Rheumatic Immune-Related Adverse Events—A Consequence of Immune Checkpoint Inhibitor Therapy
Abstract
:Simple Summary
Abstract
1. Introduction
2. Mechanism of Development of Immune-Related Adverse Events
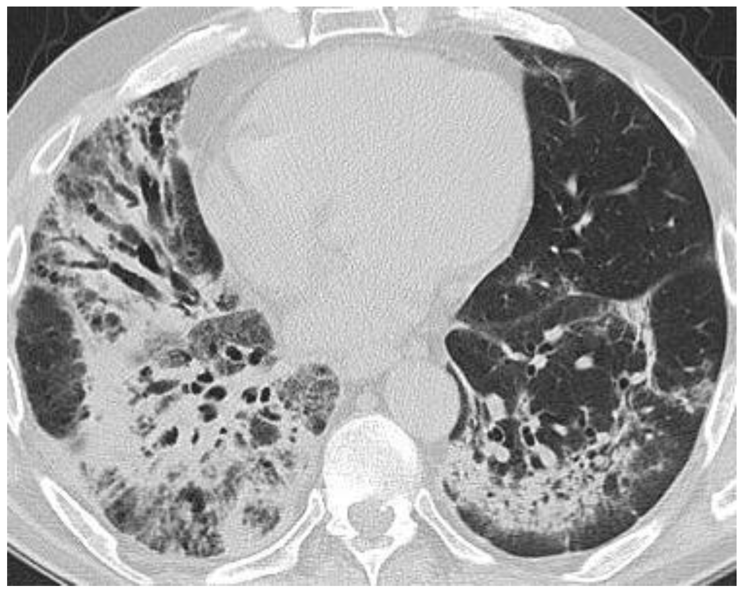
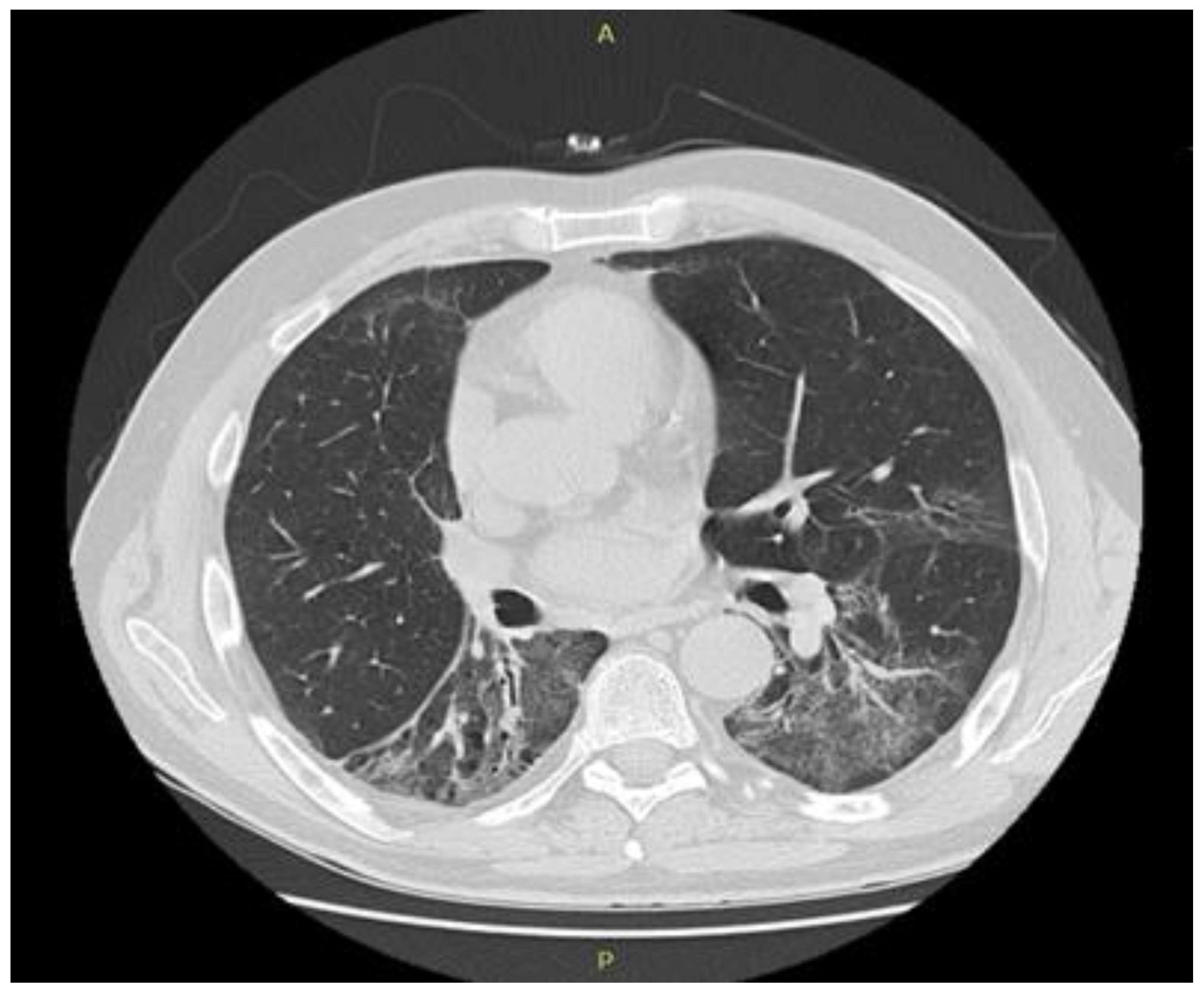
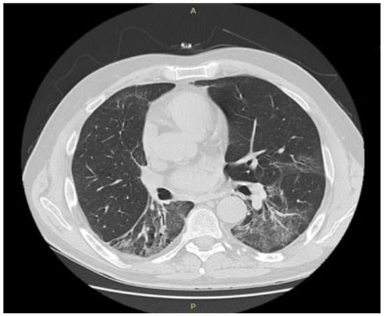
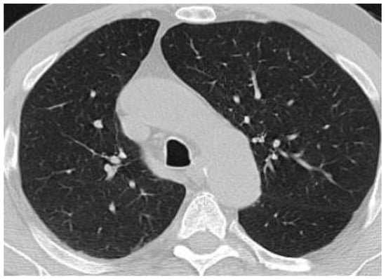
3. Clinical Experience—Case Report
4. Rheumatic Immune-Related Adverse Events
4.1. Inflammatory Arthritis
4.2. Polymyalgia Rheumatica-Like Syndrome
4.3. Myositis
4.4. Vasculitis
4.5. Sarcoidosis/Sarcoid-Like Syndrome
4.6. Sicca/Sjögren’s Syndrome
4.7. Scleroderma
4.8. Systemic Lupus Erythematosus
4.9. Management of Rheumatic Ir-AEs
- Local and/or systemic corticosteroids should be taken into consideration for ir-AEs if the symptomatic treatment is ineffective, depending on the severity of the disease. The dose regimen and administration route should be chosen based on the clinical entity and activity. If the patient’s condition improves, systemic corticosteroids should be tapered to the lowest dosage possible in order to manage the symptoms.Symptomatic treatments such as NSAIDs and/or analgesics should be taken into consideration for mild-to-moderate rheumatic manifestation. Corticosteroids may be used locally—intra-articular for mono/oligoarticular involvement—while system corticosteroids are recommended for polyarticular involvement and, also, other systemic manifestations. The dose ranges from a 20 to 60-mg/day prednisone equivalent depending on the affected system, and the doses should be tapered to the lowest dose possible.
- In patients who do not respond to an appropriate dose of glucocorticoids or who need glucocorticoid sparing therapy, conventional synthetic disease-modifying anti-rheumatic drugs (csDMARDs) should be considered.The most frequently used csDMARD remains methotrexate, followed by hydroxychloroquine and sulphasalazine. There have also been reports of cyclophosphamide use in vasculitis.
- Patients with serious ir-AEs, as well as those who do not have the desired response to csDMARD, should consider biological (b) DMARDs, the preferred treatment option for inflammatory arthritis being TNF or IL-6 inhibitors. The most frequently used TNF inhibitor was infliximab in a series of cases with refractory arthritis.
