Genetic Basis Identification of a NLR Gene, TaRPM1-2D, That Confers Powdery Mildew Resistance in Wheat Cultivar ‘Brock’
Abstract
1. Introduction
2. Results
2.1. Wheat Cultivar ‘Brock’ Contains a New Disease Resistance Gene
2.2. Genetic Analysis of Powdery Mildew Resistance in ‘Brock’
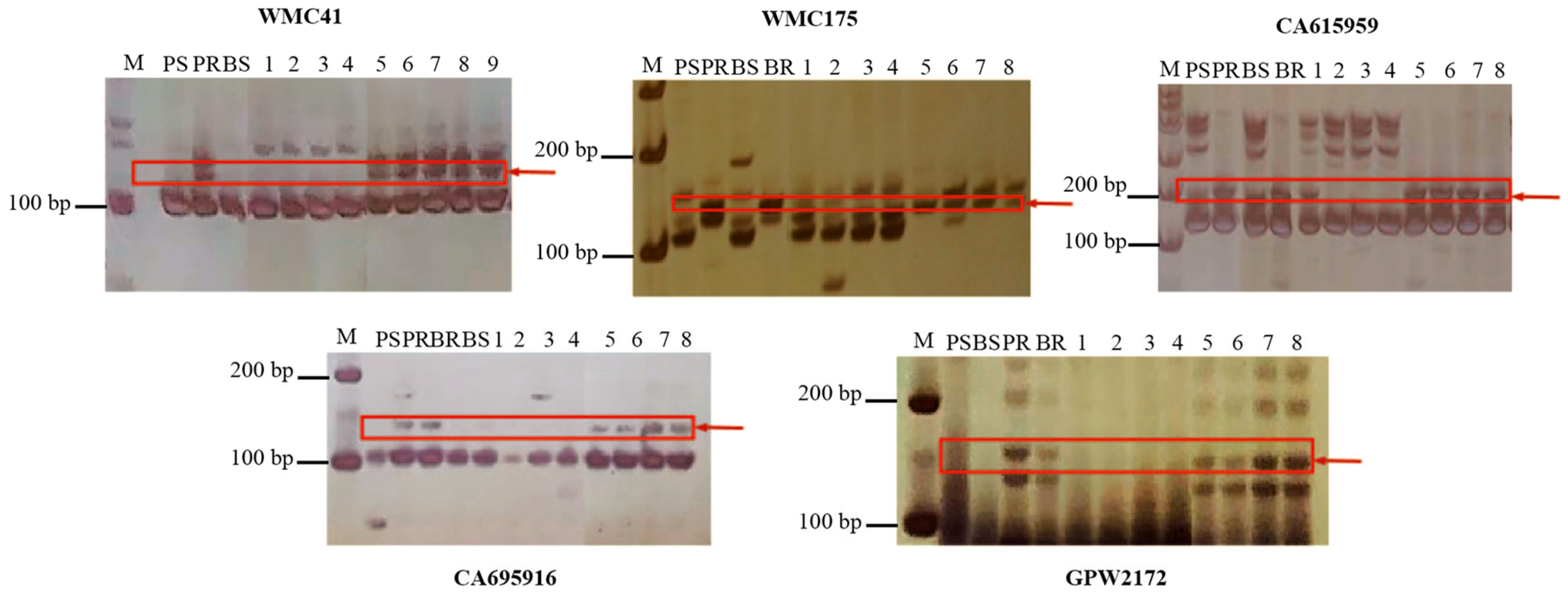
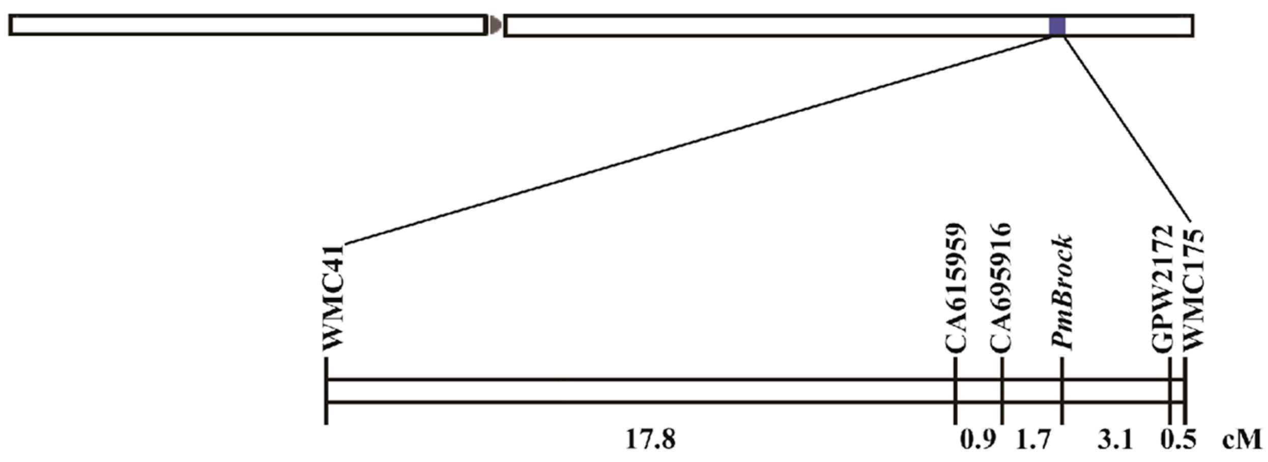
2.3. Chromosomal Localization of the PmBrock
2.4. Genomic Information Within the Disease Resistance Interval
2.5. Cloning and Structural Characterization of TaRPM1-2D
2.6. Expression Dynamics of TaRPM1-2D Under Powdery Mildew Stress
2.7. Functional Validation of TaRPM1-2D Using VIGS
2.8. Functional Validation of TaRPM1-2D via Overexpression Analysis
3. Discussion
4. Materials and Methods
4.1. Plant Materials
4.2. Evaluation of Disease Resistance in Wheat Populations
4.3. Sequence Alignment Analysis of Pm2 Gene in ‘Jing411’, ‘Brock’, and Near-Isogenic Line ‘BJ-1’
4.4. Construction of the PmBrock Genetic Linkage Map
4.5. Analysis of Candidate Genes Within the Disease Resistance Interval
4.6. Cloning of TaRPM1-2D
4.7. Analysis of TaRPM1-2D Expression Patterns
4.8. Functional Analysis of TaRPM1-2D Gene Using VIGS
4.9. Functional Analysis of TaRPM1-2D Gene via Overexpression
5. Conclusions
Supplementary Materials
Author Contributions
Funding
Institutional Review Board Statement
Informed Consent Statement
Data Availability Statement
Conflicts of Interest
Abbreviations
| NB-ARC | nucleotide-binding site and an ARC |
| CNL | coiled-coil |
| TNL | toll/interleukin 1 receptor |
| RNL | resistance to powdery mildew 8 |
| LRR | leucine-rich repeat |
| VIGS | virus-induced gene silencing |
| dpi | days post inoculation |
References
- Abdur Rehman Arif, M.; Arseniuk, E.; Borner, A. Genetic variability for resistance to fungal pathogens in bread wheat. Czech J. Genet. Plant 2022, 59, 23. [Google Scholar] [CrossRef]
- Hurni, S.; Brunner, S.; Buchmann, G.; Herren, G.; Jordan, T.; Krukowski, P.; Wicker, T.; Yahiaoui, N.; Mago, R.; Keller, B. Rye Pm8 and wheat Pm3 are orthologous genes and show evolutionary conservation of resistance function against powdery mildew. Plant J. 2013, 76, 957. [Google Scholar] [CrossRef] [PubMed]
- Klymiuk, V.; Coaker, G.; Fahima, T.; Pozniak, C.J. Tandem protein kinases emerge as new regulators of plant immunity. Mol. Plant Microbe Interact. 2021, 34, 1094. [Google Scholar] [CrossRef] [PubMed]
