Hypertrophic Lichen Planus and Hypertrophic Skin Lesions Associated with Histological Lichenoid Infiltrate: A Case Report and Literature Review
Abstract
1. Introduction
2. Materials and Methods
3. Results
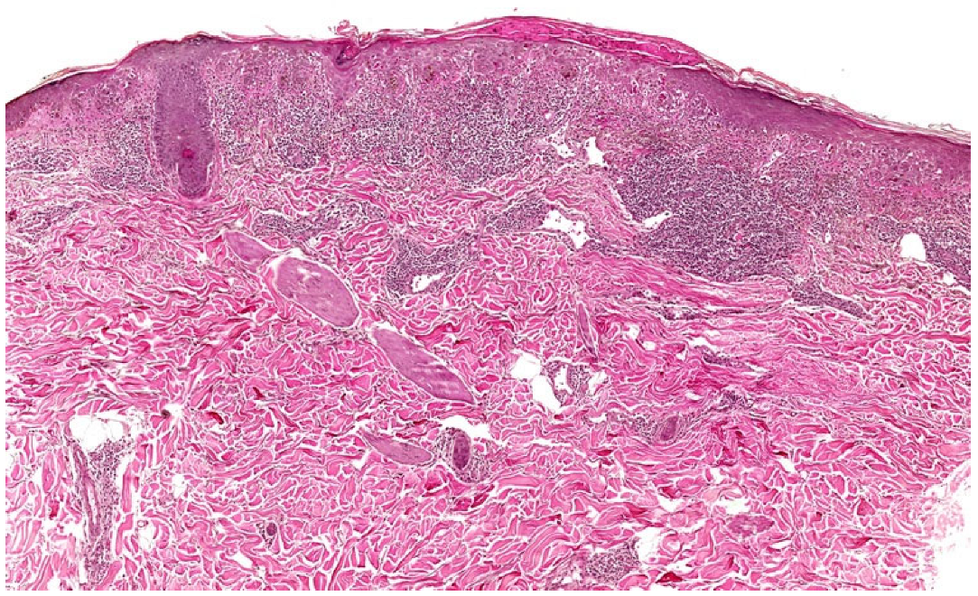
3.1. Case Report
3.2. Hypertrophic Clinical Skin Lesions with Histological Lichenoid Infiltrate (HCLI)
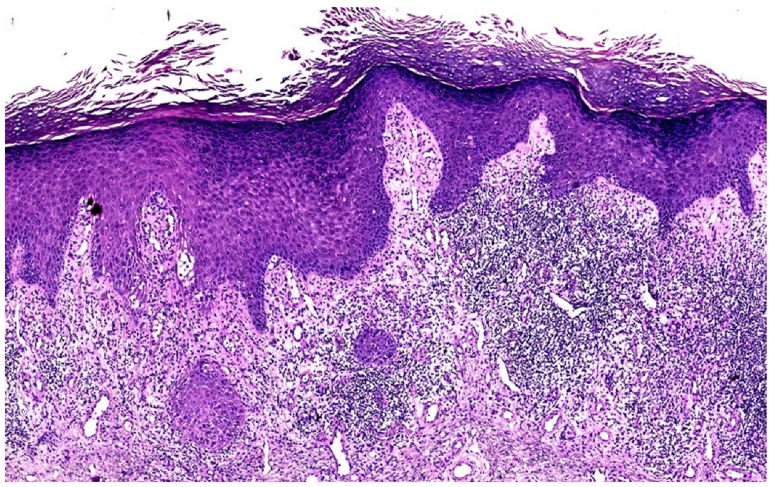
3.2.1. Hypertrophic Lichen Planus (HLP)
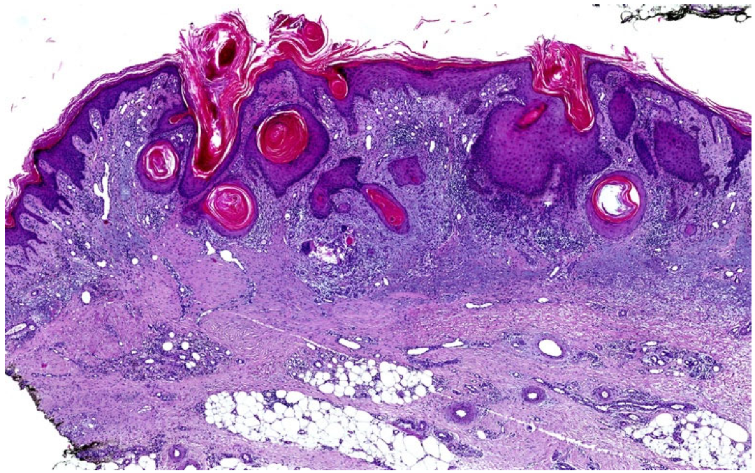
3.2.2. Squamous Cell Carcinoma (SCC)
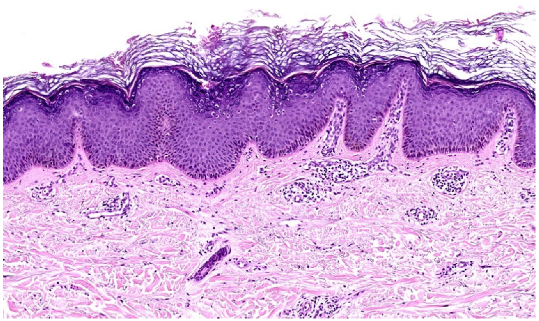
3.2.3. Lichen Simplex Chronicus (LSC)
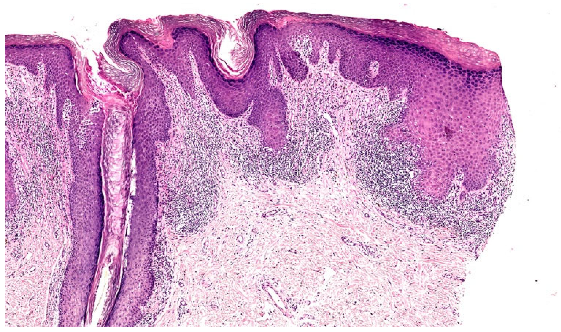
3.2.4. Pseudoepitheliomatous Hyperplasia (PEH)
3.2.5. Viral Warts
3.2.6. Lupus Erythematosus/Lichen Planus (LE/LP) Overlap Syndrome
4. Discussion
5. Conclusions
Author Contributions
Funding
Institutional Review Board Statement
Informed Consent Statement
Data Availability Statement
Conflicts of Interest
References
- Le Cleach, L.; Chosidow, O. Clinical practice. Lichen planus. N. Engl. J. Med. 2012, 366, 723–732. [Google Scholar] [CrossRef] [PubMed]
- Levandoski, K.A.; Nazarian, R.M.; Asgari, M.M. Hypertrophic lichen planus mimicking squamous cell carcinoma: The importance of clinicopathologic correlation. JAAD Case Rep. 2017, 3, 151–154. [Google Scholar] [CrossRef] [PubMed]
- Gorouhi, F.; Davari, P.; Fazel, N. Cutaneous and mucosal lichen planus: A comprehensive review of clinical subtypes, risk factors, diagnosis, and prognosis. Sci. World J. 2014, 2014, 742826. [Google Scholar] [CrossRef] [PubMed]
- Weston, G.; Payette, M. Update on lichen planus and its clinical variants. Int. J. Womens Dermatol. 2015, 1, 140–149. [Google Scholar] [CrossRef]
- Robles-Méndez, J.C.; Rizo-Frías, P.; Herz-Ruelas, M.E.; Pandya, A.G.; Ocampo Candiani, J. Lichen planus pigmentosus and its variants: Review and update. Int. J. Dermatol. 2018, 57, 505–514. [Google Scholar] [CrossRef]
- Scotti, B.; Veronesi, G.; Misciali, C.; Venturi, F.; Dika, E. Unusual presentation of porokeratotic lichen planus: Histology, dermoscopy and confocal microscopy imaging of a rare condition. Skin. Res. Technol. 2023, 29, e13521. [Google Scholar] [CrossRef]
- Lehman, J.S.; Tollefson, M.M.; Gibson, L.E. Lichen planus. Int. J. Dermatol. 2009, 48, 682–694. [Google Scholar] [CrossRef]
- Tekin, B.; Xie, F.; Lehman, J.S. Lichen Planus: What is New in Diagnosis and Treatment? Am. J. Clin. Dermatol. 2024, 25, 735–764. [Google Scholar] [CrossRef]
- Haenen, C.C.P.; Buurma, A.A.J.; Genders, R.E.; Quint, K.D. Squamous cell carcinoma arising in hypertrophic lichen planus. BMJ Case Rep. 2018, 2018, bcr2017224044. [Google Scholar] [CrossRef]
- Nazzaro, G.; Boneschi, V.; Coggi, A.; Gianotti, R. Syphilis with a lichen planus-like pattern (hypertrophic syphilis). J. Cutan. Pathol. 2012, 39, 805–807. [Google Scholar] [CrossRef]
- Mahajan, R.; Jain, V.; Ninama, K.; Marfatia, Y.S. Hypertrophic lichen planus of the vulva—A missed diagnosis. Indian J. Sex. Transm. Dis. AIDS 2020, 41, 116–118. [Google Scholar] [PubMed]
- Day, T.; Weigner, J.; Scurry, J. Classic and Hypertrophic Vulvar Lichen Planus. J. Low. Genit. Tract. Dis. 2018, 22, 387–395. [Google Scholar] [CrossRef] [PubMed]
