Pediatric Kikuchi–Fujimoto Disease: Case Report and Review of Cutaneous and Histopathologic Features in Childhood
Abstract
1. Introduction
2. Case Report
2.1. Clinical Presentation
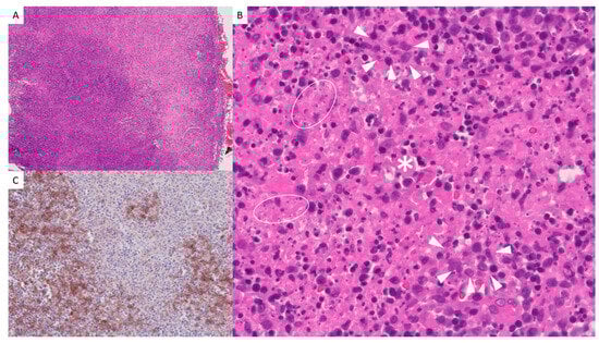
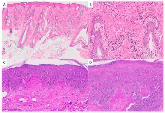
2.2. Histopathologic Findings
3. Literature Review
3.1. Methods
3.2. Results
3.3. Cutaneous Manifestations
3.4. Histopathology
3.5. Treatment
3.6. Complications
| Study (Date) | N; Sex; Age. | Sample | Histopathology | Cutaneous Manifestations | Possible Trigger | Treatment | Associated Complications |
|---|---|---|---|---|---|---|---|
| Heldenberg et al. [21] 1996 | 1; male; 10. | Lymph node excisional biopsy | Cortical or paracortical necrosis. Karyorrhexis. Histiocytes (CD68+), plasmacytoid dendritic cells (CD123+), T-cell activation. Absence of neutrophils, eosinophils and granulomas | No | No | No specific therapy | No |
| Gonzálvez-Piñera et al. [8] 2000 | 1; female; 7 | Generalized maculopapular rash | No | No specific therapy | No | ||
| Emir et al. [42] 2001 | 1; female; 14 | No | No | No specific therapy | No | ||
| Kim et al. [9] 2003 | 1; female; 13 | Generalized maculopapular rash | EBV | IVIG IV methylprednisolone | Hemophagocytic syndrome | ||
| Chiang et al. [22] 2004 | 1; male; 8 | No | No | No specific therapy | No | ||
| Chuang et al. [10] 2005 | 64; 35 males; 29 females; mean age 16 | Generalized maculopapular rash (4/64) | CMV (2/64) | No specific therapy | Developed SLE (1/64) | ||
| Lin et al. [6] 2005 | 23; 15 males; 8 females; mean age 12.8 | NA | NA | No specific therapy | Developed SLE (1/23) | ||
| Park et al. [30] 2007 | 16; 8 males; 8 females; mean age 10.6 | No | EBV (2) ANA (1) | Oral prednisone (6/16) | No | ||
| Zou et al. [11] 2009 | 36; 23 males; 13 females; mean age 10.1 | Generalized maculopapular rash (5/36) | EBV (3/36) HSV (2/36) ANA (3/36) | No specific therapy | No | ||
| Gómez et al. [31] 2010. | 1; female; 10 | No | No | Oral prednisone | No | ||
| Lee et al. [5] 2012 | 9; 8 males;1 female; mean age 11.3 | Generalized maculopapular rash (2/9) | No ANA (1/9) | High-dose corticosteroids, IVIG, plasmapheresis | Developed SLE (1/9) | ||
| Tchidjou et al. [43] 2004 | 1; male; 11 | No | No | IV methylprednisolone | |||
| Gonçalves et al. [40] 2014 | 1; male; 9 | No | No | IV Dexamethasone | CNS involvement | ||
| Martins et al. [18] 2014 | 1; female; 12 | malar rash | ANAs | Oral prednisone Hidroxychloroquine | Developed SLE | ||
| Ojeda et al. [32] 2015 | 1; female; 9 | No | ANAs | Oral prednisone | No | ||
| Rossetti et al. [44] 2015 | 1; male; 11 | No | No | Corticosterois | Upper airway obstruction | ||
| Altinel et al. [35] 2018 | 1; male; 12 | No | Salmonella | IVIG | Auto-immune thyroiditis and papilloedema | ||
| Chowdhury et al. [39] 2019 | 1; female; 14 | No | No | IV methylprednisolone | CNS involvement | ||
| Handa et al. [45] 2016 | 1; male; 15 | No | No | Oral corticosteroids | No | ||
| Lelii et al. [23] 2018 | 2; male; 12; female; 16 | No | CMV (1/2) ANA (1/2) | No specific therapy (1/2) Oral prednisone and cyclosporine (1/2) | CNS involvement in 1 patient | ||
| Singh et al. [24] 2019 | 1; male; 11 | No | No | No specific therapy | No | ||
| Quadir et al. [25] 2020 | 2; females; 12 and 16 (dizygotic twins) | Generalized maculopapular rash (2/2) | Mycoplasma (1/2) | No specific therapy (1/2) Oral prednisone (1/2) | Developed alopecia areata (1/2) | ||
