Discovery and Characterisation of Novel Poly-Histidine-Poly-Glycine Peptides as Matrix Metalloproteinase Inhibitors
Abstract
1. Introduction
2. Materials and Methods
2.1. Molecular Cloning and Transcript Analysis
2.2. Peptide Synthesis and Purification
2.3. Mass Spectrometric Identification
2.4. Circular Dichroism (CD) Analysis
2.5. Proteinase Inhibition Assay
2.6. Spectroscopic Characterisation
2.7. Structure Refinement and Molecular Modelling
2.8. Scratch Wound Healing Assay
2.9. Trans-Well Migration Assay
2.10. Tube Formation Assay
2.11. Statistical Analysis
3. Results
3.1. Two Novel pHpG Peptides Were Identified from A. squamigera Venom
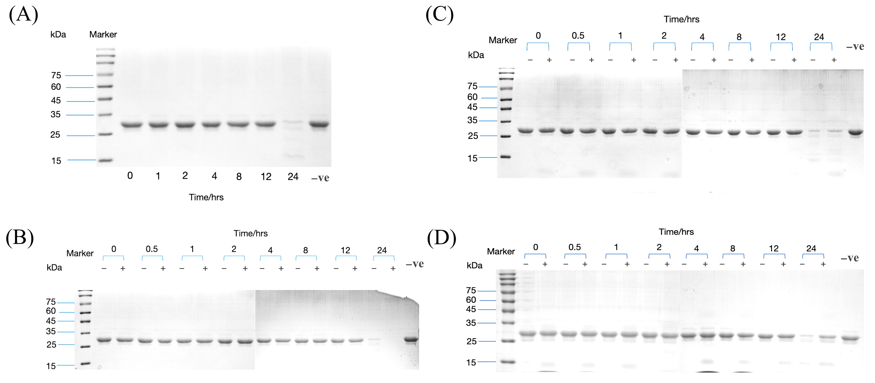
3.2. pHpG Peptides Inhibit Metalloproteinase Activity via Zinc Ion Coordination
3.3. Understanding Interaction Mechanism of pHpGs by Structural Analysis and Molecular Modelling
3.4. Pharmacological Implications of pHpG-H7: Anti-Cell Migration and Anti-Angiogenesis
4. Discussion
5. Conclusions
Supplementary Materials
Author Contributions
Funding
Institutional Review Board Statement
Informed Consent Statement
Data Availability Statement
Conflicts of Interest
Abbreviations
| A. squamigera | Atheris squamigera |
| BLAST | Basic local alignment search tool |
| CD | Circular dichroism |
| cDNA | Complementary DNA |
| ESI-MS | Electrospray ionisation mass spectrometry |
| FTIR | Fourier transform infrared |
| HPLC | High-performance liquid chromatography |
| HUVECs | Human umbilical vein endothelial cells |
| hVEGF165 | Human vascular endothelial growth factor 165 |
| KBr | Potassium bromide |
| MMP | Matrix metalloproteinase |
| MMPI | Matrix metalloproteinase inhibitor |
| mRNA | Messenger RNA |
| MS/MS | Tandem mass spectrometry |
| NCBI | National center for biotechnology information |
| NUP | Nested universal primer |
| PCR | Polymerase chain reaction |
| pHpG | Poly-histidine-poly-glycine |
| pI | Isoelectric point |
| RACE | Rapid amplification of cDNA ends |
| SDS-PAGE | Sodium dodecyl sulphate polyacrylamide gel electrophoresis |
| SMART | Switching mechanism at 5′ end of RNA transcript |
| SVMP | Snake venom metalloproteinase |
| UV-vis | Ultraviolet–visible |
References
- Ontiveros, S.T.; Srihari, P.; Winkler, G.A.; Del Rosso, J.; Sobel, J.; Clark, R.F.; Minns, A.B. Envenomation by the Green Bush Viper Atheris squamigera. Toxicol. Rep. 2022, 9, 2018–2019. [Google Scholar] [CrossRef] [PubMed]
- Chowdhury, A.; Lewin, M.R.; Carter, R.; Soria, R.; Aldridge, M.; Fry, B.G. Extreme Procoagulant Potency in Human Plasma of Venoms from the African Viperid Genera Atheris, Cerastes, and Proatheris and the Relative Efficacy of Antivenoms and Synthetic Enzyme-Inhibitors. Toxins 2022, 14, 836. [Google Scholar] [CrossRef] [PubMed]
- Wang, H.; Chen, X.; König, E.; Zhou, M.; Wang, L.; Chen, T.; Shaw, C. Comparative Profiling of Three Atheris Snake Venoms: A. squamigera, A. nitschei and A. chlorechis. Protein J. 2018, 37, 353–360. [Google Scholar] [CrossRef]
- Favreau, P.; Cheneval, O.; Menin, L.; Michalet, S.; Gaertner, H.; Principaud, F.; Thai, R.; Ménez, A.; Bulet, P.; Stöcklin, R. The venom of the snake genus Atheris contains a new class of peptides with clusters of histidine and glycine residues. Rapid Commun. Mass. Spectrom. 2007, 21, 406–412. [Google Scholar] [CrossRef] [PubMed]
