Genotoxicity Evaluation of Propyl-Propane-Thiosulfinate (PTS) from Allium genus Essential Oils by a Combination of Micronucleus and Comet Assays in Rats
Abstract
1. Introduction
2. Materials and Methods
2.1. Chemical and Reagents
2.2. Animal Hosting and Nourishing Conditions
2.3. Treatment Schedules and Dose Levels
2.4. Sample Collection
2.5. Micronucleus Assay
2.6. Standard and Enzyme-Modified Comet Assay
2.7. Histopathological Analysis
2.8. Statistical Analysis
3. Results
3.1. Micronucleus Assay
3.2. Standard and Enzyme-Modified Comet Assay
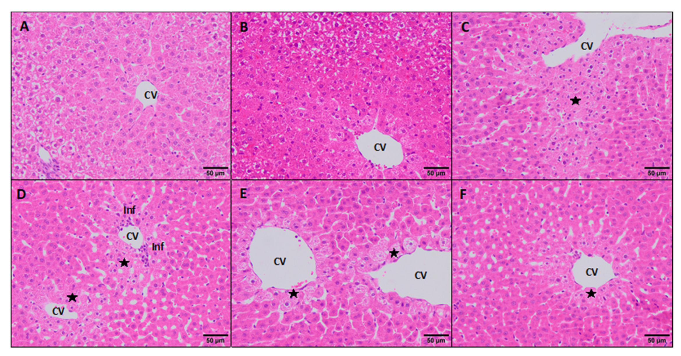
3.3. Histopathological Study
4. Discussion
5. Conclusions
Supplementary Materials
Author Contributions
Funding
Institutional Review Board Statement
Informed Consent Statement
Acknowledgments
Conflicts of Interest
References
- Farhat, Z.; Hershberger, P.A.; Freudenheim, J.L.; Mammen, M.J.; Hageman Blair, R.; Aga, D.S.; Mu, L. Types of garlic and their anticancer and antioxidant activity: A review of the epidemiologic and experimental evidence. Eur. J. Nutr. 2021. [Google Scholar] [CrossRef]
- Bosem, S.; Laha, B.; Banerjee, S. Anti-inflammatory activity of isolated allicin from garlic with post-acoustic waves and microwave radiation. J. Adv. Pharm. Res. 2013, 13, 512–514. [Google Scholar]
- Vezza, T.; Algieri, F.; Garrido-Mesa, J.; Utrilla, M.P.; Rodríguez-Cabezas, M.E.; Baños, A.; Guillamón, E.; García, F.; Rodríguez-Nogales, A.; Gálvez, J. The Immunomodulatory Properties of Propyl-Propane Thiosulfonate Contribute to Its Intestinal Anti-Inflammatory Effect in Experimental Colitis. Mol. Nutr. Food Res. 2019, 63, e1800653. [Google Scholar] [CrossRef]
- Bisen, P.S.; Emerald, M. Nutritional and therapeutic potential of garlic and onion (Allium sp.). Curr. Nutr. Food Sci. 2016, 12, 190–199. [Google Scholar] [CrossRef]
- Nile, S.H.; Nile, A.S.; Keum, Y.S.; Sharma, K. Utilization of quercetin and quercetin glycosides from onion (Allium cepa L.) solid waste as an antioxidant, urease and xanthine oxidase inhibitors. Food Chem. 2017, 235, 119–126. [Google Scholar] [CrossRef] [PubMed]
- Sorlozano-Puerto, A.; Albertuz-Crespo, M.; López-Machado, I.; Ariza-Romero, J.J.; Baños-Arjona, A.; Exposito-Ruiz, M.; Gutierrez-Fernandez, J. In Vitro Antibacterial Activity of Propyl-Propane-Thiosulfinate and Propyl-Propane-Thiosulfonate Derived from Allium spp. against Gram-Negative and Gram-Positive Multidrug-Resistant Bacteria Isolated from Human Samples. BioMed Res. Int. 2018. [Google Scholar] [CrossRef] [PubMed]
- Ramirez, D.A.; Locatelli, D.A.; González, R.E.; Cavagnaro, P.F.; Camargo, A.B. Analytical methods for bioactive sulfur compounds in Allium: An integrated review and future directions. J. Food Compos. Anal. 2017, 61, 4–19. [Google Scholar] [CrossRef]
- Llana-Ruiz-Cabello, M.; Pichardo, S.; Maisanaba, S.; Puerto, M.; Prieto, A.I.; Gutiérrez-Praena, D.; Jos, A.; Cameán, A.M. In vitro toxicological evaluation of essential oils and their main compounds used in active food packaging: A review. Food Chem. Toxicol. 2015, 81, 9–27. [Google Scholar] [CrossRef]
- Llana-Ruiz-Cabello, M.; Gutiérrez-Praena, D.; Puerto, M.; Pichardo, S.; Moreno, F.J.; Baños, A.; Nuñez, C.; Guillamon, E.; Cameán, A.M. Acute toxicological studies of the main organosulfur compound derived from Allium sp. intended to be used in active food packaging. Food Chem. Toxicol. 2015, 82, 1–11. [Google Scholar] [CrossRef] [PubMed]
