Abstract
Background: total hip replacement (THR) is a rare surgical option in children and adolescents with disabling hip diseases. The aim of this study is to report results from a retrospective cohort of patients aged 18 years or less who underwent cementless Ceramic-on-Ceramic (CoC) THR at a single institution, investigating clinical and radiographic outcomes, survival rates, and reasons for revision of the implants. Materials and methods: we queried the Registry of Prosthetic Orthopedic Implants (RIPO) to identify all children and adolescents undergoing THR between 2000 and 2019 at a single Institution. Inclusion criteria were patients undergoing cementless CoC THR, aged less than 18 years at surgery, followed for at least 2 years. Sixty-eight patients (74 hips) matched all the inclusion criteria and were enrolled in the study. We assessed the clinical and radiographic outcomes, the rate of complications, the survival rate, and reasons for revision of the implants. Results: The mean follow-up was 6.6 ± 4.4 years (range 2–20). The most frequent reason for THR was post-traumatic or chemotherapy-induced avascular necrosis (38%). The overall survival rate of the cohort was 97.6% (95% CI: 84.9–99.7%) at 5 years of follow-up, 94.4% (95% CI: 79.8–98.6%) at 10 years and 15 years of follow-up. Two THR in two patients (2.7%) required revision. With the numbers available, Cox regression analysis could not detect any significant interaction between preoperative or intraoperative variables and implant survivorship (p-value 0.242 to 0.989).” The average HOOS was 85 ± 14.3 (range 30.6–100). Overall, 23 patients (48%) reported excellent HOOS scores (>90 points), 21 patients (44%) reported acceptable HOOS scores (60–90 points) while 4 patients (8%) reported poor outcomes (<60 points). Twenty-one patients (43%) were regularly involved into moderate- to high-intensity sport activities (UCLA ≥ 6). Conclusions: Cementless CoC THR is a successful procedure in children and teenagers, having demonstrated high implant survivorship and low rates of complications and failure. A meticulous preoperative planning and implant selection is mandatory, to avoid implant malposition, which is the main reason of failure and revision in these cases. Further studies are needed to assess the impact of the THR on the psychosocial wellbeing of teenagers, as well as risks and benefits and cost-effectiveness in comparison to the hip preserving surgical procedures.
1. Introduction
Disabling hip diseases in children and adolescents may be due to a wide number of congenital or developmental pathologies, such as avascular necrosis (AVN) Legg-Calvè-Perthes disease (LCPD), slipped capital femoral epiphysis (SCFE), juvenile idiopathic arthritis (JIA), developmental dysplasia of the hip (DDH) [1]. Despite a plethora of “hip preserving” surgical procedures have been developed in recent decades, joint salvage may be an unsatisfying solution in the case of end-stage degenerative hip disease, with severe pain, disability and overall decreased quality of life [2,3,4].
Total hip replacement (THR) is a safe and effective option for treating end-stage hip osteoarthritis in adults, but concerns arise when this solution is considered for children and adolescents. Historically, skeletal immaturity, anatomic abnormalities, and active life expectancy have been powerful deterrents leading to technical pitfalls, bearing wear, premature loosening, and possible multiple revisions [5,6,7,8].
To date, the current literature reported 10–15% 10-year revision rate in very young patients, regardless the bearing, apparently higher than in adults [9,10]. However, the few studies about pediatric THR are generally small case series with limited follow-ups, sometimes including children treated for malignancies and obsolete implants/bearings [11,12,13].
During recent decades, cementless THR with hard-on-hard bearing surfaces, such as ceramic-on-ceramic (CoC) bearings, has emerged as a suitable option in young patients, having demonstrated superior tribological properties, with minimum wear and osteolysis [14,15]. These features may make CoC potentially ideal for children and adolescents. Nonetheless, concerns have been raised about brittleness, and possible bearing fracture, potentially leading to early, premature revisions [16]. So far, long-term results from sizeable case series are universally sought [9,10,17].
Therefore, we evaluated a consecutive cohort of patients, aged 18 years or younger, who underwent cementless CoC THR for non-oncological reasons in a tertiary center. The purposes of the present study were the evaluation of: (1) the clinical and radiographic outcomes; (2) the rate of complications, the survival rate, and reasons for revision of the implants.
