Increased Zygote-Derived Plantlet Formation through In Vitro Rescue of Immature Embryos of Highly Apomictic Opuntia ficus-indica (Cactaceae)
Abstract
1. Introduction
2. Materials and Methods
2.1. Plant Material
2.2. Media and In Vitro Culture Methodology of Immature Ovules
2.3. Seed Germination In Vivo
2.4. DNA Extraction
2.5. Genetic Analysis
2.6. Statistical Analysis
3. Results
3.1. Embryo Rescue In Vitro
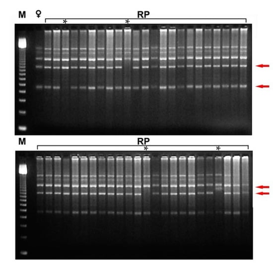
3.2. Genetic Analysis
4. Discussion
Supplementary Materials
Author Contributions
Funding
Data Availability Statement
Acknowledgments
Conflicts of Interest
References
- Arba, M. The potential of cactus pear (Opuntia ficus-indica (L.) Mill.) as food and forage crop. In Emerging Research in Alternative Crops; Springer: Cham, Switzerland, 2020; pp. 335–357. [Google Scholar]
- Inglese, P.; Saenz, C.; Mondragon, C.; Nefzaoui, A.; Louhaichi, M. Crop Ecology, Cultivation and Uses of Cactus Pear; Food and Agriculture Organisation of the United Nations; International Center for Agricultural Research in the Dry Areas: Rome, Italy, 2017; p. 277. [Google Scholar]
- Khodaeiaminjan, M.; Nassrallah, A.A.; Kamal, K.Y. Potential attribute of Crassulacean acid metabolism of Opuntia spp. production in water-limited conditions. In Opuntia spp.: Chemistry, Bioactivity and Industrial Applications; Ramadan, M.F., Ed.; Springer Nature: Cham, Switzerland, 2021; pp. 201–218. [Google Scholar]
- Incedayi, B.; Dogan, N.; Copur, O.U. Assessment of cactus pear leather (pestil) as a new snack food. J. Food Sci. Technol. 2022, 59, 3158–3166. [Google Scholar] [CrossRef] [PubMed]
- Ramírez-Rodríguez, Y.; Martínez-Huélamo, M.; Pedraza-Chaverri, J.; Ramírez, V.; Martínez-Tagüeña, N.; Trujillo, J. Ethnobotanical, nutritional and medicinal properties of Mexican drylands Cactaceae Fruits: Recent findings and research opportunities. Food Chem. 2019, 312, 126073. [Google Scholar] [CrossRef] [PubMed]
- Barba, F.J.; Garcia, C.; Fessard, A.; Munekata, P.E.S.; Lorenzo, J.M.; Aboudia, A.; Ouadia, A.; Remize, F. Opuntia Ficus Indica Edible Parts: A Food and Nutritional Security Perspective. Food Rev. Int. 2020, 38, 930–952. [Google Scholar] [CrossRef]
- Zimmermann, H.; Cuen, M.P.S.Y. Prickly Pear, The Other Face of Cactus Pear. Acta Hortic. 2006, 728, 289–296. [Google Scholar] [CrossRef]
- Butera, D.; Tesoriere, L.; Di Gaudio, F.; Bongiorno, A.; Allegra, M.; Pintaudi, A.M.; Kohen, R.; Livrea, M.A. Antioxidant Activities of Sicilian Prickly Pear (Opuntia ficus indica) Fruit Extracts and Reducing Properties of Its Betalains: Betanin and Indicaxanthin. J. Agric. Food Chem. 2002, 50, 6895–6901. [Google Scholar] [CrossRef] [PubMed]
- Daniloski, D.; D’Cunha, N.M.; Speer, H.; McKune, A.J.; Alexopoulos, N.; Panagiotakos, D.B.; Petkoska, A.T.; Naumovski, N. Recent developments on Opuntia spp., their bioactive composition, nutritional values, and health effects. Food Biosci. 2022, 47, 101665. [Google Scholar] [CrossRef]
- Elella, F.M.A. Antioxidant and Anticancer Activities of Different Constituents Extracted from Egyptian Prickly Pear Cactus (Opuntia ficus-indica) Peel. Biochem. Anal. Biochem. 2014, 158, 1000158. [Google Scholar] [CrossRef]
- Neupane, D.; Mayer, J.A.; Niechayev, N.A.; Bishop, C.D.; Cushman, J.C. Five-year field trial of the biomass productivity and water input response of cactus pear (Opuntia spp.) as a bioenergy feedstock for arid lands. GCB Bioenergy 2021, 13, 719–741. [Google Scholar] [CrossRef]
- Palmieri, N.; Suardi, A.; Stefanoni, W.; Pari, L. Opuntia ficus-indica as an Ingredient in New Functional Pasta: Consumer Preferences in Italy. Foods 2021, 10, 803. [Google Scholar] [CrossRef]
- ISTAT. Italian National Institute of Statistics Rome, 2021.
