Population Dynamics of Wide Compatibility System and Evaluation of Intersubspecific Hybrids by indica-japonica Hybridization in Rice
Abstract
:1. Introduction
2. Results
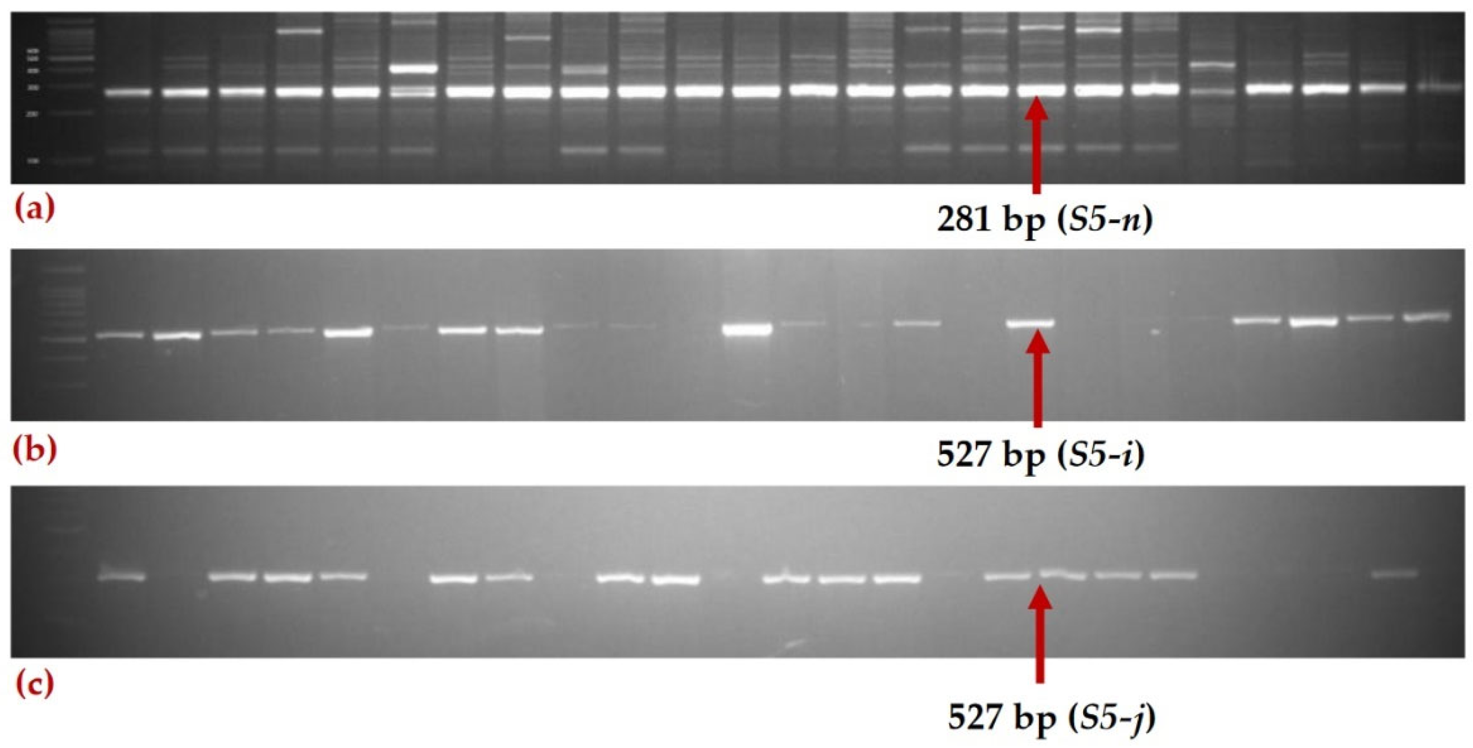
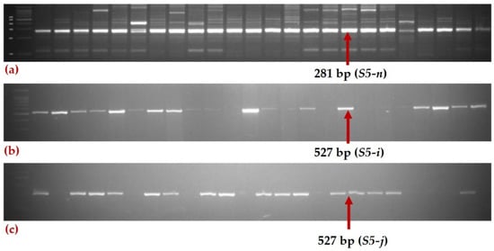
2.1. Marker-Assisted Identification of Wide Compatible Varieties (WCVs)
2.2. Variation in Morphological Traits among the Wide Compatible Varieties
2.3. Relationship among Wide Compatible Varieties Based on Agro-Morphological Traits
2.4. Genotypic Variation among the Wide Compatible Varieties
2.5. Population Structure
2.6. Graphical Clustering Based on Genetic Distance
2.7. Performance of Intersubspecific Hybrids across the Locations
2.8. Multi-Locational Evaluation of Hybrids Using GGE Biplot
3. Discussion
4. Materials and Methods
4.1. Molecular Screening of Germplasm for Wide Compatibility Gene (S5-n)
4.2. Phenotyping
4.3. Genotyping
4.4. Diversity Analysis
4.5. Determination of Population Structure
4.6. Development and Evaluation of Inter Sub-Species Hybrids across Three Locations
5. Conclusions
Supplementary Materials
Author Contributions
Funding
Institutional Review Board Statement
Informed Consent Statement
Data Availability Statement
Acknowledgments
Conflicts of Interest
References
- Jinks, J.L.; Mather, K. Stability in development of heterozygotes and homozygotes. Proc. R. Soc. Lond. Ser. B Biol. Sci. 1955, 143, 561–578. [Google Scholar] [CrossRef]
- Lin, S.C.; Yuan, L.P. Hybrid rice breeding in China. In Innovative Approaches to Rice Breeding; International Rice Research Institute: Manila, Philippines, 1980; pp. 35–51. [Google Scholar]
- Shidenur, S.; Singh, V.J.; Vinod, K.K.; Krishnan, S.G.; Ghritlahre, S.K.; Bollinedi, H.; Ellur, R.K.; Dixit, B.K.; Singh, B.; Nagarajan, M.; et al. Molecular detection of WA-CMS restorers from tropical japonica-derived lines, their evaluation for fertility restoration and adaptation. Plant Breed. 2019, 138, 553–567. [Google Scholar] [CrossRef]
- Singh, V.J.; Bhowmick, P.K.; Vinod, K.K.; Krishnan, S.G.; Nandakumar, S.; Kumar, A.; Kumar, M.; Shekhawat, S.; Dixit, B.K.; Malik, A.; et al. Population Structure of a Worldwide Collection of Tropical Japonica Rice Indicates Limited Geographic Differentiation and Shows Promising Genetic Variability Associated with New Plant Type. Genes 2022, 13, 484. [Google Scholar] [CrossRef] [PubMed]
- Yuan, L.P. Increasing yield potential in rice by exploitation of heterosis. In Hybrid Rice Technology: New Developments and Future Prospects; Virmani, S.S., Ed.; International Rice Research Institute: Los Baños, Philippines, 1994; pp. 1–6. [Google Scholar]
- Silva, F.; Stevens, C.J.; Weisskopf, A.; Castillo, C.; Qin, L.; Bevan, A.; Fuller, D.Q. Modelling the geographical origin of rice cultivation in Asia using the rice archaeological database. PLoS ONE 2015, 10, e0137024. [Google Scholar] [CrossRef]