2. Materials and Methods
2.1. Study Design and Population
This is a retrospective analysis of prospectively collected data. We queried the Registry of Prosthetic Orthopedic Implants (RIPO) to identify all children and adolescents undergoing THR between 2000 and 2019 at a single Institution. RIPO is the Emilia-Romagna regional arthroplasty registry. It includes 68 Orthopedic facilities in 59 public and private hospitals, involving 4,450,000 inhabitants. RIPO has been actively collecting and following primary joint (hip, knee and shoulder) replacement procedures and revision surgeries, since 2000. Standard forms are used to capture data about demographics, preoperative diagnosis, fixation and type (batch and code) of the implants. The capture rate of RIPO is 98%, the lack of adhesion being responsible for the missing data (2%).
Inclusion criteria were patients undergoing cementless CoC THR, treated at a single tertiary referral center, aged less than 18 years at surgery, followed for at least 2 years. Patients were excluded in the case of resection endoprosthesis for malignancies and other oncological reasons.
2.2. Patients Evaluation
Demographics and clinical variables at baseline, including age, sex, weight, height, BMI, and related z-scores, based on the Italian reference charts [18], laterality, reasons for THR, were explored by medical charts.
Surgical data included type of anesthesia, surgical approach, type of implant, intraoperative, and postoperative complications, implant failure, and reasons for revision.
Patients were contacted by mail or by phone and were asked to fulfill the Italian version of the Hip disability and Osteoarthritis Outcome Score (HOOS) [19], the University of California at Los Angeles (UCLA) Activity Score [20] and EQ-5D [21] questionnaire. The UCLA activity score is a ten-point activity scale that evaluates patient activity based on 10 descriptive activity levels ranging from wholly inactive (level 1) to regular participation in impact sports (level 10). The EQ-5D provides a simple descriptive profile and a single summary index value for health status that can be used in evaluation of health care. The EQ-5D-3L comprises five dimensions, each describing a different aspect of health: mobility, self-care, usual activities, pain /discomfort and anxiety/depression. Concerning the HOOS, reference values for young adult population (age 18–34 years) were obtained from literature, since we lack preoperative scores in most of the patients. According to these values, outcomes were considered excellent for HOOS > 90 points, acceptable for 60 ≤ HOOS ≤ 90 points, and poor for HOOS < 60 points, in each domain [22].
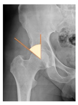
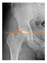
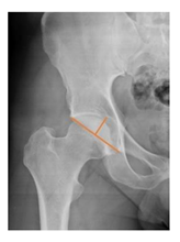
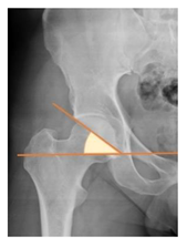
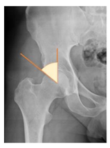
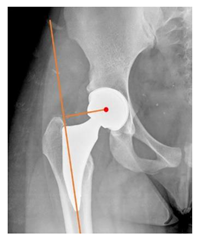
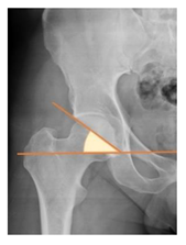
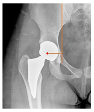
Plain radiographs were evaluated preoperatively and at the most recent follow-up, after appropriate calibration. Positional parameters were assessed according to values guidelines from published literature, as listed in Table 1 [23,24,25,26,27,28,29,30,31]. Femoral stem and acetabular cup osteointegration were quantified according to Engh [32] and Moore scale [33]. Heterotopic ossifications were graded according to the Brooker system [34].
Table 1.
Radiographic parameters.
2.3. Statistical Analysis
Continuous data were expressed as means, whereas categorical and ordinal data were expressed as absolute values and percentages. Demographics, implant-related features, reasons for causes of revision were reported as raw data, ranges, and percentages. The survival curves were calculated and plotted according to Kaplan-Meier method. The curve starts by definition at 100% survival the moment when the period of follow-up begins. The implant is considered to be ‘surviving’ up to when it was necessary to replace even a single component. A 95% confidence interval was calculated. The survival times of unrevised implants were considered at the last date of observation (date of death or July 31, 2021, for pediatric patients). Statistical analyses were performed using SPSS software (version 14.0.1, Chicago, IL, USA) and JMP, version 12.0.1 (SAS Institute Inc., Cary, NC, USA, 1989–2007).