- Baggs, E.; Dagdas, G.; Krasileva, K.V. NLR diversity, helpers and integrated domains: Making sense of the NLR identity. Curr. Opin. Plant Biol. 2017, 38, 59. [Google Scholar] [CrossRef]
- Chia, K.S.; Carella, P. Taking the lead: NLR immune receptor N-terminal domains execute plant immune responses. New Phytol. 2023, 240, 6. [Google Scholar] [CrossRef]
- Klymiuk, V.; Wiebe, K.; Chawla, H.S.; Ens, J.; Subramaniam, R.; Pozniak, C.J. Coordinated function of paired NLRs confers Yr84-mediated stripe rust resistance in wheat. Nat. Genet. 2025, 57, 1535. [Google Scholar] [CrossRef]
- Yahiaoui, N.; Srichumpa, P.; Dudler, R.; Keller, B. Genome analysis at different ploidy levels allows cloning of the powdery mildew resistance gene Pm3b from hexaploid wheat. Plant J. 2004, 37, 528. [Google Scholar] [CrossRef]
- Juroszek, P.; von Tiedemann, A. Climate change and potential future risks through wheat diseases: A review. Eur. J. Plant Pathol. 2013, 136, 21. [Google Scholar] [CrossRef]
- Sánchez-Martín, J.; Steuernagel, B.; Ghosh, S.; Herren, G.; Hurni, S.; Adamski, N.; Vrána, J.; Kubaláková, M.; Krattinger, S.G.; Wicker, T.; et al. Rapid gene isolation in barley and wheat by mutant chromosome sequencing. Genome Biol. 2016, 17, 221. [Google Scholar] [CrossRef]
- Singh, S.P.; Hurni, S.; Ruinelli, M.; Brunner, S.; Sanchez-Martin, J.; Krukowski, P.; Peditto, D.; Buchmann, G.; Zbinden, H.; Keller, B. Evolutionary divergence of the rye Pm17 and Pm8 resistance genes reveals ancient diversity. Plant Mol. Biol. 2018, 98, 249. [Google Scholar] [CrossRef]
- Xing, L.; Hu, P.; Liu, J.; Witek, K.; Zhou, S.; Xu, J.; Zhou, W.; Gao, L.; Huang, Z.; Zhang, R.; et al. Pm21 from Haynaldia villosa encodes a CC-NBS-LRR protein conferring powdery mildew resistance in wheat. Mol. Plant 2018, 11, 874. [Google Scholar] [CrossRef] [PubMed]
- Zou, S.; Wang, H.; Li, Y.; Kong, Z.; Tang, D. The NB-LRR gene Pm60 confers powdery mildew resistance in wheat. New Phytol. 2018, 218, 298. [Google Scholar] [CrossRef] [PubMed]
- Li, M.; Dong, L.; Li, B.; Wang, Z.; Xie, J.; Qiu, D.; Li, Y.; Shi, W.; Yang, L.; Wu, Q.; et al. A CNL protein in wild emmer wheat confers powdery mildew resistance. New Phytol. 2020, 228, 1027. [Google Scholar] [CrossRef]
- Xie, J.; Guo, G.; Wang, Y.; Hu, T.; Wang, L.; Li, J.; Qiu, D.; Li, Y.; Wu, Q.; Lu, P.; et al. A rare single nucleotide variant in Pm5e confers powdery mildew resistance in common wheat. New Phytol. 2020, 228, 1011. [Google Scholar] [CrossRef]
