Volumetric Analysis of Hearing-Related Structures of Brain in Children with GJB2-Related Congenital Deafness
Abstract
1. Introduction
2. Material and Methods
2.1. Study Population
2.2. MRI Acquisition
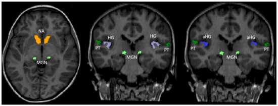
2.3. Analysis: Manual Inspection and FreeSurfer Analysis
2.4. Statistical Analysis
3. Results
3.1. Study Population
3.2. Volumetric Results
4. Discussion
5. Conclusions
Supplementary Materials
Author Contributions
Funding
Institutional Review Board Statement
Informed Consent Statement
Data Availability Statement
Conflicts of Interest
References
- Hyde, M.L. Newborn hearing screening programs: Overview. J. Otolaryngol. 2005, 34, S70. [Google Scholar] [PubMed]
- Shearer, A.E.; Hildebrand, M.S.; Smith, R.J. Hereditary Hearing Loss and Deafness Overview. GeneReviews®[Internet]. 2017. Available online: https://www.ncbi.nlm.nih.gov/books/NBK1434/ (accessed on 12 May 2021).
- Venkatesh, M.; Moorchung, N.; Puri, B. Genetics of non syndromic hearing loss. Med. J. Armed Forces India 2015, 71, 363–368. [Google Scholar] [CrossRef] [PubMed]
- Korver, A.M.H.; Smith, R.J.H.; Van Camp, G.; Schleiss, M.R.; Bitner-Glindzicz, M.A.K.; Lustig, L.R.; Usami, S.-i.; Boudewyns, A.N. Congenital hearing loss. Nat. Rev. Dis. Primers 2017, 3, 16094. [Google Scholar] [CrossRef] [PubMed]
- Peelle, J.E.; Troiani, V.; Grossman, M.; Wingfield, A. Hearing loss in older adults affects neural systems supporting speech comprehension. J. Neurosci. 2011, 31, 12638–12643. [Google Scholar] [CrossRef] [PubMed]
- Eckert, M.A.; Cute, S.L.; Vaden, K.I., Jr.; Kuchinsky, S.E.; Dubno, J.R. Auditory cortex signs of age-related hearing loss. J. Assoc. Res. Otolaryngol. 2012, 13, 703–713. [Google Scholar] [CrossRef] [PubMed]
- Profant, O.; Škoch, A.; Balogová, Z.; Tintěra, J.; Hlinka, J.; Syka, J. Diffusion tensor imaging and MR morphometry of the central auditory pathway and auditory cortex in aging. Neuroscience 2014, 260, 87–97. [Google Scholar] [CrossRef]
- Rigters, S.C.; Bos, D.; Metselaar, M.; Roshchupkin, G.V.; Baatenburg de Jong, R.J.; Ikram, M.A.; Vernooij, M.W.; Goedegebure, A. Hearing Impairment Is Associated with Smaller Brain Volume in Aging. Front. Aging Neurosci. 2017, 9. [Google Scholar] [CrossRef]
- Neuschwander, P.; Hänggi, J.; Zekveld, A.A.; Meyer, M. Cortical thickness of left Heschl’s gyrus correlates with hearing acuity in adults—A surface-based morphometry study. Hear Res. 2019, 384, 107823. [Google Scholar] [CrossRef]
- Jiang, M.; Wen, Z.; Long, L.; Wong, C.W.; Ye, N.; Zee, C.; Chen, B.T. Assessing Cerebral White Matter Microstructure in Children with Congenital Sensorineural Hearing Loss: A Tract-Based Spatial Statistics Study. Front. Neurosci. 2019, 13, 597. [Google Scholar] [CrossRef]
- Emmorey, K.; Allen, J.S.; Bruss, J.; Schenker, N.; Damasio, H. A morphometric analysis of auditory brain regions in congenitally deaf adults. Proc. Natl. Acad. Sci. USA 2003, 100, 10049–10054. [Google Scholar] [CrossRef]
- Smith, K.M.; Mecoli, M.D.; Altaye, M.; Komlos, M.; Maitra, R.; Eaton, K.P.; Egelhoff, J.C.; Holland, S.K. Morphometric differences in the Heschl’s gyrus of hearing impaired and normal hearing infants. Cereb. Cortex 2011, 21, 991–998. [Google Scholar] [CrossRef] [PubMed]
