Cocoa (Theobroma cacao L.) Seed-Derived Peptides Reduce Blood Pressure by Interacting with the Catalytic Site of the Angiotensin-Converting Enzyme
Abstract
:1. Introduction
2. Materials and Methods
2.1. Materials
2.2. Protein Extraction from Theobroma cacao L.
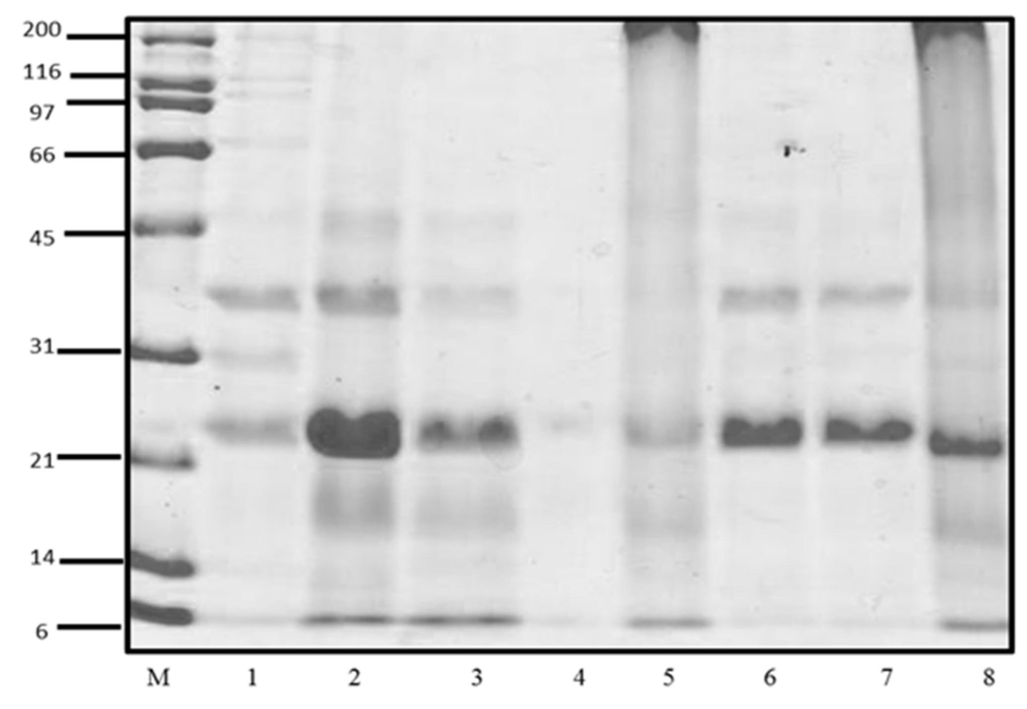
2.3. Sodium Dodecyl Sulfate-Polyacrylamide Gel Electrophoresis (SDS-PAGE)
2.4. Simulated Gastrointestinal Digestion
2.5. Characterization of the Peptides and Sequence Identification
2.6. Biological Potential and Molecular Docking of Peptides from T. cocoa
2.7. Angiotensin-Converting Enzyme (ACE) Inhibitory Activity
2.8. Animal Assay
2.9. Blood Pressure Measurement
2.10. Calculation of Human Equivalent Doses (HED)
2.11. Statistical Analysis
3. Results
3.1. Protein Fractions and Identification of Criollo cocoa Peptides
3.2. Inhibitory Effect of Cocoa Peptides on RAS Enzymes by In Silico and In Vitro Analysis
3.3. Effects of Cocoa Peptides on Blood Pressure
4. Discussion
5. Conclusions
Author Contributions
Funding
Institutional Review Board Statement
Informed Consent Statement
Data Availability Statement
Conflicts of Interest
References
- Rawel, H.M.; Huschek, G.; Sagu, S.T.; Homann, T. Cocoa bean proteins—Characterization, changes and modifications due to ripening and post-harvest processing. Nutrients 2019, 11, 428. [Google Scholar] [CrossRef] [Green Version]
- Naghavi, M.; Abajobir, A.A.; Abbafati, C.; Abbas, K.M.; Abd-Allah, F.; Abera, S.F.; Aboyans, V.; Adetokunboh, O.; Afshin, A.; Agrawal, A.; et al. Global, regional, and national age-sex specific mortality for 264 causes of death, 1980–2016: A systematic analysis for the Global Burden of Disease Study 2016. Lancet 2017, 390, 1151–1210. [Google Scholar] [CrossRef] [Green Version]
- Egan, B.M.; Kjeldsen, S.E.; Grassi, G.; Esler, M.; Mancia, G. The global burden of hypertension exceeds 1.4 billion people. J. Hypertens. 2019, 37, 1148–1153. [Google Scholar] [CrossRef]
- Mills, K.T.; Stefanescu, A.; He, J. The global epidemiology of hypertension. Nat. Rev. Nephrol. 2020, 16, 223–237. [Google Scholar] [CrossRef] [PubMed]
- Acharya, K.R.; Sturrock, E.D.; Riordan, J.F.; Ehlers, M.R.W. Ace revisited: A new target for structure-based drug design. Nat. Rev. Drug Discov. 2003, 2, 891–902. [Google Scholar] [CrossRef]
- Lin, L.; Lv, S.; Li, B. Angiotensin-I-converting enzyme (ACE)-inhibitory and antihypertensive properties of squid skin gelatin hydrolysates. Food Chem. 2012, 131, 225–230. [Google Scholar] [CrossRef]
