Spotting the Targets of the Apospory Controller TGS1 in Paspalum notatum
Abstract
1. Introduction
2. Results
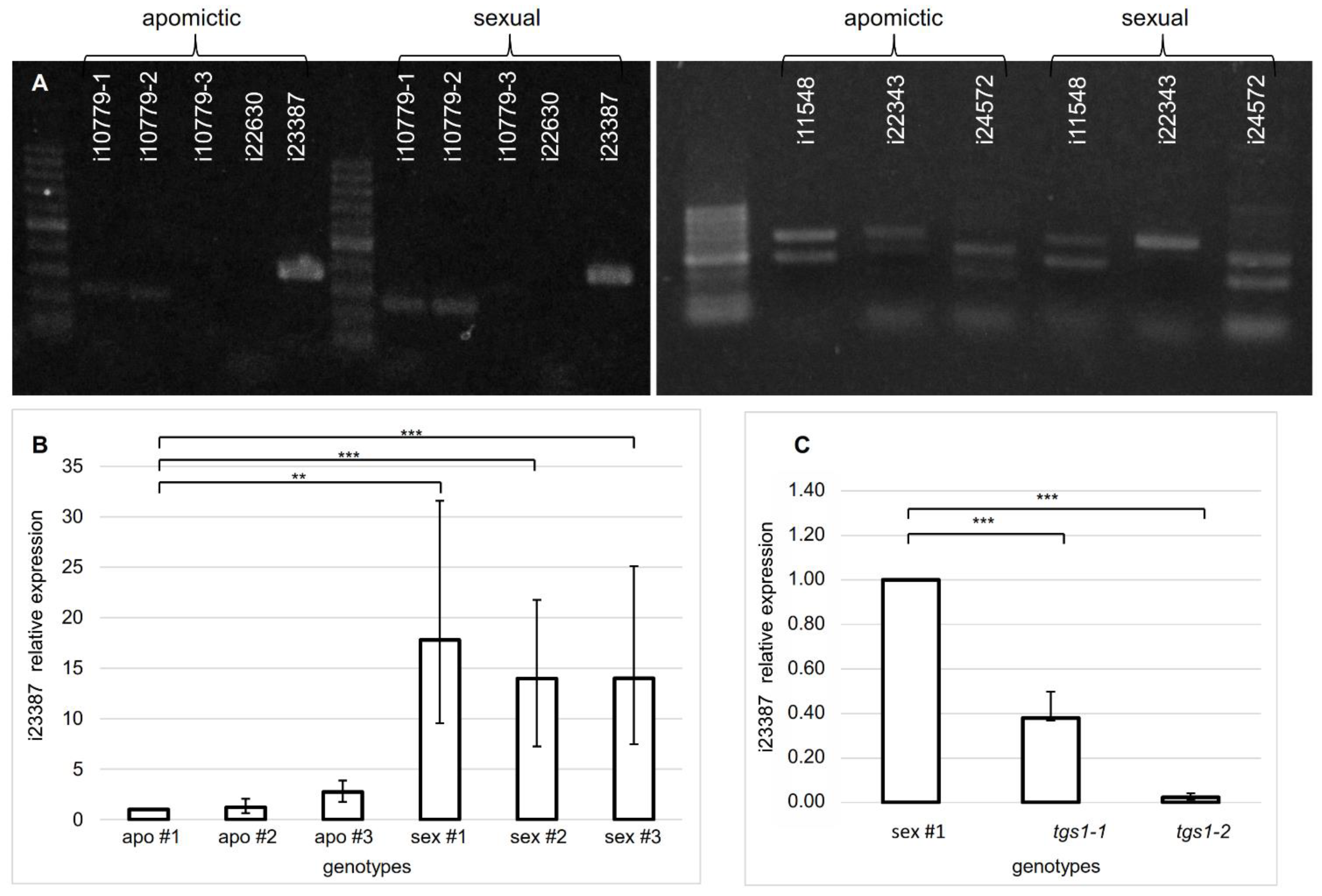
2.1. The Emergence of a Particular LHC Ib-21 Splice Variant Is Influenced by TGS1
2.2. The Expression of the MAP3K QUI-GON JINN (QGJ) Is Influenced by TGS1
2.3. In Situ Analysis of QGJ Expression in tgs1 Antisense Lines
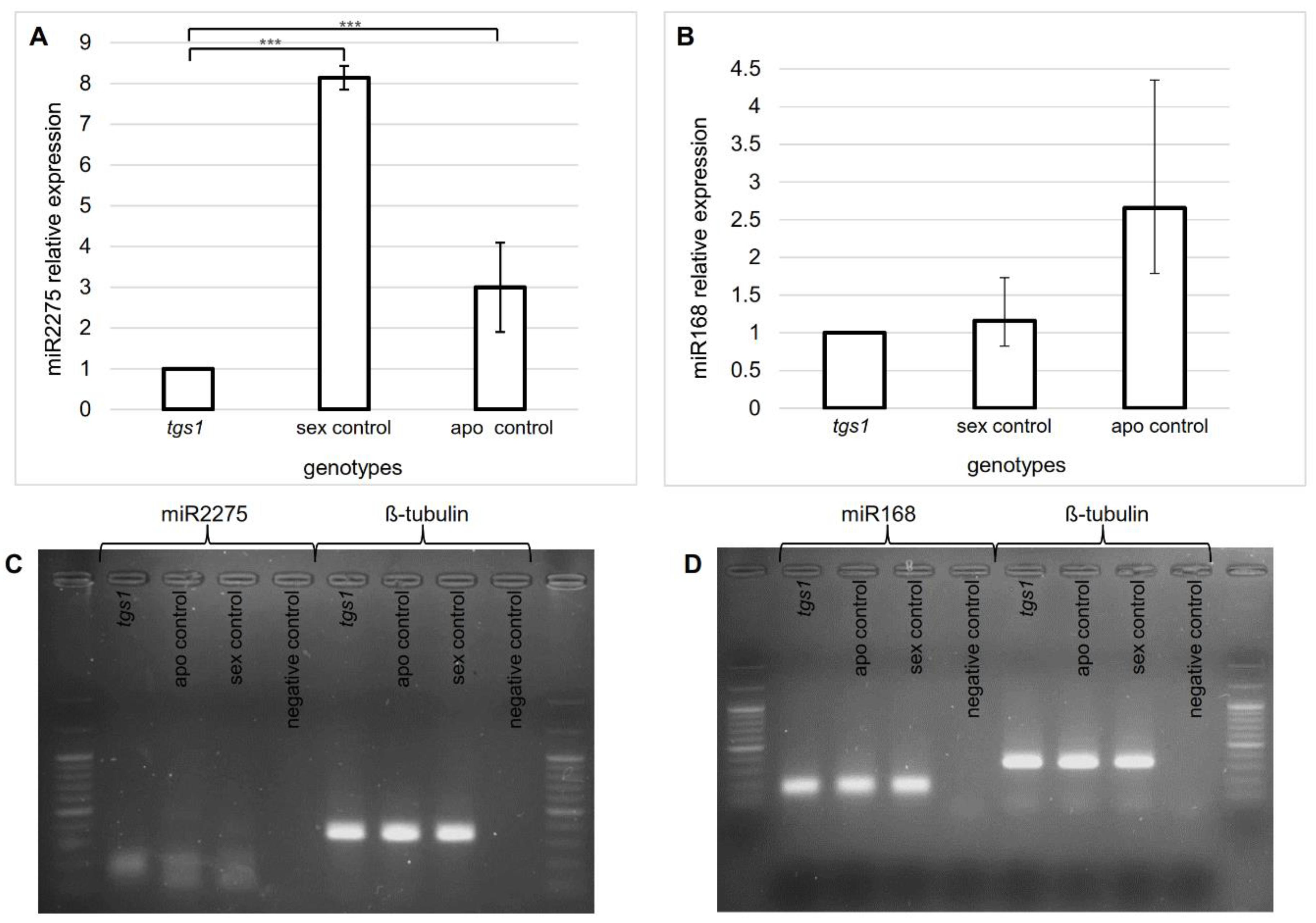
2.4. Identification of miRNA Variants Associated with TGS1 Activity
3. Discussion
4. Materials and Methods
4.1. Plant Materials
4.2. Identification of Splice Variants in Floral Transcriptomes
4.3. Qualitative PCR
4.4. qPCR Experiments
4.5. Stem-Loop qPCR Experiments
4.6. In Situ Hybridization
5. Conclusions
Supplementary Materials
Author Contributions
Funding
Data Availability Statement
Acknowledgments
Conflicts of Interest
References
- Toenniessen, G.H. Feeding the world in the 21st century: Plant breeding, biotechnology, and the potential role of apomixis. In The Flowering of APOMIXIS: From Mechanisms to Genetic Engineering; Savidan, Y., Carman, J.G., Dresselhaus, T., Eds.; ClMMYT: Mexico City, Mexico; IRD:: Marseille, France; European Commission OC VI (FAIR): Brussels, Belgium, 2002; pp. 1–7. [Google Scholar]
- Hojsgaard, D.; Klatt, S.; Baier, R.; Carman, J.G.; Hörandl, E. Taxonomy and biogeography of apomixis in angiosperms and associated biodiversity characteristics. Crit. Rev. Plant Sci. 2014, 33, 414–427. [Google Scholar] [CrossRef] [PubMed]
- Nogler, G.A. Gametophytic Apomixis. In Embryology of Angiosperms; Johri, B.M., Ed.; Springer: Berlin/Heidelberg, Germany, 1984; pp. 475–518. [Google Scholar] [CrossRef]
- Barcaccia, G.; Albertini, E. Apomixis in plant reproduction: A novel perspective on an old dilemma. Plant Reprod. 2013, 26, 159–179. [Google Scholar] [CrossRef] [PubMed]
- Miles, J.W.; Cardona, C.; Sotelo, G. Recurrent selection in a synthetic Brachiaria grass population improves resistance to three spittlebug species. Crop Sci. 2006, 46, 1088–1093. [Google Scholar] [CrossRef]
- Acuña, C.A.; Martínez, E.J.; Zilli, A.L.; Brugnoli, E.A.; Espinoza, F.; Marcón, F.; Urbani, M.H.; Quarin, C.L. Reproductive systems in Paspalum: Relevance for germplasm collection and conservation, breeding techniques, and adoption of released cultivars. Front. Plant Sci. 2019, 10, 1377. [Google Scholar] [CrossRef]
- Simeão, R.M.; Resende, M.D.V.; Alves, R.S.; Pessoa-Filho, M.; Azevedo, A.L.S.; Jones, C.S.; Pereira, J.F.; Machado, J.C. Genomic selection in tropical forage grasses: Current status and future applications. Front. Plant Sci. 2021, 12, 665195. [Google Scholar] [CrossRef]
