Next Article in Journal
Uncommon Collision Tumors: Dermoscopic and Histopathological Features of Basal Cell Carcinoma Overlying Dermatofibroma
Previous Article in Journal
Hypertrophic Lichen Planus and Hypertrophic Skin Lesions Associated with Histological Lichenoid Infiltrate: A Case Report and Literature Review
 
 
Font Type:
Arial Georgia Verdana
Font Size:
Aa Aa Aa
Line Spacing:
Column Width:
Background:
Review

Postherpetic Pseudolymphomatous Angiosarcoma Concealed Within Milia en Plaque: Expanding the Spectrum of Wolf Isotopic Response with a Literature Review

by
Marina Corral-Forteza
1,
Noelia Pérez-Muñoz
2,3 and
Maria-Teresa Fernández-Figueras
2,3,*
1
Grupo Quironsalud, Hospital Universitari Sagrat Cor, 08029 Barcelona, Spain
2
Grupo Quironsalud, Hospital Universitari General de Catalunya, 08195 Barcelona, Spain
3
Department of Anatomic Pathology, Faculty of Medicine and Health Sciences, Campus Sant Cugat, Universitat Internacional de Catalunya, 08195 Barcelona, Spain
*
Author to whom correspondence should be addressed.
Dermatopathology 2025, 12(2), 9; https://doi.org/10.3390/dermatopathology12020009
Submission received: 2 February 2025 / Revised: 14 March 2025 / Accepted: 19 March 2025 / Published: 22 March 2025
(This article belongs to the Section Clinico-Pathological Correlation in Dermatopathology)

Abstract

The Wolf isotopic response (WIR) refers to the development of cutaneous lesions in areas of previously healed but unrelated skin disease. While most are observed in healed herpes zoster, WIR has been reported in various other contexts. Affected areas are believed to exhibit immune dysregulation, lymphatic dysfunction, and altered neuromediator activity, increasing susceptibility to inflammatory, neoplastic, and infectious conditions. This phenomenon aligns with the broader concept of the “immunocompromised district”, which also encompasses the Koebner phenomenon and its reverse. Herein, we present the case of a 96-year-old woman who developed multiple cysts and comedones at the site of a resolved herpes zoster. Due to persistent and refractory inflammation, curettage was performed, and histopathological examination revealed angiosarcoma with a pseudolymphomatous reaction interspersed among the cysts. The coexistence of multiple types of WIR is rare but not unprecedented, highlighting the importance of recognizing the diverse pathologic conditions that can arise in such settings. In this review, we explore the historical evolution of terminology used to describe lesions in vulnerable skin areas and related phenomena. We also provide an updated overview of current pathogenic theories and present a comprehensive compilation of postherpetic reactions reported to date.

1. Introduction

Wolf isotopic response (WIR) is defined as the appearance of new skin lesions at the site of a previously healed, unrelated skin disease [1]. This intriguing phenomenon was first described in 1955 by Wyburn-Mason [2], but it remained relatively unrecognized until 1995 when Wolf formally established the concept and introduced the term “isotopic response [3]”. This terminology was intended to distinguish it from the Koebner isomorphic phenomenon, in which a disease develops in a previously healthy area that has undergone inflammation due to trauma, infection, or other conditions. Until that moment, cases of WIR had traditionally been considered variants of the Koebner phenomenon [4]. The terms “isotopic” and “isomorphic” highlight the fundamental differences between these two reactions “isotopic” refers to the development of two distinct diseases at the same site, and “isomorphic” (from Greek, “equal shape”) emphasizes that the new condition reproduces the outline of the preceding lesion [5].
The classification of WIR remains a topic of ongoing debate in dermatology. Over time, a diverse and sometimes inconsistent terminology has emerged in the literature, with terms such as locus minoris resistentiae, isomorphic, isopathic response, and pseudoisomorphic response being used to describe similar phenomena [6]. Additionally, the distinction between WIR and the Koebner phenomenon has been widely questioned, with some experts strongly disputing their classification as separate entities [4].
In 2014, Ruocco et al. introduced the concept of the immunocompromised cutaneous district (ICD) to unify these terminologies and provide a broader pathophysiological framework encompassing WIR and related phenomena [6]. The ICD model emphasizes localized immune dysregulation as a key factor in creating vulnerable skin regions predisposed to secondary dermatological conditions. However, growing evidence suggests that WIR development is influenced by additional mechanisms, including structural alterations, neural dysfunction, and vascular damage [6].
A wide range of conditions has been proposed to predispose the WIR, including congenital malformations such as primary lymphedema or skin mosaicisms as well as acquired conditions such as secondary lymphedema, neural diseases, trauma, burns, tattoos, and intradermal vaccinations [6]. However, the most common underlying causes of this localized vulnerability are herpetic infections, with herpes zoster being far more frequent than herpes simplex. The link between herpetic infections and WIR is particularly significant, as these infections appear to induce long-term alterations in the cutaneous immune microenvironment. Even after the initial infection resolves, the affected skin remains in a localized immunocompromised state, making it more susceptible to the development of new, unrelated dermatological conditions.
The spectrum of WIR manifestations following herpetic infections is remarkably diverse, encompassing a variety of skin disorders such as granulomatous reactions, lichenoid eruptions, psoriasis, and even malignant transformations. Additionally, these compromised areas may exhibit an increased susceptibility to metastatic deposits or local involvement by systemic lymphoproliferative disorders. Furthermore, the heightened incidence of lesions in these compromised regions can lead to the coexistence of multiple pathologic conditions at the same site, posing significant diagnostic and therapeutic challenges for dermatopathologists and clinicians [7].

