Pea Aphid (Acyrthosiphon pisum) Host Races Reduce Heat-Induced Forisome Dispersion in Vicia faba and Trifolium pratense
Abstract
1. Introduction
2. Results
2.1. Suppression of Forisome Dispersion Depends on Host Plant—Aphid Host Race Combination as Well as on Plant Age
| Plant | Explanatory Variable | Deviance | p-Value |
|---|---|---|---|
| Vicia faba (Figure 1) | |||
| distance | −0.777 | 0.378 | |
| plant age | −0.302 | 0.582 | |
| treatment | −2.191 | 0.534 | |
| treatment: plant age | −7.858 | 0.049 | |
| distance: plant age | −0.001 | 0.970 | |
| distance: treatment | −0.857 | 0.836 | |
| distance: treatment: plant age | −0.777 | 0.396 | |
| Trifolium pratense (Figure 2) | |||
| distance | −0.006 | 0.939 | |
| plant age | −4.643 | 0.031 | |
| treatment | −9.589 | 0.022 | |
| treatment: plant age | −2.284 | 0.516 | |
| distance: plant age | −0.063 | 0.802 | |
| distance: treatment | −3.486 | 0.323 | |
| distance: treatment: plant age | −0.453 | 0.929 | |
| Pisum sativum (Figure 3) | |||
| distance | −0.646 | 0.422 | |
| treatment | −2.720 | 0.437 | |
| distance: treatment | −1.880 | 0.598 | |



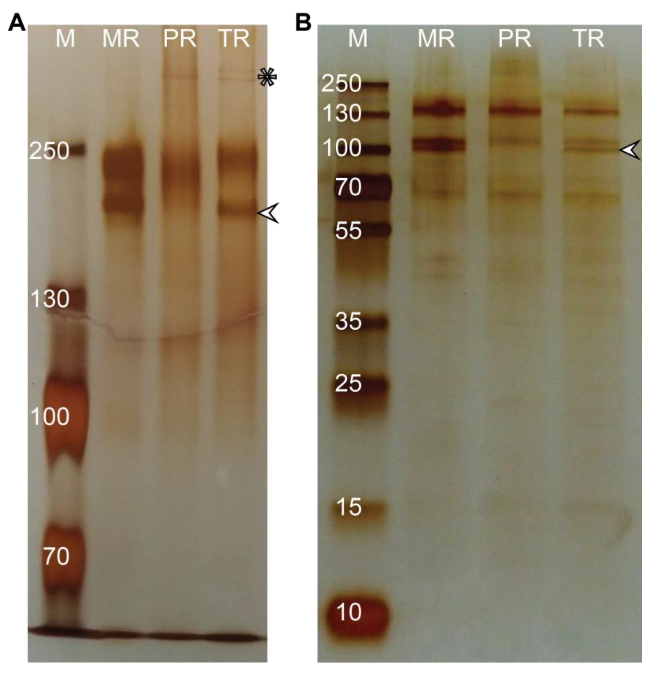
2.2. Aphid Saliva Composition Depends on the Pea Aphid Host Race
3. Discussion
3.1. Influence of the Damage Caused by Different Pea Aphid Host Races
3.2. Possible Mechanisms of Forisome Dispersion Manipulation
3.2.1. Signal Transduction and Forisome Dispersion
3.2.2. Manipulation of Ca2+ Channels Responsible for the Influx and Efflux of Ca2+
3.2.3. Differences in Ca2+ Levels among Plant Species
3.2.4. Ca2+-Scavenging Capacity of the Aphid Saliva
3.2.5. Quality and Quantity of Aphid Saliva
3.3. Closing Remarks
4. Materials and Methods
4.1. Plant and Aphid Cultivation
4.2. Experimental Set-Up
4.3. Aphid Saliva Collection and Preparation
4.4. Determination of Protein Concentration and Saliva Compositions
4.5. Statistics
Author Contributions
Funding
Data Availability Statement
Acknowledgments
Conflicts of Interest
References
- Ponder, K.L.; Pritchard, J.; Harrington, R.; Bale, J.S. Difficulties in location and acceptance of phloem sap combined with reduced concentration of phloem amino acids explain lowered performance of the aphid Rhopalosiphum padi on nitrogen deficient barley (Hordeum vulgare) seedlings. Entomol. Exp. Appl. 2000, 97, 203–210. [Google Scholar] [CrossRef]
- Comadira, G.; Rasool, B.; Karpinska, B.; Morris, J.; Verrall, S.R.; Hedley, P.E.; Foyer, C.H.; Hancock, R.D. Nitrogen deficiency in barley (Hordeum vulgare) seedlings induces molecular and metabolic adjustments that trigger aphid resistance. J. Exp. Bot. 2015, 66, 3639–3655. [Google Scholar] [CrossRef] [PubMed]
- Furch, A.C.U.; Hafke, J.B.; Schulz, A.; van Bel, A.J.E. Ca2+-mediated remote control of reversible sieve tube occlusion in Vicia faba. J. Exp. Bot. 2007, 58, 2827–2838. [Google Scholar] [CrossRef] [PubMed]