- Nassar, N.M.A.; Vieira, M.A.R.; Vieira, C.; Gratapaglia, D. Evidence of apomixis in cassava (Manihot esculenta Crantz). Genet. Mol. Biol 1998, 21, 527–530. [Google Scholar] [CrossRef]
- Carman, J.G.; Jamison, M.; Elliott, E.; Dwivedi, K.K.; Naumova, T.N. Apospory appears to accelerate onset of meiosis and sexual embryo sac formation in sorghum ovules. BMC Plant Biol. 2011, 11, 9. [Google Scholar] [CrossRef]
- Voronova, O.N.; Babro, A.A. Apospory in Helianthus ciliaris DC (Asteraceae). Int. J. Plant. Reprod. Biol. 2019, 11, 66–69. [Google Scholar] [CrossRef]
- Menéndez, A.; Bianchi, M.B.; Picardi, L.A.; Nestares, G.M.; Ochogavía, A.C. Developmental variability in advanced megagametogenesis and embryogenesis in cultivars of sunflower (Helianthus annuus L.). Crop Sci. 2022, 62, 1024–1036. [Google Scholar] [CrossRef]
- Ozias-Akins, P.; Lubbers, E.L.; Hanna, W.W.; McNay, J.W. Transmission of the apomictic mode of reproduction in Pennisetum: Co-inheritance of the trait and molecular markers. Theor. Appl. Genet. 1993, 85, 632–638. [Google Scholar] [CrossRef]
- Leblanc, O.; Grimanelli, D.; González-de-León, D.; Savidan, Y. Detection of the apomictic mode of reproduction in maize-Tripsacum hybrids using maize RFLP markers. Theoret. Appl. Genet. 1995, 90, 1198–1203. [Google Scholar] [CrossRef] [PubMed]
- Peel, M.D.; Carman, J.G.; Liu, Z.W.; Wang, R.R.C. Meiotic abnormalities in hybrids between wheat and apomictic Elymus rectisetus (Nees in Lehm) A Löve & Connor. Crop Sci. 1997, 37, 724–732. [Google Scholar]
- Wheeler, M.; Slade Lee, L.; Henry, R.J. The reproductive biology and genetic diversity of Potamophila parviflora R. Br. Genet. Resour. Crop Ev. 2001, 48, 483–497. [Google Scholar] [CrossRef]
- Albertini, E.; Barcaccia, G.; Carman, J.G.; Pupilli, F. Did apomixis evolve from sex or was it the other way around? J. Exp. Bot. 2019, 70, 2951–2964. [Google Scholar] [CrossRef]
- Hojsgaard, D.; Hörandl, E. The rise of apomixis in natural plant populations. Front. Plant Sci. 2019, 10, 358. [Google Scholar] [CrossRef]
- Crane, C.F. Classification of apomictic mechanisms. In The Flowering of APOMIXIS: From Mechanisms to Genetic Engineering; Savidan, Y., Carman, J.G., Dresselhaus, T., Eds.; IRD: Marseille, France; European Commission OC VI (FAIR): Brussels, Belgium, 2002; pp. 24–43. [Google Scholar]
- Hand, M.; Koltunow, A. The genetic control of apomixis: Asexual seed formation. Genetics 2014, 197, 441–450. [Google Scholar] [CrossRef]
- Ortiz, J.P.A.; Quarin, C.L.; Pessino, S.C.; Acuña, C.; Martínez, E.J.; Espinoza, F.; Hojsgaard, D.H.; Sartor, M.E.; Cáceres, M.E.; Pupilli, F. Harnessing apomictic reproduction in grasses: What we have learned from Paspalum. Ann. Bot. 2013, 112, 767–787. [Google Scholar] [CrossRef]
