Identification of Penicillium verrucosum, Penicillium commune, and Penicillium crustosum Isolated from Chicken Eggs
Abstract
1. Introduction
2. Materials and Methods
2.1. Mold Cultures
2.2. Phenotypic Identification
2.3. DNA Isolation
2.4. Species-Specific Identification by PCR-ITS-RFLP Method
2.5. Species-Specific Identification by Conventional PCR Method
2.6. Detection of PCR Products
3. Results
3.1. Phenotypic Identification
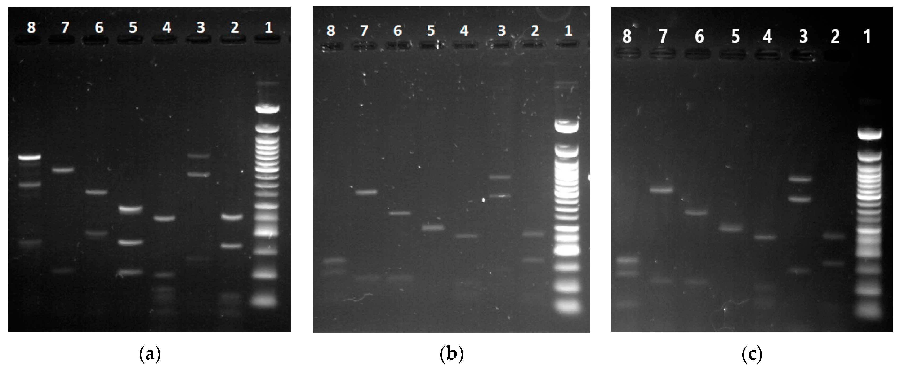
3.2. PCR-ITS-RFLP Analysis
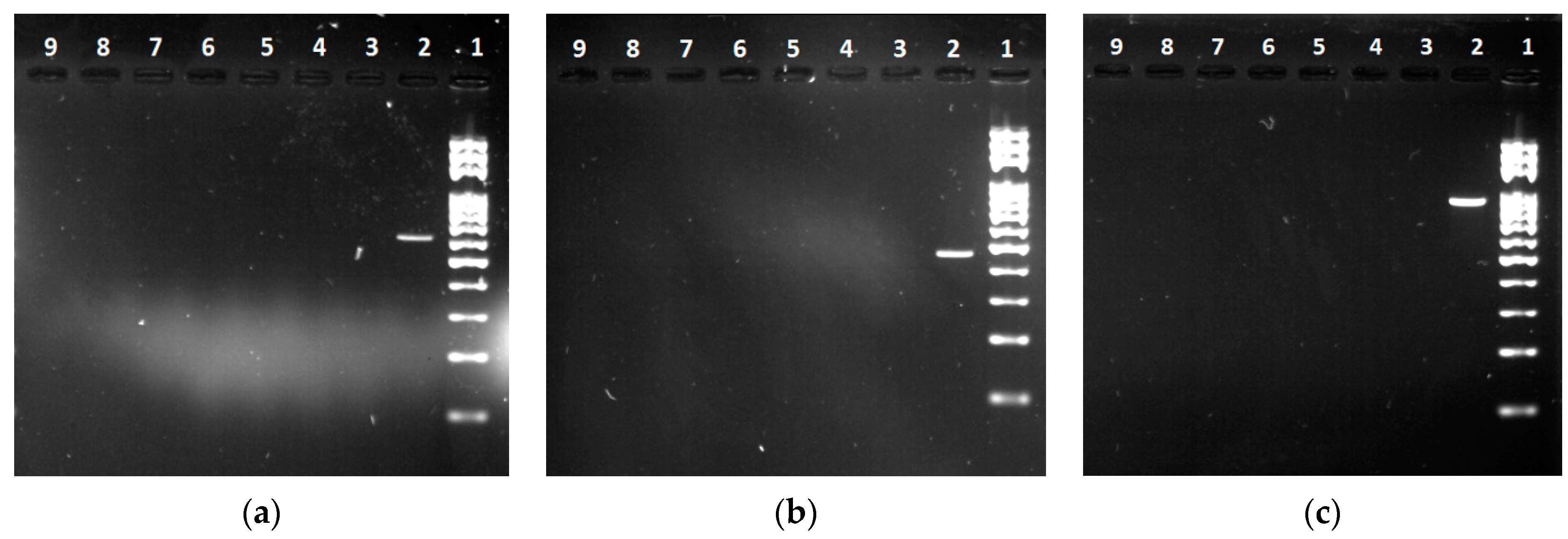
3.3. Identification by Conventional PCR
3.4. Comparison of Results Obtained by Three Identification Methods
4. Discussion
Author Contributions
Funding
Institutional Review Board Statement
Informed Consent Statement
Data Availability Statement
Conflicts of Interest
References
- Visagie, C.M.; Houbraken, J.; Frisvad, J.C.; Hong, S.-B.; Klaassen, C.H.W.; Perrone, G.; Seifert, K.A.; Varga, J.; Yaguchi, T.; Samson, R.A. Identification and nomenclature of the genus Penicillium. Stud. Mycol. 2014, 78, 343–371. [Google Scholar] [CrossRef] [PubMed]
- Samson, R.A.; Houbraken, J.; Thrane, U.; Frisvad, J.C.; Andersen, B. Food and Indoor Fungi, 2nd ed.; CBS Laboratory Manual Series; CBS KNAW Biodiversity Centre: Utrecht, The Netherlands, 2010; Volume 2, p. 390. ISBN 978-90-70351-82-3. [Google Scholar]
- Storey, E.; Dangman, K.H.; Schenck, P.; DeBernardo, R.L.; Yang, C.S.; Bracker, A.; Hodgson, M.J. Guidance for Clinicians on the Recognition and Management of Health Effects Related to Mold Exposure and Moisture Indoors; University of Connecticut Health Center: Farmington, CT, USA, 2004; p. 17. [Google Scholar]
- Rundberget, T.; Skaar, I.; Flåøyen, A. The presence of Penicillium and Penicillium mycotoxins in food wastes. Int. J. Food Microbiol. 2004, 90, 181–188. [Google Scholar] [CrossRef]
- Mansour, A.F.A.; Zayed, A.F.; Basha, O.A.A. Contamination of the shell and internal content of table eggs with some pathogens during different storage periods. Assiut Vet. Med. J. 2015, 61, 8–15. [Google Scholar]
- Commission Regulation (EC) No. 589/2008 of 23 June 2008 Laying Down Detailed Rules for Implementing Council Regulation (EC) No. 1234/2007 as Regards Marketing Standards for Eggs. Available online: https://eur-lex.europa.eu/LexUriServ/LexUriServ.do?uri=OJ:L:2008:163:0006:0023:EN:PDF (accessed on 20 October 2020).
- Leggieri, M.C.; Pietri, A.; Battilani, P. Modelling fungal growth, mycotoxin production and release in Grana cheese. Microorganisms 2020, 8, 69. [Google Scholar] [CrossRef] [PubMed]
- Lund, F.; Nielsen, A.B.; Skouboe, P. Distribution of Penicillium commune isolates in cheese dairies mapped using secondary metabolite profiles, morphotypes, RAPD and AFLP fingerprinting. Food Microbiol. 2003, 20, 20725–20734. [Google Scholar] [CrossRef]