| Guleria et al. [37] 2020 | 6; 4 males; 2 females; mean age 10.8 | No | NA | Oral prednisolone (2/6) | Concomitant SLE (1/6) | ||
| Arslan et al. [46] 2020 | 1; female; 12 | No | No | Oral prednisone | Optic Neuritis | ||
| Kim et al. [26] 2020 | 1; female; 7 | No | Parvovirus B19 | No specific Therapy | Severe neutropenia | ||
| Al Mosawi et al. [12] 2020 | 11; 6 males; 5 females; mean age 10 | Generalized maculopapular rash (4/11) | No | Hidroxychloroquine (7/11) Corticosteroids (1/11) No specific therapy (3/11) | No | ||
| Cannon et al. [27] 2020 | 1; female; 11 | No | No | No specific therapy | No | ||
| Hua et al. [38] 2021 | 1; male; 14 | No | No | IV methylprednisolone | Appendectomy (mimicked appendicitis) | ||
| Yang et al. [14] 2021 | 13; 9 males, 4 females | Generalized maculopapular rash in 10 patients | ANAs in 4 patients | IVIG + Methylprednisolone: (6/13) Methylprednisolone + Cyclosporine A: (1/13) Cyclosporine A + Dexamethasone + Etoposide: (1/13) Methylprednisolone + Cyclosporine A + Cyclophosphamide: (1/13) Ruxolitinib + Methylprednisolone: (1/13) Methylprednisolone + Dexamethasone: (1/13) Symptomatic treatment: (3/13) Intrathecal Injection + Methotrexate: (1/13) IV Immunoglobulin: (1/13) | Hemophagocytic syndrome (13/13) CNS involvement (8/13) Developed SLE (1/13) Developed SS (2/13) | ||
| Danai et al. [13] 2021 | 1; female; 10 | Generalized maculopapular rash and oral ulcers | ANAs | Prednisone Hidroxychloroquine Methotrexate | Concomitant SLE | ||
| Öztürk et al. [47] 2021 | 1; male; 5 | No | COVID-19 | No specific Therapy | No | ||
| Chisholm et al. [28] 2022 | 14; NA; NA | NA | NA | NA | NA | ||
| Takahashi et al. [15] 2023 | 2; female, 13; male; 11 brothers | Plantar annular erythema and chilblain lupus-like rashes | No (later met the criteria for SLE) | Corticosteroid+ Hydroxychloroquine (1/2) Hydroxychloroquine (1/2) | Developed SLE Developed SS (2/2) | ||
| Sevrin et al. [48] 2023 | 1; male, 12 | No | COVID-19 vaccination | Corticosterois | No | ||
| Choi Sujin et al. [17] 2023 | 114; 62 males; 52 females; mean age 12 | Oral ulcer (12/114) Generalized rash (11/114) | NA | Corticosteroids (46/114) | No | ||
| Zhou et al. [49] 2024 | 1; male; 4 | No | No | Oral prednisone | CASPR2 antibody-associated encephalitis | ||
| Lu et al. [50] 2024 | 1; male; 13 | No | No | Corticosterois Rituximab | occlusive retinal vasculitis with near total central retinal artery occlusion | ||
| Bao et al. [36] 2024 | 1; male; 13 | No | No | IVIG, Oral prednisone | Optic Neuritis | ||
| Harrison et al. [16] 2024 | 1; female; 16 | Generalized rash, sparing the nasolabial folds. | No (later met the criteria for SLE) | Hydroxychloroquine, prednisone, and mycophenolate mofetil | Developed SLE | ||
| Camacho-Badilla et al. [20] 2005 | 1; male; 10 | Lymph node excisional biopsy | Granulomas characterized by central necrosis with abundant karyorrhexis, surrounded by histiocytes, lymphocytes and giant multinucleated cells, without neutrophils | No | No | No specific therapy | No |
| Burns et al. [29] 2020 | 1; female; 16 | FNAC | Necrotizing lymphadenitis | No | EBV, CMV | No specific therapy | No |
| Sierra et al. [7] 1999 | 1; male; 14 | 1. Lymph node excisional biopsy 2. Cutenaous biopsy | 1. Histiocytic necrotizing lymphadenitis (see previous) 2. Lymphohistiocytic infiltrates, predominantly perivascular, without any necrosis of the adjacent vascular wall | Generalized maculopapular rash | No | IV Methylprednisolone | Multisystemic involvement Adverse reaction to drugs |