- Ortiz, J.P.A.; Pupilli, F.; Acuña, C.A.; Leblanc, O.; Pessino, S.C. How to become an apomixis model: The multifaceted case of Paspalum. Genes 2020, 11, 974. [Google Scholar] [CrossRef]
- Urbani, M.H.; Quarin, C.L.; Espinoza, F.; Penteado, M.I.O.; Rodrigues, I.F. Cytogeography and reproduction of the Paspalum simplex polyploid complex. Plant Syst. Evol. 2002, 236, 99–105. [Google Scholar] [CrossRef]
- Daurelio, L.D.; Espinoza, F.; Quarin, C.L.; Pessino, S.C. Genetic diversity in sexual diploid and apomictic tetraploid populations of Paspalum notatum situated in sympatry or allopatry. Plant Syst. Evol. 2004, 244, 189–199. [Google Scholar] [CrossRef]
- Sartor, M.E.; Quarin, C.L.; Urbani, M.H.; Espinoza, F. Ploidy levels and reproductive behaviour in natural populations of five Paspalum species. Plant Syst. Evol. 2011, 293, 31–41. [Google Scholar] [CrossRef]
- Siena, L.A.; Sartor, M.E.; Espinoza, F.; Quarin, C.L.; Ortiz, J.P.A. Genetic and embryological evidences of apomixis at the diploid level in Paspalum rufum support recurrent auto-polyploidization in the species. Sex. Plant Reprod. 2008, 21, 205–215. [Google Scholar] [CrossRef]
- Quarin, C.L.; Espinoza, F.; Martínez, E.J.; Pessino, S.C.; Bovo, O.A. A rise of ploidy level induces the expression of apomixis in Paspalum notatum. Sex Plant Reprod. 2001, 13, 243–249. [Google Scholar] [CrossRef]
- Stein, J.; Quarin, C.L.; Martínez, E.J.; Pessino, S.C.; Ortiz, J.P.A. Tetraploid races of Paspalum notatum show polysomic inheritance and preferential chromosome pairing around the apospory-controlling locus. Theor. Appl. Genet. 2004, 109, 186–191. [Google Scholar] [CrossRef] [PubMed]
- Stein, J.; Pessino, S.C.; Martínez, E.J.; Rodríguez, M.P.; Siena, L.A.; Quarin, C.L.; Ortiz, J.P.A. A genetic map of tetraploid Paspalum notatum Flügge (bahiagrass) based on single-dose molecular markers. Mol. Breed. 2007, 20, 153–166. [Google Scholar] [CrossRef]
- Podio, M.; Rodríguez, M.P.; Felitti, S.; Stein, J.; Martínez, E.; Siena, L.A.; Quarin, C.L.; Pessino, S.C.; Ortiz, J.P.A. Sequence characterization, in silico mapping and cytosine methylation analysis of markers linked to apospory in Paspalum notatum. Genet. Mol. Biol. 2012, 35, 827–837. [Google Scholar] [CrossRef]
- Podio, M.; Cáceres, M.E.; Samoluk, S.; Seijo, J.G.; Pessino, S.C.; Ortiz, J.P.A.; Pupilli, F. A methylation status analysis of the apomixis-specific region in Paspalum spp. suggests an epigenetic control on parthenogenesis. J. Exp. Bot. 2014, 65, 6411–6424. [Google Scholar] [CrossRef]
