Phototherapy and Tailored Brushing Method. Personalized Oral Care in Patients with Facial and Dental Trauma. A Report of a Case
Abstract
1. Introduction
2. Case Presentation
2.1. Case Report
2.1.1. Initial Situation
2.1.2. Initial Clinical Evaluation
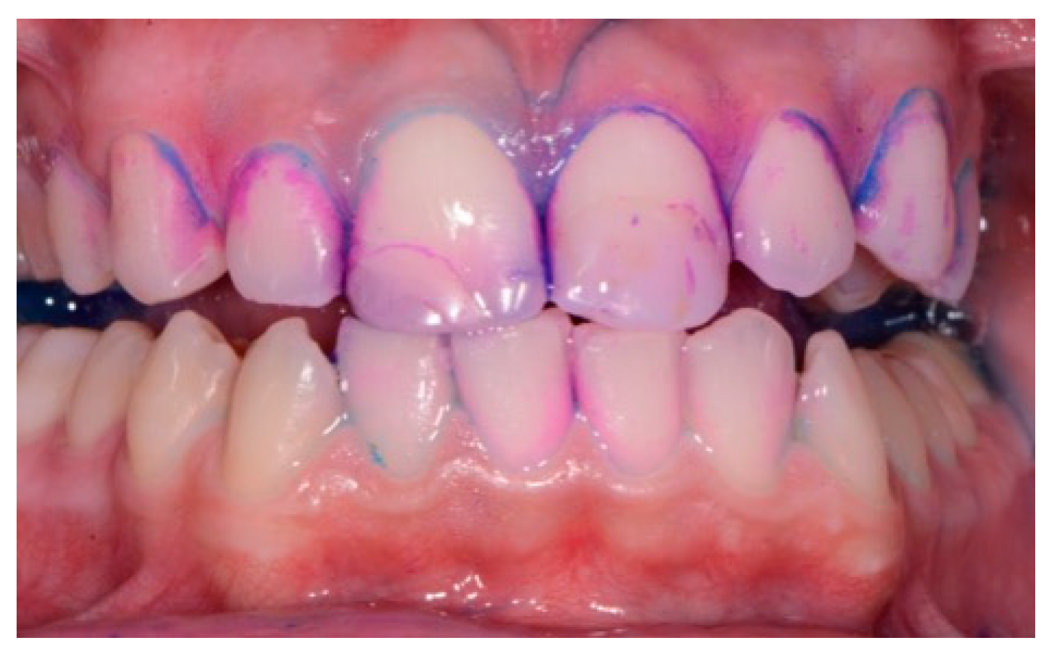
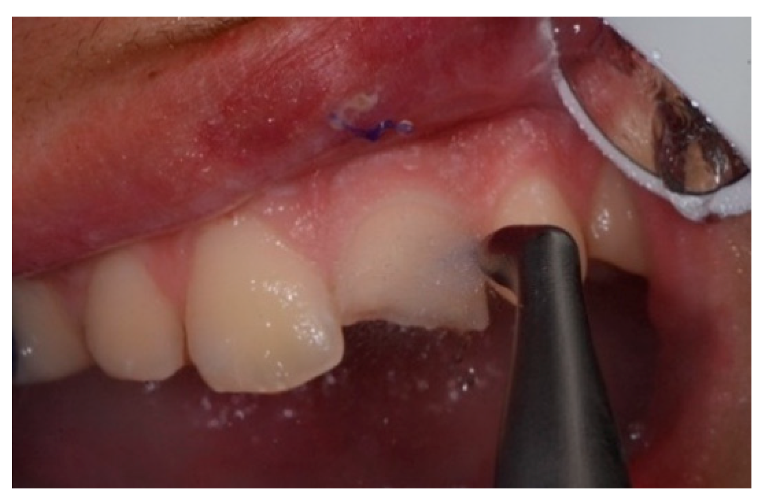
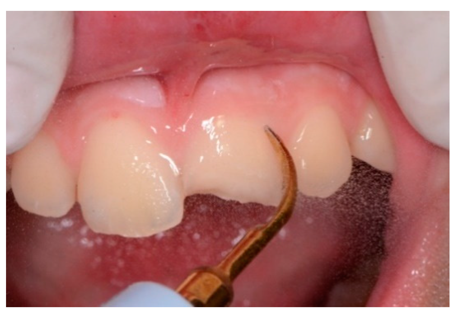
Intraoral Camera Images
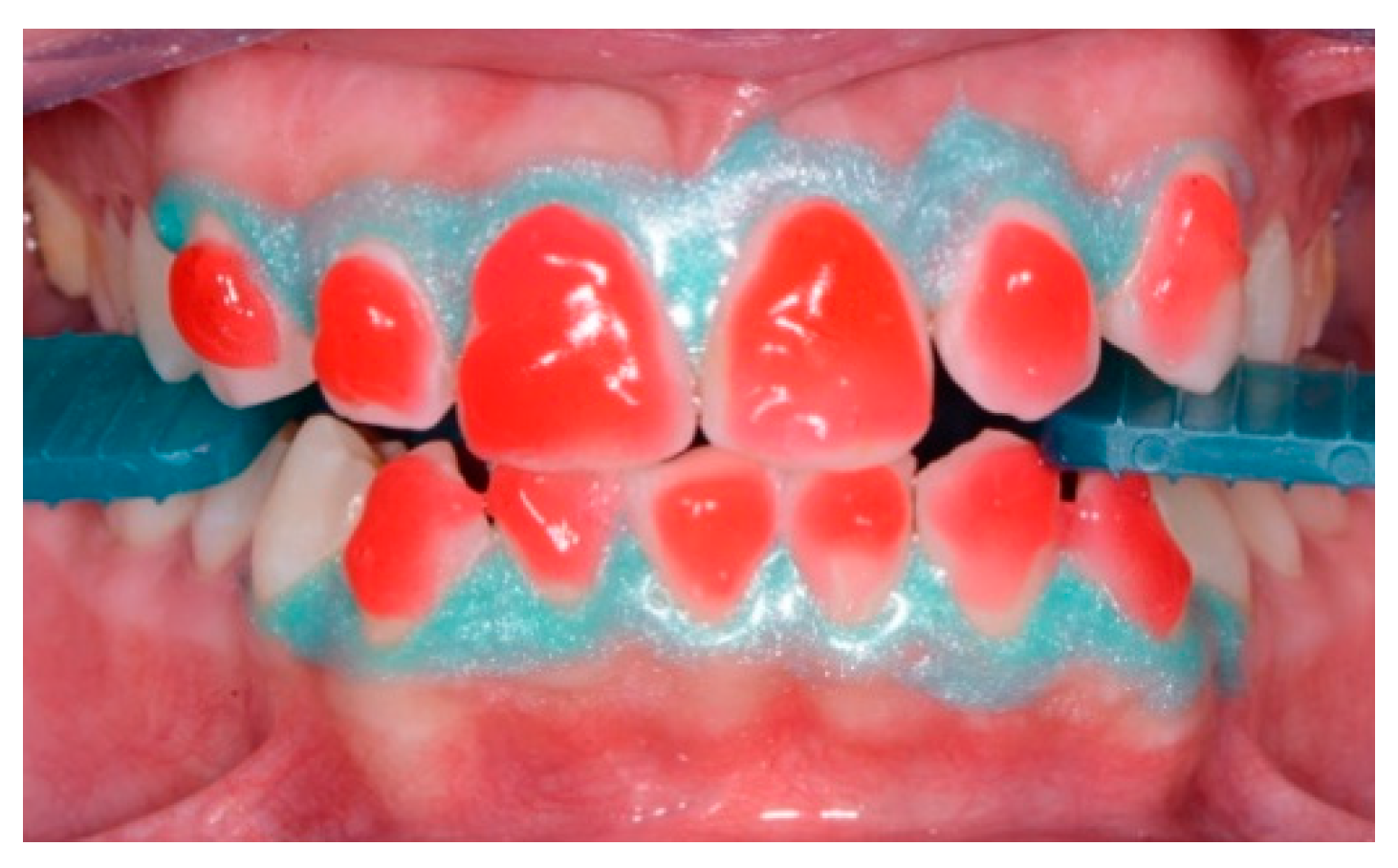
2.1.3. Oral Biofilm Topography