- Llana-Ruiz-Cabello, M.; Maisanaba, S.; Gutierrez-Praena, D.; Prieto, A.I.; Pichardo, S.; Jos, A.; Moreno, F.J.; Cameán, A.M. Cytotoxic and mutagenic in vitro assessment of two organosulfur compounds derived from onion to be used in the food industry. Food Chem. 2015, 166, 423–431. [Google Scholar] [CrossRef]
- Maisanaba, S.; Llana-Ruiz-Cabello, M.; Gutiérrez-Praena, D.; Pichardo, S.; Puerto, M.; Prieto, A.I.; Jos, A.; Cameán, A.M. New advances in active packaging incorporated with essential oils or their main components for food preservation. Food Rev. Int. 2017, 33, 447–515. [Google Scholar] [CrossRef]
- Putnik, P.; Gabrić, D.; Roohinejad, S.; Barba, F.J.; Granato, D.; Mallikarjunan, K.; Lorenzo, J.M.; Bursać Kovačević, D. An overview of organosulfur compounds from Allium spp.: From processing and preservation to evaluation of their bioavailability, antimicrobial, and anti-inflammatory properties. Food Chem. 2019, 276, 680–691. [Google Scholar] [CrossRef]
- Mathan Kumar, M.; Tamizhselvi, R. Protective effect of diallyl disulfide against cerulein-induced acute pancreatitis and associated lung injury in mice. Int. Immunopharmacol. 2020, 80, 106136. [Google Scholar] [CrossRef] [PubMed]
- Baños, A.; García, J.D.; Núñez, C.; Mut-Salud, N.; Ananou, S.; Martínez-Bueno, M.; Maqueda, M.; Valdivia, E. Subchronic toxicity study in BALBc mice of enterocin AS-48, an anti-microbial peptide produced by Enterococcus faecalis UGRA10. Food Chem. Toxicol. 2019, 132, 110667. [Google Scholar] [CrossRef] [PubMed]
- Llana-Ruiz-Cabello, M.; Pichardo, S.; Baños, A.; Núñez, C.; Bermúdez, J.M.; Guillamón, E.; Aucejo, S.; Cameán, A.M. Characterisation and evaluation of PLA films containing an extract of Allium spp. to be used in the packaging of ready-to eat salads under controlled atmospheres. LWT Food Sci. Technol. 2015, 64, 1354–1361. [Google Scholar] [CrossRef]
- Llana-Ruiz-Cabello, M.; Pichardo, S.; Bermudez, J.M.; Baños, A.; Ariza, J.J.; Guillamón, E.; Aucejo, S.; Cameán, A.M. Characterisation and antimicrobial activity of active polypropylene films containing oregano essential oil and Allium extract to be used in packaging for meat products. Food Addit. Contam. Part A 2018, 35, 782–791. [Google Scholar] [CrossRef]
- Bravo, D.; Lillehoj, H. Use of at Least One Dialkyl Thiosulfonate or Thiosulfinate for Reducing the Number of Apicomplexa in an Animal. U.S. Patent 20130079402A1, 28 March 2013. [Google Scholar]
- Lechado, C.N.; Arjona, A.B.; Ayala, E.G.; López, A.V.; Moll, M.C.N.; Rus, A.S. Use of Propyl Propane Thiosulfinate and Propyl Propane Thiosulfonate for the Prevention and Reduction of Parasites in Aquatic Animals. U.S. Patent 20150094381A1, 2 April 2015. [Google Scholar]
- Martínez-Fernández, G.; Abecia, L.; Martín-García, A.I.; Ramos-Morales, E.; Denman, S.E.; Newbold, C.J.; Molino-Alcaide, E.; Yáñez-Ruiz, D.R. Response of the rumen archaeal and bacterial populations to anti-methanogenic organosulphur compounds in continuous-culture fermenters. FEMS Microbiol. Ecol. 2015, 91, fiv079. [Google Scholar] [CrossRef]