- Medina-Ortega, K.J.; Walker, G.P. Faba bean forisomes can function in defence against generalist aphids. Plant Cell Environ. 2015, 38, 1167–1177. [Google Scholar] [CrossRef]
- Peng, H.C.; Walker, G.P. Sieve element occlusion provides resistance against Aphis gossypii in TGR-1551 melons. Insect. Sci. 2020, 1, 33–48. [Google Scholar] [CrossRef]
- Walker, G.P. Sieve element occlusion: Interactions with phloem sap-feeding insects. A review. J. Plant Physiol. 2021, 269, 153582. [Google Scholar] [CrossRef]
- Kauss, H.; Köhle, H.; Jeblick, W. Proteolytic activation and stimulation by Ca2+ of glucan synthase from soybean cells. FEBS J. 1983, 158, 84–88. [Google Scholar] [CrossRef]
- Zabotin, A.I.; Barysheva, T.S.; Trofimova, O.I.; Lozovaya, V.V.; Widholm, J. Regulation of callose metabolism in higher plant cells in vitro. Russ. J. Plant Physiol. 2002, 49, 890–897. [Google Scholar] [CrossRef]
- Schneider, R.; Hanak, T.; Persson, S.; Voigt, C.A. Cellulose and callose synthesis and organization in focus, what’s new? Curr. Opin. Plant Biol. 2016, 34, 9–16. [Google Scholar] [CrossRef]
- Knoblauch, M.; Noll, G.A.; Müller, T.; Prüfer, D.; Schneider-Huther, I.; Scharner, D.; van Bel, A.J.E.; Peters, W.S. ATP-independent contractile proteins from plants. Nat. Mater. 2003, 2, 600–603. [Google Scholar] [CrossRef]
- Noll, G.A.; Furch, A.C.U.; Rose, J.; Visser, F.; Prufer, D. Guardians of the phloem—Forisomes and beyond. New Phytol. 2022, 236, 1245–1260. [Google Scholar] [CrossRef]
- Knoblauch, M.; Peters, W.S. Forisomes, a novel type of Ca2+-dependent contractile protein motor. Cell Motil. Cytoskelet. 2004, 58, 137–142. [Google Scholar] [CrossRef]
- Knoblauch, M.; van Bel, A.J.E. Sieve tubes in action. Plant Cell 1998, 10, 35–50. [Google Scholar] [CrossRef]
- Hafke, J.B.; Furch, A.C.U.; Fricker, M.D.; van Bel, A.J.E. Forisome dispersion in Vicia faba is triggered by Ca2+ hotspots created by concerted action of diverse Ca2+ channels in sieve elements. Plant Signal. Behav. 2009, 4, 968–972. [Google Scholar] [CrossRef] [PubMed]
- van Bel, A.J.E.; Furch, A.C.U.; Will, T.; Buxa, S.V.; Musetti, R.; Hafke, J.B. Spread the news: Systemic dissemination and local impact of Ca2+ signals along the phloem pathway. J. Exp. Bot. 2014, 65, 1761–1787. [Google Scholar] [CrossRef] [PubMed]
- Knoblauch, M.; Stubenrauch, M.; van Bel, A.J.E.; Peters, W.S. Forisome performance in artificial sieve tubes. Plant Cell Environ. 2012, 35, 1419–1427. [Google Scholar] [CrossRef]
- Thorpe, M.R.; Furch, A.C.U.; Minchin, P.E.; Foller, J.; Van Bel, A.J.E.; Hafke, J.B. Rapid cooling triggers forisome dispersion just before phloem transport stops. Plant Cell Environ. 2010, 33, 259–271. [Google Scholar] [CrossRef] [PubMed]
- Tjallingii, W.F.; Hogen Esch, T. Fine structure of aphid stylet routes in plant tissues in correlation with EPG signals. Physiol. Entomol. 1993, 18, 317–328. [Google Scholar] [CrossRef]
