Sign in to use this feature.

Years

Between: -

Subjects

remove_circle_outline
remove_circle_outline
remove_circle_outline
remove_circle_outline
remove_circle_outline
remove_circle_outline
remove_circle_outline
remove_circle_outline
remove_circle_outline

Journals

remove_circle_outline
remove_circle_outline
remove_circle_outline
remove_circle_outline
remove_circle_outline
remove_circle_outline
remove_circle_outline
remove_circle_outline
remove_circle_outline
remove_circle_outline
remove_circle_outline
remove_circle_outline
remove_circle_outline
remove_circle_outline
remove_circle_outline

Article Types

Countries / Regions

remove_circle_outline
remove_circle_outline
remove_circle_outline
remove_circle_outline
remove_circle_outline
remove_circle_outline
remove_circle_outline
remove_circle_outline

Search Results (2,011)

Search Parameters:
Keywords = pediatric dentistry

Order results
Result details
Results per page
Select all
Export citation of selected articles as:
8 pages, 203 KB  
Article
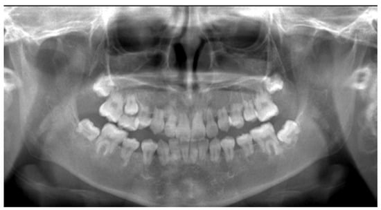
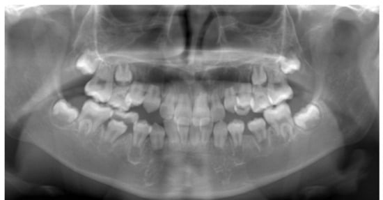
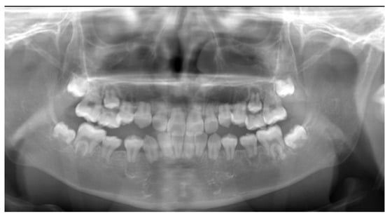
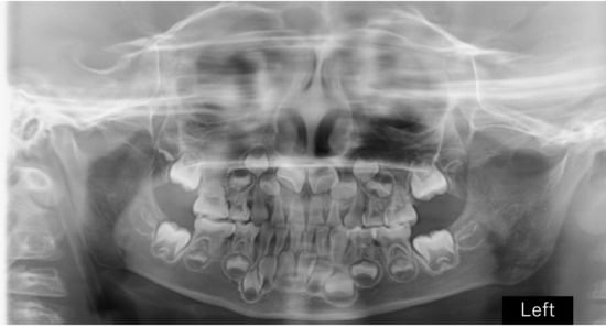
Age-Dependent Root Apex Closure in Primary Second Molars
by Kenan Cantekin, Fahrettin Kalabalık, Mihriban Güner and Münevver Kılıç
Children 2026, 13(5), 616; https://doi.org/10.3390/children13050616 - 28 Apr 2026
Abstract
Background: Primary teeth play a crucial role in guiding permanent dentition; however, data regarding root apex closure in primary molars remain limited. The aim of this study was to evaluate the age-related root apex closure status of primary second molars in children aged [...] Read more.
Background: Primary teeth play a crucial role in guiding permanent dentition; however, data regarding root apex closure in primary molars remain limited. The aim of this study was to evaluate the age-related root apex closure status of primary second molars in children aged 2–7 years using panoramic radiographs and to obtain clinically guiding data for pediatric dental treatment planning. Materials and Methods: This cross-sectional, descriptive, and retrospective study evaluated panoramic radiographs. A total of 1628 panoramic radiographs obtained from 1628 patients were evaluated, each representing one individual with primary second molars. The relationships between age groups, gender, and root apex closure status were analyzed statistically with a significance level set at p < 0.05. Results: No root apex closure was observed in either maxillary or mandibular primary second molars in the 2–2.99-year age group. In the 3–3.99-year group, a limited number of closed apices were detected only in mandibular primary second molars. A marked increase in the proportion of closed apices was observed in both jaws in the 4–4.99-year group. In the 5–5.99- and 6–6.99-year groups, root apex closure was completed in the majority of maxillary and mandibular primary second molars. Although statistically significant gender-related differences were detected in certain age groups, these differences were not consistent across all age categories. Conclusions: Root apex closure in primary second molars demonstrates a clear age-dependent pattern between 2 and 7 years of age. The findings are expected to provide clinically relevant guidance for pediatric endodontic treatment planning and contribute to the limited literature regarding root development in primary teeth. Full article
(This article belongs to the Collection Advance in Pediatric Dentistry)
15 pages, 819 KB  
Article
Multidimensional Severity Phenotypes in Dentofacial Deformities: Cross-Sectional Associations with Quality of Life, Function, and Psychosocial Burden
by Serban Talpos Niculescu, Bogdan Andrei Bumbu, Roxana Talpos Niculescu, Robert Avramut, Florin Urtila, Felicia Streian and Malina Popa
J. Clin. Med. 2026, 15(9), 3366; https://doi.org/10.3390/jcm15093366 - 28 Apr 2026
Abstract
Background: Dentofacial deformities (DFDs) comprise heterogeneous sagittal, vertical, transverse, and asymmetry components, yet clinical severity is often summarized using isolated measurements. Objectives: To operationalize a reproducible composite DFD severity score and evaluate its cross-sectional associations with quality of life, function, airway-related [...] Read more.
Background: Dentofacial deformities (DFDs) comprise heterogeneous sagittal, vertical, transverse, and asymmetry components, yet clinical severity is often summarized using isolated measurements. Objectives: To operationalize a reproducible composite DFD severity score and evaluate its cross-sectional associations with quality of life, function, airway-related screening indicators, and psychosocial burden. Methods: In this single-center cross-sectional study, consecutive adults assessed in an orthognathic surgery pathway underwent a prespecified 0–100 severity scoring framework integrating sagittal discrepancy (|Wits| and |ANB deviation|), vertical pattern (SN-MP angle), and asymmetry/transverse variables (chin deviation, asymmetry index, transverse discrepancy, and absolute overjet). Outcomes included the Oral Health Impact Profile-14 (OHIP-14), Orthognathic Quality of Life Questionnaire (OQLQ), FACE-Q facial appearance satisfaction scale, PHQ-9, GAD-7, STOP-Bang, functional testing, and CBCT-derived upper-airway metrics. Results: Severe DFDs had higher composite severity (62.9 ± 12.8 vs. 25.3 ± 10.9), larger sagittal discrepancy (|Wits| 6.3 ± 2.8 vs. 3.1 ± 1.8), and higher SN-MP angles (39.8 ± 7.4 vs. 34.7 ± 7.2) (all p < 0.001). Severe DFDs also had worse OQLQ (36.2 ± 6.2 vs. 24.1 ± 7.2), OHIP-14 (18.3 ± 4.2 vs. 12.4 ± 4.1), FACE-Q satisfaction (45.7 ± 10.3 vs. 67.6 ± 9.6), masticatory performance (59.4 ± 8.5 vs. 75.1 ± 7.5), and smaller airway area (126.7 ± 29.6 vs. 161.4 ± 27.7) (all p < 0.001). In multivariable logistic regression, |Wits|, SN-MP angle, asymmetry index, and lower airway area independently predicted severe status; PHQ-9 was associated with severity in unadjusted analyses but did not retain independent significance after multivariable adjustment. Model discrimination was high (AUC 0.91). Conclusions: This multidimensional severity framework captures clinically meaningful cross-sectional differences across morphologic, functional, airway-related, and psychosocial domains. Its interpretability remained stable in sensitivity analyses, but external and longitudinal validation is still required before broader implementation. Full article
(This article belongs to the Section Dentistry, Oral Surgery and Oral Medicine)
Show Figures