- Kure, C.F.; Abeln, E.C.A.; Holst-Jensen, A.; Skaar, I. Differentiation of Penicillium commune and Penicillium palitans isolates from cheese and indoor environments of cheese factories using M13 fingerprinting. Food Microbiol. 2002, 19, 151–157. [Google Scholar] [CrossRef]
- Houbraken, J.; Visagie, C.M.; Meijer, M.; Frisvad, J.C.; Busby, P.E.; Pitt, J.I.; Seifert, K.A.; Louis-Seize, G.; Demirel, R.; Yilmaz, N.; et al. A taxonomic and phylogenetic revision of Penicillium section Aspergilloides. Stud. Mycol. 2014, 78, 373–451. [Google Scholar] [CrossRef]
- Frisvad, J.C.; Samson, R.A. Polyphasic taxonomy of Penicillium subgenus Penicillium. A guide to identification of food and air-borne terverticillate Penicillia and their mycotoxins. Stud. Mycol. 2004, 49, 1–174. [Google Scholar]
- Toju, H.; Tanabe, A.S.; Yamamoto, S.; Sato, H. High-coverage ITS primers for the DNA-based identification of ascomycetes and basidiomycetes in environmental samples. PLoS ONE 2012, 7, e40863. [Google Scholar] [CrossRef]
- Koffi, Y.F.; Diguta, C.; Alloue-Boraud, M.; Ban Koffi, L.; Dje, M.; Gherghina, E.; Matei, F. PCR-ITS-RFLP identification of pineapple spoilage fungi. Rom. Biotechnol. Lett. 2019, 24, 418–424. [Google Scholar] [CrossRef]
- Sonjak, S.; Frisvad, J.C.; Gunde-Cimerman, N. Genetic Variation among Penicillium crustosum isolates from arctic and other ecological niches. Microb. Ecol. 2007, 54, 298–305. [Google Scholar] [CrossRef] [PubMed]
- Chen, R.S.; Tsay, J.G.; Huang, Y.F.; Chiou, R.Y. Polymerase chain reaction-mediated characterization of molds belonging to the Aspergillus flavus group and detection of Aspergillus parasiticus in peanut kernels by multiplex polymerase chain reaction. J. Food Prot. 2002, 65, 840–844. [Google Scholar] [CrossRef] [PubMed]
- Apaliya, M.T.; Zhang, H.; Zheng, X.; Yang, Q.; Mahunu, G.K.; Kwaw, E. Exogenous trehalose enhanced the biocontrol efficacy of Hanseniaspora uvarum against grape berry rots caused by Aspergillus tubingensis and Penicillium commune. J. Sci. Food Agric. 2018, 98, 4665–4672. [Google Scholar] [CrossRef] [PubMed]
- Dhungana, B.; Ali, S.; Byamukama, E.; Krishnan, P.; Caffe-Treml, M. Incidence of Penicillium verrucosum in grain samples from oat varieties commonly grown in South Dakota. J. Food Prot. 2018, 81, 898–902. [Google Scholar] [CrossRef]
- Gonda, M.; Rufo, C.; Cecchetto, G.; Vero, S. Evaluation of different hurdles on Penicillium crustosum growth in sponge cakes by means of a specific real time PCR. J. Food Sci. Technol. 2019, 56, 2195–2204. [Google Scholar] [CrossRef]
- Al-Anati, L.; Petzinger, E. Immunotoxic activity of ochratoxin A. J. Vet. Pharmacol. Ther. 2006, 29, 79–90. [Google Scholar] [CrossRef]