- Hewer, A.; Becker, A.; van Bel, A.J.E. An aphid’s Odyssey—The cortical quest for the vascular bundle. J. Exp. Biol. 2011, 214, 3868–3879. [Google Scholar] [CrossRef]
- Hewer, A.; Will, T.; van Bel, A.J.E. Plant cues for aphid navigation in vascular tissues. J. Exp. Biol. 2010, 213, 4030–4042. [Google Scholar] [CrossRef]
- Miles, P.W. Aphid saliva. Biol. Rev. Camb. Philosophic. Soc. 1999, 74, 41–85. [Google Scholar] [CrossRef]
- Will, T.; Carolan, J.C.; Wilkinson, T.L. Breaching the sieve element—The role of saliva as the molecular interface between aphids and the phloem. In Phloem: Molecular Cell Biology, Systemic Communication, Biotic Interactions; Thompson, G.A., Van Bel, A.J., Eds.; Wiley-Blackwell: Hoboken, NJ, USA, 2013. [Google Scholar]
- Will, T.; Steckbauer, K.; Hardt, M.; van Bel, A.J.E. Aphid gel saliva: Sheath structure, protein composition and secretory dependence on stylet-tip milieu. PLoS ONE 2012, 7, e46903. [Google Scholar] [CrossRef] [PubMed]
- Will, T.; van Bel, A.J.E. Physical and chemical interactions between aphids and plants. J. Exp. Bot. 2006, 57, 729–737. [Google Scholar] [CrossRef] [PubMed]
- De Vos, M.; Jander, G. Myzus persicae (green peach aphid) salivary components induce defence responses in Arabidopsis thaliana. Plant Cell Environ. 2009, 32, 1548–1560. [Google Scholar] [CrossRef]
- Tjallingii, W.F. Salivary secretions by aphids interacting with proteins of phloem wound responses. J. Exp. Bot. 2006, 57, 739–745. [Google Scholar] [CrossRef]
- Powell, G. Intracellular salivation is the aphid activity associated with inoculation of non-persistently transmitted viruses. J. Gen. Virol. 2005, 86, 469–472. [Google Scholar] [CrossRef]
- Bos, J.I.; Prince, D.; Pitino, M.; Maffei, M.E.; Win, J.; Hogenhout, S.A. A functional genomics approach identifies candidate effectors from the aphid species Myzus persicae (green peach aphid). PLoS Genet. 2010, 6, e1001216. [Google Scholar] [CrossRef]
- Saheed, S.A.; Cierlik, I.; Larsson, K.A.; Delp, G.; Bradley, G.; Jonsson, L.M.; Botha, C.E. Stronger induction of callose deposition in barley by Russian wheat aphid than bird cherry-oat aphid is not associated with differences in callose synthase or beta-1,3-glucanase transcript abundance. Physol. Plant. 2009, 135, 150–161. [Google Scholar] [CrossRef]
- Jaouannet, M.; Rodriguez, P.A.; Thorpe, P.; Lenoir, C.J.; MacLeod, R.; Escudero-Martinez, C.; Bos, J.I. Plant immunity in plant-aphid interactions. Front. Plant Sci. 2014, 5, 663. [Google Scholar] [CrossRef]
- Schwarzkopf, A.; Rosenberger, D.; Niebergall, M.; Gershenzon, J.; Kunert, G. To feed or not to feed: Plant factors located in the epidermis, mesophyll, and sieve elements influence pea aphid’s ability to feed on legume species. PLoS ONE 2013, 8, e75298. [Google Scholar] [CrossRef]