2. Case Report

The 96-year-old woman had a history of herpes zoster involving the right side of her face, corresponding to the second branch of the trigeminal nerve, which resolved spontaneously. Two years later, she developed numerous milia and comedones in the same area, accompanied by edema, erythema, serous transudation, and severe pain. Magnetic resonance imaging revealed microcystic subcutaneous lesions in the right infraorbital region. Based on these findings, a clinical diagnosis of inflamed milia en plaque was made. Despite treatment with topical agents and oral antibiotics, only partial improvement was achieved, necessitating surgical curettage.
Histopathological examination of the curetted material, composed of numerous skin fragments, revealed features of inflamed milia en plaque (Figure 1). In many fragments, an abundant lymphocytic infiltrate obscured a population of highly atypical cells arranged in cords and sheets that co-expressed CD31 and D2-40 (Figure 2), an immunoprofile characteristic of angiosarcoma.
Additionally, occasional cavities lined by atypical endothelial cells were observed, containing free-floating tumor aggregates with central vessels and abundant stromal lymphocytes (Figure 3). This finding corresponds to the “fish in the creek” pattern, which is also characteristic of angiosarcoma [8]. These features led to a final diagnosis of pseudolymphomatous angiosarcoma associated with multiple comedones.
Given the patient’s advanced age and her preference, conservative management with palliative care was chosen.