Figure 1

16 pages, 616 KB  
Review
Minimally Invasive Interventions for Childhood Caries: A Scoping Review of Their Applicability in Public Health and Community Settings
by Giovanna Lima Fortunato, Gabriel Pereira Nunes, Isabela dos Santos de Deus, Priscila Toninatto Alves de Toledo, Guilherme Assumpção Silva, Cristina Antoniali Silva, Aimée Maria Guiotti and Daniela Atili Brandini
Healthcare 2026, 14(9), 1155; https://doi.org/10.3390/healthcare14091155 - 25 Apr 2026
Viewed by 190
Abstract
Background/Objectives: Dental caries is one of the most prevalent chronic diseases in childhood, disproportionately affecting socially vulnerable populations. This scoping review aimed to analyze the clinical effects of selected minimally invasive materials and approaches, specifically mouthrinses, fluoride varnishes, silver diamine fluoride, and glass [...] Read more.
Background/Objectives: Dental caries is one of the most prevalent chronic diseases in childhood, disproportionately affecting socially vulnerable populations. This scoping review aimed to analyze the clinical effects of selected minimally invasive materials and approaches, specifically mouthrinses, fluoride varnishes, silver diamine fluoride, and glass ionomer-based interventions, for the prevention and management of dental caries in pediatric patients, with emphasis on public health and community-based settings. Methods: This scoping review followed the Population, Concept, and Context (PCC) framework. Electronic searches were conducted up to 23 January 2026, using tailored strategies for mouthrinses, fluoride varnishes, silver diamine fluoride (SDF), and glass ionomer cements (GICs). Randomized clinical trials (RCTs) were included. Data extraction and qualitative synthesis focused on clinical outcomes and applicability in public health contexts. Results: Fifty-five RCTs were included. Fluoride- or chlorhexidine-based mouthrinses showed potential in controlling cariogenic biofilm, with evidence primarily based on microbiological outcomes. Fluoride varnishes were associated with enamel remineralization and control of early white spot lesions, particularly in supervised programs. SDF was reported to achieve high caries’ arrest rates in cavitated dentin lesions of primary teeth, while its preventive effect on sound surfaces appeared comparable to other fluoride-based interventions. GICs were associated with acceptable clinical performance as pit-and-fissure sealants and in atraumatic restorative treatment. Conclusions: Minimally invasive dentistry (MID) approaches show promise for the prevention and management of childhood dental caries in public health and community-based settings. However, these findings should be interpreted with caution due to the heterogeneity of interventions and outcome measures, the predominance of short-term and surrogate (microbiological) outcomes, and the absence of a formal risk-of-bias assessment. As a scoping review, the synthesis is narrative in nature, which limits the ability to draw definitive conclusions. Further studies with standardized clinical outcomes and longer follow-up are needed to strengthen the evidence. Full article
(This article belongs to the Special Issue Current Advances in Oral Health Promotion)
Show Figures