- Twayana, M.; Girija, A.M.; Mohan, V.; Shah, J. Phloem: At the center of action in plant defense against aphids. J. Plant Physiol. 2022, 273, 153695. [Google Scholar] [CrossRef] [PubMed]
- Girousse, C.; Bournoville, R. Role of phloem sap quality and exudation characteristics on performance of pea aphid grown on lucerne genotypes. Entomol. Exp. Appl. 1994, 70, 227–235. [Google Scholar] [CrossRef]
- Mutti, N.S.; Louis, J.; Pappan, L.K.; Pappan, K.; Begum, K.; Chen, M.-S.; Park, Y.; Dittmer, N.; Marshall, J.; Reese, J.C.; et al. A protein from the salivary glands of the pea aphid, Acyrthosiphon pisum, is essential in feeding on a host plant. Proc. Natl. Acad. Sci. USA 2008, 105, 9965–9969. [Google Scholar] [CrossRef] [PubMed]
- Escudero-Martinez, C.; Rodriguez, P.A.; Liu, S.; Santos, P.A.; Stephens, J.; Bos, J.I.B. An aphid effector promotes barley susceptibility through suppression of defence gene expression. J. Exp. Bot. 2020, 71, 2796–2807. [Google Scholar] [CrossRef]
- Naessens, E.; Dubreuil, G.; Giordanengo, P.; Baron, O.L.; Minet-Kebdani, N.; Keller, H.; Coustau, C. A secreted MIF cytokine enables aphid feeding and represses plant immune responses. Curr. Biol. 2015, 25, 1898–1903. [Google Scholar] [CrossRef]
- Will, T.; Kornemann, S.R.; Furch, A.C.U.; Tjallingii, W.F.; van Bel, A.J.E. Aphid watery saliva counteracts sieve-tube occlusion: A universal phenomenon? J. Exp. Bot. 2009, 212, 3305–3312. [Google Scholar] [CrossRef]
- Will, T.; Tjallingii, W.F.; Thonnessen, A.; van Bel, A.J.E. Molecular sabotage of plant defense by aphid saliva. Proc. Natl. Acad. Sci. USA 2007, 104, 10536–10541. [Google Scholar] [CrossRef]
- Carolan, J.C.; Fitzroy, C.I.; Ashton, P.D.; Douglas, A.E.; Wilkinson, T.L. The secreted salivary proteome of the pea aphid Acyrthosiphon pisum characterised by mass spectrometry. Proteomics 2009, 9, 2457–2467. [Google Scholar] [CrossRef]
- Rao, S.A.; Carolan, J.C.; Wilkinson, T.L. Proteomic profiling of cereal aphid saliva reveals both ubiquitous and adaptive secreted proteins. PLoS ONE 2013, 8, e57413. [Google Scholar] [CrossRef]
- Nicholson, S.J.; Hartson, S.D.; Puterka, G.J. Proteomic analysis of secreted saliva from Russian wheat aphid (Diuraphis noxia Kurd.) biotypes that differ in virulence to wheat. J. Proteom. 2012, 75, 2252–2268. [Google Scholar] [CrossRef]
- Walker, G.P.; Medina-Ortega, K.J. Penetration of faba bean sieve elements by pea aphid does not trigger forisome dispersal. Entomol. Exp. Appl. 2012, 144, 326–335. [Google Scholar] [CrossRef]
- Peccoud, J.; Mahéo, F.; de la Huerta, M.; Laurence, C.; Simon, J.-C.; Leather, S.R. Genetic characterisation of new host-specialised biotypes and novel associations with bacterial symbionts in the pea aphid complex. Insect Conserv. Divers. 2015, 8, 484–492. [Google Scholar] [CrossRef]