- The decision to stop or continue ICIs should be focused on the severity of ir-AEs, the magnitude of the required immunosuppressive therapy dosage, the tumor response and the length of administration, as well as the prospective oncology treatment follow-up.Currently, the option of withholding or continuing cancer treatment is variable from hospital to hospital. The need for standardized care in ir-AEs is imminent nowadays, prospective trials being able to clarify the optimal immunosuppressive regimens.
- Myositis is a severe rheumatic condition. Clinicians should consider stopping immunotherapy. Large doses of corticosteroids—1 to 2 mg/kg/day—intravenous immunoglobulins and/or plasmapheresis should be taken into consideration in the presence of severe manifestations that are life-threatening (dysphagia, dysarthria, dysphonia, dyspnea and myocarditis). Immunotherapy withdrawal is always essential. Additionally, there have been reports of DMARD usage, such as mycophenolate mofetil, methotrexate, azathioprine and hydroxychloroquine.
- The use of ICIs should not be ruled out because of a pre-existing autoimmune rheumatic and/or systemic disorder. The initial immunosuppressive regimen should be held to the lowest possible dosage (if possible, below 10-mg prednisone per day for corticosteroids). Many patients, however, can experience a flare-up of their underlying condition, as well as immune-related side effects, requiring corticosteroids or DMARDs.
- There is no need to screen every patient for the existence of autoantibodies before beginning cancer immunotherapy. A full rheumatological assessment should be performed in the case of unexplained rheumatic symptoms [53].
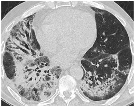
5. ICI Therapy-Related Pneumonitis
6. Conclusions
Author Contributions
Funding
Institutional Review Board Statement
Informed Consent Statement
Data Availability Statement
Conflicts of Interest
References
- Rotte, A.; Jin, J.Y.; Lemaire, V. Mechanistic overview of immune checkpoints to support the rational design of their combinations in cancer immunotherapy. Ann. Oncol. 2018, 29, 71–83. [Google Scholar] [CrossRef] [Green Version]
- Finck, A.; Gill, S.I.; June, C.H. Cancer immunotherapy comes of age and looks for maturity. Nat. Commun. 2020, 11, 3325. [Google Scholar] [CrossRef]
- Twomey, J.D.; Zhang, B. Cancer Immunotherapy Update: FDA-Approved Checkpoint Inhibitors and Companion Diagnostics. AAPS J. 2021, 23, 39. [Google Scholar] [CrossRef]
- De Miguel, M.; Calvo, E. Clinical Challenges of Immune Checkpoint Inhibitors. Cancer Cell. 2020, 38, 326–333. [Google Scholar] [CrossRef] [PubMed]
- McDermott, D.; Haanen, J.; Chen, T.-T.; Lorigan, P.; O’day, S. Efficacy and safety of ipilimumab in metastatic melanoma patients surviving more than 2 years following treatment in a phase III trial (MDX010-20). Ann. Oncol. 2013, 24, 2694–2698. [Google Scholar] [CrossRef] [PubMed]
- Weber, J.S.; D’Angelo, S.P.; Minor, D.; Hodi, F.S.; Gutzmer, R.; Neyns, B.; Hoeller, C.; Khushalani, N.I.; Miller, W.H., Jr.; Lao, C.D.; et al. Nivolumab versus chemotherapy in patients with advanced melanoma who progressed after anti-CTLA-4 treatment (CheckMate 037): A randomised, controlled, open-label, phase 3 trial. Lancet Oncol. 2015, 16, 375–384. [Google Scholar] [CrossRef]
