Focusing on Autism Spectrum Disorder in Xia–Gibbs Syndrome: Description of a Female with High Functioning Autism and Literature Review
Abstract
1. Introduction
2. Methods
2.1. Case Report
2.2. Literature Review
3. Results
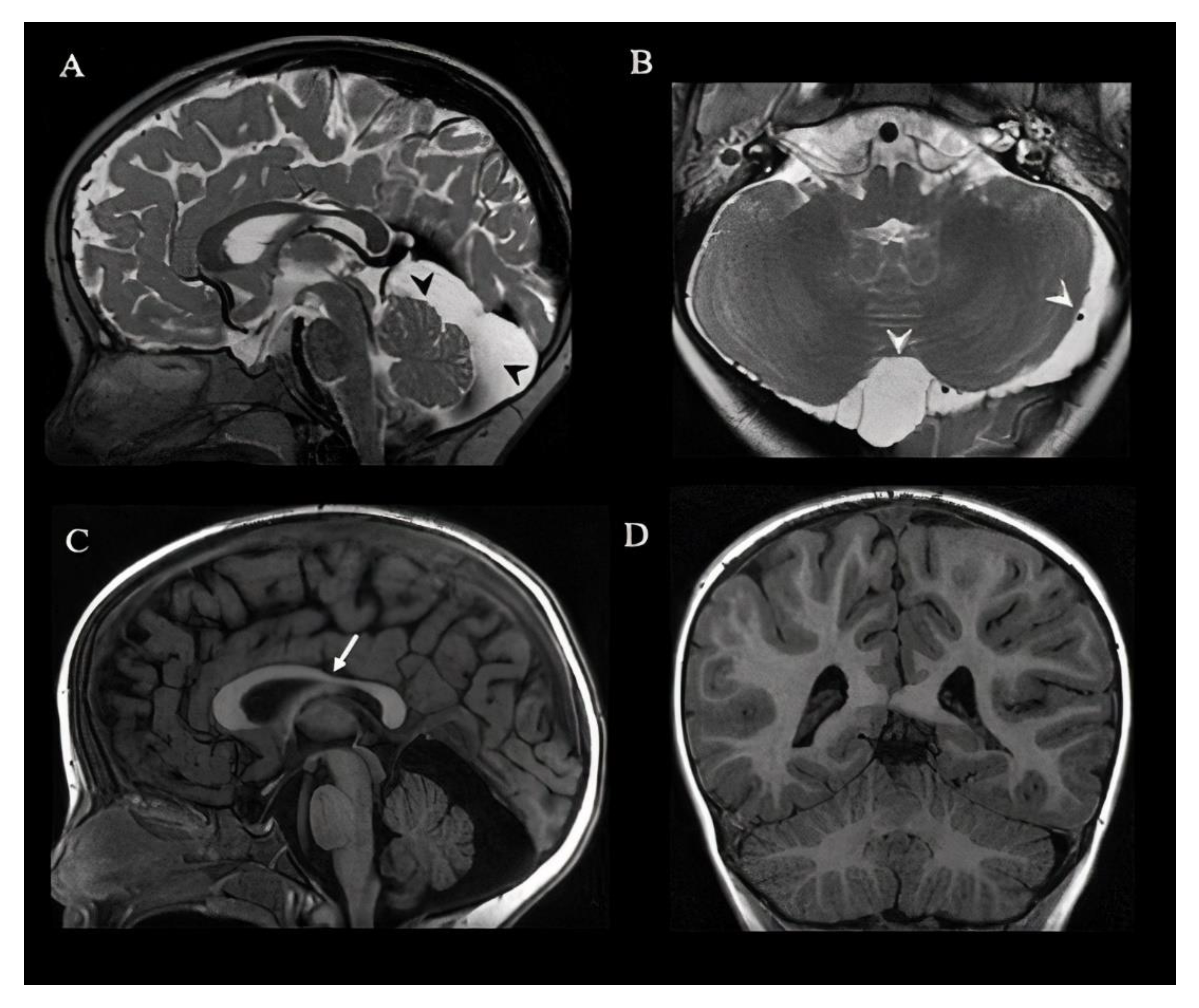
3.1. Case Report: Clinical Data
3.2. Case Report: Longitudinal Neuropsychiatric Profile
3.3. Literature Review
4. Discussion
Author Contributions
Funding
Institutional Review Board Statement
Informed Consent Statement
Data Availability Statement
Conflicts of Interest
References
- Goyal, C.; Naqvi, W.M.; Sahu, A.; Aujla, A.S. Xia-Gibbs syndrome: A review of literature. Cureus 2020, 12, e12352. [Google Scholar] [CrossRef]
- Wang, Q.; Huang, X.; Liu, Y.; Peng, Q.; Zhang, Y.; Liu, J.; Yuan, H. Microdeletion and microduplication of 1p36.11p35.3 involving AHDC1 contribute to neurodevelopmental disorder. Eur. J. Med. Genet. 2020, 63, 103611. [Google Scholar] [CrossRef]
- Khayat, M.M.; Li, H.; Chander, V.; Hu, J.; Hansen, A.W.; Li, S.; Traynelis, J.; Shen, H.; Weissenberger, G.; Stossi, F.; et al. Phenotypic and protein localization heterogeneity associated with AHDC1 pathogenic protein-truncating alleles in Xia-Gibbs syndrome. Hum. Mutat. 2021, 42, 577–591. [Google Scholar] [CrossRef]
- Jiang, Y.; Wangler, M.F.; McGuire, A.L.; Lupski, J.R.; Posey, J.E.; Khayat, M.M.; Murdock, D.R.; Sanchez-Pulido, L.; Ponting, C.P.; Xia, F.; et al. The phenotypic spectrum of Xia-Gibbs syndrome. Am. J. Med. Genet. Part A 2018, 176, 1315–1326. [Google Scholar] [CrossRef] [PubMed]
- Rutter, M.; Bailey, A.; Lord, C. The Social Communication Questionnaire: Manual; Western Psychological Services: Los Angeles, CA, USA, 2003. [Google Scholar]
- Rutter, M.; LeCouteur, A.; Lord, C. The Autism Diagnostic Interview-Revised; Western Psychological Services: Los Angeles, CA, USA, 2003; Volume 24, pp. 659–685. [Google Scholar]
- Lord, C.; Rutter, M.; DiLavore, P.C.; Risi, S.; Gotham, K.; Bishop, S.L.; Luyster, R.J.; Guthrie, W. Autism Diagnostic Observation Schedule, 2nd ed.; Western Psychological Services: Torrance, CA, USA, 2012; pp. 1–4. [Google Scholar]
- Wechsler, D. Wechsler Intelligence Scale for Children, 4th ed.; Psychological Corporation: San Antonio, TX, USA, 2003. [Google Scholar]
- Balboni, G.; Belacchi, C.; Bonichini, S.; Coscarelli, A. Vineland Adaptive Behavior Scales. Survey Interview Form, 2nd ed.; Giunti, O.S., Ed.; Italian Standardization: Florence, Italy, 2016. [Google Scholar]