- Peccoud, J.; Ollivier, A.; Plantegenest, M.; Simon, J.C. A continuum of genetic divergence from sympatric host races to species in the pea aphid complex. Proc. Natl. Acad. Sci. USA 2009, 106, 7495–7500. [Google Scholar] [CrossRef]
- Sanchez-Arcos, C.; Reichelt, M.; Gershenzon, J.; Kunert, G. Modulation of legume defense signaling pathways by native and non-native pea aphid clones. Front. Plant Sci. 2016, 7, 1872. [Google Scholar] [CrossRef]
- Sanchez-Arcos, C.; Kai, M.; Svatos, A.; Gershenzon, J.; Kunert, G. Untargeted metabolomics approach reveals differences in host plant chemistry before and after infestation with different pea aphid host races. Front. Plant Sci. 2019, 10, 188. [Google Scholar] [CrossRef] [PubMed]
- Boulain, H.; Legeai, F.; Jaquiery, J.; Guy, E.; Morliere, S.; Simon, J.C.; Sugio, A. Differential expression of candidate salivary effector genes in pea aphid biotypes with distinct host plant specificity. Front. Plant Sci. 2019, 10, 1301. [Google Scholar] [CrossRef] [PubMed]
- Medina-Ortega, K.J.; Walker, G.P. Does aphid salivation affect phloem sieve element occlusion in vivo? J. Exp. Biol. 2013, 64, 5525–5535. [Google Scholar] [CrossRef] [PubMed]
- Carolan, J.C.; Caragea, D.; Reardon, K.T.; Mutti, N.S.; Dittmer, N.; Pappan, K.; Cui, F.; Castaneto, M.; Poulain, J.; Dossat, C.; et al. Predicted effector molecules in the salivary secretome of the pea aphid (Acyrthosiphon pisum): A dual transcriptomic/proteomic approach. J. Proteome Res. 2011, 10, 1505–1518. [Google Scholar] [CrossRef]
- Furch, A.C.U.; van Bel, A.J.E.; Fricker, M.D.; Felle, H.H.; Fuchs, M.; Hafke, J.B. Sieve element Ca2+ channels as relay stations between remote stimuli and sieve tube occlusion in Vicia faba. Plant Cell 2009, 21, 2118–2132. [Google Scholar] [CrossRef]
- Vincent, T.R.; Avramova, M.; Canham, J.; Higgins, P.; Bilkey, N.; Mugford, S.T.; Pitino, M.; Toyota, M.; Gilroy, S.; Miller, A.J.; et al. Interplay of plasma membrane and vacuolar ion channels, together with BAK1, elicits rapid cytosolic calcium elevations in Arabidopsis during aphid feeding. Plant Cell 2017, 29, 1460–1479. [Google Scholar] [CrossRef]
- Rose, J.; Brand, I.; Bilstein-Schloemer, M.; Jachimska, B.; Twyman, R.M.; Prufer, D.; Noll, G.A. The Ca2+ response of a smart forisome protein is dependent on polymerization. Protein Sci 2022, 31, 602–612. [Google Scholar] [CrossRef] [PubMed]
- Kim, N.H.; Jacob, P.; Dangl, J.L. Con-Ca2+-tenating plant immune responses via calcium-permeable cation channels. New Phytol. 2022, 234, 813–818. [Google Scholar] [CrossRef] [PubMed]
- Sukhov, V.; Sukhova, E.; Vodeneev, V. Long-distance electrical signals as a link between the local action of stressors and the systemic physiological responses in higher plants. Prog. Biophys. Mol. Biol. 2019, 146, 63–84. [Google Scholar] [CrossRef] [PubMed]