3. Results
3.1. Patients’ Population
On a total of 134,000 patients treated with THR in our region, the RIPO counted a total of 129 hips (0.09%) in 122 patients aged 18 years or less. Ninety-nine hips (96 patients) were treated at our Institution. Of them, 17 procedures were excluded because they underwent THR for malignancies and 8 were excluded because of bearings others than CoC. Sixty-four hips (68 patients) matched all the inclusion criteria and were enrolled in the study. Demographics and preoperative clinical features are summarized in Table 2. Noticeably, 8 patients (11.8%) had short stature (<3rd percentile) and 11 patients (16.2%) were obese (BMI > 95th percentile).
Table 2.
Patient characteristics and baseline variables. All results are expressed as crude numbers for dichotomous variables and as mean ± Standard Deviation for continue variables.
The most frequent reason for THR was post-traumatic or chemotherapy-induced AVN (38%). Forty-two patients (43 hips, 58.1%) had at least one previous hip operation, mostly after fracture, SCFE, and core decompression. Twelve patients (15.7%) were diagnosed with genetic skeletal dysplasia (Figure 1).
Figure 1.
Causes of THR per patient. AVN: avascular necrosis; SCFE: slipped capital femoral epiphysis; LCPD: Legg-Calvè-Perthes disease; DDH: developmental dysplasia of the hip.
3.2. Surgical Data
The surgical approach was lateral in 54 cases (73%), anterior in 16 cases (21.6%), postero-lateral in 4 cases (5.4%). The most implanted THR was FIXA-TiPor® (Adler-Ortho, Milan-Italy) a highly porous titanium cup (44 implants 59.5%) [10]. The smallest implant size was used in 11 cases (14.9%). The stem design was anatomical in 25 hips (33.8%), rectangular in 17 hips (23%), conical in 13 hips (17.6%), and a mini stem was used in 19 hips (25.7%). Forty implants (54%) had a fully coated stem. A modular neck was used in 27 hips (36.5%). Regarding the bearing surface, the BIOLOX®delta ceramic was used in 60 cases (81.1%), while 14 hips (18.9%) received Biolox or Biolox-Forte bearings (CeramTec, Plochingen-Germany) (Table 3).
Table 3.
Implants characteristics.
Perioperative complications included: intraoperative femoral fracture requiring cerclages in 2 cases (2.7%). Postoperative bleeding required blood transfusion in 48 cases (64.9%: 30 autologous, 18 homologous) and embolization of the medial circumflex artery in one case (1.3%).
The mean follow-up was 6.6 ± 4.4 years (range 2–20). Two THR in two patients required revision. One patient with Albers–Schömberg disease required stem revision 33 months after the index procedure, due to stem undersizing and subsidence. Another patient with CDH sequelae underwent cup revision 68 months after the index procedure, because of recurrent hip instability due to initial vertical malposition of the cup. The overall survival rate of the cohort was 97.6% (95% CI: 84.9–99.7%) at 5 years of follow-up, 94.4% (95% CI: 79.8–98.6%) at 10 years and 15 years of follow-up (Figure 2). With the available data, Cox regression analysis could not detect any significant interaction between preoperative or intraoperative variables and the survivorship (p-value 0.242 to 0.989).
Figure 2.
Survivorship of THR implanted in our cohort. The survival curves were calculated and plotted according to Kaplan-Meier method. The overall survival rate of the cohort was 97.6% at 5 years of follow-up, 94.4% at 10 years and 15 years of follow-up.
3.3. Clinical Evaluation
Forty-eight of the original 68 children (71%) were available for subjective clinical evaluation. Among the non-participants, six patients were definitely unreachable by phone, e-mail, or letter, while 14 patients refused to complete the questionnaires, although they did not refer any problem related to the THR. The average HOOS was 85 ± 14.3 (range 30.6–100). Overall, 23 patients (47.9%) reported excellent HOOS scores, 21 patients (43.8%) reported acceptable HOOS scores, while 4 patients (8.3%) reported poor outcomes (Figure 3). Among those patients who reported poor outcomes, one patient underwent cup revision, one patient was successfully implanted but she is still waiting for contralateral THR, one patient had bilateral THR for chemotherapy-induced AVN, and one patient had poor outcomes despite the THR was apparently well implanted and did not show any aspect of failure at the most recent radiographs.