- Achenbach, T.M.; Rescorla, L.A. Manual for the ASEBA School-Age Forms & Profiles: Child Behavior Checklist for Ages 6–18, Teacher’s Report Form, Youth Self-Report: An Integrated System of Multi-Informant Assessment; University of Vermont, Research Center for Children Youth & Families: Burlington, VT, USA, 2001. [Google Scholar]
- Tager-Flusberg, H.; Rogers, S.; Cooper, J.; Landa, R.; Lord, C.; Paul, R.; Rice, M.; Stoel-Gammon, C.; Wetherby, A.; Yoder, P. Defining spoken language benchmarks and selecting measures of expressive language development for young children with autism spectrum disorders. J. Speech Lang. Hear. Res. 2009, 52, 643–652. [Google Scholar] [CrossRef]
- Korkman, M.; Kirk, U.; Kemp, S. NEPSY-II, 2nd ed.; Giunti, O.S., Ed.; Italian Adaptation: Firenze, Italy, 2011. [Google Scholar]
- Wechsler, D. Wechsler Preschool and Primary Scale of Intelligence, 3rd ed.; Harcourt Assessment: San Antonio, TX, USA, 2002. [Google Scholar]
- Liberati, A.; Altman, D.G.; Tetzlaff, J.; Mulrow, C.; Gøtzsche, P.C.; Ioannidis, J.P.; Clarke, M.; Devereaux, P.J.; Kleijnen, J.; Moher, D. The PRISMA statement for reporting systematic reviews and meta-analyses of studies that evaluate health care interventions: Explanation and elaboration. PLoS Med. 2009, 6, e1000100. [Google Scholar] [CrossRef] [PubMed]
- Xia, F.; Bainbridge, M.N.; Tan, T.Y.; Wangler, M.F.; Scheuerle, A.E.; Zackai, E.H.; Harr, M.H.; Sutton, V.R.; Nalam, R.L.; Zhu, W.; et al. De novo truncating mutations in AHDC1 in individuals with syndromic expressive language delay, hypotonia, and sleep apnea. Am. J. Hum. Genet. 2014, 94, 784–789. [Google Scholar] [CrossRef]
- Nowell, K.P.; Schanding, G.T., Jr.; Kanne, S.M.; Goin-Kochel, R.P. Cognitive Profiles in Youth with Autism Spectrum Disorder: An Investigation of Base Rate Discrepancies using the Differential Ability Scales. Second Edition. J. Autism Dev. Disord. 2015, 45, 1978–1988. [Google Scholar] [CrossRef] [PubMed]
- Courchesne, V.; Girard, D.; Jacques, C.; Soulières, I. Assessing intelligence at autism diagnosis: Mission impossible? Testability and cognitive profile of autistic preschoolers. J. Autism Dev. Disord. 2019, 49, 845–856. [Google Scholar] [CrossRef]
- Hedvall, Å.; Fernell, E.; Holm, A.; Åsberg Johnels, J.; Gillberg, C.; Billstedt, E. Autism, processing speed, and adaptive functioning in preschool children. Sci. World J. 2013, 2013, 158263. [Google Scholar] [CrossRef] [PubMed]
- Barbaro, J.; Dissanayake, C. Developmental profiles of infants and toddlers with autism spectrum disorders identified prospectively in a community-based setting. J. Autism Dev. Disord. 2012, 42, 1939–1948. [Google Scholar] [CrossRef]
