22 ± 0.02 |
| 11 | D-Limonene | 6.047 | 1070 | 67.01 ± 0.50 |
| 12 | (Z)-β-Ocimene | 6.165 | 1077 | 0.18 ± 0.00 |
| 13 | γ-Terpinene | 6.350 | 1088 | 9.69 ± 0.06 |
| 14 | α-Terpinolene | 6.692 | 1117 | 0.39 ± 0.02 |
| 15 | Linalool | 6.747 | 1124 | 0.08 ± 0.01 |
| 16 | Nonanal | 6.790 | 1129 | 0.13 ± 0.00 |
| 17 | Citronellal | 7.344 | 1198 | 0.06 ± 0.01 |
| 18 | α-Terpineol | 7.837 | 1228 | 0.14 ± 0.02 |
| 19 | 2,6-Octadienal,3,7-dimethyl-, (2Z)- | 8.320 | 1256 | 0.77 ± 0.03 |
| 20 | cis-Citral | 8.610 | 1273 | 1.39 ± 0.04 |
| 21 | 2,6-Octadien-1-ol,3,7-dimethyl-, 1-acetate | 9.500 | 1318 | 0.31 ± 0.01 |
| 22 | Neryl acetate | 9.688 | 1326 | 0.21 ± 0.01 |
| 23 | cis-β-Farnesene | 10.385 | 1355 | 0.19 ± 0.00 |
| 24 | 1,3,6,10-Dodecatetraene,3,7,11-trimethyl-, (3Z,6E)- | 10.426 | 1357 | 0.30 ± 0.02 |
| 25 | β-Bisabolene | 11.188 | 1389 | 0.48 ± 0.03 |
| Hardness (g) | Gumminess | Springiness | Chewiness | SSC (%) | TA (%) | |
|---|---|---|---|---|---|---|
| Blank | 763.87 ± 93.46 | 38.92 ± 0.63 | 0.20 ± 0.01 | 12.11 ± 0.57 | 12.3 ± 0.216 | 0.54 ± 0.04 |
| Wm control | 760.44 ± 98.71 | 41.78 ± 1.56 | 0.37 ± 0.02 | 15.41 ± 0.25 | 12.5 ± 0.216 | 0.49 ± 0.03 |
| 0.25% LEO/NE | 660.07 ± 85.99 | 44.49 ± 0.67 | 0.28 ± 0.01 | 12.48 ± 0.63 | 10.0 ± 0.216 | 0.44 ± 0.05 |
| 0.5% LEO/NE | 854.63 ± 89.65 | 41.00 ± 0.42 | 0.43 ± 0.00 | 11.51 ± 0.36 | 11.2 ± 0.287 | 0.53 ± 0.08 |
| 0.75% LEO/NE | 915.61 ± 77.27 | 47.82 ± 0.82 | 0.31 ± 0.00 | 13.29 ± 0.29 | 10.7 ± 0.294 | 0.48 ± 0.04 |
| 1% LEO/NE | 928.27 ± 65.84 | 53.79 ± 1.37 | 0.39 ± 0.00 | 12.72 ± 0.25 | 10.2 ± 0.125 | 0.48 ± 0.08 |
| 1.25% LEO/NE | 925.58 ± 87.22 | 42.04 ± 1.55 | 0.30 ± 0.02 | 15.68 ± 0.23 | 11.3 ± 0.236 | 0.56 ± 0.05 |
| p | 0.171 | 0.777 | 0.063 | 0.925 | 0.913 | 0.115 |
Publisher’s Note: MDPI stays neutral with regard to jurisdictional claims in published maps and institutional affiliations. |
© 2022 by the authors. Licensee MDPI, Basel, Switzerland. This article is an open access article distributed under the terms and conditions of the Creative Commons Attribution (CC BY) license (https://creativecommons.org/licenses/by/4.0/).
Share and Cite
Meng, F.-B.; Gou, Z.-Z.; Li, Y.-C.; Zou, L.-H.; Chen, W.-J.; Liu, D.-Y. The Efficiency of Lemon Essential Oil-Based Nanoemulsions on the Inhibition of Phomopsis sp. and Reduction of Postharvest Decay of Kiwifruit. Foods 2022, 11, 1510. https://doi.org/10.3390/foods11101510
Meng F-B, Gou Z-Z, Li Y-C, Zou L-H, Chen W-J, Liu D-Y. The Efficiency of Lemon Essential Oil-Based Nanoemulsions on the Inhibition of Phomopsis sp. and Reduction of Postharvest Decay of Kiwifruit. Foods. 2022; 11(10):1510. https://doi.org/10.3390/foods11101510
Chicago/Turabian StyleMeng, Fan-Bing, Zhen-Zhen Gou, Yun-Cheng Li, Long-Hua Zou, Wei-Jun Chen, and Da-Yu Liu. 2022. "The Efficiency of Lemon Essential Oil-Based Nanoemulsions on the Inhibition of Phomopsis sp. and Reduction of Postharvest Decay of Kiwifruit" Foods 11, no. 10: 1510. https://doi.org/10.3390/foods11101510
APA StyleMeng, F.-B., Gou, Z.-Z., Li, Y.-C., Zou, L.-H., Chen, W.-J., & Liu, D.-Y. (2022). The Efficiency of Lemon Essential Oil-Based Nanoemulsions on the Inhibition of Phomopsis sp. and Reduction of Postharvest Decay of Kiwifruit. Foods, 11(10), 1510. https://doi.org/10.3390/foods11101510
