Exudative Epidermitis in Combination with Staphylococcal Pyoderma in Suckling Piglets
Abstract
1. Introduction
2. Case Description
2.1. Herd Description
2.2. Anamnesis and Physical Findings
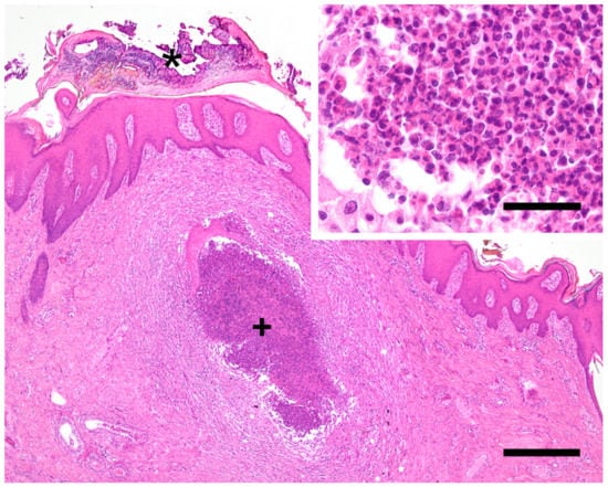
2.3. Diagnostic Methods, Laboratory and Necropsy Findings
2.4. Further Steps and Outcome of Case
3. Discussion
4. Conclusions
Author Contributions
Funding
Institutional Review Board Statement
Informed Consent Statement
Data Availability Statement
Acknowledgments
Conflicts of Interest
References
- Foster, A.P. Staphylococcal skin disease in livestock. Vet. Dermatol. 2012, 23, 342–351.e63. [Google Scholar] [CrossRef]
- Werckenthin, C.; Cardoso, M.; Martel, J.L.; Schwarz, S. Antimicrobial resistance in staphylococci from animals with particular reference to bovine Staphylococcus aureus, porcine Staphylococcus hyicus, and canine Staphylococcus intermedius. Vet. Res. 2001, 32, 341–362. [Google Scholar] [CrossRef] [PubMed]
- Frana, T.S.; Hau, S.J. Staphylococcosis. In Diseases of Swine, 11th ed.; Zimmerman, J.J., Karriker, L.A., Ramirez, A., Schwartz, K.J., Stevenson, G.W., Zhang, J., Eds.; Wiley Blackwell: Hoboken, NJ, USA, 2019; pp. 926–933. ISBN 9781119350859. [Google Scholar]
- Prévost, G.; Couppié, P.; Monteil, H. Staphylococcal epidermolysins. Curr. Opin. Infect. Dis. 2003, 16, 71–76. [Google Scholar] [CrossRef] [PubMed]
- Van Duijkeren, E.; Jansen, M.D.; Flemming, S.C.; de Neeling, H.; Wagenaar, J.A.; Schoormans, A.H.W.; van Nes, A.; Fluit, A.C. Methicillin-resistant Staphylococcus aureus in pigs with exudative epidermitis. Emerg. Infect. Dis. 2007, 13, 1408–1410. [Google Scholar] [CrossRef]
- Tanabe, T.; Sato, H.; Watanabe, K.; Hirano, M.; Hirose, K.; Kurokawa, S.; Nakano, K.; Saito, H.; Maehara, N. Correlation between occurrence of exudative epidermitis and exfoliative toxin-producing ability of Staphylococcus hyicus. Vet. Microbiol. 1996, 48, 9–17. [Google Scholar] [CrossRef]
- Fudaba, Y.; Nishifuji, K.; Andresen, L.O.; Yamaguchi, T.; Komatsuzawa, H.; Amagai, M.; Sugai, M. Staphylococcus hyicus exfoliative toxins selectively digest porcine desmoglein 1. Microb. Pathog. 2005, 39, 171–176. [Google Scholar] [CrossRef]
- Jones, L.D. Exudative epidermitis of pigs. Am. J. Vet. Res. 1956, 17, 179–193. [Google Scholar]
- L’Ecuyer, C. Exudative epidermitis in pigs. Clinical studies and preliminary transmission trials. Can. J. Comp. Med. Vet. Sci. 1966, 30, 9–16. [Google Scholar]
- Andrews, J.J. Ulcerative glossitis and stomatitis associated with exudative epidermitis in suckling swine. Vet. Pathol. 1979, 16, 432–437. [Google Scholar] [CrossRef]
- Sato, H.; Tanabe, T.; Kuramoto, M.; Tanaka, K.; Hashimoto, T.; Saito, H. Isolation of exfoliative toxin from Staphylococcus hyicus subsp. hyicus and its exfoliative activity in the piglet. Vet. Microbiol. 1991, 27, 263–275. [Google Scholar] [CrossRef]
- Park, J.; Friendship, R.M.; Poljak, Z.; Weese, J.S.; Dewey, C.E. An investigation of exudative epidermitis (greasy pig disease) and antimicrobial resistance patterns of Staphylococcus hyicus and Staphylococcus aureus isolated from clinical cases. Can. Vet. J. 2013, 54, 139–144. [Google Scholar]