3. Discussion

The clinicopathological case we present is paradigmatic of WIR, with the coexistence of three distinct pathologic conditions at the site of a healed herpes zoster infection: angiosarcoma, pseudolymphomatous infiltrates, and comedones [9,10,11]. The occurrence of multiple synchronous WIR pathology conditions is rare but not unique, with reports documenting two [12] or even three [7] pathologic conditions at the same site. In this patient, the pseudolymphomatous infiltrates were likely related to WIR, given the well-documented inflammatory processes associated with this phenomenon. However, an alternative explanation could attribute the infiltrates to a rare pseudolymphomatous variant of angiosarcoma [13], with the lymphocytic component being primarily tumor-related rather than part of a WIR. While definitive proof is lacking, the rarity of this angiosarcoma variant and the presence of multiple simultaneous entities in the same site strongly suggest that WIR played a role in driving the inflammatory response. Conversely, comedones have not been previously described in association with angiosarcoma, which has been linked only to verrucous epidermal hyperplasia [14].
The exact etiopathogenesis of WIR remains unclear. Various factors have been proposed, and it is likely that multiple mechanisms are involved in different cases, which are listed as follows:
  • Viral persistence: This may explain some postherpetic reactions since viral DNA has been isolated in certain cases. However, after herpetic infections resolve, viral DNA is no longer detected. This mechanism likely applies only to reactions occurring within a short interval (less than four weeks) after the herpes infection [6,15].
  • Lymphovascular microvasculature alteration: Damage to the microcirculation can render an area unable to respond adequately to subsequent insults, leading to localized inflammation at the same site [6].
  • Local immune dysregulation: The initial skin disease may impair normal immunological functions in the affected area. Altered regional immunity, including the contribution of resident memory T cells, could predispose the site to new cutaneous diseases following a trigger [6,16].
  • Neural injury: Damaged dermal nerve fibers can contribute to disease pathogenesis, either directly through neuropeptide release or indirectly via immune system activation [6]. Specifically, neuropeptides such as nerve growth factor (NGF), which regulates skin epithelization, angiogenesis, and the formation of an extracellular matrix [17], as well as substance P from damaged nerve endings, which might play a crucial role in inducing the development of epidermal changes [18].
In addition, a plausible explanation for the milia could be related to sebaceous gland lipogenesis stimulated by substance P, followed by the proliferation of Propionibacterium acnes [11].
Postherpetic reactions represent the most common scenario for WIR, and a wide spectrum of pathologic conditions have been described in this context. Ruocco and colleagues [6] collected a large series of cases, which has since been expanded with additional reports. We provide an updated list of the inflammatory, infectious, and neoplastic postherpetic reactions reported to date, arranged in alphabetical order to facilitate the search for their histopathological features and ensure none are overlooked (Table 1).
Most WIR cases involve inflammatory dermatoses, granulomatous reactions being the most frequent. The spectrum also includes infections, reactive processes such as milia or pseudolymphomas, and tumors. Among the latter, vascular lesions, including angiosarcoma, have occasionally been reported in areas previously affected by herpes zoster [9,10,19,20].
Table 1. Postherpetic Wolf isotopic responses. Inflammatory, infectious, and neoplastic postherpetic reactions reported up to date listed in alphabetical order.
Table 1. Postherpetic Wolf isotopic responses. Inflammatory, infectious, and neoplastic postherpetic reactions reported up to date listed in alphabetical order.
Inflammatory DiseasesInfections
AcneMolluscum contagiosum
Acneiform lesionsWarts and papillomata
Actinic granuloma (O’Brien) [21]Candidiasis
Bullous pemphigoid [18]Dermatophytosis
Chronic cutaneous graft-versus-host disease
Chronic small vessel vasculitis (Extrafacial eosinophilic granuloma or Lever granuloma) [22]
Chronic urticaria [23]
Comedones
Comedonic-microcystic reactions
Contact dermatitis
“Dysimmune” reactions
Eosinophilic dermatosis
Erythema annulare centrifugum
Fibroelastolytic papulosis
Folliculitis (granulomatous or eosinophilic [24])Tumors and pseudotumors
Follicular mucinosis [25]Angiosarcoma
FurunculosisBasal cell carcinoma
Granuloma annulare [26]Basosquamous carcinoma
Granulomatous folliculitisBenign lymphangioendothelioma [19]
Granulomatous reactions (necrotizing or non-necrotizing)Bowen disease
Granulomatous vasculitisBreast carcinoma
Grover disease (personal case)Kaposi sarcoma
InfectionsLeukemia
KeloidLymphangiogenesis (pseudotumoral) [19]
Lichen planusLymphomas
Lichen sclerosus et atrophicus-morpheaMastocytosis [27]
Lichen simplexMetastases (from breast carcinoma and others)
Lichenoid dermatitisPseudolymphoma
Linear IgA dermatosisRosai-Dorfman disease
Lupus erythematosus [28]Squamous cell carcinoma
MiliaSyringoid eccrine carcinoma [18]
MucinosisTufted Angioma [29]
Nodular solar degeneration
Palpable purpura
Pityriasis rosea (atypical) [30]
Prurigo-like eruption
Psoriasis
Reactive perforating collagenosis
Rosacea
Sarcoidosis
Unilateral nevoid telangiectasia [31]
Vitiligo [32]
Xanthoma [31]
The history of WIR exemplifies the ongoing evolution of knowledge in dermatological sciences. What began as a keen clinical observation, initially imprecise but insightful, gradually evolved into a refined model of WIR, which has been expanded and redefined over time. As our understanding of the intricate relationship between skin integrity, immune function, and disease manifestations has evolved, certain subclassifications of cutaneous reactions now appear redundant. A logical approach involves categorizing these reactions based on their proposed pathophysiological mechanisms, leading to broader, more integrative concepts, such as the ICD, which provide a unifying framework for these phenomena.
This process began in 1955 when Wyburn-Mason first published a series of cases highlighting an apparent increased risk of malignant changes in skin previously affected by herpes zoster [2]. He described 10 cases on the face and 15 on the thorax. Notably, while the facial cases involved cutaneous malignancies (five basal cell carcinomas, four squamous cell carcinomas, and two cases with mixed features), only one of the thoracic cases was a cutaneous tumor (squamous cell carcinoma). The remaining 14 cases were mammary gland carcinomas that, despite involving the same breast whose overlying skin had been previously affected by herpes zoster, would not be considered WIR by the present standards, but rather a coincidental occurrence.
The term isotopic response was later coined by Wolf in 1985 to describe this phenomenon, emphasizing the development of a new, unrelated skin disorder at the exact site of a previous, healed skin condition. However, the word isotopic is also widely used in medical fields to refer to radioactive isotopes, a coincidence that may have led to confusion and difficulties in retrieving specific scientific literature on this topic. To avoid ambiguity, the eponym Wolf was added, making Wolf isotopic response (WIR) the preferred and most used term.
Today, WIR is recognized as a distinct dermatological entity, with a wide range of predisposing conditions. These include congenital malformations (such as primary lymphedema, and skin mosaicisms) and acquired conditions (such as secondary lymphedema, neural diseases, trauma, burns, tattoos, or intradermal vaccinations). Its clinical significance underscores the importance of considering the dermatological history of every patient when evaluating new skin lesions.
Distinguishing WIR and Koebner’s isomorphic response or its reverse, the so-called Renboek phenomenon, remains relevant for the sake of diagnostic precision. However, overlapping pathophysiological mechanisms likely exist [4], including increased local expression of nerve growth factor (NGF) and vascular endothelial growth factor (VEGF), which may contribute to disease susceptibility in affected areas [33]. Clinicians and dermatopathologists sometimes struggle to classify their patients’ conditions. Table 2 provides definitions and examples to aid in the traditional classification of these entities and, most importantly, to distinguish them from pathergy.
In 2014, Ruocco et al. introduced the ICD concept, providing a unifying pathophysiological framework that encompasses WIR and related conditions. However, this terminology has not yet been widely introduced into clinical practice.