Figure 3.
HOOS score. Outcomes were considered excellent for HOOS > 90 points, acceptable for 60 ≤ HOOS ≤ 90 points, and poor for HOOS < 60 points, in each domain.
Twenty-one patients (43.8%) were regularly involved into moderate- to high-intensity sport activities (UCLA ≥ 6) (Figure 4). Seven of them (14.6%) performed high impact sport activities, such as skiing, tennis, and gym.
Figure 4.
UCLA Activity Score results. Outcomes were grouped in: 0–2: inactive; 3–4: mild activities; 5–6: moderate activities; 7–8: very active; 9–10: participate in impact sports.
The mean EQ-5D 3L was 0.8 (range 0.045–1). Sixteen patients (33.3%) reported the maximum score, while two patients (4%) reported a score lower than 0.5. Both these patients underwent several previous surgeries, for treating DDH sequelae in one case, and JIA in the other case.
3.4. Radiographic Evaluation
Preoperative and postoperative radiographic data are reported in Table 4. Preoperatively, 18 THR (24.3%) were implanted in skeletally immature children with closed triradiate cartilage (1 ≤ Risser ≤ 3). Radiographic acetabular insufficiency (LCEA < 25° and AI > 13°) was detected in 14 hips (18.9%), while protrusion was present in 3 hips (4.1%) An excessive valgus of the femoral neck was observed in 19 hips (25.7%), while an important varus deformity was present in 7 hips (9.5%).
Table 4.
Preoperative and postoperative radiographic parameters. All results are expressed as crude numbers for dichotomous variables and as mean ± Standard Deviation for continue variables. LCEA: Lateral center-edge angle. * Varus inclination is expressed as negative value, positive value for valgus.
Postoperative radiographs showed a significant vertical malposition of the cup in 1 case (1.4%), a significant varus stem in 8 cases (10.8%) and a significant valgus stem in 1 case (1.4%). Two patients (2.7%) showed moderate heterotopic bone formation (Brooker ≥ 2), that did not significantly affect the hip motion and symptoms. All those THR that did not undergo revision showed good radiographic osteointegration, with no evidence of implant breakage, radiographic lucencies, bone defects, cup migration, or stem subsidence at the most recent radiographs.
4. Discussion
THR is rarely required in children and teenagers. In our region, during the latest 20 years, less than 1‰ of THR were implanted in people less than 18 years old. This leads to a paucity of information regarding indication, timing, and prognosis of THR in very young individuals.
Traditionally, the choice of THR in children has been usually postponed, for fear of early implant failure, especially in children with incomplete skeletal maturity. Nonetheless, in our cohort, the survival rate was very high, similar to the adult counterpart [35]. Moreover, the implant survival was satisfactory, regardless the degree of skeletal maturity, although we would like to point out that no THR was implanted in children with still open triradiate cartilage. Our findings are consistent with the current data from other national registries [9,10,36] and with some recent reports focused on THR implanted in very young people [11,17,37]. All these experiences support the impression that with the modern THRs, implant survival is no longer a concern in children and adolescents. In particular, cementless THRs with CoC coupling have shown excellent long-term survival rate in several studies [15,38,39], making this option most suitable in children and adolescents. Moreover, the advent of new generation ceramics, such as BIOLOX®delta allows use of large femoral heads, increasing the hip stability, and, likely, performance and duration of the THR.
In our experience, implant malposition was the only reason for implant revision. In one case, progressive subsidence was observed in a varus undersized stem, implanted in a boy with Albers–Schömberg disease; in another case, an excessively vertical cup with a 28 mm femoral head caused hip instability and required cup revision.
THR can be a challenging procedure in very young people. The combination of distorted anatomy, small physique, and poor bone stock can impede proper implant placement. Implant sizing may be an issue in these patients. The combination of young age and peculiar conditions such as skeletal dysplasia may require particular attention in preoperative planning and implant selection. Noticeably, we used the smallest size of the cup in 11 hips (15%) and the smallest size of the stem in 14 hips (19%). A meticulous preoperative planning, even using simulation software, [40,41,42] and careful implant selection, sometimes requiring even customized implants [37], is crucial in such conditions, to prevent unpleasant pitfalls during the operation.