- Frisvad, J.C.; Smedsgaard, J.; Larsen, T.O.; Samson, R.A. Mycotoxins, drugs and other extrolites produced by species in Penicillium subgenus Penicillium. Stud. Mycol. 2004, 49, 201–241. [Google Scholar]
- Moldes-Anaya, A.; Rundberget, T.; Fæste, C.K.; Eriksen, G.S.; Bernhoft, A. Neurotoxicity of Penicillium crustosum secondary metabolites: Tremorgenic activity of orally administered penitrem A and thomitrem A and E in mice. Toxicon 2012, 60, 1428–1435. [Google Scholar] [CrossRef]
- Vinokurova, N.G.; Ozerskaya, S.M.; Baskunov, B.P.; Arinbasarov, M.U. The Penicillium commune Thom and Penicillium clavigerum Demelius fungi—Fumigaclavines A and B producers. Mikrobiologiia 2003, 72, 180–182. [Google Scholar] [CrossRef]
- Wagener, R.E.; Davis, N.D.; Diener, U.L. Penitrem A and Roquefortine Production by Penicillium commune. Appl. Environ. Microbiol. 1980, 39, 882–887. [Google Scholar] [CrossRef]
- STN ISO 21527-1. Microbiology of Food and Animal Feeding Stuffs. Horizontal Method for the Enumeration of Yeasts and Molds. Part 1: Colony Count Technique in Products with Water Activity Greater than 0.95; ISO 21527-1:2008; Slovak Standards Institute: Bratislava, Slovak Republic, 2010. [Google Scholar]
- STN ISO 21527-2. Microbiology of Food and Animal Feeding Stuffs. Horizontal Method for the Enumeration of Yeasts and Molds. Part 2: Colony Count Technique in Products with Water Activity less than or Equal to 0.95; ISO 21527-2:2008; Slovak Standards Institute: Bratislava, Slovak Republic, 2010. [Google Scholar]
- Regecová, I.; Pipová, M.; Jevinová, P.; Demjanová, S.; Semjon, B. Quality and mycobiota composition of stored eggs. Ital. J. Food Sci. 2020, 32, 540–561. [Google Scholar] [CrossRef]
- White, T.J.; Bruns, T.D.; Lee, S.B.; Taylor, J.W. Amplification and direct sequencing of fungal ribosomal RNA genes for phylogenetics. In PCR Protocols: A Guide to Methods and Applications; Innis, M.A., Gelfand, D.H., Sninsky, J.J., White, T.J., Eds.; Academic Press: New York, NY, USA, 1990; pp. 315–322. ISBN -978-0-12372180-8. [Google Scholar] [CrossRef]
- Diguţă, C.F.; Vincent, B.; Guilloux-Benatier, M.; Alexandre, H.; Rousseaux, S. PCR ITS-RFLP: A useful method for identifying filamentous fungi isolates on grapes. Food Microbiol. 2011, 28, 1145–1154. [Google Scholar] [CrossRef] [PubMed]
- López-Andreo, M.; Lugo, L.; Garrido-Pertierra, A.; Prieto, M.I.; Puyet, A. Identification and quantitation of species in complex DNA mixtures by real-time polymerase chain reaction. Anal. Biochem. 2005, 339, 73–82. [Google Scholar] [CrossRef] [PubMed]
- Al-Obaidi, F.A.; Al-Shadeedi, S.M.J.; Al-Dalawi, R.H. Quality, chemical and microbial characteristics of table eggs at retail stores in Baghdad. Inter. J. Poultry. Sci. 2011, 10, 381–385. [Google Scholar] [CrossRef]
