Next Article in Journal
Variability of Prognostic Results Based on Biological Parameters in Sickle Cell Disease Cohort Studies in Children: What Should Clinicians Know?
Next Article in Special Issue
Double Diapering Ineffectiveness in Avoiding Adduction and Extension in Newborns Hips
Previous Article in Journal
Differences on Motor Competence in 4-Year-Old Boys and Girls Regarding the Quarter of Birth: Is There a Relative Age Effect?
Previous Article in Special Issue
Does the Duration of Each Waldenström Stage Affect the Final Outcome of Legg–Calvé–Perthes Disease Onset before 6 Years of Age?
 
 
Font Type:
Arial Georgia Verdana
Font Size:
Aa Aa Aa
Line Spacing:
Column Width:
Background:
Article

Chronological Age in Different Bone Development Stages: A Retrospective Comparative Study

by
Abel Emanuel Moca
1,
Luminița Ligia Vaida
1,
Rahela Tabita Moca
2,
Anamaria Violeta Țuțuianu
3,*,
Călin Florin Bochiș
3,*,
Sergiu Alin Bochiș
1,
Diana Carina Iovanovici
4 and
Bianca Maria Negruțiu
1
1
Department of Dentistry, Faculty of Medicine and Pharmacy, University of Oradea, 1 Universității Street, 410087 Oradea, Romania
2
Clinical Emergency County Hospital Oradea, 37 Republicii Street, 410167 Oradea, Romania
3
Clinical Emergency Municipal Hospital Timișoara, 1 Hector Street, 300041 Timișoara, Romania
4
Faculty of Medicine, University of Medicine and Pharmacy “Victor Babeș”, 2 Eftimie Murgu Square, 300041 Timișoara, Romania
*
Authors to whom correspondence should be addressed.
Children 2021, 8(2), 142; https://doi.org/10.3390/children8020142
Submission received: 30 January 2021 / Revised: 9 February 2021 / Accepted: 10 February 2021 / Published: 13 February 2021
(This article belongs to the Special Issue Bone Development and Disease in Infants)

Abstract

The assessment of an individual’s development by investigating the skeletal maturity is of much use in various medical fields. Skeletal maturity can be estimated by evaluating the morphology of the cervical vertebrae. The aim of this study was to conduct comparisons of the chronological age in different bone development stages. The retrospective study was conducted based on lateral cephalometric radiographs belonging to patients with ages between 6 and 15.9 years, from Romania. For the assessment of skeletal maturity, the Cervical Vertebral Maturation (CVM) method was used. In total, 356 radiographs were selected, but after applying the exclusion criteria, 252 radiographs remained in the study (178 girls and 74 boys). Different mean chronological age values were obtained for the general sample, as well as for the two genders. The chronological age started to be significantly different at the CS4 stage. Patients with CS4, CS5, and CS6 stages had a significantly higher chronological age compared to patients with CS1, CS2, and CS3 stages. It was noted that patients with CS1 and CS2 stages were more frequently boys, while patients with the CS5 stage were more frequently girls.

1. Introduction

In medicine, age is essential for assessing the overall development of a patient. The chronological age, although easiest to determine if the child´s date of birth is known, often does not accurately reflect a patient´s development [1]. Various methods have been used to more precisely reproduce different developmental stages. These methods are based on determining the dental age [2] and skeletal age [3].
The assessment of skeletal maturity is useful in many fields, such as pediatrics, endocrinology [4], pediatric dentistry, and orthodontics [5]. In orthodontics, the degree of skeletal maturity influences the treatment planning and the optimal choice of treatment [6]. Hand-wrist radiographs have traditionally been used to estimate bone maturity [7], but skeletal age determination techniques based on the inspection of other bone structures have been suggested [8].
The radiological aspect of the cervical vertebrae can be used to estimate the degree of bone development. The method based on the investigation of cervical vertebrae has undergone several changes over time [9,10] and is currently known as the Cervical Vertebral Maturation (CVM) method. It involves the examination of cervical vertebrae 2, 3, and 4 on a lateral cephalometric radiograph [11]. Lateral cephalometric radiographs are necessary for establishing the diagnosis and treatment plan in orthodontics. Therefore, the assessment of skeletal maturity is possible, without any need for additional irradiation [12]. Further studies need to be conducted in order to find associations between age and CVM developmental stages.
The purpose of this study was to conduct comparisons of mean values of the chronological age in different skeletal developmental stages, for boys and girls, using the CVM method.