- EFSA CEF Panel (EFSA Panel on Food Contact Materials, Enzymes, Flavourings and Processing Aids). Scientific opinion on recent developments in the risk assessment of chemicals in food and their potential impact on the safety assessment of substances used in food contact materials. EFSA J. 2016, 14, 4357. [Google Scholar] [CrossRef]
- EFSA FEEDAP Panel (EFSA Panel on Products or Substances Used in Animal Feed); Rychen, G.; Aquilina, G.; Azimonti, G.; Bampidis, V.; Bastos, M.L.; Bories, G.; Chesson, A.; Cocconcelli, P.S.; Flachowsky, G.; et al. Guidance on the assessment of the safety of feed additives for the consumer. EFSA J. 2017, 15, 5022. [Google Scholar] [CrossRef]
- Mellado-Gacía, P.; Puerto, M.; Pichardo, S.; Llana-Ruiz-Cabello, M.; Moyano, R.; Blnaco, B.; Jos, A.; Cameán, A.M. Toxicological evaluation of an Allium-based commercial product in a 90-day feeding study in SpragueeDawley rats. Food Chem. Toxicol 2016, 90, 18–29. [Google Scholar] [CrossRef]
- Cascajosa Lira, A.; Prieto, A.; Baños, A.; Guillamon, E.; Moyano, R.; Jos, A.; Cameán, A.M. Safety assessment of propyl-propane-thiosulfonate (PTSO): 90-Days oral subchronic toxicity study in rats. Food Chem. Toxicol. 2020, 144, 111612. [Google Scholar] [CrossRef] [PubMed]
- Mellado-García, P.; Maisanaba, S.; Puerto, M.; Prieto, A.I.; Marcos, R.; Pichardo, S.; Cameán, A.M. In vitro toxicological assessment of an organosulfur compound from Allium extract: Cytotoxicity, mutagenicity and genotoxicity studies. Food Chem. Toxicol. 2017, 99, 231–240. [Google Scholar] [CrossRef]
- Bowen, D.E.; Whitwell, J.H.; Lillford, L.; Henderson, D.; Kidd, D.; Mc Garry, S.; Pearce, G.; Beevers, C.; Kirkland, D.J. Evaluation of a multi-endpoint assay in rats, combining the bone-marrow micronucleus test, the Comet assay and the flow-cytometric peripheral blood micronucleus test. Mutat. Res. Genet. Toxicol. Environ. Mutagen. 2011, 722, 7–19. [Google Scholar] [CrossRef]
- Martus, H.J.; Froetschl, R.; Gollapudi, B.; Honma, M.; Marchetti, F.; Pfuhler, S.; Schoeny, R.; Uno, Y.; Yauk, C.; Kirkland, D.J. Summary of major conclusions from the 7th International Workshop on Genotoxicity Testing (IWGT), Tokyo, Japan. Mutat. Res. Genet. Toxicol. Environ. Mutagen. 2020. [Google Scholar] [CrossRef] [PubMed]
- OECD Guidelines for the Testing of Chemicals: Mammalian Erythrocyte Micronucleus Test. 2016. Guideline 474. pp. 1–21. Available online: https://www.oecd.org/env/test-no-474-mammalian-erythrocytemicronucleus-test-9789264264762-en.htm (accessed on 4 March 2021).
- OECD Guideline for the Testing of Chemicals: In vivo Mammalian Alkaline Comet Assay. 2016. Guideline 489. pp. 1–27. Available online: https://www.oecd.org/env/test-no-489-in-vivo-mammalian-alkaline-cometassay-9789264264885-en.htm (accessed on 4 March 2021).
- Medrano-Padial, C.; Puerto, M.; Prieto, A.I.; Ayala, N.; Beaumont, P.; Rouger, C.; Krisa, S.; Pichardo, S. In vivo Genotoxicity Evaluation of a Stilbene Extract Prior to Its Use as a Natural Additive: A Combination of the Micronucleus Test and the Comet Assay. Foods 2021, 10, 439. [Google Scholar] [CrossRef] [PubMed]
- OECD Guidelines for the Testing of Chemicals: Acute Oral Toxicity: Up-and-Down Procedure. 2008. Guideline 425. pp. 1–27. Available online: https://www.oecd.org/env/test-no-425-acute-oral-toxicity-up-and-down-procedure-9789264071049-en.htm (accessed on 4 March 2021).