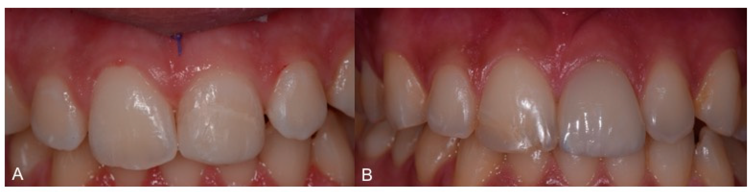
2.1.4. Photographic Images
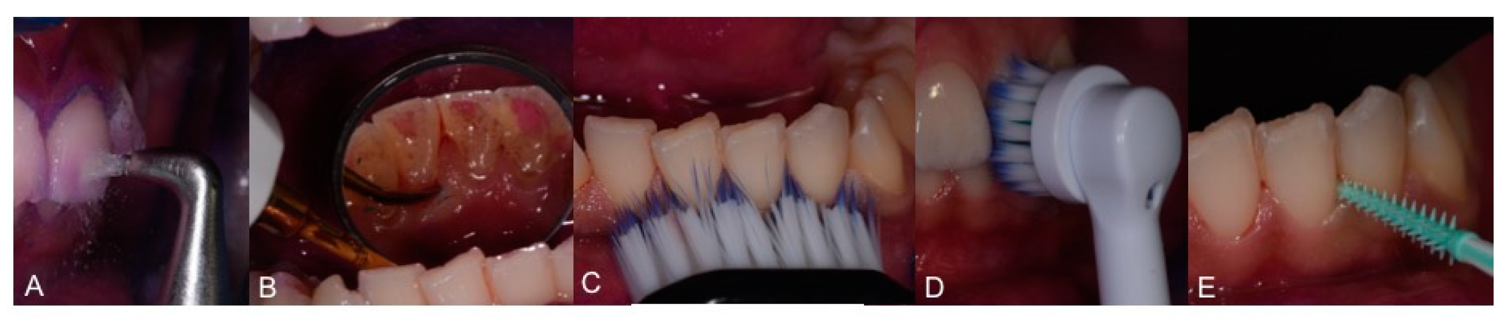
2.2. Treatments Performed
2.2.1. Bioptron Light therapy
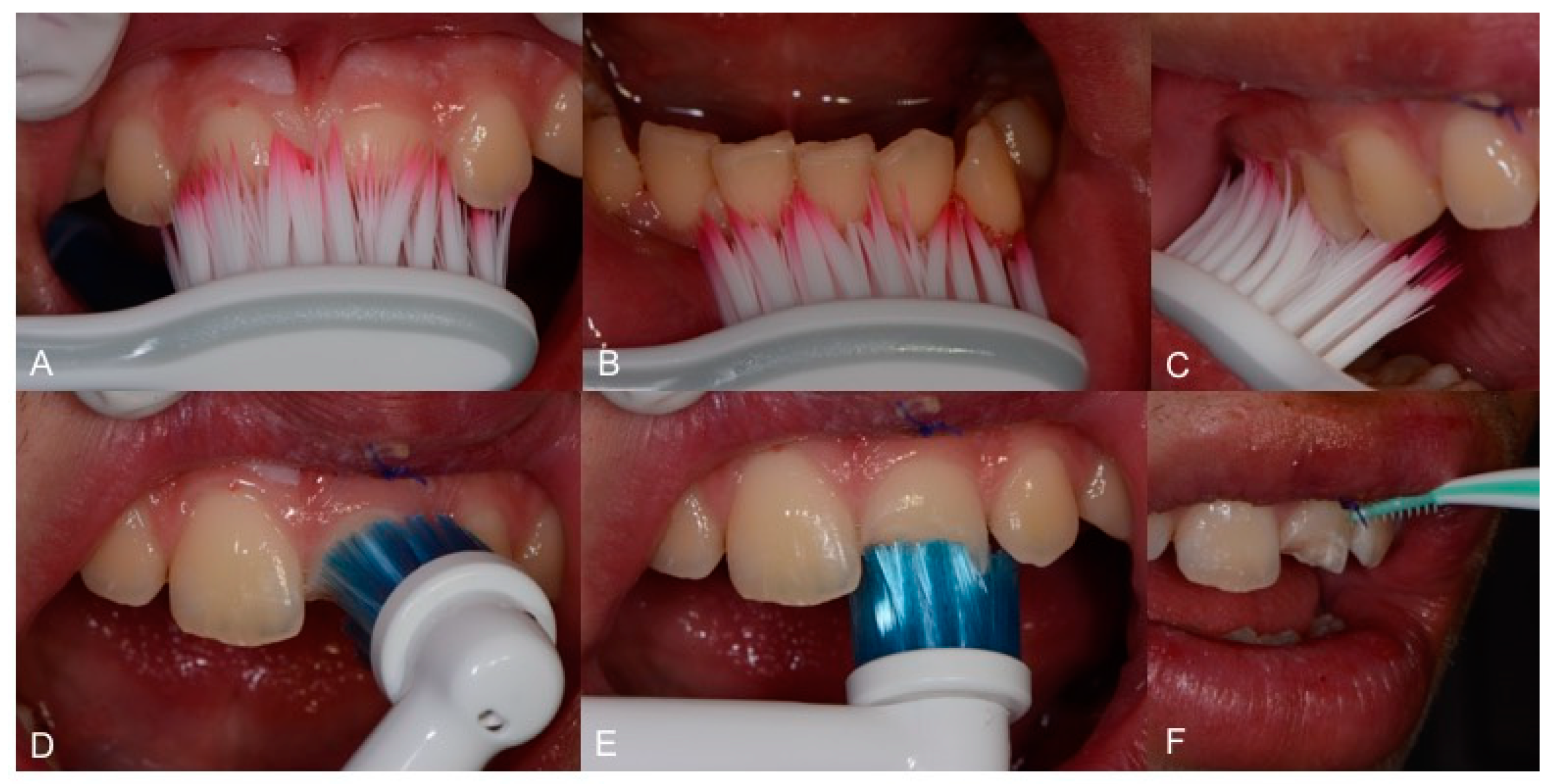
2.2.2. Tailored Brushing Method
- (i)
- gingival biotype;
- (ii)
- dental morphology (natural tooth, crown on natural tooth, crown on implant) and presence of diastema;
- (iii)
- patient’s manual skills;
- (iv)
- patient’s personality profile.