- Hou, F.F.; Zhang, X.; Zhang, G.H.; Xie, D.; Chen, P.Y.; Zhang, W.R.; Jiang, J.P.; Liang, M.; Wang, G.B.; Liu, Z.R.; et al. Efficacy and Safety of Benazepril for Advanced Chronic Renal Insufficiency. N. Engl. J. Med. 2006, 354, 131–140. [Google Scholar] [CrossRef] [Green Version]
- Evangelista, S.; Manzini, S. Antioxidant and Cardioprotective Properties of the Sulphydryl Angiotensinconverting Enzyme Inhibitor Zofenopril. J. Int. Med. Res. 2005, 33, 42–54. [Google Scholar] [CrossRef] [PubMed]
- Brown, N.J.; Vaughan, D.E. Angiotensin-Converting Enzyme Inhibitors. Circulation 1998, 97, 1411–1420. [Google Scholar] [CrossRef] [PubMed] [Green Version]
- Aluko, R.E. Food protein-derived renin-inhibitory peptides: In vitro and in vivo properties. J. Food Biochem. 2019, 43, e12648. [Google Scholar] [CrossRef] [Green Version]
- Aluko, R.E. Antihypertensive Peptides from Food Proteins. Annu. Rev. Food Sci. Technol. 2015, 6, 235–262. [Google Scholar] [CrossRef]
- Valverde, M.E.; Orona-Tamayo, D.; Nieto-Rendón, B.; Paredes-López, O. Antioxidant and Antihypertensive Potential of Protein Fractions from Flour and Milk Substitutes from Canary Seeds (Phalaris canariensis L.). Plant Foods Hum. Nutr. 2017, 72, 20–25. [Google Scholar] [CrossRef] [PubMed]
- Ramírez-Torres, G.; Ontiveros, N.; Lopez-Teros, V.; Ibarra-DIarte, J.A.; Reyes-Moreno, C.; Cuevas-Rodríguez, E.O.; Cabrera-Chávez, F. Amaranth protein hydrolysates efficiently reduce systolic blood pressure in spontaneously hypertensive rats. Molecules 2017, 22, 1905. [Google Scholar] [CrossRef] [PubMed] [Green Version]
- Motamayor, J.C.; Moreno, A.; Lanaud, C.; Lopez, P.A.; Ortiz, C.F.; Risterucci, A.M. Cacao domestication I: The origin of the cacao cultivated by the Mayas. Heredity 2002, 89, 380–386. [Google Scholar] [CrossRef] [PubMed] [Green Version]
- Laliberte, B. A Global Strategy for the Conservation and Use of Cacao Genetic Resources, as the Foundation for a Sustainable Cocoa Economy; Bioversity International: Montpellier, France, 2012; pp. 1–186. [Google Scholar]
- Actis-Goretta, L.; Ottaviani, J.I.; Keen, C.L.; Fraga, C.G. Inhibition of angiotensin converting enzyme (ACE) activity by flavan-3-ols and procyanidins. FEBS Lett. 2003, 555, 597–600. [Google Scholar] [CrossRef] [Green Version]
- Engler, M.B.; Engler, M.M. The Emerging Role of Flavonoid-Rich Cocoa and Chocolate in Cardiovascular Health and Disease. Nutr. Rev. 2006, 64, 109–118. [Google Scholar] [CrossRef]
- Rabadán-Chávez, G.M.; Reyes-Maldonado, E.; Quevedo-Corona, L.; Paniagua-Castro, N.; Escalona-Cardoso, G.; Jaramillo-Flores, M.E. The prothrombotic state associated with obesity-induced hypertension is reduced by cocoa and its main flavanols. Food Funct. 2016, 7, 4880–4888. [Google Scholar] [CrossRef] [PubMed]