- Simonovsky, E.; Miller, Y. Controlling the properties and self-assembly of helical nanofibrils by engineering zinc-binding β-hairpin peptides. J. Mater. Chem. B. 2020, 8, 7352–7355. [Google Scholar] [CrossRef]
- Wa Tły, J.; Hecel, A.; Wieczorek, R.; Rowińska-Żyrek, M.; Kozłowski, H. Poly-Gly Region Regulates the Accessibility of Metal Binding Sites in Snake Venom Peptides. Inorg. Chem. 2022, 61, 14247–14251. [Google Scholar] [CrossRef]
- Tsai, T.S.; Tsai, I.H. Full sequencing and comparison of five venom metalloproteases of Trimeresurus gracilis: The PI-enzyme is most similar to okinalysin but the PIII-enzyme is most similar to Crotalus venom enzymes. Toxicon 2023, 225, 107053. [Google Scholar] [CrossRef]
- Zhong, X.J.; Wang, C.E.; Li, Y.N.; Zhang, Q.Y.; Sun, Q.Y. Atrase A, a P-III class metalloproteinase purified from cobra venom, exhibits potent anticoagulant activity by inhibiting coagulation pathway and activating the fibrinolytic system. Heliyon 2024, 10, e30969. [Google Scholar] [CrossRef]
- Wozniak, J.; Floege, J.; Ostendorf, T.; Ludwig, A. Key metalloproteinase-mediated pathways in the kidney. Nat. Rev. Nephrol. 2021, 17, 513–527. [Google Scholar] [CrossRef]
- Wagstaff, S.C.; Favreau, P.; Cheneval, O.; Laing, G.D.; Wilkinson, M.C.; Miller, R.L.; Stöcklin, R.; Harrison, R.A. Molecular characterisation of endogenous snake venom metalloproteinase inhibitors. Biochem. Biophys. Res. Commun. 2008, 365, 650–656. [Google Scholar] [CrossRef]
- Fevzioglu, M.; Ozturk, O.K.; Hamaker, B.R.; Campanella, O.H. Quantitative approach to study secondary structure of proteins by FT-IR spectroscopy, using a model wheat gluten system. Int. J. Biol. Macromol. 2020, 164, 2753–2760. [Google Scholar] [CrossRef] [PubMed]
- Miles, A.J.; Janes, R.W.; Wallace, B.A. Tools and methods for circular dichroism spectroscopy of proteins: A tutorial review. Chem. Soc. Rev. 2021, 50, 8400–8413. [Google Scholar] [CrossRef] [PubMed]
- Ronca, F.; Raggi, A. Structure-function relationships in mammalian histidine-proline-rich glycoprotein. Biochimie 2015, 118, 207–220. [Google Scholar] [CrossRef]
- Srinivasan, K.; Nampoothiri, M.; Khandibharad, S.; Singh, S.; Nayak, A.G.; Hariharapura, R.C. Proteomic diversity of Russell’s viper venom: Exploring PLA2 isoforms, pharmacological effects, and inhibitory approaches. Arch. Toxicol. 2024, 98, 3569–3584. [Google Scholar] [CrossRef]
- Wang, C.R.; McFarlane, L.O.; Pukala, T.L. Exploring snake venoms beyond the primary sequence: From proteoforms to protein-protein interactions. Toxicon 2024, 247, 107841. [Google Scholar] [CrossRef]
- Casewell, N.R.; Jackson, T.N.W.; Laustsen, A.H.; Sunagar, K. Causes and Consequences of Snake Venom Variation. Trends Pharmacol. Sci. 2020, 41, 570–581. [Google Scholar] [CrossRef]
- Ortolani, P.L.; Campos, P.C.; Fortes-Dias, C.L. The PLA2 inhibitor from Crotalus durissus terrificus blood plasma (CNF) inhibits group III-PLA2 from honeybee venom. Toxicon 2024, 242, 107711. [Google Scholar] [CrossRef] [PubMed]
- Yee, K.T.; Pitts, M.; Tongyoo, P.; Rojnuckarin, P.; Wilkinson, M.C. Snake Venom Metalloproteinases and Their Peptide Inhibitors from Myanmar Russell’s Viper Venom. Toxins 2016, 9, 15. [Google Scholar] [CrossRef]