- Gutaker, R.M.; Groen, S.C.; Bellis, E.S.; Choi, J.Y.; Pires, I.S.; Bocinsky, R.K.; Slayton, E.R.; Wilkins, O.; Castillo, C.C.; Negrão, S.; et al. Genomic history and ecology of the geographic spread of rice. Nat. Plants 2020, 6, 492–502. [Google Scholar] [CrossRef] [PubMed]
- Ouyang, Y. Reproductive isolation between indica and japonica subspecies. In Genetics and Genomics of Rice. Plant Genetics and Genomics: Crops and Models; Zhang, Q., Wing, R., Eds.; Springer: New York, NY, USA, 2013; Volume 5. [Google Scholar] [CrossRef]
- Yanagihara, S.; Kato, H.; Ikehashi, H. A new locus for multiple alleles causing hybrid sterility between an aus variety and javanica varieties in rice (Oryza sativa L.). Jpn. J. Breed. 1992, 42, 793–801. [Google Scholar] [CrossRef] [Green Version]
- Kostylev, P.I.; Alabushev, A.V.; Krasnova, E.V.; Redkin, A.A.; Kostyle, L.M. A study of F1 rice hybrids from crossing two subspecies: Indica and japonica, in south Russia’s climate. Biosci. Biotechnol. Res. Asia 2017, 14, 209–217. [Google Scholar] [CrossRef]
- Ikehashi, H.; Araki, H. Genetics of F1 sterility in remote crosses of rice. In Rice Genetics I: (In 2 Parts), Proceedings of the International Rice Genetics Symposium; International Rice Research Institute: Manila, Philippines, 1985; pp. 119–130. [Google Scholar]
- Chen, J.; Ding, J.; Ouyang, Y.; Du, H.; Yang, J.; Cheng, K.; Zhao, J.; Qiu, S.; Zhang, X.; Yao, J.; et al. A triallelic system of S5 is a major regulator of the reproductive barrier and compatibility of indica–japonica hybrids in rice. Proc. Nat. Acad. Sci. USA 2008, 105, 11436–11441. [Google Scholar] [CrossRef] [Green Version]
- Ikehashi, H.; Araki, H. Varietal screening of compatibility types revealed in F1 fertility of distant crosses in rice. Jpn. J. Breed. 1984, 34, 304–313. [Google Scholar] [CrossRef] [Green Version]
- Sundaram, R.M.; Sakthivel, K.; Hariprasad, A.S.; Ramesha, M.S.; Viraktamath, B.C.; Neeraja, C.N.; Balachandran, S.M.; Shobha Rani, N.; Revathi, P.; Sandhya, P.; et al. Development and validation of a PCR-based functional marker system for the major wide-compatible gene locus S5 in rice. Mol. Breed. 2010, 26, 719–727. [Google Scholar] [CrossRef]
- Revathi, S.; Sakthivel, K.; Manonmani, S.; Umadevi, M.; Ushakumari, R.; Robin, S. Genetics of wide compatible gene and variability studies in rice (Oryza sativa L.). J. Genet. 2016, 95, 463–467. [Google Scholar] [CrossRef] [PubMed]
- Mackill, D.J.; Lei, X. Genetic variation for traits related to temperate adaptation of rice cultivars. Crop Sci. 1997, 37, 1340–1346. [Google Scholar] [CrossRef]