- Siena, L.A.; Sartor, M.E.; Quarin, C.L.; Espinoza, F.; Ortiz, J.P.A. Transference of wheat expressed sequence tag-simple sequence repeats to Paspalum species and cross-species amplification of Paspalum notatum simple sequence repeats: Potential use in phylogenetic analysis and mapping. Crop Sci. 2013, 54, 240–254. [Google Scholar] [CrossRef]
- Pessino, S.C.; Espinoza, F.; Martínez, E.J.; Ortiz, J.P.A.; Valle, E.M.; Quarin, C.L. Isolation of cDNA clones differentially expressed in flowers of apomictic and sexual Paspalum notatum. Hereditas 2001, 134, 35–42. [Google Scholar] [CrossRef]
- Laspina, N.V.; Vega, T.; Martelotto, L.; Stein, J.; Podio, M.; Ortiz, J.P.A.; Echenique, V.; Quarin, C.L.; Pessino, S.C. Gene expression analysis at the onset of aposporous apomixis in Paspalum notatum. Plant Mol. Biol. 2008, 67, 615–628. [Google Scholar] [CrossRef]
- Ortiz, J.P.A.; Revale, S.; Siena, L.A.; Podio, M.; Delgado, L.; Stein, J.; Leblanc, O.; Pessino, S.C. A reference floral transcriptome of sexual and apomictic Paspalum notatum. BMC Genom. 2017, 18, 318. [Google Scholar] [CrossRef] [PubMed]
- Ortiz, J.P.A.; Leblanc, O.; Rohr, C.; Grisolia, M.; Siena, L.A.; Podio, M.; Colono, C.M.; Azzaro, C.A.; Pessino, S.C. Small RNA-seq reveals novel regulatory components for apomixis in Paspalum notatum. BMC Genom. 2019, 20, 487. [Google Scholar] [CrossRef] [PubMed]
- Podio, M.; Colono, C.; Siena, L.; Ortiz, J.P.A.; Pessino, S.C. A study of the heterochronic sense/antisense RNA representation in florets of sexual and apomictic Paspalum notatum. BMC Genom. 2021, 22, 185. [Google Scholar] [CrossRef]
- Siena, L.A.; Ortiz, J.P.A.; Leblanc, O.; Pessino, S. PNTGS1-like expression during reproductive development supports a role for RNA methyltransferases in the aposporous pathway. BMC Plant Biol. 2014, 14, 297. [Google Scholar] [CrossRef]
- Colono, C.; Ortiz, J.P.A.; Permingeat, H.R.; Souza Canada, E.D.; Siena, L.A.; Spoto, N.; Galdeano, F.; Espinoza, F.; Leblanc, O.; Pessino, S.C. A plant-specific TGS1 homolog influences gametophyte development in sexual tetraploid Paspalum notatum ovules. Front. Plant Sci. 2019, 10, 1566. [Google Scholar] [CrossRef] [PubMed]
- Zhu, Y.; Qi, C.; Cao, W.-Q.; Yeldandi, A.V.; Rao, M.S.; Reddy, J.K. Cloning and characterization of PIMT, a protein with a methyltransferase domain, which interacts with and enhances nuclear receptor coactivator PRIP function. Proc. Natl. Acad. Sci. USA 2001, 98, 10380–10385. [Google Scholar] [CrossRef]
- Misra, P.; Qi, C.; Yu, S.; Shah, S.H.; Cao, W.Q.; Rao, M.S.; Thimmapaya, B.; Zhu, Y.; Reddy, J.K. Interaction of PIMT with transcriptional coactivators CBP, p300, and PBP differential role in transcriptional regulation. J. Biol. Chem. 2002, 277, 20011–20019. [Google Scholar] [CrossRef]