2.2.3. Oral Hygiene in Office Protocol
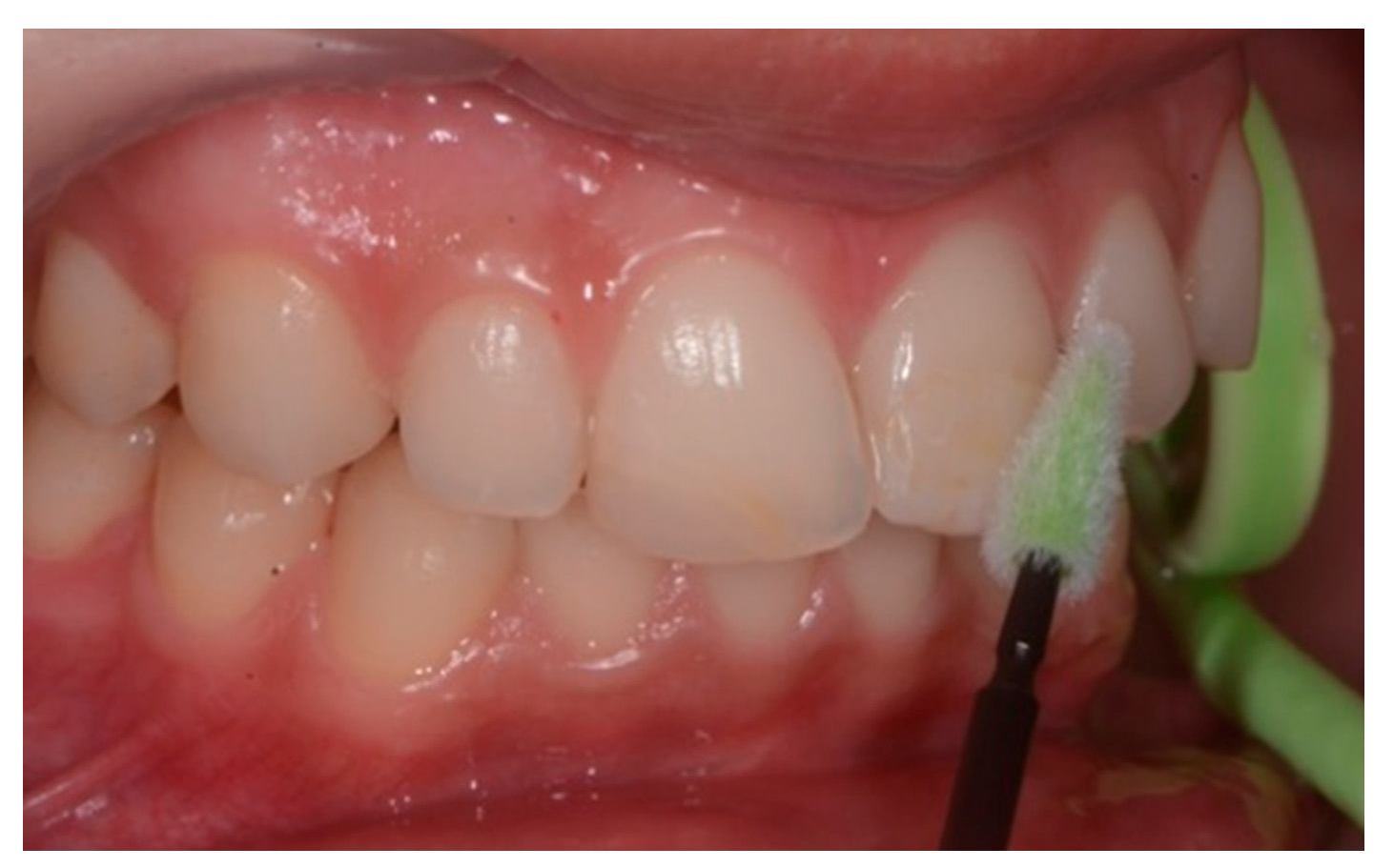
2.2.4. Remineralization
2.2.5. Desensitizing
2.2.6. Bleaching
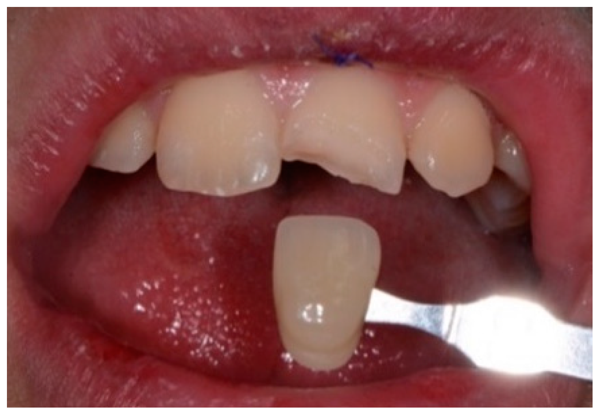
2.2.7. Rehabilitation
2.3. The recall Information
3. Discussion
4. Limitations
5. Conclusions
Author Contributions
Funding
Institutional Review Board Statement
Informed Consent Statement
Data Availability Statement
Conflicts of Interest
References
- Levin, L.; Day, P.F.; Hicks, L.; O’Connell, A.; Fouad, A.F.; Bourguignon, C.; Abbott, P.V. International Association of Dental Traumatology guidelines for the management of traumatic dental injuries: General introduction. Dent. Traumatol. 2020, 36, 309–313. [Google Scholar] [CrossRef]
- Michos, I.; Talias, M.; Lamnisos, D.; Dimopoulos, C.; Stasinopoulos, D. Tendinopathy: The Role of Polarised Polychromatic Non-Coherent Light Commonly called Bioptron Light. J. Prev. Infect. Control. 2016, 2, 1–4. [Google Scholar]
- Nardi, G.; Sabatini, S.; Guerra, F.; Tatullo, M.; Ottolenghi, L. Tailored Brushing Method (TBM): An Innovative Simple Protocol to Improve the Oral Care. J. Biomed. 2016, 1, 26–31. [Google Scholar] [CrossRef][Green Version]
- Mazur, M.; Marasca, R.; Ottolenghi, L.; Vozza, I.; Covello, F.; Zupancich, A.; Cristiani, E.; Nava, A. Different Resorptive Patterns of Two Avulsed and Replanted Upper Central Incisors Based on Scanning Electron Microscopy and Stereomicroscopic Analysis: A Case Report. Appl. Sci. 2020, 10, 3551. [Google Scholar] [CrossRef]
- Mazur, M.; Jedliński, M.; Janiszewska-Olszowska, J.; Ndokaj, A.; Ardan, R.; Nardi, G.; Marasca, R.; Ottolenghi, L.; Polimeni, A.; Vozza, I. Knowledge of Emergency Management of Avulsed Teeth among Italian Dentists-Questionnaire Study and Next Future Perspectives. Int. J. Environ. Res. Public Health 2021, 18, 706. [Google Scholar] [CrossRef]
- Guerra, F.; Guzzo, A.S.; La Rosa, P.; Miatto, I.; Vergati, D.; Miredi, F.; Gasparrini, N.; Guerra, F.; Raimondi, L.; Corridore, D.; et al. Risk management and Healthcare responsibility. How to guarantee legal protection in Medicine. Clin. Ter. 2020, 171, e63–e66. [Google Scholar]
- Ramos, R.M.; Burland, M.; Silva, J.B.; Burman, L.M.; Gelain, M.S.; Debom, L.M.; Bec, J.M.; Alirezai, M.; Uebel, C.O.; Valmier, J. Photobiomodulation Improved the First Stages of Wound Healing Process After Abdominoplasty: An Experimental, Double-Blinded, Non-randomized Clinical Trial. Aesthetic Plast. Surg. 2019, 43, 147–154. [Google Scholar] [CrossRef]