Graphical abstract

22 pages, 2726 KB  
Case Report
Post-COVID-19-Associated Maxillary Osteonecrosis: A Case Series
by George Cătălin Alexandru, Doina Chioran, Mircea Riviș, Cristina Modiga, Loredana-Neli Gligor, Marius Octavian Pricop, Ștefania Dinu, Ciprian I. Roi, Cristina Dumitrescu, Andreea Mihaela Kiș and Tudor Rareş Olariu
COVID 2026, 6(5), 75; https://doi.org/10.3390/covid6050075 - 25 Apr 2026
Viewed by 137
Abstract
Background: COVID-19 is primarily a respiratory disease, but increasing evidence suggests possible oral and maxillofacial complications. This study presents a case series of post-COVID maxillary osteonecrosis (PC-RONJ) cases from western Romania and explores the possible association between SARS-CoV-2 infection, its treatment, and this [...] Read more.
Background: COVID-19 is primarily a respiratory disease, but increasing evidence suggests possible oral and maxillofacial complications. This study presents a case series of post-COVID maxillary osteonecrosis (PC-RONJ) cases from western Romania and explores the possible association between SARS-CoV-2 infection, its treatment, and this complication. Methods: We conducted a multicenter retrospective case series of two patients with recent PCR-confirmed SARS-CoV-2 infection who subsequently developed maxillary osteonecrosis (ONC) between 2021 and 2023. Clinical examination, CT imaging (including 3D reconstructions), and ENT assessment were used to assess the severity of the disease. All medical records were reviewed to identify comorbidities, details of COVID-19 treatment, and the appearance of maxillofacial symptoms. Results: Both patients had been hospitalized for severe COVID-19 and treated according to the national protocol with systemic corticosteroids, oxygen therapy, anticoagulation, and antivirals. CT scans revealed marked osteolytic destruction of the maxilla and maxillary sinus walls, with extension toward adjacent facial bones. Microbiological analysis revealed a complex polymicrobial profile, including Gram-positive and Gram-negative bacteria as well as opportunistic fungal species, consistent with a chronic biofilm-associated infectious process. Patients received surgical treatment, followed by local care and, in both cases, prosthetic rehabilitation with maxillary obturators, which improved speech, chewing, and oral function. Conclusions: This case series suggests a possible association between severe COVID-19, its treatment, and subsequent maxillary osteonecrosis in susceptible patients; however, the small number of cases precludes causal inference. To our knowledge, this is the first Romanian report describing such cases in patients without prior antiresorptive therapy. These findings highlight the need for careful use of systemic corticosteroids and vigilant post-recovery monitoring of maxillofacial complications. Further studies are required to clarify the underlying mechanisms and risk factors. Full article
(This article belongs to the Section COVID Clinical Manifestations and Management)
Show Figures

Figure 1

13 pages, 1076 KB  
Article
Incorporating the Psychological Perspective into Traditional Prevention in Pediatric Dentistry with the PaFein+ Project: Trained Parents Can Help
by Aneta Munteanu, Arina Vinereanu, Ruxandra Sfeatcu, Mihaela Tănase, Ilie-Andrei Condurache, Annelyse Garret-Bernardin, Alessandra Putrino, Özgür Önder Kușçu, Sertac Peker, Betul Kargul and Angela Galeotti
Behav. Sci. 2026, 16(4), 620; https://doi.org/10.3390/bs16040620 - 21 Apr 2026
Viewed by 153
Abstract
Background: Emotional aspects of early dental experiences have long-lasting effects. This study aimed to assess parents’ childhood dental experiences and their impact on current attitudes toward dental treatment and to evaluate the subjectively perceived usefulness of an educational material focused on psychological management [...] Read more.
Background: Emotional aspects of early dental experiences have long-lasting effects. This study aimed to assess parents’ childhood dental experiences and their impact on current attitudes toward dental treatment and to evaluate the subjectively perceived usefulness of an educational material focused on psychological management of children’s dental visits. Methods: A cross-sectional descriptive pilot study was conducted using an educational booklet developed and distributed to parents, who read it and completed a short questionnaire. Responses received between 27 February–31 March 2025 were analyzed using IBM SPSS Statistics 25. Results: A total of 142 parents (88% mothers) participated. Most participants (83.1%) had a university degree. Negative childhood dental experiences were reported by 44.4% (more frequent among mothers, p < 0.001), and 18.3% had shared these experiences with their children. Emotional discomfort during dental visits was reported by 61.3% of respondents. Dental anxiety was significantly associated with negative childhood experiences (p < 0.001). Parents with higher education were more likely to choose a certified paedodontist for their child than a nearby general dentist (p = 0.002). Most parents (97.9%) found the material provided helpful for managing future dental visits, and 91.6% were willing to share it with others. Conclusions: Childhood dental fear and anxiety may persist into adulthood. Despite the limited generalizability of our results, parents appreciated targeted resources which may support them in promoting positive dental experiences for their children. Full article
(This article belongs to the Section Health Psychology)
Show Figures