- Li, Y.; Wei, Z.-Z.; Sela, H.; Govta, L.; Klymiuk, V.; Roychowdhury, R.; Chawla, H.S.; Ens, J.; Wiebe, K.; Bocharova, V.; et al. Dissection of a rapidly evolving wheat resistance gene cluster by long-read genome sequencing accelerated the cloning of Pm69. Plant Commun. 2024, 5, 100646. [Google Scholar] [CrossRef]
- Wu, Q.; Chen, Y.; Li, B.; Li, J.; Zhang, P.; Xie, J.; Zhang, H.; Guo, G.; Lu, P.; Li, M.; et al. Functional characterization of powdery mildew resistance gene MlIW172, a new Pm60 allele and its allelic variation in wild emmer wheat. J. Genet. Genom. 2022, 49, 787. [Google Scholar] [CrossRef] [PubMed]
- Hewitt, T.; Müller, M.C.; Molnár, I.; Mascher, M.; Holušová, K.; Šimková, H.; Kunz, L.; Zhang, J.; Li, J.; Bhatt, D.; et al. A highly differentiated region of wheat chromosome 7AL encodes a Pm1a immune receptor that recognizes its corresponding AvrPm1a effector from Blumeria graminis. New Phytol. 2021, 229, 2812. [Google Scholar] [CrossRef] [PubMed]
- Zhu, S.; Liu, C.; Gong, S.; Chen, Z.; Chen, R.; Liu, T.; Liu, R.; Du, H.; Guo, R.; Li, G.; et al. Orthologous genes Pm12 and Pm21 from two wild relatives of wheat show evolutionary conservation but divergent powdery mildew resistance. Plant Commun. 2023, 4, 100472. [Google Scholar] [CrossRef]
- Lu, P.; Guo, L.; Wang, Z.; Li, B.; Li, J.; Li, Y.; Qiu, D.; Shi, W.; Yang, L.; Wang, N.; et al. A rare gain of function mutation in a wheat tandem kinase confers resistance to powdery mildew. Nat. Commun. 2020, 11, 680. [Google Scholar] [CrossRef]
- Gaurav, K.; Arora, S.; Silva, P.; Sánchez-Martín, J.; Horsnell, R.; Gao, L.; Brar, G.S.; Widrig, V.; John Raupp, W.; Singh, N.; et al. Population genomic analysis of Aegilops tauschii identifies targets for bread wheat improvement. Nat. Biotechnol. 2022, 40, 422. [Google Scholar] [CrossRef]
- Sánchez-Martín, J.; Widrig, V.; Herren, G.; Wicker, T.; Zbinden, H.; Gronnier, J.; Spörri, L.; Praz, C.R.; Heuberger, M.; Kolodziej, M.C.; et al. Wheat Pm4 resistance to powdery mildew is controlled by alternative splice variants encoding chimeric proteins. Nat. Plants 2021, 7, 327. [Google Scholar] [CrossRef]
- Li, H.; Men, W.; Ma, C.; Liu, Q.; Dong, Z.; Tian, X.; Wang, C.; Liu, C.; Gill, H.S.; Ma, P.; et al. Wheat powdery mildew resistance gene Pm13 encodes a mixed lineage kinase domain-like protein. Nat. Commun. 2024, 15, 2449. [Google Scholar] [CrossRef]