- Perez-Nadales, E.; Nogueira, M.D.; Baldwin, C.; Castanheira, S.E.; Ghalid, M.; Grund, E.; Lengeler, K.; Marchegiani, E.; Mehrotra, P.V.; Moretti, M.; et al. Fungal model systems and the elucidation of pathogenicity determinants. Fungal Genet. Biol. 2014, 70, 42–67. [Google Scholar] [CrossRef] [PubMed]
- Hassan, Z.U.; Ahmad, S. Transfer of mycotoxin residues in hen’s egg, their interaction and mechanism. In Handbook of Eggs in Human Function. Human Health Handbooks; Watson, R.R., De Meester, F., Eds.; Wageningen Academic Publishers: Wageningen, The Netherlands, 2015; Volume 9, pp. 365–386. ISBN 978-90-8686-254-2. [Google Scholar] [CrossRef]
- Rodríguez, A.; Rodríguez, M.; Anreade, M.J.; Córdoba, J.J. Detection of filamentous fungi in foods. Curr. Opin. Food. Sci. 2015, 5, 36–42. [Google Scholar] [CrossRef]
- Rajmani, R.S.; Singh, A.P.; Singh, P.K.; Doley, J.; Verma, S.P. Fungal contamination in eggs. J. Vet. Pub. Health 2011, 9, 59–61. [Google Scholar] [CrossRef]
- Neamatallah, A.A.; El-Leboudy, A.; Amer, A.A.; El-Shenawy, N.M. Biosafety against fungal contamination of hen’s eggs and mycotoxins producing species. JKAU Met. Environ. Arid Land Agric. Sci. 2009, 20, 63–73. [Google Scholar] [CrossRef]
- Tomczyk, Ł.; Stepień, Ł.; Urbaniak, M.; Szablewski, T.; Cegielska-Radziejewska, R.; Stuper-Szablewska, K. Characterisation of the mycobiota on the shell surface of table eggs acquired from different egg-laying hen breeding systems. Toxins 2018, 10, 293. [Google Scholar] [CrossRef]
- Ramos-Pereiraa, J.; Marezeb, J.; Patrinoua, E.; Santosa, J.A.; Lopez-Diaza, T.-M. Polyphasic identification of Penicillium spp. isolated from Spanish semi-hard ripened cheeses. Food Microbiol. 2019, 84, 103253:1–103253:8. [Google Scholar] [CrossRef]
- Rodríguez, R.D.; Heredia, G.; Siles, J.A.; Jurado, M.; Saparrat, M.C.N.; García-Romera, I.; Sampedro, I. Enhancing laccase production by white-rot fungus Funalia floccosa LPSC 232 in co-culture with Penicillium commune GHAIE86. Folia Microbiol. 2019, 64, 91–99. [Google Scholar] [CrossRef] [PubMed]
- Bragulat, M.R.; Martínez, E.; Castellá, G.; Cabañes, F.J. Ochratoxin A and citrinin producing species of the genus Penicillium from feedstuffs. Int. J. Food Microbiol. 2008, 126, 43–48. [Google Scholar] [CrossRef] [PubMed]
- Zhelifonova, V.P.; Antipova, T.V.; Kozlovskii, A.G. Effect of potassium sorbate, sodium benzoate, and sodium nitrite on biosynthesis of cyclopiazonic and mycophenolic acids and citrinin by fungi of the Penicillium genus. Appl. Biochem. Microbiol. 2017, 53, 711–714. [Google Scholar] [CrossRef]
- Pitt, J.I.; Hocking, A.D. Fungi and Food Spoilage, 3rd ed.; Springer Science & Business Media: New York, NY, USA, 2009; ISBN 978-0-387-92207-2. [Google Scholar] [CrossRef]