4. Conclusions

Shifting from traditional classifications exposed in Table 2 to newer frameworks where most of these reactions are grouped under the umbrella term of the Koebner phenomenon or the newer terminology of ICD, requires time. It will be necessary to overcome inertia and dismantle long-standing paradigms. In the meantime, the specific terminology used in clinical practice is of secondary importance, as long as scientific progress continues to refine our understanding of their likely shared underlying mechanisms and ensures that therapeutic strategies remain effective and evidence-based.
The clinicopathological case included in this review exemplifies the importance of recognizing the diverse spectrum of postherpetic WIR and closely monitoring patients who develop new lesions at previously healed sites of another skin disease. This is particularly critical given the potential for malignant tumors to develop. Early histopathological studies with adequately sized specimens are crucial to enable a prompt diagnosis. In the patient we are reporting, a superficial shave biopsy would have likely confirmed the presence of milia, comedones, and lymphocytic infiltrates, but could have missed the angiosarcoma. Dermatopathologists should be familiar with the patterns of WIR and remember that some patients may develop multiple synchronous lesions requiring meticulous evaluation.

5. Future Directions

Recent advances in understanding the complex interplay between nerve stimuli—mediated by neuropeptides and other soluble neurotransmitters—and the dermoepidermal tissues are shedding light on wound repair processes and the pathogenesis of inflammatory cutaneous diseases. These findings are expected to provide valuable insights into the physiopathology of WIR and, more broadly, the concept of the “immunocompromised district”. Grouping phenomena such as WIR, the Koebner phenomenon, and similar reactions under this unified concept offer a cohesive framework that may facilitate further research and enhance our understanding of these processes.

Funding

This research received no external funding.

Acknowledgments

We want to express our gratitude to Luis Puig for his constructive feedback that has improved the clarity of this review.

Conflicts of Interest

The authors declare no conflict of interest.