- Shidenur, S.; Singh, V.J.; Vinod, K.K.; Krishnan, S.G.; Ghritlahre, S.K.; Bollinedi, H.; Dixit, B.K.; Ellur, R.K.; Nagarajan, M.; Singh, A.K.; et al. Enhanced grain yield in rice hybrids through complementation of fertility restoration by Rf3 and Rf4 genes as revealed by multi-location evaluation of tropical japonica derived rice (Oryza sativa L.) hybrids. Plant Breed. 2020, 139, 743–753. [Google Scholar] [CrossRef]
- Kumar, A.; Bhowmick, P.K.; Singh, V.J.; Malik, M.; Gupta, A.K.; Seth, R.; Nagarajan, M.; Krishnan, S.G.; Singh, A.K. Marker-assisted identification of restorer gene (s) in iso-cytoplasmic restorer lines of WA cytoplasm in rice and assessment of their fertility restoration potential across environments. Physiol. Mol. Biol. Plants 2017, 23, 891–909. [Google Scholar] [CrossRef] [PubMed]
- Huang, M. The decreasing area of hybrid rice production in China: Causes and potential effects on Chinese rice self-sufficiency. Food Secur. 2021, 14, 267–272. [Google Scholar] [CrossRef]
- Pathak, H.; Tripathi, R.; Jambhulkar, N.N.; Bisen, J.P.; Panda, B.B. Eco-regional rice farming for enhancing productivity, profitability and sustainability. In NRRI Research Bulletin No. 22; ICAR-National Rice Research Institute: Cuttack, India, 2020; p. 28. [Google Scholar]
- Rout, D.; Jena, D.; Singh, V.; Kumar, M.; Arsode, P.; Singh, P.; Katara, J.L.; Samantaray, S.; Verma, R. Hybrid rice research: Current status and prospects. In Recent Advances in Rice Research; Ansari, M.R., Ed.; Intech Open: London, UK, 2020; pp. 1–23. [Google Scholar] [CrossRef]
- Vijayakumar, C.H.M.; Ahmed, M.I.; Viraktamath, B.C.; Ramesha, M.S. Identification and utilisation of wide compatibility gene in rice. Indian J. Genet. Plant Breed. 1999, 59, 139–148. [Google Scholar]
- Li, J.; Zhou, J.; Hang, Y.; Yang, Y.; Pu, Q.; Tao, D. New insights into the nature of interspecific hybrid sterility in rice. Front. Plant Sci. 2020, 11, 1445. [Google Scholar] [CrossRef]
- Revathi, P.; Singh, A.K.; Sundaram, R.M.; Senguttuvel, P.; Kemparaju, K.B.; Hariprasad, A.S.; Viraktamath, B.C. Molecular screening for the presence of wide compatibility gene S5 neutral allele in the parental lines of hybrid rice. Indian J. Genet. Plant Breed. 2010, 70, 373. [Google Scholar]
- Franco, J.; Crossa, J.; Ribaut, J.M.; Bertran, J.; Warburton, M.L.; Khairallah, M. A method for combining molecular markers and phenotypic attributes for classifying plant genotypes. Theor. Appl. Genet. 2001, 103, 944–952. [Google Scholar] [CrossRef]
- Shahidullah, S.M.; Hanafi, M.M.; Ashrafuzzaman, M.; Ismail, M.R.; Khair, A. Genetic diversity in grain quality and nutrition of aromatic rices. Afr. J. Biotech. 2009, 8, 1238–1246. [Google Scholar]
- Kumar, A.; Singh, V.J.; Krishnan, S.G.; Vinod, K.K.; Bhowmick, P.K.; Nagarajan, M.; Ellur, R.K.; Bollinedi, H.; Singh, A.K. WA-CMS-based iso-cytoplasmic restorers derived from commercial rice hybrids reveal distinct population structure and genetic divergence towards restorer diversification. 3 Biotech 2019, 9, 299. [Google Scholar] [CrossRef] [PubMed]