- Imperato, N.S.; Amaducci, A.M.; Abo, B.N.; Koons, A.L.; Fikse, D.J.; Katz, K.D. African Bush Viper Envenomation: A Case Report. Cureus 2022, 14, e28040. [Google Scholar] [CrossRef]
- Arias, A.S.; Rucavado, A.; Gutiérrez, J.M. Peptidomimetic hydroxamate metalloproteinase inhibitors abrogate local and systemic toxicity induced by Echis ocellatus (saw-scaled) snake venom. Toxicon 2017, 132, 40–49. [Google Scholar] [CrossRef]
- Litus, E.A.; Permyakov, S.E.; Uversky, V.N.; Permyakov, E.A. Intrinsically Disordered Regions in Serum Albumin: What Are They For? Cell Biochem. Biophys. 2018, 76, 39–57. [Google Scholar] [CrossRef] [PubMed]
- Song, Y.; Zhan, J.; Li, M.; Zhao, H.; Shi, G.; Wu, M.; Fang, H. Enhancement of the Water Affinity of Histidine by Zinc and Copper Ions. Int. J. Mol. Sci. 2022, 23, 3957. [Google Scholar] [CrossRef]
- Sreesada, P.; Vandana Krishnan, B.; Amrutha, R.; Chavan, Y.; Alfia, H.; Jyothis, A.; Venugopal, P.; Aradhya, R.; Suravajhala, P.; Nair, B.G. Matrix metalloproteinases: Master regulators of tissue morphogenesis. Gene 2025, 933, 148990. [Google Scholar] [CrossRef] [PubMed]
- Lopes Júnior, C.A.; Mendes, M.K.A.; Sousa, M.D.S.; Vieira, E.C.; Andrade, T.A.; de Jesus, J.R. Exploring metalloproteins found in the secretion of venomous species: Biological role and therapeutical applications. Adv. Protein Chem. Struct. Biol. 2024, 141, 539–562. [Google Scholar]
- Giustiniano, M.; Tortorella, P.; Agamennone, M.; Di Pizio, A.; Rossello, A.; Nuti, E.; Gomez-Monterrey, I.; Novellino, E.; Campiglia, P.; Vernieri, E.; et al. Amino Acid derivatives as new zinc binding groups for the design of selective matrix metalloproteinase inhibitors. J. Amino Acids 2013, 2013, 178381. [Google Scholar] [CrossRef][Green Version]
- Perarivalan, I.; Karunakaran, J.; Anbalagan, N.; Harishma, S.; Prasad, V. Matrix metalloproteinase inhibitors in restorative dentistry. J. Conserv. Dent. Endod. 2024, 27, 566–571. [Google Scholar] [CrossRef] [PubMed]
- Hu, J.; Van den Steen, P.E.; Houde, M.; Ilenchuk, T.T.; Opdenakker, G. Inhibitors of gelatinase B/matrix metalloproteinase-9 activity: Comparison of a peptidomimetic and polyhistidine with single-chain derivatives of a neutralizing monoclonal antibody. Biochem. Pharmacol. 2004, 67, 1001–1009. [Google Scholar] [CrossRef]
- Fischer, T.; Riedl, R. Challenges with matrix metalloproteinase inhibition and future drug discovery avenues. Expert. Opin. Drug Discov. 2021, 16, 75–88. [Google Scholar] [CrossRef]
- Jhilta, A.; Jadhav, K.; Singh, R.; Ray, E.; Kumar, A.; Singh, A.K.; Verma, R.K. Breaking the Cycle: Matrix Metalloproteinase Inhibitors as an Alternative Approach in Managing Tuberculosis Pathogenesis and Progression. ACS Infect. Dis. 2024, 10, 2567–2583. [Google Scholar] [CrossRef]
- Rouanet-Mehouas, C.; Czarny, B.; Beau, F.; Cassar-Lajeunesse, E.; Stura, E.A.; Dive, V.; Devel, L. Zinc-Metalloproteinase Inhibitors: Evaluation of the Complex Role Played by the Zinc-Binding Group on Potency and Selectivity. J. Med. Chem. 2017, 60, 403–414. [Google Scholar] [CrossRef]
- Kawa, H.; Ahmed, Z.; Majid, A.; Chen, R. Inhibition of matrix metalloproteinases to reduce blood brain barrier disruption and haemorrhagic transformation in ischaemic stroke: Go broad or go narrow? Neuropharmacology 2025, 262, 110192. [Google Scholar] [CrossRef] [PubMed]