Clinical and functional outcomes and overall quality of life in children and adolescents with THR is another matter of concern. Despite the success of the operation, both in terms of implant stability and survival, only 48% of patients achieved overall excellent HOOS scores. Although pain was generally absent or mild after THR, symptoms such as residual stiffness and reduced hip motion could affect the performance of daily and high-demand sports activities, with obvious consequences on the patient’s quality of life. In our cohort only 43% of patients participated in moderate- to high-impact sports activities, and only 12% of patients reported an excellent quality of life, regardless of any preoperative parameter or intraoperative variable. The psychosocial implications of THR in such young individuals, even accounting for the cause of the THR, must be further investigated, to prepare the most appropriate therapeutic interventions, including physical therapy, patient education, and expectation management.
Major limitations to this study include the sample size, the retrospective design and the heterogeneity of the cohort in terms of initial diagnosis and previous procedures that may confound the long-term outcome. Moreover, almost 30% of patients did not complete the functional questionnaires.
5. Conclusions
Cementless CoC THR is a successful procedure in children and teenagers, having demonstrated high implant survivorship and low rates of complications and failure. A meticulous preoperative planning and implant selection is mandatory, to avoid implant malposition, which is the main reason of failure and revision in these cases. Further studies are needed to assess the impact of the THR on the psychosocial wellbeing of teenagers, as well as risks and benefits and cost-effectiveness, in comparison to the hip preserving surgical procedures.
Author Contributions
Conceptualization, G.T., D.F., D.D. and F.T.; methodology, G.T., F.C. and S.S.; formal analysis, G.T., F.C., B.B. and M.C.; investigation, S.S., P.Z., S.L.; resources, D.D., D.F. and F.T.; data curation, F.C., B.B., G.T., M.C., S.S., P.Z., S.L.; visualization G.T., F.C., B.B. and S.S.; writing—original draft preparation, G.T., B.B., F.C., M.C., S.L., P.Z. and S.S.; writing—review and editing, G.T., B.B., F.C., S.S., P.Z., S.L.; supervision, G.T., D.F., D.D., F.T., B.B.; project administration, G.T. All authors have read and agreed to the published version of the manuscript.
Funding
This research received no external funding.
Institutional Review Board Statement
Ethics approval was sought and obtained from the local Ethical Committee (codice CE AVEC: 926/2020/Oss/IOR, code 0015072, date of approval 3 November 2020). The study was conducted in accordance with the Helsinki declaration and all patients gave informed consent to participate.
Informed Consent Statement
Istituto Ortopedico Rizzoli is an institution that comprises treatment. and research, and, according to Italian regulations (art. 110 bis of D.lgs. n.196—30 June 2003), we can analyze and publish aggregated anonymous data.
Data Availability Statement
Data available on request due to restrictions. The data presented in this study could be available on request from the corresponding author. The data are not publicly available due to national privacy regulations.
Conflicts of Interest
The authors declare no conflict of interest.
