Parental and Dentist Satisfaction with Primary Anterior Zirconia Crowns: A Case Series Analysis
Abstract
1. Introduction
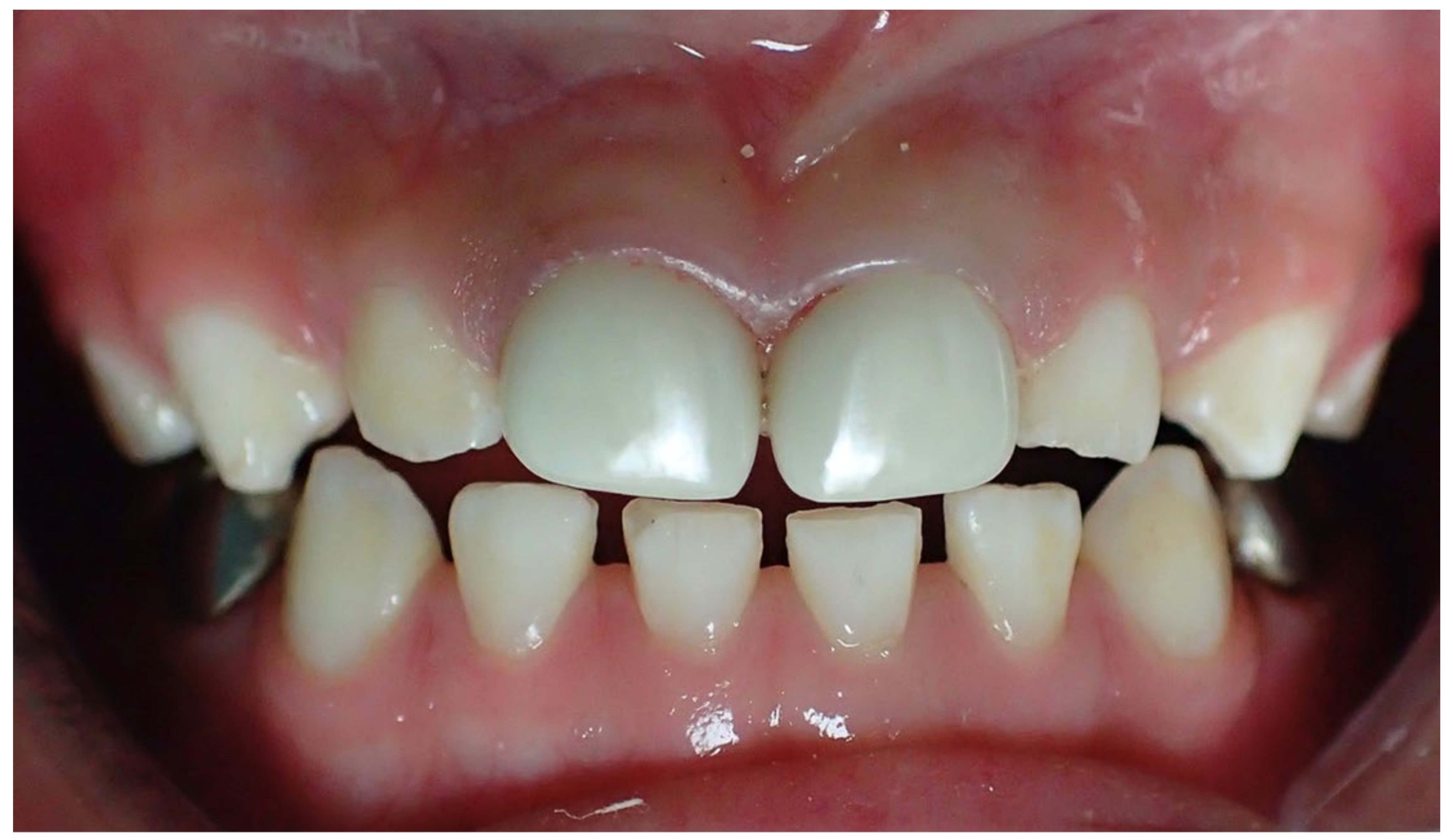
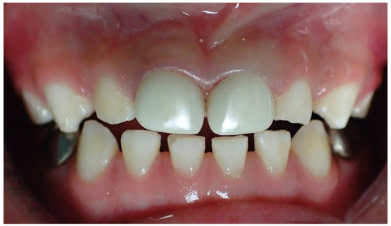
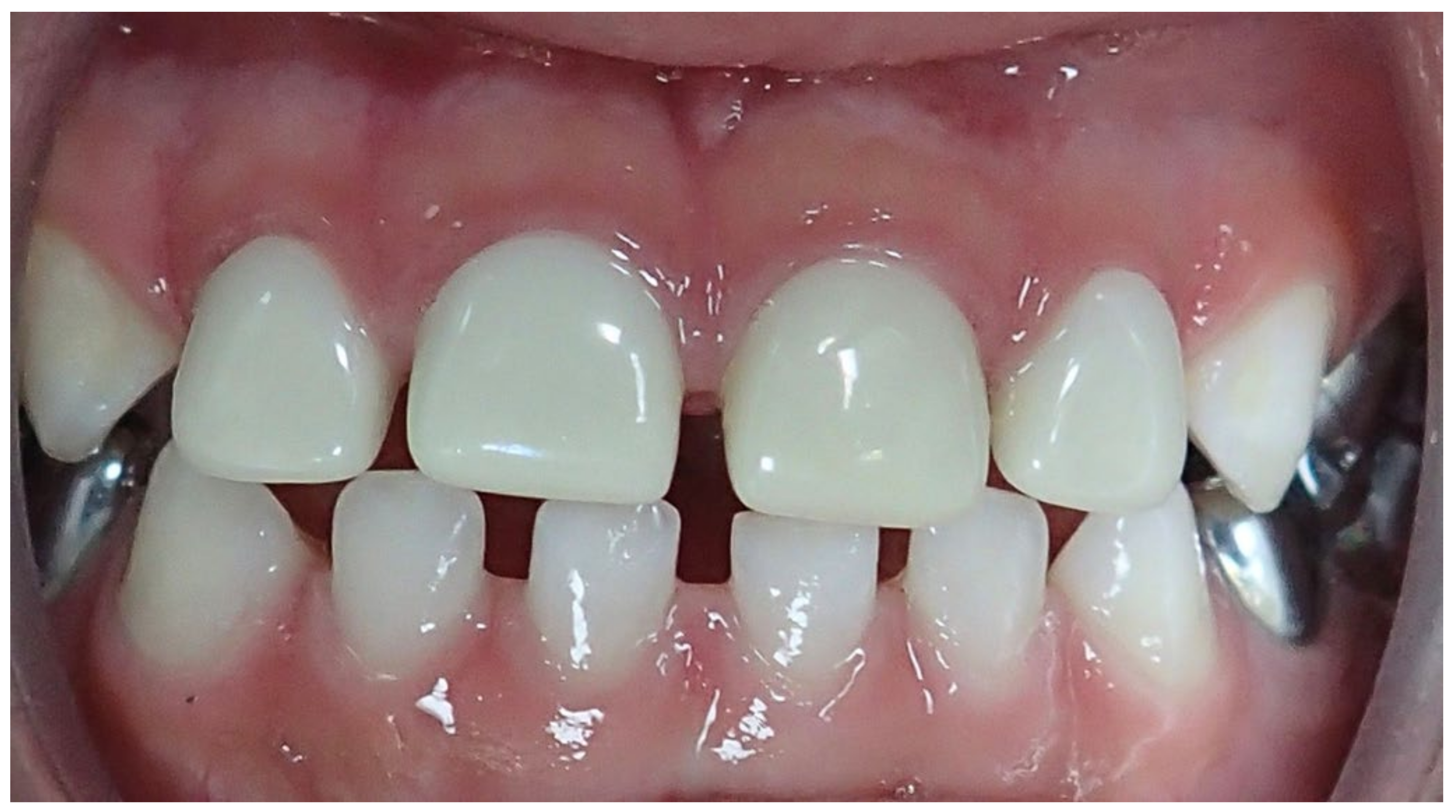
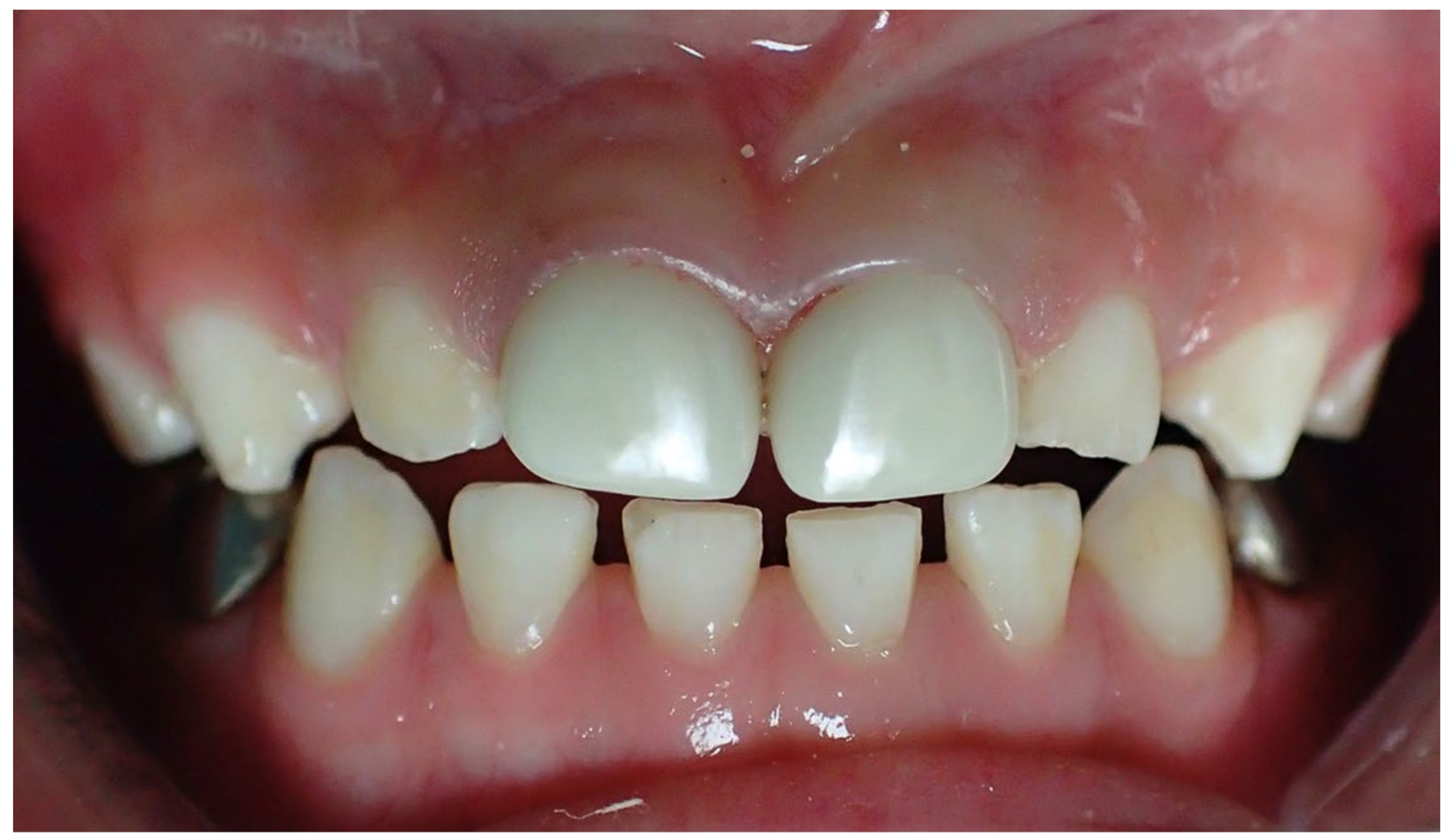
2. Materials and Methods
2.1. Treatment Procedure
2.2. Statistical Analysis
3. Results
4. Discussion
5. Conclusions
Author Contributions
Funding
Institutional Review Board Statement
Informed Consent Statement
Data Availability Statement
Conflicts of Interest
References
- Waggoner, W.F. Restoring Primary Anterior Teeth: Updated for 2014. Pediatr. Dent. 2015, 37, 163–170. [Google Scholar] [PubMed]
- Liu, J.A.; Donly, K.J. A review of aesthetic crowns for the anterior dentition. Decis. Dent. 2016, 2, 18, 21–25. [Google Scholar]
- Aiem, E.; Smail-Faugeron, V.; Mull-Bolla, M. Aesthetic preformed paediatric crowns: Systemic review. Int. J. Paediatr. Dent. 2017, 27, 273–282. [Google Scholar] [CrossRef] [PubMed]
- Yanover, L. Aesthetic restoration of the primary anterior dentition. Oral Health 2017, 107, 14–16. [Google Scholar]
- Kupietzky, A.; Waggoner, W.F.; Galea, J. Long-term photographic and radiographic assessment of bonded resin composite strip crowns for primary incisors: Results after 3 years. Pediatr. Dent. 2005, 27, 221–225. [Google Scholar]
- Ram, D.; Fuks, A.B. Clinical performance of resin-bonded composite strip crowns in primary incisors: A retrospective study. Int. J. Paediatr. Dent. 2006, 16, 49–54. [Google Scholar] [CrossRef]
- Waggoner, W.F.; Cohen, H. Failure strength of four veneered primary stainless-steel crowns. Pediatr. Dent. 1995, 17, 36–40. [Google Scholar]
- Roberts, C.; Lee, J.Y.; Wright, J.T. Clinical evaluation and parental satisfaction with resin- faced stainless steel crowns. Pediatr. Dent. 2001, 23, 28–31. [Google Scholar]