- Moura-Netto, C.; Ferreira, L.S.; Maranduba, C.M.; Mello-Moura, A.C.V.; Marques, M.M. Low-intensity laser phototherapy enhances the proliferation of dental pulp stem cells under nutritional deficiency. Braz. Oral Res. 2016, 1, S1806-83242016000100265. [Google Scholar] [CrossRef] [PubMed]
- Matos, F.-D.S.; Godolphim, F.-D.J.; Albuquerque-Júnior, R.-L.-C.; Paranhos, L.-R.; Rode, S.-D.M.; Carvalho, C.-A.-T.; Ribeiro, M.-A.-G. Laser phototherapy induces angiogenesis in the periodontal tissue after delayed tooth replantation in rats. J. Clin. Exp. Dent. 2018, 10, e335–e340. [Google Scholar] [CrossRef][Green Version]
- Ustaoglu, G.; Ercan, E.; Tunali, M. Low-Level Laser Therapy in Enhancing Wound Healing and Preserving Tissue Thickness at Free Gingival Graft Donor Sites: A Randomized, Controlled Clinical Study. Photomed. Laser Surg. 2017, 4, 223–230. [Google Scholar] [CrossRef] [PubMed]
- Aragona, S.E.; Grassi, F.R.; Nardi, G.M.; Lotti, J.; Mereghetti, G.; Canavesi, E.; Equizi, E.; Puccio, A.M.; Lotti, T. Photobiomodulation with polarized light in the treatment of cutaneous and mucosal ulcerative lesions. J. Biol. Regul. Homeost Agents 2017, 2, 213–218. [Google Scholar]
- Raeissadat, S.A.; Rayegani, S.M.; Rezaei, S.; Sedighipour, L.; Bahrami, M.H.; Eliaspour, D.; Karimzadeh, A. The Effect of Polarized Polychromatic Noncoherent Light (Bioptron) Therapy on Patients with Carpal Tunnel Syndrome. J. Lasers Med. Sci. 2014, 5, 39–46. [Google Scholar]
- Samoilova, K.A.; Zhevago, N.A.; Menshutina, M.A.; Grigorieva, N.B. Role of nitric oxide in the visible light-induced rapid increase of human skin microcirculation at the local and systemic level: I. diabetic patients. Photomed. Laser Surg. 2008, 26, 433–442. [Google Scholar] [CrossRef] [PubMed]
- Samoilova, K.A.; Zhevago, N.A.; Petrishchev, N.N.; Zimin, A.A. Role of nitric oxide in the visible light-induced rapid increase of human skin microcirculation at the local and systemic levels: II. healthy volunteers. Photomed. Laser Surg. 2008, 26, 443–449. [Google Scholar] [CrossRef] [PubMed]
- Feehan, J.; Burrows, S.P.; Cornelius, L.; Cook, A.M.; Mikkelsen, K.; Apostolopoulos, V.; Husaris, M.; Kiatos, D. Therapeutic applications of polarized light: Tissue healing and immunomodulatory effects. Maturitas 2018, 116, 11–17. [Google Scholar] [CrossRef]