- Viswakarma, N.; Jia, Y.; Bai, L.; Vluggens, A.; Borensztajn, J.; Xu, J.; Reddy, J.K. Coactivators in PPAR-Regulated gene expression. PPAR Res. 2010, 2010, 250126. [Google Scholar] [CrossRef]
- Mouaikel, J.; Verheggen, C.; Bertrand, E.; Tazi, J.; Bordonné, R. Hypermethylation of the cap structure of both yeast snRNAs and snoRNAs requires a conserved methyltransferase that is localized to the nucleolus. Mol. Cell 2002, 9, 891–901. [Google Scholar] [CrossRef]
- Colau, G.; Thiry, M.; Leduc, V.; Bordonné, R.; Lafontaine, D.L. The small nucle(ol)ar RNA cap trimethyltransferase is required for ribosome synthesis and intact nucleolar morphology. Mol. Cell. Biol. 2004, 24, 7976–7986. [Google Scholar] [CrossRef][Green Version]
- Martínez, I.; Hayes, K.E.; Barr, J.A.; Harold, A.D.; Xie, M.; Bukhari, S.I.A.; Vasudevan, S.; Steitz, J.A.; DiMaio, D. An exportin-1–dependent microRNA biogenesis pathway during human cell quiescence. Proc. Natl. Acad. Sci. USA 2017, 114, E4961–E4970. [Google Scholar] [CrossRef] [PubMed]
- Qiu, Z.R.; Shuman, S.; Schwer, B. An essential role for trimethylguanosine RNA caps in Saccharomyces cerevisiae meiosis and their requirement for splicing of SAE3 and PCH2 meiotic pre-mRNAs. Nucleic Acids Res. 2011, 39, 5633–5646. [Google Scholar] [CrossRef] [PubMed]
- Komonyi, O.; Pápai, G.; Enunlu, I.; Muratoglu, S.; Pankotai, T.; Kopitova, D.; Maróy, P.; Udvardy, A.; Boros, I. DTL, the Drosophila homolog of PIMT/Tgs1 nuclear receptor coactivator-interacting protein/RNA methyltransferase, has an essential role in development. J. Biol. Chem. 2005, 280, 12397–12404. [Google Scholar] [CrossRef] [PubMed]
- Cheng, L.; Zhang, Y.; Zhang, Y.; Chen, T.; Xu, Y.-Z.; Rong, Y.S. Loss of the RNA trimethylguanosine cap is compatible with nuclear accumulation of spliceosomal snRNAs but not pre-mRNA splicing or snRNA processing during animal development. PLoS Genet. 2020, 16, e1009098. [Google Scholar] [CrossRef] [PubMed]
- Jia, Y.; Viswakarma, N.; Crawford, S.E.; Sarkar, J.; Rao, S.M.; Karpus, W.J.; Kanwar, Y.S.; Zhu, Y.J.; Reddy, J.K. Early embryonic lethality of mice with disrupted transcription cofactor PIMT/NCOA6IP/Tgs1 gene. Mech. Dev. 2012, 129, 193–207. [Google Scholar] [CrossRef]
- Yu, H.; Tsuchida, M.; Ando, M.; Hashizaki, T.; Shimada, A.; Takahata, S.; Murakami, Y. Trimethylguanosine synthase 1 (TGS1) is involved in Swi6/HP1-independent siRNA production and establishment of heterochromatin in fission yeast. Genes Cells 2021, 26, 203–218. [Google Scholar] [CrossRef]