- Hudry, K.; Leadbitter, K.; Temple, K.; Slonims, V.; McConachie, H.; Aldred, C.; Howlin, P.; Charman, T. Preschoolers with autism show greater impairment in receptive compared with expressive language abilities. Int. J. Lang. Commun. Disord. 2010, 45, 681–690. [Google Scholar] [CrossRef]
- Seol, K.I.; Song, S.H.; Kim, K.L.; Oh, S.T.; Kim, Y.T.; Im, W.Y.; Song, D.H.; Cheon, K.A. A comparison of receptive-expressive language profiles between toddlers with autism spectrum disorder and developmental language delay. Yonsei Med. J. 2014, 55, 1721–1728. [Google Scholar] [CrossRef] [PubMed]
- Berenguer, C.; Roselló, B.; Colomer, C.; Baixauli, I.; Miranda, A. Children with autism and attention deficit hyperactivity disorder. Relationships between symptoms and executive function, theory of mind, and behavioral problems. Res. Dev. Disabil. 2018, 83, 260–269. [Google Scholar] [CrossRef]
- Yang, S.; Paynter, J.M.; Gilmore, L. Vineland Adaptive Behavior Scales: II Profile of Young Children with Autism Spectrum Disorder. J. Autism Dev. Disord. 2016, 46, 64–73. [Google Scholar] [CrossRef] [PubMed]
- Tager-Flusberg, H.; Paul, R.; Lord, C. Language and Communication in Autism. In Handbook of Autism and Pervasive Developmental Disorders: Diagnosis, Development, Neurobiology, and Behavior, 3rd ed.; John Wiley & Sons Inc.: Hoboken, NJ, USA, 2005; Volume 1, pp. 335–364. [Google Scholar]
- American Psychiatric Association. Diagnostic and Statistical Manual of Mental Disorders: DSM-5; American Psychiatric Association: Washington, DC, USA, 2013. [Google Scholar]
- Ritter, A.L.; McDougall, C.; Skraban, C.; Medne, L.; Bedoukian, E.C.; Asher, S.B.; Balciuniene, J.; Campbell, C.D.; Baker, S.W.; Denenberg, E.H.; et al. Variable Clinical manifestations of Xia-Gibbs syndrome: Findings of consecutively identified cases at a single children’s hospital. Am. J. Med. Genet. Part A 2018, 176, 1890–1896. [Google Scholar] [CrossRef] [PubMed]
- Mubungu, G.; Makay, P.; Boujemla, B.; Yanda, S.; Posey, J.E.; Lupski, J.R.; Bours, V.; Lukusa, P.; Devriendt, K.; Lumaka, A. Clinical presentation and evolution of Xia-Gibbs syndrome due to p.Gly375ArgfsTer3 variant in a patient from DR Congo (Central Africa). Am. J. Med. Genet. Part A 2021, 185, 990–994. [Google Scholar] [CrossRef] [PubMed]
- Park, H.Y.; Kim, M.; Jang, W.; Jang, D.H. Phenotype of a patient with a 1p36.11-p35.3 interstitial deletion encompassing the AHDC1. Ann. Lab. Med. 2017, 37, 563–565. [Google Scholar] [CrossRef] [PubMed]
- Díaz-Ordoñez, L.; Ramirez-Montaño, D.; Candelo, E.; Cruz, S.; Pachajoa, H. Syndromic intellectual disability caused by a novel truncating variant in AHDC1: A case report. Iran. J. Med. Sci. 2019, 44, 257–261. [Google Scholar]