Figure 1

14 pages, 1284 KB  
Article
Effect of Type of Cement, Fabrication Technique, and Cyclic Loading on the Marginal Accuracy of Lithium Disilicate Crowns
by Salah A. Yousief, Hend Mohamed Elsayed, Abdulrazak Mahmoud Fayed, Roua Mohammed Y. Almadani, Mohammad Abdullah Alqhtani, Ahmed Mohammed Sleem Abdelglel, Khalid Dhafer Alhendi, Sokina Yosef Abdulmalik, Sarah Salah Gaafar, Ahmed Ibrahim Mahrous, Ebaa Ibrahim Alagha and Mahmoud Darwish
Prosthesis 2026, 8(4), 42; https://doi.org/10.3390/prosthesis8040042 - 21 Apr 2026
Viewed by 247
Abstract
Background and aim: The influence of fabrication techniques, cement type, and cyclic loading on the marginal adaptation of lithium disilicate crowns remains a clinical concern that may affect their long-term performance. This study aimed to evaluate the effects of cyclic loading and [...] Read more.
Background and aim: The influence of fabrication techniques, cement type, and cyclic loading on the marginal adaptation of lithium disilicate crowns remains a clinical concern that may affect their long-term performance. This study aimed to evaluate the effects of cyclic loading and cement type on the marginal fit of milled and pressed lithium disilicate crowns. Methods: Twenty lithium disilicate crowns were fabricated and divided into two groups based on the manufacturing technique: milled and pressed (n = 10 each). Each group was further subdivided according to the cement type: resin or resin-modified glass ionomer (n = 5 per group). Crowns were cemented on standardized epoxy resin dies, and the marginal gap was measured using a stereomicroscope before and after cyclic loading. Cyclic loading was performed at 50 N for 37,000 cycles. Data were statistically analyzed using a three-way ANOVA (α = 0.05). Results: Milled crowns showed marginal gaps ranging from 52 to 57 µm, whereas the pressed crowns exhibited smaller gaps ranging from 39 to 47 µm. Neither the cement type nor the cyclic loading produced a significant difference in the marginal gap values (p > 0.05). Conclusions: Pressed lithium disilicate crowns exhibited superior marginal adaptation compared with the milled crowns. Neither the type of cement nor the cyclic loading had a significant effect on the marginal gap. Both fabrication techniques yielded clinically acceptable fits (<100 µm). Full article
(This article belongs to the Collection Oral Implantology: Current Aspects and Future Perspectives)
Show Figures

Figure 1

14 pages, 977 KB  
Article
Comparative Evaluation of Time-Dependent Enamel Demineralization Using Micro-Computed Tomography, Laser Fluorescence, and Colorimetric Image Analysis
by Mirela Marinova-Takorova, Krasimir Hristov, Natalia Grancharova, Emilia Karova, Violeta Dogandzhiyska, Maria Kirilova, Irina Tsenova-Ilieva, Zornitsa Mihaylova, Nadezhda Mitova and Dimitar Kosturkov
Appl. Sci. 2026, 16(8), 3954; https://doi.org/10.3390/app16083954 - 18 Apr 2026
Viewed by 280
Abstract
Background: Early detection and monitoring of enamel changes during caries lesion formation are essential for preventive management. This study aimed to evaluate time-dependent enamel demineralization using micro-computed tomography (micro-CT) and to compare its diagnostic performance with laser fluorescence and digital colorimetric image [...] Read more.
Background: Early detection and monitoring of enamel changes during caries lesion formation are essential for preventive management. This study aimed to evaluate time-dependent enamel demineralization using micro-computed tomography (micro-CT) and to compare its diagnostic performance with laser fluorescence and digital colorimetric image analysis. Methods: Twelve sound human permanent teeth were subjected to a gel-based lactic acid demineralization for 14 days. Assessments were performed at baseline and after 3, 7, and 14 days. Enamel mineral density (MD) and demineralization depth (DD) were measured using micro-CT. Laser fluorescence was evaluated using DIAGNOdent, while colorimetric changes were analyzed through standardized digital imaging using the CIE Lab* system, including ΔE and Whiteness Index (WI). Statistical analysis included repeated measures ANOVA and Pearson correlation (p < 0.05). Results: A significant time-dependent progression of enamel demineralization was observed. Demineralization depth increased from 0.0828 mm (3 days) to 0.234 mm (14 days) (p < 0.001), while mineral density decreased significantly over time (p < 0.001). DIAGNOdent values showed significant increases after 7 and 14 days (p = 0.002). Colorimetric analysis revealed early detectable changes, with ΔE exceeding clinically perceptible thresholds as early as day 3. WI values increased progressively, indicating enhanced enamel opacity. A weak but significant negative correlation between MD and DD was found (p = 0.04). Conclusions: Enamel demineralization progresses in a time-dependent manner and can be effectively monitored using micro-CT, laser fluorescence, and colorimetric analysis. Digital colorimetric analysis may serve as a valuable adjunctive tool in caries diagnostics. Full article
Show Figures