- Job, A.M.; Kaimal, S. Lichen planus hypertrophicus of the vulva—A rare entity. Int. J. STD AIDS 2017, 28, 1048–1050. [Google Scholar] [CrossRef] [PubMed]
- Fahy, C.M.R.; Torgerson, R.R.; Davis, M.D.P. Lichen planus affecting the female genitalia: A retrospective review of patients at Mayo Clinic. J. Am. Acad. Dermatol. 2017, 77, 1053–1059. [Google Scholar] [CrossRef] [PubMed]
- Atzmony, L.; Reiter, O.; Hodak, E.; Gdalevich, M.; Mimouni, D. Treatments for Cutaneous Lichen Planus: A Systematic Review and Meta-Analysis. Am. J. Clin. Dermatol. 2016, 17, 11–22. [Google Scholar] [CrossRef]
- Xiao, J.; Zhang, L.; Chen, L. Bullous and verrucous lichen sclerosus with autoantibodies against both desmoglein Dsg1 and Dsg3. Int. J. Dermatol. 2022, 61, e259–e261. [Google Scholar] [CrossRef]
- Weyers, W. Hypertrophic lichen sclerosus sine sclerosis: Clues to histopathologic diagnosis when presenting as psoriasiform lichenoid dermatitis. J. Cutan. Pathol. 2015, 42, 118–129. [Google Scholar] [CrossRef]
- Lee, J.J.; Kim, R.; Lee, M.Y.; Byun, J.Y.; Choi, Y.W.; Choi, H.Y. A Case of Linear Hypertrophic Lichen Planus in a Pediatric Patient. Ann. Dermatol. 2023, 35, S256–S259. [Google Scholar] [CrossRef]
- Ghosh, S.; Kotne, S.; Ananda Rao, P.B.; Turlapati, S.P.; Kumar Soren, D. Squamous cell carcinoma developing in a cutaneous lichen planus lesion: A rare case. Case Rep. Dermatol. Med. 2014, 2014, 205638. [Google Scholar] [CrossRef][Green Version]
- Astudillo, M.G.; Hoang, M.P.; Nazarian, R.M.; Foreman, R.K. Distinction Between Hypertrophic Lichen Planus and Squamous Cell Carcinoma Requires Clinicopathologic Correlation in Difficult Cases. Am. J. Dermatopathol. 2021, 43, 349–355. [Google Scholar] [CrossRef]
- Alomari, A.; McNiff, J.M. The significance of eosinophils in hypertrophic lichen planus. J. Cutan. Pathol. 2014, 41, 347–352. [Google Scholar] [CrossRef] [PubMed]
- Shao, E.X.; Carew, B.; Muir, J. Hypertrophic lichen planus mistaken for squamous cell carcinoma. Med. J. Aust. 2018, 209, 462. [Google Scholar] [CrossRef] [PubMed]
- Idriss, M.H.; Barbosa, N.; Chang, M.B.; Gibson, L.; Baum, C.L.; Vidal, N.Y. Concomitant hypertrophic lichen planus and squamous cell carcinoma: Clinical features and treatment outcomes. Int. J. Dermatol. 2022, 61, 1527–1531. [Google Scholar] [CrossRef] [PubMed]
- Marques-Piubelli, M.L.; Tetzlaff, M.T.; Nagarajan, P.; Duke, T.C.; Glitza Oliva, I.C.; Ledesma, D.A.; Aung, P.P.; Torres-Cabala, C.A.; Wistuba, I.I.; Prieto, V.G.; et al. Hypertrophic lichenoid dermatitis immune-related adverse event during combined immune checkpoint and exportin inhibitor therapy: A diagnostic pitfall for superficially invasive squamous cell carcinoma. J. Cutan. Pathol. 2020, 47, 954–959. [Google Scholar] [CrossRef]
- Bala, L.; Hussain, K.; Shetty, R.; Patel, N.P. Pembrolizumab-induced hypertrophic lichenoid dermatitis with involvement of an old tattoo. Clin. Exp. Dermatol. 2024, 50, 176–178. [Google Scholar] [CrossRef]
- Alsabbagh, M.; Bava, A.; Ansari, S. Pembrolizumab-Induced Hypertrophic Lichenoid Dermatitis and Bullous Pemphigoid in One Patient. Indian Dermatol. Online J. 2023, 15, 546–548. [Google Scholar] [CrossRef]
- Leiter, U.; Keim, U.; Garbe, C. Epidemiology of Skin Cancer: Update 2019. Adv. Exp. Med. Biol. 2020, 1268, 123–139. [Google Scholar]
