Correction: Sundaram et al. Effects of Intermediate Frequency (150 kHz) Electromagnetic Radiation on the Vital Organs of Female Sprague Dawley Rats. Biology 2023, 12, 310
Email Correction
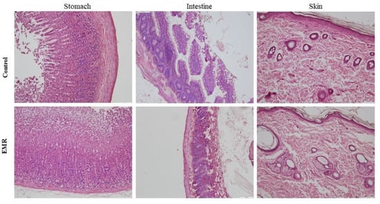
Error in Figure
Reference
- Sundaram, V.; Mohammed, S.; Cockburn, B.N.; Srinivasan, M.R.; Venkata, C.R.A.; Johnson, J.; Gilkes, L.; Jones, K.R.; Zyuzikov, N. Effects of Intermediate Frequency (150 kHz) Electromagnetic Radiation on the Vital Organs of Female Sprague Dawley Rats. Biology 2023, 12, 310. [Google Scholar] [CrossRef] [PubMed]

Disclaimer/Publisher’s Note: The statements, opinions and data contained in all publications are solely those of the individual author(s) and contributor(s) and not of MDPI and/or the editor(s). MDPI and/or the editor(s) disclaim responsibility for any injury to people or property resulting from any ideas, methods, instructions or products referred to in the content. |
© 2024 by the authors. Licensee MDPI, Basel, Switzerland. This article is an open access article distributed under the terms and conditions of the Creative Commons Attribution (CC BY) license (https://creativecommons.org/licenses/by/4.0/).
Share and Cite
Sundaram, V.; Mohammed, S.; Cockburn, B.N.; Srinivasan, M.R.; Venkata, C.R.A.; Johnson, J.; Gilkes, L.; Jones, K.R.; Zyuzikov, N. Correction: Sundaram et al. Effects of Intermediate Frequency (150 kHz) Electromagnetic Radiation on the Vital Organs of Female Sprague Dawley Rats. Biology 2023, 12, 310. Biology 2024, 13, 181. https://doi.org/10.3390/biology13030181
Sundaram V, Mohammed S, Cockburn BN, Srinivasan MR, Venkata CRA, Johnson J, Gilkes L, Jones KR, Zyuzikov N. Correction: Sundaram et al. Effects of Intermediate Frequency (150 kHz) Electromagnetic Radiation on the Vital Organs of Female Sprague Dawley Rats. Biology 2023, 12, 310. Biology. 2024; 13(3):181. https://doi.org/10.3390/biology13030181
Chicago/Turabian StyleSundaram, Venkatesan, Stephanie Mohammed, Brian N. Cockburn, M. R. Srinivasan, Chalapathi R. Adidam Venkata, Jenelle Johnson, Lester Gilkes, Kegan Romelle Jones, and Nikolay Zyuzikov. 2024. "Correction: Sundaram et al. Effects of Intermediate Frequency (150 kHz) Electromagnetic Radiation on the Vital Organs of Female Sprague Dawley Rats. Biology 2023, 12, 310" Biology 13, no. 3: 181. https://doi.org/10.3390/biology13030181
APA StyleSundaram, V., Mohammed, S., Cockburn, B. N., Srinivasan, M. R., Venkata, C. R. A., Johnson, J., Gilkes, L., Jones, K. R., & Zyuzikov, N. (2024). Correction: Sundaram et al. Effects of Intermediate Frequency (150 kHz) Electromagnetic Radiation on the Vital Organs of Female Sprague Dawley Rats. Biology 2023, 12, 310. Biology, 13(3), 181. https://doi.org/10.3390/biology13030181