References

  1. Wolf, R.; Wolf, D.; Ruocco, E.; Brunetti, G.; Ruocco, V. Wolf’s isotopic response. Clin. Dermatol. 2011, 29, 237–240. [Google Scholar]
  2. Wyburn-Mason, R. Malignant change arising in tissues affected by herpes. Br. Med. J. 1955, 2, 1106–1109. [Google Scholar] [PubMed]
  3. Wolf, R.; Brenner, S.; Ruocco, V.; Filioli, F.G. Isotopic response. Int. J. Dermatol. 1995, 34, 341–348. [Google Scholar]
  4. Happle, R.; Kluger, N. Koebner’s sheep in Wolf’s clothing: Does the isotopic response exist as a distinct phenomenon? J. Eur. Acad. Dermatol. Venereol. 2018, 32, 542–543. [Google Scholar] [PubMed]
  5. Sanchez, D.P.; Sonthalia, S. Koebner Phenomenon. In StatPearls; StatPearls Publishing: Treasure Island, FL, USA, 2025. Available online: https://www.ncbi.nlm.nih.gov/books/NBK553108/ (accessed on 8 February 2025).
  6. Ruocco, V.; Ruocco, E.; Piccolo, V.; Brunetti, G.; Guerrera, L.P.; Wolf, R. The immunocompromised district in dermatology: A unifying pathogenic view of the regional immune dysregulation. Clin. Dermatol. 2014, 32, 569–576. [Google Scholar]
  7. Jenkins, A.M.; Skinner, D.; North, J. Postherpetic isotopic responses with 3 simultaneously occurring reactions following herpes zoster. Cutis 2018, 101, 195–197. [Google Scholar]
  8. Schmidt, A.P.; Tjarks, B.J.; Lynch, D.W. Gone fishing: A unique histologic pattern in cutaneous angiosarcoma. Cutis 2018, 101, 270–272. [Google Scholar] [PubMed]
  9. Hudson, C.P.; Hanno, R.; Callen, J.P. Cutaneous angiosarcoma in a site of healed herpes zoster. Int. J. Dermatol. 1984, 23, 404–407. [Google Scholar]
  10. Kwon, C.W.; Stephens, D.M.; Gilmore, E.S.; Tausk, F.A.; Scott, G.A. Cutaneous Pseudolymphoma Arising as Wolf’s Post-Herpetic Isotopic Response. JAMA Dermatol. 2017, 153, 1198–1200. [Google Scholar]
  11. Sanchez-Salas, M.P. Appearance of comedones at the site of healed herpes zoster: Wolf’s isotopic response. Int. J. Dermatol. 2011, 50, 633–634. [Google Scholar]
  12. Elgoweini, M.; Blessing, K.; Jackson, R.; Duthie, F.; Burden, A.D. Coexistent granulomatous vasculitis and leukaemia cutis in a patient with resolving herpes zoster. Clin. Exp. Dermatol. 2011, 36, 749–751. [Google Scholar] [PubMed]
  13. Requena, L.; Santonja, C.; Stutz, N.; Kaddu, S.; Weenig, R.H.; Kutzner, H.; Menzel, T.; Cerroni, L. Pseudolymphomatous cutaneous angiosarcoma: A rare variant of cutaneous angiosarcoma readily mistaken for cutaneous lymphoma. Am. J. Dermatopathol. 2007, 29, 342–350. [Google Scholar] [PubMed]
  14. Diaz-Cascajo, C.; Weyers, W.; Borghi, S.; Reichel, M. Verrucous angiosarcoma of the skin: A distinct variant of cutaneous angiosarcoma. Histopathology 1998, 32, 556–561. [Google Scholar]
  15. Kuet, K.; Tiffin, N.; McDonagh, A. An unusual eruption following herpes zoster infection. Clin. Exp. Dermatol. 2019, 44, 197–199. [Google Scholar]
  16. Ise, M.; Tanese, K.; Adachi, T.; Du, W.; Amagai, M.; Ohyama, M. Postherpetic Wolf’s isotopic response: Possible contribution of resident memory T cells to the pathogenesis of lichenoid reaction. Br. J. Dermatol. 2015, 173, 1331–1334. [Google Scholar]
  17. El Baassiri, M.G.; Dosh, L.; Haidar, H.; Gerges, A.; Baassiri, S.; Leone, A.; Rappa, F.; Jurjus, A. Nerve growth factor and burn wound healing: Update of molecular interactions with skin cells. Burns 2023, 49, 989–1002. [Google Scholar]
  18. Wang, T.; Zhang, M.; Zhang, Y.; Zhang, S.; Qu, T.; Liu, Y.; Jin, H. Wolf’s Isotopic Response after Herpes Zoster Infection: A Study of 24 New Cases and Literature Review. Acta Derm. Venereol. 2019, 99, 953–959. [Google Scholar]
  19. Schnebelen, A.M.; Page, J.; Gardner, J.M.; Shalin, S.C. Benign lymphangioendothelioma presenting as a giant flank mass. J. Cutan. Pathol. 2015, 42, 217–221. [Google Scholar] [PubMed]
  20. Cai, Y.-T.; Xu, H.; Guo, Y.; Guo, N.-N.; Li, Y.-M. A Case Report on Acquired Tufted Angioma with Severe Pain after Healed Herpes Zoster. Chin. Med. J. 2018, 131, 2378–2379. [Google Scholar]
  21. Kim, Y.J.; Kim, S.K.; Kim, Y.C.; Kang, H.Y. Actinic Granuloma Developed in a Herpes Zoster Scar. Ann. Dermatol. 2007, 19, 35–37. [Google Scholar]
  22. Melgar, E.; Henry, J.; Valois, A.; Dubois-Lacour, M.B.; Truchetet, F.; Cribier, B.; Cuny, J.F. Extra-facial Lever granuloma on a herpes zoster scar: Wolf’s isotopic response. Ann. Dermatol. Venereol. 2018, 145, 354–358. [Google Scholar]
  23. Lee, H.J.; Ahn, W.K.; Chae, K.S.; Ha, S.J.; Kim, J.W. Localized chronic urticaria at the site of healed herpes zoster. Acta Derm. Venereol. 1999, 79, 168. [Google Scholar] [PubMed]