- Li, J.; Li, W.; Xian, J.; Li, Y.; Liu, Z.; Liu, S.; Wang, X.; Wang, Z.; He, H. Cortical thickness analysis and optimized voxel-based morphometry in children and adolescents with prelingually profound sensorineural hearing loss. Brain Res. 2012, 1430, 35–42. [Google Scholar] [CrossRef] [PubMed]
- Tae, W.-S. Reduced gray matter volume of auditory cortical and subcortical areas in congenitally deaf adolescents: A voxel-based morphometric study. Investig. Magn. Reson. Imaging 2015, 19, 1–9. [Google Scholar] [CrossRef][Green Version]
- Feng, G.; Ingvalson, E.M.; Grieco-Calub, T.M.; Roberts, M.Y.; Ryan, M.E.; Birmingham, P.; Burrowes, D.; Young, N.M.; Wong, P.C.M. Neural preservation underlies speech improvement from auditory deprivation in young cochlear implant recipients. Proc. Natl. Acad. Sci. USA 2018, 115, E1022–E1031. [Google Scholar] [CrossRef]
- Shiohama, T.; McDavid, J.; Levman, J.; Takahashi, E. The left lateral occipital cortex exhibits decreased thickness in children with sensorineural hearing loss. Int. J. Dev. Neurosci. 2019, 76, 34–40. [Google Scholar] [CrossRef]
- Qu, H.; Tang, H.; Pan, J.; Zhao, Y.; Wang, W. Alteration of Cortical and Subcortical Structures in Children with Profound Sensorineural Hearing Loss. Front. Hum. Neurosci. 2020, 14, 565445. [Google Scholar] [CrossRef]
- Chen, L.; Wang, X.; Ge, S.; Xiong, Q. Medial geniculate body and primary auditory cortex differentially contribute to striatal sound representations. Nat. Commun. 2019, 10, 418. [Google Scholar] [CrossRef]
- Shapleske, J.; Rossell, S.L.; Woodruff, P.W.; David, A.S. The planum temporale: A systematic, quantitative review of its structural, functional and clinical significance. Brain Res. Brain Res. Rev. 1999, 29, 26–49. [Google Scholar] [CrossRef]
- Clark, J.G. Uses and abuses of hearing loss classification. Asha 1981, 23, 493–500. [Google Scholar]
- Dale, A.M.; Fischl, B.; Sereno, M.I. Cortical surface-based analysis: I. Segmentation and surface reconstruction. Neuroimage 1999, 9, 179–194. [Google Scholar] [CrossRef]
- Fischl, B.; Sereno, M.I.; Dale, A.M. Cortical surface-based analysis: II: Inflation, flattening, and a surface-based coordinate system. Neuroimage 1999, 9, 195–207. [Google Scholar] [CrossRef] [PubMed]
- Dalboni da Rocha, J.L.; Schneider, P.; Benner, J.; Santoro, R.; Atanasova, T.; Van De Ville, D.; Golestani, N. TASH: Toolbox for the Automated Segmentation of Heschl’s gyrus. Sci. Rep. 2020, 10, 3887. [Google Scholar] [CrossRef] [PubMed]
- Zöllei, L.; Iglesias, J.E.; Ou, Y.; Grant, P.E.; Fischl, B. Infant FreeSurfer: An automated segmentation and surface extraction pipeline for T1-weighted neuroimaging data of infants 0–2 years. Neuroimage 2020, 218, 116946. [Google Scholar] [CrossRef] [PubMed]
- Beelen, C.; Phan, T.V.; Wouters, J.; Ghesquière, P.; Vandermosten, M. Investigating the Added Value of FreeSurfer’s Manual Editing Procedure for the Study of the Reading Network in a Pediatric Population. Front. Hum. Neurosci. 2020, 14, 143. [Google Scholar] [CrossRef] [PubMed]