- Novoa, A.; Le Roux, J.J.; Robertson, M.P.; Wilson, J.R.; Richardson, D.M. Introduced and invasive cactus species: A global review. AoB Plants 2015, 7, 1–14. [Google Scholar] [CrossRef]
- Omar, A.A.; ElSayed, A.I.; Mohamed, A.H. Genetic diversity and ecotypes of Opuntia spp. In Opuntia spp.: Chemistry, Bioactivity and Industrial Applications; Ramadan, M.F., Ayoub, T.E.M., Rohn, S., Eds.; Springer International Publishing: Cham, Switzerland, 2021; pp. 181–199. [Google Scholar]
- Rebman, J.P.; Pinkava, D.J. Opuntia Cacti of North America: An Overview. Fla. Entomol. 2001, 84, 474. [Google Scholar] [CrossRef]
- Lloyd, S. Situation Statement on Opuntioid cacti (Austrocylindropuntia spp., Cylindropuntia spp. and Opuntia spp.) in Western Australia; Department of Agriculture and Food; Government of Western Australia: South Perth, Australia, 2014.
- CISS. Weeds Australia Profiles—Opuntia spp. (Prickly Pears). Available online: https://profiles.ala.org.au/opus/weeds-australia/profile/Opuntia%20spp (accessed on 16 April 2023).
- Mondragon-Jacobo, C. Preliminary identification of apomictic seedlings Opuntia spp. Breeding populations from central Mexico. Acta Hortic. 2002, 581, 119–124. [Google Scholar] [CrossRef]
- Ganong, W.F. Upon Polyembryony and Its Morphology in Opuntia vulgaris. Bot. Gaz. 1898, 25, 221–228. [Google Scholar] [CrossRef]
- Garcia Aguilar, M.; Pimienta Barrios, E. Cytological evidences of agamospermy in Opuntia (Cactaceae). Haseltonia 1996, 4, 39–42. [Google Scholar]
- Jacobo, C.M. Verification of the apomictic origin of Cactus pear (Opuntia spp. Cactaceae) seedlings of open pollinated and crosses from central Mexico. J. Prof. Assoc. Cactus Dev. 2001, 4, 49–56. [Google Scholar]
- Vélez-Gutierrez, C.; Rodríguez-Garay, B. Microscopic analysis of polyembryony in Opuntia ficus-indica. J. Prof. Assoc. Cactus Dev. 1996, 1, 39–48. [Google Scholar]
- Kaaniche-Elloumi, N.; Jedidi, E.; Mahmoud, K.; Chakroun, A.; Jemmali, A. Gibberellic acid application and its incidence on in vitro somatic embryogenesis and fruit parthenocarpy in an apomictic cactus pear (Opuntia ficus-indica (L.) Mill.) clone. Acta Hortic. 2013, 1067, 225–230. [Google Scholar] [CrossRef]
- Carimi, F.; De Pasquale, F.; Puglia, A.M. In vitro rescue of zygotic embryos of sour orange, Citrus aurantium L., and their detection based on RFLP analysis. Plant Breed. 1998, 117, 261–266. [Google Scholar] [CrossRef]
- Murashige, T.; Skoog, F. A revised medium for rapid growth and bioassays with tobacco tissue cultures. Physiol. Plant. 1962, 15, 473–497. [Google Scholar] [CrossRef]
- Doyle, J.J.; Doyle, J.L. A rapid DNA isolation procedure for small quantities of fresh leaf tissue. Phytochem. Bull. 1987, 19, 11–15. [Google Scholar]
- Sambrook, J.; Fritsch, E.; Maniatis, T. Molecular Cloning: A Laboratory Manual, 2nd ed.; Cold Spring Harbor Laboratory Press: Cold Spring Harbor, NY, USA, 1989. [Google Scholar]
- Siragusa, M.; Carra, A.; Salvia, L.; Puglia, A.M.; De Pasquale, F.; Carimi, F. Genetic instability in calamondin (Citrus madurensis Lour.) plants derived from somatic embryogenesis induced by diphenylurea derivatives. Plant Cell Rep. 2007, 26, 1289–1296. [Google Scholar] [CrossRef] [PubMed]
- Fang, D.Q.; Roose, M.L. Identification of closely related citrus cultivars with inter-simple sequence repeat markers. Theor. Appl. Genet. 1997, 95, 408–417. [Google Scholar] [CrossRef]
- Mora, M.; Matamala, P.; Sáenz, C. Characterization of Chilean consumers’ attitudes and preferences toward different cactus pear colors. Acta Hortic. 2019, 1241, 143–148. [Google Scholar] [CrossRef]