2. Materials and Methods

2.1. Sample Selection

This study is a retrospective and comparative radiographic study, performed on lateral cephalometric radiographs belonging to children form North-Western Romania. The lateral cephalometric radiographs were collected from three different dental private practices from the city of Oradea, Romania. The radiographs were previously used for diagnosis and treatment planning.
We included radiographs of children with ages between 6 and 15.9 years, radiographs of children for whom a signed consent form was obtained, radiographs available in a digital format, radiographs of patients with a known date of birth and known date of the radiograph, and radiographs of patients with a known gender.
Radiographs excluded from the study belonged to patients from other countries, patients with systemic diseases or genetic disorders that could impact the skeletal maturation, and patients that followed or were following an orthodontic treatment at the date when the radiographs were taken.
The selected lateral cephalometric radiographs were divided according to the gender of the patients. A total of 356 radiographs were initially selected, but after applying the exclusion criteria, only 252 were left in the study sample. The final sample consisted of 178 radiographs belonging to girls (70.6%) and 74 radiographs belonging to boys (29.4%).

2.2. Skeletal Maturity Assessment

For the assessment of skeletal maturity, the CVM method was used, as described by Baccetti et al. (2005). The CVM method consists of six different maturation stages (from CS1 to CS6), according to different morphological features of cervical vertebrae 2, 3, and 4. The inferior border of the three cervical vertebrae must be investigated, as well as the shape of the third and fourth cervical vertebrae [11].
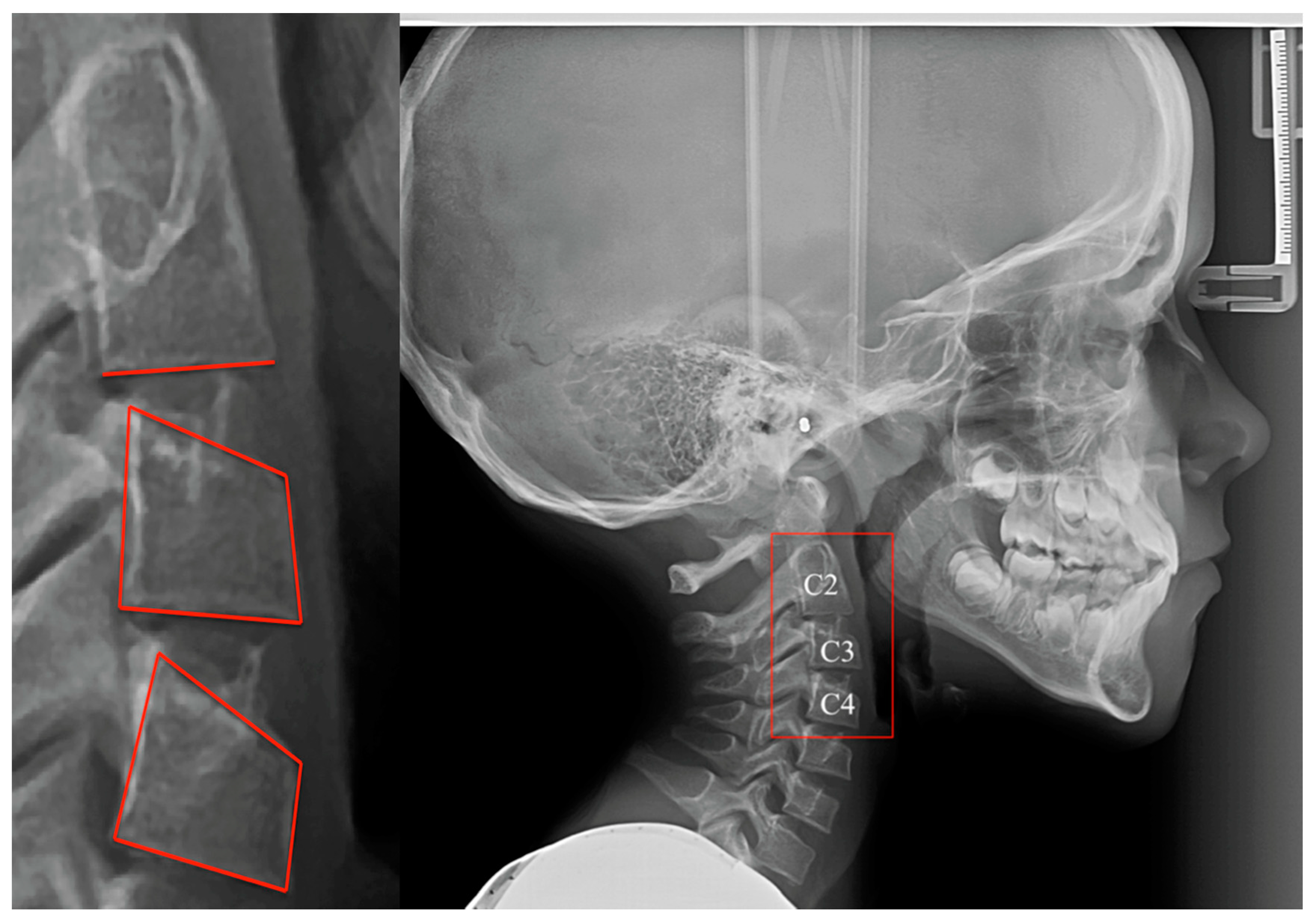
The CVM method was applied on lateral cephalometric radiographs, available in a digital format, by examining the morphological changes of the cervical vertebrae and comparing them with the different developmental stages (Figure 1). In order to avoid inter-operator bias, the examination was performed by a single investigator (M.A.E.).