- Sarmadi, B.; Ismail, A.; Hamid, M. Antioxidant and angiotensin converting enzyme (ACE) inhibitory activities of cocoa (Theobroma cacao L.) autolysates. Food Res. Int. 2011, 44, 290–296. [Google Scholar] [CrossRef]
- Coronado-cáceres, L.J.; Rabadán-chávez, G.; Quevedo-corona, L.; Hernández-ledesma, B.; Miliar, A.; Mojica, L.; Lugo-cervantes, E. Anti-obesity effect of cocoa proteins (Theobroma cacao L.) variety “Criollo” and the expression of genes related to the dysfunction of white adipose tissue in high-fat diet-induced obese rats. J. Funct. Foods 2019, 62, 103519. [Google Scholar] [CrossRef]
- Voigt, J.; Biehl, B.; Wazir, S.K.S. The major seed proteins of Theobroma cacao L. Food Chem. 1993, 47, 145–151. [Google Scholar] [CrossRef]
- Preza, A.M.; Jaramillo, M.E.; Puebla, A.M.; Mateos, J.C.; Hernández, R.; Lugo, E. Antitumor activity against murine lymphoma L5178Y model of proteins from cacao (Theobroma cacao L.) seeds in relation with in vitro antioxidant activity. BMC Complement. Altern. Med. 2010, 10, 61. [Google Scholar] [CrossRef] [PubMed] [Green Version]
- Lowry, O.; Rosebrough, N.; Farr, A.L.; Randall, R. Protein Measurement with the Folin Phenol Reagent. J. Biol. Chem. 1951, 193, 265–275. [Google Scholar] [CrossRef]
- Laemmli, U.K. Cleavage of Structural Proteins during the Assembly of the Head of Bacteriophage T4. Nature 1970, 227, 680–685. [Google Scholar] [CrossRef]
- Mojica, L.; Chen, K.; de Mejía, E.G. Impact of Commercial Precooking of Common Bean (Phaseolus vulgaris) on the Generation of Peptides, After Pepsin-Pancreatin Hydrolysis, Capable to Inhibit Dipeptidyl Peptidase-IV. J. Food Sci. 2015, 80, H188–H198. [Google Scholar] [CrossRef]
- De Souza Rocha, T.; Hernandez, L.M.R.; Chang, Y.K.; de Mejía, E.G. Impact of germination and enzymatic hydrolysis of cowpea bean (Vigna unguiculata) on the generation of peptides capable of inhibiting dipeptidyl peptidase IV. Food Res. Int. 2014, 64, 799–809. [Google Scholar] [CrossRef]
- Burley, S.K.; Berman, H.M.; Christie, C.; Duarte, J.M.; Feng, Z.; Westbrook, J.; Young, J.; Zardecki, C. RCSB Protein Data Bank: Sustaining a living digital data resource that enables breakthroughs in scientific research and biomedical education. Protein Sci. 2018, 27, 316–330. [Google Scholar] [CrossRef] [Green Version]
- Minkiewicz, P.; Iwaniak, A.; Darewicz, M. BIOPEP-UWM database of bioactive peptides: Current opportunities. Int. J. Mol. Sci. 2019, 20, 5978. [Google Scholar] [CrossRef] [PubMed] [Green Version]
- Natesh, R.; Schwager, S.L.U.; Sturrock, E.D.; Acharya, K.R. Crystal structure of the human enzyme-lisinopril complex. Nature 2003, 421, 1427–1429. [Google Scholar] [CrossRef] [Green Version]