References
- Zucker, E.J.; Lee, E.Y.; Restrepo, R.; Eisenberg, R.L. Hip disorders in children. Am. J. Roentgenol. 2013, 201, W776–W796. [Google Scholar] [CrossRef]
- Novais, E.N. Treatment options for end-stage hip disease in adolescents: To replace, fuse, or reconstruct? J. Pediatric Orthop. 2021, 41 (Suppl. 1), S47–S52. [Google Scholar] [CrossRef]
- Millis, M.B. Prearthritic hip disease: Important issues. JBJS 2020, 102 (Suppl. 2), 3–7. [Google Scholar] [CrossRef]
- Steppacher, S.D.; Huemmer, C.; Schwab, J.M.; Tannast, M.; Siebenrock, K.A. Surgical hip dislocation for treatment of femoroacetabular impingement: Factors predicting 5-year survivorship. Clin. Orthop. Relat. Res. 2014, 472, 337–348. [Google Scholar] [CrossRef] [Green Version]
- Lachiewicz, P.F.; McCaskill, B.; Inglis, A.; Ranawat, C.S.; Rosentein, B.D. Total hip arthroplasty in juvenile rheumatoid arthritis. Two to eleven-year results. J. Bone Jt. Surg. Am. 1986, 68, 502–508. [Google Scholar] [CrossRef]
- Witt, J.D.; Swann, M.; Ansell, B.M. Total hip replacement for juvenile chronic arthritis. J. Bone Jt. Surgery. Br. Vol. 1991, 73, 770–773. [Google Scholar] [CrossRef] [PubMed]
- Torchia, M.E.; Klassen, R.A.; Bianco, A.J. Total hip arthroplasty with cement in patients less than twenty years old: Long-term results. JBJS 1996, 78, 995–1003. [Google Scholar] [CrossRef] [PubMed]
- Nizard, R.; Pourreyron, D.; Raould, A.; Hannouche, D.; Sedel, L. Alumina-on-alumina hip arthroplasty in patients younger than 30 years old. Clin. Orthop. Relat. Res. 2008, 466, 317–323. [Google Scholar] [CrossRef] [PubMed] [Green Version]
- Sedrakyan, A.; Romero, L.; Graves, S.; Davidson, D.; De Steiger, R.; Lewis, P.; Solomon, M.; Vial, R.; Lorimer, M. Survivorship of hip and knee implants in pediatric and young adult populations: Analysis of registry and published data. JBJS 2014, 96 (Suppl. 1), 73–78. [Google Scholar] [CrossRef] [PubMed] [Green Version]
- Halvorsen, V.; Fenstad, A.M.; Engesæter, L.B.; Nordsletten, L.; Overgaard, S.; Pedersen, A.B.; Kärrholm, J.; Mohaddes, M.; Eskelinen, A.; Mäkelä, K.T.; et al. Outcome of 881 total hip arthroplasties in 747 patients 21 years or younger: Data from the Nordic Arthroplasty Register Association (NARA) 1995–2016. Acta Orthop. 2019, 90, 331–337. [Google Scholar] [CrossRef] [Green Version]
- Finkbone, P.R.; Severson, E.P.; Cabanela, M.E.; Trousdale, R.T. Ceramic-on-ceramic total hip arthroplasty in patients younger than 20 years. J. Arthroplast. 2012, 27, 213–219. [Google Scholar] [CrossRef]
- Van De Velde, S.K.; Loh, B.; Donnan, L. Total hip arthroplasty in patients 16 years of age or younger. J. Child. Orthop. 2017, 11, 428–433. [Google Scholar] [CrossRef]
- Clohisy, J.C.; Oryhon, J.M.; Seyler, T.M.; Wells, C.W.; Liu, S.S.; Callaghan, J.J.; Mont, M.A. Function and fixation of total hip arthroplasty in patients 25 years of age or younger. Clin. Orthop. Relat. Res. 2010, 468, 3207–3213. [Google Scholar] [CrossRef] [Green Version]
- Hsu, J.E.; Kinsella, S.D.; Garino, J.P.; Lee, G.C. Ten-year follow-up of patients younger than 50 years with modern ceramic-on-ceramic total hip arthroplasty. Semin. Arthroplast. JSES 2011, 22, 229–233. [Google Scholar] [CrossRef]
- Castagnini, F.; Bordini, B.; Stea, S.; Calderoni, P.P.; Masetti, C.; Busanelli, L. Highly porous titanium cup in cementless total hip arthroplasty: Registry results at eight years. Int. Orthop. 2019, 43, 1815–1821. [Google Scholar] [CrossRef]
- Varnum, C. Outcomes of different bearings in total hip arthroplasty—Implant survival, revision causes, and patient-reported outcome. Dan Med. J. 2017, 64, B5350. [Google Scholar] [PubMed]