- Holsinger, D.M.; Wells, M.H.; Scarbecz, M.; Donaldson, M. Clinical evaluation and parental satisfaction with pediatric anterior zirconia crowns. Pediatr. Dent. 2016, 38, 192–197. [Google Scholar]
- Seminario, A.L.; Garcia, M.; Spiekerman, C.; Rajanbabu, P.; Donly, K.J. Survival of zirconia crowns in primary maxillary incisors at 12, 24 and 36 month follow-up. Pediatr. Dent. 2019, 41, 385–390. [Google Scholar]
- Ashima, G.; Sarabjot, K.B.; Gauba, K.; Mittal, H.C. Zirconia crowns for rehabilitation of decayed primary incisors: An aesthetic alternative. J. Clin. Pediatr. Dent. 2014, 39, 18–22. [Google Scholar] [CrossRef]
- Hanafi, L.; Altinawi, M.; Comisi, J.C. Evaluation and comparison two types of prefabricated zirconia crowns in mixed and primary dentition: A randomized clinical trial. Heliyon 2021. [Google Scholar] [CrossRef]
- Sato, H.; Ban, S.; Hashiguchi, M.; Yamasaki, Y. Effect of autoclave treatment on bonding strength of dental zirconia ceramics to resin cements. J. Ceram. Soc. Jpn. 2010. [Google Scholar] [CrossRef]
- Walia, T.; Salami, A.A.; Bashiri, R.; Hamoodi, O.M.; Rashid, F. A randomised controlled trial of three aesthetic full-coronal restorations in primary maxillary teeth. Eur. J. Paediatr. Dent. 2014, 15, 113–118. [Google Scholar]
- Gill, A.; Garcia, M.; An, S.W.; Scott, J.A.; Seminario, A.L. Clinical comparison of three aesthetic full-coverage restorations in primary maxillary incisors at 12 months. Pediatr. Dent. 2020, 42, 67–72. [Google Scholar]
- Salami, A.; Walia, T.; Bashiri, R. Comparison of parental satisfaction with three tooth-coloured full-coronal restorations in primary maxillary incisors. J. Clin. Pediatr. Dent. 2015, 39, 423–428. [Google Scholar] [CrossRef]