- Lenzi, M.; Orth, A.I. Mixed reproduction systems in Opuntia monacantha (Cactaceae) in Southern Brazil. Braz. J. Bot. 2012, 35, 49–58. [Google Scholar] [CrossRef]
- Griffith, M.P. The origins of an important cactus crop, Opuntia ficus-indica (Cactaceae): New molecular evidence. Am. J. Bot. 2004, 91, 1915–1921. [Google Scholar] [CrossRef] [PubMed]
- Mayer, J.A.; Cushman, J.C. Nutritional and mineral content of prickly pear cactus: A highly water-use efficient forage, fodder and food species. J. Agron. Crop. Sci. 2019, 205, 625–634. [Google Scholar] [CrossRef]
- Jacoboa, C.M.; Chessab, I. Nopal (Opuntia spp.) genetic resources. In Crop Ecology, Cultivation and Uses of Cactus Pear; Inglese, P., Saenz, C., Mondragon, C., Nefzaoui, A., Louhaichi, M., Eds.; Food and Agriculture Organisation of the United Nations; International Center for Agricultural Research in the Dry Areas: Rome, Italy, 2017; pp. 43–50. [Google Scholar]
- Pathirana, R.; Carimi, F. Management and Utilization of Plant Genetic Resources for a Sustainable Agriculture. Plants 2022, 11, 2038. [Google Scholar] [CrossRef]
- Wijerathna-Yapa, A.; Pathirana, R. Sustainable Agro-Food Systems for Addressing Climate Change and Food Security. Agriculture 2022, 12, 1554. [Google Scholar] [CrossRef]
- Pathirana, R.; Wiedow, C.; Pathirana, S.; Hedderley, D.; Morgan, E.; Scalzo, J.; Frew, T.; Timmerman-Vaughan, G. Ovule culture and embryo rescue facilitate interspecific hybridisation in blueberry (Vaccinium spp.). In Proceedings of the VIII International Symposium on in Vitro Culture and Horticultural Breeding, Coimbra, Portugal, 2–7 June 2015; Volume 1083, pp. 123–132. Available online: https://cdn.blueberriesconsulting.com/2017/12/Ovule-Culture-and-Embryo-Rescue-Facilitate-Interspecific-Hybridisation-in-BLUEBERRy.pdf (accessed on 10 May 2023).
- Tan, M.-L.; Song, J.-K.; Deng, X.-X. Production of two mandarin × trifoliate orange hybrid populations via embryo rescue with verification by SSR analysis. Euphytica 2007, 157, 155–160. [Google Scholar] [CrossRef]
- Xie, K.-D.; Yuan, D.-Y.; Wang, W.; Xia, Q.-M.; Wu, X.-M.; Chen, C.-W.; Chen, C.-L.; Grosser, J.W.; Guo, W.-W. Citrus triploid recovery based on 2x × 4x crosses via an optimized embryo rescue approach. Sci. Hortic. 2019, 252, 104–109. [Google Scholar] [CrossRef]
- Kim, M.; Kim, S.H.; Kim, H.B.; Park, Y.C.; Song, K.J. Some factors affecting the efficiency of hybrid embryo rescue in the ‘Shiranuhi’ mandarin. Hortic. Sci. Technol. 2020, 38, 271–281. [Google Scholar] [CrossRef]
- Felker, P.; Zapata, R.; Wang, X.; Medina, D.; Bunch, R.; Paterson, A. Fruit characters among apomicts and sexual progeny of a cross of the Texas native Opuntia lindheimerii (1250) with a commercial fruit type Opuntia ficus–indica (1281). J. Prof. Assoc. Cactus Dev. 2010, 12, 48–66. [Google Scholar]
- Hand, M.L.; Koltunow, A.M.G. The Genetic Control of Apomixis: Asexual Seed Formation. Genetics 2014, 197, 441–450. [Google Scholar] [CrossRef] [PubMed]
- Kaushal, P.; Dwivedi, K.K.; Radhakrishna, A.; Srivastava, M.K.; Kumar, V.; Roy, A.K.; Malaviya, D.R. Partitioning Apomixis Components to Understand and Utilize Gametophytic Apomixis. Front. Plant Sci. 2019, 10, 256. [Google Scholar] [CrossRef]
- Grimanelli, D.; Leblanc, O.; Perotti, E.; Grossniklaus, U. Developmental genetics of gametophytic apomixis. Trends Genet. 2001, 17, 597–604. [Google Scholar] [CrossRef]
- Ozias-Akins, P.; van Dijk, P.J. Mendelian Genetics of Apomixis in Plants. Annu. Rev. Genet. 2007, 41, 509–537. [Google Scholar] [CrossRef] [PubMed]