- Paulmann, M.K.; Zimmermann, M.R.; Wegner, L.; van Bel, A.J.E.; Kunert, G.; Furch, A.C.U. Species-specific and distance-dependent dispersive behaviour of forisomes in different legume species. Int. J. Mol. Sci. 2021, 22, 492. [Google Scholar] [CrossRef]
- Vodeneev, V.; Akinchits, E.; Sukhov, V. Variation potential in higher plants: Mechanisms of generation and propagation. Plant Signal. Behav. 2015, 10, e1057365. [Google Scholar] [CrossRef]
- Stahlberg, R.; Cosgrove, D.J. The propagation of slow wave potentials in pea epicotyls. Plant Physiol. 1997, 113, 209–217. [Google Scholar] [CrossRef]
- Stahlberg, R.; Cleland, R.E.; Van Volkenburgh, E. Slow wave potentials—A propagating electrical signal unique to higher plants. In Communication in Plants, 1st ed.; Baluska, F., Mancuso, S., Volkmann, D., Eds.; Springer: Berlin/Heidelberg, Germany, 2006; pp. 291–308. [Google Scholar]
- Stahlberg, R.; Stephens, N.R.; Cleland, R.E.; Van Volkenburgh, E. Shade-induced action potentials in Helianthus annuus L. originate primarily from the epicotyl. Plant Signal. Behav. 2006, 1, 15–22. [Google Scholar] [CrossRef]
- Marković, J.; Štrbanović, R.; Terzić, D.; Pojić, M.; Vasić, T.; Babić, S. Relative feed value of alfalfa (Medicago sativa L.) and red clover (Trifolium pratense L.) at different stage of growth. In XII International Symposium on Forage Crops of Republic of Serbia; Institute for Animal Husbandry, Belgrade-Zemun: Kruševac, Serbia, 2010; pp. 469–474. [Google Scholar]
- Huber, A.E.; Bauerle, T.L. Long-distance plant signaling pathways in response to multiple stressors: The gap in knowledge. J. Exp. Bot. 2016, 67, 2063–2079. [Google Scholar] [CrossRef]
- Malone, M. Hydraulic signals. Phil. Trans. R. Soc. Lond. B 1993, 341, 33–39. [Google Scholar] [CrossRef]
- McAinsh, M.R.; Pittman, J.K. Shaping the calcium signature. New Phytol. 2009, 181, 275–294. [Google Scholar] [CrossRef]
- Swarbreck, S.M.; Colaco, R.; Davies, J.M. Plant calcium-permeable channels. Plant Physiol. 2013, 163, 514–522. [Google Scholar] [CrossRef] [PubMed]
- Mousavi, S.A.; Chauvin, A.; Pascaud, F.; Kellenberger, S.; Farmer, E.E. GLUTAMATE RECEPTOR-LIKE genes mediate leaf-to-leaf wound signalling. Nature 2013, 500, 422–426. [Google Scholar] [CrossRef] [PubMed]
- Sanden, N.C.; Schulz, A. Stationary sieve element proteins. J. Plant Physiol. 2021, 266, 153511. [Google Scholar] [CrossRef] [PubMed]
- Vincill, E.D.; Clarin, A.E.; Molenda, J.N.; Spalding, E.P. Interacting glutamate receptor-like proteins in Phloem regulate lateral root initiation in Arabidopsis. Plant Cell 2013, 25, 1304–1313. [Google Scholar] [CrossRef] [PubMed]
- van Bel, A.J.E.; Will, T. Functional evaluation of proteins in watery and gel saliva of aphids. Front. Plant Sci. 2016, 7, 1840. [Google Scholar] [CrossRef]
- Yamaguchi, M. Role of regucalcin in maintaining cell homeostasis and function. Int. J. Mol. Med. 2005, 15, 371–389. [Google Scholar] [CrossRef]