- Pan, D.; Cao, J.; Guo, H.; Zhao, B. Studies on purification and the molecular mechanism of a novel ACE inhibitory peptide from whey protein hydrolysate. Food Chem. 2012, 130, 121–126. [Google Scholar] [CrossRef]
- Trott, O.; Olson, A.J. AutoDock Vina: Improving the speed and accuracy of docking with a new scoring function, efficient optimization, and multithreading. J. Comput. Chem. 2009, 32, 455–461. [Google Scholar] [CrossRef] [Green Version]
- Díaz-Gómez, J.L.; Neundorf, I.; López-Castillo, L.M.; Castorena-Torres, F.; Serna-Saldívar, S.O.; García-Lara, S. In Silico Analysis and In Vitro Characterization of the Bioactive Profile of Three Novel Peptides Identified from 19 kDa α-Zein Sequences of Maize. Molecules 2020, 25, 5405. [Google Scholar] [CrossRef] [PubMed]
- De Alvarenga, E.C.; De Castro Fonseca, M.; Carvalho, C.C.; Florentino, R.M.; França, A.; Matias, E.; Guimarães, P.B.; Batista, C.; Freire, V.; Carmona, A.K.; et al. Angiotensin converting enzyme regulates cell proliferation and migration. PLoS ONE 2016, 11, e0165371. [Google Scholar] [CrossRef] [PubMed]
- Alcaide-Hidalgo, J.M.; Margalef, M.; Bravo, F.I.; Muguerza, B.; López-Huertas, E. Virgin olive oil (unfiltered) extract contains peptides and possesses ACE inhibitory and antihypertensive activity. Clin. Nutr. 2020, 39, 1242–1249. [Google Scholar] [CrossRef] [PubMed]
- Coronado-Cáceres, L.J.; Rabadán-Chávez, G.; Mojica, L.; Hernández-Ledesma, B.; Quevedo-Corona, L.; Cervantes, E.L. Cocoa seed proteins’ (Theobroma cacao L.) anti-obesity potential through lipase inhibition using in silico, in vitro and in vivo models. Foods 2020, 9, 1359. [Google Scholar] [CrossRef] [PubMed]
- Grasa-López, A.; Miliar-García, Á.; Quevedo-Corona, L.; Paniagua-Castro, N.; Escalona-Cardoso, G.; Reyes-Maldonado, E.; Jaramillo-Flores, M.-E. Undaria pinnatifida and Fucoxanthin Ameliorate Lipogenesis and Markers of Both Inflammation and Cardiovascular Dysfunction in an Animal Model of Diet-Induced Obesity. Mar. Drugs 2016, 14, 148. [Google Scholar] [CrossRef] [PubMed] [Green Version]
- Perry, C.M. Azilsartan medoxomil: A review of its use in hypertension. Clin. Drug Investig. 2012, 32, 621–639. [Google Scholar] [CrossRef]
- Services, H. Guidance for Industry: Characterization and Qualification of Cell Substrates and Other Biological Starting Materials Used in the Production of Viral Vaccines for the Prevention and Treatment of Infectious Diseases. Biotechnol. Law Rep. 2006, 25, 697–723. [Google Scholar] [CrossRef]