- Wollina, U.; Krönert, C.; Schönlebe, J.; Vojvodic, A.; Lotti, T. Giant Squamous Cell Carcinoma on Chronic Lichen Planus on the Ankle—A Case Report and Short Literature Review. Open Access Maced. J. Med. Sci. 2019, 7, 3061–3063. [Google Scholar] [CrossRef]
- Singh, S.K.; Saikia, U.N.; Ajith, C.; Kumar, B. Squamous cell carcinoma arising from hypertrophic lichen planus. J. Eur. Acad. Dermatol. Venereol. 2006, 20, 745–746. [Google Scholar] [CrossRef]
- Knackstedt, T.J.; Collins, L.K.; Li, Z.; Yan, S.; Samie, F.H. Squamous Cell Carcinoma Arising in Hypertrophic Lichen Planus: A Review and Analysis of 38 Cases. Dermatol. Surg. 2015, 41, 1411–1418. [Google Scholar] [CrossRef]
- Munday, W.R.; Leffell, D.J.; McNiff, J.M.; Ko, C.J. Histopathologic features of multiple cutaneous squamous cell carcinomas of the lower extremity. J. Cutan. Pathol. 2016, 43, 759–765. [Google Scholar] [CrossRef] [PubMed]
- Tong, L.X.; Weinstock, M.J.; Drews, R.; Sheikine, Y.; Kim, C.C. Widely metastatic squamous cell carcinoma originating from malignant transformation of hypertrophic lichen planus in a 24-year-old woman: Case report and review of the literature. Pediatr. Dermatol. 2015, 32, e98–e101. [Google Scholar] [CrossRef] [PubMed]
- Fundarò, S.; Spallanzani, A.; Ricchi, E.; Carriero, A.; Perrone, S.; Giusti, G.; Giannetti, A.; De Bernardinis, G. Squamous-cell carcinoma developing within anal lichen planus: Report of a case. Dis. Colon. Rectum. 1998, 41, 111–114. [Google Scholar] [CrossRef] [PubMed]
- Ruocco, V.; Satriano, R.A.; De Rosa, G.; Pettinato, G.; Gombos, F. Malignancy in lichen planus. Int. J. Dermatol. 1989, 28, 542–544. [Google Scholar] [CrossRef]
- Ghandi, N.; Sadeghi, M.; Kalantari, Y.; Ghodsi, S.Z.; Mahmoudi, H.; Etesami, I. Squamous cell carcinoma (SCC) and intraepithelial neoplasia among patients diagnosed with erosive lichen planus (LP): A study of 130 patients. Australas. J. Dermatol. 2023, 64, 546–548. [Google Scholar] [CrossRef]
- Taghavi Zenouz, A.; Mehdipour, M.; Attaran, R.; Bahramian, A.; Emamverdi Zadeh, P. Squamous cell carcinoma arising from an oral lichenoid lesion: A case report. J. Dent. Res. Dent. Clin. Dent. Prospect. 2012, 6, 29–32. [Google Scholar]
- Fitzpatrick, S.G.; Hirsch, S.A.; Gordon, S.C. The malignant transformation of oral lichen planus and oral lichenoid lesions: A systematic review. J. Am. Dent. Assoc. 2014, 145, 45–56. [Google Scholar] [CrossRef]
- Wei, G.; Rodriguez-Waitkus, P.; Soylu, L. A rare case of lichen simplex chronicus in an adolescent female successfully managed with Crisaborole. Dermatol. Ther. 2021, 34, e14752. [Google Scholar] [CrossRef]
- Zhang, S.; Han, D.; Wang, T.; Liu, Y. Multiple keratoacanthoma and oral lichen planus successfully treated with systemic retinoids and review of multiple keratoacanthoma associated with lichen planus. Int. J. Dermatol. 2018, 57, 1125–1127. [Google Scholar] [CrossRef]
- Bahmad, H.F.; Stoyanov, K.; Mendez, T.; Trinh, S.; Terp, K.; Qian, L.; Alexis, J. Keratoacanthoma versus Squamous-Cell Carcinoma: Histopathological Features and Molecular Markers. Dermatopathology 2024, 11, 272–285. [Google Scholar] [CrossRef]
- Shah, S.C.; Itzkowitz, S.H. Colorectal Cancer in Inflammatory Bowel Disease: Mechanisms and Management. Gastroenterology 2022, 162, 715–730.e3. [Google Scholar] [CrossRef] [PubMed]