- Yang, H.; Douglas, G.; Monaghan, K.G.; Retterer, K.; Cho, M.T.; Escobar, L.F.; Tucker, M.E.; Stoler, J.; Rodan, L.H.; Stein, D.; et al. De novo truncating variants in the AHDC1 gene encoding the AT-hook DNA-binding motif-containing protein 1 are associated with intellectual disability and developmental delay. Cold Spring Harb. Mol. Case Stud. 2015, 1, a000562. [Google Scholar] [CrossRef]
- Goyal, C.; Naqvi, W.; Sahu, A. Xia-Gibbs syndrome: A rare case report of a male child and insight into physiotherapy management. Cureus 2020, 12, e9622. [Google Scholar] [CrossRef]
- Loomes, R.; Hull, L.; Mandy, W.P.L. What is the male-to-female ratio in autism spectrum disorder? A systematic review and meta-analysis. J. Am. Acad. Child Adolesc. Psychiatry 2017, 56, 466–474. [Google Scholar] [CrossRef]
- Jacquemont, S.; Coe, B.P.; Hersch, M.; Duyzend, M.H.; Krumm, N.; Bergmann, S.; Beckmann, J.S.; Rosenfeld, J.A.; Eichler, E.E. A higher mutational burden in females supports a “female protective model” in neurodevelopmental disorders. Am. J. Hum. Genet. 2014, 94, 415–425. [Google Scholar] [CrossRef]
- Ghirardi, L.; Brikell, I.; Kuja-Halkola, R.; Freitag, C.M.; Franke, B.; Asherson, P.; Lichtenstein, P.; Larsson, H. The familial co-aggregation of ASD and ADHD: A register-based cohort study. Mol. Psychiatry 2018, 23, 257–262. [Google Scholar] [CrossRef] [PubMed]
- Jeste, S.S.; Tuchman, R. Autism spectrum disorder and epilepsy: Two sides of the same coin? J. Child Neurol. 2015, 30, 1963–1971. [Google Scholar] [CrossRef]
- Holmes, H.; Sawer, F.; Clark, M. Autism spectrum disorders and epilepsy in children: A commentary on the occurrence of autism in epilepsy; how it can present differently and the challenges associated with diagnosis. Epilepsy Behav. 2021, 117, 107813. [Google Scholar] [CrossRef]
- Parkinson, G.M. Pragmatic difficulties in children with autism associated with childhood epilepsy. J. Pediatr. Rehabil. Med. 2006, 9, 229–246. [Google Scholar] [CrossRef] [PubMed]
- Popp, B.; Ekici, A.B.; Thiel, C.T.; Hoyer, J.; Wiesener, A.; Kraus, C.; Reis, A.; Zweier, C. Exome Pool-Seq in neurodevelopmental disorders. Eur. J. Hum. Genet. 2017, 25, 1364–1376. [Google Scholar] [CrossRef]
- Murdock, D.R.; Jiang, Y.; Wangler, M.; Khayat, M.M.; Sabo, A.; Juusola, J.; McWalter, K.; Schatz, K.S.; Gunay-Aygun, M.; Gibbs, R.A. Xia-Gibbs syndrome in adulthood: A case report with insight into the natural history of the condition. Cold Spring Harb. Mol. Case Stud. 2019, 5. [Google Scholar] [CrossRef] [PubMed]