- Ahloowalia, B.S.; Maluszynski, M. Induced mutations—A new paradigm in plant breeding. Euphytica 2001, 118, 167–173. [Google Scholar] [CrossRef]
- Pathirana, R. Mutations in plant evolution, crop domestication and breeding. Trop. Agric. Res. Ext. 2021, 24, 124. [Google Scholar] [CrossRef]
- Fernández, M.; Figueiras, A.; Benito, C. The use of ISSR and RAPD markers for detecting DNA polymorphism, genotype identification and genetic diversity among barley cultivars with known origin. Theor. Appl. Genet. 2002, 104, 845–851. [Google Scholar] [CrossRef]
- Grativol, C.; Lira-Medeiros, C.D.F.; Hemerly, A.S.; Ferreira, P.C.G. High efficiency and reliability of inter-simple sequence repeats (ISSR) markers for evaluation of genetic diversity in Brazilian cultivated Jatropha curcas L. accessions. Mol. Biol. Rep. 2010, 38, 4245–4256. [Google Scholar] [CrossRef]
- Raji, M.R.; Lotfi, M.; Tohidfar, M.; Zahedi, B.; Carra, A.; Abbate, L.; Carimi, F. Somatic embryogenesis of muskmelon (Cucumis melo L.) and genetic stability assessment of regenerants using flow cytometry and ISSR markers. Protoplasma 2017, 255, 873–883. [Google Scholar] [CrossRef] [PubMed]
- Cisneros, A.; Tel-Zur, N. Embryo rescue and plant regeneration following interspecific crosses in the genus Hylocereus (Cactaceae). Euphytica 2010, 174, 73–82. [Google Scholar] [CrossRef]
- Morgan, E.R. Use of in ovulo embryo culture to produce interspecific hybrids between Gentiana triflora and Gentiana lutea. New Zealand J. Crop. Hortic. Sci. 2004, 32, 343–347. [Google Scholar] [CrossRef]
- Sahijram, L.; Soneji, J.R.; Naren, A.; Rao, B.M. Hybrid embryo rescue: A non-conventional breeding strategy in horticultural crops. J. Hortic. Sci. 2013, 8, 1–20. [Google Scholar]










Disclaimer/Publisher’s Note: The statements, opinions and data contained in all publications are solely those of the individual author(s) and contributor(s) and not of MDPI and/or the editor(s). MDPI and/or the editor(s) disclaim responsibility for any injury to people or property resulting from any ideas, methods, instructions or products referred to in the content. |
© 2023 by the authors. Licensee MDPI, Basel, Switzerland. This article is an open access article distributed under the terms and conditions of the Creative Commons Attribution (CC BY) license (https://creativecommons.org/licenses/by/4.0/).
Share and Cite
Carra, A.; Catalano, C.; Pathirana, R.; Sajeva, M.; Inglese, P.; Motisi, A.; Carimi, F. Increased Zygote-Derived Plantlet Formation through In Vitro Rescue of Immature Embryos of Highly Apomictic Opuntia ficus-indica (Cactaceae). Plants 2023, 12, 2758. https://doi.org/10.3390/plants12152758
Carra A, Catalano C, Pathirana R, Sajeva M, Inglese P, Motisi A, Carimi F. Increased Zygote-Derived Plantlet Formation through In Vitro Rescue of Immature Embryos of Highly Apomictic Opuntia ficus-indica (Cactaceae). Plants. 2023; 12(15):2758. https://doi.org/10.3390/plants12152758
Chicago/Turabian StyleCarra, Angela, Caterina Catalano, Ranjith Pathirana, Maurizio Sajeva, Paolo Inglese, Antonio Motisi, and Francesco Carimi. 2023. "Increased Zygote-Derived Plantlet Formation through In Vitro Rescue of Immature Embryos of Highly Apomictic Opuntia ficus-indica (Cactaceae)" Plants 12, no. 15: 2758. https://doi.org/10.3390/plants12152758
APA StyleCarra, A., Catalano, C., Pathirana, R., Sajeva, M., Inglese, P., Motisi, A., & Carimi, F. (2023). Increased Zygote-Derived Plantlet Formation through In Vitro Rescue of Immature Embryos of Highly Apomictic Opuntia ficus-indica (Cactaceae). Plants, 12(15), 2758. https://doi.org/10.3390/plants12152758