Figure 1

12 pages, 402 KB  
Article
Clinical Evaluation of Hydrophilic and Hydrophobic Resin-Based Sealants in Uncooperative Children: A 24-Month Randomized Controlled Trial
by Hussein A. Alharthy, Amani A. Al Tuwirqi, Alaa A. Nadhrin, Ala A. Aljubour, Layla N. Khogeer and Heba M. Elkhodary
Children 2026, 13(4), 565; https://doi.org/10.3390/children13040565 - 18 Apr 2026
Viewed by 243
Abstract
Background/Objectives: Dental caries continues to represent a major oral health concern in children, particularly in uncooperative patients, where effective sealant placement is often compromised. This study evaluated the long-term clinical performance of hydrophilic (UltraSeal XT hydro) and hydrophobic (Helioseal-F) resin-based sealants in uncooperative [...] Read more.
Background/Objectives: Dental caries continues to represent a major oral health concern in children, particularly in uncooperative patients, where effective sealant placement is often compromised. This study evaluated the long-term clinical performance of hydrophilic (UltraSeal XT hydro) and hydrophobic (Helioseal-F) resin-based sealants in uncooperative children aged 6–9 years, assessing retention and caries incidence over 24 months. Methods: In a split-mouth, double-blinded randomized controlled trial, 34 children (104 first permanent molars) were enrolled, with 31 participants (98 teeth) completing the study. Sealants were randomly assigned to hydrophilic or hydrophobic group, with assessments at 3, 6, 12, 18, and 24 months. Results: Complete retention declined progressively in both groups, from 59.2% to 2.0% in the hydrophilic group and from 42.9% to 0% in the hydrophobic group at 24 months, with no significant intergroup differences (p = 0.719). Caries-free rates decreased from 81.6% to 49.0% in the hydrophilic group and from 75.5% to 40.8% in the hydrophobic group (p = 0.293). Children with definitely negative behavior showed significantly lower retention at 6 and 12 months (p = 0.006 and p < 0.001) compared to those with negative behavior, although differences were not significant at 24 months. Conclusions: Overall, both sealants demonstrated comparable retention and cariostatic performance, indicating that material properties alone do not determine long-term success. Further research should focus on long-term follow-up and comparative evaluation of hydrophilic sealants in cooperative and uncooperative populations to better understand how patient behavior affects sealant performance. Full article
(This article belongs to the Section Pediatric Dentistry & Oral Medicine)
Show Figures

Figure 1

12 pages, 277 KB  
Article
Detection of Cariogenic Bacteria in Pediatric Carious Dentin: Comparative Analysis of Culture and PCR Methods
by Nadezhda Mitova, Raina Gergova, Vasil Boyanov, Alexandra Alexandrova, Emilia Karova, Natalia Grancharova, Violeta Dogandzhiyska, Zornitsa Mihaylova, Mirela Marinova-Takorova, Krasimir Hristov, Dimitar Kosturkov, Irina Tsenova-Ilieva and Milena Georgieva
Appl. Sci. 2026, 16(8), 3913; https://doi.org/10.3390/app16083913 - 17 Apr 2026
Viewed by 265
Abstract
Accurate identification of cariogenic bacteria is crucial for understanding caries development in children. Classical culture methods often underestimate microbial diversity, while polymerase chain reaction (PCR) can detect species that are difficult to cultivate. The aim of this study was to compare culture-based and [...] Read more.
Accurate identification of cariogenic bacteria is crucial for understanding caries development in children. Classical culture methods often underestimate microbial diversity, while polymerase chain reaction (PCR) can detect species that are difficult to cultivate. The aim of this study was to compare culture-based and PCR-based methods for detecting key cariogenic microorganisms in the carious dentin of pediatric patients. Thirty dentin samples were collected from the permanent teeth of children aged 8–14 years. Parallel analyses were performed using standard culture techniques and PCR targeting the gtfB gene of S. mutans and the 16S rRNA gene of Lactobacillus spp. Culture results were quantified as colony-forming units, while PCR results were classified as negative, low-positive, or positive. The results show that culture-based methods identified S. mutans in 16.7% of the samples and Lactobacillus spp. in 3.3%, while PCR identified a signal for S. mutans in 43.3% and Lactobacillus spp. in 100% of the samples. PCR-based methods provide higher sensitivity for detecting key cariogenic bacteria, including S. mutans and Lactobacillus spp. However, PCR detects bacterial DNA and does not indicate bacterial viability or activity. Combining molecular and culture-based approaches allows a more comprehensive assessment of the cariogenic microbiota, supporting accurate microbiological evaluation in pediatric caries research. Full article
20 pages, 2421 KB  
Article
Calcium Silicate-Based Cements for Vital Pulp Therapy: Integrated Assessment of Radiopacity, Elemental Composition, and 24-h Pulp Cell Responses
by Belen Şirinoğlu Çapan, Vasfiye Işık, Tugba Elgün, Zeynep Hale Keleş and Soner Şişmanoğlu
Biomimetics 2026, 11(4), 280; https://doi.org/10.3390/biomimetics11040280 - 17 Apr 2026
Viewed by 361
Abstract
This study investigated the radiopacity, elemental composition, cytotoxicity, and cytokine responses of contemporary calcium silicate-based cements containing different radiopacifiers. Four cement materials (NeoMTA2, NeoPUTTY, TheraCal PT, and One-Fil PT) were evaluated. Radiopacity was measured using digital radiography with a 10-step aluminum wedge and [...] Read more.
This study investigated the radiopacity, elemental composition, cytotoxicity, and cytokine responses of contemporary calcium silicate-based cements containing different radiopacifiers. Four cement materials (NeoMTA2, NeoPUTTY, TheraCal PT, and One-Fil PT) were evaluated. Radiopacity was measured using digital radiography with a 10-step aluminum wedge and expressed in mm Al in accordance with ISO 6876; among three calibration models compared, the quadratic provided the best fit. Elemental composition was analyzed by SEM/EDX. Cytotoxicity was assessed on human dental pulp cells using the MTT assay, and IL-6 and IL-10 levels were quantified by ELISA. One-Fil PT (6.61 mm Al) and NeoPUTTY (6.09 mm Al) showed the highest radiopacity, whereas TheraCal PT (1.61 mm Al) did not meet ISO standards. SEM/EDX revealed tantalum in NeoMTA2 and NeoPUTTY, and zirconium in One-Fil PT and TheraCal PT. NeoPUTTY and NeoMTA2 demonstrated superior cell viability, while One-Fil PT showed the lowest. TheraCal PT and One-Fil PT increased IL-6 expression, whereas NeoPUTTY and NeoMTA2 promoted higher IL-10 levels. Within the limitations of this 24-h in vitro assessment, NeoMTA2 and NeoPUTTY exhibited more favorable short-term cytocompatibility and inflammatory profiles together with adequate radiopacity. These findings require confirmation through long-term in vivo and clinical studies. Full article
(This article belongs to the Section Biomimetics of Materials and Structures)
Show Figures