- Cardoso-Dos-Santos, A.C.; Oliveira Silva, T.; Silveira Faccini, A.; Woycinck Kowalski, T.; Bertoli-Avella, A.; Morales Saute, J.A.; Schuler-Faccini, L.; de Oliveira Poswar, F. Novel AHDC1 gene mutation in a brazilian individual: Implications of Xia-Gibbs syndrome. Mol. Syndr. 2020, 11, 24–29. [Google Scholar] [CrossRef] [PubMed]
- McCauley, J.B.; Elias, R.; Lord, C. Trajectories of co-occurring psychopathology symptoms in autism from late childhood to adulthood. Dev. Psychopathol. 2020, 32, 1287–1302. [Google Scholar] [CrossRef] [PubMed]
- Marshall, M. The hidden links between mental disorders. Nature 2020, 581, 19–21. [Google Scholar] [CrossRef]
- Bodfish, J.W.; Symons, F.J.; Parker, D.E.; Lewis, M.H. Varieties of repetitive behavior in autism: Comparisons to mental retardation. J. Autism Dev. Disord. 2000, 30, 237–243. [Google Scholar] [CrossRef] [PubMed]
- Guttmann-Steinmetz, S.; Gadow, K.D.; DeVincent, C.J.; Crowell, J. Anxiety symptoms in boys with autism spectrum disorder, attention-deficit hyperactivity disorder, or chronic multiple tic disorder and community controls. J. Autism Dev. Disord. 2010, 40, 1006–1016. [Google Scholar] [CrossRef]
- Kanne, S.M.; Mazurek, M.O. Aggression in children and adolescents with ASD: Prevalence and risk factors. J. Autism Dev. Disord. 2011, 41, 926–937. [Google Scholar] [CrossRef]
- Baxter, P. Distinguishing ataxia from developmental coordination disorder. Dev. Med. Child Neurol. 2020, 62, 11. [Google Scholar] [CrossRef]
- Fournier, K.A.; Hass, C.J.; Naik, S.K.; Lodha, N.; Cauraugh, J.H. Motor Coordination in Autism spectrum disorders: A synthesis and meta-analysis. J. Autism Dev. Disord. 2010, 40, 1227–1240. [Google Scholar] [CrossRef] [PubMed]
- Bosch, D.G.; Boonstra, F.N.; de Leeuw, N.; Pfundt, R.; Nillesen, W.M.; de Ligt, J.; Gilissen, C.; Jhangiani, S.; Lupski, J.R.; Cremers, F.P.; et al. Novel genetic causes for cerebral visual impairment. Eur. J. Hum. Genet. 2016, 24, 660–665. [Google Scholar] [CrossRef]
- Gumus, E. Extending the phenotype of Xia-Gibbs syndrome in a two-year-old patient with craniosynostosis with a novel de novo AHDC1 missense mutation. Eur. J. Hum. Genet. 2020, 63, 103637. [Google Scholar] [CrossRef] [PubMed]
- He, P.; Yang, Y.; Zhen, L.; Li, D.Z. Recurrent hypoplasia of corpus callosum as a prenatal phenotype of Xia-Gibbs syndrome caused by maternal germline mosaicism of an AHDC1 variant. Eur. J. Obstet. Gynecol. Reprod. Biol. 2020, 244, 208–210. [Google Scholar] [CrossRef]