- Desikan, R.S.; Ségonne, F.; Fischl, B.; Quinn, B.T.; Dickerson, B.C.; Blacker, D.; Buckner, R.L.; Dale, A.M.; Maguire, R.P.; Hyman, B.T.; et al. An automated labeling system for subdividing the human cerebral cortex on MRI scans into gyral based regions of interest. Neuroimage 2006, 31, 968–980. [Google Scholar] [CrossRef]
- Destrieux, C.; Fischl, B.; Dale, A.; Halgren, E. Automatic parcellation of human cortical gyri and sulci using standard anatomical nomenclature. Neuroimage 2010, 53, 1–15. [Google Scholar] [CrossRef]
- Klein, A.; Tourville, J. 101 Labeled Brain Images and a Consistent Human Cortical Labeling Protocol. Front. Neurosci. 2012, 6, 171. [Google Scholar] [CrossRef]
- Fischl, B. FreeSurfer. Neuroimage 2012, 62, 774–781. [Google Scholar] [CrossRef]
- Fischl, B.; Salat, D.H.; Van Der Kouwe, A.J.; Makris, N.; Ségonne, F.; Quinn, B.T.; Dalead, A.M. Sequence-independent segmentation of magnetic resonance images. Neuroimage 2004, 23, S69–S84. [Google Scholar] [CrossRef]
- Fischl, B.; Salat, D.H.; Busa, E.; Albert, M.; Dieterich, M.; Haselgrove, C.; van der Kouwe, A.; Killiany, R.; Kennedy, D.; Klaveness, S.; et al. Whole brain segmentation: Automated labeling of neuroanatomical structures in the human brain. Neuron 2002, 33, 341–355. [Google Scholar] [CrossRef]
- Iglesias, J.E.; Insausti, R.; Lerma-Usabiaga, G.; Bocchetta, M.; Van Leemput, K.; Greve, D.N.; van der Kouwe, A.; Fischl, B.; Caballero-Gaudes, C.; Paz-Alonso, P.M. A probabilistic atlas of the human thalamic nuclei combining ex vivo MRI and histology. Neuroimage 2018, 183, 314–326. [Google Scholar] [CrossRef] [PubMed]
- Bonferroni, C. Teoria Statistica delle Classi e Calcolo delle Probabilita; Pubblicazioni del R Istituto Superiore di Scienze Economiche e Commericiali di Firenze: Florence, Italy, 1936; Volume 8, pp. 3–62. Available online: https://methods.sagepub.com/reference/encyc-of-research-design/n455.xml (accessed on 7 November 2021).
- McGrory, B.J.; Klassen, R.A.; Chao, E.Y.; Staeheli, J.W.; Weaver, A.L. Acute fractures and dislocations of the cervical spine in children and adolescents. J. Bone Jt. Surg. Am. 1993, 75, 988–995. [Google Scholar] [CrossRef] [PubMed]
- Gogtay, N.; Giedd, J.N.; Lusk, L.; Hayashi, K.M.; Greenstein, D.; Vaituzis, A.C.; Nugent, T.F., III; Herman, D.H.; Clasen, L.S.; Toga, A.W.; et al. Dynamic mapping of human cortical development during childhood through early adulthood. Proc. Natl. Acad. Sci. USA 2004, 101, 8174–8179. [Google Scholar] [CrossRef] [PubMed]
- Kral, A.; Tillein, J.; Heid, S.; Hartmann, R.; Klinke, R. Postnatal cortical development in congenital auditory deprivation. Cereb. Cortex 2005, 15, 552–562. [Google Scholar] [CrossRef] [PubMed]
- Huttenlocher, P.R.; Dabholkar, A.S. Regional differences in synaptogenesis in human cerebral cortex. J. Comp. Neurol. 1997, 387, 167–178. [Google Scholar] [CrossRef]
- Bourgeois, J.-P.; Goldman-Rakic, P.S.; Rakic, P. Formation, elimination and stabilization of synapses in the primate cerebral cortex. In The New Cognitive Neurosciences; MIT Press: London, UK, 2000; pp. 45–53. [Google Scholar]
- Smith, R.J.; Jones, M.K.N. Nonsyndromic Hearing Loss and Deafness, DFNB1. GeneReviews®[Internet]. 2016. Available online: https://www.ncbi.nlm.nih.gov/books/NBK1272/ (accessed on 31 May 2021).
