Detection and Simultaneous Differentiation of Three Co-infected Viruses in Zanthoxylum armatum
Abstract
:1. Introduction
2. Results
2.1. Validation of Specific Primers
2.2. Optimization of Multiplex RT-PCR
2.3. Sensitivity Detection of Multiplex RT-PCR
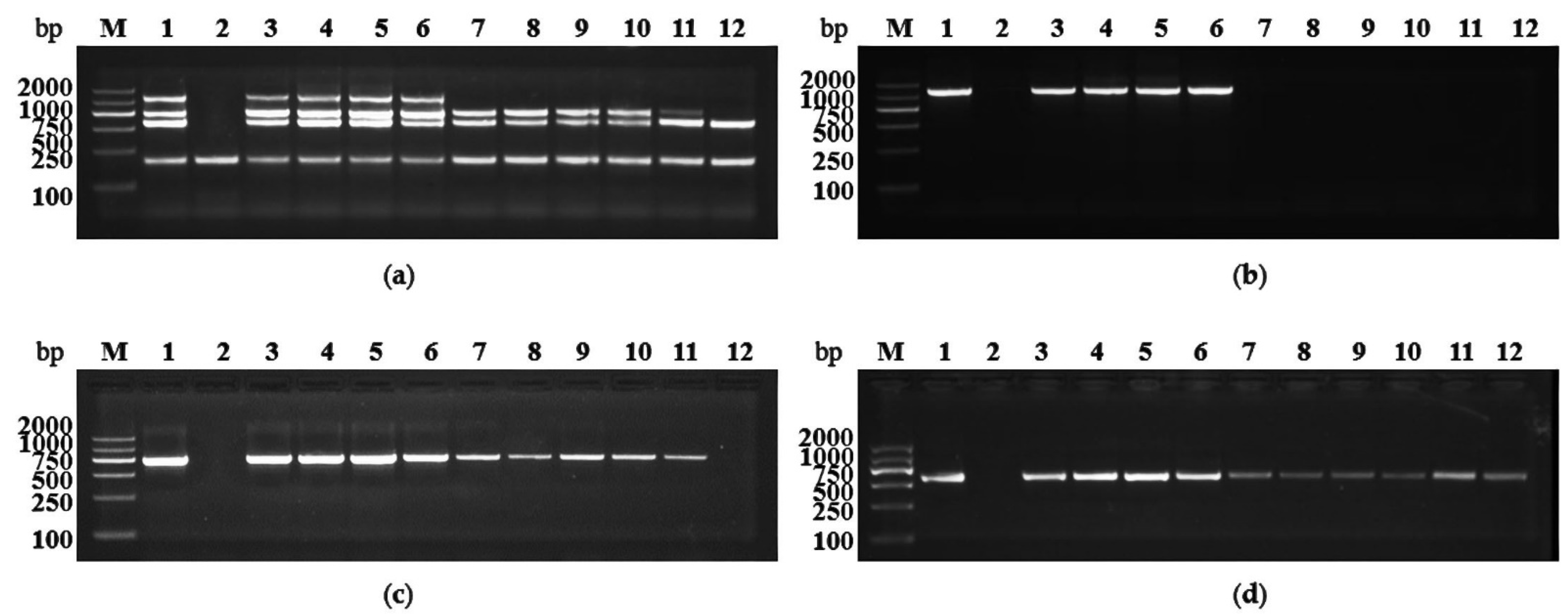
2.4. Detection of Field Samples by the Optimized Multiplex RT-PCR
3. Discussion
4. Materials and Methods
4.1. Plant Materials
4.2. Extraction of Total RNA and RT-PCR
4.3. PCR Amplification
5. Conclusions
Author Contributions
Funding
Institutional Review Board Statement
Data Availability Statement
Conflicts of Interest
References
- Lu, M.; Yuan, B.; Zeng, M.; Chen, J. Antioxidant capacity and major phenolic compounds of spices commonly consumed in China. Food Res. Int. 2011, 44, 530–536. [Google Scholar] [CrossRef]
- Zhu, H.; Huang, Y.; Ji, X.; Su, T.; Zhou, Z. Continuous existence of Zanthoxylum (Rutaceae) in Southwest China since the Miocene. Quat. Int. 2016, 392, 224–232. [Google Scholar] [CrossRef]
- Chruma, J.J.; Cullen, D.J.; Bowman, L.; Toy, P.H. Polyunsaturated fatty acid amides from the Zanthoxylum genus—From culinary curiosities to probes for chemical biology. Nat. Prod. Rep. 2018, 35, 54–74. [Google Scholar] [CrossRef] [PubMed]
- Yang, X. Aroma constituents and alkylamides of red and green Huajiao (Zanthoxylum bungeanum and Zanthoxylum schinifolium). J. Agric. Food Chem. 2008, 56, 1689–1696. [Google Scholar] [CrossRef] [PubMed]
- Cao, M.; Zhang, S.; Li, M.; Liu, Y.; Dong, P.; Li, S.; Kuang, M.; Li, R.; Zhou, Y. Discovery of four novel viruses associated with flower yellowing disease of green Sichuan Pepper (Zanthoxylum Armatum) by virome analysis. Viruses 2019, 11, 696. [Google Scholar] [CrossRef] [PubMed] [Green Version]
- Zhang, X.; Tang, N.; Liu, X.; Ye, J.; Zhang, J.; Chen, Z.; Xu, F.; Zhang, W.; Liao, Y. Comparative transcriptome analysis identified differentially expressed genes between male and female flowers of Zanthoxylum armatum var. novemfolius. Agronomy 2020, 10, 283. [Google Scholar] [CrossRef] [Green Version]
- Cao, M.; Zhang, S.; Liao, R.; Wang, X.; Xuan, Z.; Zhan, B.; Li, Z.; Zhang, J.; Du, X.; Tang, Z.; et al. Spatial virome analysis of Zanthoxylum armatum trees affected with the flower yellowing disease. Front. Microbiol. 2021, 12, 702210. [Google Scholar] [CrossRef] [PubMed]
- Xu, M.; Zhang, S.; Xuan, Z.; Wu, J.; Dong, P.; Zhou, Y.; Li, R.; Cao, M. Molecular characterization of a new badnavirus infecting green Sichuan pepper (Zanthoxylum schinifolium). Arch. Virol. 2019, 164, 2613–2616. [Google Scholar] [CrossRef] [PubMed]
- Kovalskaya, N.; Hammond, R.W. Molecular biology of viroid–host interactions and disease control strategies. Plant Sci. 2014, 228, 48–60. [Google Scholar] [CrossRef] [PubMed] [Green Version]
- Li, R.; Hartung, J.S. Reverse transcription-polymerase chain reaction-based detection of plant viruses. Curr. Protoc. Microbiol. 2007, 6, 16C.1.1–16C.1.9. [Google Scholar] [CrossRef] [PubMed]
- Rissin, D.M.; Kan, C.W.; Campbell, T.G.; Howes, S.C.; Fournier, D.R.; Song, L.; Piech, T.; Patel, P.P.; Chang, L.; Rivnak, A.J.; et al. Single-molecule enzyme-linked immunosorbent assay detects serum proteins at subfemtomolar concentrations. Nat. Biotechnol. 2010, 28, 595–599. [Google Scholar] [CrossRef] [PubMed] [Green Version]