- Mazid, M.S.; Rafii, M.Y.; Hanafi, M.M.; Rahim, H.A.; Shabanimofrad, M.; Latif, M.A. Agro-morphological characterization and assessment of variability, heritability, genetic advance and divergence in bacterial blight resistant rice genotypes. S. Afr. J. Bot. 2013, 86, 15–22. [Google Scholar] [CrossRef] [Green Version]
- Hashimoto, Z.; Mori, N.; Kawamura, M.; Ishii, T.; Yoshida, S.; Ikegami, M.; Takumi, S.; Nakamura, C. Genetic diversity and phylogeny of Japanese sake-brewing rice as revealed by AFLP and nuclear and chloroplast SSR markers. Theor. Appl. Genet. 2004, 109, 1586–1596. [Google Scholar] [CrossRef] [PubMed]
- Song, M.T.; Lee, J.H.; Lee, S.B.; Cho, Y.S.; Ku, J.H.; Seo, K.I.; Choi, S.H.; Hwang, H.G. Genetic diversity of Korean rice breeding parents as measured by DNA fingerprinting with simple sequence repeat (SSR) markers. Korean J. Plant Res. 2003, 6, 16–26. [Google Scholar]
- Singh, V.J.; Gampala, S.; Chakraborti, S.K.; Singh, A.K. Molecular characterization and genetic diversity analysis of rice varieties and landraces based on SSR markers. Ecoscan 2015, 9, 363–368. [Google Scholar]
- Cho, Y.G.; Ishii, T.; Temnykh, S.; Chen, X.; Lipovich, L.; McCouch, S.R.; Park, W.D.; Ayres, N.; Cartinhour, S. Diversity of microsatellites derived from genomic libraries and GenBank sequences in rice (Oryza sativa L.). Theor. Appl. Genet. 2000, 100, 713–722. [Google Scholar] [CrossRef]
- Yu, G.Q.; Bao, Y.; Shi, C.H.; Dong, C.Q.; Ge, S. Genetic diversity and population differentiation of Liaoning weedy rice detected by RAPD and SSR markers. Biochem. Genet. 2005, 43, 261–270. [Google Scholar] [CrossRef]
- Zhang, P.; Li, J.; Li, X.; Liu, X.; Zhao, X.; Lu, Y. Population structure and genetic diversity in a rice core collection (Oryza sativa L.) investigated with SSR markers. PLoS ONE 2011, 6, e27565. [Google Scholar] [CrossRef] [Green Version]
- Sruthi, K.; Divya, B.; Senguttuvel, P.; Revathi, P.; Kemparaju, K.B.; Koteswararao, P.; Sundaram, R.M.; Singh, V.J.; Kumar, E.R.; Bhowmick, P.K.; et al. Evaluation of genetic diversity of parental lines for development of heterotic groups in hybrid rice (Oryza sativa L.). J. Plant Biochem. Biotechnol. 2020, 29, 236–252. [Google Scholar] [CrossRef]
- Pritchard, J.K.; Stephens, M.; Donnelly, P. Inference of population structure using multilocus genotype data. Genetics 2000, 155, 945–959. [Google Scholar] [CrossRef]
- Novembre, J. Pritchard, Stephens, and Donnelly on population structure. Genetics 2016, 204, 391–393. [Google Scholar] [CrossRef] [PubMed]
- Evanno, G.; Regnaut, S.; Goudet, J. Detecting the number of clusters of individuals using the software STRUCTURE: A simulation study. Mol. Ecol. 2005, 14, 2611–2620. [Google Scholar] [CrossRef] [PubMed] [Green Version]