- Zhao, X.; Shen, J.; Ivaturi, V.; Gopalakrishnan, M.; Feng, Y.; Schmidt, B.J.; Statkevich, P.; Goodman, V.; Gobburu, J.; Bello, A.; et al. Model-based evaluation of the efficacy and safety of nivolumab once every 4 weeks across multiple tumor types. Ann. Oncol. 2020, 31, 302–309. [Google Scholar] [CrossRef] [Green Version]
- Robert, C.; Ribas, A.; Wolchok, J.D.; Hodi, F.S.; Hamid, O.; Kefford, R.; Weber, J.S.; Joshua, A.M.; Hwu, W.J.; Gangadhar, T.C.; et al. Anti-programmed-death-receptor-1 treatment with pembrolizumab in ipilimumab-refractory advanced melanoma: A randomised dose-comparison cohort of a phase 1 trial. Lancet 2014, 384, 1109–1117. [Google Scholar] [CrossRef]
- Vaddepally, R.K.; Kharel, P.; Pandey, R.; Garje, R.; Chandra, A.B. Review of Indications of FDA-Approved Immune Checkpoint Inhibitors per NCCN Guidelines with the Level of Evidence. Cancers 2020, 12, 738. [Google Scholar] [CrossRef] [Green Version]
- Migden, M.R.; Rischin, D.; Schmults, C.D.; Guminski, A.; Hauschild, A.; Lewis, K.D.; Chung, C.H.; Hernandez-Aya, L.; Lim, A.M.; Chang, A.; et al. PD-1 Blockade with Cemiplimab in Advanced Cutaneous Squamous-Cell Carcinoma. N. Engl. J. Med. 2018, 379, 341–351. [Google Scholar] [CrossRef] [Green Version]
- Kaufman, H.L.; Russell, J.; Hamid, O.; Bhatia, S.; Terheyden, P.; D’Angelo, S.P.; Shih, K.C.; Lebbe, C.; Linette, G.P.; Milella, M.; et al. Avelumab in patients with chemotherapy-refractory metastatic Merkel cell carcinoma: A multicentre, single-group, open-label, phase 2 trial. Lancet Oncol. 2016, 17, 1374–1385. [Google Scholar] [CrossRef] [Green Version]
- Massard, C.; Gordon, M.S.; Sharma, S.; Rafii, S.; Wainberg, Z.A.; Luke, J.; Curiel, T.J.; Colon-Otero, G.; Hamid, O.; Sanborn, R.E.; et al. Safety and Efficacy of Durvalumab (MEDI4736), an Anti-Programmed Cell Death Ligand-1 Immune Checkpoint Inhibitor, in Patients With Advanced Urothelial Bladder Cancer. J. Clin. Oncol. 2016, 34, 3119–3125. [Google Scholar] [CrossRef]
- Topalian, S.L.; Drake, C.G.; Pardoll, D.M. Immune checkpoint blockade: A common denominator approach to cancer therapy. Cancer Cell. 2015, 27, 450–461. [Google Scholar] [CrossRef] [PubMed] [Green Version]
- Postow, M.A.; Callahan, M.K.; Wolchok, J.D. Immune Checkpoint Blockade in Cancer Therapy. J. Clin. Oncol. 2015, 33, 1974–1982. [Google Scholar] [CrossRef] [PubMed] [Green Version]
- Tivol, E.A.; Borriello, F.; Schweitzer, A.N.; Lynch, W.P.; Bluestone, J.A.; Sharpe, A.H. Loss of CTLA-4 leads to massive lymphoproliferation and fatal multiorgan tissue destruction, revealing a critical negative regulatory role of CTLA-4. Immunity 1995, 3, 541–547. [Google Scholar] [CrossRef] [Green Version]
- Klocke, K.; Sakaguchi, S.; Holmdahl, R.; Wing, K. Induction of autoimmune disease by deletion of CTLA-4 in mice in adulthood. Proc. Natl. Acad. Sci. USA. 2016, 113, E2383–E2392. [Google Scholar] [CrossRef] [PubMed] [Green Version]
- Nishimura, H.; Nose, M.; Hiai, H.; Minato, N.; Honjo, T. Development of lupus-like autoimmune diseases by disruption of the PD-1 gene encoding an ITIM motif-carrying immunoreceptor. Immunity 1999, 11, 141–151. [Google Scholar] [CrossRef] [Green Version]