- Li, M.; Zhang, H.; Xiao, H.; Zhu, K.; Shi, W.; Zhang, D.; Wang, Y.; Yang, L.; Wu, Q.; Xie, J.; et al. A membrane associated tandem kinase from wild emmer wheat confers broad-spectrum resistance to powdery mildew. Nat. Commun. 2024, 15, 3124. [Google Scholar] [CrossRef]
- Krattinger, S.G.; Lagudah, E.S.; Spielmeyer, W.; Singh, R.P.; Huerta-Espino, J.; McFadden, H.; Bossolini, E.; Selter, L.L.; Keller, B. A putative ABC transporter confers durable resistance to multiple fungal pathogens in wheat. Science 2009, 323, 1360. [Google Scholar] [CrossRef] [PubMed]
- Moore, J.W.; Herrera-Foessel, S.; Lan, C.; Schnippenkoetter, W.; Ayliffe, M.; Huerta-Espino, J.; Lillemo, M.; Viccars, L.; Milne, R.; Periyannan, S.; et al. A recently evolved hexose transporter variant confers resistance to multiple pathogens in wheat. Nat. Genet. 2015, 47, 1494. [Google Scholar] [CrossRef] [PubMed]
- Lu, C.; Du, J.; Chen, H.; Gong, S.; Jin, Y.; Meng, X.; Zhang, T.; Fu, B.; Molnár, I.; Holušová, K.; et al. Wheat Pm55 alleles exhibit distinct interactions with an inhibitor to cause different powdery mildew resistance. Nat. Commun. 2024, 15, 503. [Google Scholar] [CrossRef] [PubMed]
- Zhang, J.; Yang, H.; Han, G.; Xu, H.; Liu, R.; Yu, N.; Han, R.; Li, Y.; Li, J.; Dai, Y.; et al. Fine mapping of Pm71, a novel powdery mildew resistance gene from emmer wheat. Crop J. 2025, 13, 62. [Google Scholar] [CrossRef]
- Yan, L. Genetic Mapping of Powdery Mildew Resistance Genes in the Eight Common Wheat Acessions. Master’s Thesis, Henan University, Zhengzhou, China, 2022. [Google Scholar]
- Lutz, J.; Hsam, S.L.K.; Limpert, E.; Zeller, F.J. Chromosomal location of powdery mildew resistance genes in Triticum aestivum L. (common wheat). 2. Genes Pm2 and Pm19 from Aegilops squarrosa L. Heredity 1995, 74, 152. [Google Scholar]
- Jaegle, B.; Voichek, Y.; Haupt, M.; Sotiropoulos, A.G.; Gauthier, K.; Heuberger, M.; Jung, E.; Herren, G.; Widrig, V.; Leber, R.; et al. k-mer-based GWAS in a wheat collection reveals novel and diverse sources of powdery mildew resistance. Genome Biol. 2025, 26, 172. [Google Scholar] [CrossRef]
- Kaur, R.; Vasistha, N.K.; Ravat, V.K.; Mishra, V.K.; Sharma, S.; Joshi, A.K.; Dhariwal, R. Genome-wide association study reveals novel powdery mildew resistance loci in bread wheat. Plants 2023, 12, 3864. [Google Scholar] [CrossRef]
- Zhang, R.; Wang, Y.; Liu, X.; Wang, Z.; Peng, Y.; Xie, C.; Yang, Z. Molecular Evaluation on the Background of Wheat Brock Near Isogenic Lines for Powdery Mildew Resistance. Sci. Agric. Sin. 2010, 43, 3059. [Google Scholar]