- Feehan, J.; Tripodi, N.; Fraser, S.; Mikkelsen, K.; Thewlis, A.; Kiatos, D.; Husaric, M.; Apostolopoulos, V. Polarized light therapy: Shining a light on the mechanism underlying its immunomodulatory effects. J. Biophotonics 2020, 13, e201960177. [Google Scholar] [CrossRef] [PubMed]
- BIOPTRON. Available online: https://devicea-bioptron.com/product/bioptron-medall/ (accessed on 14 November 2020).
- Al-Kader, A.M.M.A.; Hassan, M.A.; Elsayed Hisham, G.M.; Mowafy Zakaria, M.E. Efficacy of Polarized Light in the Treatment of Pressure Ulcers. JMSCR 2015, 3, 5800-09. [Google Scholar]
- Abbott, P.V.; Salgado, J.C. Strategies to minimise the consequences of trauma to the teeth. Oral Health Dent. Manag. 2014, 13, 229–242. [Google Scholar]
- Janakiram, C.; Varghese, N.; Venkitachalam, R.; Joseph, J.; Vineetha, K. Comparison of modified Bass, Fones and normal tooth brushing technique for the efficacy of plaque control in young adults- A randomized clinical trial. J. Clin. Exp. Dent. 2020, 12, e123–e129. [Google Scholar] [CrossRef]
- Wang, Y.; Mei, L.; Gong, L.; Li, J.; He, S.; Ji, Y.; Sun, W. Remineralization of early enamel caries lesions using different bioactive elements containing toothpastes: An in vitro study. Technol. Health Care. 2016, 24, 701–711. [Google Scholar] [CrossRef]
- Manarelli, M.; Delbem, A.; Lima, T.; Castilho, F.; Pessan, J. In vitro Remineralizing Effect of Fluoride Varnishes Containing Sodium Trimetaphosphate. Caries Res. 2014, 48, 299–305. [Google Scholar] [CrossRef] [PubMed]
- Mazur, M.; Ndokaj, A.; Jedlinski, M.; Ardan, R.; Bietolini, S.; Ottolenghi, L. Impact of Green Tea (Camellia Sinensis) on periodontitis and caries. Systematic review and meta-analysis. Jpn. Dent. Sci. Rev. 2021, 57, 1–11. [Google Scholar] [CrossRef] [PubMed]
- Iordanou, P.; Baltopoulos, G.; Giannakopoulou, M.; Bellou, P.; Ktenas, E. Effect of polarized light in the healing process of pressure ulcers. Int. J. Nurs. Pract. 2002, 8, 49–55. [Google Scholar] [CrossRef] [PubMed]
- Karu, T.I.; Pyatibrat, L.V.; Afanasyeva, N.I. A novel mitochondrial signaling pathway activated by visible-to-near infrared radiation. Photochem. Photobiol. 2004, 2, 366–372. [Google Scholar] [CrossRef]
- Salmeri, F.M.; Denaro, L.; Ruello, E.; Acri, G.; Gurgone, S.; Sansotta, C.; Testagrossa, B. Irradiation with Polychromatic In-coherent Low Energy Radiation of Human Peripheral Blood Mononuclear Cells In Vitro: Effects on Cyto-kine Production. Int. J. Environ. Res. Public Health 2020, 17, 1233. [Google Scholar] [CrossRef]