- Bach-Pages, M.; Homma, F.; Kourelis, J.; Kaschani, F.; Mohammed, S.; Kaiser, M.; van der Hoorn, R.A.L.; Castello, A.; Preston, G.M. Discovering the RNA-Binding proteome of plant leaves with an improved RNA interactome capture method. Biomolecules 2020, 10, 661. [Google Scholar] [CrossRef]
- Mancini, M.; Permingeat, H.; Colono, C.; Siena, L.; Pupilli, F.; Azzaro, C.; Alencar Dusi, D.M.; Tavares de Campos Carneiro, V.; Podio, M.; Seijo, J.G.; et al. The MAP3K-coding QUI-GON JINN (QGJ) gene is essential to the formation of unreduced embryo sacs in Paspalum. Front. Plant Sci. 2018, 9, 1547. [Google Scholar] [CrossRef]
- Zhai, J.; Zhan, H.; Arikit, S.; Huang, K.; Nan, G.L.; Walbot, V.; Meyers, B.C. Spatiotemporally dynamic, cell-type-dependent premeiotic and meiotic phasiRNAs in maize anthers. Proc. Natl. Acad. Sci. USA 2015, 112, 3146–3151. [Google Scholar] [CrossRef]
- Schmidt, A. Controlling apomixis: Shared features and distinct characteristics of gene regulation. Genes 2020, 11, 329. [Google Scholar] [CrossRef]
- Gao, J.; Wallis, J.G.; Jewell, J.B.; Browse, J. Trimethylguanosine synthase 1 (TGS1) is essential for chilling tolerance. Plant Physiol. 2017, 174, 1713–1727. [Google Scholar] [CrossRef] [PubMed]
- Bach-Pages, M.; Castello, A.; Preston, G.M. Plant RNA interactome capture: Revealing the plant RBPome. Trends Plant Sci. 2017, 22, 449–451. [Google Scholar] [CrossRef] [PubMed]
- Reichel, M.; Liao, Y.; Rettel, M.; Ragan, C.; Evers, M.; Alleaume, A.-M.; Horos, R.; Hentze, M.W.; Preiss, T.; Millar, A.A. In planta determination of the mRNA-binding proteome of Arabidopsis etiolated seedlings. Plant Cell 2016, 28, 2435–2452. [Google Scholar] [CrossRef] [PubMed]
- Choquet, Y.; Zito, F.; Wostriko, K.; Wollman, F.A. Cytochrome f translation in Chlamydomonas chloroplast is autoregulated by its carboxyl-terminal domain. Plant Cell 2003, 15, 1443–1454. [Google Scholar] [CrossRef]
- Yosef, I.; Irihimovitch, V.; Knopf, J.A.; Cohen, I.; Orr-Dahan, I.; Nahum, E.; Keasar, C.; Shapira, M. RNA binding activity of the ribulose-1,5-bisphosphate carboxylase/oxygenase large subunit from Chlamydomonas reinhardtii. J. Biol. Chem. 2004, 279, 10148–10156. [Google Scholar] [CrossRef]
- Cohen, I.; Knopf, J.A.; Irihimovitch, V.; Shapira, M. A proposed mechanism for the inhibitory effects of oxidative stress on Rubisco assembly and its subunit expression. Plant Physiol. 2005, 137, 738–746. [Google Scholar] [CrossRef]
- Cohen, I.; Sapir, Y.; Shapira, M. A conserved mechanism controls translation of Rubisco large subunit in different photosynthetic organisms. Plant Physiol. 2006, 141, 1089–1097. [Google Scholar] [CrossRef]
- Godoy Herz, M.A.; Kornblihtt, A.R. Alternative splicing and transcription elongation in plants. Front. Plant Sci. 2019, 10, 309. [Google Scholar] [CrossRef]