- Milnes, A.R. Is Formocresol obsolete? A fresh look at the evidence concerning safety issues. Pediatr. Dent. 2008, 30, 237–246. [Google Scholar] [CrossRef]
- Yoshida, K. Influence of cleaning methods on bond strength of resin cement to saliva-contaminated lithium disilicate ceramic. Clin. Oral Investig. 2020, 24, 2091–2097. [Google Scholar] [CrossRef]
- Yanover, L.; Tickotsky, N.; Waggoner, W.; Kupietzky, A.; Moskovitz, M. Zirconia crown performance in primary maxillary anterior teeth: A retrospective photographic and radiographic cohort study. Eur. Arch. Paediatr. Dent. 2020, 1–7. [Google Scholar] [CrossRef] [PubMed]
- Kupietzky, A.; Waggoner, W.F.; Galea, J. The clinical and radiographic success of bonded resin composite strip crowns for primary incisors. Pediatr. Dent. 2003, 25, 577–581. [Google Scholar] [PubMed]
- Kupietzky, A.; Waggoner, W.F. Parental satisfaction with bonded resin strip crowns for primary incisors. Pediatr. Dent. 2004, 26, 337–340. [Google Scholar] [PubMed]


| Assessment Criteria | Parent | Dental Evaluators |
|---|---|---|
| Colour Match | ||
| 1 | There is no difference from other teeth | No noticeable difference from adjacent teeth |
| 2 | There is a slight mismatch from adjacent teeth | Slight shade mismatch |
| 3 | There is an obvious mismatch from adjacent teeth | Obvious shade mismatch |
| Crown Contour | ||
| 1 | Crown nicely contoured and natural-looking | Crown appears very cosmetic, nicely contoured and natural-looking |
| 2 | Crown acceptable but could have better shape | Crown appears acceptable but could have been contoured better, perhaps longer, shorter, wider, thinner |
| 3 | Crown unacceptable | Crown not aesthetic, detracts from the appearance of the mouth |
| Crown Durability | ||