- Schoch, C.L.; Seifert, K.A.; Huhndorf, S.; Robert, V.; Spouge, J.L.; Levesque, C.A.; Chen, W. Fungal Barcoding Consortium. Nuclear ribosomal internal transcribed spacer (ITS) region as a universal DNA barcode marker for Fungi. PNAS 2012, 109, 6241–6246. [Google Scholar] [CrossRef] [PubMed]
- Thies, J.E. Soil microbial community analysis using terminal restriction fragment length polymorphisms. SSSA J. 2007, 71, 579–591. [Google Scholar] [CrossRef]
- Cao, Y.; Van De Werfhorst, L.C.; Dubinsky, E.A.; Badgley, B.D.; Sadowsky, M.J.; Andersen, G.L.; Griffith, J.F.; Holden, P.A. Evaluation of molecular community analysis methods for discerning fecal sources and human waste. Water Res. 2013, 47, 6862–6872. [Google Scholar] [CrossRef]
- Schütte, U.M.E.; Abdo, Z.; Bent, S.J.; Shyu, C.; Williams, C.J.; Pierson, J.D.; Forney, L.J. Advances in the use of terminal restriction fragment length polymorphism (T-RFLP) analysis of 16S rRNA genes to characterize microbial communities. Appl. Microbiol. Biotechnol. 2008, 80, 365–380. [Google Scholar] [CrossRef] [PubMed]
- Khalil, M.I. Identification of Cladosporium sp. Fungi by in- silico RFLP-PCR. Baghdad Sci. J. 2020, 17, 220–226. [Google Scholar] [CrossRef]
- Leite, L.N.; Lelis, F.J.N.; de Sousa Xavier, M.A.; dos Santos, J.; Cardoso, L.; Barbosa, F.S.; dos Santos, R.F.; Dias, S.A.M.; de Oliveira Xavier, A.R.E. Molecular identification and characterization of filamentous fungi and yeasts isolated in a pharmaceutical industry environment. J. Appl. Pharm. Sci. 2020, 10, 27–36. [Google Scholar] [CrossRef]
- Szekely, J.; Chelae, S.; Ingviya, N.; Rukchang, W.; Auepemkiate, S.; Aiempanakit, K. Universal Multiplex Polymerase Chain Reaction-Restriction Fragment Length Polymorphism (UMPCR-RFLP) for rapid detection and species identification of fungal and mycobacterial pathogens. Walailak J. Sci. Tech. 2020, 17, 1113–1125. [Google Scholar] [CrossRef]
- Kordalewska, M.; Kalita, J.; Bakuła, Z.; Brillowska-Dąbrowska, A.; Jagielski, T. PCR-RFLP assays for species-specific identification of fungi belonging to Scopulariopsis and related genera. Med. Mycol. 2019, 57, 643–648. [Google Scholar] [CrossRef] [PubMed]
- Worasilchai, N.; Chaumpluk, P.; Chakrabarti, A.; Chindamporn, A. Differential diagnosis for pythiosis using thermophilic helicase DNA amplification and restriction fragment length polymorphism (tHDA-RFLP). Med. Mycol. 2018, 56, 216–224. [Google Scholar] [CrossRef] [PubMed]
- Atoui, A.; El Khoury, A. PCR-RFLP for Aspergillus species. In Mycotoxigenic Fungi. Methods in Molecular Biology; Moretti, A., Susca, A., Eds.; Humana Press: New York, NY, USA, 2017; Volume 1542, ISBN 978-1-4939-6707-0. [Google Scholar] [CrossRef]
- Kim, J.S.; Kang, N.J.; Kwak, Y.S.; Lee, C. Investigation of Genetic Diversity of Fusarium oxysporum f. sp. fragariae using PCR-RFLP. Plant. Pathol. J. 2017, 33, 140–147. [Google Scholar] [CrossRef] [PubMed]