- Zulvana, A.H.; Andriati, N.; Sri, A.; Widiastuti, S. In silico approach in evaluation of jack bean (Canavalia ensiformis) canavalin protein as precursors of bioactive peptides with dual antioxidant and angiotensin i-converting enzyme inhibitor. Mater. Sci. Forum 2019, 948, 85–94. [Google Scholar] [CrossRef]
- Montoya-Rodríguez, A.; Gómez-Favela, M.A.; Reyes-Moreno, C.; Milán-Carrillo, J.; González de Mejía, E. Identification of bioactive peptide sequences from amaranth (amaranthus hypochondriacus) seed proteins and their potential role in the prevention of chronic diseases. Compr. Rev. Food Sci. Food Saf. 2015, 14, 139–158. [Google Scholar] [CrossRef]
- Chang, Y.W.; Alli, I. In silico assessment: Suggested homology of chickpea (Cicer arietinum L.) legumin and prediction of ACE-inhibitory peptides from chickpea proteins using BLAST and BIOPEP analyses. Food Res. Int. 2012, 49, 477–486. [Google Scholar] [CrossRef]
- Huang, B.B.; Lin, H.C.; Chang, Y.W. Analysis of proteins and potential bioactive peptides from tilapia (Oreochromis spp.) processing co-products using proteomic techniques coupled with BIOPEP database. J. Funct. Foods 2015, 19, 629–640. [Google Scholar] [CrossRef]
- Wang, C.; Yuan, Y.; Zheng, M.; Pan, A.; Wang, M.; Zhao, M.; Li, Y.; Yao, S.; Chen, S.; Wu, S.; et al. Association of Age of Onset of Hypertension With Cardiovascular Diseases and Mortality. J. Am. Coll. Cardiol. 2020, 75, 2921–2930. [Google Scholar] [CrossRef]
- San Pablo-Osorio, B.; Mojica, L.; Urías-Silvas, J.E. Chia Seed (Salvia hispanica L.) Pepsin Hydrolysates Inhibit Angiotensin-Converting Enzyme by Interacting with its Catalytic Site. J. Food Sci. 2019, 84, 1170–1179. [Google Scholar] [CrossRef]
- Luna-Vital, D.A.; Liang, K.; De Mejía, E.G.; Loarca-Piña, G. Dietary peptides from the non-digestible fraction of: Phaseolus vulgaris L. decrease angiotensin II-dependent proliferation in HCT116 human colorectal cancer cells through the blockade of the renin-angiotensin system. Food Funct. 2016, 7, 2409–2419. [Google Scholar] [CrossRef] [PubMed]
- Fu, Y.; Alashi, A.M.; Young, J.F.; Therkildsen, M.; Aluko, R.E. Enzyme inhibition kinetics and molecular interactions of patatin peptides with angiotensin I-converting enzyme and renin. Int. J. Biol. Macromol. 2017, 101, 207–213. [Google Scholar] [CrossRef]
- Chirinos, R.; Pedreschi, R.; Velásquez-Sánchez, M.; Aguilar-Galvez, A.; Campos, D. In vitro antioxidant and angiotensin I-converting enzyme inhibitory properties of enzymatically hydrolyzed quinoa (Chenopodium quinoa) and kiwicha (Amaranthus caudatus) proteins. Cereal Chem. 2020, 97, 949–957. [Google Scholar] [CrossRef]