2.3. Statistical Analysis

The statistical analysis was performed by using IBM SPSS software, version 20 (IBM, Chicago, IL, USA). Quantitative variables were tested for a normal distribution by using the Shapiro–Wilk test and were expressed as the means with standard deviations, while categorical variables were expressed as counts or percentages.
The independent quantitative variables with a non-parametric distribution were tested by using a Mann–Whitney U test or Kruskal–Wallis H test. The independent quantitative variables with a parametric distribution were tested by using the One-Way ANOVA test. Categorical variables were tested by using Fisher´s Exact test, and Z tests with Bonferroni correction were performed in order to further detail the results. A post-hoc Tukey HSD test and Dunn–Bonferroni test were performed in order to detail the results obtained after testing the quantitative variables.

2.4. Ethical Considerations

The study was approved by the Research Ethics Committee of the University of Oradea (No.7/15.10.2020) and was conducted in accordance with the 1964 Declaration of Helsinki and its later amendments. All radiographs belonged to patients for whom an informed consent form was previously signed by the parents.

3. Results

The mean chronological age of the patients was 11.52 ± 2.23 years, with a median (interquartile range, IQR) value of 11.65 years. The minimum age was 6.2 years and the maximum age was 15.9 years. The data in Table 1 represent the comparison of the chronological age related to the gender, with the age distribution being non-parametric in both groups, according to the Shapiro–Wilk test. The Mann–Whitney U test shows that the differences between the groups were not significant.
Most of the patients were distributed in the CS4 and CS5 developmental stages and the fewest were distributed in the CS2 developmental stage (Table 2). The distribution of patients according to their gender and the CVM stage revealed significant differences between the investigated groups, and –Z test with Bonferroni correction showed that the patients with CS1 and CS2 developmental stages were more frequently boys, while patients with the CS5 developmental stage were more frequently girls (Table 3).
The data in Table 4 and Table 5 represent the comparison of the chronological age related to the CVM stages. The age distribution was non-parametric for patients with CS1 and CS2 stages, according to the Shapiro–Wilk test (p < 0.05). According to the Kruskal–Wallis H test, the differences were significant (p < 0.001), and the post-hoc tests showed the slow increase of the chronological age in relation to the increase of the CVM stage. The chronological age started to be significantly different at the CS4 stage. In the studied sample, the chronological age was not significantly different (p > 0.05) between patients with CS1, CS2, and CS3 stages. Patients with CS4, CS5, and CS6 stages had a significantly higher chronological age compared to patients with CS1, CS2, and CS3 stages, according to the post-hoc test (p < 0.01). Among patients with CS4, CS5, and CS6 stages, the chronological age was only significantly different between patients with CS4 and CS6 stages, and patients with CS6 stages had a significantly higher chronological age (p = 0.002).
The data in Table 6 and Table 7 represent the comparison of the chronological age related to the CVM stages for the girls sample, with results similar to the general sample, while the data in Table 8 and Table 9 represent the comparison of the chronological age related to the CVM stages for the boys sample, which showed that the age distribution was parametric, according to the Shapiro–Wilk test (p > 0.05). According to the One-Way ANOVA test, the differences were significant (p < 0.001).