- Thor, K. Calcium-Nutrient and Messenger. Front. Plant Sci. 2019, 10, 440. [Google Scholar] [CrossRef]
- Gilliham, M.; Dayod, M.; Hocking, B.J.; Xu, B.; Conn, S.J.; Kaiser, B.N.; Leigh, R.A.; Tyerman, S.D. Calcium delivery and storage in plant leaves: Exploring the link with water flow. J. Exp. Bot. 2011, 62, 2233–2250. [Google Scholar] [CrossRef]
- Knoblauch, M.; Noll, G.A.; Müller, T.; Prüfer, D.; Schneider-Hüther, I.; Scharner, D.; van Bel, A.J.E.; Peters, W.S. Corrigenda: ATP-independent contractile proteins from plants. Nat. Mater. 2005, 4, 600–604. [Google Scholar] [CrossRef]
- Mondal, H.A. Aphid saliva: A powerful recipe for modulating host resistance towards aphid clonal propagation. Arthropod-Plant Interact. 2020, 14, 547–558. [Google Scholar] [CrossRef]
- Wang, W.; Dai, H.; Zhang, Y.; Chandrasekar, R.; Luo, L.; Hiromasa, Y.; Sheng, C.; Peng, G.; Chen, S.; Tomich, J.M.; et al. Armet is an effector protein mediating aphid-plant interactions. FASEB J. 2015, 29, 2032–2045. [Google Scholar] [CrossRef] [PubMed]
- Nouhaud, P.; Gautier, M.; Gouin, A.; Jaquiery, J.; Peccoud, J.; Legeai, F.; Mieuzet, L.; Smadja, C.M.; Lemaitre, C.; Vitalis, R.; et al. Identifying genomic hotspots of differentiation and candidate genes involved in the adaptive divergence of pea aphid host races. Mol. Ecol. 2018, 27, 3287–3300. [Google Scholar] [CrossRef] [PubMed]
- Prado, E.; Tjallingii, W.F. Aphid activities during sieve element punctures. Entomol. Exp. Appl. 1994, 72, 41–85. [Google Scholar] [CrossRef]
- Cui, N.; Yang, P.C.; Guo, K.; Kang, L.; Cui, F. Large-scale gene expression reveals different adaptations of Hyalopterus persikonus to winter and summer host plants. Insect Sci. 2017, 24, 431–442. [Google Scholar] [CrossRef] [PubMed]
- Simon, J.C.; Boutin, S.; Tsuchida, T.; Koga, R.; Le Gallic, J.F.; Frantz, A.; Outreman, Y.; Fukatsu, T. Facultative symbiont infections affect aphid reproduction. PLoS ONE 2011, 6, e21831. [Google Scholar] [CrossRef] [PubMed]
- Peccoud, J.; Simon, J.C.; McLaughlin, H.J.; Moran, N.A. Post-Pleistocene radiation of the pea aphid complex revealed by rapidly evolving endosymbionts. Proc. Natl. Acad. Sci. USA 2009, 106, 16315–16320. [Google Scholar] [CrossRef]
- Furch, A.C.U.; Paulmann, M.K.; Wegner, L.; Kunert, G.; Van Bel, A.J.E. Comparison of intracellular location and stimulus reaction times of forisomes in sieve tubes of four legume species. Plant Signal. Behav. 2018, 13, e1503493. [Google Scholar] [CrossRef]
- Zuur, A.F.; Ieno, E.N.; Walker, N.J.; Saveliev, A.A.; Smith, G.M. Mixed Effects Models and Extensions in Ecology with R.; Springer: New York, NY, USA, 2009. [Google Scholar]
- Crawley, M.J. The R Book; John Wiley & Sons Ltd.: West Sussex, UK, 2013. [Google Scholar]