- Abdou, A.G.; Marae, A.H.; Shoeib, M.; Dawood, G.; Abouelfath, E. C-Jun expression in lichen planus, psoriasis, and cutaneous squamous cell carcinoma, an immunohistochemical study. J. Immunoass. Immunochem. 2018, 39, 58–69. [Google Scholar] [CrossRef] [PubMed]
- Bloor, B.K.; Tidman, N.; Leigh, I.M.; Odell, E.; Dogan, B.; Wollina, U.; Ghali, L.; Waseem, A. Expression of keratin K2e in cutaneous and oral lesions: Association with keratinocyte activation, proliferation, and keratinization. Am. J. Pathol. 2003, 162, 963–975. [Google Scholar] [CrossRef] [PubMed]
- Lambert, W.C.; Shah, R.R.; Lambert, M.W.; Schwartz, R.A. Occult squamous cell carcinoma within lichenoid dermatitis: Three examples of cryptic cancer detection. Arch. Dermatol. Res. 2023, 315, 795–798. [Google Scholar] [CrossRef]
- Ju, T.; Vander Does, A.; Mohsin, N.; Yosipovitch, G. Lichen Simplex Chronicus Itch: An Update. Acta Derm. Venereol. 2022, 102, adv00796. [Google Scholar] [CrossRef]
- Lotti, T.; Buggiani, G.; Prignano, F. Prurigo nodularis and lichen simplex chronicus. Dermatol. Ther. 2008, 21, 42–46. [Google Scholar] [CrossRef]
- Chisolm, S.S. A review of the current management and burden of prurigo nodularis in the United States. Am. J. Manag. Care 2023, 29, S63–S72. [Google Scholar]
- Lynch, P.J. Lichen simplex chronicus (atopic/neurodermatitis) of the anogenital region. Dermatol. Ther. 2004, 17, 8–19. [Google Scholar] [CrossRef]
- Pascu, R.M.; Crăiţoiu, Ş.; Florescu, A.M.; Dăguci, L.; Petcu, I.C.; Pascu, E.G.; Crăiţoiu, M.M. Histopathological Study of Oral Pseudoepitheliomatous Hyperplasia. Curr. Health Sci. J. 2017, 43, 361–366. [Google Scholar]
- Hayman, J.A.; Smith, I.M.; Flood, P. Pseudoepitheliomatous hyperplasia in Mycobacterium ulcerans infection. Pathology 1996, 28, 131–134. [Google Scholar] [CrossRef]
- Motswaledi, H.M.; Monyemangene, F.M.; Maloba, B.R.; Nemutavhanani, D.L. Blastomycosis: A case report and review of the literature. Int. J. Dermatol. 2012, 51, 1090–1093. [Google Scholar] [CrossRef]
- Tangjitgamol, S.; Loharamtaweethong, K.; Thawaramara, T.; Chanpanitkitchot, S. Vulvar pseudoepitheliomatous hyperplasia associated with herpes simplex virus type II mimicking cancer in an immunocompromised patient. J. Obstet. Gynaecol. Res. 2014, 40, 255–258. [Google Scholar] [CrossRef]
- Sethi, S.; Ali, A.; Ju, X.; Antonsson, A.; Logan, R.; Jamieson, L. An update on Heck’s disease-a systematic review. J. Public Health 2022, 44, 269–285. [Google Scholar] [CrossRef]
- Schwartz, Z.; Magro, C.; Nuovo, G. The molecular-based differentiation of Heck’s disease from its mimics including oral condyloma and white sponge nevus. Ann. Diagn. Pathol. 2019, 43, 151402. [Google Scholar] [CrossRef]
- Charles, J.E.M.; Weis, S.E.; Hosler, G.A. Acyclovir-Resistant Anogenital Herpes Simplex Virus in an HIV Patient With Pseudoepitheliomatous Hyperplasia Resembling Squamous Cell Carcinoma. HCA Healthc. J. Med. 2022, 3, 247–252. [Google Scholar] [CrossRef]
- Zayour, M.; Lazova, R. Pseudoepitheliomatous hyperplasia: A review. Am. J. Dermatopathol. 2011, 33, 112–122, quiz 123–126. [Google Scholar] [CrossRef]