4. Discussion

The usefulness of the CVM method for determining the skeletal age has been suggested by many authors. Gandini et al. (2006) highlighted not only the practicality of the method, but also the low radiation dose required by lateral cephalometric radiography [13]. The CVM method seems to be able to replace the hand and wrist radiography for the estimation of bone development and can be used with confidence for this purpose [14,15]. Moreover, lateral cephalometric radiographs can be used to establish various orthodontic diagnoses [12,16], as well as to assess the morphology of other bone structures in the craniofacial region [17]. Mandibular growth can also be safely and correctly assessed on lateral cephalometric radiographs [18]. They can even be used for an evaluation of the upper airways [19]. However, when vertebral anomalies are suspected, such as osseous torticollis, examinations such as 3D-CT may be required [20].
In this study, the CVM assessment was performed manually, by direct examination of the lateral cephalometric radiographs, but computerized methods for identifying CVM stages have been developed. Vaida et al. (2019) identified the CVM stages using OnyxCeph, which is computerized software, and correlated the skeletal age of the patients with the chronological age and dental age [21]. Certain smartphone applications that allow skeletal maturity assessment based on the vertebral morphology have also been developed [22].
Most authors have found correlations between CVM stages and the chronological age. In our study, we aimed to compare the chronological age in different CVM stages and no other correlations were explored. We wanted to discover whether important differences existed between the chronological ages of various CVM stages. However, mean values of the chronological age were obtained for each CVM stage. The comparisons were conducted for the entire sample, but also, separately, for girls and boys. It was observed that the chronological age started to be significantly different starting with the CS4 stage, for the general sample, as well as for boys and girls. In other populations, correlations have been found between the skeletal age and chronological age [23]. Safavi et al. (2015) reported a positive correlation between the chronological age and all of the CVM stages in a group of Iranian girls, highlighting a moderate correlation during the circumpubertal phase. The mean chronological ages obtained for the CS4 and CS5 stages in the Iranian sample are similar to those obtained for the girls in our study. The mean chronological age in CS4 and CS5 for the Iranian sample was 11.93 and 12.66 years, respectively, while for the girls in our study, the mean chronological age in CS4 and CS5 was 12 and 12.9 years, respectively (median values) [23]. Other authors have suggested that prepubertal skeletal development may be predicted in patients with an early stage of dentition [24,25].
Some authors suggest that the chronological age is not a reliable indicator for the assessment of skeletal maturity [26].
Skeletal development can also be compared or correlated with the dental age. Różyło-Kalinowska et al. (2011) found a moderate correlation between the stages of dental development and the stages of development of the cervical vertebrae, identifying faster skeletal development for the group of female patients [27]. Faster skeletal development in female patients was also observed in our sample. The mean chronological age of the girls was generally lower than the mean chronological age of the boys for each of the CVM stages. The girls in the CS3 stage, for example, had a mean chronological age of 10.16 years, while the boys had a mean chronological age of 11.01 years. The situation is consistent for all of the CVM stages. Other authors have identified a faster development of different bone structures in female patients. Maspero et al. (2020) concluded that the development of the maxillary sinuses in girls occurred earlier than in boys, but in both genders, the development overlapped with the peak of growth [28].
Chronological age determination based on the development of the cervical vertebrae can also be used when a child´s date of birth is unknown. Mishori R. (2019) described the case of a 17-year-old boy fleeing from Honduras to the United States of America, who was initially placed in an adult facility. He was later transferred to an age-appropriate facility, after a dental exam which revealed that he was only 16–17 years old. However, age determination based on imagistic methods can be inaccurate and should be adapted in different populations [29].

5. Conclusions

The distribution of patients according to their gender and CVM stage showed significant differences between the investigated groups. Patients with CS1 and CS2 developmental stages were more frequently boys, while patients with CS5 developmental stage were more frequently girls.
In the studied sample, the chronological age was not significantly different between patients with CS1, CS2, and CS3 stages. Patients with CS4, CS5, and CS6 stages had a significantly higher chronological age compared to patients with CS1, CS2, and CS3 stages. The various mean chronological ages started to be significantly different at the CS4 stage, but differences between stages were also identified.

Author Contributions

Conceptualization, A.E.M.; methodology, A.E.M., A.V.Ț., and C.F.B.; software, R.T.M.; validation, S.A.B. and D.C.I.; formal analysis, A.V.Ț. and C.F.B.; investigation, A.E.M. and R.T.M.; resources, L.L.V. and B.M.N.; data curation, B.M.N.; writing—original draft preparation, A.E.M.; writing—review and editing, A.V.Ț., C.F.B., and B.M.N.; visualization, L.L.V.; funding acquisition, A.E.M. All authors have read and agreed to the published version of the manuscript.