| Chen et al. [33] 2000 | 1; female; 13 | 1. Lymph node excisional biopsy 2. Bone marrow aspirate | 1. Histiocytic necrotizing lymphadenitis (see previous) 2.hemophagocytic histiocytes | No | EBV | IVIG IV methylprednisolone oral dexamethasone | hemophagocytic syndrome |
| Jun-Fen et al. [34] 2007. | 1; female; 7 | 1. Lymph node excisional biopsy 2. Bone marrow aspirate | 1. Histiocytic necrotizing lymphadenitis (see previous) 2. Specific Changes In idiopathic thrombocytopenic purpura | No | No | IVIG IV methylprednisolone Oral dexamethasone | Idiopathic thrombocytopenic purpura and Mobitz type II atrioventricular block |
| Sykes et al. [41] 2016 | 1; female; 26 | 1. Lymph node excisional biopsy 2. Bone marrow aspirate | 1. Cortical or paracortical necrosis with various histiocytes, plasmacytoid monocytes and a variable number of lymphoid cells with caryorrhectic nuclear fragments and absence of neutrophils 2. hemophagocytic histiocytes | No | No | High-dose corticosteroids, IVIG, and plasmapheresis | Hemophagocytic syndrome |
| Das et al. [51] 2019 | 1; male; NA | 1. Lymph node excisional biopsy 2. Bone marrow aspirate | 1. Cortical or paracortical necrosis with various histiocytes, plasmacytoid monocytes and a variable number of lymphoid cells with caryorrhectic nuclear fragments and absence of neutrophils 2. Reticulo-endothelial activity | Generalized maculopapular rash | Brucella | Rifampicin and gentamicin, doxycycline, trimethoprim-sulfamethoxazole. Oral prednisolone | Doxycycline-induced intracranial hypertension |
| Lin et al. [19] 2019 | 40; 20 males; 20 females; mean age 13.9 | Lymph node excisional biopsy | 14 patients with proliferative type containing karyorrhectic nuclear fragments, eosinophilic apoptotic debris and various histiocytes 23 patients with necrotizing type showing the existence of coagulative necrosis 1 patient with xanthomatous type showing foamy histiocytes. 2 patients with NA histopathology | Generalized maculopapular rash (2/40) | ANAs (1/40) EBV (1/40) | Oral prednisone (5/40) Hidroxychloroquine (5/40) No specific therapy in the rest | No |
| Abdu et al. [52] 2022 | 1; female, 10 | 1. Lymph node excisionalbiopsy 2. Bone marrow biopsy | 1. Necrotizing his- tiocytic lymphadenitis 2. Normocellular bone marrow with reactive lymphocytosis and hemophagocytosis | No | Acute otitis media | Corticosterois | No |
4. Discussion
Funding
Institutional Review Board Statement
Informed Consent Statement
Data Availability Statement
Conflicts of Interest
References
- Perry, A.M.; Choi, S.M. Kikuchi-Fujimoto Disease: A Review. Arch. Pathol. Lab. Med. 2018, 142, 1341–1346. [Google Scholar] [CrossRef] [PubMed]
- Masab, M.; Surmachevska, N.; Farooq, H. Kikuchi-Fujimoto Disease; StatPearls Publishing: Treasure Island, FL, USA, 2024. [Google Scholar]
- Cuglievan, B.; Miranda, R.N. Kikuchi-Fujimoto disease. Blood 2017, 129, 917. [Google Scholar] [CrossRef]
- Kim, T.Y.; Ha, K.-S.; Kim, Y.; Lee, J.; Lee, K.; Lee, J. Characteristics of Kikuchi-Fujimoto disease in children compared with adults. Eur. J. Pediatr. 2014, 173, 111–116. [Google Scholar] [CrossRef] [PubMed]
- Lee, B.C.; Patel, R. Kikuchi-Fujimoto disease: A 15-year analysis at a children’s hospital in the United States. Clin. Pediatr. 2013, 52, 92–95. [Google Scholar] [CrossRef] [PubMed]
- Lin, H.-C.; Su, C.-Y.; Huang, S.-C. Kikuchi’s disease in Asian children. Pediatrics 2005, 115, e92–e96. [Google Scholar] [CrossRef] [PubMed]