- El-Khoury, J.; Kibbi, A.G.; Abbas, O. Mucocutaneous pseudoepitheliomatous hyperplasia: A review. Am. J. Dermatopathol. 2012, 34, 165–175. [Google Scholar] [CrossRef]
- Jones, R.W.; Rowan, D.M.; Kirker, J.; Wilkinson, E.J. Vulval lichen planus: Progression of pseudoepitheliomatous hyperplasia to invasive vulval carcinomas. BJOG 2001, 108, 665–666. [Google Scholar]
- Pusiol, T.; Zorzi, M.G.; Morichetti, D.; Speziali, L. Pseudoepitheliomatous hyperplasia arising from hypertrophic lichen planus mimicking squamous cell carcinoma: Limited value of immunohistochemistry. Acta Dermatovenerol. Croat. 2012, 20, 112–114. [Google Scholar]
- Speziali, L.; Pusiol, T.; Zorzi, M.G.; Morichetti, D.; Zumiani, G. Pseudoepitheliomatous hyperplasia arising from hypertrophic lichen planus mimicking squamous cell carcinoma. G. Ital. Dermatol. Venereol. 2011, 146, 310–311. [Google Scholar]
- Regauer, S.; Reich, O.; Eberz, B. Vulvar cancers in women with vulvar lichen planus: A clinicopathological study. J. Am. Acad. Dermatol. 2014, 71, 698–707. [Google Scholar] [CrossRef] [PubMed]
- Grunwald, M.H.; Lee, J.Y.; Ackerman, A.B. Pseudocarcinomatous hyperplasia. Am. J. Dermatopathol. 1988, 10, 95–103. [Google Scholar] [CrossRef]
- Bruni, L.; Albero, G.; Rowley, J.; Alemany, L.; Arbyn, M.; Giuliano, A.R.; Markowitz, L.E.; Broutet, N.; Taylor, M. Global and regional estimates of genital human papillomavirus prevalence among men: A systematic review and meta-analysis. Lancet Glob. Health 2023, 11, e1345–e1362. [Google Scholar] [CrossRef]
- Ljubojevic, S.; Skerlev, M. HPV-associated diseases. Clin. Dermatol. 2014, 32, 227–234. [Google Scholar] [CrossRef]
- Shang, Q.; Peng, J.; Zhou, Y.; Chen, Q.; Xu, H. Association of Human Papillomavirus With Oral Lichen Planus and Oral Leukoplakia: A Meta-analysis. J. Evid. Based Dent. Pract. 2020, 20, 101485. [Google Scholar] [CrossRef]
- Agha-Hosseini, F.; Hafezi Motlagh, K. The correlation between human papillomavirus and oral lichen planus: A systematic review of the literature. Immun. Inflamm. Dis. 2023, 11, e960. [Google Scholar] [CrossRef]
- Mattoo, A.; Bhatia, M. Verruca vulgaris of the buccal mucosa: A case report. J. Cancer Res. Ther. 2018, 14, 454–456. [Google Scholar] [CrossRef]
- Krustrup, D.; Jensen, H.L.; van den Brule, A.J.; Frisch, M. Histological characteristics of human papilloma-virus-positive and -negative invasive and in situ squamous cell tumours of the penis. Int. J. Exp. Pathol. 2009, 90, 182–189. [Google Scholar] [CrossRef]
- Oei, T.P.; Hokin, D.; Young, R.M. Differences between personal and general alcohol-related beliefs. Int. J. Addict. 1990, 25, 641–651. [Google Scholar] [CrossRef]
- Nieboer, C. Lupus erythematosus/lichen planus (LE/LP) overlap syndrome. J. Am. Acad. Dermatol. 1985, 13 Pt 1, 297. [Google Scholar] [CrossRef]
- Patil, P.; Nayak, C.; Tambe, S.; Das, D. Lupus erythematosus-lichen planus overlap syndrome in an HIV-infected individual. Int. J. STD AIDS 2016, 27, 1117–1122. [Google Scholar] [CrossRef] [PubMed]
- Smirnov, B.; Bowles, A.A.; Strasswimmer, J.M.; Nousari, C.H. Lupus Erythematosus Lichen Planus Overlap Syndrome Mimicking Squamous Cell Carcinoma. J. Clin. Aesthet. Dermatol. 2019, 12, 36–38. [Google Scholar] [PubMed]