Funding

This research received no external funding.

Institutional Review Board Statement

The study was conducted according to the guidelines of the Declaration of Helsinki, and approved by the Ethics Committee of the University of Oradea (No.7/15.10.2020).

Informed Consent Statement

Informed consent was obtained from all subjects involved in the study.

Data Availability Statement

The data presented in this study are available on request from the corresponding author. The data are not publicly available due to privacy reasons.

Conflicts of Interest

The authors declare no conflict of interest.

References

  1. Macha, M.; Lamba, B.; Avula, J.S.S.; Muthineni, S.; Margana, P.G.J.S.; Chitoori, P. Estimation of correlation between chronological age, skeletal age and dental age in children: A cross-sectional study. J. Clin. Diagn. Res. 2017, 11, ZC01–ZC04. [Google Scholar] [CrossRef]
  2. Nair, V.V.; Thomas, S.; Thomas, J.; Salim, S.F.; Thomas, D.; Thomas, T. Comparison of Cameriere’s and Demirjian’s methods of age estimation among children in Kerala: A pilot study. Clin. Pract. 2018, 8, 991. [Google Scholar] [CrossRef] [PubMed]
  3. Christoforidis, A.; Badouraki, M.; Katzos, G.; Athanassiou-Metaxa, M. Bone age estimation and prediction of final height in patients with beta-thalassaemia major: A comparison between the two most common methods. Pediatr. Radiol. 2007, 37, 1241–1246. [Google Scholar] [CrossRef] [PubMed]
  4. Martin, D.D.; Wit, J.; Hochberg, Z.; Sävendahl, L.; Van Rijn, R.R.; Fricke, O.; Cameron, N.; Caliebe, J.; Hertel, N.T.; Kiepe, D.; et al. The use of bone age in clinical practice—Part 1. Horm. Res. Paediatr. 2011, 76, 1–9. [Google Scholar] [CrossRef] [PubMed]
  5. Satoh, M. Bone age: Assessment methods and clinical applications. Clin. Pediatr. Endocrinol. 2015, 24, 143–152. [Google Scholar] [CrossRef] [PubMed]
  6. Durka-Zając, M.; Mituś-Kenig, M.; Derwich, M.; Marcinkowska-Mituś, A.; Łoboda, M. Radiological indicators of bone age assessment in cephalometric images. Rev. J. Radiol. 2016, 81, 347–353. [Google Scholar] [CrossRef] [PubMed]
  7. Bhat, A.K.; Kumar, B.; Acharya, A. Radiographic imaging of the wrist. Indian J. Plast. Surg. 2011, 44, 186–196. [Google Scholar] [CrossRef] [PubMed]
  8. Mughal, A.M.; Hassan, N.; Ahmed, A. Bone age assessment methods: A critical review. Pak. J. Med. Sci. 1969, 30, 211–215. [Google Scholar] [CrossRef] [PubMed]
  9. Baccetti, T.; Franchi, L.; McNamara, J.A., Jr. An improved version of the cervical vertebral maturation (CVM) method for the assessment of mandibular growth. Angle Orthod. 2002, 72, 316–323. [Google Scholar] [CrossRef] [PubMed]
  10. Franchi, L.; Baccetti, T.; McNamara, J.A., Jr. Mandibular growth as related to cervical vertebral maturation and body height. Am. J. Orthod. Dentofac. Orthop. 2000, 118, 335–340. [Google Scholar] [CrossRef] [PubMed]
  11. Baccetti, T.; Franchi, L.; McNamara, J.A., Jr. The cervical vertebral maturation (CVM) method for the assessment of optimal treatment timing in dentofacial orthopedics. Semin. Orthod. 2005, 11, 119–129. [Google Scholar] [CrossRef]
  12. Heil, A.; Gonzalez, E.L.; Hilgenfeld, T.; Kickingereder, P.; Bendszus, M.; Heiland, S.; Ozga, A.-K.; Sommer, A.; Lux, C.J.; Zingler, S. Lateral cephalometric analysis for treatment planning in orthodontics based on MRI compared with radiographs: A feasibility study in children and adolescents. PLoS ONE 2017, 12, e0174524. [Google Scholar] [CrossRef] [PubMed]
  13. Gandini, P.; Mancini, M.; Andreani, F. A comparison of hand-wrist bone and cervical vertebral analysis in measuring skeletal maturation. Angle Orthod. 2006, 76, 984–989. [Google Scholar] [CrossRef]
  14. Flores-Mir, C.; Burgess, C.A.; Champney, M.; Jensen, R.J.; Pitcher, M.R.; Major, P.W. Correlation of skeletal maturation stages determined by cervical vertebrae and hand-wrist evaluations. Angle Orthod. 2006, 76, 1–5. [Google Scholar] [CrossRef]