- Limansky, Y.; Tamarova, Z.; Gulyar, S. Suppression of pain by exposure of acupuncture points to polarized light. Pain Res. Manag. 2006, 11, 49–57. [Google Scholar] [CrossRef][Green Version]
- Nardi, G.M.; Grassi, R.; Grassi, F.R.; Aragona, S.E.; Rapone, B.; Della Vella, F.; Sabatini, S. Use of photobio-modulation in-duced by polarized polychromatic non-coherent light in the management of adult chronic periodontitis. J. Biol. Regul. Homeost. Agents 2019, 1, 293–297. [Google Scholar]

















Publisher’s Note: MDPI stays neutral with regard to jurisdictional claims in published maps and institutional affiliations. |
© 2021 by the authors. Licensee MDPI, Basel, Switzerland. This article is an open access article distributed under the terms and conditions of the Creative Commons Attribution (CC BY) license (https://creativecommons.org/licenses/by/4.0/).
Share and Cite
Nardi, G.M.; Guerra, F.; Ndokaj, A.; Corridore, D.; Straker, M.A.; Sportelli, P.; Di Giorgio, R.; Grassi, F.R.; Grassi, R.; Ottolenghi, L. Phototherapy and Tailored Brushing Method. Personalized Oral Care in Patients with Facial and Dental Trauma. A Report of a Case. Healthcare 2021, 9, 561. https://doi.org/10.3390/healthcare9050561
Nardi GM, Guerra F, Ndokaj A, Corridore D, Straker MA, Sportelli P, Di Giorgio R, Grassi FR, Grassi R, Ottolenghi L. Phototherapy and Tailored Brushing Method. Personalized Oral Care in Patients with Facial and Dental Trauma. A Report of a Case. Healthcare. 2021; 9(5):561. https://doi.org/10.3390/healthcare9050561
Chicago/Turabian StyleNardi, Gianna Maria, Fabrizio Guerra, Artnora Ndokaj, Denise Corridore, Marsha Alicia Straker, Pasquale Sportelli, Roberto Di Giorgio, Felice Roberto Grassi, Roberta Grassi, and Livia Ottolenghi. 2021. "Phototherapy and Tailored Brushing Method. Personalized Oral Care in Patients with Facial and Dental Trauma. A Report of a Case" Healthcare 9, no. 5: 561. https://doi.org/10.3390/healthcare9050561
APA StyleNardi, G. M., Guerra, F., Ndokaj, A., Corridore, D., Straker, M. A., Sportelli, P., Di Giorgio, R., Grassi, F. R., Grassi, R., & Ottolenghi, L. (2021). Phototherapy and Tailored Brushing Method. Personalized Oral Care in Patients with Facial and Dental Trauma. A Report of a Case. Healthcare, 9(5), 561. https://doi.org/10.3390/healthcare9050561