- Rousseaux, S.; Guilloux-Bénatier, M. PCR ITS-RFLP for Penicillium species and other genera. In Mycotoxigenic Fungi. Methods in Molecular Biology; Moretti, A., Susca, A., Eds.; Humana Press: New York, NY, USA, 2017; Volume 1542, ISBN 978-1-4939-6707-0. [Google Scholar] [CrossRef]
- Srivastava, S.; Gupta, P.S.; Lal, S.; Sinha, O.K. Rapid identification of endophytic fungi of sugarcan (saccharum spp. hybrid) using PCR-RFLP of rDNA. J. Environ. Biol. 2017, 38, 21–26. [Google Scholar] [CrossRef]
- Grudzinska-Sterno, M.; Yuen, J.; Stenlid, J.; Djurle, A. Fungal communities in organically grown winter wheat affected by plant organ and development stage. Eur. J. Plant. Pathol. 2016, 146, 401–417. [Google Scholar] [CrossRef]
- Diguță, C.F.; Toma, R.C.; Cornea, C.P.; Matei, F. Molecular detection of black Aspergillus and Penicillium species from Dealu Mare vineyard. Sci. Pap. Ser. B Hortic. 2018, 62, 305–310. [Google Scholar]
- De Sousa, D.R.T.; da Silva Santos, C.S.; Wanke, B.; da Silva, R.M., Jr.; dos Santos, M.C.; Cruz, K.S.; Monte, R.L.; Nocker, A.; de Souza, J.V.B. PCR-RFLP as a useful tool for diagnosis of invasive mycoses in a healthcare facility in the North of Brazil. Electron. J. Biotechnol. 2015, 18, 231–235. [Google Scholar] [CrossRef][Green Version]
- Ziaee, A.; Zia, M.; Bayat, M.; Hashemi, J. Molecular Identification of Mucor and Lichtheimia species in pure cultures of Zygomycetes. Jundishapur J. Microbiol. 2016, 9, e35237:1–e35237:8. [Google Scholar] [CrossRef]
- Vegi, A.; Wolf-Hall, C.E. Multiplex real-time PCR method for detection and quantification of mycotoxigenic fungi belonging to three different genera. J. Food Sci. 2013, 78, M70–M76. [Google Scholar] [CrossRef]
- Rodríguez, A.; Luque, M.I.; Andrade, M.J.; Rodríguez, M.; Asensio, M.A.; Córdoba, J.J. Development of real-time PCR methods to quantify patulin-producing molds in food products. Food Microbiol. 2011, 28, 1190–1199. [Google Scholar] [CrossRef]
- Pandey, A.; Mann, M. Proteomics to study genes and genomes. Nature 2000, 405, 837–846. [Google Scholar] [CrossRef] [PubMed]
- Balint, M.; Bahram, M.; Murat Eren, A.; Faust, K.; Fuhrman, J.A.; Orn Lindahl, B.; O’Hara, R.B.; Opik, M.; Sogin, M.L.; Unterseher, M.; et al. Millions of reads, thousands of taxa: Microbial community structure and associations analyzed via marker genes FEMS microbiology reviews advance access. FEMS Microbiol. Rev. 2016, 40, 686–700. [Google Scholar] [CrossRef] [PubMed]






| Primer Name | Primer Sequence (5′-3′) | Annealing Temperature (°C) | Size of PCR Product | GenBank-EMBL Accession Number |
|---|---|---|---|---|
| Penicillium verrucosum | ||||
| VERF | TCGTAACAAGGTTTCCGTAGG | 59 | 607 bp | DQ681351.1 |