- Pallante, G.D.; Statz, J.M.; Milbrandt, T.A.; Trousdale, R.T. Primary total hip arthroplasty in patients 20 years old and younger. JBJS 2020, 102, 519–525. [Google Scholar] [CrossRef] [PubMed]
- Cacciari, E.; Milani, S.; Balsamo, A.; Spada, E.; Bona, G.; Cavallo, L.; Cerutti, F.; Gargantini, L.; Greggio, N.; Tonini, G.; et al. Italian cross-sectional growth charts for height, weight and BMI (2 to 20 Yr). J. Endocrinol. Investig. 2006, 29, 581–593. [Google Scholar] [CrossRef]
- Torre, M.; Luzi, I.; Mirabella, F.; Del Manso, M.; Zanoli, G.; Tucci, G.; Romanini, E. Cross-cultural adaptation and validation of the italian version of the Hip disability and Osteoarthritis Outcome Score (HOOS). Health Qual. Life Outcomes 2018, 16, 1–9. [Google Scholar] [CrossRef] [PubMed]
- Calistri, A.; Di Martino, L.; Gurzì, M.D.; Bove, M.; De Smet, K.; Villani, C. Italian version of University of California at Los Angeles (UCLA) Activity Score: Cross-cultural adaptation. J. Arthroplast. 2014, 29, 1733–1735. [Google Scholar] [CrossRef]
- Scalone, L.; Cortesi, P.A.; Ciampichini, R.; Belisari, A.; D’Angiolella, L.S.; Cesana, G.; Mantovani, L.G. Italian population-based values of EQ-5D health states. Value Health 2013, 16, 814–822. [Google Scholar] [CrossRef] [PubMed] [Green Version]
- Sundén, A.; Lidengren, K.; Roos, E.M.; Lohmander, L.S.; Ekvall Hansson, E. Hip complaints differ across age and sex: A population-based reference data for the Hip disability and Osteoarthritis Outcome Score (HOOS). Health Qual. Life Outcomes 2018, 16, 1–6. [Google Scholar] [CrossRef] [PubMed]
- Tannast, M.; Siebenrock, K.A.; Anderson, S.E. Femoroacetabular impingement: Radiographic diagnosis—What the radiologist should know. Am. J. Roentgenol. 2007, 188, 1540–1552. [Google Scholar] [CrossRef] [PubMed] [Green Version]
- Lucchini, S.; Castagnini, F.; Giardina, F.; Tentoni, F.; Masetti, C.; Tassinari, E.; Bordini, B.; Traina, F. Cementless ceramic-on-ceramic total hip arthroplasty in post-traumatic osteoarthritis after acetabular fracture: Long-term results. Arch. Orthop. Trauma Surg. 2021, 141, 683–691. [Google Scholar] [CrossRef]
- Engesæter, I.Ø.; Laborie, L.B.; Lehmann, T.G.; Sera, F.; Fevang, J.; Pedersen, D.; Morcuende, J.; Lie, S.A.; Engesæter, L.B.; Rosendahl, K. Radiological findings for hip dysplasia at skeletal maturity. Validation of digital and manual measurement techniques. Skeletal Radiol. 2012, 41, 775–785. [Google Scholar] [CrossRef] [PubMed]
- Troy, M.J.; Miller, P.E.; Price, N.; Talwalkar, V.; Zaina, F.; Donzelli, S.; Negrini, S.; Hresko, M.T. The “Risser+” grade: A new grading system to classify skeletal maturity in idiopathic scoliosis. Eur. Spine J. 2019, 28, 559–566. [Google Scholar] [CrossRef]
- Lewinnek, G.E.; Lewis, J.L.; Tarr, R.; Compere, C.L.; Zimmerman, J.R. Dislocations after total hip-replacement arthroplasties. J. Bone Jt. Surg. 1978, 60, 217–220. [Google Scholar] [CrossRef]
- Min, B.W.; Song, K.S.; Bae, K.C.; Cho, C.H.; Kang, C.H.; Kim, S.Y. The effect of stem alignment on results of total hip arthroplasty with a cementless tapered-wedge femoral component. J. Arthroplast. 2008, 23, 418–423. [Google Scholar] [CrossRef]
- O’Brien, S.; Kernohan, G.; Fitzpatrick, C.; Hill, J.; Beverland, D. Perception of imposed leg length inequality in normal subjects. Hip Int. 2010, 20, 505–511. [Google Scholar] [CrossRef]
- Matsuda, K.; Nakamura, S.; Matsushita, T. A simple method to minimize limb-length discrepancy after hip arthroplasty. Acta Orthop. 2006, 77, 375–379. [Google Scholar] [CrossRef]