- Osman, A.; El-Hadary, A.; Korish, A.A.; AlNafea, H.M.; Alhakbany, M.A.; Awad, A.A.; Abdel-Hamid, M. Angiotensin-I converting enzyme inhibition and antioxidant activity of papain-hydrolyzed camel whey protein and its hepato-renal protective effects in thioacetamide-induced toxicity. Foods 2021, 10, 468. [Google Scholar] [CrossRef] [PubMed]
- Reagan-Shaw, S.; Nihal, M.; Ahmad, N. Dose translation from animal to human studies revisited. FASEB J. 2008, 22, 659–661. [Google Scholar] [CrossRef] [PubMed] [Green Version]
- Ontiveros, N.; López-Teros, V.; de Jesús Vergara-Jiménez, M.; Islas-Rubio, A.R.; Cárdenas-Torres, F.I.; Cuevas-Rodríguez, E.O.; Reyes-Moreno, C.; Granda-Restrepo, D.M.; Lopera-Cardona, S.; Ramírez-Torres, G.I.; et al. Amaranth-hydrolyzate enriched cookies reduce the systolic blood pressure in spontaneously hypertensive rats. J. Funct. Foods 2020, 64, 103613. [Google Scholar] [CrossRef]
- Sonklin, C.; Alashi, M.A.; Laohakunjit, N.; Kerdchoechuen, O.; Aluko, R.E. Identification of antihypertensive peptides from mung bean protein hydrolysate and their effects in spontaneously hypertensive rats. J. Funct. Foods 2020, 64, 103635. [Google Scholar] [CrossRef]



| Protein Type | Fresh Cocoa Seed (Previous AcDP) | AcDP | ||
|---|---|---|---|---|
| mg/g | % | mg/g | % | |
| Albumin | 7.85 a ± 0.91 | 28.83 | 6.26 b ± 0.78 | 18.35 |
| Globulin | 0.46 b ± 0.43 | 1.7 | 2.46 a ± 0.25 | 7.22 |
| Prolamin | NA | 0.01 ± 0.03 | 0.02 | |
| Glutelin | 18.92 b ± 0.85 | 69.46 | 25.38 a ± 0.52 | 74.41 |
| mg/g | mg/g | |||
| TP pH 7.8 | NA | 2.94 ± 0.51 | ||
| TP pH 8 | NA | 3.69 ± 0.48 | ||
| TP 0.1 M NaOH | NA | 21.91 ± 1.46 | ||
| Sequence | MW | Net Charge | Isoelectric Point | Hydrophobicity (Kcal/mol) | Biological Potential | Blast® |
|---|---|---|---|---|---|---|
| TLGSRTAGGCAT-GLER | 1548.76 | 8.65 | 1 | 19.44 | ACE and DPP-IV inhibitory | Arginine decarboxylase |
| TLHEPAGGTACLR | 1324.65 | 7.13 | 0 | 17.09 | ACE, DPP-III, DDP-IV, and renin inhibitory, antioxidant | Endochitinase 1 |
| LTTASGGAGPFLF | 1237.63 | 5.52 | 0 | 7.53 | ACE, DPP-III, DDP-IV, and renin inhibitor, regulatory, antiamnestic, antithrombotic | Casparian strip membrane protein 1 |
| NPGPSASGGGGATR | 1184.55 | 10.73 | 1 | 18.76 | ACE and DPP-IV inhibitor, regulatory, antiamnestic, antithrombotic, chemotactic | 21 kDa seed protein |
| TSVSGAGGPGAGR | 1072.52 | 10.73 | 1 | 17.31 | ACE and DPP-IV inhibitor | 21 kDa seed protein |
| LTGASPGGGAATV | 1057.53 | 5.58 | 0 | 13.39 | ACE and DPP-IV inhibitor, antioxidant, regulatory, antiamnestic, antithrombotic | Casparian strip membrane protein 1 |
| TLGNPAAAGPF | 1014.51 | 5.32 | 0 | 10.12 | ACE, DPP-III and DDP-IV inhibitor, regulatory, antiamnestic, antithrombotic | Casparian strip membrane protein 1 |