| VERR | TTTCCTTCCGCCTTATTGAT | |||
| Penicillium commune | ||||
| COMF | CCCGTGTTTATTTTACCTTG | 51 | 464 bp | GQ340555.1 |
| COMR | CTGGATAAAATTTGGGTTGA | |||
| Penicillium crustosum | ||||
| CRUF | TCCCACCCGTGTTTATTTTA | 58 | 892 bp | HQ225711.1 |
| CRUR | TCCCTTTCAACAATTTCACG | |||
| Fungal Species | Number of Isolates | Colony Size (mm) | Ehrlich Reaction | Creatine Test | |||
|---|---|---|---|---|---|---|---|
| MEA | CYA | YES | Growth | Acid Production | |||
| Penicillium verrucosum | 12 | 13–37 | 14–41 | 11–41 | negative (9) pink (2) yellow (1) | weak (7) good (5) | – (8) + (4) |
| Penicillium commune | 48 | 26–40 | 23–41 | 24–42 | negative (6) purple (10) violet (32) | weak (9) good (39) | + (11) ++ (13) +++ (24) |
| Penicillium crustosum | 21 | 27–37 | 28–39 | 24–39 | negative (13) yellow (8) | weak (7) good (14) | – (7) ++ (14) |
| Fungal Species | ||||
|---|---|---|---|---|
| P. verrucosum | P. commune | P. crustosum | ||
| Number of isolates | 8 | 36 | 19 | |
| PCR amplicons (bp) | 600 | 650 | 650 | |
| Restriction fragments (bp) | Bsp1286I | 41 + 60 + 169 + 263 | 164 + 260 | 169 + 263 |
| XmaI | 467 + 128 | 495 | 497 + 142 | |
| HaeIII | 40 + 54 + 72 + 110 + 260 | 72 + 260 | 54 + 72 + 260 | |
| HinfI | 112 + 180 + 298 | 275 | 300 | |
| MseI | 201 + 362 | 101 + 353 | 103 + 365 | |
| SfcI | 110 + 491 | 100 + 464 | 110 + 491 | |
| Hpy188I | 168 + 400 | 135 + 170 | 53 + 135 + 152 | |
Publisher’s Note: MDPI stays neutral with regard to jurisdictional claims in published maps and institutional affiliations. |
© 2020 by the authors. Licensee MDPI, Basel, Switzerland. This article is an open access article distributed under the terms and conditions of the Creative Commons Attribution (CC BY) license (http://creativecommons.org/licenses/by/4.0/).
Share and Cite
Demjanová, S.; Jevinová, P.; Pipová, M.; Regecová, I. Identification of Penicillium verrucosum, Penicillium commune, and Penicillium crustosum Isolated from Chicken Eggs. Processes 2021, 9, 53. https://doi.org/10.3390/pr9010053
Demjanová S, Jevinová P, Pipová M, Regecová I. Identification of Penicillium verrucosum, Penicillium commune, and Penicillium crustosum Isolated from Chicken Eggs. Processes. 2021; 9(1):53. https://doi.org/10.3390/pr9010053
Chicago/Turabian StyleDemjanová, Soňa, Pavlina Jevinová, Monika Pipová, and Ivana Regecová. 2021. "Identification of Penicillium verrucosum, Penicillium commune, and Penicillium crustosum Isolated from Chicken Eggs" Processes 9, no. 1: 53. https://doi.org/10.3390/pr9010053
APA StyleDemjanová, S., Jevinová, P., Pipová, M., & Regecová, I. (2021). Identification of Penicillium verrucosum, Penicillium commune, and Penicillium crustosum Isolated from Chicken Eggs. Processes, 9(1), 53. https://doi.org/10.3390/pr9010053