- Vanniarajan, C.; Vinod, K.K.; Pereira, A. Molecular evaluation of genetic diversity and association studies in rice (Oryza sativa L.). J. Genet. 2012, 91, 9–19. [Google Scholar] [CrossRef] [PubMed]
- Yu, H.; Li, Q.; Li, Y.; Yang, H.; Lu, Z.; Wu, J.; Zhang, Z.; Shahid, M.Q.; Liu, X. Genomics analyses reveal unique classification, population structure and novel allele of neo-tetraploid rice. Rice 2021, 14, 16. [Google Scholar] [CrossRef] [PubMed]
- Krishnan, G.S.; Singh, A.K.; Waters, D.L.; Henry, R.J. Molecular markers for harnessing heterosis. In Molecular Markers in Plants; Henry, R.J., Ed.; Wiley-Blackwell: Hoboken, NJ, USA, 2012; pp. 67–80. [Google Scholar] [CrossRef]
- Yadav, S.; Singh, A.; Singh, M.R.; Goel, N.; Vinod, K.K.; Mohapatra, T.; Singh, A.K. Assessment of genetic diversity in Indian rice germplasm (Oryza sativa L.): Use of random versus trait linked microsatellite markers. J. Genet. 2013, 92, 545–557. [Google Scholar] [CrossRef]
- Prabhu, K.V.; Singh, A.K.; Basavaraj, S.H.; Cherukuri, D.P.; Charpe, A.; Gopala Krishnan, S.; Gupta, S.K.; Joseph, M.; Koul, S.; Mohapatra, T.; et al. Marker assisted selection for biotic stress resistance in wheat and rice. Indian J. Genet. 2009, 69, 305–314. [Google Scholar]
- Team, R.C.; R: A Language and Environment for Statistical Computing. R Foundation for Statistical Computing, Vienna, Austria. 2020. Available online: https://www.R-project.org/ (accessed on 7 May 2022).
- Liu, K.; Muse, S.V. PowerMarker: An Integrated analysis environment for genetic marker analysis. Bioinformatics 2005, 9, 2128–2129. [Google Scholar] [CrossRef] [Green Version]
- Botstein, D.; White, R.L.; Skolnick, M.; Davis, R.W. Construction of a genetic linkage map in man using restriction fragment length polymorphisms. Am. J. Hum. Genet. 1980, 32, 314–331. [Google Scholar]
- Anderson, J.A.; Churchill, G.A.; Autrique, J.E.; Tanksley, S.D.; Sorrells, M.E. Optimizing parental selection for genetic linkage maps. Genome 1993, 36, 181–186. [Google Scholar] [CrossRef]
- Rogers, J.S. Measures of genetic similarity and genetic distance. In Studies in Genetics VII; University of Texas Press: Austin, TX, USA, 1972; pp. 145–153. [Google Scholar]
- Yeh, F.C.; Yand, R.C.; Boyle, T.J.B. POPGENE, the User-Friendly Shareware for Population Genetic Analysis (Ver.1.32); University of Alberta Press: Edmonton, AB, Canada, 2000. [Google Scholar]
- Earl, D.A.; vonHoldt, B.M. Structure Harvester: A website and program for visualizing STRUCTURE output and implementing the Evanno method. Conserv. Genet. Resour. 2012, 4, 359–361. [Google Scholar] [CrossRef]
- Excoffier, L.; Laval, G.; Schneider, S. Arlequin (version 3.0): An integrated software package for population genetics data analysis. Evol. Bioinform. 2005, 1, 47–50. [Google Scholar] [CrossRef] [Green Version]