  15. Szemraj, A.; Wojtaszek-Słomińska, A.; Racka-Pilszak, B. Is the cervical vertebral maturation (CVM) method effective enough to replace the hand-wrist maturation (HWM) method in determining skeletal maturation?—A systematic review. Eur. J. Radiol. 2018, 102, 125–128. [Google Scholar] [CrossRef]
  16. Vaida, L.L.; Bud, E.S.; Halitchi, L.G.; Cavalu, S.; Todor, B.I.; Negrutiu, B.M.; Moca, A.E.; Bodog, F.D. The behavior of two types of upper removable retainers—Our Clinical Experience. Children 2020, 7, 295. [Google Scholar] [CrossRef]
  17. Tepedino, M.; Laurenziello, M.; Guida, L.; Montaruli, G.; Grassia, V.; Chimenti, C.; Campanelli, M.; Ciavarella, M. Sella turcica and craniofacial morphology in patients with palatally displaced canines: A retrospective study. Folia Morphol. 2015, 79, 51–57. [Google Scholar] [CrossRef]
  18. Maspero, C.; Farronato, M.; Bellincioni, F.; Cavagnetto, D.; Abate, A. Assessing mandibular body changes in growing subjects: A comparison of CBCT and reconstructed lateral cephalogram measurements. Sci. Rep. 2020, 10, 11722. [Google Scholar] [CrossRef]
  19. Dobrowolska-Zarzycka, M.; Dunin-Wilczyńska, I.; Mitura, I.; Dąbała, M. Evaluation of upper airways depth among patients with skeletal class I and III. Folia Morphol. 2013, 72, 155–160. [Google Scholar] [CrossRef] [PubMed][Green Version]
  20. Ryoo, D.H.; Jang, D.H.; Kim, D.Y.; Kim, J.; Lee, D.W.; Kang, J.H. Congenital ossesous torticollis that mimics congenital muscular torticollis: A retrospective observational study. Children 2020, 7, 227. [Google Scholar] [CrossRef]
  21. Vaida, L.L.; Moca, A.E.; Todor, L.; Ţenţ, A.; Todor, B.I.; Negruţiu, B.M.; Moraru, A.I. Correlations between morphology of cervical vertebrae and dental eruption. Rom. J. Morphol. Embryol 2019, 60, 175–180. [Google Scholar] [PubMed]
  22. Mamillapalli, P.K.; Sesham, V.M.; Neela, P.K.; Kondapaka, V.; Mandaloju, S.P. A smartphone app for identifying cervical vertebral maturation stages. J. Clin. Orthod. 2015, 49, 582–585. [Google Scholar] [PubMed]
  23. Safavi, S.M.; Beikaii, H.; Hassanizadeh, R.; Younessian, F.; Baghban, A.A. Correlation between cervical vertebral maturation and chronological age in a group of Iranian females. Dent. Res. J. 2015, 12, 443–448. [Google Scholar] [CrossRef]
  24. Fernandes-Retto, P.; Matos, D.; Ferreira, M.; Bugaighis, I.; Delgado, A. Cervical vertebral maturation and its relationship to circum-pubertal phases of the dentition in a cohort of Portuguese individuals. J. Clin. Exp. Dent. 2019, 11, e642–e649. [Google Scholar] [CrossRef]
  25. Franchi, L.; Baccetti, T.; De Toffol, L.; Polimeni, A.; Cozza, P. Phases of the dentition for the assessment of skeletal maturity: A diagnostic performance study. Am. J. Orthod. Dentofac. Orthop. 2008, 133, 395–400. [Google Scholar] [CrossRef]
  26. Alkhal, H.A.; Wong, R.W.K.; Rabie, A.B.M. Correlation between chronological age, cervical vertebral maturation and fishman’s skeletal maturity indicators in southern Chinese. Angle Orthod. 2008, 78, 591–596. [Google Scholar] [CrossRef]
  27. Różyło-Kalinowska, I.; Kolasa-Rączka, A.; Kalinowski, P. Relationship between dental age according to Demirjian and cervical vertebral maturity in Polish children. Eur. J. Orthod. 2011, 33, 75–83. [Google Scholar] [CrossRef] [PubMed][Green Version]
  28. Maspero, C.; Farronato, M.; Bellincioni, F.; Annibale, A.; Machetti, J.; Abate, A.; Cavagnetto, D. Three-dimensional evaluation of maxillary sinus changes in growing subjects: A retrospective cross-sectional study. Materials 2020, 13, 1007. [Google Scholar] [CrossRef]
  29. Mishori, R. The use of age assessment in the context of child migration: Imprecise, inaccurate, inconclusive and endangers children’s rights. Children 2019, 6, 85. [Google Scholar] [CrossRef] [PubMed]
Figure 1. Lateral cephalometric radiograph with the 2, 3, and 4 cervical vertebrae highlighted.
Figure 1. Lateral cephalometric radiograph with the 2, 3, and 4 cervical vertebrae highlighted.
Children 08 00142 g001
Table 1. Chronological age according to the gender.
Table 1. Chronological age according to the gender.
GenderMean Age (Years) ± SDMedian (IQR)Medium Rankp *
Girls (p = 0.035 **)11.535 ± 2.2211.65 (10–13.025)127.090.841