- Park, J.; Friendship, R.M.; Weese, J.S.; Poljak, Z.; Dewey, C.E. An investigation of resistance to β-lactam antimicrobials among staphylococci isolated from pigs with exudative epidermitis. BMC Vet. Res. 2013, 9, 211. [Google Scholar] [CrossRef] [PubMed]
- Van der Wolf, P.J.; Rothkamp, A.; Junker, K.; de Neeling, A.J. Staphylococcus aureus (MSSA) and MRSA (CC398) isolated from post-mortem samples from pigs. Vet. Microbiol. 2012, 158, 136–141. [Google Scholar] [CrossRef] [PubMed]
- Wendlandt, S.; Feßler, A.T.; Monecke, S.; Ehricht, R.; Schwarz, S.; Kadlec, K. The diversity of antimicrobial resistance genes among staphylococci of animal origin. Int. J. Med. Microbiol. 2013, 303, 338–349. [Google Scholar] [CrossRef]
- Wendlandt, S.; Li, B.; Ma, Z.; Schwarz, S. Complete sequence of the multi-resistance plasmid pV7037 from a porcine methicillin-resistant Staphylococcus aureus. Vet. Microbiol. 2013, 166, 650–654. [Google Scholar] [CrossRef] [PubMed]
- Onuma, K.; Uoya, Y.; Koide, T.; Shibata, A.; Tanabe, T.; Sato, H. Detection of Staphylococcus hyicus exfoliative toxin genes by dot blot hybridization and multiplex polymerase chain reaction. Microbiol. Immunol. 2011, 55, 168–173. [Google Scholar] [CrossRef]
- Loncaric, I.; Lepuschitz, S.; Ruppitsch, W.; Trstan, A.; Andreadis, T.; Bouchlis, N.; Marbach, H.; Schauer, B.; Szostak, M.P.; Feßler, A.T.; et al. Increased genetic diversity of methicillin-resistant Staphylococcus aureus (MRSA) isolated from companion animals. Vet. Microbiol. 2019, 235, 118–126. [Google Scholar] [CrossRef] [PubMed]
- Jolley, K.A.; Bray, J.E.; Maiden, M.C.J. Open-access bacterial population genomics: BIGSdb software, the PubMLST.org website and their applications. Wellcome Open Res. 2018, 3, 124. [Google Scholar] [CrossRef] [PubMed]
- Rotter, B.A.; Prelusky, D.B.; Pestka, J.J. Toxicology of deoxynivalenol (vomitoxin). J. Toxicol. Environ. Health 1996, 48, 1–34. [Google Scholar] [CrossRef]
- Barton, M.D. Impact of antibiotic use in the swine industry. Curr. Opin. Microbiol. 2014, 19, 9–15. [Google Scholar] [CrossRef]
- Cuny, C.; Nathaus, R.; Layer, F.; Strommenger, B.; Altmann, D.; Witte, W. Nasal colonization of humans with methicillin-resistant Staphylococcus aureus (MRSA) CC398 with and without exposure to pigs. PLoS ONE 2009, 4, e6800. [Google Scholar] [CrossRef]
- Tiemersma, E.W.; Bronzwaer, S.L.A.M.; Lyytikäinen, O.; Degener, J.E.; Schrijnemakers, P.; Bruinsma, N.; Monen, J.; Witte, W.; Grundman, H. Methicillin-resistant Staphylococcus aureus in Europe, 1999–2002. Emerg. Infect. Dis. 2004, 10, 1627–1634. [Google Scholar] [CrossRef]
- Voss, A.; Loeffen, F.; Bakker, J.; Klaassen, C.; Wulf, M. Methicillin-resistant Staphylococcus aureus in pig farming. Emerg. Infect. Dis. 2005, 11, 1965–1966. [Google Scholar] [CrossRef] [PubMed]
- Wulf, M.; Voss, A. MRSA in livestock animals-an epidemic waiting to happen? Clin. Microbiol. Infect. 2008, 14, 519–521. [Google Scholar] [CrossRef] [PubMed]
- Armand-Lefevre, L.; Ruimy, R.; Andremont, A. Clonal comparison of Staphylococcus aureus isolates from healthy pig farmers, human controls, and pigs. Emerg. Infect. Dis. 2005, 11, 711–714. [Google Scholar] [CrossRef]