- Arikit, S.; Zhai, J.; Meyers, B.C. Biogenesis and function of rice small RNAs from non-coding RNA precursors. Curr. Opin. Plant Biol. 2013, 16, 170–179. [Google Scholar] [CrossRef]
- Xia, R.; Chen, C.; Pokhrel, S.; Ma, W.; Huang, K.; Patel, P.; Wang, F.; Xu, J.; Liu, Z.; Li, J.; et al. 24-nt reproductive phasiRNAs are broadly present in angiosperms. Nat. Commun. 2019, 10, 627. [Google Scholar] [CrossRef]
- Podio, M.; Siena, L.A.; Hosjgaard, D.; Stein, J.; Quarin, C.L.; Ortiz, J.P.A. Evaluation of meiotic abnormalities and pollen viability in aposporous and sexual tetraploid Paspalum notatum (Poaceae). Plant Syst. Evol. 2012, 298, 1625–1633. [Google Scholar] [CrossRef]
- Carmichael, J.B.; Provost, P.; Ekwall, K.; Hobman, T.C. AGO1 and DCR1, two core components of the RNA interference pathway, functionally diverge from RDP1 in regulating cell cycle events in Schizosaccharomyces pombe. Mol. Biol. Cell 2004, 15, 1425–1435. [Google Scholar] [CrossRef] [PubMed]
- Wuest, S.E.; Vijverberg, K.; Schmidt, A.; Weiss, M.; Gheyselinck, J.; Lohr, M.; Wellmer, F.; Rahnenführer, J.; von Mering, C.; Grossniklaus, U. Arabidopsis female gametophyte gene expression map reveals similarities between plants and animal gametes. Curr. Biol. 2010, 20, 506–512. [Google Scholar] [CrossRef] [PubMed]
- Atallah, N.M.; Vitek, O.; Gaiti, F.; Tanurdzic, M.; Banks, J.A. Sex determination in Ceratopteris richardii is accompanied by transcriptome changes that drive epigenetic reprogramming of the young gametophyte. G3 Genes Genomes Genet. 2018, 8, 2205–2214. [Google Scholar] [CrossRef] [PubMed]
- Ortiz, J.P.A.; Pessino, S.C.; Leblanc, O.; Hayward, M.D.; Quarin, C.L. Genetic fingerprint for determinig the mode of reproduction in Paspalum notatum, a subtropical apomictic forage grass. Theor. Appl. Genet. 1997, 95, 850–856. [Google Scholar] [CrossRef]
- Quarin, C.L.; Urbani, M.H.; Blount, A.R.; Martínez, E.J.; Hack, C.M.; Burton, G.W.; Quesenberry, K.H. Registration of Q4188 and Q4205, sexual tetraploid germplasm lines of bahiagrass. Crop Sci. 2003, 43, 745–746. [Google Scholar] [CrossRef]
- Felitti, S.A.; Seijo, J.G.; González, A.M.; Podio, M.; Laspina, N.V.; Siena, L.; Ortiz, J.P.A.; Pessino, S.C. Expression of LORELEI-like genes in aposporous and sexual Paspalum notatum plants. Plant Mol. Biol. 2011, 77, 337–354. [Google Scholar] [CrossRef]
- Podio, M.; Felitti, S.A.; Siena, L.A.; Delgado, L.; Mancini, M.; Seijo, G.; González, A.M.; Pessino, S.C.; Ortiz, J.P.A. Characterization and expression analysis of SOMATIC EMBRYOGENESIS RECEPTOR KINASE (SERK) genes in sexual and apomictic Paspalum notatum. Plant Mol. Biol. 2014, 84, 479–495. [Google Scholar] [CrossRef]