Boys (p = 0.029 **)11.5 ± 2.2911.65 (9.575–13.7)125.07
SD, standard deviation; IQR, interquartile range; * Mann–Whitney U Test; ** Shapiro–Wilk Test.
Table 2. Distribution of the patients according to the Cervical Vertebral Maturation (CVM) stage.
Table 2. Distribution of the patients according to the Cervical Vertebral Maturation (CVM) stage.
CVM StageNo.Percentage
CS13815.1%
CS22710.7%
CS33513.9%
CS46425.4%
CS55521.8%
CS63313.1%
Table 3. Distribution of the patients according to their gender and CVM stage.
Table 3. Distribution of the patients according to their gender and CVM stage.
Gender/CVM StageGirlsBoysp *
No.PercentageNo.Percentage
CS12111.80%1723%0.001
CS2147.90%1317.60%
CS32715.20%810.80%
CS44123%2331.10%
CS54927.50%68.10%
CS62614.60%79.50%
* Fisher´s Exact Test.
Table 4. Comparison of the chronological age in different CVM stages.
Table 4. Comparison of the chronological age in different CVM stages.
CVM StageMean Age (Years) ± SDMedian (IQR)Medium Rankp *
CS1 (p = 0.752 **)9.055 ± 1.518.9 (7.87–10.15)48.62<0.001
CS2 (p = 0.173 **)10.11 ± 1.5910.1 (8.8–11.6)77.8
CS3 (p = 0.700 **)10.35 ± 1.7510.2 (9–11.4)84.99
CS4 (p = 0.568 **)12.05 ± 1.7312.05 (11–12.9)142.62
CS5 (p = 0.048 **)12.7 ± 1.7212.9 (11.6–13.9)166.39
CS6 (p = 0.002 **)13.76 ± 1.3514.1 (13.2–14.65)202.30
SD, standard deviation; IQR, interquartile range; * Kruskal–Wallis H Test; ** Shapiro–Wilk Test.
Table 5. Post-hoc comparison of the chronological age in different CVM stages.
Table 5. Post-hoc comparison of the chronological age in different CVM stages.
CVM Stage *CS1CS2CS3CS4CS5CS6
CS1-1.0000.498<0.001<0.001<0.001
CS21.000-1.0000.002<0.001<0.001
CS30.4981.000-0.003<0.001<0.001
CS4<0.0010.0020.003-1.0000.002
CS5<0.001<0.001<0.0011.000-0.378
CS6<0.001<0.001<0.0010.0010.378-
* Dunn–Bonferroni Post-Hoc Test.
Table 6. Comparison of the chronological age in different CVM stages for girls.
Table 6. Comparison of the chronological age in different CVM stages for girls.
CVM StageMean Age (Years) ± SDMedian (IQR)Medium Rankp *
CS1 (p = 0.908 **)8.79 ± 1.568.7 (7.8–10)29.38<0.001
CS2 (p = 0.506 **)9.49 ± 1.599.6 (8.25–11.1)41.36
CS3 (p = 0.489 **)10.16 ± 1.6910.1 (9–11.3)54.59
CS4 (p = 0.553 **)11.99 ± 1.4212 (10.95–12.75)98.00
CS5 (p = 0.076 **)12.57 ± 1.7412.9 (11.5–13.7)114.53
CS6 (p = 0.007 **)13.58 ± 1.4114 (13.07–14.6)139.69
SD, standard deviation; IQR, interquartile range; * Kruskal–Wallis H Test; ** Shapiro–Wilk Test.
Table 7. Post-hoc comparison of the chronological age in different CVM stages for girls.
Table 7. Post-hoc comparison of the chronological age in different CVM stages for girls.
CVM Stage *CS1CS2CS3CS4CS5CS6
CS1-1.0001.000<0.001<0.001<0.001
CS21.000-1.0000.006<0.001<0.001
CS31.0001.000-0.010<0.001<0.001
CS4<0.0010.0060.010-1.0000.019
CS5<0.001<0.001<0.0011.000-0.662
CS6<0.001<0.001<0.0010.0190.662-
* Dunn–Bonferroni Post-Hoc Test.
Table 8. Comparison of the chronological age in different CVM stages for boys.
Table 8. Comparison of the chronological age in different CVM stages for boys.
CVM StageMean Age (Years) ± SDMedian (IQR)p * (p = 0.080 ***)
CS1 (p = 0.215 **)9.38 ± 1.4359.2 (7.85–10.75)<0.001
CS2 (p = 0.162 **)10.77 ± 1.35411.5 (9.55–11.7)
CS3 (p = 0.494 **)11.01 ± 1.911.5 (8.9–12.3)
CS4 (p = 0.398 **)12.15 ± 2.21512.4 (11–14)
CS5 (p = 0.092 **)13.76 ± 1.13414 (13.17–14.57)
CS6 (p = 0.792 **)14.42 ± 0.83814.6 (13.7–15)
SD, standard deviation; IQR, interquartile range; * One-Way ANOVA Test; ** Shapiro–Wilk Test; *** Levene´s Test for homogeneity of variances.
Table 9. Post-hoc comparison of the chronological age in different CVM stages for boys.
Table 9. Post-hoc comparison of the chronological age in different CVM stages for boys.
CVM Stage *CS1CS2CS3CS4CS5CS6
CS1-0.2460.241<0.001<0.001<0.001
CS20.246-1.0000.1990.009<0.001
CS30.2411.000-0.5820.0440.003
CS4<0.0010.1990.582-0.3240.034
CS5<0.0010.0090.0440.324-0.982
CS6<0.001<0.0010.0030.0340.982-
* Tukey HSD Post-Hoc Test.
Publisher’s Note: MDPI stays neutral with regard to jurisdictional claims in published maps and institutional affiliations.