- Denis, O.; Suetens, C.; Hallin, M.; Catry, B.; Ramboer, I.; Dispas, M.; Willems, G.; Gordts, B.; Butaye, P.; Struelens, M.J. Methicillin-resistant Staphylococcus aureus ST398 in swine farm personnel, Belgium. Emerg. Infect. Dis. 2009, 15, 1098–1101. [Google Scholar] [CrossRef] [PubMed]
- Guardabassi, L.; Stegger, M.; Skov, R. Retrospective detection of methicillin resistant and susceptible Staphylococcus aureus ST398 in Danish slaughter pigs. Vet. Microbiol. 2007, 122, 384–386. [Google Scholar] [CrossRef]
- Meemken, D.; Blaha, T.; Tegeler, R.; Tenhagen, B.-A.; Guerra, B.; Hammerl, J.A.; Hertwig, S.; Käsbohrer, A.; Appel, B.; Fetsch, A. Livestock associated methicillin-resistant Staphylococcus aureus (LaMRSA) isolated from lesions of pigs at necropsy in northwest Germany between 2004 and 2007. Zoonoses Public Health 2010, 57, e143–e148. [Google Scholar] [CrossRef]
- Witte, W.; Strommenger, B.; Stanek, C.; Cuny, C. Methicillin-resistant Staphylococcus aureus ST398 in humans and animals, Central Europe. Emerg. Infect. Dis. 2007, 13, 255–258. [Google Scholar] [CrossRef]
- Khanna, T.; Friendship, R.; Dewey, C.; Weese, J.S. Methicillin resistant Staphylococcus aureus colonization in pigs and pig farmers. Vet. Microbiol. 2008, 128, 298–303. [Google Scholar] [CrossRef]
- Smith, T.C.; Male, M.J.; Harper, A.L.; Kroeger, J.S.; Tinkler, G.P.; Moritz, E.D.; Capuano, A.W.; Herwaldt, L.A.; Diekema, D.J. Methicillin-resistant Staphylococcus aureus (MRSA) strain ST398 is present in midwestern U.S. swine and swine workers. PLoS ONE 2009, 4, e4258. [Google Scholar] [CrossRef] [PubMed]
- Sergio, D.M.B.; Koh, T.H.; Hsu, L.-Y.; Ogden, B.E.; Goh, A.L.H.; Chow, P.K.H. Investigation of meticillin-resistant Staphylococcus aureus in pigs used for research. J. Med. Microbiol. 2007, 56, 1107–1109. [Google Scholar] [CrossRef]
- Graveland, H.; Wagenaar, J.A.; Bergs, K.; Heesterbeek, H.; Heederik, D. Persistence of livestock associated MRSA CC398 in humans is dependent on intensity of animal contact. PLoS ONE 2011, 6, e16830. [Google Scholar] [CrossRef]
- MacKinnon, M.M.; Allen, K.D. Long-term MRSA carriage in hospital patients. J. Hosp. Infect. 2000, 46, 216–221. [Google Scholar] [CrossRef]
- Marschall, J.; Mühlemann, K. Duration of methicillin-resistant Staphylococcus aureus carriage, according to risk factors for acquisition. Infect. Control. Hosp. Epidemiol. 2006, 27, 1206–1212. [Google Scholar] [CrossRef]
- Sanford, M.D.; Widmer, A.F.; Bale, M.J.; Jones, R.N.; Wenzel, R.P. Efficient detection and long-term persistence of the carriage of methicillin-resistant Staphylococcus aureus. Clin. Infect. Dis. 1994, 19, 1123–1128. [Google Scholar] [CrossRef]
- Scanvic, A.; Denic, L.; Gaillon, S.; Giry, P.; Andremont, A.; Lucet, J.C. Duration of colonization by methicillin-resistant Staphylococcus aureus after hospital discharge and risk factors for prolonged carriage. Clin. Infect. Dis. 2001, 32, 1393–1398. [Google Scholar] [CrossRef][Green Version]
- Lu, P.-L.; Tsai, J.-C.; Chiu, Y.-W.; Chang, F.-Y.; Chen, Y.-W.; Hsiao, C.-F.; Siu, L.K. Methicillin-resistant Staphylococcus aureus carriage, infection and transmission in dialysis patients, healthcare workers and their family members. Nephrol. Dial. Transplant. 2008, 23, 1659–1665. [Google Scholar] [CrossRef] [PubMed]