- D’Ambrosio, A.; Peduzzi, L.; Roche, O.; Bothorel, H.; Saffarini, M.; Bonnomet, F. Influence of femoral morphology and canal fill ratio on early radiological and clinical outcomes of uncemented total hip arthroplasty using a fully coated stem. Bone Jt. Res. 2020, 9, 182–191. [Google Scholar] [CrossRef] [PubMed]
- Engh, C.A.; Massin, P.; Suthers, K.E. Roentgenographic assessment of the biologic fixation of porous-surfaced femoral components. Clin. Orthop. Relat. Res. 1990, 257, 107–128. [Google Scholar] [CrossRef]
- Moore, M.S.; McAuley, J.P.; Young, A.M.; Engh, C.A. Radiographic signs of osseointegration in porous-coated acetabular components. Clin. Orthop. Relat. Res. 2006, 444, 176–183. [Google Scholar] [CrossRef]
- Brooker, A.F.; Bowerman, J.W.; Robinson, R.A.; Riley, L.H., Jr. Ectopic ossification following total hip replacement. incidence and a method of classification. J. Bone Jt. Surg. Am. 1973, 55, 1629–1632. [Google Scholar] [CrossRef]
- Boyer, B.; Bordini, B.; Caputo, D.; Neri, T.; Stea, S.; Toni, A. What are the influencing factors on hip and knee arthroplasty survival? Prospective cohort study on 63,619 arthroplasties. Orthop. Traumatol. Surg. Res. 2019, 105, 1251–1256. [Google Scholar] [CrossRef] [PubMed]
- Metcalfe, D.; Peterson, N.; Wilkinson, J.M.; Perry, D.C. Temporal trends and survivorship of total hip arthroplasty in very young patients: A study using the National Joint Registry data set. Bone Jt. J. 2018, 100, 1320–1329. [Google Scholar] [CrossRef] [PubMed]
- Buddhdev, P.K.; Vanhegan, I.S.; Khan, T.; Hashemi-Nejad, A. Early to medium-term outcomes of uncemented ceramic-bearing total hip arthroplasty in teenagers for paediatric hip conditions. Bone Jt. J. 2020, 102, 1491–1496. [Google Scholar] [CrossRef]
- Vendittoli, P.A.; Shahin, M.; Rivière, C.; Barry, J.; Lavoie, P.; Duval, N. Ceramic-on-ceramic total hip arthroplasty is superior to metal-on-conventional polyethylene at 20-year follow-up: A randomised clinical trial. Orthop. Traumatol. Surg. Res. 2021, 107, 102744. [Google Scholar] [CrossRef]
- Castagnini, F.; Bordini, B.; Biondi, F.; Cosentino, M.; Stea, S.; Traina, F. Mixed ceramic combinations in primary total hip arthroplasty achieved reassuring mid-to-longterm outcomes. J. Mater. Sci. Mater. Med. 2020, 31, 1–6. [Google Scholar] [CrossRef]
- Viceconti, M.; Lattanzi, R.; Antonietti, B.; Paderni, S.; Olmi, R.; Sudanese, A.; Toni, A. CT-based surgical planning software improves the accuracy of total hip replacement preoperative planning. Med. Eng. Phys. 2003, 25, 371–377. [Google Scholar] [CrossRef]
- Noble, P.C.; Sugano, N.; Johnston, J.D.; Thompson, M.T.; Conditt, M.A.; Engh, C.A.; Mathis, K.B. Computer simulation: How can it help the surgeon optimize implant position? Clin. Orthop. Relat. Res. 2003, 417, 242–252. [Google Scholar] [CrossRef]
- Frizziero, L.; Santi, G.M.; Liverani, A.; Napolitano, F.; Papaleo, P.; Maredi, E.; Di Gennaro, G.L.; Zarantonello, P.; Stallone, S.; Stilli, S.; et al. Computer-aided surgical simulation for correcting complex limb deformities in children. Appl. Sci. 2020, 10, 5181. [Google Scholar] [CrossRef]
Publisher’s Note: MDPI stays neutral with regard to jurisdictional claims in published maps and institutional affiliations. |
© 2021 by the authors. Licensee MDPI, Basel, Switzerland. This article is an open access article distributed under the terms and conditions of the Creative Commons Attribution (CC BY) license (https://creativecommons.org/licenses/by/4.0/).