- R Core Team. R: A Language and Environment for Statistical Computing; R Foundation for Statistical Computing: Vienna, Austria, 2022. [Google Scholar]



| Apparent Molecular Weight | Host Races in Which Band Detected | EST Cluster or Scaffold 1 | Putative Protein Identification 1 | A. pisum Reference Sequence 1 |
|---|---|---|---|---|
| 190 kDa | MR, PR, TR | Unknown | NA | NA |
| 150 kDa | MR, PR, TR | APG02147 | Putative sheath protein 2 | XM001943863 (ACYPI009881) |
| APG01291 | M1 zinc metalloprotease | XM001950011 (ACYPI009427) | ||
| 130 kDa | NA | APG02147 | Putative sheath protein 2 | XM001943863 (ACYPI009881) |
| APG01291 | M1 zinc metalloprotease | XM001950011 (ACYPI009427) | ||
| 115 kDa | MR, PR, TR | APG09617 | Angiotensin converting enzyme (ACE) | XM001951605 (ACYPI000733) |
| APG09831 | XM001944530 (ACYPI008911) | |||
| 100 kDa | MR & TR | APG09617 | XM001951605 (ACYPI000733) | |
| APG09831 | XM001944530 (ACYPI008911) | |||
| 80 kDa | MR, PR, TR | NA | NA | NA |
| 66 kDa | MR, PR, TR | APG028784 | No information | No information |
| 55 kDa | MR | No EST match | NA | NA |
| 41 kDa | MR | APG10010 | SMP-30 (regucalcin) | XM001951513 (ACYPI003308) |
Disclaimer/Publisher’s Note: The statements, opinions and data contained in all publications are solely those of the individual author(s) and contributor(s) and not of MDPI and/or the editor(s). MDPI and/or the editor(s) disclaim responsibility for any injury to people or property resulting from any ideas, methods, instructions or products referred to in the content. |
© 2023 by the authors. Licensee MDPI, Basel, Switzerland. This article is an open access article distributed under the terms and conditions of the Creative Commons Attribution (CC BY) license (https://creativecommons.org/licenses/by/4.0/).
Share and Cite
Paulmann, M.K.; Wegner, L.; Gershenzon, J.; Furch, A.C.U.; Kunert, G. Pea Aphid (Acyrthosiphon pisum) Host Races Reduce Heat-Induced Forisome Dispersion in Vicia faba and Trifolium pratense. Plants 2023, 12, 1888. https://doi.org/10.3390/plants12091888
Paulmann MK, Wegner L, Gershenzon J, Furch ACU, Kunert G. Pea Aphid (Acyrthosiphon pisum) Host Races Reduce Heat-Induced Forisome Dispersion in Vicia faba and Trifolium pratense. Plants. 2023; 12(9):1888. https://doi.org/10.3390/plants12091888
Chicago/Turabian StylePaulmann, Maria K., Linus Wegner, Jonathan Gershenzon, Alexandra C. U. Furch, and Grit Kunert. 2023. "Pea Aphid (Acyrthosiphon pisum) Host Races Reduce Heat-Induced Forisome Dispersion in Vicia faba and Trifolium pratense" Plants 12, no. 9: 1888. https://doi.org/10.3390/plants12091888
APA StylePaulmann, M. K., Wegner, L., Gershenzon, J., Furch, A. C. U., & Kunert, G. (2023). Pea Aphid (Acyrthosiphon pisum) Host Races Reduce Heat-Induced Forisome Dispersion in Vicia faba and Trifolium pratense. Plants, 12(9), 1888. https://doi.org/10.3390/plants12091888