  24. Xv, L.; Wang, B.; Zhu, Q.; Zhang, G. A Case of Isotopic Response Presented with Eosinophilic Pustular Folliculitis. Clin. Cosmet. Investig. Dermatol. 2023, 16, 1749–1752. [Google Scholar] [CrossRef]
  25. Blakey, B.L.; Gratrix, M.L. Reactive benign follicular mucinosis: A report of 2 cases. Cutis 2012, 89, 266–268. [Google Scholar]
  26. Rademaker, R.; van Dalen, E.; Ossenkoppele, P.M.; Knuiman, G.J.; Kemme, S.M. Granuloma annulare after herpes zoster: Wolf’s isotopic response. Ned. Tijdschr. Voor Geneeskd. 2021, 165, D5344. [Google Scholar]
  27. Sarsik, S.; Soliman, S.H.; Elhalaby, R.E. Unusual presentation of telangiectasia macularis eruptiva perstans at the site of healed herpes zoster; Wolf’s isotopic response. Australas. J. Dermatol. 2023, 64, e237–e2440. [Google Scholar]
  28. Darsha, A.; Oldenburg, R.; Hinds, B.; Paravar, T. A crack in the armor: Wolf isotopic response manifesting as cutaneous lupus. Dermatol. Online J. 2022, 28, 8. [Google Scholar] [CrossRef]
  29. Rahman, S.; Daveluy, S. Pathergy Test. In StatPearls; StatPearls Publishing: Treasure Island, FL, USA, 2025. Available online: https://www.ncbi.nlm.nih.gov/books/NBK558909/ (accessed on 9 February 2025).
  30. Ustuner, P.; Balevi, A.; Ozdemir, M.; Türkmen, İ. Atypical pityriasis rosea presenting with a herald patch lesion on the healed site of herpes zoster: Wolf’s isotopic response. Eur. J. Dermatol. 2016, 26, 102–103. [Google Scholar]
  31. Jaka-Moreno, A.; López-Pestaña, A.; López-Núñez, M.; Ormaechea-Pérez, N.; Vildosola-Esturo, S.; Tuneu-Valls, A.; Lobo-Morán, C. Wolf’s Isotopic Response: A Series of 9 Cases. Actas Dermo-Sifiliogr. 2012, 103, 798–805. [Google Scholar]
  32. Cheng, J.-R.; Mao, H.; Wang, Y.-J.; Hui, H.-Z.; Zheng, J.; Shi, B.-J. Postherpetic Vitiligo: A Wolf’s Isotopic Response. Indian J. Dermatol. 2024, 69, 195–196. [Google Scholar] [PubMed]
  33. Ji, Y.-Z.; Liu, S.-R. Koebner phenomenon leading to the formation of new psoriatic lesions: Evidences and mechanisms. Biosci. Rep. 2019, 39, BSR20193266. [Google Scholar] [CrossRef]
  34. Lo Schiavo, A.; Ruocco, E.; Russo, T.; Brancaccio, G. Locus minoris resistentiae: An old but still valid way of thinking in medicine. Clin. Dermatol. 2014, 32, 553–556. [Google Scholar] [CrossRef]
  35. Zuehlke, R.L.; Rapini, R.P.; Puhl, S.C.; Ray, T.L. Dermatitis in loco minoris resistentiae. J. Am. Acad. Dermatol. 1982, 6, 1010–1013. [Google Scholar] [CrossRef]
  36. Sagher, F.; Liban, E.; Kocsard, E. Specific Tissue Alteration in Leprous Skin: VI. “Isopathic Phenomenon” Following BCG Vaccination in Leprous Patients. AMA Arch. Dermatol. Syphilol. 1954, 70, 631–639. [Google Scholar] [CrossRef]
  37. Lewandowsky, F.; Lutz, W. Ein Fall einer bisher nicht beschriebenen Hauterkrankung (Epidermodysplasia verruciformis). Arch. Für Dermatol. Und Syph. 1922, 141, 193–203. [Google Scholar] [CrossRef]
  38. Ghosh, S.; Jain, V.K. “Pseudo” Nomenclature in Dermatology: What’s in a Name? Indian J. Dermatol. 2013, 58, 369–376. [Google Scholar] [CrossRef]
  39. Berthelot, C.; Dickerson, M.C.; Rady, P.; He, Q.; Niroomand, F.; Tyring, S.K.; Pandya, A.G. Treatment of a patient with epidermodysplasia verruciformis carrying a novel EVER2 mutation with imiquimod. J. Am. Acad. Dermatol. 2007, 56, 882–886. [Google Scholar] [CrossRef]
  40. Happle, R. The Renbok phenomenon: An inverse Kobner reaction observed in alopecia areata. Eur. J. Dermatol. 1991, 2, 39–40. [Google Scholar]
  41. Ovcharenko, Y.; Litus, O.; Khobzey, K.; Serbina, I.; Zlotogorski, A. Inverse Koebner reaction observed in alopecia areata: The Renboek phenomenon. J. Investig. Dermatol. 2013, 133, 1406. [Google Scholar]
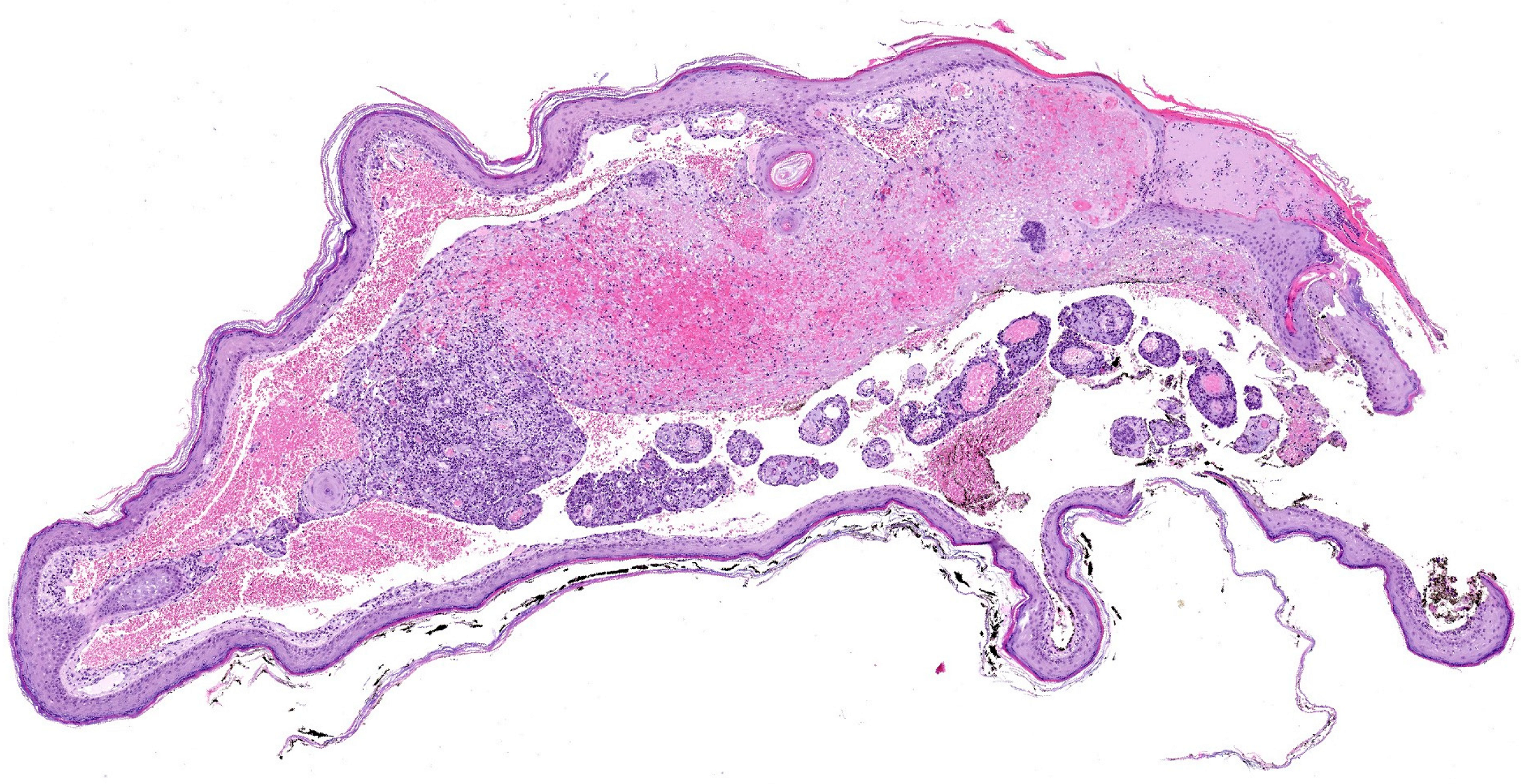
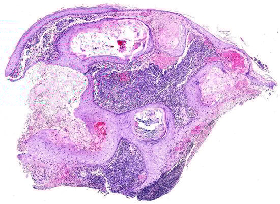
Figure 1. Comedones and milia cysts consistent with milia en plaque, accompanied by a dense interstitial lymphoid infiltrate. At low magnification, the interconnected vascular channels and solid areas of angiosarcoma, located in the interstitial spaces, can be easily overlooked.
Figure 1. Comedones and milia cysts consistent with milia en plaque, accompanied by a dense interstitial lymphoid infiltrate. At low magnification, the interconnected vascular channels and solid areas of angiosarcoma, located in the interstitial spaces, can be easily overlooked.
Dermatopathology 12 00009 g001
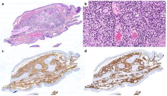