- Cheng, X.; Tang, F.; Hu, X.; Li, H.; Li, M.; Fu, Y.; Yan, L.; Li, Z.; Gou, P.; Su, N.; et al. Two Chinese Xia-Gibbs syndrome patients with partial growth hormone deficiency. Mol. Genet. Genom. 2019, 7, e00596. [Google Scholar] [CrossRef] [PubMed]
- García-Acero, M.; Acosta, J. Whole-exome sequencing identifies a de novo AHDC1 mutation in a colombian patient with Xia-Gibbs syndrome. Mol. Syndromol. 2017, 8, 308–312. [Google Scholar] [CrossRef] [PubMed]
- Bellani, M.; Calderoni, S.; Muratori, F.; Brambilla, P. Brain anatomy of autism spectrum disorders I. Focus on corpus callosum. Epidemiol. Psychiatr. Sci. 2013, 22, 217–221. [Google Scholar] [CrossRef] [PubMed]
- Giuliano, A.; Saviozzi, I.; Brambilla, P.; Muratori, F.; Retico, A.; Calderoni, S. The effect of age, sex and clinical features on the volume of corpus callosum in pre-schoolers with autism spectrum disorder: A case-control study. Eur. J. Neurosci. 2018, 47, 568–578. [Google Scholar] [CrossRef] [PubMed]




| Genetic characteristics | ||
| Nucleotide and protein change | c.514dupA, p.Ser172fs | |
| Inheritance | de novo | |
| Age | 7 yrs and 5 mths | |
| Gender | F | |
| Ethnicity | White | |
| Neurological aspects | ||
| Hypotonia | Y | |
| Motor delay | Y (Independent walking at 20 mths) | |
| Language Delay | Y | |
| Motor incoordination | Y | |
| ID | N | |
| Epilepsy | Focal seizures with secondary generalization, successfully treated with carbamazepine | |
| Age of first seizure | 2 yrs | |
| EEG | Left focal paroxysmal activity and posterior slow activity on the right parieto–occipital regions | |
| Brain MRI | TCC, posterior fossa anomalies and asymmetric sulcation without cortical dysplasia | |
| ORL aspects | ||
| Sleep apnoea | Y | |
| Breathing support | N | |
| Hearing loss | Y (mild conductive) | |
| Adenotonsillar hypertrophy | Y | |
| Vision aspects | ||
| Ocular Refractive Errors | Y (Hypermetropia) | |
| Strabismus | Y | |
| Growth features | At 4 yrs | At 7 yrs |
| HC | 49 cm (50th Pc) | 54 cm (90th Pc) |
| Weight | 13.4 kg (<1.0 SD) | 26 kg (75th Pc) |
| Height | 87.8 cm (<3.0 SD) | 120 cm (25th Pc) |
| GH deficiency | Y (GH therapy from the age of 4 yrs) | |
| Orthopaedic aspects | Absence of scoliosis and craniosynostosis | |
| Dysmorphic features | Low-set ears, flat nasal bridge, prominent frontal eminence | |
| 3 yrs 6 mths–4 yrs 2 mths | 5 yrs 7 mths | 7 yrs 3 mths–7 yrs 5 mths | |
|---|---|---|---|
| Spoken language | Sentences * | Complex language * | Complex language * |
| Cognitive skills | WPPSI-III (band 2 yrs 6 mths–3 yrs 11 mths) | WPPSI-III (band 4–7 yrs 3 mths) | WISC-IV (band 6–16 yrs 11 mths) |