- Sierra, M.L.; Vegas, E.; Blanco-González, J.E.; González, A.; Martínez, P.; Calero, M.A. Kikuchi’s disease with multisystemic involvement and adverse reaction to drugs. Pediatrics 1999, 104, e24. [Google Scholar] [CrossRef]
- Gonzálvez Piñera, J.; Ruiz Cano, R.; García Rodríguez, M.R.; Fernández Córdoba, M.S.; Crusat Braña, S.; Sango Lamban, M. Necrotizing histiocytic lymphadenitis (Kikuchi-Fujimoto disease) in a 7-year-old girl. Cir. Pediatr. 2000, 13, 126–128. [Google Scholar] [PubMed]
- Kim, Y.M.; Lee, Y.J.; Nam, S.O.; Park, S.E.; Kim, J.Y.; Lee, E.Y. Hemophagocytic syndrome associated with Kikuchi’s disease. J. Korean Med. Sci. 2003, 18, 592–594. [Google Scholar] [CrossRef] [PubMed]
- Chuang, C.-H.; Yan, D.-C.; Chiu, C.-H.; Huang, Y.-C.; Lin, P.-Y.; Chen, C.-J.; Yen, M.-H.; Kuo, T.-T.; Lin, T.-Y. Clinical and laboratory manifestations of Kikuchi’s disease in children and differences between patients with and without prolonged fever. Pediatr. Infect. Dis. J. 2005, 24, 551–554. [Google Scholar] [CrossRef]
- Zou, C.C.; Zhao, Z.Y.; Liang, L. Childhood Kikuchi-Fujimoto disease. Indian. J. Pediatr. 2009, 76, 959–962. [Google Scholar] [CrossRef]
- Al Mosawi, Z.; Ebrahim, B.; Baik, S.; Madan, W.; Aljufairi, E. Kikuchi-Fujimoto Disease: Eleven Pediatric Cases and Literature Review. Arch. Rheumatol. 2020, 35, 303–307. [Google Scholar] [CrossRef] [PubMed]
- Danai, M.M.; Kaye, S.P.; Gong, R.; McKnight, H. A Rare Pediatric Case of Persistent Kikuchi-Fujimoto Disease and Underlying Systemic Lupus Erythematosus. JCR J. Clin. Rheumatol. 2021, 27, e111–e112. [Google Scholar] [CrossRef] [PubMed]
- Yang, Y.; Lian, H.; Ma, H.; Zhao, Y.; Zhang, Q.; Zhang, L.; Wang, T.; Li, Z.; Zhang, R. Hemophagocytic Lymphohistiocytosis Associated with Histiocytic Necrotizing Lymphadenitis: A Clinical Study of 13 Children and Literature Review. J. Pediatr. 2021, 229, 267–274.e3. [Google Scholar] [CrossRef]
- Takahashi, K.; Okura, Y.; Shimomura, M.; Taniguchi, K.; Nawate, M.; Takahashi, Y.; Kobayashi, I. Development of Sjögren’s syndrome following Kikuchi-Fujimoto disease—A sibling case. Pediatr. Int. 2023, 65, e15524. [Google Scholar] [CrossRef]
- Harrison, J.; Sukumaran, S.; Vijayan, V. Systemic Lupus Erythematosus Lymphadenopathy Presenting as Kikuchi-Fujimoto Disease in an Adolescent. Cureus 2023, 15, e35304. [Google Scholar] [CrossRef] [PubMed]
- Choi, S.; Choi, H.S.; Ryu, Y.J.; Kim, J.Y.; Paik, J.H.; Ahn, S.; Lee, H. Characterization of Kikuchi-Fujimoto Disease in Children and Risk Factors Associated with Its Course. J. Pediatr. 2023, 260, 113515. [Google Scholar] [CrossRef] [PubMed]
- Martins, S.S.; Buscatti, I.M.; Freire, P.S.; Cavalcante, E.G.; Sallum, A.M.; Campos, L.M.A.; Silva, C.A. Kikuchi-Fujimoto disease prior to childhood-systemic lupus erythematosus diagnosis. Rev. Bras. Reumatol. 2014, 54, 400–403. [Google Scholar] [CrossRef] [PubMed]
- Lin, Y.-C.; Huang, H.-H.; Nong, B.-R.; Liu, P.-Y.; Chen, Y.-Y.; Huang, Y.-F.; Chiou, Y.-H.; Lee, H.-S. Pediatric Kikuchi-Fujimoto disease: A clinicopathologic study and the therapeutic effects of hydroxychloroquine. J. Microbiol. Immunol. Infect. 2019, 52, 395–401. [Google Scholar] [CrossRef] [PubMed]
- Camacho-Badilla, K.; Cañas-Coto, A.; Soriano-Fallas, A.; Carranza-Portocarrero, A.; Avila-Agüero, M.L. Kikuchi-Fujimoto disease in pediatric population: A case report and a review of literature. Gac. Med. Mex. 2005, 141, 53–56. [Google Scholar] [PubMed]