- Mellado-García, P.; Puerto, M.; Prieto, A.I.; Pichardo, S.; Martín-Cameán, A.; Moyano, R.; Blanco, A.; Cameán, A.M. Genotoxicity of a thiosulfonate compound derived from Allium sp. intended to be used in active food packaging: In vivo comet assay and micronucleus test. Mutat. Res. Genet. Toxicol. Environ. Mutagen. 2016, 800–801, 1–11. [Google Scholar] [CrossRef] [PubMed]
- Llana-Ruiz-Cabello, M.; Maisanaba, S.; Puerto, M.; Prieto, A.I.; Pichardo, S.; Moyano, R.; González-Pérez, J.A.; Cameán, A.M. Genotoxicity evaluation of carvacrol in rats using a combined micronucleus and comet assay. Food Chem. Toxicol. 2016, 98, 240–250. [Google Scholar] [CrossRef]
- Diéz-Quijada, L.; Medrano-Padial, C.; Llana-Ruiz-Cabello, M.; Cătunescu, G.M.; Moyano, R.; Risalde, M.A.; Cameán, A.; Jos, A. Cylindrospermopsin-Microcystin-LR Combinations May Induce Genotoxic and Histopathological Damage in Rats. Toxins 2020, 12, 348. [Google Scholar] [CrossRef] [PubMed]
- EFSA Scientific Committee; Hardy, A.; Benford, D.; Halldorsson, T.; Jeger, M.; Knutsen, H.K.; More, S.; Naegeli, H.; Noteborn, H.; Ockleford, C.; et al. Scientific Opinion on the clarification of some aspects related to genotoxicity assessment. EFSA J. 2017, 15, e05113. [Google Scholar] [PubMed]
- Kirkland, D.; Levy, D.D.; LeBaron, M.J.; Aardema, M.J.; Beevers, C.; Bhalli, J.; Douglas, G.R.; Escobar, P.A.; Farabaugh, C.S.; Guerard, M.; et al. A comparison of transgenic rodent mutation and in vivo comet assay responses for 91 chemicals. Mutat. Res. Genet. Toxicol. Environ. Mutagen. 2019, 839, 21–35. [Google Scholar] [CrossRef]
- Muruzabal, D.; Collins, A.; Azqueta, A. The enzyme-modified comet assay: Past, present and future. Food Chem. Toxicol. 2021, 147, 111865. [Google Scholar] [CrossRef]
- Mellado-García, P.; Maisanaba, S.; Puerto, M.; Llana-Ruiz-Cabello, M.; Prieto, A.I.; Marcos, R.; Pichardo, S.; Cameán, A.M. Genotoxicity assessment of propyl thiosulfinate oxide, an organosulfur compound from Allium extract, intended to food active packaging. Food Chem. Toxicol. 2015, 86, 365–373. [Google Scholar] [CrossRef] [PubMed]
- Kirkland, D.; Pfuhler, S.; Tweats, D.; Aardema, M.; Corvi, R.; Darroudi, F.; Elhajouji, A.; Glatt, H.; Marzin, D.; Maurici, D.; et al. How to reduce false positive results when undertaking in vitro genotoxicity testing and thus avoid unnecessary follow-up animal tests: Report of an ECVAM Workshop. Mutat. Res. Genet. Toxicol. Environ. Mutagen. 2007, 628, 31–55. [Google Scholar] [CrossRef] [PubMed]
- EFSA Scientific Committee. Scientific opinion on genotoxicity testing strategies applicable to food and feed safety assessment. EFSA J. 2011, 9, 2379. [Google Scholar]
- Munday, R.; Munday, C.M. Low doses of diallyl disulphide, a compound derived from garlic, increase tissue activities of quinone reductase and gluthathione tranferase in the gastrointestinal tract in rats. Nutr. Cancer 1999, 34, 42–48. [Google Scholar] [CrossRef] [PubMed]