- Praz, C.; Bourras, S.; Zeng, F.; Sánchez-Martín, J.; Menardo, F.; Xue, M.; Yang, L.; Roffler, S.; Böni, R.; Herren, G.; et al. AvrPm2 encodes an RNase-like avirulence effector which is conserved in the two different specialized forms of wheat and rye powdery mildew fungus. New Phytol. 2017, 213, 1301. [Google Scholar] [CrossRef] [PubMed]
- Xu, H.; Yi, Y.; Ma, P.; Qie, Y.; Fu, X.; Xu, Y.; Zhang, X.; An, D. Molecular tagging of a new broad-spectrum powdery mildew resistance allele Pm2c in Chinese wheat landrace Niaomai. Theor. Appl. Genet. 2015, 128, 2077. [Google Scholar] [CrossRef] [PubMed]
- Xiao, J.; Liu, B.; Yao, Y.; Guo, Z.; Jia, H.; Kong, L.; Zhang, A.; Ma, W.; Ni, Z.; Xu, S.; et al. Wheat genomic study for genetic improvement of traits in China. Sci. China Life Sci. 2022, 65, 1718. [Google Scholar] [CrossRef] [PubMed]
- Liu, J. Isolation and Marker Development of Resistance Sequences in Wheat and Its Donor. Master’s Thesis, Shanxi University, Taiyuan, China, 2017. [Google Scholar]
- Zang, L.; Bian, Y.; Zhang, C.; Liu, X.; Fan, B.; Wang, Z. Expression profiling of the early response genes against powdery mildew in resistant wheat Brock. J. Tianjin Norm. Univ. (Nat. Sci. Ed.) 2021, 41, 40. [Google Scholar]
- McDonald, B.A.; Linde, C. Pathogen population genetics, evolutionary potential, and durable resistance. Annu. Rev. Phytopathol. 2002, 40, 349. [Google Scholar] [CrossRef]
- Liu, X.; Yang, C.; Dong, H.; Wu, S.; Wang, G.; Han, X.; Fan, B.; Shang, Y.; Dang, C.; Xie, C.; et al. TaRLK2.4, a transgressive expression receptor like kinase, improves powdery mildew resistance in wheat. Int. J. Biol. Macromol. 2024, 277, 134387. [Google Scholar] [CrossRef]
- Zhang, H.; Liu, Y.; Zhang, X.; Ji, W.; Kang, Z. A necessary considering factor for breeding: Growth-defense tradeoff in plants. Stress. Biol. 2023, 3, 6. [Google Scholar] [CrossRef]
- Wang, F.; Zhang, M.; Hu, Y.; Gan, M.; Jiang, B.; Hao, M.; Ning, S.; Yuan, Z.; Chen, X.; Chen, X.; et al. Pyramiding of adult-plant resistance genes enhances all-stage resistance to wheat stripe rust. Plant Dis. 2022, 107, 879. [Google Scholar] [CrossRef]
- Huerta-Espino, J.; Singh, R.; Crespo-Herrera, L.A.; Villaseor-Mir, H.E.; Lagudah, E. Adult plant slow rusting genes confer high levels of resistance to rusts in bread wheat cultivars from Mexico. Front. Plant Sci. 2020, 11, 824. [Google Scholar] [CrossRef]