Figure 2. In many fragments, a population of atypical cells with occasional mitoses was observed forming cords and loose masses, obscured by the lymphoid infiltrate (a,b). These cells showed immunohistochemical positivity for CD31 (c) and D2-40 (d).
Figure 2. In many fragments, a population of atypical cells with occasional mitoses was observed forming cords and loose masses, obscured by the lymphoid infiltrate (a,b). These cells showed immunohistochemical positivity for CD31 (c) and D2-40 (d).
Dermatopathology 12 00009 g002
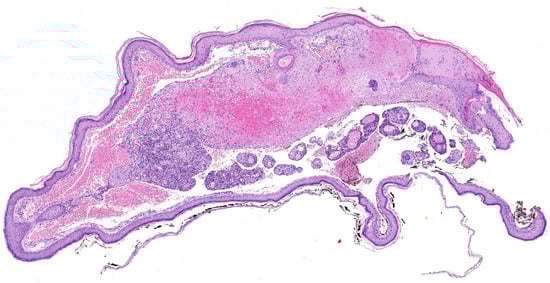
Figure 3. A large cavity in one fragment is lined with atypical endothelial cells and contains free-floating tumor aggregates. Each aggregate presents a central vessel, is surrounded by stroma rich in lymphocytes, and is covered by endothelial cells at the periphery. This finding, often compared to the “fish-in-the-creek” pattern, is characteristic of angiosarcoma.
Figure 3. A large cavity in one fragment is lined with atypical endothelial cells and contains free-floating tumor aggregates. Each aggregate presents a central vessel, is surrounded by stroma rich in lymphocytes, and is covered by endothelial cells at the periphery. This finding, often compared to the “fish-in-the-creek” pattern, is characteristic of angiosarcoma.
Dermatopathology 12 00009 g003
Table 2. Terminology for lesions developed in vulnerable areas of the skin and similar responses. Definitions and examples of different cutaneous reactions in vulnerable areas of the skin and similar responses, with information about the first description and some interesting facts marked with an *.
Table 2. Terminology for lesions developed in vulnerable areas of the skin and similar responses. Definitions and examples of different cutaneous reactions in vulnerable areas of the skin and similar responses, with information about the first description and some interesting facts marked with an *.
TermFirst DescribedDefinition and * Interesting FactsExample
Koebner isomorphic phenomenon [4,5]H. Koebner, 1872Development of lesions from an existing cutaneous disease in previously healthy skin that has undergone non-specific injury, which can be mild. This disease may appear in locations where it typically does not occur.Psoriasis lesions developing on surgical scars in a patient with underlying psoriasis.
Wolf isotopic response [2,3]R. Wyburn-Mason, 1955; refined by R. Wolf, 1995Appearance of new skin lesions at the site of a previously healed, unrelated skin disease.Comedones appearing exactly at the site of a previously healed herpes zoster.
Locus minoris resistentiae [34,35]R.L. Zuehlke, 1982Areas of the body that are more vulnerable than others to suffer some pathologic conditions.
* Its origins trace back to ancient myths, such as Achilles’ heel or Siegfried’s shoulder.
Eczema appearing in skin previously damaged by surgery or burns.
Isopathic phenomenon [36]F. Sagher, 1954The injection of specific or non-specific proteins triggers the development of a disease already present in the patient.In leprous patients, the cutaneous injection of several substances provokes changes typical of lepromatous leprosy. Conversely, in healthy individuals, the same injections cause only nonspecific inflammatory reaction. Similar reactions can be triggered by insect bites.
Pseudoisomorphic response (pseudo-Koebner) [37,38,39]Unknown. First examples in the literature from F. Lewandowsky, W. Lutz, 1922Spread of a cutaneous infection along a line of previously damaged skin.Lineal lesions in epidermodysplasia verruciformis. Commonly seen in warts and molluscum contagiosum.
Renboek/Renbök phenomenon (inverse or reverse Koebner phenomenon) [40,41]R. Happle, 1991Disappearance of an existing skin condition following the onset of a new dermatosis at the same site.
* The term “Renboek” or “Renbök” is not an eponym, but “Koebner” spelled backwards.
A plaque of scalp psoriasis disappears as a patch of alopecia areata develops in the same location.
Pathergy [29]Blobner, 1937A minor trauma on healthy skin induces non-specific cutaneous lesions, often rich in neutrophils.Frequently seen in pyoderma gangrenosum, Sweet’s syndrome or Beçet’s disease.
Disclaimer/Publisher’s Note: The statements, opinions and data contained in all publications are solely those of the individual author(s) and contributor(s) and not of MDPI and/or the editor(s). MDPI and/or the editor(s) disclaim responsibility for any injury to people or property resulting from any ideas, methods, instructions or products referred to in the content.