- Guo, Y.; Walsh, A.M.; Canavan, M.; Wechalekar, M.D.; Cole, S.; Yin, X.; Scott, B.; Loza, M.; Orr, C.; McGarry, T.; et al. Immune checkpoint inhibitor PD-1 pathway is down-regulated in synovium at various stages of rheumatoid arthritis disease progression. PLoS ONE. 2018, 13, e0192704. [Google Scholar] [CrossRef] [PubMed] [Green Version]
- Robert, L.; Tsoi, J.; Wang, X.; Emerson, R.; Homet, B.; Chodon, T.; Mok, S.; Huang, R.R.; Cochran, A.J.; Comin-Anduix, B.; et al. CTLA4 blockade broadens the peripheral T-cell receptor repertoire. Clin. Cancer Res. 2014, 20, 2424–2432. [Google Scholar] [CrossRef] [PubMed] [Green Version]
- Das, R.; Bar, N.; Ferreira, M.; Newman, A.M.; Zhang, L.; Bailur, J.K.; Bacchiocchi, A.; Kluger, H.; Wei, W.; Halaban, R.; et al. Early B cell changes predict autoimmunity following combination immune checkpoint blockade. J. Clin. Investig. 2018, 128, 715–720. [Google Scholar] [CrossRef] [PubMed]
- Naidoo, J.; Cappelli, L.C.; Forde, P.M.; Marrone, K.A.; Lipson, E.J.; Hammers, H.J.; Sharfman, W.H.; Le, D.T.; Baer, A.N.; Shah, A.A.; et al. Inflammatory Arthritis: A Newly Recognized Adverse Event of Immune Checkpoint Blockade. Oncologist 2017, 22, 627–630. [Google Scholar] [CrossRef] [PubMed] [Green Version]
- Kamińska-Winciorek, G.; Cybulska-Stopa, B.; Ługowska, I.; Ziobro, M.; Rutkowski, P. Principles of prophylactic and therapeutic management of skin toxicity during treatment with checkpoint inhibitors. Adv. Dermatol. Allergol. Postępy Dermatol. Alergol. 2019, 36, 382–391. [Google Scholar] [CrossRef] [Green Version]
- Smith, M.H.; Bass, A.R. Arthritis after cancer immunotherapy: Symptom duration and treatment response. Arthritis Care Res. 2019, 71, 362–366. [Google Scholar] [CrossRef] [PubMed]
- Chuzi, S.; Tavora, F.; Cruz, M.; Costa, R.; Chae, Y.K.; Carneiro, B.A.; Giles, F.J. Clinical features, diagnostic challenges, and management strategies in checkpoint inhibitor-related pneumonitis. Cancer Manag. Res. 2017, 9, 207–213. [Google Scholar] [CrossRef] [PubMed] [Green Version]
- Kostine, M.; Rouxel, L.; Barnetche, T.; Veillon, R.; Martin, F.; Dutriaux, C.; Dousset, L.; Pham-Ledard, A.; Prey, S.; Acronim, F.; et al. Rheumatic disorders associated with immune checkpoint inhibitors in patients with cancer-clinical aspects and relationship with tumour response: A single-centre prospective cohort study. Ann. Rheum. Dis. 2018, 77, 393–398. [Google Scholar] [CrossRef] [PubMed]
- Postow, M.A.; Sidlow, R.; Hellmann, M.D. Immune-Related Adverse Events Associated with Immune Checkpoint Blockade. N. Engl. J. Med. 2018, 378, 158–168. [Google Scholar] [CrossRef]
- Gediz, F.; Kobak, S. Immune Checkpoint Inhibitors-related Rheumatic Diseases: What Rheumatologist Should Know? Curr. Rheumatol. Rev. 2019, 15, 201–208. [Google Scholar] [CrossRef]
- Kostine, M.; Truchetet, M.E.; Schaeverbeke, T. Clinical characteristics of rheumatic syndromes associated with checkpoint inhibitors therapy. Rheumatology 2019, 58 (Suppl. 7), vii68–vii74. [Google Scholar] [CrossRef] [Green Version]
- Chan, K.K.; Tirpack, A.; Vitone, G.; Benson, C.; Nguyen, J.; Ghosh, N.; Jannat-Khah, D.; Bykerk, V.; Bass, A.R. Higher Checkpoint Inhibitor Arthritis Disease Activity may be Associated With Cancer Progression: Results From an Observational Registry. ACR Open Rheumatol. 2020, 2, 595–604. [Google Scholar] [CrossRef]