- Yan, W.; Kang, M.S. GGE Biplot Analysis—A Graphical Tool for Breeders, Geneticists, and Agronomists; CRC Press: Boca Raton, FL, USA, 2003. [Google Scholar]






| Class | Number | Allelic Frequency | ||
|---|---|---|---|---|
| S5-i | S5-j | S5-n | ||
| indica | 744 | 637 | 2 | 105 |
| Japonica | 188 | 0 | 137 | 51 |
| Basmati/aromaitc | 14 | 13 | 1 | 0 |
| Aus | 4 | 1 | 0 | 3 |
| Source | DFF | PH | PL | NT | FG | UFG | TG | SF (%) | PF (%) | YPP | GL | GW |
|---|---|---|---|---|---|---|---|---|---|---|---|---|
| Location (L) | 94.6 | 8519.1 * | 206.1 * | 189.1 * | 14585.4 * | 265.0 * | 18781.2 * | 33.5 * | 1005.5 | 422.8 * | 0.3 | 0.1 |
| WCVs (V) | 238.5 * | 4216.9 * | 62.8 * | 90.2 * | 10131.4 * | 1715.8 * | 14820.0 * | 261.9 * | 221.8 * | 327.1 * | 10.0 * | 0.8 * |
| L × V | 9.8 * | 26.3 * | 1.8 | 1.8 * | 316.6 * | 52.1 * | 406.8 * | 14.9 * | 13.2 * | 9.7 * | 0.3 * | 0.0 * |
| Mean | 90.1 | 146.2 | 23.6 | 9.5 | 148.9 | 26.9 | 175.8 | 85.1 | 86.4 | 18.6 | 8.7 | 2.5 |
| Min | 78.0 | 80.0 | 10.6 | 3.0 | 20.7 | 2.2 | 56.0 | 31.9 | 58.9 | 4.1 | 5.1 | 1.3 |
| Max | 116.0 | 231.6 | 32.9 | 24.4 | 302.2 | 132.9 | 344.1 | 98.3 | 99.4 | 44.3 | 12.9 | 3.4 |
| CV% | 2.4 | 2.2 | 6.47 | 8.02 | 8.34 | 17.6 | 7.76 | 3.6 | 3.3 | 7.6 | 2.2 | 6.0 |
| Cluster | DFF | PH | PL | NT | FG | UFG | TG | SF (%) | PF (%) | YPP | GL | GW |
|---|---|---|---|---|---|---|---|---|---|---|---|---|
| 1 | 88.31 | 147.76 | 23.32 | 10.70 | 111.23 | 18.53 | 129.77 | 85.77 | 87.30 | 18.15 | 8.98 | 2.54 |
| 2 | 91.40 | 149.57 | 25.11 | 8.93 | 210.16 | 37.42 | 247.58 | 85.22 | 87.02 | 21.84 | 8.81 | 2.43 |
| 3 | 90.42 | 143.01 | 23.11 | 9.00 | 146.90 | 28.85 | 175.75 | 84.02 | 86.07 | 17.56 | 8.49 | 2.53 |
| SE | 0.67 | 2.78 | 0.34 | 0.41 | 4.31 | 1.76 | 5.17 | 0.71 | 0.63 | 0.77 | 0.14 | 0.04 |
| Chromosome | Markers | Allele Number | MAF | GD | PIC | |
|---|---|---|---|---|---|---|
| Range | Mean | |||||
| 1 | 10 | 2–5 | 3.10 | 0.57 | 0.54 | 0.46 |
| 2 | 9 | 2–3 | 2.56 | 0.56 | 0.53 | 0.44 |
| 3 | 11 | 2–3 | 2.73 | 0.67 | 0.44 | 0.36 |
| 4 | 1 | 2 | 2.00 | 0.91 | 0.17 | 0.16 |
| 5 | 9 | 2–4 | 2.78 | 0.67 | 0.46 | 0.39 |
| 6 | 5 | 2–3 | 2.20 | 0.67 | 0.42 | 0.34 |
| 7 | 3 | 2–3 | 2.67 | 0.63 | 0.46 | 0.39 |
| 8 | 8 | 2–5 | 3.00 | 0.60 | 0.51 | 0.44 |
| 10 | 5 | 2–4 | 2.80 | 0.59 | 0.50 | 0.40 |
| 11 | 5 | 2–4 | 2.80 | 0.53 | 0.55 | 0.47 |
| 12 | 2 | 4 | 4.00 | 0.57 | 0.56 | 0.50 |
| Particulars | POP1 | POP2 | ||||
|---|---|---|---|---|---|---|
| CI | CII | CIII | CI | CII | CIII | |
| indica | 3 | 0 | 1 | 18 | 12 | 20 |
| japonica | 9 | 8 | 12 | 3 | 0 | 4 |
| Aus | 0 | 0 | 0 | 0 | 0 | 2 |
| Total members | 12 | 8 | 13 | 21 | 12 | 26 |
| Membership proportion | 0.359 | 0.641 | ||||
| Proportion of admixtures | 0.242 | 0.254 | ||||