| VSTSGAGTTAR | 1006.50 | 10.73 | 1 | 14.22 | ACE and DPP-IV inhibitor | 21 kDa seed protein |
| TRAGAGGGTVF | 992.50 | 10.9 | 1 | 13.64 | ACE, DPP-IV, and CaMPDE inhibitor, ubiquitin-mediated proteolysis activator | 21 kDa seed protein |
| LTADAGLGASL | 987.52 | 3.12 | −1 | 12.30 | ACE, DPP-III, DDP-IV, and α-Glucosidase inhibitor | Casparian strip membrane protein 1 |
| TTRGAAGAGGAV | 987.50 | 11.11 | 1 | 16.35 | ACE, DPP-IV, and CaMPDE inhibitor, antioxidant | 21 kDa seed protein |
| QTGGGGGGGGGGR | 973.43 | 10.73 | 1 | 22.23 | ACE and DPP-IV inhibitor | 21 kDa seed protein |
| TLSAGGAGPGGK | 971.50 | 9.8 | 1 | 17.05 | ACE and DPP-IV inhibitor, regulatory, antiamnestic, antithrombotic | 21 kDa seed protein |
| THPAGGGGAAR | 950.46 | 10.73 | 1 | 18.53 | ACE, DPP-III and DDP-IV inhibitor, antioxidant | 21 kDa seed protein |
| TLSGGASGAAR | 946.48 | 10.73 | 1 | 14.58 | ACE and DPP-IV inhibitor, antioxidant | Casparian strip membrane protein 1 |
| KMTGVVAW | 890.46 | 9.98 | 1 | 8.92 | ACE, and DPP-IV inhibitor, antioxidant | Endochitinase 1 |
| LTTAGAAKF | 878.48 | 9.93 | 1 | 10.89 | ACE, DPP-IV, renin, and CaMPDE inhibitor, antioxidant | Casparian strip membrane protein 1 |
| KGGPSGATGK | 858.45 | 10.57 | 2 | 19.45 | ACE and DPP-IV inhibitor, regulatory, antiamnestic, antithrombotic | Arginine decarboxylase |
| TTKGGSGVF | 852.43 | 9.93 | 1 | 12.94 | ACE and DPP-IV inhibitor | Maturase K |
| VPDGLASV | 756.40 | 3.15 | −1 | 11.62 | ACE, DPP-III, and DPP-IV inhibitory, ubiquitin-mediated proteolysis activator | Arginine decarboxylase |
| SPPSGAGL | 684.34 | 5.45 | 0 | 10.65 | ACE, DPP-IV, and α-Glucosidase inhibitor | 21 kDa seed protein |
| SNAGGGGGP | 672.28 | 5.49 | 0 | 15.60 | ACE and DPP-IV inhibitor, regulatory, antiamnestic, antithrombotic | 21 kDa seed protein |
| LSPGGAAV | 670.36 | 5.58 | 0 | 10.09 | ACE and DPP-IV inhibitor, antioxidant, antiamnestic, antithrombotic | Vicilin |
| SPALNPG | 654.33 | 5.46 | 0 | 9.89 | ACE and DPP-IV inhibitor, regulatory, antiamnestic, antithrombotic | Endochitinase 1 |
| SLTASAV | 647.34 | 5.45 | 0 | 8.36 | ACE and DPP-IV inhibitor | 21 kDa seed protein |
| LTSAAV | 560.31 | 5.58 | 0 | 7.90 | ACE and DPP-IV inhibitor | Casparian strip membrane protein 1 |
| Sequence | Docking Molecular | ||
|---|---|---|---|
| Affinity (kcal/mol) | |||
| ACE-1 | Renin | AT1-R | |
| TLGSRTAGGCATGLER | −5.7 | −2.4 | −8.8 |
| TLHEPAGGTACLR | −6.9 | −2.4 | −7.6 |
| LTTASGGAGPFLF | −6.1 | −2.5 | −9.5 |
| NPGPSASGGGGATR | −6.6 | −2.9 | −8.5 |
| TSVSGAGGPGAGR | −1.6 | −3.0 | ND |
| LTGASPGGGAATV | −5.8 | −2.8 | −10 |