- Pundole, X.; Abdel-Wahab, N.; Suarez-Almazor, M.E. Arthritis risk with immune checkpoint inhibitor therapy for cancer. Curr. Opin. Rheumatol. 2019, 31, 293–299. [Google Scholar] [CrossRef]
- Manolios, N.; Schrieber, L. Checkpoint inhibitors and arthritis. Ann. Rheum. Dis. 2019, 78, e58. [Google Scholar] [CrossRef] [PubMed]
- Siloşi, I.; Boldeanu, L.; Biciuşcă, V.; Bogdan, M.; Avramescu, C.; Taisescu, C.; Padureanu, V.; Boldeanu, M.V.; Dricu, A.; Siloşi, C.A. Serum Biomarkers for Discrimination between Hepatitis C-Related Arthropathy and Early Rheumatoid Arthritis. Int. J. Mol. Sci. 2017, 18, 1304. [Google Scholar] [CrossRef] [Green Version]
- Richter, M.D.; Crowson, C.; Kottschade, L.A.; Finnes, H.D.; Markovic, S.N.; Thanarajasingam, U. Rheumatic Syndromes Associated With Immune Checkpoint Inhibitors: A Single-Center Cohort of Sixty-One Patients. Arthritis Rheumatol. 2019, 71, 468–475. [Google Scholar] [CrossRef] [PubMed] [Green Version]
- Cappelli, L.C.; Gutierrez, A.K.; Bingham, C.O.; Shah, A.A. Rheumatic and Musculoskeletal Immune-Related Adverse Events Due to Immune Checkpoint Inhibitors: A Systematic Review of the Literature. Arthritis Care Res. 2017, 69, 1751–1763. [Google Scholar] [CrossRef] [Green Version]
- Calabrese, C.; Cappelli, L.C.; Kostine, M.; Kirchner, E.; Braaten, T.; Calabrese, L. Polymyalgia rheumatica-like syndrome from checkpoint inhibitor therapy: Case series and systematic review of the literature. RMD Open. 2019, 5, e000906. [Google Scholar] [CrossRef]
- Manzo, C.; Isetta, M.; Natale, M.; Castagna, A. Identification and Classification of Polymyalgia Rheumatica (PMR) and PMR-Like Syndromes Following Immune Checkpoint Inhibitors (ICIs) Therapy: Discussion Points and Grey Areas Emerging from a Systematic Review of Published Literature. Medicines 2020, 7, 68. [Google Scholar] [CrossRef] [PubMed]
- Michot, J.M.; Bigenwald, C.; Champiat, S.; Collins, M.; Carbonnel, F.; Postel-Vinay, S.; Berdelou, A.; Varga, A.; Bahleda, R.; Hollebecque, A.; et al. Immune-related adverse events with immune checkpoint blockade: A comprehensive review. Eur. J. Cancer. 2016, 54, 139–148. [Google Scholar] [CrossRef]
- Solimando, A.G.; Crudele, L.; Leone, P.; Argentiero, A.; Guarascio, M.; Silvestris, N.; Vacca, A.; Racanelli, V. Immune Checkpoint Inhibitor-Related Myositis: From Biology to Bedside. Int. J. Mol. Sci. 2020, 21, 3054. [Google Scholar] [CrossRef] [PubMed]
- Shibata, C.; Kato, J.; Toda, N.; Imai, M.; Fukumura, Y.; Arai, J.; Kurokawa, K.; Kondo, M.; Takagi, K.; Kojima, K.; et al. Paraneoplastic dermatomyositis appearing after nivolumab therapy for gastric cancer: A case report. J. Med. Case Rep. 2019, 13, 168. [Google Scholar] [CrossRef]
- Anquetil, C.; Salem, J.E.; Lebrun-Vignes, B.; Johnson, D.B.; Mammen, A.L.; Stenzel, W.; Léonard-Louis, S.; Benveniste, O.; Moslehi, J.J.; Allenbach, Y. Immune Checkpoint Inhibitor-Associated Myositis: Expanding the Spectrum of Cardiac Complications of the Immunotherapy Revolution. Circulation 2018, 138, 743–745. [Google Scholar] [CrossRef] [PubMed]