- Heldenberg, D.; Amar, M.; Ben-Arie, Y.; Iuchtman, M. Axillary involvement in pediatric Kikuchi’s disease. Eur. J. Pediatr. Surg. 1996, 6, 32–34. [Google Scholar] [CrossRef]
- Chiang, Y.-C.; Chen, R.M.Y.; Chao, P.-Z.; Yang, T.-H.; Lee, F.-P. Pediatric Kikuchi-Fujimoto disease masquerading as a submandibular gland tumor. Int. J. Pediatr. Otorhinolaryngol. 2004, 68, 971–974. [Google Scholar] [CrossRef] [PubMed]
- Lelii, M.; Senatore, L.; Amodeo, I.; Pinzani, R.; Torretta, S.; Fiori, S.; Marchisio, P.; Bosis, S. Kikuchi-Fujimoto disease in children: Two case reports and a review of the literature. Ital. J. Pediatr. 2018, 44, 83. [Google Scholar] [CrossRef] [PubMed]
- Singh, J.M.; Shermetaro, C.B. Kikuchi-Fujimoto Disease in Michigan: A Rare Case Report and Review of the Literature. Clin. Med. Insights Ear Nose Throat 2019, 12, 1179550619828680. [Google Scholar] [CrossRef] [PubMed]
- Quadir, A.; Peacock, K.; Hsu, P.; Singh-Grewal, D.; Alexander, S. A familial case of Kikuchi-Fujimoto disease in dizygotic twins. Pediatr. Rheumatol. Online J. 2020, 18, 62. [Google Scholar] [CrossRef]
- Kim, L.; Tatarina-Numlan, O.; Yin, Y.D.; John, M.; Sundaram, R. A Case of Kikuchi-Fujimoto Disease in a 7-Year-Old African American Patient: A Case Report and Review of Literature. Am. J. Case Rep. 2020, 21, e922784. [Google Scholar] [CrossRef]
- Cannon, L.; Wang, E.; Becker, M. Diagnosis of Kikuchi-Fujimoto disease in an 11-year-old girl with fever and sickle cell disease. BMJ Case Rep. 2020, 13, e234302. [Google Scholar] [CrossRef]
- Chisholm, K.M.; Bohling, S.D.; Tsuchiya, K.D.; Paulson, V.A. A Malignant Mimicker: Features of Kikuchi-Fujimoto Disease in the Pediatric Population. Pediatr. Dev. Pathol. 2022, 25, 538–547. [Google Scholar] [CrossRef]
- Burns, J.; Pathania, S.; Griesser, R.; Norelli, J.; Gilgeours, K.; Tugetman, J.; Palumbo, N. Evaluation of a unilateral neck mass in a 16-year-old female: Kikuchi-Fujimoto disease with superimposed bacterial lymphadenitis. SAGE Open Med. Case Rep. 2020, 8, 2050313X20962640. [Google Scholar] [CrossRef]
- Park, H.S.; Sung, M.J.; Park, S.E.; Lim, Y.T. Kikuchi-Fujimoto disease of 16 children in a single center of Korea. Pediatr. Allergy Immunol. 2007, 18, 174–178. [Google Scholar] [CrossRef]
- Gómez, C.; Eraso, R.M.; Aguirre, C.A.; Pérez, M.D.P. Kikuchi-Fujimoto disease: Pediatric case presentation. Biomedica 2010, 30, 465–472. [Google Scholar] [CrossRef] [PubMed]
- Ojeda Lewis, E.; Vásquez Paz, H. Kikuchi-Fujimoto disease: Pediatric case report. Medwave 2015, 15, e6270. [Google Scholar] [CrossRef] [PubMed]
- Chen, J.S.; Chang, K.C.; Cheng, C.N.; Tsai, W.H.; Su, I.J. Childhood hemophagocytic syndrome associated with Kikuchi’s disease. Haematologica 2000, 85, 998–1000. [Google Scholar] [PubMed]
- Jun-Fen, F.; Chun-Lin, W.; Li, L.; Dayan, C.; Guan-Ping, D.; Fang, H. Kikuchi-Fujimoto disease manifesting as recurrent thrombocytopenia and Mobitz type II atrioventricular block in a 7-year-old girl: A case report and analysis of 138 Chinese childhood Kikuchi-Fujimoto cases with 10 years of follow-up in 97 patients. Acta Paediatr. 2007, 96, 1844–1847. [Google Scholar] [CrossRef] [PubMed]
- Altinel Açoğlu, E.; Sari, E.; Şahin, G.; Oğuz, M.M.; Akçaboy, M.; Zorlu, P.; Senel, S. Kikuchi-Fujimoto disease triggered by Salmonella enteritidis in a child with concurrent auto-immune thyroiditis and papilloedema. Paediatr. Int. Child Health 2018, 38, 298–301. [Google Scholar] [CrossRef] [PubMed]