Share and Cite

MDPI and ACS Style

Moca, A.E.; Vaida, L.L.; Moca, R.T.; Țuțuianu, A.V.; Bochiș, C.F.; Bochiș, S.A.; Iovanovici, D.C.; Negruțiu, B.M. Chronological Age in Different Bone Development Stages: A Retrospective Comparative Study. Children 2021, 8, 142. https://doi.org/10.3390/children8020142

AMA Style

Moca AE, Vaida LL, Moca RT, Țuțuianu AV, Bochiș CF, Bochiș SA, Iovanovici DC, Negruțiu BM. Chronological Age in Different Bone Development Stages: A Retrospective Comparative Study. Children. 2021; 8(2):142. https://doi.org/10.3390/children8020142

Chicago/Turabian Style

Moca, Abel Emanuel, Luminița Ligia Vaida, Rahela Tabita Moca, Anamaria Violeta Țuțuianu, Călin Florin Bochiș, Sergiu Alin Bochiș, Diana Carina Iovanovici, and Bianca Maria Negruțiu. 2021. "Chronological Age in Different Bone Development Stages: A Retrospective Comparative Study" Children 8, no. 2: 142. https://doi.org/10.3390/children8020142

APA Style

Moca, A. E., Vaida, L. L., Moca, R. T., Țuțuianu, A. V., Bochiș, C. F., Bochiș, S. A., Iovanovici, D. C., & Negruțiu, B. M. (2021). Chronological Age in Different Bone Development Stages: A Retrospective Comparative Study. Children, 8(2), 142. https://doi.org/10.3390/children8020142

Note that from the first issue of 2016, this journal uses article numbers instead of page numbers. See further details here.

Article Metrics

Back to TopTop