| 1 | Crown appears intact with no chips, cracks or fracture | Crown appears normal; no cracks, chips or fracture |
| 2 | Crown has small, noticeable chips, cracks or fracture | Small but noticeable areas of loss of material |
| 3 | Crown has large chips, cracks, fracture | Large loss of crown material |
| 4 | Crown is missing 1 lost naturally 2 trauma 3 extraction due to infection | |
| 5 | Crown has been repaired or replaced | |
| Overall Parent Satisfaction | ||
| Yes or No | Overall, were you satisfied with the results of the crowns | |
| Yes or No | Would you choose this procedure if once again offered | |
| Yes or No | Would you recommend this procedure to a friend with a child having a similar problem |
| Patients | 37 (Male = 27, Female = 10) |
| Teeth | 131 |
| Cheng Crowns | 22 (7 cases) |
| NuSmile Crowns | 91 (25 cases) |
| Sprig Crowns | 18 (5 cases) |
| Pulpotomy | 15 |
| Age at treatment | 41.5 months |
| Recall duration mean time | 13.3 months |
| Short term recall group duration | 6–10.4 months (mean 8.1, n = 22) |
| Long term recall group duration | 12.5–33.8 months (mean 21.0, n = 15) |
| Crown retention rate | 99.7% (1 crown rebonded at 2 months) |
| Sedation | 16 patients, 53 crowns |
| General anaesthesia | 21 patients, 78 crowns |
| Colour Match | Rank 1 | Rank 2 or 3 * |
|---|---|---|
| Parent | 84% (n = 95) | 26% (n = 36) |
| Dental Evaluators | 36% (n = 47) | 64% (n = 84) |
| Crown Contour | Rank 1 | Rank 2 or 3 * |
|---|---|---|
| Parent | 97% (n = 142) | 3% (n = 4) |
| Dental Evaluators | 55% (n = 73) | 45% (n = 58) |
| Colour Match Parent vs. Dentist | Short Term Recall Group Recall | Long Term Recall Group Recall |
|---|---|---|
| n = 131 crowns | Mean recall 8.1 month | Mean recall 21.0 months |
| Parent | ||
| Rank 1 | 61 | 34 |