- Bao, S.; Huang, H.; Jin, Y.; Ding, F.; Yang, Z.; Xu, X.; Liu, C.; Han, X.; Wang, L.; Lu, J.; et al. Optic Neuritis in a Pediatric Patient with Kikuchi-Fujimoto Disease: A Case Report and Review of the Literature. J. Inflamm. Res. 2024, 17, 2889–2895. [Google Scholar] [CrossRef] [PubMed]
- Guleria, S.; Gupta, A.; Pilania, R.K.; Pandiarajan, V.; Rawat, A.; Saikia, U.N.; Singh, S.; Suri, D. Kikuchi-Fujimoto Disease: An Under Recognized Cause of Fever with Lymphadenopathy. Indian J. Pediatr. 2020, 87, 85. [Google Scholar] [CrossRef] [PubMed]
- Hua, C.-Z.; Chen, Y.-K.; Chen, S.-Z.; Gu, W.-Z.; Shu, Q. Histiocytic Necrotizing Lymphadenitis Mimicking Acute Appendicitis in a Child: A Case Report. Front. Pediatr. 2021, 9, 682738. [Google Scholar] [CrossRef]
- Chowdhury, S.R. Extra-nodal Kikuchi Disease and Kikuchi Encephalitis. Indian Pediatr. 2019, 56, 881–882. [Google Scholar] [CrossRef]
- Gonçalves, L.F.; Debelenko, L.V.; Bhambhani, K.J.; Scheid, A.; Altinok, D. Histiocytic necrotizing lymphadenitis (Kikuchi-Fujimoto disease) with CNS involvement in a child. Pediatr. Radiol. 2014, 44, 234–238. [Google Scholar] [CrossRef]
- Sykes, J.A.; Badizadegan, K.; Gordon, P.; Sokol, D.; Escoto, M.; Ten, I.; Vyas, S.; Torres, A.; Levine, A.-M. Simultaneous Acquired Self-limited Hemophagocytic Lymphohistiocytosis and Kikuchi Necrotizing Lymphadenitis in a 16-Year-Old Teenage Girl: A Case Report and Review of the Literature. Pediatr. Emerg. Care 2016, 32, 792–798. [Google Scholar] [CrossRef] [PubMed]
- Emir, S.; Gögüş, S.; Güler, E.; Büyükpamukçu, M. Kikuchi-Fujimoto disease (histiocytic necrotizing lymphadenitis) confused with lymphoma in a child. Med. Pediatr. Oncol. 2001, 37, 546–548. [Google Scholar] [CrossRef] [PubMed]
- Tchidjou, H.K.; Macchiaiolo, M.; Ariganello, P.; Carducci, F.C.; De Vito, R.; De Benedetti, F.; D’argenio, P. Kikuchi-Fujimoto disease in patient with systemic phacomatosis pigmentovascularis. Blood Coagul. Fibrinolysis 2014, 25, 783–785. [Google Scholar] [CrossRef] [PubMed]
- Rossetti, E.; Appierto, L.; Bianchi, R.; Picardo, S. Kikuchi-Fujimoto disease and life-threatening upper airway obstruction. Paediatr. Anaesth. 2015, 25, 864–865. [Google Scholar] [CrossRef]
- Handa, A.; Nozaki, T.; Hosoya, Y.; Sakoda, A.; Suzuki, K. Multiple migratory recurrence of Kikuchi-Fujimoto disease. Pediatr. Int. 2016, 58, 1360–1362. [Google Scholar] [CrossRef]
- Arslan, A.; Kraus, C.L.; Izbudak, I. Optic Neuritis as an Isolated Presentation of Kikuchi–Fujimoto Disease in a Pediatric Patient. Balk. Med. J. 2020, 37, 172–173. [Google Scholar] [CrossRef] [PubMed]
- Öztürk, N.; Kılıç, İ.; Göçün, P.U.; Kaya, Z. Kikuchi-Fujimoto disease in a child who had a high suspicion of COVID-19 infection. J. Hematop. 2022, 15, 197–198. [Google Scholar] [CrossRef] [PubMed]
- Sevrin, F.; Beaujot, J.; Jaillard, A.; Fayard, C.; Forestier, A.; Defachelles, A.-S. Kikuchi-Fujimoto disease following SARS-CoV-2 vaccination in a patient with previous history of rhabdomyosarcoma. Pediatr. Blood Cancer 2023, 70, e30345. [Google Scholar] [CrossRef] [PubMed]
- Zhou, Y.; Shu, S. Histiocytic necrotizing lymphadenitis with autoimmune encephalitis in a child: A case report. Transl. Pediatr. 2024, 13, 1892–1898. [Google Scholar] [CrossRef] [PubMed]
- Lu, E.S.; Hoyek, S.; Yuan, M.; El Khatib, B.A.; Gonzalez, E.; Rothermel, H.; Gise, R.; Patel, N.A. Occlusive Retinal Vasculitis in a Pediatric Patient with Kikuchi-Fujimoto Disease and Sickle Cell Trait. Ophthalmic Surg. Lasers Imaging Retin. 2024, 55, 235–239. [Google Scholar] [CrossRef] [PubMed]