- Inalöz, H.S.; Chowdhury, M.M.; Motley, R.J. Lupus erythematosus/lichen planus overlap syndrome with scarring alopecia. J. Eur. Acad. Dermatol. Venereol. 2001, 15, 171–174. [Google Scholar] [CrossRef] [PubMed]
- Nagao, K.; Chen, K.R. A case of lupus erythematosus/lichen planus overlap syndrome. J. Dermatol. 2006, 33, 187–190. [Google Scholar] [CrossRef]
- Lospinoso, D.J.; Fernelius, C.; Edhegard, K.D.; Finger, D.R.; Arora, N.S. Lupus erythematosus/lichen planus overlap syndrome: Successful treatment with acitretin. Lupus 2013, 22, 851–854. [Google Scholar] [CrossRef]
- Zhang, L.; Au, S.; Aronson, I.K. Successful long-term thalidomide therapy for discoid lupus erythematosus-lichen planus overlap syndrome. Dermatol. Online J. 2014, 20, 13030/qt73r7492v. [Google Scholar] [CrossRef]
- Komori, T.; Otsuka, A.; Honda, T.; Kaku, Y.; Kabashima, K. A case of chilblain lupus erythematosus with lupus erythematosus/lichen planus overlap syndrome. J. Eur. Acad. Dermatol. Venereol. 2017, 31, e424–e425. [Google Scholar] [CrossRef]
- Kim, H.; Pomeranz, M.K. Lupus erythematosus and lichen planus overlap syndrome. J. Drugs Dermatol. 2004, 3, 311–312. [Google Scholar]
- Ahmed, A.R.; Schreiber, P.; Abramovits, W.; Ostreicher, M.; Lowe, N.J. Coexistence of lichen planus and systemic lupus erythematosus. J. Am. Acad. Dermatol. 1982, 7, 478–483. [Google Scholar] [CrossRef]
- Tursen, U.; Oz, O.; Ikizoglu, G.; Kaya, T.I.; Dusmez, D. A case of lichen planus-lupus erythematosus overlap syndrome with eyelid involvement. Eur. J. Ophthalmol. 2002, 12, 244–246. [Google Scholar] [CrossRef]
- Demirci, G.T.; Altunay, I.K.; Sarıkaya, S.; Sakiz, D. Lupus erythematosus and lichen planus overlap syndrome: A case report with a rapid response to topical corticosteroid therapy. Dermatol. Rep. 2011, 3, e48. [Google Scholar] [CrossRef]
- Sil, A.; Chakraborty, S.; Panigrahi, A.; Mondal, S. Blaschkoid lichen planus occurring in childhood systemic lupus erythematosus. Pediatr. Dermatol. 2020, 37, 579–581. [Google Scholar] [CrossRef]
- Cooper, E.E.; Pisano, C.E.; Shapiro, S.C. Cutaneous Manifestations of “Lupus”: Systemic Lupus Erythematosus and Beyond. Int. J. Rheumatol. 2021, 2021, 6610509. [Google Scholar] [CrossRef]
- Seiringer, P.; Lauffer, F.; Pilz, A.C.; Boehmer, D.; Biedermann, T.; Eyerich, K. Tofacitinib in Hypertrophic Lichen Planus. Acta Derm. Venereol. 2020, 100, adv00220. [Google Scholar] [CrossRef]
- Youssef, S.; Bordone, L.A. Oral tofacitinib effectively treating eruptive and hypertrophic cutaneous lichen planus. JAAD Case Rep. 2023, 37, 16–20. [Google Scholar] [CrossRef]
- Sekar, C.S.; Rai, R.; Karthika, N.; Laila, A. Scle-lp overlap syndrome. Indian J. Dermatol. 2011, 56, 209–210. [Google Scholar] [CrossRef]
- Baltaci, M.; Fritsch, P. Histologic features of cutaneous lupus erythematosus. Autoimmun. Rev. 2009, 8, 467–473. [Google Scholar] [CrossRef]
- Jicha, K.I.; Wang, D.M.; Miedema, J.R.; Diaz, L.A. Cutaneous lupus erythematosus/lichen planus overlap syndrome. JAAD Case Rep. 2021, 17, 130–151. [Google Scholar] [CrossRef]
- Riahi, R.R.; Cohen, P.R. Hypertrophic Lichen Planus Mimicking Verrucous Lupus Erythematosus. Cureus 2018, 10, e3555. [Google Scholar] [CrossRef]