- Loncaric, I.; Künzel, F. Sequence type 398 meticillin-resistant Staphylococcus aureus infection in a pet rabbit. Vet. Dermatol. 2013, 24, 370.e84. [Google Scholar] [CrossRef]
- Loncaric, I.; Brunthaler, R.; Spergser, J. Suspected goat-to-human transmission of methicillin-resistant Staphylococcus aureus sequence type 398. J. Clin. Microbiol. 2013, 51, 1625–1626. [Google Scholar] [CrossRef] [PubMed]
- Schauer, B.; Krametter-Frötscher, R.; Knauer, F.; Ehricht, R.; Monecke, S.; Feßler, A.T.; Schwarz, S.; Grunert, T.; Spergser, J.; Loncaric, I. Diversity of methicillin-resistant Staphylococcus aureus (MRSA) isolated from Austrian ruminants and New World camelids. Vet. Microbiol. 2018, 215, 77–82. [Google Scholar] [CrossRef]
- Springer, B.; Orendi, U.; Much, P.; Höger, G.; Ruppitsch, W.; Krziwanek, K.; Metz-Gercek, S.; Mittermayer, H. Methicillin-resistant Staphylococcus aureus: A new zoonotic agent? Wien. Klin. Wochenschr. 2009, 121, 86–90. [Google Scholar] [CrossRef] [PubMed]
- Andresen, L.O. Production of exfoliative toxin by isolates of Staphylococcus hyicus from different countries. Vet. Rec. 2005, 157, 376–378. [Google Scholar] [CrossRef] [PubMed]
- Ahrens, P.; Andresen, L.O. Cloning and sequence analysis of genes encoding Staphylococcus hyicus exfoliative toxin types A, B, C, and D. J. Bacteriol. 2004, 186, 1833–1837. [Google Scholar] [CrossRef]
- Luedicke, C.; Slickers, P.; Ehricht, R.; Monecke, S. Molecular fingerprinting of Staphylococcus aureus from bone and joint infections. Eur. J. Clin. Microbiol. Infect. Dis. 2010, 29, 457–463. [Google Scholar] [CrossRef]
- Monecke, S.; Luedicke, C.; Slickers, P.; Ehricht, R. Molecular epidemiology of Staphylococcus aureus in asymptomatic carriers. Eur. J. Clin. Microbiol. Infect. Dis. 2009, 28, 1159–1165. [Google Scholar] [CrossRef] [PubMed]
- Blomfeldt, A.; Aamot, H.V.; Eskesen, A.N.; Müller, F.; Monecke, S. Molecular characterization of methicillin-sensitive Staphylococcus aureus isolates from bacteremic patients in a Norwegian University Hospital. J. Clin. Microbiol. 2013, 51, 345–347. [Google Scholar] [CrossRef] [PubMed][Green Version]
- Monecke, S.; Müller, E.; Buechler, J.; Rejman, J.; Stieber, B.; Akpaka, P.E.; Bandt, D.; Burris, R.; Coombs, G.; Hidalgo-Arroyo, G.A.; et al. Rapid detection of Panton-Valentine leukocidin in Staphylococcus aureus cultures by use of a lateral flow assay based on monoclonal antibodies. J. Clin. Microbiol. 2013, 51, 487–495. [Google Scholar] [CrossRef]
- Magro, G.; Biffani, S.; Minozzi, G.; Ehricht, R.; Monecke, S.; Luini, M.; Piccinini, R. Virulence Genes of S. aureus from Dairy Cow Mastitis and Contagiousness Risk. Toxins 2017, 9, 195. [Google Scholar] [CrossRef]
- Kaneko, J.; Kamio, Y. Bacterial two-component and hetero-heptameric pore-forming cytolytic toxins: Structures, pore-forming mechanism, and organization of the genes. Biosci. Biotechnol. Biochem. 2004, 68, 981–1003. [Google Scholar] [CrossRef]