Figure 1

21 pages, 1870 KB  
Article
Biomechanical Evaluation of the Second Molar Uprighting with Retromolar Mini-Implants in the Presence and Absence of the Third Molar
by Diana Florina Nica, Stefania Dinu, Doina Chioran, Adrian Nicoara, Mircea Rivis, Virgil-Florin Duma, Cosmin Sinescu, Meda Lavinia Negrutiu, Cristina Langa and Cristian Zaharia
Oral 2026, 6(2), 47; https://doi.org/10.3390/oral6020047 - 17 Apr 2026
Viewed by 294
Abstract
Background/Objectives: The uprighting of mesially tipped mandibular second molars following first molar loss is a complex surgical and orthodontic challenge. Conventional methods often result in reciprocal anchorage loss. Mini-implants (MIs) have emerged as essential temporary anchorage devices (TADs) that provide absolute anchorage [...] Read more.
Background/Objectives: The uprighting of mesially tipped mandibular second molars following first molar loss is a complex surgical and orthodontic challenge. Conventional methods often result in reciprocal anchorage loss. Mini-implants (MIs) have emerged as essential temporary anchorage devices (TADs) that provide absolute anchorage and enable more predictable tooth movements. Methods: Numerical simulations were performed to evaluate the forces required for mandibular second molar uprighting under two conditions: first, only with the second molar present, and second, with both the second and the third molars present. Although the periodontal ligament exhibits nonlinear and viscoelastic behavior in vivo, a linear elastic approximation was adopted to allow for a reliable evaluation of comparative stress distribution and initial displacement patterns within the scope of this exploratory biomechanical study. Stress distribution in the roots, periodontal ligament, and alveolar bone was assessed for each scenario. Two three-dimensional (3D) models of the left mandibular segment were created from scans of a human mandible and its teeth. The first model included the canine, the first and second premolars, and the second molar. A second model additionally incorporated the third molar. A retromolar MI was placed in both models. Molar uprighting was simulated using a spring connecting the implant to a button bonded on the mesial surface of the second molar. A force of 200 g was applied because in clinical orthodontic practice, forces that exceed approximately 2 N may cause pain or undesirable tooth mobility. Displacements along the X, Y, and Z axes, as well as regions of peak stress, were analyzed. Results: Model 1 showed maximum displacements at the furcation/mid-root, distal root apex, and distal crown, with von Mises stresses of 0.470 to 0.371 MPa. In Model 2, peak displacements occurred at the mesial root and crown, with stresses of 0.185 and 0.149 MPa, respectively. The magnitude of displacements was in the order of 10−5 mm. Such values represent initial mechanical responses rather than clinically observable tooth movements. However, the differences between models (e.g., the stress reduction) are expected to be clinically meaningful. Conclusions: Since clinical measurements regarding the stress distribution on teeth and surrounding tissues during orthodontic molar uprighting movements are impossible to perform, the finite element method (FEM) can offer insight into these aspects. The presence of the third molar significantly modulates the biomechanics of second molar uprighting via retromolar MIs. When the third molar is present, the second molar exhibits a reduced tendency for deformation during distalization, although this leads to a slower displacement. This FEM provides biomechanical insights but does not support direct clinical decision-making. The present findings should be viewed as theoretical biomechanical tendencies that require confirmation through clinical, experimental, and longitudinal studies before translation into clinical practice. Full article
(This article belongs to the Special Issue Advances in Digital Orthodontics)
Show Figures