- Ochogavía, A.; Galla, G.; Seijo, J.G.; González, A.M.; Bellucci, M.; Pupilli, F.; Barcaccia, G.; Albertini, E.; Pessino, S.C. Structure, target-specificity and expression of PN_LNC_N13, a lncRNA differentially expressed in apomictic and sexual Paspalum notatum. Plant Mol. Biol. 2018, 96, 53–67. [Google Scholar] [CrossRef]
- Xie, S.; Zhu, Q.; Qu, W.; Xu, Z.; Liu, X.; Li, X.; Li, S.; Ma, W.; Miao, Y.; Zhang, L.; et al. sRNAPrimerDB: Comprehensive primer design and search web service for small non-coding RNAs. Bioinformatics 2018, 35, 1566–1572. [Google Scholar] [CrossRef]







| Transcript (Global Assembly) * | Reads Apo * | Reads Sex * | Annotation | p-Value for Differential Expression | FDR for Differential Expression |
|---|---|---|---|---|---|
| i10779 | 139 | 458 | Tetraketide alpha-pyrone reductase 1 | 8.99 × 10−38 | 1.28 × 10−34 |
| i22630 | 144 | 377 | Strictosidine synthase | 2.21 × 10−23 | 1.18 × 10−20 |
| i23387 | 490 | 235 | Chlorophyll a-b binding protein 1B-21 | 2.98 × 10−22 | 1.50 × 10−19 |
| i11548 | 729 | 411 | Chlorophyll a-b binding protein CP26 | 8.11 × 10−22 | 3.99 × 10−19 |
| i22343 | 164 | 397 | LTP_2 Probable lipid transfer | 1.84 × 10−21 | 8.95 × 10−19 |
| i24572 | 24 | 105 | Dehydrin DHN1 | 8.14 × 10−16 | 2.42 × 10−13 |
Publisher’s Note: MDPI stays neutral with regard to jurisdictional claims in published maps and institutional affiliations. |
© 2022 by the authors. Licensee MDPI, Basel, Switzerland. This article is an open access article distributed under the terms and conditions of the Creative Commons Attribution (CC BY) license (https://creativecommons.org/licenses/by/4.0/).
Share and Cite
Colono, C.M.; Podio, M.; Siena, L.A.; Ortiz, J.P.A.; Leblanc, O.; Pessino, S.C. Spotting the Targets of the Apospory Controller TGS1 in Paspalum notatum. Plants 2022, 11, 1929. https://doi.org/10.3390/plants11151929
Colono CM, Podio M, Siena LA, Ortiz JPA, Leblanc O, Pessino SC. Spotting the Targets of the Apospory Controller TGS1 in Paspalum notatum. Plants. 2022; 11(15):1929. https://doi.org/10.3390/plants11151929
Chicago/Turabian StyleColono, Carolina Marta, Maricel Podio, Lorena Adelina Siena, Juan Pablo A. Ortiz, Olivier Leblanc, and Silvina Claudia Pessino. 2022. "Spotting the Targets of the Apospory Controller TGS1 in Paspalum notatum" Plants 11, no. 15: 1929. https://doi.org/10.3390/plants11151929
APA StyleColono, C. M., Podio, M., Siena, L. A., Ortiz, J. P. A., Leblanc, O., & Pessino, S. C. (2022). Spotting the Targets of the Apospory Controller TGS1 in Paspalum notatum. Plants, 11(15), 1929. https://doi.org/10.3390/plants11151929