- Tomasini, D.; Mentzel, T.; Hantschke, M.; Cerri, A.; Paredes, B.; Rütten, A.; Schärer, L.; Kutzner, H. Plasmacytoid dendritic cells: An overview of their presence and distribution in different inflammatory skin diseases, with special emphasis on Jessner’s lymphocytic infiltrate of the skin and cutaneous lupus erythematosus. J. Cutan. Pathol. 2010, 37, 1132–1139. [Google Scholar] [CrossRef]
- Galan, A.; Ko, C.J. Langerhans cells in squamous cell carcinoma vs. pseudoepitheliomatous hyperplasia of the skin. J. Cutan. Pathol. 2007, 34, 950–952. [Google Scholar] [CrossRef] [PubMed]
- Zarovnaya, E.; Black, C. Distinguishing pseudoepitheliomatous hyperplasia from squamous cell carcinoma in mucosal biopsy specimens from the head and neck. Arch. Pathol. Lab. Med. 2005, 129, 1032–1036. [Google Scholar] [CrossRef] [PubMed]









| HCLI | Clinic * | Histopathology | Prognosis | ||||
|---|---|---|---|---|---|---|---|
| Type of Hypergranulosis | Epidermal Hyperplasia | Papillary Ridge Morphology | Band-Like Infiltrate of the Lymphocytes | Other Specific | |||
| HLP | Thickened, verrucous, purple-red, plaque/nodule | Wedge-shaped | Pseudoepitheliomatous hyperplasia, endophytic well-differentiated squamous epithelium extending not beyond the superficial dermis | Irregular | Present | Basal cell vacuolar alteration; thickening of collagen fibres in the papillary dermis | Longer mean duration and often unremitting compared with LP |
| HLS | Whitish plaque variably combining thickness and atrophic appearance | Wedge-shaped | Hyperkeratosis, atrophic and irregular thickening of the epidermis | Irregular | Present (below the zone of hyalinization) | A broad, pale, eosinophilic band of collagen (hyalinized tissue) in the upper dermis, vascular changes, basal vacuolization, pigmentary incontinence HLS without sclerosis: Lymphocytes and necrotic keratinocytes scattered throughout the epidermis, psoriasiform hyperplasia, Civatte bodies, alignment of lymphocytes at the basal layer | Poor response to therapy |
| Hypertrophic lichenoid dermatitis | Thickened, erythematous, scaly, plaque/nodule | Wedge-shaped | Hyperkeratosis, orthokeratosis | Regular/irregular | Present | Prominent spongiosis, eosinophilic infiltrate, generalised distribution | Discontinuation of immune checkpoint inhibitors is usually not required |
| SCC | Skin Erythematous-violaceous plaque with a tendency to ulcerate and/or depigment Mucosa Whitish surface with elevated indurated borders; exophytic or endophytic growth patterns with subsequent ulcer formation | Wedge/not wedge-shaped | Dyskeratosis, orthokeratosis | Irregular | Present | Atypical keratinocytes with a variable degree of differentiation: from horn pearl formations to a high number of mitoses and few areas of keratinisation | Depending on staging: locally advanced and rarely metastatic |
| KA | Dome-shaped tumour capped with keratin. Giant (>5cm) lesions have a predilection for the nose and the dorsum of the hands | Wedge/not wedge-shaped | Dyskeratosis and orthokeratosis (evident in the keratin-filled central crater) | Irregular | Present | Expansion of squamous epithelium forming irregular epithelial proliferations with central keratinization. (Early proliferative stage) Crateriform architecture, epidermal lipping on both sides of the keratin core (Mature stage) Lesions become thinner/flattened, with fewer squamous lobules and horn pearl, dermal scar-like fibrosis (Regressing stage) | Potential involution in several months |