| TLGNPAAAGPF | −7.2 | −3.3 | −10.2 |
| VSTSGAGTTAR | −6.5 | −3.0 | −9.4 |
| TRAGAGGGTVF | −6.9 | −3.3 | −9.8 |
| LTADAGLGASL | −6.4 | −3.5 | −9.3 |
| TTRGAAGAGGAV | −6.4 | −3.8 | −9.1 |
| QTGGGGGGGGGGR | −6.6 | −2.7 | −7.9 |
| TLSAGGAGPGGK | −6.1 | −2.4 | −8.4 |
| THPAGGGGAAR | −6.7 | −3.2 | −8.3 |
| TLSGGASGAAR | −5.8 | −2.1 | −8.3 |
| KMTGVVAW | −6.5 | −3.4 | −9.0 |
| LTTAGAAKF | −5.4 | −2.5 | −8.3 |
| KGGPSGATGK | −5.3 | −2.8 | −8.1 |
| TTKGGSGVF | −5.5 | −2.2 | −8.4 |
| VPDGLASV | −6.6 | −4.0 | −8.9 |
| SPPSGAGL | −7.6 | −3.3 | −8.2 |
| SNAGGGGGP | 9.1 | −3.9 | −7.8 |
| LSPGGAAV | −8.6 | −3.2 | −8.5 |
| SPALNPG | −6.8 | −4.0 | −9.0 |
| SLTASAV | −6.3 | −3.9 | −8.1 |
| LTSAAV | −5.2 | −3.1 | −7.0 |
| Lisopril | −7.7 | - | - |
| Aliskiren | - | −7.8 | - |
| Losartan | - | - | −8.3 |
Publisher’s Note: MDPI stays neutral with regard to jurisdictional claims in published maps and institutional affiliations. |
© 2021 by the authors. Licensee MDPI, Basel, Switzerland. This article is an open access article distributed under the terms and conditions of the Creative Commons Attribution (CC BY) license (https://creativecommons.org/licenses/by/4.0/).
Share and Cite
Coronado-Cáceres, L.J.; Hernández-Ledesma, B.; Mojica, L.; Quevedo-Corona, L.; Rabadán-Chávez, G.; Castillo-Herrera, G.A.; Lugo Cervantes, E. Cocoa (Theobroma cacao L.) Seed-Derived Peptides Reduce Blood Pressure by Interacting with the Catalytic Site of the Angiotensin-Converting Enzyme. Foods 2021, 10, 2340. https://doi.org/10.3390/foods10102340
Coronado-Cáceres LJ, Hernández-Ledesma B, Mojica L, Quevedo-Corona L, Rabadán-Chávez G, Castillo-Herrera GA, Lugo Cervantes E. Cocoa (Theobroma cacao L.) Seed-Derived Peptides Reduce Blood Pressure by Interacting with the Catalytic Site of the Angiotensin-Converting Enzyme. Foods. 2021; 10(10):2340. https://doi.org/10.3390/foods10102340
Chicago/Turabian StyleCoronado-Cáceres, Luis Jorge, Blanca Hernández-Ledesma, Luis Mojica, Lucía Quevedo-Corona, Griselda Rabadán-Chávez, Gustavo Adolfo Castillo-Herrera, and Eugenia Lugo Cervantes. 2021. "Cocoa (Theobroma cacao L.) Seed-Derived Peptides Reduce Blood Pressure by Interacting with the Catalytic Site of the Angiotensin-Converting Enzyme" Foods 10, no. 10: 2340. https://doi.org/10.3390/foods10102340
APA StyleCoronado-Cáceres, L. J., Hernández-Ledesma, B., Mojica, L., Quevedo-Corona, L., Rabadán-Chávez, G., Castillo-Herrera, G. A., & Lugo Cervantes, E. (2021). Cocoa (Theobroma cacao L.) Seed-Derived Peptides Reduce Blood Pressure by Interacting with the Catalytic Site of the Angiotensin-Converting Enzyme. Foods, 10(10), 2340. https://doi.org/10.3390/foods10102340