Figure 1

13 pages, 2777 KB  
Article
Comparative Cytocompatibility and Oxidative Stress Analysis of Green-Synthesized Nano-Silver Fluoride and Silver Diamine Fluoride in Human Gingival Fibroblasts
by Antonia P. Palankalieva, Iva D. Stoykova, Milen I. Georgiev and Ani B. Belcheva
J. Funct. Biomater. 2026, 17(4), 195; https://doi.org/10.3390/jfb17040195 - 17 Apr 2026
Viewed by 1089
Abstract
Silver diamine fluoride (SDF) is widely used in pediatric dentistry for caries arrest; however, concerns exist regarding its cytotoxicity. Green-synthesized nano-silver fluoride (NSF) is a potential alternative to SDF, offering antimicrobial efficacy with improved biocompatibility. This study aimed to evaluate the in vitro [...] Read more.
Silver diamine fluoride (SDF) is widely used in pediatric dentistry for caries arrest; however, concerns exist regarding its cytotoxicity. Green-synthesized nano-silver fluoride (NSF) is a potential alternative to SDF, offering antimicrobial efficacy with improved biocompatibility. This study aimed to evaluate the in vitro safety profile of green-synthesized NSF with 5% (w/v) fluoride using Camellia sinensis extract and to compare it with 38% SDF + potassium iodide (KI) formulation in human gingival fibroblasts (HGFs). Eluates of NSF and SDF+KI were tested at serial concentrations of 5%, 1%, 0.1%, 0.01% and 0.005%. Cell viability was assessed after 24, 48, and 72 h using the MTT assay. Additionally, the formation of reactive oxygen species (ROS) in HGFs was detected through fluorescence microscopy. Exposure to 5% SDF+KI resulted in almost complete loss of cell viability at all time points, whereas NSF demonstrated significantly higher viability under the same conditions. Lower concentrations of both materials maintained acceptable biocompatibility. ROS analysis revealed increased oxidative stress in response to 5% SDF+KI, while NSF induced significantly lower ROS levels. NSF exhibited superior biocompatibility compared to SDF+KI, supporting its potential as a safer silver-based material for caries management. Further in vitro and in vivo studies are needed to confirm its clinical safety profile. Full article
(This article belongs to the Special Issue Biomaterials for Management of Dental Caries and Periodontal Disease)
Show Figures

Graphical abstract

21 pages, 4468 KB  
Article
Exploratory Evaluation of a Sodium Iodide-Based Root Canal Filling Formulation in a Canine Model of Enterococcus faecalis-Induced Periapical Inflammation
by Saeromi Jun, Sak Lee, Jong-Soo Kim, Min-Cheol Song, Ji-Sun Shin, Yu-Jin Kim, Jung-Wook Kim and Jung-Hwan Lee
Pharmaceutics 2026, 18(4), 493; https://doi.org/10.3390/pharmaceutics18040493 - 17 Apr 2026
Viewed by 283
Abstract
Background and Objectives: Premature loss of primary teeth can disrupt occlusal development and oral function. Although iodoform-based materials such as Vitapex® are widely used, concerns remain regarding their cytotoxicity and potential to accelerate root resorption. Sodium iodide (NaI) has emerged as [...] Read more.
Background and Objectives: Premature loss of primary teeth can disrupt occlusal development and oral function. Although iodoform-based materials such as Vitapex® are widely used, concerns remain regarding their cytotoxicity and potential to accelerate root resorption. Sodium iodide (NaI) has emerged as a biocompatible, antibacterial alternative. This study evaluated the feasibility of a NaI-based root canal filling material in a canine model of Enterococcus faecalis-induced periapical inflammation. Methods: Periapical lesions were induced in a healthy male mongrel dog using E. faecalis (106 CFU/mL). After six weeks, the root canals were obturated with NaI paste, Vitapex®, or Calcipex. Untreated teeth and an E. faecalis-only group served as controls. Radiographic lesion sizes were monitored at 4, 8, 12, and 16 weeks post-obturation. Histological analysis at 16 weeks assessed inflammatory area and perimeter, stromal fibrosis, inflammatory cell infiltration, and myeloperoxidase (MPO) expression. Results: Radiographically, all treatment groups showed reduced lesion size relative to the positive control. No significant differences were observed among the NaI, Vitapex®, and Calcipex groups at 4 and 8 weeks; however, significant differences emerged at 12 and 16 weeks (p < 0.05). The NaI group showed lesion reduction until week 8, followed by subsequent expansion thereafter, whereas the Vitapex® and Calcipex groups showed continuous lesion reduction over time. Histologically, the periapical inflammatory area increased in the order of Vitapex® < Calcipex < NaI < positive control (p < 0.05). MPO staining identified neutrophils as the primary inflammatory cells. Conclusions: NaI paste showed favorable early radiographic healing but limited long-term stability compared with conventional materials. With further optimization, it may have potential as an alternative root canal filling material. However, given the single-animal exploratory design, these findings should be interpreted as preliminary rather than definitive evidence. Full article
Show Figures