- Das, A.; Bhave, S.J.; Pal, B.; Arun, I.; Goel, G.; Bhattacharya, S.; Sen, S.; Das, J.; Bhattacharyya, P. Brucellosis Complicated by Kikuchi-Fujimoto Disease and Doxycycline-Induced Intracranial Hypertension. Indian J. Pediatr. 2019, 86, 1063–1064. [Google Scholar] [CrossRef] [PubMed]
- Abdu, A.; Pajkrt, D.; Bijker, E.M. Kikuchi Disease in Children: Case Report and Review of the Literature. Pediatr. Infect. Dis. J. 2022, 41, 199–204. [Google Scholar] [CrossRef]
- Seo, J.-H.; Lee, J.S.; Lee, E.-J.; Lee, J.-H.; Kim, J.P.; Woo, S.H.; Ahn, S.-K.; Kwon, O.J.; Hwa, J.S.; Park, J.J. Comparison of clinical features and EBV expression in histiocytic necrotizing lymphadenitis of children and adults. Int. J. Pediatr. Otorhinolaryngol. 2014, 78, 748–752. [Google Scholar] [CrossRef]
- Yen, H.-R.; Lin, P.-Y.; Chuang, W.-Y.; Chang, M.-L.; Chiu, C.-H. Skin manifestations of Kikuchi-Fujimoto disease: Case report and review. Eur. J. Pediatr. 2004, 163, 210–213. [Google Scholar] [CrossRef] [PubMed]
- Yasukawa, K.; Matsumura, T.; Sato-Matsumura, K.C.; Takahashi, T.; Fujioka, Y.; Kobayashi, H.; Shimizu, H. Kikuchi’s disease and the skin: Case report and review of the literature. Br. J. Dermatol. 2001, 144, 885–889. [Google Scholar] [CrossRef] [PubMed]
- Kim, K.J.; Jee, M.S.; Chang, S.E.; Choi, J.H.; Sung, K.J.; Moon, K.C.; Koh, J.K. Kikuchi-Fujimoto disease with papulopustular skin manifestations. Clin. Exp. Dermatol. 2003, 28, 142–144. [Google Scholar] [CrossRef] [PubMed]
- Kim, J.H.; Kim, Y.B.; In SIl Kim, Y.C.; Han, J.H. The cutaneous lesions of Kikuchi’s disease: A comprehensive analysis of 16 cases based on the clinicopathologic, immunohistochemical, and immunofluorescence studies with an emphasis on the differential diagnosis. Hum. Pathol. 2010, 41, 1245–1254. [Google Scholar] [CrossRef]
- Spies, J.; Foucar, K.; Thompson, C.T.; LeBoit, P.E. The histopathology of cutaneous lesions of Kikuchi’s disease (necrotizing lymphadenitis): A report of five cases. Am. J. Surg. Pathol. 1999, 23, 1040–1047. [Google Scholar] [CrossRef] [PubMed]
- Paradela, S.; Lorenzo, J.; Martínez-Gómez, W.; Yebra-Pimentel, T.; Valbuena, L.; Fonseca, E. Interface dermatitis in skin lesions of Kikuchi-Fujimoto’s disease: A histopathological marker of evolution into systemic lupus erythematosus? Lupus 2008, 17, 1127–1135. [Google Scholar] [CrossRef] [PubMed]
- Frankel, A.M.; Frenkel, S.; Aminlari, A.; Chan, T. Kikuchi Disease: A Case Report. J. Emerg. Med. 2020, 59, 927–930. [Google Scholar] [CrossRef]
- Yen, A.; Fearneyhough, P.; Raimer, S.S.; Hudnall, S.D. EBV-associated Kikuchi’s histiocytic necrotizing lymphadenitis with cutaneous manifestations. J. Am. Acad. Dermatol. 1997, 36, 342–346. [Google Scholar] [CrossRef]
- Kuo, T.T. Kikuchi’s disease (histiocytic necrotizing lymphadenitis). A clinicopathologic study of 79 cases with an analysis of histologic subtypes, immunohistology, and DNA ploidy. Am. J. Surg. Pathol. 1995, 19, 798–809. [Google Scholar] [CrossRef]
- Yu, R.-B.; Chen, Y.-J.; Chang, C.-H.; Chen, Y.-L.; Chen, J.-W. Kikuchi-Fujimoto Disease Associated with Mycoplasma Pneumoniae Infection. Ear Nose Throat J. 2024, 103, NP223–NP225. [Google Scholar] [CrossRef] [PubMed]
- Müller, C.S.L.; Vogt, T.; Becker, S.L. Kikuchi-Fujimoto Disease Triggered by Systemic Lupus Erythematosus and Mycoplasma pneumoniae Infection-A Report of a Case and a Review of the Literature. Am. J. Dermatopathol. 2021, 43, 202–208. [Google Scholar] [CrossRef]