- Shah, M.; Tayar, J.H.; Abdel-Wahab, N.; Suarez-Almazor, M.E. Myositis as an adverse event of immune checkpoint blockade for cancer therapy. Semin. Arthritis Rheum. 2019, 48, 736–740. [Google Scholar] [CrossRef] [PubMed]
- Weyand, C.M.; Berry, G.J.; Goronzy, J.J. The immunoinhibitory PD-1/PD-L1 pathway in inflammatory blood vessel disease. J. Leukoc. Biol. 2018, 103, 565–575. [Google Scholar] [CrossRef] [Green Version]
- Watanabe, R.; Zhang, H.; Berry, G.; Goronzy, J.J.; Weyand, C.M. Immune checkpoint dysfunction in large and medium vessel vasculitis. Am. J. Physiol. Heart Circ. Physiol. 2017, 312, H1052–H1059. [Google Scholar] [CrossRef] [Green Version]
- Gkiozos, I.; Kopitopoulou, A.; Kalkanis, A.; Vamvakaris, I.N.; Judson, M.A.; Syrigos, K.N. Sarcoidosis-Like Reactions Induced by Checkpoint Inhibitors. J. Thorac. Oncol. 2018, 13, 1076–1082. [Google Scholar] [CrossRef] [Green Version]
- Lomax, A.J.; McGuire, H.M.; McNeil, C.; Choi, C.J.; Hersey, P.; Karikios, D.; Shannon, K.; van Hal, S.; Carr, U.; Crotty, A.; et al. Immunotherapy-induced sarcoidosis in patients with melanoma treated with PD-1 checkpoint inhibitors: Case series and immunophenotypic analysis. Int. J. Rheum. Dis. 2017, 20, 1277–1285. [Google Scholar] [CrossRef] [PubMed]
- Cornejo, C.M.; Haun, P.; English, J.; Rosenbach, M. Immune checkpoint inhibitors and the development of granulomatous reactions. J. Am. Acad. Dermatol. 2019, 81, 1165–1175. [Google Scholar] [CrossRef]
- Warner, B.M.; Baer, A.N.; Lipson, E.J.; Allen, C.; Hinrichs, C.; Rajan, A.; Pelayo, E.; Beach, M.; Gulley, J.L.; Madan, R.A.; et al. Sicca Syndrome Associated with Immune Checkpoint Inhibitor Therapy. Oncologist. 2019, 24, 1259–1269. [Google Scholar] [CrossRef] [PubMed] [Green Version]
- Ramos-Casals, M.; Maria, A.; Suárez-Almazor, M.E.; Lambotte, O.; Fisher, B.A.; Hernández-Molina, G.; Guilpain, P.; Pundole, X.; Flores-Chávez, A.; ICIR; et al. Sicca/Sjögren’s syndrome triggered by PD-1/PD-L1 checkpoint inhibitors. Data from the International ImmunoCancer Registry (ICIR). Clin. Exp. Rheumatol. 2019, 37 (Suppl. 118), 114–122. [Google Scholar]
- Ortiz Brugués, A.; Sibaud, V.; Herbault-Barrés, B.; Betrian, S.; Korakis, I.; De Bataille, C.; Gomez-Roca, C.; Epstein, J.; Vigarios, E. Sicca Syndrome Induced by Immune Checkpoint Inhibitor Therapy: Optimal Management Still Pending. Oncologist 2020, 25, e391–e395. [Google Scholar] [CrossRef] [Green Version]
- Tjarks, B.J.; Kerkvliet, A.M.; Jassim, A.D.; Bleeker, J.S. Scleroderma-like skin changes induced by checkpoint inhibitor therapy. J. Cutan. Pathol. 2018, 45, 615–618. [Google Scholar] [CrossRef]
- Lu, K.L.; Wu, M.Y.; Wang, C.H.; Wang, C.W.; Hung, S.I.; Chung, W.H.; Chen, C.B. The Role of Immune Checkpoint Receptors in Regulating Immune Reactivity in Lupus. Cells 2019, 8, 1213. [Google Scholar] [CrossRef] [PubMed] [Green Version]
- Benfaremo, D.; Manfredi, L.; Luchetti, M.M.; Gabrielli, A. Musculoskeletal and Rheumatic Diseases Induced by Immune Checkpoint Inhibitors: A Review of the Literature. Curr. Drug Saf. 2018, 13, 150–164. [Google Scholar] [CrossRef]