- Bose, C.; Guo, J.; Zimniak, L.; Srivastava, S.K.; Singh, S.P.; Zimniak, P.; Singh, S.V. Critical role of allyl groups and disulfide chain in induction of Pi class glutathione transferase in mouse tissuesin vivo by diallyl disulfide, a naturally occurring chemopreventive agent in garlic. Carcinogenesis 2002, 23, 1661–1665. [Google Scholar] [CrossRef] [PubMed]






| Groups | Sex | N | Doses | PCE/NCE | PCE/Total | %MN |
|---|---|---|---|---|---|---|
| Negative Control | ♂ | 5 | - | 1.72 ± 0.85 | 0.57 ± 0.04 | 0.57 ± 0.23 |
| ♀ | 5 | - | 1.27 ± 0.07 | 0.61 ± 0.05 | 0.86 ± 0.16 | |
| Solvent Control | ♂ | 5 | - | 1.74 ± 0.63 | 0.60 ± 0.09 | 0.49 ± 0.37 |
| ♀ | 5 | - | 1.16 ± 0.34 | 0.53 ± 0.07 | 0.75 ± 0.24 | |
| Positive Control (EMS 1) | ♂ | 3 | 200.0 mg/kg | 0.54 ± 0.12 *** | 0.35 ± 0.05 ** | 1.46 ± 0.72 * |
| ♀ | 3 | 0.53 ± 0.29 ** | 0.33 ± 0.12 ** | 2.53 ± 0.38 * | ||
| PTS | ♂ | 5 | 5.5 mg/kg | 1.31 ± 0.30 | 0.56 ± 0.05 | 0.46 ± 0.21 |
| ♀ | 5 | 1.03 ± 0.43 | 0.49 ± 0.10 | 0.86 ± 0.09 | ||
| ♂ | 5 | 17.4 mg/kg | 1.14 ± 0.34 | 0.52 ± 0.08 | 0.72 ± 0.30 | |
| ♀ | 5 | 0.68 ± 0.36 | 0.38 ± 0.13 * | 0.74 ± 0.06 | ||
| ♂ | 5 | 55.0 mg/kg | 0.89 ± 0.21 * | 0.46 ± 0.06 * | 0.46 ± 0.15 | |
| ♀ | 5 | 0.54 ± 0.28 * | 0.33 ± 0.11 ** | 1.03 ± 0.21 |
Publisher’s Note: MDPI stays neutral with regard to jurisdictional claims in published maps and institutional affiliations. |
© 2021 by the authors. Licensee MDPI, Basel, Switzerland. This article is an open access article distributed under the terms and conditions of the Creative Commons Attribution (CC BY) license (https://creativecommons.org/licenses/by/4.0/).
Share and Cite
Cascajosa-Lira, A.; Puerto, M.; Prieto, A.I.; Pichardo, S.; Díez-Quijada Jiménez, L.; Baños, A.; Guillamón, E.; Moyano, R.; Molina-Hernández, V.; Jos, Á.; et al. Genotoxicity Evaluation of Propyl-Propane-Thiosulfinate (PTS) from Allium genus Essential Oils by a Combination of Micronucleus and Comet Assays in Rats. Foods 2021, 10, 989. https://doi.org/10.3390/foods10050989
Cascajosa-Lira A, Puerto M, Prieto AI, Pichardo S, Díez-Quijada Jiménez L, Baños A, Guillamón E, Moyano R, Molina-Hernández V, Jos Á, et al. Genotoxicity Evaluation of Propyl-Propane-Thiosulfinate (PTS) from Allium genus Essential Oils by a Combination of Micronucleus and Comet Assays in Rats. Foods. 2021; 10(5):989. https://doi.org/10.3390/foods10050989
Chicago/Turabian StyleCascajosa-Lira, Antonio, María Puerto, Ana I. Prieto, Silvia Pichardo, Leticia Díez-Quijada Jiménez, Alberto Baños, Enrique Guillamón, Rosario Moyano, Verónica Molina-Hernández, Ángeles Jos, and et al. 2021. "Genotoxicity Evaluation of Propyl-Propane-Thiosulfinate (PTS) from Allium genus Essential Oils by a Combination of Micronucleus and Comet Assays in Rats" Foods 10, no. 5: 989. https://doi.org/10.3390/foods10050989
APA StyleCascajosa-Lira, A., Puerto, M., Prieto, A. I., Pichardo, S., Díez-Quijada Jiménez, L., Baños, A., Guillamón, E., Moyano, R., Molina-Hernández, V., Jos, Á., & Cameán, A. M. (2021). Genotoxicity Evaluation of Propyl-Propane-Thiosulfinate (PTS) from Allium genus Essential Oils by a Combination of Micronucleus and Comet Assays in Rats. Foods, 10(5), 989. https://doi.org/10.3390/foods10050989