Share and Cite

MDPI and ACS Style

Corral-Forteza, M.; Pérez-Muñoz, N.; Fernández-Figueras, M.-T. Postherpetic Pseudolymphomatous Angiosarcoma Concealed Within Milia en Plaque: Expanding the Spectrum of Wolf Isotopic Response with a Literature Review. Dermatopathology 2025, 12, 9. https://doi.org/10.3390/dermatopathology12020009

AMA Style

Corral-Forteza M, Pérez-Muñoz N, Fernández-Figueras M-T. Postherpetic Pseudolymphomatous Angiosarcoma Concealed Within Milia en Plaque: Expanding the Spectrum of Wolf Isotopic Response with a Literature Review. Dermatopathology. 2025; 12(2):9. https://doi.org/10.3390/dermatopathology12020009

Chicago/Turabian Style

Corral-Forteza, Marina, Noelia Pérez-Muñoz, and Maria-Teresa Fernández-Figueras. 2025. "Postherpetic Pseudolymphomatous Angiosarcoma Concealed Within Milia en Plaque: Expanding the Spectrum of Wolf Isotopic Response with a Literature Review" Dermatopathology 12, no. 2: 9. https://doi.org/10.3390/dermatopathology12020009

APA Style

Corral-Forteza, M., Pérez-Muñoz, N., & Fernández-Figueras, M.-T. (2025). Postherpetic Pseudolymphomatous Angiosarcoma Concealed Within Milia en Plaque: Expanding the Spectrum of Wolf Isotopic Response with a Literature Review. Dermatopathology, 12(2), 9. https://doi.org/10.3390/dermatopathology12020009

Article Metrics

Back to TopTop