- Kostine, M.; Finckh, A.; Bingham, C.O.; Visser, K.; Leipe, J.; Schulze-Koops, H.; Choy, E.H.; Benesova, K.; Radstake, T.R.D.J.; Cope, A.P.; et al. EULAR points to consider for the diagnosis and management of rheumatic immune-related adverse events due to cancer immunotherapy with checkpoint inhibitors. Ann. Rheum. Dis. 2021, 80, 36–48. [Google Scholar] [CrossRef] [PubMed] [Green Version]
- Calabrese, L.; Mariette, X. The evolving role of the rheumatologist in the management of immune-related adverse events (irAEs) caused by cancer immunotherapy. Ann. Rheum. Dis. 2018, 77, 162–164. [Google Scholar] [CrossRef] [PubMed]
- Nishino, M.; Giobbie-Hurder, A.; Hatabu, H.; Ramaiya, N.H.; Hodi, F.S. Incidence of Programmed Cell Death 1 Inhibitor-Related Pneumonitis in Patients With Advanced Cancer: A Systematic Review and Meta-analysis. JAMA Oncol. 2016, 2, 1607–1616. [Google Scholar] [CrossRef] [PubMed] [Green Version]
- U.S. Department of Health and Human Services; Common Terminology Criteria for Adverse Events (CTCAE); National Institutes of Health, National Cancer Institute. Available online: https://ctep.cancer.gov/protocolDevelopment/electronic_applications/docs/CTCAE_v5_Quick_Reference_8.5x11. pdf (accessed on 27 November 2017).
- Bronstein, Y.; Ng, C.S.; Hwu, P.; Hwu, W.J. Radiologic manifestations of immune-related adverse events in patients with metastatic melanoma undergoing anti-CTLA-4 antibody therapy. AJR Am. J. Roentgenol. 2011, 197, W992–W1000. [Google Scholar] [CrossRef]
- Brahmer, J.R.; Lacchetti, C.; Thompson, J.A. Management of Immune-Related Adverse Events in Patients Treated With Immune Checkpoint Inhibitor Therapy: American Society of Clinical Oncology Clinical Practice Guideline Summary. J. Oncol. Pract. 2018, 14, 247–249. [Google Scholar] [CrossRef] [PubMed]




Publisher’s Note: MDPI stays neutral with regard to jurisdictional claims in published maps and institutional affiliations. |
© 2021 by the authors. Licensee MDPI, Basel, Switzerland. This article is an open access article distributed under the terms and conditions of the Creative Commons Attribution (CC BY) license (https://creativecommons.org/licenses/by/4.0/).
Share and Cite
Bobircă, A.; Bobircă, F.; Ancuta, I.; Florescu, A.; Pădureanu, V.; Florescu, D.N.; Pădureanu, R.; Florescu, A.; Mușetescu, A.E. Rheumatic Immune-Related Adverse Events—A Consequence of Immune Checkpoint Inhibitor Therapy. Biology 2021, 10, 561. https://doi.org/10.3390/biology10060561
Bobircă A, Bobircă F, Ancuta I, Florescu A, Pădureanu V, Florescu DN, Pădureanu R, Florescu A, Mușetescu AE. Rheumatic Immune-Related Adverse Events—A Consequence of Immune Checkpoint Inhibitor Therapy. Biology. 2021; 10(6):561. https://doi.org/10.3390/biology10060561
Chicago/Turabian StyleBobircă, Anca, Florin Bobircă, Ioan Ancuta, Alesandra Florescu, Vlad Pădureanu, Dan Nicolae Florescu, Rodica Pădureanu, Anca Florescu, and Anca Emanuela Mușetescu. 2021. "Rheumatic Immune-Related Adverse Events—A Consequence of Immune Checkpoint Inhibitor Therapy" Biology 10, no. 6: 561. https://doi.org/10.3390/biology10060561
APA StyleBobircă, A., Bobircă, F., Ancuta, I., Florescu, A., Pădureanu, V., Florescu, D. N., Pădureanu, R., Florescu, A., & Mușetescu, A. E. (2021). Rheumatic Immune-Related Adverse Events—A Consequence of Immune Checkpoint Inhibitor Therapy. Biology, 10(6), 561. https://doi.org/10.3390/biology10060561