- Putri, S.A.; Maharani, R.; Maksum, I.P.; Siahaan, T.J. Peptide Design for Enhanced Anti-Melanogenesis: Optimizing Molecular Weight, Polarity, and Cyclization. Drug Des. Dev. Ther. 2025, 19, 645–670. [Google Scholar] [CrossRef] [PubMed]










| Name | Full Sequence | Abb Seq | Ave Hyd | Calculated MW/(Da) | Observed MW/(Da) | pI |
|---|---|---|---|---|---|---|
| pHpG-H5 | EDDHHHHHGVGGGGGGGGGG | EDDH(5)GVG(10) | 0.3 | 1789.72 | 1789.73 a | 5.8 |
| 894.05 ** | ||||||
| pHpG-H7 | EDDHHHHHHHGVGGGGGGGGGG | EDDH(7)GVG(10) | 0.2 | 2064.00 | 2064.01 a | 6.1 |
| 1032.60 ** | ||||||
| 688.95 *** | ||||||
| pHpG-H9 | EDDHHHHHHHHHGVGGGGGGGGGG | EDDH(9)GVG(10) | 0.1 | 2338.28 | 2338.30 a | 6.3 |
| 1170.05 ** | ||||||
| 780.45 *** |
| Temperature (°C) | pHpGs | α-Helix (%) | β-Strand (%) | β-Turn (%) | Unorderd (%) | Total (%) |
|---|---|---|---|---|---|---|
| 20 | pHpG-H5 | 12.1 | 40.6 | 21.6 | 29.2 | 103.5 |
| pHpG-H7 | 6.2 | 13.6 | 29.4 | 46.4 | 95.5 | |
| pHpG-H9 | 6.3 | 11.7 | 30.7 | 47.5 | 96.2 |
| Sample Source | Deduced Peptide Sequence | Significance | Attribution Method |
|---|---|---|---|
| Atheris squamigera venom | EDDH(7)GVG(10)… | *** | Molecular cloning a |
| EDDH(9)GVG(10)… | ** | Molecular cloning a; | |
| *** | MS/MS [4] | ||
| EDDH(5)GVG(10)… | ** | Molecular cloning a | |
| EDDH(10)GVG(10)… | * | MS/MS [4] | |
| EDDH(11)GVG(10)… | ** | MS/MS [4] |
Disclaimer/Publisher’s Note: The statements, opinions and data contained in all publications are solely those of the individual author(s) and contributor(s) and not of MDPI and/or the editor(s). MDPI and/or the editor(s) disclaim responsibility for any injury to people or property resulting from any ideas, methods, instructions or products referred to in the content. |
© 2025 by the authors. Licensee MDPI, Basel, Switzerland. This article is an open access article distributed under the terms and conditions of the Creative Commons Attribution (CC BY) license (https://creativecommons.org/licenses/by/4.0/).
Share and Cite
Wang, H.; Cai, W.; Tang, Z.; Fu, J.; König, E.; Zhang, N.; Chen, X.; Chen, T.; Shaw, C. Discovery and Characterisation of Novel Poly-Histidine-Poly-Glycine Peptides as Matrix Metalloproteinase Inhibitors. Biomolecules 2025, 15, 706. https://doi.org/10.3390/biom15050706
Wang H, Cai W, Tang Z, Fu J, König E, Zhang N, Chen X, Chen T, Shaw C. Discovery and Characterisation of Novel Poly-Histidine-Poly-Glycine Peptides as Matrix Metalloproteinase Inhibitors. Biomolecules. 2025; 15(5):706. https://doi.org/10.3390/biom15050706
Chicago/Turabian StyleWang, He, Wenchao Cai, Zhiyu Tang, Juanli Fu, Enrico König, Nanwen Zhang, Xiaole Chen, Tianbao Chen, and Chris Shaw. 2025. "Discovery and Characterisation of Novel Poly-Histidine-Poly-Glycine Peptides as Matrix Metalloproteinase Inhibitors" Biomolecules 15, no. 5: 706. https://doi.org/10.3390/biom15050706
APA StyleWang, H., Cai, W., Tang, Z., Fu, J., König, E., Zhang, N., Chen, X., Chen, T., & Shaw, C. (2025). Discovery and Characterisation of Novel Poly-Histidine-Poly-Glycine Peptides as Matrix Metalloproteinase Inhibitors. Biomolecules, 15(5), 706. https://doi.org/10.3390/biom15050706