| LSC | Scaling lichenified with overlying excoriation, areas of hyper/hypopigmentation | Not wedge-shaped | Severe | Regular/irregular | Present | Increased fibrocyte number; thickened papillary dermis | Good response to therapy |
| PEH | Well-demarcated plaque/nodule | Wedge/not wedge-shaped | Elongated projections of the epidermis starting from the follicular infundibulum, ortho/parakeratosis, keratin pearls | Regular, elongated | Present | Few mitotic figures without atypia/with mild atypia | Variable: increasing in size or spontaneous regression |
| Viral warts | Papule defined by a verrucous surface | Focal hypergranulosis | Hyperkeratosis, orthokeratosis | Elongated | Present | Koilocytes and dilated blood vessels in the papillary dermis | Worse in immunocompromised patients |
| LE/LP overlap | Painful, bluish-red or hypopigmented plaque acquiring a verrucous (wart-like) appearance | Wedge/not wadge-shaped | Focal hyperplasia, parakeratosis, and laminated orthokeratosis | Irregular, thin | Presently, with significant perifollicular and perivascular inflammatory cell infiltrate | Vacuolar alteration at the DEJ, thick basal cell layer PAS positive | Variable |
Disclaimer/Publisher’s Note: The statements, opinions and data contained in all publications are solely those of the individual author(s) and contributor(s) and not of MDPI and/or the editor(s). MDPI and/or the editor(s) disclaim responsibility for any injury to people or property resulting from any ideas, methods, instructions or products referred to in the content. |
© 2025 by the authors. Published by MDPI on behalf of the European Society of Dermatopathology. Licensee MDPI, Basel, Switzerland. This article is an open access article distributed under the terms and conditions of the Creative Commons Attribution (CC BY) license (https://creativecommons.org/licenses/by/4.0/).
Share and Cite
Scotti, B.; Misciali, C.; Bardazzi, F.; Piraccini, B.M.; La Placa, M. Hypertrophic Lichen Planus and Hypertrophic Skin Lesions Associated with Histological Lichenoid Infiltrate: A Case Report and Literature Review. Dermatopathology 2025, 12, 8. https://doi.org/10.3390/dermatopathology12010008
Scotti B, Misciali C, Bardazzi F, Piraccini BM, La Placa M. Hypertrophic Lichen Planus and Hypertrophic Skin Lesions Associated with Histological Lichenoid Infiltrate: A Case Report and Literature Review. Dermatopathology. 2025; 12(1):8. https://doi.org/10.3390/dermatopathology12010008
Chicago/Turabian StyleScotti, Biagio, Cosimo Misciali, Federico Bardazzi, Bianca Maria Piraccini, and Michelangelo La Placa. 2025. "Hypertrophic Lichen Planus and Hypertrophic Skin Lesions Associated with Histological Lichenoid Infiltrate: A Case Report and Literature Review" Dermatopathology 12, no. 1: 8. https://doi.org/10.3390/dermatopathology12010008
APA StyleScotti, B., Misciali, C., Bardazzi, F., Piraccini, B. M., & La Placa, M. (2025). Hypertrophic Lichen Planus and Hypertrophic Skin Lesions Associated with Histological Lichenoid Infiltrate: A Case Report and Literature Review. Dermatopathology, 12(1), 8. https://doi.org/10.3390/dermatopathology12010008