| Rank 2 | 20 | 16 |
| Dental Evaluators | ||
| Rank 1 | 29 | 18 |
| Rank 2 or 3 | 52 | 32 |
| Colour Match Pulpotomized Teeth | Pulpotomy (n = 15) | No Pulpotomy (n = 13) |
|---|---|---|
| Parent | ||
| Rank 1 | 35.7% (n = 10) | 35.7% (n = 10) |
| Rank 2 | 17.9% (n = 5) | 10.7% (n = 3) |
| Dental Evaluator | ||
| Rank 1 | 7.1% (n = 2) | 17.9% (n = 5) |
| Rank 2 or 3 | 46.4% (n = 13) | 28.6% (n = 8) |
Publisher’s Note: MDPI stays neutral with regard to jurisdictional claims in published maps and institutional affiliations. |
© 2021 by the authors. Licensee MDPI, Basel, Switzerland. This article is an open access article distributed under the terms and conditions of the Creative Commons Attribution (CC BY) license (https://creativecommons.org/licenses/by/4.0/).
Share and Cite
Yanover, L.; Waggoner, W.; Kupietzky, A.; Moskovitz, M.; Tickotsky, N. Parental and Dentist Satisfaction with Primary Anterior Zirconia Crowns: A Case Series Analysis. Children 2021, 8, 451. https://doi.org/10.3390/children8060451
Yanover L, Waggoner W, Kupietzky A, Moskovitz M, Tickotsky N. Parental and Dentist Satisfaction with Primary Anterior Zirconia Crowns: A Case Series Analysis. Children. 2021; 8(6):451. https://doi.org/10.3390/children8060451
Chicago/Turabian StyleYanover, Lawrence, William Waggoner, Ari Kupietzky, Moti Moskovitz, and Nili Tickotsky. 2021. "Parental and Dentist Satisfaction with Primary Anterior Zirconia Crowns: A Case Series Analysis" Children 8, no. 6: 451. https://doi.org/10.3390/children8060451
APA StyleYanover, L., Waggoner, W., Kupietzky, A., Moskovitz, M., & Tickotsky, N. (2021). Parental and Dentist Satisfaction with Primary Anterior Zirconia Crowns: A Case Series Analysis. Children, 8(6), 451. https://doi.org/10.3390/children8060451