| Distance within cluster (He) | 0.466 | 0.38 | ||||
| FST | 0.148 | 0.327 | ||||
| Distance between cluster | 0.134 | |||||
| Trait | WC/indica | WC/japonica | Variance | ||||
|---|---|---|---|---|---|---|---|
| Mean | Range | Mean | Range | Geno | Loc | GxL | |
| Tiller number | 9.4 | 4.3–24.1 | 10.0 | 4.0–25.2 | 7.9 ** | 10.82 ** | 9.16 ** |
| Plant height | 115.4 | 91.7–151.9 | 121.0 | 94.7–148.0 | 47.1 ** | 55.40 ** | 86.2 ** |
| Panicle length | 23.3 | 17.1–30.8 | 22.8 | 18.3–29.7 | 5.8 ** | 4.90 ** | 9.13 ** |
| Filled grain | 93.8 | 21.3–192.2 | 99.0 | 21.1–189.8 | 132.9 ** | 66.30 ** | 458.1 ** |
| Unfilled grain | 37.5 | 6.1–122.3 | 40.8 | 9.0–152.5 | 64.5 ** | 59.90 ** | 296.6 ** |
| Spikelet fertility | 71.8 | 22.2–91.5 | 72.3 | 17.6–90.0 | 13.5 ** | 6.6 ** | 104.3 ** |
| Yield per plant | 21.5 | 4.7–47.1 | 22.1 | 6.7–53.5 | 5.8 ** | 3.0 ** | 3.8 ** |
Publisher’s Note: MDPI stays neutral with regard to jurisdictional claims in published maps and institutional affiliations. |
© 2022 by the authors. Licensee MDPI, Basel, Switzerland. This article is an open access article distributed under the terms and conditions of the Creative Commons Attribution (CC BY) license (https://creativecommons.org/licenses/by/4.0/).
Share and Cite
Kallugudi, J.; Singh, V.J.; Vinod, K.K.; Krishnan, S.G.; Nandakumar, S.; Dixit, B.K.; Ellur, R.K.; Bollinedi, H.; Nagarajan, M.; Kumar, A.; et al. Population Dynamics of Wide Compatibility System and Evaluation of Intersubspecific Hybrids by indica-japonica Hybridization in Rice. Plants 2022, 11, 1930. https://doi.org/10.3390/plants11151930
Kallugudi J, Singh VJ, Vinod KK, Krishnan SG, Nandakumar S, Dixit BK, Ellur RK, Bollinedi H, Nagarajan M, Kumar A, et al. Population Dynamics of Wide Compatibility System and Evaluation of Intersubspecific Hybrids by indica-japonica Hybridization in Rice. Plants. 2022; 11(15):1930. https://doi.org/10.3390/plants11151930
Chicago/Turabian StyleKallugudi, Jayanth, Vikram Jeet Singh, Kunnumal Kurungara Vinod, Subbaiyan Gopala Krishnan, Shekharappa Nandakumar, Brijesh Kumar Dixit, Ranjith Kumar Ellur, Haritha Bollinedi, Mariappan Nagarajan, Amit Kumar, and et al. 2022. "Population Dynamics of Wide Compatibility System and Evaluation of Intersubspecific Hybrids by indica-japonica Hybridization in Rice" Plants 11, no. 15: 1930. https://doi.org/10.3390/plants11151930
APA StyleKallugudi, J., Singh, V. J., Vinod, K. K., Krishnan, S. G., Nandakumar, S., Dixit, B. K., Ellur, R. K., Bollinedi, H., Nagarajan, M., Kumar, A., Chakraborti, M., Seth, R. K., Mondal, T. K., Bhowmick, P. K., & Singh, A. K. (2022). Population Dynamics of Wide Compatibility System and Evaluation of Intersubspecific Hybrids by indica-japonica Hybridization in Rice. Plants, 11(15), 1930. https://doi.org/10.3390/plants11151930