| VIQ = 120 PIQ = 52 | VIQ = 94 PIQ = 59 PSQ = 52 | VCI = 94 PRI = 71 WMI = 109 PSI = 47 | |
| VABS-II | |||
| Communication (IQ deviation) | 103 | 78 | 74 |
| Socialization (IQ deviation) | 75 | 70 | 67 |
| Daily living skills (IQ deviation) | 64 | 70 | 62 |
| Motor skills (IQ deviation) | 57 | 51 | - |
| CBCL | 1 ½ -5yrs | 6–18yrs | |
| Internalizing (t-score) | 60 | 61 | |
| Externalizing (t-score) | 54 | 72 | |
| Total problems (t-score) | 57 | 71 | |
| SCQ-Lifetime | |||
| Total score | 16 (cut-off 15) | - | - |
| ADI-R | |||
| Social interaction score | 12 (cut-off 10) | - | - |
| Communication score | 13 (cut-off 8) | - | - |
| RRB score | 7 (cut-off 3) | - | - |
| Abnormal development 1 score | >1 (cut-off 1) | - | - |
| ADOS-2, Module 2 | |||
| Social affect score | 9 | - | - |
| RRB score | 4 | - | - |
| Total score | 13 (cut-off 7) | - | - |
Publisher’s Note: MDPI stays neutral with regard to jurisdictional claims in published maps and institutional affiliations. |
© 2021 by the authors. Licensee MDPI, Basel, Switzerland. This article is an open access article distributed under the terms and conditions of the Creative Commons Attribution (CC BY) license (https://creativecommons.org/licenses/by/4.0/).
Share and Cite
Della Vecchia, S.; Milone, R.; Cagiano, R.; Calderoni, S.; Santocchi, E.; Pasquariello, R.; Battini, R.; Muratori, F. Focusing on Autism Spectrum Disorder in Xia–Gibbs Syndrome: Description of a Female with High Functioning Autism and Literature Review. Children 2021, 8, 450. https://doi.org/10.3390/children8060450
Della Vecchia S, Milone R, Cagiano R, Calderoni S, Santocchi E, Pasquariello R, Battini R, Muratori F. Focusing on Autism Spectrum Disorder in Xia–Gibbs Syndrome: Description of a Female with High Functioning Autism and Literature Review. Children. 2021; 8(6):450. https://doi.org/10.3390/children8060450
Chicago/Turabian StyleDella Vecchia, Stefania, Roberta Milone, Romina Cagiano, Sara Calderoni, Elisa Santocchi, Rosa Pasquariello, Roberta Battini, and Filippo Muratori. 2021. "Focusing on Autism Spectrum Disorder in Xia–Gibbs Syndrome: Description of a Female with High Functioning Autism and Literature Review" Children 8, no. 6: 450. https://doi.org/10.3390/children8060450
APA StyleDella Vecchia, S., Milone, R., Cagiano, R., Calderoni, S., Santocchi, E., Pasquariello, R., Battini, R., & Muratori, F. (2021). Focusing on Autism Spectrum Disorder in Xia–Gibbs Syndrome: Description of a Female with High Functioning Autism and Literature Review. Children, 8(6), 450. https://doi.org/10.3390/children8060450