Figure 1

17 pages, 2217 KB  
Systematic Review
The Efficacy of Dexmedetomidine Versus Ketamine for Sedation in Pediatric Dental Procedures: A Systematic Review and Meta-Analysis
by AbdulRahman Alasmri, Ali Alhijab, Shahad N. Abudawood, Narmin Hilal and Heba Jafar Sabbagh
Children 2026, 13(4), 558; https://doi.org/10.3390/children13040558 - 17 Apr 2026
Viewed by 383
Abstract
Background: Effective and safe sedation is essential in pediatric dental practice to manage anxiety, pain, and cooperation during procedures. Objective: This exploratory systematic review and meta-analysis aimed to synthesize available RCT evidence comparing dexmedetomidine and ketamine across different sedation strategies (premedication and procedural [...] Read more.
Background: Effective and safe sedation is essential in pediatric dental practice to manage anxiety, pain, and cooperation during procedures. Objective: This exploratory systematic review and meta-analysis aimed to synthesize available RCT evidence comparing dexmedetomidine and ketamine across different sedation strategies (premedication and procedural sedation) in children undergoing dental procedures. Methods: This study was conducted and reported in accordance with the PRISMA 2020 statement. A comprehensive literature search was performed across PubMed, Web of Science, Scopus, and ScienceDirect for studies between 1990 and 2026. Randomized controlled trials (RCTs) were included. The primary outcomes assessed were intraoperative and postoperative analgesia, heart rate, systolic and diastolic blood pressure (SBP and DBP), oxygen saturation (SpO2), and recovery time. A meta-analysis of the extracted data was performed, and the risk of bias was assessed using the Cochrane risk of bias tool 2. Results: The review included four RCTs involving 178 children, with a mean age of 6.5–9.1 years. Intraoperative and postoperative analgesia did not differ significantly between groups (p = 0.09 and p = 0.08, respectively). Pooled analysis showed numerically lower heart rates with dexmedetomidine compared to ketamine, but the difference was not statistically significant (MD = −11.70; 95% CI: −29.27 to 5.86; p = 0.07). Systolic blood pressure was significantly lower with dexmedetomidine (MD = −6.69; 95% CI: −6.91 to −6.47; p = 0.002). Oxygen saturation did not differ significantly between groups (p = 0.35). Two studies were rated as having a low risk of bias. The remaining two had some concerns, related to unverified blinding and lack of outcome pre-specification. Conclusions: Based on limited and clinically heterogeneous evidence, both dexmedetomidine and ketamine appear to be viable options for sedation in pediatric dental settings, though no firm superiority conclusion can be drawn. Further randomized controlled trials with larger sample sizes and standardized sedation protocols are recommended to strengthen these findings and inform practice guidelines. Full article
(This article belongs to the Collection Advance in Pediatric Dentistry)
Show Figures

Figure 1

17 pages, 634 KB  
Review
Hypericin-Mediated Antimicrobial Photodynamic Therapy in Dentistry: A Systematic Review of Applications Against Oral Biofilms and Infections
by Radosław Turski, Maciej Dobrzyński, Aleksandra Warakomska, Magdalena Pietrzko, Iwona Gregorczyk-Maga, Dariusz Skaba and Rafał Wiench
Pharmaceutics 2026, 18(4), 491; https://doi.org/10.3390/pharmaceutics18040491 - 16 Apr 2026
Viewed by 299
Abstract
Background: Oral biofilms are a major etiological factor in dental caries, periodontal disease, peri-implantitis, and endodontic infections. Increasing antimicrobial resistance and the limitations of conventional therapies have intensified interest in antimicrobial photodynamic therapy (aPDT). Hypericin, a natural photosensitizer derived from Hypericum perforatum, [...] Read more.
Background: Oral biofilms are a major etiological factor in dental caries, periodontal disease, peri-implantitis, and endodontic infections. Increasing antimicrobial resistance and the limitations of conventional therapies have intensified interest in antimicrobial photodynamic therapy (aPDT). Hypericin, a natural photosensitizer derived from Hypericum perforatum, demonstrates potent reactive oxygen species generation and broad antimicrobial activity; however, its dental applications remain insufficiently synthesized. Objective: To systematically evaluate the antimicrobial efficacy, treatment parameters, safety, and clinical potential of hypericin-mediated aPDT against oral biofilms and infections in dentistry. Methods: This systematic review was conducted according to PRISMA 2020 and registered in PROSPERO CRD42024617727. Electronic searches of PubMed/MEDLINE, Embase, Scopus, and the Cochrane Library (January 2010 to December 2025) were performed. Studies assessing hypericin-mediated aPDT in oral or dental contexts were included. Methodological quality was evaluated using a predefined nine-domain risk-of-bias tool. Results: Eleven studies met the inclusion criteria. Hypericin-mediated aPDT demonstrated strong antimicrobial effects, achieving up to 99% planktonic inactivation and significant biofilm reduction across bacterial and fungal species. Activity was particularly pronounced against Gram-positive organisms, including Staphylococcus aureus and Enterococcus faecalis. However, efficacy against mature biofilms was variable and often dependent on formulation and irradiation parameters. Most studies showed moderate methodological quality, with frequent deficiencies in reporting light calibration and dosimetry. Advanced delivery systems, including liposomal and nanoparticle formulations, improved photodynamic performance. Conclusions: Hypericin-mediated aPDT shows promising antimicrobial activity against oral pathogens and biofilms, with favorable selectivity and safety profiles. Nevertheless, the evidence remains predominantly preclinical and heterogeneous. Standardized protocols and well-designed clinical trials are required before routine dental implementation can be recommended. Full article
(This article belongs to the Section Clinical Pharmaceutics)
Show Figures

Figure 1

Back to TopTop