- Vrieling, M.; Boerhout, E.M.; van Wigcheren, G.F.; Koymans, K.J.; Mols-Vorstermans, T.G.; de Haas, C.J.C.; Aerts, P.C.; Daemen, I.J.J.M.; van Kessel, K.P.M.; Koets, A.P.; et al. LukMF’ is the major secreted leukocidin of bovine Staphylococcus aureus and is produced in vivo during bovine mastitis. Sci. Rep. 2016, 6, 37759. [Google Scholar] [CrossRef] [PubMed]
- Lahuerta-Marin, A.; Guelbenzu-Gonzalo, M.; Pichon, B.; Allen, A.; Doumith, M.; Lavery, J.F.; Watson, C.; Teale, C.J.; Kearns, A.M. First report of lukM-positive livestock-associated methicillin-resistant Staphylococcus aureus CC30 from fattening pigs in Northern Ireland. Vet. Microbiol. 2016, 182, 131–134. [Google Scholar] [CrossRef] [PubMed]
- Monecke, S.; Gavier-Widén, D.; Hotzel, H.; Peters, M.; Guenther, S.; Lazaris, A.; Loncaric, I.; Müller, E.; Reissig, A.; Ruppelt-Lorz, A.; et al. Diversity of Staphylococcus aureus Isolates in European Wildlife. PLoS ONE 2016, 11, e0168433. [Google Scholar] [CrossRef]



| Isolates | Species 1 | CC 2 | ST 3 | spa | dru | Antimicrobial Resistance Profile | ||
| Phenotype 4 | Genes Detected | |||||||
| Piglet 1, Swab | MRSA | CC398 | n.t. | t011 | dt11af | β-lactams, TET | blaZ, mecA, tet(K) | |
| Piglet 2, Piglet 3 | MSSA | CC30 | ST433 | t021 | n.a. | CHL, LZD, CLI | cfr, fexA, fosB | |
| Swab | SH | n.a. | n.a. | n.a | n.a. | PEN | n.a. | |
| Isolates | capGene (cap 8) | capGene (cap 5) | Hemolysins | Leukocidins (Luk) Components | Biofilm-Associated Genes | Adhesion Factors | Exfoliative Toxins | Enterotoxins and Enterotoxin-Like Genes |
| Piglet 1, Swab | NEG 5 | POS 5 | hla, hlb, hld, hlgA | lukF, lukS, lukX, lukY | icaA, icaC, icaD | clfA, clfB, cna, fnbA, fnbB | ||
| Piglet 2, Piglet 3 | NEG | POS | hla, hlb, hld, hlgA | lukF, lukS, lukM/lukF-PV (P83), lukX | icaA, icaC, icaD | clfA, clfB, cna, fnbA, fnbB | egc, sei, sem, sen, seo, seu | |
| Swab | n.a. | n.a. | n.a. | n.a. | n.a. | n.a. | exhB | n.a. |
Publisher’s Note: MDPI stays neutral with regard to jurisdictional claims in published maps and institutional affiliations. |
© 2021 by the authors. Licensee MDPI, Basel, Switzerland. This article is an open access article distributed under the terms and conditions of the Creative Commons Attribution (CC BY) license (https://creativecommons.org/licenses/by/4.0/).
Share and Cite
Schwarz, L.; Loncaric, I.; Brunthaler, R.; Knecht, C.; Hennig-Pauka, I.; Ladinig, A. Exudative Epidermitis in Combination with Staphylococcal Pyoderma in Suckling Piglets. Antibiotics 2021, 10, 840. https://doi.org/10.3390/antibiotics10070840
Schwarz L, Loncaric I, Brunthaler R, Knecht C, Hennig-Pauka I, Ladinig A. Exudative Epidermitis in Combination with Staphylococcal Pyoderma in Suckling Piglets. Antibiotics. 2021; 10(7):840. https://doi.org/10.3390/antibiotics10070840
Chicago/Turabian StyleSchwarz, Lukas, Igor Loncaric, Rene Brunthaler, Christian Knecht, Isabel Hennig-Pauka, and Andrea Ladinig. 2021. "Exudative Epidermitis in Combination with Staphylococcal Pyoderma in Suckling Piglets" Antibiotics 10, no. 7: 840. https://doi.org/10.3390/antibiotics10070840
APA StyleSchwarz, L., Loncaric, I., Brunthaler, R., Knecht, C., Hennig-Pauka, I., & Ladinig, A. (2021). Exudative Epidermitis in Combination with Staphylococcal Pyoderma in Suckling Piglets. Antibiotics, 10(7), 840. https://doi.org/10.3390/antibiotics10070840