- Bosch, X.; Guilabert, A.; Miquel, R.; Campo, E. Enigmatic Kikuchi-Fujimoto disease: A comprehensive review. Am. J. Clin. Pathol. 2004, 122, 141–152. [Google Scholar] [CrossRef] [PubMed]
- Pepe, F.; Disma, S.; Teodoro, C.; Pepe, P.; Magro, G. Kikuchi-Fujimoto disease: A clinicopathologic update. Pathologica 2016, 108, 120–129. [Google Scholar]
- Mehrian, P.; Doroudinia, A.; Shams, M.; Alizadeh, N. Distribution and Characteristics of Intrathoracic Lymphadenopathy in TB/HIV Co-Infection. Infect. Disord. Drug Targets 2019, 19, 414–420. [Google Scholar] [CrossRef]
- Louissaint, A.J.; Ferry, J.A.; Soupir, C.P.; Hasserjian, R.P.; Harris, N.L.; Zukerberg, L.R. Infectious mononucleosis mimicking lymphoma: Distinguishing morphological and immunophenotypic features. Mod. Pathol. 2012, 25, 1149–1159. [Google Scholar] [CrossRef]
- Almond, L.M.; Charalampakis, M.; Ford, S.J.; Gourevitch, D.; Desai, A. Myeloid Sarcoma: Presentation, Diagnosis, and Treatment. Clin. Lymphoma Myeloma Leuk. 2017, 17, 263–267. [Google Scholar] [CrossRef] [PubMed]
- Bowers, S.; Warshaw, E.M. Pityriasis lichenoides and its subtypes. J. Am. Acad. Dermatol. 2006, 55, 556–557. [Google Scholar] [CrossRef] [PubMed]
- Rashtak, S.; Pittelkow, M.R. Skin involvement in systemic autoimmune diseases. Curr. Dir. Autoimmun. 2008, 10, 344–358. [Google Scholar] [PubMed]




Disclaimer/Publisher’s Note: The statements, opinions and data contained in all publications are solely those of the individual author(s) and contributor(s) and not of MDPI and/or the editor(s). MDPI and/or the editor(s) disclaim responsibility for any injury to people or property resulting from any ideas, methods, instructions or products referred to in the content. |
© 2025 by the authors. Published by MDPI on behalf of the European Society of Dermatopathology. Licensee MDPI, Basel, Switzerland. This article is an open access article distributed under the terms and conditions of the Creative Commons Attribution (CC BY) license (https://creativecommons.org/licenses/by/4.0/).
Share and Cite
Soto-Moreno, A.; Vílchez-Márquez, F.; Narváez-Simón, M.; Castro-Martín, J.; Ramos-Pleguezuelos, F.M.; Soto-Díaz, A.; Tercedor-Sánchez, J.; Arias-Santiago, S. Pediatric Kikuchi–Fujimoto Disease: Case Report and Review of Cutaneous and Histopathologic Features in Childhood. Dermatopathology 2025, 12, 7. https://doi.org/10.3390/dermatopathology12010007
Soto-Moreno A, Vílchez-Márquez F, Narváez-Simón M, Castro-Martín J, Ramos-Pleguezuelos FM, Soto-Díaz A, Tercedor-Sánchez J, Arias-Santiago S. Pediatric Kikuchi–Fujimoto Disease: Case Report and Review of Cutaneous and Histopathologic Features in Childhood. Dermatopathology. 2025; 12(1):7. https://doi.org/10.3390/dermatopathology12010007
Chicago/Turabian StyleSoto-Moreno, Alberto, Francisco Vílchez-Márquez, María Narváez-Simón, Julia Castro-Martín, Francisco Manuel Ramos-Pleguezuelos, Agustín Soto-Díaz, Jesús Tercedor-Sánchez, and Salvador Arias-Santiago. 2025. "Pediatric Kikuchi–Fujimoto Disease: Case Report and Review of Cutaneous and Histopathologic Features in Childhood" Dermatopathology 12, no. 1: 7. https://doi.org/10.3390/dermatopathology12010007
APA StyleSoto-Moreno, A., Vílchez-Márquez, F., Narváez-Simón, M., Castro-Martín, J., Ramos-Pleguezuelos, F. M., Soto-Díaz, A., Tercedor-Sánchez, J., & Arias-Santiago, S. (2025). Pediatric Kikuchi–Fujimoto Disease: Case Report and Review of Cutaneous and Histopathologic Features in Childhood. Dermatopathology, 12(1), 7. https://doi.org/10.3390/dermatopathology12010007