- Chan, D.K.; Chang, K.W. GJB2-associated hearing loss: Systematic review of worldwide prevalence, genotype, and auditory phenotype. Laryngoscope 2014, 124, E34–E53. [Google Scholar] [CrossRef]
- Mammano, F. Ca2+ homeostasis defects and hereditary hearing loss. Biofactors 2011, 37, 182–188. [Google Scholar] [CrossRef]
- Dinh, E.H.; Ahmad, S.; Chang, Q.; Tang, W.; Stong, B.; Lin, X. Diverse deafness mechanisms of connexin mutations revealed by studies using in vitro approaches and mouse models. Brain Res. 2009, 1277, 52–69. [Google Scholar] [CrossRef]
- Li, W.; Li, J.; Xian, J.; Lv, B.; Li, M.; Wang, C.; Li, Y.; Liu, Z.; Liu, S.; Wang, Z.; et al. Alterations of grey matter asymmetries in adolescents with prelingual deafness: A combined VBM and cortical thickness analysis. Restor. Neurol. Neurosci. 2013, 31, 1–17. [Google Scholar] [CrossRef]
- Heinen, R.; Bouvy, W.H.; Mendrik, A.M.; Viergever, M.A.; Biessels, G.J.; de Bresser, J. Robustness of Automated Methods for Brain Volume Measurements across Different MRI Field Strengths. PLoS ONE 2016, 11, e0165719. [Google Scholar] [CrossRef]
- Wonderlick, J.; Ziegler, D.A.; Hosseini-Varnamkhasti, P.; Locascio, J.; Bakkour, A.; Van Der Kouwe, A.; Triantafyllou, C.; Corkin, S.; Dickerson, B.C. Reliability of MRI-derived cortical and subcortical morphometric measures: Effects of pulse sequence, voxel geometry, and parallel imaging. Neuroimage 2009, 44, 1324–1333. [Google Scholar] [CrossRef] [PubMed]

| Age Group | 7–12 Months | 13 Months to 18 Years | |
|---|---|---|---|
| Number of subjects | GJB2 | 4 | 11 |
| Controls | 9 | 70 | |
| Number of males | GJB2 | 2 | 6 |
| Controls | 5 | 39 | |
| Number of females | GJB2 | 2 | 5 |
| Controls | 4 | 31 | |
| Average age (range) (months) | GJB2 | 8 (7–9) | 73 (14–177) |
| Controls | 9 (7–12) | 74 (15–187) | |
| p-value | 0.12 | 0.47 | |
| Brain volume (L) | GJB2 | 0.64 | 1.1 |
| Controls | 0.69 | 1 | |
| p-value | 0.29 | 0.25 |
| Age Group | 7–12 Months | 13 Months to 18 Years | |
|---|---|---|---|
| Heschl’s gyrus (%) | GJB2 | 0.09(0.02) | 0.09(0.02) |
| Controls | 0.075(0.02) | 0.1(0.02) | |
| p-value | 0.09 | 0.02 | |
| Anterior Heschl’s gyrus (%) | GJB2 | N/A | 0.08(0.02) |
| Controls | N/A | 0.1(0.02) | |
| p-value | N/A | 0.0055 | |
| Planum temporale (%) | GJB2 | N/A | 0.14(0.05) |
| Controls | N/A | 0.15(0.05) | |
| p-value | N/A | 0.2 | |
| MGN (%) | GJB2 | N/A | 0.008(0.002) |
| Controls | N/A | 0.009(0.002) | |
| p-value | N/A | 0.11 | |
| Nucleus accumbens (%) | GJB2 | 0.03(0.01) | 0.05(0.01) |
| Controls | 0.03(0.01) | 0.05(0.01) | |
| p-value | 0.2 | 0.2 |
Publisher’s Note: MDPI stays neutral with regard to jurisdictional claims in published maps and institutional affiliations. |
© 2022 by the authors. Licensee MDPI, Basel, Switzerland. This article is an open access article distributed under the terms and conditions of the Creative Commons Attribution (CC BY) license (https://creativecommons.org/licenses/by/4.0/).
Share and Cite
Wagner, M.W.; Cushing, S.L.; Tshuma, M.; Gordon, K.A.; Ertl-Wagner, B.B.; Vidarsson, L. Volumetric Analysis of Hearing-Related Structures of Brain in Children with GJB2-Related Congenital Deafness. Children 2022, 9, 800. https://doi.org/10.3390/children9060800
Wagner MW, Cushing SL, Tshuma M, Gordon KA, Ertl-Wagner BB, Vidarsson L. Volumetric Analysis of Hearing-Related Structures of Brain in Children with GJB2-Related Congenital Deafness. Children. 2022; 9(6):800. https://doi.org/10.3390/children9060800
Chicago/Turabian StyleWagner, Matthias W., Sharon L. Cushing, Makabongwe Tshuma, Karen A. Gordon, Birgit B. Ertl-Wagner, and Logi Vidarsson. 2022. "Volumetric Analysis of Hearing-Related Structures of Brain in Children with GJB2-Related Congenital Deafness" Children 9, no. 6: 800. https://doi.org/10.3390/children9060800
APA StyleWagner, M. W., Cushing, S. L., Tshuma, M., Gordon, K. A., Ertl-Wagner, B. B., & Vidarsson, L. (2022). Volumetric Analysis of Hearing-Related Structures of Brain in Children with GJB2-Related Congenital Deafness. Children, 9(6), 800. https://doi.org/10.3390/children9060800