- Sánchez-Navarro, J.A.; Aparicio, F.; Herranz, M.C.; Minafra, A.; Myrta, A.; Pallas, V. Simultaneous detection and identification of eight stone fruit viruses by one-step RT-PCR. Eur. J. Plant Pathol. 2005, 111, 77–84. [Google Scholar] [CrossRef]
- Liu, H.; Wu, K.; Wu, W.; Mi, W.; Hao, X.; Wu, Y. A multiplex reverse transcription PCR assay for simultaneous detection of six main RNA viruses in tomato plants. J. Virol. Methods 2019, 265, 53–58. [Google Scholar] [CrossRef] [PubMed]
- Xue, B.; Shang, J.; Yang, J.; Zhang, L.; Du, J.; Yu, L.; Yang, W.; Naeem, M. Development of a multiplex RT-PCR assay for the detection of soybean mosaic virus, bean common mosaic virus and cucumber mosaic virus in field samples of soybean. J. Virol. Methods 2021, 298, 114278. [Google Scholar] [CrossRef] [PubMed]
- Liu, Z.; Dong, Z.; Zhan, B.; Li, S. Characterization of an isolate of citrus concave gum-associated virus from apples in China and development of an RT-RPA assay for the rapid detection of the virus. Plants 2021, 10, 2239. [Google Scholar] [CrossRef] [PubMed]
- Treder, K.; Chołuj, J.; Zacharzewska, B.; Babujee, L.; Mielczarek, M.; Burzynski, A.; Rakotondrafara, A.M. Optimization of a magnetic capture RT-LAMP assay for fast and real-time detection of potato virus Y and differentiation of N and O serotypes. Arch. Virol. 2018, 163, 447–458. [Google Scholar] [CrossRef] [PubMed] [Green Version]





| Viruses or Gene | Primers | Primer Sequences (5′-3′) | Fragment Length (bp) |
|---|---|---|---|
| GSPNeV | GSPNeV-5F | TGTCACTGAAGGAGCGGAT | 1039 |
| GSPNeV-3R | ATCACCCATCTTAGCGACG | ||
| GSPIV | GSPIV-5F | GATTAGGGCACACAGGAGTC | 730 |
| GSPIV-3R | GCTATGGCTTCTTCACGAA | ||
| GSPEV | GSPEV-5F | CTGGGTTATGGCAAACATC | 580 |
| GSPEV-3R | AGGAGCCTCAGGAAGAATCT | ||
| ITS2 | ITS2-5F | CGCATCGTTGCCCCAC | 224 |
| ITS2-3R | CGATGCGAGCGCTGCTT |
Publisher’s Note: MDPI stays neutral with regard to jurisdictional claims in published maps and institutional affiliations. |
© 2022 by the authors. Licensee MDPI, Basel, Switzerland. This article is an open access article distributed under the terms and conditions of the Creative Commons Attribution (CC BY) license (https://creativecommons.org/licenses/by/4.0/).
Share and Cite
Dong, Z.; Zhao, X.; Liu, J.; Zhan, B.; Li, S. Detection and Simultaneous Differentiation of Three Co-infected Viruses in Zanthoxylum armatum. Plants 2022, 11, 1242. https://doi.org/10.3390/plants11091242
Dong Z, Zhao X, Liu J, Zhan B, Li S. Detection and Simultaneous Differentiation of Three Co-infected Viruses in Zanthoxylum armatum. Plants. 2022; 11(9):1242. https://doi.org/10.3390/plants11091242
Chicago/Turabian StyleDong, Zhenfei, Xiaoli Zhao, Junjie Liu, Binhui Zhan, and Shifang Li. 2022. "Detection and Simultaneous Differentiation of Three Co-infected Viruses in Zanthoxylum armatum" Plants 11, no. 9: 1242. https://doi.org/10.3390/plants11091242
APA StyleDong, Z., Zhao, X., Liu, J., Zhan, B., & Li, S. (2022). Detection and Simultaneous Differentiation of Three Co-infected Viruses in Zanthoxylum armatum. Plants, 11(9), 1242. https://doi.org/10.3390/plants11091242