- Liu, X.; Yang, C.; Wu, S.; Dong, H.; Wang, G.; Han, X.; Fan, B.; Shang, Y.; Dang, C.; Xie, C.; et al. Genetic basis identification of a NLR Gene, TaRGA5-like, that confers partial powdery mildew resistance in wheat SJ106. Int. J. Mol. Sci. 2024, 25, 6603. [Google Scholar] [CrossRef] [PubMed]
- Liu, X.; Wang, X.; Yang, C.; Wang, G.; Fan, B.; Shang, Y.; Dang, C.; Xie, C.; Wang, Z. Genome-wide identification of TaCIPK gene family members in wheat and their roles in host response to Blumeria graminis f. sp. tritici infection. Int. J. Biol. Macromol. 2023, 248, 125691. [Google Scholar] [CrossRef] [PubMed]







Disclaimer/Publisher’s Note: The statements, opinions and data contained in all publications are solely those of the individual author(s) and contributor(s) and not of MDPI and/or the editor(s). MDPI and/or the editor(s) disclaim responsibility for any injury to people or property resulting from any ideas, methods, instructions or products referred to in the content. |
© 2025 by the authors. Licensee MDPI, Basel, Switzerland. This article is an open access article distributed under the terms and conditions of the Creative Commons Attribution (CC BY) license (https://creativecommons.org/licenses/by/4.0/).
Share and Cite
Liu, X.; Wang, C.; Wang, Y.; Wu, S.; Dong, H.; Shang, Y.; Dang, C.; Xie, C.; Fan, B.; Tong, Y.; et al. Genetic Basis Identification of a NLR Gene, TaRPM1-2D, That Confers Powdery Mildew Resistance in Wheat Cultivar ‘Brock’. Plants 2025, 14, 2652. https://doi.org/10.3390/plants14172652
Liu X, Wang C, Wang Y, Wu S, Dong H, Shang Y, Dang C, Xie C, Fan B, Tong Y, et al. Genetic Basis Identification of a NLR Gene, TaRPM1-2D, That Confers Powdery Mildew Resistance in Wheat Cultivar ‘Brock’. Plants. 2025; 14(17):2652. https://doi.org/10.3390/plants14172652
Chicago/Turabian StyleLiu, Xiaoying, Congying Wang, Yikun Wang, Siqi Wu, Huixuan Dong, Yuntao Shang, Chen Dang, Chaojie Xie, Baoli Fan, Yana Tong, and et al. 2025. "Genetic Basis Identification of a NLR Gene, TaRPM1-2D, That Confers Powdery Mildew Resistance in Wheat Cultivar ‘Brock’" Plants 14, no. 17: 2652. https://doi.org/10.3390/plants14172652
APA StyleLiu, X., Wang, C., Wang, Y., Wu, S., Dong, H., Shang, Y., Dang, C., Xie, C., Fan, B., Tong, Y., & Wang, Z. (2025). Genetic Basis Identification of a NLR Gene, TaRPM1-2D, That Confers Powdery Mildew Resistance in Wheat Cultivar ‘Brock’. Plants, 14(17), 2652. https://doi.org/10.3390/plants14172652

